Identification of a Novel Chitinase from Bacillus paralicheniformis: Gene Mining, Sequence Analysis, and Enzymatic Characterization
Abstract
1. Introduction
2. Materials and Methods
2.1. Chemicals
2.2. Culture Medium
2.3. Colloidal Chitin Preparation
2.4. Screening and Identification of Wild Bacteria
2.5. Construction of Recombinant Strains
2.6. Shake Flask Fermentation
2.7. Determination of Chitinase Activity
2.8. SDS-PAGE Analysis
2.9. Analysis of GlcNAc and (GlcNAc)2 by HPLC
2.10. Molecular Docking Simulation
2.11. Statistical Analysis
3. Results and Discussion
3.1. Screening and Identification of Chitin-Degrading Bacteria
3.2. Identification of Chitinase Genes
3.3. Bioinformatics Analysis of CH1
3.4. Analysis of the Mechanism of Action of Chitinase
3.5. The Enzymatic Properties of Chitinase CH1
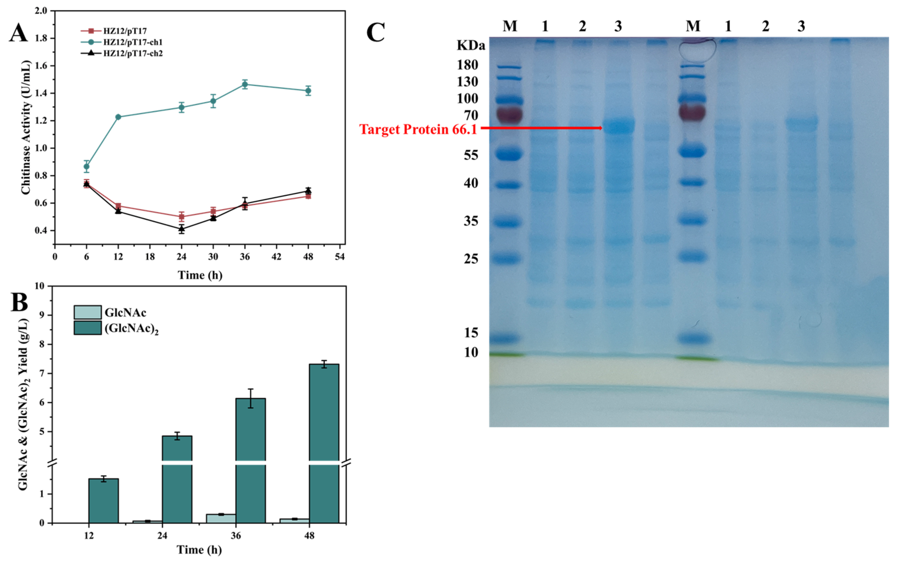
3.6. Effects of Different Host Bacteria and Signal Peptides on Chitinase Activity
4. Conclusions
Author Contributions
Funding
Institutional Review Board Statement
Informed Consent Statement
Data Availability Statement
Conflicts of Interest
References
- Jiang, W.; Li, P.; Chen, X.; Zhang, Y.; Wang, J.; Wang, Y.; Sheng, Q.; Sun, Z.; Qin, Q.; Ren, X.; et al. A Pathway for Chitin Oxidation in Marine Bacteria. Nat. Commun. 2022, 13, 5899. [Google Scholar] [CrossRef]
- Jin, L.; Ji, C.; Chen, S.; Song, Z.; Zhou, J.; Qian, K.; Guo, W. Multifunctional Textiles with Flame Retardant and Antibacterial Properties: A Review. Molecules 2023, 28, 6628. [Google Scholar] [CrossRef]
- Subramanian, K.; Balaraman, D.; Panangal, M.; Nageswara Rao, T.; Perumal, E.; Amutha, R.; Kumarappan, A.; Sampath Renuga, P.; Arumugam, S.; Thirunavukkarasu, R.; et al. Bioconversion of Chitin Waste through Stenotrophomonas maltophilia for Production of Chitin Derivatives as a Seabass Enrichment Diet. Sci. Rep. 2022, 12, 4792. [Google Scholar] [CrossRef]
- Jones, M.; Kujundzic, M.; John, S.; Bismarck, A. Crab vs. Mushroom: A Review of Crustacean and Fungal Chitin in Wound Treatment. Mar. Drugs 2020, 18, 64. [Google Scholar] [CrossRef]
- Suresh, P.V.; Anil Kumar, P.K. Enhanced Degradation of α-Chitin Materials Prepared from Shrimp Processing Byproduct and Production of N-Acetyl-D-Glucosamine by Thermoactive Chitinases from Soil Mesophilic Fungi. Biodegradation 2012, 23, 597–607. [Google Scholar] [CrossRef]
- Khan, F.I.; Rahman, S.; Queen, A.; Ahamad, S.; Ali, S.; Kim, J.; Hassan, M.I. Implications of Molecular Diversity of Chitin and Its Derivatives. Appl. Microbiol. Biotechnol. 2017, 101, 3513–3536. [Google Scholar] [CrossRef]
