Effect of Grafted Insect Protein with Palatinose on Quality Properties of Phosphate-Free Meat Emulsion
Abstract
1. Introduction
2. Materials and Methods
2.1. Materials
2.2. Preparation of Grafted Insect Protein and Manufacturing of Meat Emulsion
2.3. pH
2.4. Instrumental Color
2.5. Protein Solubility
2.6. Sodium Dodecyl Sulfate Polyacrylamide Gel Electrophoresis (SDS-PAGE)
2.7. Apparent Viscosity
2.8. Cooking Loss
2.9. Water Holding Capacity (WHC)
2.10. Emulsion Stability
2.11. Lipid Oxidation
2.12. Texture Profile Analysis (TPA)
2.13. Statistical Analysis
3. Results and Discussion
3.1. pH and Color
3.2. Protein Solubility
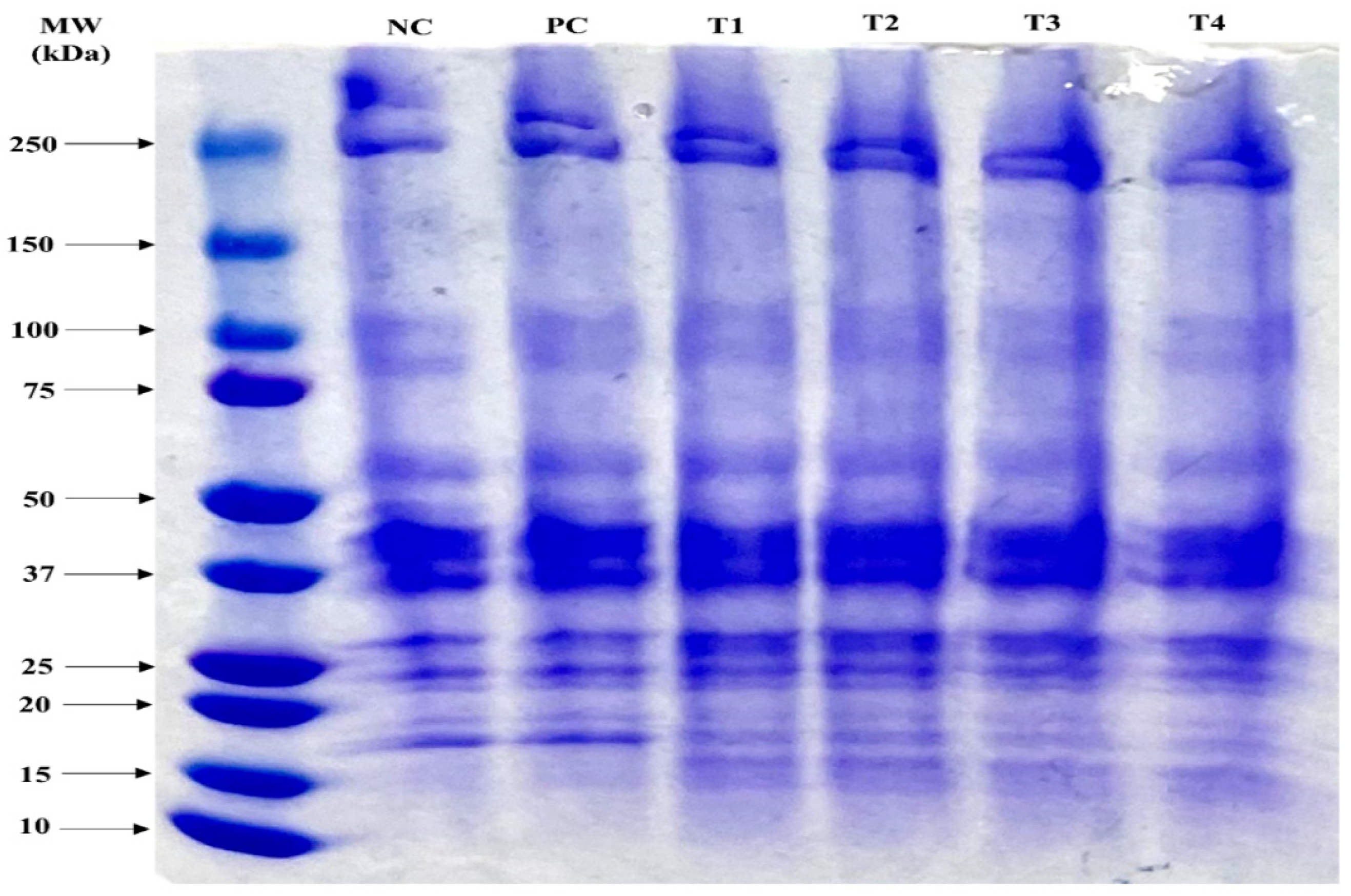
3.3. Protein Molecular Weight Distribution
3.4. Apparent Viscosity
3.5. Cooking Loss, Water Holding Capacity, and Emulsion Stability
3.6. Lipid Oxidation
3.7. Texture Profile Analysis
4. Conclusions
Author Contributions
Funding
Data Availability Statement
Conflicts of Interest
References
- Jeong, H.G.; Jung, D.Y.; Jo, K.; Lee, S.; Choi, Y.-S.; Yong, H.I.; Jung, S. Alternative of Phosphate by Freeze-or Oven-Dried Winter Mushroom Powder in Beef Patty. Food Sci. Anim. Resour. 2021, 41, 542. [Google Scholar] [CrossRef] [PubMed]
- Jeong, J.Y. Determining the optimal level of natural calcium powders and whey protein concentrate blends as phosphate replacers in cooked ground pork products. Korean J. Food Sci. Anim. Resour. 2018, 38, 1246. [Google Scholar] [CrossRef] [PubMed]
- Pinton, M.B.; Lorenzo, J.M.; Seibt, A.C.M.D.; Dos Santos, B.A.; da Rosa, J.L.; Correa, L.P.; Cichoski, A.J.; Campagnol, P.C.B. Effect of high-power ultrasound and bamboo fiber on the technological and oxidative properties of phosphate-free meat emulsions. Meat Sci. 2022, 193, 108931. [Google Scholar] [CrossRef] [PubMed]
- Kim, T.-K.; Ku, S.-K.; Kim, Y.-B.; Jeon, K.-H.; Choi, Y.-S. Substitution and technology trend of synthetic additives in processed meat industry: Nitrite and phosphate. Food Sci. Anim. Resour. Ind. 2017, 6, 98–108. [Google Scholar]
- Lee, J.H.; Kim, T.-K.; Jeong, C.H.; Yong, H.I.; Cha, J.Y.; Kim, B.-K.; Choi, Y.-S. Biological activity and processing technologies of edible insects: A review. Food Sci. Biotechnol. 2021, 30, 1003–1023. [Google Scholar] [CrossRef]
- Kim, T.-K.; Cha, J.Y.; Yong, H.I.; Jang, H.W.; Jung, S.; Choi, Y.-S. Application of edible insects as novel protein sources and strategies for improving their processing. Food Sci. Anim. Resour. 2022, 42, 372–388. [Google Scholar] [CrossRef]
