Phytogenic Antioxidants Prolong n-3 Fatty Acid-Enriched Eggs’ Shelf Life by Activating the Nrf-2 Pathway through Phosphorylation of MAPK
Abstract
1. Introduction
2. Materials and Methods
2.1. Animal Ethics
2.2. Antioxidants Description
2.3. Birds’ Husbandry
2.4. Performance Parameters
2.5. Sampling for Egg Storage—Albumen Quality, Lipid Oxidation, and Fatty Acid Profile
2.5.1. Oxidative and Antioxidant Activities
2.5.2. Fatty Acid Analysis
2.6. Sampling and Preparation for Liver and Magnum Analysis
2.7. RNA Extraction and Reverse Transcription
2.8. Magnum Morphology
2.9. Statistical Analysis
3. Results
3.1. Performance
3.2. Egg Quality
3.3. Oxidation in Egg Yolk during Storage
3.4. Fatty Acid Profile of Egg Yolk during Storage
3.5. Gene Expression in the Magnum and Liver
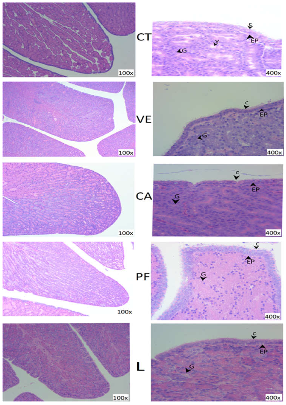
3.6. Magnum Morphology
4. Discussion
5. Conclusions
Author Contributions
Funding
Institutional Review Board Statement
Informed Consent Statement
Data Availability Statement
Conflicts of Interest
Abbreviations
References
- Wu, Y.; Wang, Y.; Yin, D.; Shahid, M.S.; Yuan, J. Flaxseed diet caused inflammation by altering the gut microbiota of Peking ducks. Anim. Biotechnol. 2019, 31, 520–531. [Google Scholar] [CrossRef]
- Ren, Y.; Perez, T.I.; Zuidhof, M.J.; Renema, R.A.; Wu, J. Oxidative stability of omega-3 polyunsaturated fatty acids enriched eggs. J. Agric. Food Chem. 2013, 61, 11595–11602. [Google Scholar] [CrossRef]
- Stadtman, E.R. Protein oxidation in aging and age-related diseases. Ann. New York Acad. Sci. 2001, 928, 22–38. [Google Scholar] [CrossRef]
- Kimaro, W.H.; Madekurozwa, M.C.; Groenewald, H.B. Histomorphometrical and ultrastructural study of the effects of carbendazim on the magnum of the Japanese quail (Coturnix coturnix japonica). Onderstepoort. J. Vet. Res. 2013, 80, 579–586. [Google Scholar] [CrossRef]
- Nogueira, M.S.; Scolaro, B.; Milne, G.L.; Castro, I.A. Oxidation products from omega-3 and omega-6 fatty acids during a simulated shelf life of edible oils. LWT 2019, 101, 113–122. [Google Scholar] [CrossRef]
- Galobart, J.; Barroeta, A.C.; Baucells, M.D.; Cortinas, L.; Guardiola, F. α-Tocopherol transfer efficiency and lipid oxidation in fresh and spray-dried eggs enriched with n-3 polyunsaturated fatty acids. Poult. Sci. 2001, 80, 1496–1505. [Google Scholar] [CrossRef]
- Asadi, F.; Shariatmadari, F.; Karimitorshizi, M.A.; Mohiti-Asli, M. Comparison of Different Selenium Sources and Vitamin E in Laying Hen Diet and Their Influences on Egg Selenium and Cholesterol Content, Quality and Oxidative Stability. Iran. J. Appl. Anim. Sci. 2017, 7, 83–89. [Google Scholar]
- Pan, C.; Zhao, Y.; Liao, S.F.; Chen, F.; Qin, S.; Wu, X.; Zhou, H.; Huang, K. Effect of selenium-enriched probiotics on laying performance, egg quality, egg selenium content, and egg glutathione peroxidase activity. J. Agric. Food Chem. 2011, 59, 11424–11431. [Google Scholar] [CrossRef]
- Hayat, Z.; Cherian, G.; Pasha, T.N.; Khattak, F.M.; Jabbar, M.A. Oxidative stability and lipid components of eggs from flax-fed hens: Effect of dietary antioxidants and storage. Poult. Sci. 2010, 89, 1285–1292. [Google Scholar] [CrossRef]
- Goncalves, A.; Roi, S.; Nowicki, M.; Dhaussy, A.; Huertas, A.; Amiot, M.J.; Reboul, E. Fat-soluble vitamin intestinal absorption: Absorption sites in the intestine and interactions for absorption. Food Chem. 2015, 172, 155–160. [Google Scholar] [CrossRef]
- Matumoto-Pintro, P.T.; Murakami, A.E.; Vital, A.C.P.; Croge, C.; da Silva, D.F.; Ospina-Roja, I.C.; Guerra, A.F.Q.G. Effects of storage time and temperature on lipid oxidation of egg powders enriched with natural antioxidants. Food Chem. 2017, 228, 463–468. [Google Scholar] [CrossRef] [PubMed]