- Hosseinnejad, M.; Jafari, S.M. Evaluation of Different Factors Affecting Antimicrobial Properties of Chitosan. Int. J. Biol. Macromol. 2016, 85, 467–475. [Google Scholar] [CrossRef]
- Minh, N.C.; Van Hoa, N.; Trung, T.S. Preparation, Properties, and Application of Low-Molecular-Weight Chitosan. In Handbook of Chitin and Chitosan; Elsevier: Amsterdam, The Netherlands, 2020; pp. 453–471. ISBN 978-0-12-817970-3. [Google Scholar]
- Garner, S.T.; Israel, B.J.; Achmed, H.; Capomacchia, A.C.; Abney, T.; Azadi, P. Transdermal Permeability of N-Acetyl-D-Glucosamine. Pharm. Dev. Technol. 2007, 12, 169–174. [Google Scholar] [CrossRef]
- Bissett, D.L.; Farmer, T.; McPhail, S.; Reichling, T.; Tiesman, J.P.; Juhlin, K.D.; Hurley, G.J.; Robinson, M.K. Genomic Expression Changes Induced by Topical N-Acetyl Glucosamine in Skin Equivalent Cultures in Vitro. J. Cosmet. Dermatol. 2007, 6, 232–238. [Google Scholar] [CrossRef]
- Bissett, D.L. Glucosamine: An Ingredient with Skin and Other Benefits. J. Cosmet. Dermatol. 2006, 5, 309–315. [Google Scholar] [CrossRef]
- Toratani, T.; Shoji, T.; Ikehara, T.; Suzuki, K.; Watanabe, T. The Importance of Chitobiase and N-Acetylglucosamine (GlcNAc) Uptake in N,N′-Diacetylchitobiose [(GlcNAc)2] Utilization by Serratia Marcescens 2170. Microbiology 2008, 154, 1326–1332. [Google Scholar] [CrossRef] [PubMed]
- Katiyar, D.; Singh, B.; Lall, A.M.; Haldar, C. Efficacy of Chitooligosaccharides for the Management of Diabetes in Alloxan Induced Mice: A Correlative Study with Antihyperlipidemic and Antioxidative Activity. Eur. J. Pharm. Sci. 2011, 44, 534–543. [Google Scholar] [CrossRef] [PubMed]
- Kubomura, D.; Ueno, T.; Yamada, M.; Nagaoka, I. Evaluation of the Chondroprotective Action of N-Acetylglucosamine in a Rat Experimental Osteoarthritis Model. Exp. Ther. Med. 2017, 14, 3137–3144. [Google Scholar] [CrossRef] [PubMed]
- Kennedy, J. Herb and Supplement Use in the US Adult Population. Clin. Ther. 2005, 27, 1847–1858. [Google Scholar] [CrossRef] [PubMed]
- Igarashi, M.; Sakamoto, K.; Nagaoka, I. Effect of Glucosamine, a Therapeutic Agent for Osteoarthritis, on Osteoblastic Cell Differentiation. Int. J. Mol. Med. 2011, 28, 373–379. [Google Scholar] [CrossRef] [PubMed]
- Jevotovsky, D.S.; Alfonso, A.R.; Einhorn, T.A.; Chiu, E.S. Osteoarthritis and Stem Cell Therapy in Humans: A Systematic Review. Osteoarthr. Cartil. 2018, 26, 711–729. [Google Scholar] [CrossRef]
- Sashiwa, H.; Fujishima, S.; Yamano, N.; Kawasaki, N.; Nakayama, A.; Muraki, E.; Sukwattanasinitt, M.; Pichyangkura, R.; Aiba, S. Enzymatic Production of N-Acetyl-D-Glucosamine from Chitin. Degradation Study of N-Acetylchitooligosaccharide and the Effect of Mixing of Crude Enzymes. Carbohydr. Polym. 2003, 51, 391–395. [Google Scholar] [CrossRef]
