Abstract
An adult female osprey (Pandion haliaetus) was found weak and unable to fly in Auburn, Alabama in August 2019. The bird was captured and submitted to the Southeastern Raptor Center of the Auburn University College of Veterinary Medicine for evaluation. On presentation, the bird was thin with a body condition score of approximately 1.5 out of 5. The bird died during the examination and was submitted for necropsy. At the necropsy, there was a severe loss of muscle mass over the body, and the keel was prominent. The liver and spleen were moderately enlarged with pale tan to red foci randomly scattered throughout the parenchyma. A histopathologic observation revealed multifocal to coalescing areas of necrosis and hemorrhage with intralesional protozoans in the liver, spleen, lungs, kidney, sciatic nerve, esophagus, cerebrum, heart, and proventriculus. Immunohistochemistry using anti-Toxoplasma gondii-specific antibodies showed a strong positive labeling of the parasite. Semi-nested PCR, specific for the B1 gene of T. gondii, successfully identified T. gondii. This is the first confirmed case of T. gondii infection in an osprey.
1. Introduction
Toxoplasma gondii (genus Apicomplexa: family Sarcocystidae) is a protozoan parasite infective to a wide range of wild and domestic, warm-blooded animals including birds and human beings [1]. The only known definitive hosts of the parasite are wild and domestic felids [2]. In felids, following the ingestion of oocysts or infected tissue from an intermediate host, the parasite undergoes sexual reproduction in the intestinal epithelium, producing millions of oocysts that are shed in the feces [3]. All other affected animals, including numerous mammals and birds, are considered intermediate hosts, and become infected via the consumption of oocysts in food and/or water contaminated with fecal matter from felids, or by the consumption of animal products containing encysted stages (bradyzoites) of the parasite [2,3,4]. Within intermediate hosts, the parasite undergoes only asexual reproduction [5]. Following the ingestion of oocysts or bradyzoite cysts by an intermediate host, sporozoites or bradyzoites are liberated in the intestine where they penetrate the intestinal epithelium and differentiate into tachyzoites. Tachyzoites are disseminated via the bloodstream throughout the animal within leukocytes and rapidly replicate intracellularly within a large variety of cell types, causing tissue damage and necrosis [6]. Young and immunocompromised animals may succumb to generalized toxoplasmosis at this stage [7]. Older, immunocompetent animals have a robust, cell-mediated immune response to the tachyzoites, and the infection becomes latent [8]. In these intermediate hosts, the tachyzoites transform into encysted bradyzoites, which can remain viable in a variety of tissues for many years, possibly for the life of the animal [9].
2. Case History
An adult female osprey was found weak and unable to fly in Chewacla State Park of Auburn, Alabama, USA. The bird was captured and presented to the Southeastern Raptor Center of the Auburn University College of Veterinary Medicine for evaluation. A physical examination was initiated upon presentation, but the osprey died during the procedure. The body was submitted for necropsy and a postmortem examination was conducted a few hours after death.
At necropsy, the osprey was in a poor body condition (body condition score of 1.5/5) with mild postmortem changes. There was a severe loss of muscle mass over the body and the keel was prominent. The liver was moderately enlarged with multifocal to coalescing areas of hemorrhage scattered over the capsular surface. Multifocal to coalescing, 1 mm × 1-mm, pale-brown-to-yellow, well-demarcated, smooth foci extending from Glisson’s capsule into the parenchyma were observed throughout the liver (Figure 1a). The spleen was moderately enlarged, diffusely pale, and firm with a multifocal, 1 mm × 2 mm, dark tan and smooth, circular foci that extended into the parenchyma from the splenic capsule (Figure 1b). The respiratory system, urinary system, integumentary system, endocrine system, heart, and brain were grossly unremarkable. Portions of liver and spleen were submitted for aerobic bacterial and fungal culture and a light growth of Edwardsiella tarda was obtained from both organs. Fungal cultures were negative. An oral swab was negative for avian influenza virus and no West Nile virus was detected in the submitted cerebrum. Tissue samples from the cerebrum, liver, spleen, lungs, kidneys, heart, sciatic nerve, stomach, duodenum, pancreas, jejunum, ileum, colon, cecum, esophagus, and trachea were fixed in 10% neutral-buffered formalin and paraffin processed for routine histopathologic evaluation. Four micron sections were cut and stained with hematoxylin and eosin (H&E) for microscopic examination. Sections of the liver and spleen were additionally processed for anti-T. gondii immunohistochemistry.
Figure 1.
Gross images of affected liver (a) and spleen ((b), *). The liver contains multifocal to coalescing, well-demarcated, smooth foci; scale bar = 1 cm (a). The spleen is enlarged (*), has a diffusely pale tan and is firm with multifocal, smooth, and dark red circular foci; scale bar = 1 cm. Proventriculus (green arrowhead) and ventriculus (blue arrowhead) (b).