- Wang, X.C.; Wang, X.H.; Wang, J.; Wang, H.; Zhang, H.J.; Wu, S.G.; Qi, G.H. Dietary tea polyphenol supplementation improved egg production performance, albumen quality, and magnum morphology of Hy-Line Brown hens during the late laying period. J. Anim. Sci. 2018, 96, 225–235. [Google Scholar] [CrossRef] [PubMed]
- Lim, B.P.; Nagao, A.; Terao, J.; Tanaka, K.; Suzuki, T.; Takama, K. Antioxidant activity ofxanthophylls on peroxyl radical-mediated phospholipid peroxidation. Biochim. Biophys. Acta 1992, 1126, 178–184. [Google Scholar] [CrossRef]
- Silva, B.A.; Ferreres, F.; Malva, J.O.; Dias, A.C.P. Phytochemical and antioxidant characterization of Hypericum perforatum alcoholic extracts. Food Chem. 2005, 90, 157–167. [Google Scholar] [CrossRef]
- Xie, T.; Bai, S.P.; Zhang, K.Y.; Ding, X.M.; Wang, J.P.; Zeng, Q.F.; Peng, H.W.; Lu, H.Y.; Bai, J.; Xuan, Y.; et al. Effects of Lonicera confusa and Astragali radix extracts supplementation on egg production performance, egg quality, sensory evaluation, and antioxidative parameters of laying hens during the late laying period. Poult. Sci. 2019, 98, 4838–4847. [Google Scholar] [CrossRef]
- Pinela, J.; Barros, L.; Carvalho, A.M.; Ferreira, I.C.F.R. Nutritional composition and antioxidant activity of four tomato (Lycopersicon esculentum L.) farmer’ varieties in Northeastern Portugal homegardens. Food Chem. Toxicol. 2012, 50, 829–834. [Google Scholar] [CrossRef] [PubMed]
- Carillon, J.; Barbe, F.; Barial, S.; Saby, M.; Sacy, A.; Rouanet, J.M. Diet supplementation with a specific melon concentrate improves oviduct antioxidant defenses and egg characteristics in laying hens. Poult. Sci. 2016, 95, 1898–1904. [Google Scholar] [CrossRef] [PubMed]
- Liu, X.; Lin, X.; Zhang, S.; Guo, C.; Li, J.; Mi, Y.; Zhang, C. Lycopene ameliorates oxidative stress in the aging chicken ovary via activation of Nrf2/HO-1 pathway. Aging 2018, 10, 2016–2036. [Google Scholar] [CrossRef]
- Keum, Y.S.; Yu, S.; Chang, P.P.; Yuan, X.; Kim, J.H.; Xu, C.; Han, J.; Agarwal, A.; Kong, A.N. Mechanism of action of sulforaphane: Inhibition of p38 Mitogen-Activated protein kinase isoforms contributing to the induction of antioxidant response element-mediated heme oxygenase-1 in human hepatoma HepG2 cells. Cancer Res. 2006, 66, 8804–8813. [Google Scholar] [CrossRef]
- Xu, C.; Huang, M.T.; Shen, G.; Yuan, X.; Lin, W.; Khor, T.O.; Conney, A.H.; Kong, A.N. Inhibition of 7,12-dimethylbenz[a]anthracene-induced skin tumorigenesis in C57BL/6 mice by sulforaphane is mediated by nuclear factor E2-related factor 2. Cancer Res. 2006, 66, 8293–8296. [Google Scholar] [CrossRef] [PubMed]
- Ryter, S.W.; Choi, A.M. Therapeutic applications of carbon monoxide in lung disease. Curr. Opin. Pharmacol. 2006, 6, 257–262. [Google Scholar] [CrossRef]
- National Research Council. Nutrient Requirements of Poultry, 9th ed.; National Academy Press: Washington, DC, USA, 1994. [Google Scholar] [CrossRef]
- Christie, W.W. Preparation of ester derivatives of fatty acids for chromatographic analysis. Adv. Lipid Methodol. 1993, 2, e111. [Google Scholar]
- SPSS. SPSS Base 20.0; SPSS Inc.: Chicago, IL, USA, 2010. [Google Scholar]
- Moghadam, M.; Shehab, A.; Cherian, G. Production performance, quality and lipid composition of eggs from laying hens fed heated flaxseed with carbohydrase enzymes. J. Appl. Poult. Res. 2020, 29, 121–129. [Google Scholar] [CrossRef]
- Kaya, A.; Yidirim, B.A.; Kaya, H.; Gul, M.; Celebi, S. The effects of diets supplemented with crushed and extracted grape seed on performance, egg quality parameters, yolk peroxidation and serum traits in laying hens. Eur. Poult. Sci. 2014, 78, 59. [Google Scholar] [CrossRef]