- Bohlmann, J.A.; Schisler, D.O.; Hwang, K.O.; Henning, J.P.; Trinkle, J.R.; Anderson, T.B.; Steinke, J.D.; Vanderhoff, A. N-Acetyl-D-Glucosamine and Process for Producing N-Acetyl-D-Glucosamine. US6693188B2, 17 February 2004. [Google Scholar]
- Deng, M.-D.; Severson, D.K.; Grund, A.D.; Wassink, S.L.; Burlingame, R.P.; Berry, A.; Running, J.A.; Kunesh, C.A.; Song, L.; Jerrell, T.A.; et al. Metabolic Engineering of Escherichia coli for Industrial Production of Glucosamine and N-Acetylglucosamine. Metab. Eng. 2005, 7, 201–214. [Google Scholar] [CrossRef]
- Liu, Y.; Liu, L.; Shin, H.; Chen, R.R.; Li, J.; Du, G.; Chen, J. Pathway Engineering of Bacillus subtilis for Microbial Production of N-Acetylglucosamine. Metab. Eng. 2013, 19, 107–115. [Google Scholar] [CrossRef]
- Deng, C.; Lv, X.; Liu, Y.; Li, J.; Lu, W.; Du, G.; Liu, L. Metabolic Engineering of Corynebacterium glutamicum S9114 Based on Whole-Genome Sequencing for Efficient N-Acetylglucosamine Synthesis. Synth. Syst. Biotechnol. 2019, 4, 120–129. [Google Scholar] [CrossRef]
- Han, S.; Xue, Y.; Yan, Q.; Jiang, Z.; Yang, S. Development of a Two-Enzyme System in Aspergillus niger for Efficient Production of N-Acetyl-β-D-Glucosamine from Powdery Chitin. Bioresour. Technol. 2024, 393, 130024. [Google Scholar] [CrossRef]
- Kuk, J.H.; Jung, W.J.; Hyun Jo, G.; Ahn, J.S.; Kim, K.Y.; Park, R.D. Selective Preparation of N-Acetyl-D-Glucosamine and N,N′-Diacetylchitobiose from Chitin Using a Crude Enzyme Preparation from Aeromonas sp. Biotechnol. Lett. 2005, 27, 7–11. [Google Scholar] [CrossRef] [PubMed]
- Chen, J.-K.; Shen, C.-R.; Yeh, C.-H.; Fang, B.-S.; Huang, T.-L.; Liu, C.-L. N-Acetyl Glucosamine Obtained from Chitin by Chitin Degrading Factors in Chitinbacter tainanesis. Int. J. Mol. Sci. 2011, 12, 1187–1195. [Google Scholar] [CrossRef] [PubMed]
- Yu, X.; Jiang, Z.; Xu, X.; Huang, C.; Yao, Z.; Yang, X.; Zhang, Y.; Wang, D.; Wei, C.; Zhuang, X. Mechano-Enzymatic Degradation of the Chitin from Crustacea Shells for Efficient Production of N-Acetylglucosamine (GlcNAc). Molecules 2022, 27, 4720. [Google Scholar] [CrossRef] [PubMed]
- Horn, S.J.; Sørbotten, A.; Synstad, B.; Sikorski, P.; Sorlie, M.; Varum, K.M.; Eijsink, V.G.H. Endo/Exo Mechanism and Processivity of Family 18 Chitinases Produced by Serratia marcescens. FEBS J. 2006, 273, 491–503. [Google Scholar] [CrossRef] [PubMed]