- Kim, T.-K.; Lee, M.H.; Yong, H.I.; Kang, M.-C.; Jung, S.; Choi, Y.-S. Porcine myofibrillar protein gel with edible insect protein: Effect of pH-shifting. LWT-Food Sci. Technol. 2022, 154, 112629. [Google Scholar] [CrossRef]
- Lee, M.H.; Kim, T.K.; Cah, J.Y.; Yong, H.I.; Kang, M.C.; Jang, H.W.; Choi, Y.S. Physicochemical characteristics and aroma patterns of oils prepared from edible insects. LWT-Food Sci. Technol. 2022, 167, 113888. [Google Scholar] [CrossRef]
- Choi, Y.S.; Kim, T.K.; Choi, H.D.; Park, J.D.; Sung, J.M.; Jeon, K.H.; Paik, H.D.; Kim, Y.B. Optimization of replacing pork meat with yellow worm (Tenebrio molitor L.) for frankfurters. Korean J. Food Sci. Anim. Resour. 2017, 37, 617–625. [Google Scholar] [CrossRef]
- Park, Y.-S.; Choi, Y.-S.; Hwang, K.-E.; Kim, T.-K.; Lee, C.-W.; Shin, D.-M.; Han, S.G. Physicochemical properties of meat batter added with edible silkworm pupae (Bombyx mori) and transglutaminase. Korean J. Food Sci. Anim. Resour. 2017, 37, 351–359. [Google Scholar] [CrossRef]
- David-Birman, T.; Romano, A.; Aga, A.; Pascoviche, D.; Davidovich-Pinhas, M.; Lesmes, U. Impact of silkworm pupae (Bombyx mori) powder on cream foaming, ice cream properties and palatability. Innov. Food Sci. Emerg. Technol. 2022, 75, 102874. [Google Scholar] [CrossRef]
- Kim, T.-K.; Yong, H.I.; Cha, J.Y.; Kim, Y.J.; Jung, S.; Choi, Y.-S. Effects of protein functionality on myofibril protein-saccharide graft reaction. Food Sci. Anim. Resour. 2022, 42, 849–860. [Google Scholar] [CrossRef] [PubMed]
- de Oliveira, F.C.; Coimbra, J.S.d.R.; de Oliveira, E.B.; Zuñiga, A.D.G.; Rojas, E.E.G. Food protein-polysaccharide conjugates obtained via the Maillard reaction: A review. Crit. Rev. Food Sci. Nutr. 2016, 56, 1108–1125. [Google Scholar] [CrossRef]
- Guan, J.-J.; Qiu, A.-Y.; Liu, X.-Y.; Hua, Y.-F.; Ma, Y.-H. Microwave improvement of soy protein isolate–saccharide graft reactions. Food Chem. 2006, 97, 577–585. [Google Scholar] [CrossRef]
- Xu, Y.; Dong, M.; Tang, C.; Han, M.; Xu, X.; Zhou, G. Glycation-induced structural modification of myofibrillar protein and its relation to emulsifying properties. LWT-Food Sci. Technol. 2020, 117, 108664. [Google Scholar] [CrossRef]