- Hong, J.C.; Steiner, T.; Aufy, A.; Lien, T.F. Effects of supplemental essential oil on growth performance, lipid metabolites and immunity, intestinal characteristics, microbiota and carcass traits in broilers. Livest. Sci. 2012, 144, 253–262. [Google Scholar] [CrossRef]
- Liu, H.N.; Liu, Y.; Hu, L.L.; Suo, Y.L.; Zhang, L.; Jin, F.; Feng, X.A.; Teng, N.; Li, Y. Effects of dietary supplementation of quercetin on performance, egg quality, cecal microflora populations, and antioxidants status in laying hens. Poult. Sci. 2014, 83, 347–353. [Google Scholar] [CrossRef]
- Zhang, X.; Zhao, L.; Cao, F.; Ahmad, H.; Wang, G.; Wang, T. Effects of feeding fermented Ginkgo biloba leaves on small intestinal morphology, absorption, and immunomodulation of early lipopolysaccharide-challenged chicks. Poult. Sci. 2013, 92, 119–130. [Google Scholar] [CrossRef]
- Zuo, Z.Y.; Yang, W.R.; Wang, Y.; Yang, Z.B.; Jiang, S.Z.; Zhang, G.G. Effects of Astragalus membranaceus on laying performance and antioxidant status of laying hens. J. Appl. Poult. Res. 2012, 21, 243–250. [Google Scholar] [CrossRef]
- Omri, B.; Chalghoumi, R.; Izzo, L.; Ritieni, A.; Lucarini, M.; Durazzo, A.; Abdouli, H.; Santini, A. Effect of Dietary Incorporation of Linseed Alone or Together with Tomato-Red Pepper Mix on Laying Hens’ Egg Yolk Fatty Acids Profile and Health Lipid Indexes. Nutrients 2019, 11, 813. [Google Scholar] [CrossRef]
- Leeson, S.; Caston, L.; Namkung, H. Effect of dietary lutein and flax on performance, egg composition and liver status of laying hens. Can. J. Anim. Sci. 2007, 87, 365–372. [Google Scholar] [CrossRef]
- Omana, D.A.; Wang, J.P.; Wu, J.P. Ovomucin—A glycoprotein with promising potential. Trends Food Sci. Technol. 2010, 21, 455–463. [Google Scholar] [CrossRef]
- Nunes, K.C.; Eyng, C.; Pintro, P.T.; Garcia, R.G.; Murakami, A.E.; Vital, A.C.; Nunes, R.V.; Nesello, P.O. Dietary inclusion of dehydrated bocaiuva pulp increases the antioxidant potential of quail eggs. J. Anim. Physiol. Anim. Nutr. 2019, 103, 64–71. [Google Scholar] [CrossRef]
- Toussant, M.J.; Swayne, D.E.; Latshaw, J.D. Morphologic characteristics of oviducts from hens producing eggs of different Haugh units caused by genetics and by feeding vanadium as determined with computer software-integrated digitizing technology. Poult. Sci. 1995, 74, 1671–1676. [Google Scholar] [CrossRef]
- Eyal, A.; Moran, E. Egg changes associated with reduced interior quality because of dietary vanadium toxicity in the hen. Poult. Sci. 1984, 63, 1378–1385. [Google Scholar] [CrossRef]
- Abreu, G.; Pereira, A.L.F.; Freitas, E.R.; Trevisan, M.T.S.; Costa, J.M.C. Effect of anacardic acid on oxidative and color stability of spray dried egg yolk. Food Sci. Technol. 2014, 55, 466–471. [Google Scholar] [CrossRef]
- Martino, G.; Haouet, M.N.; Marchetti, S.; Grotta, L.; Ponzielli, V. Effect of vitamin E supplementation on egg yolk quality and oxidative stability. Asian J. Agric. Food Sci. 2014, 2, 248–254. [Google Scholar]
- Ao, T.; Macalintal, L.; Paul, M.; Pescatore, A.; Cantor, A.; Ford, M.; Timmons, B.; Dawson, K. Effects of supplementing microalgae in laying hen diets on productive performance, fattyacid profile, and oxidative stability of eggs. J. Appl. Poult. Res. 2015, 24, 394–400. [Google Scholar] [CrossRef]
- Goliomytis, M.; Orfanou, H.; Petrou, E.; Charismiadou, M.; Simitzis, P.; Deligeorgis, S. Effect of hesperidin dietary supplementation on hen performance, egg quality and yolk oxidative stability. Braz. J. Poult. Sci. 2014, 55, 98–104. [Google Scholar] [CrossRef] [PubMed]