- Deng, J.-J.; Shi, D.; Mao, H.; Li, Z.; Liang, S.; Ke, Y.; Luo, X. Heterologous Expression and Characterization of an Antifungal Chitinase (Chit46) from Trichoderma harzianum GIM 3.442 and Its Application in Colloidal Chitin Conversion. Int. J. Biol. Macromol. 2019, 134, 113–121. [Google Scholar] [CrossRef] [PubMed]
- Subramani, A.K.; Raval, R.; Sundareshan, S.; Sivasengh, R.; Raval, K. A Marine Chitinase from Bacillus aryabhattai with Antifungal Activity and Broad Specificity toward Crystalline Chitin Degradation. Prep. Biochem. Biotechnol. 2022, 52, 1160–1172. [Google Scholar] [CrossRef] [PubMed]
- Cardozo, F.A.; Gonzalez, J.M.; Feitosa, V.A.; Pessoa, A.; Rivera, I.N.G. Bioconversion of α-Chitin into N-Acetyl-Glucosamine Using Chitinases Produced by Marine-Derived Aeromonas caviae Isolates. World J. Microbiol. Biotechnol. 2017, 33, 201. [Google Scholar] [CrossRef] [PubMed]
- Wang, D.; Li, A.; Han, H.; Liu, T.; Yang, Q. A Potent Chitinase from Bacillus subtilis for the Efficient Bioconversion of Chitin-Containing Wastes. Int. J. Biol. Macromol. 2018, 116, 863–868. [Google Scholar] [CrossRef] [PubMed]
- Bai, L.; Kim, J.; Son, K.-H.; Chung, C.-W.; Shin, D.-H.; Ku, B.-H.; Kim, D.Y.; Park, H.-Y. Novel Bi-Modular GH19 Chitinase with Broad pH Stability from a Fibrolytic Intestinal Symbiont of Eisenia fetida, Cellulosimicrobium funkei HY-13. Biomolecules 2021, 11, 1735. [Google Scholar] [CrossRef]
- Kumari, S.; Rath, P.; Sri Hari Kumar, A.; Tiwari, T.N. Extraction and Characterization of Chitin and Chitosan from Fishery Waste by Chemical Method. Environ. Technol. Innov. 2015, 3, 77–85. [Google Scholar] [CrossRef]
- Aounallah, M.A.; Slimene-Debez, I.B.; Djebali, K.; Gharbi, D.; Hammami, M.; Azaiez, S.; Limam, F.; Tabbene, O. Enhancement of Exochitinase Production by Bacillus licheniformis AT6 Strain and Improvement of N-Acetylglucosamine Production. Appl. Biochem. Biotechnol. 2017, 181, 650–666. [Google Scholar] [CrossRef]
- Boratyński, J.; Szermer-Olearnik, B. Endotoxin Removal from Escherichia Coli Bacterial Lysate Using a Biphasic Liquid System. In Microbial Toxins: Methods and Protocols; Holst, O., Ed.; Methods in Molecular Biology; Springer: New York, NY, USA, 2017; pp. 107–112. ISBN 978-1-4939-6958-6. [Google Scholar]
- Berlec, A.; Štrukelj, B. Current State and Recent Advances in Biopharmaceutical Production in Escherichia coli, Yeasts and Mammalian Cells. J. Ind. Microbiol. Biotechnol. 2013, 40, 257–274. [Google Scholar] [CrossRef] [PubMed]
- Harwood, C.R.; Cranenburgh, R. Bacillus Protein Secretion: An Unfolding Story. Trends Microbiol. 2008, 16, 73–79. [Google Scholar] [CrossRef]