- Xu, Y.; Han, M.; Huang, M.; Xu, X. Enhanced heat stability and antioxidant activity of myofibrillar protein-dextran conjugate by the covalent adduction of polyphenols. Food Chem. 2021, 352, 129376. [Google Scholar] [CrossRef]
- Kim, T.-K.; Yong, H.; Jang, H.; Jung, S.; Choi, Y. Effect of extraction condition on technological properties of protein from Protaetia brevitarsis larvae. J. Insects Food Feed 2022, 8, 147–155. [Google Scholar] [CrossRef]
- Yong, H.I.; Kim, T.-K.; Kim, Y.-B.; Jung, S.; Choi, Y.-S. Functional and instrumental textural properties of reduced-salt meat emulsions with konjac gel: Combined effects of transglutaminase, isolate soy protein, and alginate. Int. J. Food Prop. 2020, 23, 1296–1309. [Google Scholar] [CrossRef]
- Yong, H.I.; Kim, T.-K.; Jung, S.; Kim, Y.-B.; Choi, Y.-S. Quality of reduced-fat meat emulsion: Effect of pre-emulsified duck skin and hydrocolloids. J. Food Sci. Technol. 2021, 58, 1238–1246. [Google Scholar] [CrossRef]
- Laemmli, U. SDS-page Laemmli method. Nature 1970, 227, 680–685. [Google Scholar] [CrossRef]
- Kocher, P.; Foegeding, E. Microcentrifuge-based method for measuring water-holding of protein gels. J. Food Sci. 1993, 58, 1040–1046. [Google Scholar] [CrossRef]
- AOAC. Official Methods of Analysis, 16th ed.; Association of Official Analytical Chemists: Washington, DC, USA, 2000. [Google Scholar]
- Bloukas, I.; Honikel, K.O. The influence of additives on the oxidation of pork back fat and its effect on water and fat binding in finely comminuted batters. Meat Sci. 1992, 32, 31–43. [Google Scholar] [CrossRef]
- Tarladgis, B.G.; Watts, B.M.; Younathan, M.T.; Dugan, L. A distillation method for the quantitative determination of malonaldehyde in rancid foods. J. Am. Oil Chem. Soc. 1960, 37, 44–48. [Google Scholar] [CrossRef]
- Bourne, M.C. Texture profile analysis. Food Technol. 1978, 32, 62–66. [Google Scholar]
- Zayas, J.F. Functionality of Proteins in Food; Springer Science & Business Media: Berlin, Germany, 2012. [Google Scholar]
- Lee, A.S.; Yong, H.I.; Ku, S.K.; Kim, T.K.; Sung, J.M.; Park, J.D.; Choi, Y.S. Study on the Quality Characteristics of Emulsion Sausage using Egg shell and Carrot as alternatives for Phosphate. Korean J. Food Cook. Sci. 2020, 36, 331–340. [Google Scholar] [CrossRef]