- Cano-Gutiérrez, G.; Acevedo-Nava, S.; Santamaría, A.; Altamirano-Lozano, M.; Cano-Rodríguez, M.C.; Fortoul, T.I. Hepatic megalocytosis due to vanadium inhalation: Participation of oxidative stress. Toxicol. Ind. Health 2012, 28, 353–360. [Google Scholar] [CrossRef]
- Lim’on-Pacheco, J.; Gonsebatt, M.E. The role of antioxidants and antioxidant-related enzymes in protective responses to environmentally induced oxidative stress. Mutat. Res. 2009, 674, 137–147. [Google Scholar] [CrossRef] [PubMed]
- Liu, B.; Zhou, Q.; Zhu, J.; Lin, G.; Yu, D.; Ao, T. Time course of nutritional and functional property changes in egg yolk from laying hens fed docosahexaenoic acid-rich microalgae. Poult. Sci. 2020, 99, 4616–4625. [Google Scholar] [CrossRef]
- Cherian, G.; Traber, M.G.; Goeger, M.P.; Leonard, S.W. Conjugated linoleic acid and fish oil in laying hen diets: Effects on egg fatty acids, thiobarbituric acid reactive substances, and tocopherols during storage. Poult. Sci. 2007, 86, 953–958. [Google Scholar] [CrossRef]
- EFSA Panel on Dietetic Products, Nutrition, Allergies. Scientific opinion on dietary reference values for fats, including saturated fatty acids, polyunsaturated fatty acids, monounsaturated fatty acids, trans fatty acids, and cholesterol. EFSA J. 2010, 8, 1461. [Google Scholar]
- Siow, R.C.; Sato, H.; Mann, G.E. Heme oxygenase- carbon monoxide signalling pathway in atherosclerosis: Antiatherogenic actions of bilirubin and carbon monoxide? Cardiovasc. Res. 1999, 41, 385–394. [Google Scholar] [CrossRef]
- Ferris, C.D.; Jaffrey, S.R.; Sawa, A.; Takahashi, M.; Brady, S.D.; Barrow, R.K.; Tysoe, S.A.; Wolosker, D.E.; Baranano, D.E.; Dore, S.; et al. Haem oxygenase-1 prevents cell death by regulating cellular iron. Nat. Cell Biol. 1999, 1, 152–157. [Google Scholar] [CrossRef]
- Liu, Z.M.; Chen, G.G.; Ng, E.K.; Leung, W.K.; Sung, J.J.; Chung, S.C. Upregulation of heme oxygenase-1 and p21 confers resistance to apoptosis in human gastric cancer cells. Oncogene 2004, 23, 503–513. [Google Scholar] [CrossRef]
- Carillon, J.; Knabe, L.; Montalban, A.; Stevant, M.; Keophiphath, M.; Lacan, D.; Cristol, J.P.; Rouanet, J.M. Curative diet supplementation with a melon superoxide dismutase reduces adipose tissue in obese hamsters by improving insulin sensitivity. Mol. Nutr. Food Res. 2014, 58, 842–850. [Google Scholar] [CrossRef]
- Niture, S.K.; Jain, A.K.; Jaiswal, A.K. Antioxidant induced modification of INrf2 cysteine 151 and PKC-deltamediated phosphorylation of Nrf2 serine 40 are both required for stabilization and nuclear translocation of Nrf2 and increased drug resistance. J. Cell Sci. 2009, 122, 4452–4464. [Google Scholar] [CrossRef]
- Andreadi, C.K.; Howells, L.M.; Atherfold, P.A.; Manson, M.M. Involvement of Nrf2, p38, B-Raf, and nuclear factor-kappaB, but not phosphatidylinositol 3-kinase, in induction of hemeoxygenase-1 by dietary polyphenols. Mol. Pharmacol. 2006, 69, 1033–1040. [Google Scholar] [CrossRef]
- Sriram, N.; Kalayarasan, S.; Sudhandiran, G. Epigallocatechin-3-gallate augments antioxidant activities and inhibits inflammation during bleomycin-induced experimental pulmonary fibrosis through Nrf2-Keap1 signaling. Pulm. Pharmacol. Ther. 2009, 22, 221–236. [Google Scholar] [CrossRef]
- Chen, C.; Yu, R.; Owuor, E.D.; Kong, A.N.T. Activation of antioxidant-response element (ARE), mitogen-activated protein kinases (MAPKs) and caspases by major green tea polyphenol components during cell survival and death. Arch. Pharmacal Res. 2000, 23, 605–612. [Google Scholar] [CrossRef]