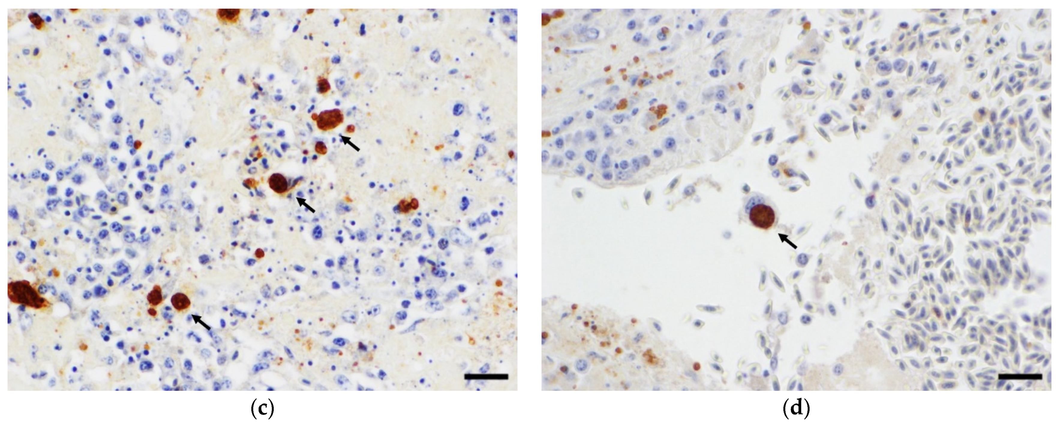
Histologically, approximately 60% of the hepatic parenchyma was effaced by multifocal to coalescing areas of hepatocellular necrosis characterized by the loss of tissue architecture with replacement by pale, granular eosinophilic cellular debris admixed with viable and degenerative heterophils, macrophages, lymphocytes, a few plasma cells, and extravasated erythrocytes. Similar inflammatory cells cuffed the hepatic vasculature. Associative macrophages contained numerous intracytoplasmic, round, basophilic, 2-μm protozoa with indistinct internal structures (Figure 2a,b). These organisms, histologically consistent with T. gondii, were also found in the surrounding extracellular spaces. Immunohistochemical staining, using a rabbit polyclonal antibody against T. gondii as a primary antibody and a horse anti-rabbit horseradish peroxidase as a secondary antibody, were positive for the parasite, with membranous immunoreactivity to the intracytoplasmic tachyzoites. Replacing most of the splenic parenchyma were multifocal-to-coalescing areas of necrosis characterized by pale, granular, eosinophilic material, with cellular debris, extravasated erythrocytes, fibroblasts, degenerative heterophils, lymphocytes, and plasma cells. Macrophages and adjacent clear spaces contained bradyzoites and tachyzoites of T. gondii (Figure 2c). Multifocally, and throughout the congested lung parenchyma were variably sized foci of necrosis containing the protozoal organisms noted above (Figure 2d). The myocardium had multifocal areas of myocardiocyte degeneration and necrosis characterized by the fragmentation and vacuolation of the myocardial fibers accompanied by the accumulation of heterophilic and lymphocytic inflammatory cells, with scant numbers of macrophages containing protozoal organisms. The muscularis externa of the proventriculus contained multifocal aggregations of lymphocytes and plasma cells, with few heterophils, and protozoal-laden macrophages. Similar aggregations of inflammatory cells were observed in the surrounding vessels within the serosal adipose tissue. Infiltrating and expanding the epineurium of sections of the sciatic nerve were dense populations of lymphocytes and plasma cells, with multifocal areas of necrosis containing small numbers of protozoal-laden macrophages. Previously described inflammatory cells were also present, partially cuffing the esophageal mucosal salivary glands and the serosal vasculature. The renal vasculature and cortical and medullary interstitium were moderately congested. Similar tachyzoites were noted in the cerebrum, esophagus and proventriculus. Tissue sections of the brain stem and cerebellum were histologically unremarkable.

Figure 2.
Photomicrograph of liver showing multifocal to coalescing hepatocellular necrosis. H&E. Original magnification 200X. Scale bar = 50 µm. Insert shows parasitic cyst containing bradyzoites of T. gondii (arrowhead). H&E. Original magnification 600X. Scale bar = 20 µm (a). Photomicrograph of spleen showing severe multifocal to coalescing necrosis with intralesional Toxoplasma tachyzoites (arrow). H&E. Original magnification 200X. Scale bar = 50 µm. Insert shows parasitic cyst containing bradyzoites of T. gondii (arrowhead). H&E. Original magnification 600X. Scale bar = 20 µm (b). Toxoplasma immunohistochemical staining of splenic tissue with multifocal, positively staining, intracellular protozoa (arrowhead). H&E. Original magnification 600X. Scale bar = 20 µm (c). Toxoplasma immunohistochemical staining of lung with positively staining intracellular protozoa (arrowhead). H&E. Original magnification 600X. Scale bar = 20 µm (d).