- Chen, W.; Li, L.; Ye, C.; Zhao, Z.; Huang, K.; Zou, D.; Wei, X. Efficient Production of Extracellular Alkaline Protease in Bacillus amyloliquefaciens by Host Strain Construction. LWT 2022, 163, 113620. [Google Scholar] [CrossRef]
- Zou, D.; Min, Y.; Liu, Y.; Wei, X.; Wang, J. Identification of a Spermidine Synthase Gene from Soybean by Recombinant Expression, Transcriptional Verification, and Sequence Analysis. J. Agric. Food. Chem. 2020, 68, 2366–2372. [Google Scholar] [CrossRef] [PubMed]
- Benabdelkamel, H.; Masood, A.; Alanazi, I.O.; Alfadda, A.A. Comparison of Protein Precipitation Methods from Adipose Tissue Using Difference Gel Electrophoresis. Electrophoresis 2018, 39, 1745–1753. [Google Scholar] [CrossRef] [PubMed]
- Lv, X.; Zhang, C.; Cui, S.; Xu, X.; Wang, L.; Li, J.; Du, G.; Chen, J.; Ledesma-Amaro, R.; Liu, L. Assembly of Pathway Enzymes by Engineering Functional Membrane Microdomain Components for Improved N-Acetylglucosamine Synthesis in Bacillus subtilis. Metab. Eng. 2020, 61, 96–105. [Google Scholar] [CrossRef]
- Bryant, P.; Pozzati, G.; Elofsson, A. Improved Prediction of Protein-Protein Interactions Using AlphaFold2. Nat. Commun. 2022, 13, 1265. [Google Scholar] [CrossRef] [PubMed]
- Duan, C.; Jiang, Q.; Jiang, X.; Zeng, H.; Wu, Q.; Yu, Y.; Yang, X. Discovery of a Novel Inhibitor Structure of Mycobacterium tuberculosis Isocitrate Lyase. Molecules 2022, 27, 2447. [Google Scholar] [CrossRef]
- Nguyen, H.A.; Nguyen, T.-H.; Nguyen, T.-T.; Peterbauer, C.K.; Mathiesen, G.; Haltrich, D. Chitinase from Bacillus licheniformis DSM13: Expression in Lactobacillus Plantarum WCFS1 and Biochemical Characterisation. Protein Expr. Purif. 2012, 81, 166–174. [Google Scholar] [CrossRef] [PubMed]
- Tran, D.M.; Huynh, T.U.; Nguyen, T.H.; Do, T.O.; Pentekhina, I.; Nguyen, Q.-V.; Nguyen, A.D. Expression, Purification, and Basic Properties of a Novel Domain Structure Possessing Chitinase from Escherichia coli Carrying the Family 18 Chitinase Gene of Bacillus Velezensis Strain RB.IBE29. Mol. Biol. Rep. 2022, 49, 4141–4148. [Google Scholar] [CrossRef] [PubMed]
- Iqbal, S.; Qasim, M.; Rahman, H.; Khan, N.; Paracha, R.Z.; Bhatti, M.F.; Javed, A.; Janjua, H.A. Genome Mining, Antimicrobial and Plant Growth-Promoting Potentials of Halotolerant Bacillus paralicheniformis ES-1 Isolated from Salt Mine. Mol. Genet. Genom. 2023, 298, 79–93. [Google Scholar] [CrossRef] [PubMed]
- Chandrasekar, S.; Vijayakumar, S.; Rajendran, R. Application of Chitosan and Herbal Nanocomposites to Develop Antibacterial Medical Textile. Biomed. Aging Pathol. 2014, 4, 59–64. [Google Scholar] [CrossRef]