- Sahin, K.; Tuzcu, M.; Gencoglu, H.; Dogukan, A.; Timurkan, M.; Sahin, N.; Aslan, A.; Kucuk, O. Epigallocatechin3-gallate activates Nrf2/HO-1 signaling pathway in cisplatininduced nephrotoxicity in rats. Life Sci. 2010, 87, 240–245. [Google Scholar] [CrossRef]


| Ingredients % | Composition, % | Nutrients | Content | 
|---|---|---|---|
| Wheat | 70 | AME (kcal/kg) | 2740 | 
| Soybean meal | 7.9 | Protein, % | 15.99 | 
| Flaxseed | 10 | Lysine, % | 0.79 | 
| Limestone | 9.4 | Methionine, % | 0.38 | 
| Calcium hydro-phosphate | 0.8 | M + C, % | 0.63 | 
| Salt | 0.35 | Ca, % | 3.91 | 
| Choline chloride | 0.1 | NPP, % | 0.26 | 
| Minerals 1 | 0.2 | ||
| DL-Met | 0.13 | ||
| L-lysine | 0.65 | ||
| Vitamin 2 | 0.02 | ||
| Phytase | 0.02 | ||
| Compound enzyme 3 | 0.02 | ||
| Pigment compound | 0.01 | ||
| Zeolite powder | 0.4 | 
| Genes | FORWARD | REVERSE | 
|---|---|---|
| Nrf2 | TGTGTGTGATTCAACCCGACT | TTAATGGAAGCCGCACCACT | 
| SOD1 | TTGTCTGATGGAGATCATGGCTTC | TGCTTGCCTTCAGGATTAAAGTGAG | 
| P38MAPK | TGTGTTCACCCCTGCCAAGT | GCCCCCGAAGAATCTGGTAT | 
| HO-1 | TTGGCAAGAAGCATCCAGA | TCCATCTCAAGGGCATTCA | 
| GSH-Px | TCACCATGTTCGAGAAGTGC | ATGTACTGCGGGTTGGTCAT | 
| CAT | GTTGGCGGTAGGAGTCTGGTCT | GTGGTCAAGGCATCTGGCTTCTG | 
| beta-actin | TCAGGGTGTGATGGTTGGTATG | TGTTCAATGGGGTACTTCAGGG | 
| Groups | Weeks | Control | VE | CA | PF | Lutein | SEM | p-Value 1 | 
|---|---|---|---|---|---|---|---|---|
| Egg weight (g) | 2 wks | 53.28 b | 56.33 a | 55.79 a | 56.11 a | 56.04 a | 0.285 | 0.001 | 
| 4 wks | 53.30 b | 56.20 a | 56.38 a | 55.99 a | 55.38 a | 0.294 | 0.001 | |
| 6 wks | 53.29 b | 56.29 a | 56.30 a | 55.83 a | 55.92 a | 0.281 | <0.001 | |
| 8 wks | 53.45 b | 56.14 a | 56.15 a | 55.30 a | 56.16 a | 0.271 | 0.001 | |
| 10 wks | 54.22 b | 56.94 a | 56.48 a | 56.06 a | 56.55 a | 0.284 | 0.012 | |
| p-value 2 | 0.611 | 0.495 | 0.756 | 0.855 | 0.700 | |||
| Linear 3 | 0.202 | 0.293 | 0.366 | 0.666 | 0.330 | |||
| Quadratic 4 | 0.369 | 0.222 | 0.689 | 0.521 | 0.407 | |||
| Hen day egg production (%) | 2 wks | 77.83 b | 82.79 a | 80.96 aC | 76.21 b | 83.60 aB | 0.500 | <0.001 | 
| 4 wks | 77.89 b | 86.32 a | 84.44 aB | 76.45 b | 86.34 aAB | 0.673 | <0.001 | |
| 6 wks | 77.88 b | 87.12 a | 89.10 aA | 76.40 b | 86.24 bAB | 0.753 | <0.001 | |
| 8 wks | 78.03 b | 85.79 a | 88.85 aA | 76.40 b | 90.35 aA | 0.770 | <0.001 | |
| 10 wks | 78.59 b | 85.23 a | 88.68 aA | 76.56 b | 91.11 aA | 1.260 | <0.001 | |
| p-value 2 | 0.999 | 0.654 | <0.001 | 1.000 | 0.016 | |||
| Linear 3 | 0.808 | 0.518 | <0.001 | 0.870 | 0.001 | |||
| Quadratic 4 | 0.886 | 0.199 | 0.011 | 0.977 | 0.969 | |||
| Feed Intake (g) | 2 wks | 84.48 | 84.82 | 85.08 | 84.14 | 84.65 A | 0.157 | 0.488 | 
| 4 wks | 84.75 a | 85.15 a | 85.42 a | 83.60 b | 82.77 bB | 0.228 | 0.025 | |
| 6 wks | 84.73 | 84.37 | 84.77 | 84.76 | 85.50 A | 0.146 | 0.645 | |
| 8 wks | 84.82 b | 84.87 b | 84.95 b | 84.87 b | 85.45 aA | 0.090 | 0.005 | |
| 10 wks | 85.59 | 84.85 | 85.18 | 85.00 | 85.73 A | 0.120 | 0.097 | |
| p-value 2 | 0.149 | 0.062 | 0.543 | 0.195 | 0.001 | |||
| Linear 3 | 0.027 | 0.696 | 0.767 | 0.051 | 0.004 | |||
| Quadratic 4 | 0.346 | 0.387 | 0.558 | 0.867 | 0.403 | |||
| Feed Conversion Ratio (%) | 2 wks | 1.88 | 1.78 | 1.85 | 1.81 | 1.81 | 0.010 | 0.312 | 
| 4 wks | 1.89 | 1.81 | 1.87 | 1.81 | 1.75 | 0.012 | 0.125 | |
| 6 wks | 1.87 | 1.77 | 1.86 | 1.84 | 1.80 | 0.013 | 0.274 | |
| 8 wks | 1.88 | 1.79 | 1.88 | 1.84 | 1.81 | 0.010 | 0.448 | |
| 10 wks | 1.87 | 1.80 | 1.81 | 1.82 | 1.79 | 0.630 | 0.627 | |
| p-value 2 | 0.987 | 0.933 | 0.748 | 0.833 | 0.499 | |||
| Linear 3 | 0.725 | 0.733 | 0.557 | 0.512 | 0.877 | |||
| Quadratic 4 | 0.892 | 0.890 | 0.304 | 0.464 | 0.623 | 