- Roncolini, A.; Milanović, V.; Cardinali, F.; Osimani, A.; Garofalo, C.; Sabbatini, R.; Clementi, F.; Pasquini, M.; Mozzon, M.; Foligni, R. Protein fortification with mealworm (Tenebrio molitor L.) powder: Effect on textural, microbiological, nutritional and sensory features of bread. PLoS ONE 2019, 14, e0211747. [Google Scholar] [CrossRef]
- Choi, Y.J.; Kim, T.K.; Ku, S.K.; Lee, J.H.; Lim, M.C.; Choi, Y.S. Quality characteristics of meat emulsion with egg shell and egg white to replace phosphate. Korean J. Food Cook. Sci. 2022, 38, 201–214. [Google Scholar]
- Feiner, G. Meat Products Handbook: Practical Science and Technology; Elsevier: Amsterdam, The Netherlands, 2006. [Google Scholar]
- Li, R.; Cui, Q.; Wang, G.; Liu, J.; Chen, S.; Wang, X.; Wang, X.; Jiang, L. Relationship between surface functional properties and flexibility of soy protein isolate-glucose conjugates. Food Hydrocoll. 2019, 95, 349–357. [Google Scholar] [CrossRef]
- Kim, T.K.; Yong, H.I.; Sung, J.M.; Jang, H.W.; Choi, Y.S. Effect of conjugated protein composed of porcine myofibril and Protaetia brevitarsis protein on protein functionality. J. Insects Food Feed 2021, 7, 1101–1110. [Google Scholar] [CrossRef]
- Kim, T.K.; Yong, H.I.; Jung, S.; Kim, Y.B.; Choi, Y.S. Effects of replacing pork fat with grape seed oil and gelatine/alginate for meat emulsions. Meat Sci. 2020, 163, 108079. [Google Scholar] [CrossRef]
- Glorieux, S.; Goemaere, O.; Steen, L.; Fraeye, I. Phosphate reduction in emulsified meat products: Impact of phosphate type and dosage on quality characteristics. Food Technol. Biotechnol. 2017, 55, 390–397. [Google Scholar] [CrossRef] [PubMed]
- Fonseca, B.; Kuri, V.; Zumalacarregui, J.M.; Fernandez-Diez, A.; Salva, B.K.; Caro, I.; Osorio, M.T.; Mateo, J. Effect of the use of a commercial phosphate mixture on selected quality characteristics of 2 Spanish-style dry-ripened sausages. J. Food Sci. 2011, 76, S300–S305. [Google Scholar] [CrossRef] [PubMed]
- Liu, L.; Li, X.; Du, L.; Zhang, X.; Yang, W.; Zhang, H. Effect of ultrasound assisted heating on structure and antioxidant activity of whey protein peptide grafted with galactose. LWT-Food Sci. Technol. 2019, 109, 130–136. [Google Scholar] [CrossRef]
- Cichoski, A.J.; Silva, M.S.; Leães, Y.S.V.; Brasil, C.C.B.; de Menezes, C.R.; Barin, J.S.; Wagner, R.; Campagnol, P.C.B. Ultrasound: A promising technology to improve the technological quality of meat emulsions. Meat Sci. 2019, 148, 150–155. [Google Scholar] [CrossRef] [PubMed]