- Jia, L.; Qi, W.; Wang, K.; Yuan, Z.; Kang, H.; Hou, J.; Li, Q.; Lu, F.; Liu, Y. Efficient Bioconversion of Chitinous Waste to N -Acetylchitobiose and N -Acetylglucosamine Using a Novel Salt-Tolerant Chitinase from Bacillus clausii. ACS Sustain. Chem. Eng. 2023, 11, 11470–11481. [Google Scholar] [CrossRef]
- Menghiu, G.; Ostafe, V.; Prodanovic, R.; Fischer, R.; Ostafe, R. Biochemical Characterization of Chitinase A from Bacillus licheniformis DSM8785 Expressed in Pichia Pastoris KM71H. Protein Expr. Purif. 2019, 154, 25–32. [Google Scholar] [CrossRef] [PubMed]
- Asmani, K.-L.; Bouacem, K.; Ouelhadj, A.; Yahiaoui, M.; Bechami, S.; Mechri, S.; Jabeur, F.; Taleb-Ait Menguellet, K.; Jaouadi, B. Biochemical and Molecular Characterization of an Acido-Thermostable Endo-Chitinase from Bacillus altitudinis KA15 for Industrial Degradation of Chitinous Waste. Carbohydr. Res. 2020, 495, 108089. [Google Scholar] [CrossRef] [PubMed]
- Umemoto, N.; Kanda, Y.; Ohnuma, T.; Osawa, T.; Numata, T.; Sakuda, S.; Taira, T.; Fukamizo, T. Crystal Structures and Inhibitor Binding Properties of Plant Class V Chitinases: The Cycad Enzyme Exhibits Unique Structural and Functional Features. Plant J. 2015, 82, 54–66. [Google Scholar] [CrossRef] [PubMed]
- Van Aalten, D.M.F.; Komander, D.; Synstad, B.; Gåseidnes, S.; Peter, M.G.; Eijsink, V.G.H. Structural Insights into the Catalytic Mechanism of a Family 18 Exo-Chitinase. Proc. Natl. Acad. Sci. USA 2001, 98, 8979–8984. [Google Scholar] [CrossRef]
- Yuan, Y.; Kong, D.; Wu, J.; Su, L. Expression Element Optimization and Molecular Modification to Enhance the Secretory Expression of Chitinase from Bacillus licheniformis in Bacillus subtilis. Process Biochem. 2023, 131, 32–40. [Google Scholar] [CrossRef]
- Han, Z.; Ye, C.; Dong, X.; Chen, C.; Zou, D.; Huang, K.; Wei, X. Genetic Identification and Expression Optimization of a Novel Protease HapR from Bacillus velezensis. Front. Bioeng. Biotechnol. 2024, 12, 1383083. [Google Scholar] [CrossRef] [PubMed]
- Tian, J.; Xu, Z.; Long, X.; Tian, Y.; Shi, B. High-Expression Keratinase by Bacillus subtilis SCK6 for Enzymatic Dehairing of Goatskins. Int. J. Biol. Macromol. 2019, 135, 119–126. [Google Scholar] [CrossRef] [PubMed]
- Wei, X.; Zhou, Y.; Chen, J.; Cai, D.; Wang, D.; Qi, G.; Chen, S. Efficient Expression of Nattokinase in Bacillus licheniformis: Host Strain Construction and Signal Peptide Optimization. J. Ind. Microbiol. Biotechnol. 2015, 42, 287–295. [Google Scholar] [CrossRef] [PubMed]
- Liu, Y.; Liu, L.; Li, J.; Du, G.; Chen, J. Synthetic Biology Toolbox and Chassis Development in Bacillus subtilis. Trends Biotechnol. 2019, 37, 548–562. [Google Scholar] [CrossRef] [PubMed]