| Groups | Storage | Control | VE | CA | PF | Lutein | SEM | p-Value 1 | 
|---|---|---|---|---|---|---|---|---|
| Albumen height (mm) | 0 d | 6.24 bA | 7.37 a | 7.42 aA | 7.47 a | 7.45 a | 0.14 | 0.012 | 
| 7 d | 6.20 bA | 7.36 a | 7.33 aA | 7.28 a | 7.28 a | 0.15 | 0.016 | |
| 14 d | 6.06 bA | 7.31 a | 7.39 aA | 7.41 a | 7.47 a | 0.11 | <0.001 | |
| 21 d | 5.55 bA | 7.22 a | 7.17 aA | 7.14 a | 7.24 a | 0.16 | <0.001 | |
| 28 d | 5.46 bA | 7.10 a | 6.12 bB | 7.01 a | 7.07 a | 0.15 | <0.001 | |
| 35 d | 4.17 cB | 6.88 a | 5.83 bBC | 6.92 a | 6.81 a | 0.21 | <0.001 | |
| 42 d | 4.00 cB | 6.71 a | 5.23 bC | 6.76 a | 6.65 a | 0.21 | <0.001 | |
| p-value 2 | <0.001 | 0.153 | <0.001 | 0.535 | 0.083 | |||
| Linear 3 | <0.001 | 0.005 | <0.001 | 0.037 | 0.003 | |||
| Quadratic 4 | 0.005 | 0.349 | 0.003 | 0.792 | 0.297 | |||
| Haugh unit (AA) | 0 d | 84.65 aA | 89.05 aA | 91.24 aA | 88.70 aA | 89.40 aA | 0.57 | 0.001 | 
| 7 d | 83.73 bA | 89.23 aA | 90.32 aA | 89.02 aA | 88.99 aA | 0.58 | <0.001 | |
| 14 d | 81.62 bAB | 89.84 aA | 90.36 aA | 89.75 aA | 88.59 aA | 0.77 | <0.001 | |
| 21 d | 76.07 bB | 88.23 aA | 88.51 aA | 88.45 aA | 89.09 aA | 1.03 | <0.001 | |
| 28 d | 68.26 cC | 87.27 aA | 80.14 bB | 87.09 aAB | 87.30 aA | 1.56 | <0.001 | |
| 35 d | 61.25 cD | 83.61 aB | 75.31 bBC | 83.93 aBC | 84.80 aA | 1.80 | <0.001 | |
| 42 d | 57.92 cD | 82.27 aB | 73.81 bC | 81.59 aC | 80.13 aB | 1.77 | <0.001 | |
| p-value 2 | <0.001 | <0.001 | <0.001 | <0.001 | <0.001 | |||
| Linear 3 | <0.001 | <0.001 | <0.001 | <0.001 | <0.001 | |||
| Quadratic 4 | 0.008 | 0.004 | 0.007 | 0.002 | 0.002 | 
| Groups | Storage | Control | VE | CA | PF | Lutein | SEM | p-Value 1 | 
|---|---|---|---|---|---|---|---|---|
| MDA (mg/protein) | 0 d | 6.37 aD | 3.21 cB | 3.30 cB | 3.65 b | 3.25 cB | 0.227 | <0.001 | 
| 7 d | 6.39 aD | 3.22 cB | 3.30 cB | 3.65 b | 3.25 cB | 0.228 | <0.001 | |
| 14 d | 6.51 aD | 3.22 cB | 3.30 cB | 3.65 b | 3.25 cB | 0.236 | <0.001 | |
| 21 d | 7.42 aC | 3.23 cB | 3.31 cB | 3.65 b | 3.25 cB | 0.304 | <0.001 | |
| 28 d | 7.72 aC | 3.26 cB | 3.31 cB | 3.67 b | 3.26 cB | 0.325 | <0.001 | |
| 35 d | 8.44 aB | 3.26 cB | 3.33 bcB | 3.69 b | 3.28 cB | 0.379 | <0.001 | |
| 42 d | 8.94 aA | 3.53 bA | 3.49 bA | 3.74 b | 3.44 bA | 0.403 | <0.001 | |
| p-value 2 | <0.001 | 0.014 | 0.034 | 0.575 | <0.001 | |||
| Linear 3 | <0.001 | 0.003 | 0.009 | 0.078 | <0.001 | |||
| Quadratic 4 | <0.001 | 0.028 | 0.032 | 0.908 | 0.002 | |||
| SOD (mg/protein) | 0 d | 109.57 bA | 123.37 a | 123.19 aA | 123.52 aA | 123.46 a | 1.035 | <0.001 | 
| 7 d | 109.60 bA | 123.28 a | 123.19 aA | 123.51 aA | 123.46 a | 1.031 | <0.001 | |
| 14 d | 108.57 bAB | 123.34 a | 123.20 aA | 123.52 aA | 123.46 a | 1.108 | <0.001 | |
| 21 d | 108.24 bAB | 123.38 a | 123.20 aA | 123.52 aA | 123.46 a | 1.133 | <0.001 | |
| 28 d | 107.57 bABC | 123.47 a | 123.21 aA | 123.51 aA | 123.46 a | 1.189 | <0.001 | |
| 35 d | 106.74 bC | 122.87 a | 123.09 aA | 123.25 aA | 123.27 a | 1.226 | <0.001 | |
| 42 d | 105.75 bC | 121.69 a | 122.03 aB | 122.18 aB | 122.15 a | 1.222 | <0.001 | |
| p-value 2 | <0.001 | 0.050 | 0.008 | 0.008 | 0.062 | |||
| Linear 3 | <0.001 | 0.013 | 0.005 | 0.003 | 0.017 | |||
| Quadratic 4 | 0.281 | 0.028 | 0.009 | 0.009 | 0.035 | |||
| T-AOC (mg/protein) | 0 d | 6.53 bA | 8.14 aA | 8.17 aA | 8.18 a | 8.24 aA | 0.128 | <0.001 | 
| 7 d | 6.52 bA | 8.14 aA | 8.16 aA | 8.17 a | 8.24 aA | 0.124 | <0.001 | |
| 14 d | 6.51 cA | 8.11 bA | 8.13 abAB | 8.17 ab | 8.24 aA | 0.123 | <0.001 | |
| 21 d | 6.24 bAB | 8.11 aA | 8.11 aAB | 8.14 a | 8.21 aA | 0.149 | <0.001 | |