- Kim, T.K.; Yong, H.I.; Kang, M.C.; Jung, S.; Jang, H.W.; Choi, Y.S. Effects of high hydrostatic pressure on technical functional properties of edible insect protein. Food Sci. Anim. Resour. 2021, 41, 185–195. [Google Scholar] [CrossRef]


| Traits (g/100 g) | NC | PC | T1 | T2 | T3 | T4 |
|---|---|---|---|---|---|---|
| Meat | 50 | 50 | 50 | 50 | 50 | 50 |
| Ice | 25 | 25 | 25 | 25 | 25 | 25 |
| Fat | 25 | 25 | 25 | 25 | 25 | 25 |
| NaCl | 1.5 | 1.5 | 1.5 | 1.5 | 1.5 | 1.5 |
| Phosphate | - | 0.15 | - | - | - | - |
| GI | - | - | 0.10 | 0.10 | 0.15 | 0.15 |
| ES | - | - | - | 0.10 | - | 0.10 |
| Traits | NC (1) | PC | T1 | T2 | T3 | T4 | |
|---|---|---|---|---|---|---|---|
| Raw | pH | 5.92 ± 0.01 f | 6.12 ± 0.02 c | 6.01 ± 0.01 d | 6.33 ± 0.03 a | 5.97 ± 0.05 e | 6.27 ± 0.02 b |
| CIE L* | 75.89 ± 0.37 b | 79.84 ± 0.45 a | 74.85 ± 0.92 b,c | 73.32 ± 1.51 d | 74.11 ± 1.31 c,d | 75.27 ± 2.66 b,c | |
| CIE a* | 9.47 ± 0.97 a | 8.38 ± 0.33 b,c | 7.72 ± 0.56 c | 8.58 ± 0.40 b | 7.88 ± 0.82 b,c | 6.73 ± 0.64 d | |
| CIE b* | 12.38 ± 0.83 c | 12.03 ± 0.33 c | 13.25 ± 0.33 b | 13.97 ± 0.41 b | 14.86 ± 1.14 a | 13.27 ± 0.74 b | |
| Cooked | pH | 6.13 ± 0.01 c | 6.20 ± 0.02 b | 6.08 ± 0.01 d | 6.35 ± 0.04 a | 6.09 ± 0.01 d | 6.33 ± 0.03 a |
| CIE L* | 80.45 ± 0.37 a | 81.30 ± 0.79 a | 77.77 ± 0.67 b | 78.35 ± 1.03 b | 75.79 ± 1.24 c | 76.55 ± 0.98 c | |
| CIE a* | 3.19 ± 0.13 a | 2.78 ± 0.16 b | 2.54 ± 0.12 d | 2.72 ± 0.12 b,c | 2.59 ± 0.12 c,d | 2.67 ± 0.12 c,d,e | |
| CIE b* | 10.21 ± 0.20 d | 9.35 ± 0.21 e | 11.45 ± 0.16 a,b | 10.88 ± 0.39 c | 11.25 ± 0.17 b | 11.56 ± 0.30 a | |
| Traits | NC (1) | PC | T1 | T2 | T3 | T4 |
|---|---|---|---|---|---|---|
| Total soluble protein (mg/g) | 81.88 ± 0.28 d | 87.40 ± 1.51 c | 90.44 ± 1.21 b | 90.2 ± 1.35 b | 92.84 ± 2.33 a,b | 93.74 ± 2.02 a |
| Water soluble protein (mg/g) | 45.77 ± 1.80 | 46.94 ± 0.71 | 47.82 ± 1.70 | 48.44 ± 1.86 | 49.00 ± 1.52 | 49.82 ± 1.51 |
| Salt soluble protein (mg/g) | 36.12 ± 1.61 d | 40.47 ± 0.83 c | 42.62 ± 0.65 b | 41.76 ± 0.77 b,c | 43.84 ± 1.30 a | 43.92 ± 0.76 a |
| Traits | NC (1) | PC | T1 | T2 | T3 | T4 | |
|---|---|---|---|---|---|---|---|
| Cooking loss (%) | 22.82 ± 1.28 a | 13.03 ± 1.09 c | 20.88 ± 0.42 a,b | 10.53 ± 0.84 d | 20.10 ± 0.79 b | 10.12 ± 1.35 d | |
| WHC (%) | 72.28 ± 0.88 c | 75.18 ± 1.34 a | 76.47 ± 1.51 a | 74.56 ± 0.27 a,b | 72.65 ± 0.42 b,c | 71.27 ± 1.57 c | |