| Strains or Plasmids | Characteristics | Source |
|---|---|---|
| Strains | ||
| E. coli DH5α | F− Φ80d/lacZΔM15, Δ(lacZYAargF) U169, recA1, endA1, hsdR17 (rK −, mK +), phoA, supE44, λ−, thi-1, gyrA96, relA1 | stored in lab |
| B. paralicheniformis HL37 | wild type | this study |
| B. amyloliquefaciens HZ12 | wild type | stored in lab |
| B. subtilis SCK6 | ErmR,1A751 derivate, lacA::PxylA-comK | stored in lab |
| B. licheniformis BL10 | WX-02 (Δhag; Δmpr; Δvpr; ΔaprX; Δepr; Δbpr; ΔwprA; ΔaprE; ΔamyL; ΔbprA) | stored in lab |
| HZ12/pT17 | HZ12 harboring the plasmid pT17 | stored in lab |
| HZ12/pT17-ch1 | HZ12 harboring the plasmid pT17-ch1 | this study |
| HZ12/pT17-ch2 | HZ12 harboring the plasmid pT17-ch2 | this study |
| HL37/pT17-ch1 | HL37 harboring the plasmid pT17-ch1 | this study |
| BL10/pT17-ch1 | BL10 harboring the plasmid pT17-ch1 | this study |
| SCK6/pT17-ch1 | SCK6 harboring the plasmid pT17-ch1 | this study |
| HZ12/pT17-sp1ch1 | HZ12 harboring the plasmid pT17-sp1ch1 | this study |
| HZ12/pT17-sp2ch1 | HZ12 harboring the plasmid pT17-sp2ch1 | this study |
| HZ12/pT17-sp3ch1 | HZ12 harboring the plasmid pT17-sp3ch1 | this study |
| HZ12/pT17-sp4ch1 | HZ12 harboring the plasmid pT17-sp4ch1 | this study |
| HZ12/pT17-sp5ch1 | HZ12 harboring the plasmid pT17-sp5ch1 | this study |
| Plasmids | ||
| pT17 | pHY300PLK + p43 + TamyL | stored in lab |
| pT17-ch1 | pHY300PLK + p43 + TamyL + ch1 from B. paralicheniformis HL37 | this study |
| pT17-ch2 | pHY300PLK + p43 + TamyL + ch2 from B. paralicheniformis HL37 | this study |
| pT17-sp1ch1 | pT17-ch1 + sp1 from B. paralicheniformis chitinase gene | this study |
| pT17-sp2ch1 | pT17-ch1 + sp2 from B. altitudinis chitinase gene | this study |
| pT17-sp3ch1 | pT17-ch1 + sp3 from B. licheniformis chitinase gene | this study |
| pT17-sp4ch1 | pT17-ch1 + sp4 from Apre gene | this study |
| pT17-sp5ch1 | pT17-ch1 + sp5 from Npre gene | this study |
| Primer Name | Sequence of Primer (5′ to 3′) |
|---|---|
| pT17-F | GCGGAGCCTATGGAAAAAC |
| pT17-R | TGGGAGAGAGTTCAAAATTGATCC |
| ch1-F | GCTCTAGAATGTTGCTGAGCTTGTCATTT |
| ch1-R | CGGGATCCTTATTCGCAGCCTCCGA |
| ch2-F | GCTCTAGAATGAAGATAGCCGCTTCATC |
| ch2-R | CGGGATCCTTACTTCACATTAAGCCTGTACTTT |
| sp1ch1-AF | GCTCTAGAATGAACATCGTGTTGGTCAAC |
| sp1ch1-AR | ATTTTATAGTTTTTTCCGGAATCGGCCTTTGCAACTTCCC |
| sp1ch1-BF | GGGAAGTTGCAAAGGCCGATTCCGGAAAAAACTATAAAAT |
| sp1ch1-BR | CGGGATCCTTATTCGCAGCCTCCGA |
| sp2ch1-AF | GCTCTAGAATGAAAATCGTGTTGATCAACA |
| sp2ch1-AR | ATTTTATAGTTTTTTCCGGAATCGGCTTTTGCAACTTCCCC |