| 28 d | 5.91 bBC | 8.10 aA | 8.11 aAB | 8.12 a | 8.20 aA | 0.166 | <0.001 | |
| 35 d | 5.70 bC | 8.03 aA | 7.93 aBC | 8.08 a | 8.11 aA | 0.176 | <0.001 | |
| 42 d | 4.97 bD | 7.76 aB | 7.76 aC | 7.99 a | 7.97 aB | 0.219 | <0.001 | |
| p-value 2 | <0.001 | <0.001 | <0.001 | 0.068 | <0.001 | |||
| Linear 3 | <0.001 | <0.001 | <0.001 | 0.002 | <0.001 | |||
| Quadratic 4 | <0.001 | 0.002 | 0.004 | 0.187 | 0.003 | |||
| GSH-Px (mg/protein) | 0 d | 767.51 bA | 992.42 aA | 991.61 aA | 988.95 aA | 990.99 aA | 16.63 | <0.001 | 
| 7 d | 767.25 bA | 992.35 aA | 991.52 aA | 988.60 aA | 990.62 aA | 16.63 | <0.001 | |
| 14 d | 766.38 bA | 991.37 aAB | 991.37 aA | 988.54 aA | 990.57 aA | 16.67 | <0.001 | |
| 21 d | 763.41 bA | 990.20 aAB | 991.34 aA | 988.50 aA | 990.42 aA | 16.87 | <0.001 | |
| 28 d | 757.65 bA | 988.54 aAB | 991.20 aA | 987.87 aA | 990.37 aA | 17.26 | <0.001 | |
| 35 d | 687.58 bB | 982.42 aB | 980.37 aB | 979.70 aB | 981.40 aB | 21.80 | <0.001 | |
| 42 d | 684.25 bB | 970.20 aC | 971.87 aC | 972.70 aB | 977.73 aB | 21.54 | <0.001 | |
| p-value 2 | <0.001 | <0.001 | <0.001 | <0.001 | 0.005 | |||
| Linear 3 | <0.001 | <0.001 | <0.001 | <0.001 | <0.001 | |||
| Quadratic 4 | <0.001 | <0.001 | <0.001 | 0.001 | 0.023 | 
| FA | Storage | Control | VE | CA | PF | L | SEM | p-Value 1 | 
|---|---|---|---|---|---|---|---|---|
| DHA | 0 d | 65.10 bA | 74.81 a | 73.78 a | 74.15 a | 74.28 aA | 0.71 | <0.001 | 
| 7 d | 65.10 bA | 74.70 a | 73.77 a | 74.11 a | 74.09 aA | 0.71 | <0.001 | |
| 14 d | 64.70 bA | 74.53 a | 73.43 a | 74.09 a | 74.18 aA | 0.73 | <0.001 | |
| 21 d | 64.19 bA | 74.33 a | 73.25 a | 74.06 a | 73.66 aA | 0.76 | <0.001 | |
| 28 d | 60.83 bB | 74.16 a | 73.05 a | 73.53 a | 72.68 aAB | 0.96 | <0.001 | |
| 35 d | 57.87 cC | 73.96 a | 72.92 a | 73.01 a | 70.70 bBC | 1.15 | <0.001 | |
| 42 d | 52.69 cD | 73.38 a | 72.86 a | 73.08 a | 70.07 bC | 1.53 | <0.001 | |
| p-value 2 | <0.001 | 0.519 | 0.911 | 0.514 | <0.001 | |||
| Linear 3 | <0.001 | 0.033 | 0.171 | 0.043 | <0.001 | |||
| Quadratic 4 | <0.001 | 0.612 | 0.909 | 0.549 | 0.042 | |||
| ALA | 0 d | 324.39 bA | 332.41 a | 331.46 a | 333.12 a | 331.76 a | 0.75 | <0.001 | 
| 7 d | 324.25 bA | 332.32 a | 331.43 a | 333.14 a | 331.67 a | 0.74 | <0.001 | |
| 14 d | 324.07 bA | 332.23 a | 331.28 a | 333.07 a | 331.48 a | 0.75 | <0.001 | |
| 21 d | 322.52 bA | 332.29 a | 331.19 a | 332.99 a | 331.40 a | 0.85 | <0.001 | |
| 28 d | 319.32 bB | 331.71 a | 330.82 a | 332.64 a | 331.41 a | 1.02 | <0.001 | |
| 35 d | 315.75 bC | 331.04 a | 330.00 a | 331.47 a | 330.74 a | 1.20 | <0.001 | |
| 42 d | 312.55 bD | 329.74 a | 329.56 a | 331.00 a | 329.41 a | 1.36 | <0.001 | |
| p-value 2 | <0.001 | 0.380 | 0.579 | 0.955 | 0.581 | |||
| Linear 3 | <0.001 | 0.032 | 0.050 | 0.284 | 0.075 | |||
| Quadratic 4 | <0.001 | 0.896 | 0.983 | 0.997 | 0.921 | |||
| Total n-3 | 0 d | 426.41 bA | 436.49 a | 435.34 a | 437.55 a | 435.80 aA | 0.87 | <0.001 | 
| 7 d | 426.28 bA | 436.28 a | 435.15 a | 437.37 a | 435.70 aA | 0.88 | <0.001 | |
| 14 d | 426.09 bA | 436.25 a | 435.12 a | 437.15 a | 435.44 aA | 0.88 | <0.001 | |
| 21 d | 424.69 bAB | 436.06 a | 435.01 a | 437.10 a | 435.05 aA | 0.97 | <0.001 | |
| 28 d | 423.63 bB | 435.61 a | 434.67 a | 436.18 a | 434.55 aA | 0.96 | <0.001 | |
| 35 d | 419.24 bC | 435.34 a | 434.66 a | 435.70 a | 433.89 aA | 1.24 | <0.001 | |
| 42 d | 409.94 cD | 434.82 a | 433.50 ab | 434.65 a | 431.15 bB | 1.82 | <0.001 | |
| p-value 2 | <0.001 | 0.934 | 0.823 | 0.845 | 0.005 | |||
| Linear 3 | <0.001 | 0.206 | 0.152 | 0.133 | <0.001 | |||
| Quadratic 4 | <0.001 | 0.751 | 0.529 | 0.618 | 0.050 | |||