| Emulsion stability | Total expressible fluid separation | 23.70 ± 0.80 a | 8.00 ± 2.46 c | 19.45 ± 1.65 b | 7.02 ± 0.38 c | 20.08 ± 2.24 b | 6.87 ± 1.67 c |
| Fat separation | 0.98 ± 0.03 a | 0.98 ± 0.50 a | 0.49 ± 0.01 b | 0.50 ± 0.01 b | 0.90 ± 0.28 a | 0.90 ± 0.01 a | |
| TBARS (mg/kg) | 1.49 ± 0.02 a | 0.13 ± 0.01 f | 0.72 ± 0.01 b | 0.41 ± 0.01 d | 0.68 ± 0.01 c | 0.30 ± 0.01 e | |
| Traits | NC (1) | PC | T1 | T2 | T3 | T4 |
|---|---|---|---|---|---|---|
| Hardness (kg) | 3.39 ± 0.38 b | 3.93 ± 0.53 a | 1.69 ± 0.22 c | 1.19 ± 0.30 d | 1.41 ± 0.07 c,d | 0.87 ± 0.13 e |
| Springiness | 0.80 ± 0.04 a | 0.86 ± 0.04 a | 0.65 ± 0.06 b | 0.65 ± 0.05 b | 0.62 ± 0.08 b | 0.54 ± 0.09 c |
| Cohesiveness | 0.67 ± 0.02 b | 0.71 ± 0.01 a | 0.45 ± 0.05 c | 0.38 ± 0.04 d | 0.34 ± 0.03 e | 0.34 ± 0.03 e |
| Gumminess (kg) | 2.27 ± 0.24 b | 2.79 ± 0.36 a | 0.77 ± 0.15 c | 0.46 ± 0.16 d | 0.48 ± 0.05 d | 0.30 ± 0.04 d |
| Chewiness (kg) | 1.84 ± 0.27 b | 2.39 ± 0.36 a | 0.50 ± 0.11 c | 0.30 ± 0.10 d | 0.30 ± 0.06 d | 0.16 ± 0.04 d |
Publisher’s Note: MDPI stays neutral with regard to jurisdictional claims in published maps and institutional affiliations. |
© 2022 by the authors. Licensee MDPI, Basel, Switzerland. This article is an open access article distributed under the terms and conditions of the Creative Commons Attribution (CC BY) license (https://creativecommons.org/licenses/by/4.0/).
Share and Cite
Kim, T.-K.; Kim, Y.-J.; Kim, J.; Yun, H.-J.; Kang, M.-C.; Choi, Y.-S. Effect of Grafted Insect Protein with Palatinose on Quality Properties of Phosphate-Free Meat Emulsion. Foods 2022, 11, 3354. https://doi.org/10.3390/foods11213354
Kim T-K, Kim Y-J, Kim J, Yun H-J, Kang M-C, Choi Y-S. Effect of Grafted Insect Protein with Palatinose on Quality Properties of Phosphate-Free Meat Emulsion. Foods. 2022; 11(21):3354. https://doi.org/10.3390/foods11213354
Chicago/Turabian StyleKim, Tae-Kyung, Yea-Ji Kim, Jake Kim, Hyun-Jung Yun, Min-Cheol Kang, and Yun-Sang Choi. 2022. "Effect of Grafted Insect Protein with Palatinose on Quality Properties of Phosphate-Free Meat Emulsion" Foods 11, no. 21: 3354. https://doi.org/10.3390/foods11213354
APA StyleKim, T.-K., Kim, Y.-J., Kim, J., Yun, H.-J., Kang, M.-C., & Choi, Y.-S. (2022). Effect of Grafted Insect Protein with Palatinose on Quality Properties of Phosphate-Free Meat Emulsion. Foods, 11(21), 3354. https://doi.org/10.3390/foods11213354