| sp2ch1-BF | GGGGAAGTTGCAAAAGCCGATTCCGGAAAAAACTATAAAAT |
| sp2ch1-BR | CGGGATCCTTATTCGCAGCCTCCGA |
| sp3ch1-AF | GCTCTAGATTTGTCATGTTGCTGAGCTT |
| sp3ch1-AR | ATTTTATAGTTTTTTCCGGAATCGGCTTTTGCAACTTCCC |
| sp3ch1-BF | GGGAAGTTGCAAAAGCCGATTCCGGAAAAAACTATAAAAT |
| sp3ch1-BR | CGGGATCCTTATTCGCAGCCTCCGA |
| sp4ch1-AF | GCTCTAGAATGAGAAGCAAAAAATTGTGG |
| sp4ch1-AR | ATTTTATAGTTTTTTCCGGAATCAGCCTGCGCAGACATGT |
| sp4ch1-BF | ACATGTCTGCGCAGGCTGATTCCGGAAAAAACTATAAAAT |
| sp4ch1-BR | CGGGATCCTTATTCGCAGCCTCCGA |
| sp5ch1-AF | GCTCTAGAGTGGGTTTAGGTAAGAAATTGTC |
| sp5ch1-AR | AAATGACAAGCTCAGCAACATAGCCTGAACACCTGGCAG |
| sp5ch1-BF | CTGCCAGGTGTTCAGGCTATGTTGCTGAGCTTGTCATTT |
| sp5ch1-BR | CGGGATCCTTATTCGCAGCCTCCGA |
Disclaimer/Publisher’s Note: The statements, opinions and data contained in all publications are solely those of the individual author(s) and contributor(s) and not of MDPI and/or the editor(s). MDPI and/or the editor(s) disclaim responsibility for any injury to people or property resulting from any ideas, methods, instructions or products referred to in the content. |
© 2024 by the authors. Licensee MDPI, Basel, Switzerland. This article is an open access article distributed under the terms and conditions of the Creative Commons Attribution (CC BY) license (https://creativecommons.org/licenses/by/4.0/).
Share and Cite
Ma, X.; Zou, D.; Ji, A.; Jiang, C.; Zhao, Z.; Ding, X.; Han, Z.; Bao, P.; Chen, K.; Ma, A.; et al. Identification of a Novel Chitinase from Bacillus paralicheniformis: Gene Mining, Sequence Analysis, and Enzymatic Characterization. Foods 2024, 13, 1777. https://doi.org/10.3390/foods13111777
Ma X, Zou D, Ji A, Jiang C, Zhao Z, Ding X, Han Z, Bao P, Chen K, Ma A, et al. Identification of a Novel Chitinase from Bacillus paralicheniformis: Gene Mining, Sequence Analysis, and Enzymatic Characterization. Foods. 2024; 13(11):1777. https://doi.org/10.3390/foods13111777
Chicago/Turabian StyleMa, Xianwen, Dian Zou, Anying Ji, Cong Jiang, Ziyue Zhao, Xiaoqi Ding, Zongchen Han, Pengfei Bao, Kang Chen, Aimin Ma, and et al. 2024. "Identification of a Novel Chitinase from Bacillus paralicheniformis: Gene Mining, Sequence Analysis, and Enzymatic Characterization" Foods 13, no. 11: 1777. https://doi.org/10.3390/foods13111777
APA StyleMa, X., Zou, D., Ji, A., Jiang, C., Zhao, Z., Ding, X., Han, Z., Bao, P., Chen, K., Ma, A., & Wei, X. (2024). Identification of a Novel Chitinase from Bacillus paralicheniformis: Gene Mining, Sequence Analysis, and Enzymatic Characterization. Foods, 13(11), 1777. https://doi.org/10.3390/foods13111777