| Total n-6 | 0 d | 557.63 aA | 549.73 c | 551.57 bcA | 553.95 bA | 551.61 bc | 0.64 | <0.001 | 
| 7 d | 557.59 aA | 549.58 c | 551.56 bcA | 553.75 bA | 551.57 bc | 0.63 | <0.001 | |
| 14 d | 557.41 aA | 549.39 c | 551.40 bcA | 553.55 bA | 551.24 bc | 0.64 | <0.001 | |
| 21 d | 556.57 aAB | 549.42 c | 551.37 bcA | 552.92 bA | 551.10 bc | 0.61 | 0.001 | |
| 28 d | 555.21 aBC | 548.71 b | 550.89 bAB | 552.25 abAB | 550.57 b | 0.66 | 0.018 | |
| 35 d | 554.53 aCD | 547.56 b | 547.93 bBC | 550.92 abB | 548.77 b | 0.79 | 0.018 | |
| 42 d | 552.97 D | 546.47 | 546.95 C | 547.92 C | 547.74 | 0.82 | 0.073 | |
| p-value 2 | <0.001 | 0.468 | 0.018 | <0.001 | 0.663 | |||
| Linear 3 | <0.001 | 0.037 | 0.001 | <0.001 | 0.074 | |||
| Quadratic 4 | 0.058 | 0.346 | 0.064 | 0.016 | 0.441 | 
| Tissue | Genes | Control | VE | CA | PF | L | SEM | p-Value | 
|---|---|---|---|---|---|---|---|---|
| Magnum | HO-1 | 0.53 c | 1.09 a | 0.88 b | 1.05 a | 1.09 a | 0.044 | <0.001 | 
| SOD1 | 0.47 c | 1.19 a | 0.89 b | 1.20 a | 1.14 a | 0.054 | <0.001 | |
| GSH-Px | 0.44 c | 0.89 a | 0.65 b | 0.98 a | 0.94 a | 0.045 | <0.001 | |
| CAT | 0.51 c | 1.03 a | 0.71 b | 1.07 a | 1.00 a | 0.046 | <0.001 | |
| Nrf-2 | 0.63 c | 1.21 a | 0.93 b | 1.18 a | 1.17 a | 0.049 | <0.001 | |
| P38MAPK | 0.55 c | 1.24 a | 0.96 b | 1.28 a | 1.26 a | 0.058 | <0.001 | |
| Liver | HO-1 | 0.46 c | 1.13 a | 0.87 b | 1.11 a | 1.15 a | 0.052 | <0.001 | 
| SOD1 | 0.61 c | 1.22 a | 0.92 b | 1.21 a | 1.21 a | 0.050 | <0.001 | |
| GSH-Px | 0.41 c | 0.85 a | 0.62 b | 0.95 a | 0.91 a | 0.045 | <0.001 | |
| CAT | 1.17 | 1.18 | 1.16 | 1.17 | 1.14 | 0.016 | 0.929 | |
| Nrf-2 | 0.55 c | 1.15 a | 0.84 b | 1.13 a | 1.12 a | 0.051 | <0.001 | |
| P38MAPK | 0.90 c | 1.41 a | 1.20 b | 1.48 a | 1.52 a | 0.052 | <0.001 | 
| Measures (μm) | Control | VE | CA | PF | Lutein | SEM | p-Value | 
|---|---|---|---|---|---|---|---|
| Fold height | 1692.02 c | 3520.30 a | 2592.00 b | 3773.10 a | 3652.03 a | 159.86 | <0.001 | 
| EP height | 164.58 c | 263.45 a | 204.40 b | 269.81 a | 266.42 a | 8.10 | <0.001 | 
| Cilia height | 5.37 c | 11.57 a | 8.40 b | 12.16 a | 11.45 a | 0.52 | <0.001 | 
| Publisher’s Note: MDPI stays neutral with regard to jurisdictional claims in published maps and institutional affiliations. | 
© 2022 by the authors. Licensee MDPI, Basel, Switzerland. This article is an open access article distributed under the terms and conditions of the Creative Commons Attribution (CC BY) license (https://creativecommons.org/licenses/by/4.0/).
Share and Cite
Shahid, M.S.; Zhou, S.; Nie, W.; Wang, L.; Lv, H.; Yuan, J. Phytogenic Antioxidants Prolong n-3 Fatty Acid-Enriched Eggs’ Shelf Life by Activating the Nrf-2 Pathway through Phosphorylation of MAPK. Foods 2022, 11, 3158. https://doi.org/10.3390/foods11203158
Shahid MS, Zhou S, Nie W, Wang L, Lv H, Yuan J. Phytogenic Antioxidants Prolong n-3 Fatty Acid-Enriched Eggs’ Shelf Life by Activating the Nrf-2 Pathway through Phosphorylation of MAPK. Foods. 2022; 11(20):3158. https://doi.org/10.3390/foods11203158
Chicago/Turabian StyleShahid, Muhammad Suhaib, Shengyu Zhou, Wei Nie, Liang Wang, Huiyuan Lv, and Jianmin Yuan. 2022. "Phytogenic Antioxidants Prolong n-3 Fatty Acid-Enriched Eggs’ Shelf Life by Activating the Nrf-2 Pathway through Phosphorylation of MAPK" Foods 11, no. 20: 3158. https://doi.org/10.3390/foods11203158
APA StyleShahid, M. S., Zhou, S., Nie, W., Wang, L., Lv, H., & Yuan, J. (2022). Phytogenic Antioxidants Prolong n-3 Fatty Acid-Enriched Eggs’ Shelf Life by Activating the Nrf-2 Pathway through Phosphorylation of MAPK. Foods, 11(20), 3158. https://doi.org/10.3390/foods11203158
 
        



 
       