The presence of T. gondii DNA in tissues was assessed by qPCR protocols targeting a specific 130 base pair sequence of the B1 gene and a 529 base pair sequence of the repetitive element (529 bp-RE) as previously described [10,11]. DNA was extracted from formalin-fixed, paraffin-embedded (FFPE) tissue as previously described [12]. Oligonucleotide primers were used to amplify regions of the B1 gene of T. gondii: TOXO1 (5′-GGAACTGC ATCCGTTCATGAG-3′) and TOXO2 (5′-TCTTTAAAGCGTTCGTGGTC-3′). The repetitive region of T. gondii was amplified with the oligonucleotide primers: TOX4 (5′-CGCTGCAGGGAGGAAGACGAAAGTTG-3′) and TOX5 (5′-CGCTGCAGACAGAGTGCATCTGGATT-3′). The BLASTn demonstrated the identified T. gondii from this work had an 100% identity with the T. gondii isolate EIReal109a (GenBank Accession #: KX270373.1; an isolate from a naturally infected sheep in Mexico), and the T. gondii VEG strain (GenBank Accession #: LN714499.1).
Based on the gross and histopathological findings and molecular analyses, the bird was diagnosed with disseminated toxoplasmosis. Although T. gondii was isolated from other raptors in the US [2,13], to our knowledge, this is the first reported clinical case of toxoplasmosis from an osprey.
3. Discussion
Ospreys are diurnal, migratory birds of prey with a worldwide distribution, wintering or breeding on every continent except Antarctica [14]. The bird is the sole species within the family Pandionidae. Four subspecies, separated by geographic region, are recognized, including Pandion haliaetus carolinensis, P. haliaetus haliaetus, P. haliaetus rudgayi and P. haliaetus leucocephalus [14]. P. haliaetus carolinensis, the subspecies found in the southeastern United States, breeds across North America and the Caribbean, and winters in Central and South America. In North America, their range extends from much of Alaska and Canada downward throughout all regions of the continental United States and Mexico. There are resident populations in the southeastern United States and Southern California that do not migrate but spend their entire year in those locations [14,15].
Serologic surveys indicate that an exposure to T. gondii in wild birds is common, and viable T. gondii bradyzoites were isolated from the tissues of a variety of raptor species [13,16,17]. However, clinical toxoplasmosis in birds, including wild raptors, is rare [1,2]. Myocarditis with intralesional T. gondii organisms was reported in a bald eagle in New Hampshire [16] and necrotizing hepatitis with intralesional T. gondii organisms was observed in an adult barred owl in Canada [18]. In a study examining the prevalence of encysted T. gondii in raptors in the southeastern US, the researchers isolated viable T. gondii from 27 (26.7%) of the 101 raptors surveyed [13]. Four ospreys comprised the study group and all four were negative for the parasite. In a second study of southeastern raptors, the prevalence of antibodies to T. gondii in 281 birds, in a raptor rehabilitation facility between 2012 and 2014, was examined. This survey found a variety of hawks, owls, and eagles to be seropositive for T. gondii, but American kestrels, Mississippi kites and an osprey were serologically negative [17]. A study in Europe describing the prevalence and risk factors associated with T. gondii infection in wild birds found 29% of surveyed ospreys to be seropositive [19]. The data indicated the main risk factors associated with T. gondii seropositivity in all wild birds tested were bird age and feeding behavior, with the highest exposure observed in older animals and in species with a carnivorous diet. Fish-eating birds were much less likely to have serum antibodies against T. gondii than the carnivorous species. In experimental infections of raptors with the parasite, clinical disease was not observed [2,20,21].
The source of T. gondii infection in the present case is unknown. The bird was likely infected with the protozoan through the ingestion of oocysts from the soil or water or by the ingestion of intermediate hosts harboring encysted bradyzoites in their tissues. Additionally, the infection of the bird could have occurred secondary to the ingestion of oocysts present in the gastrointestinal tract of fish. Oocyst ingestion is a common source of infection in a variety of species, including humans [3]. The extremely resistant oocysts of T. gondii can remain viable for over a year in soil [22], freshwater [23], and saltwater [24], and the infectious dose may be as low as a single oocyst [2]. Ospreys are almost exclusively piscivorous raptors with fish comprising approximately 99 percent of their diet. Occasionally these birds may prey on rodents, rabbits, hares, other birds, and small reptiles [14], which are common intermediate hosts for T. gondii [25]. This suggests that these small animals may have played a role in the infection of this osprey. The importance of fish-derived T. gondii as a cause of toxoplasmosis in this bird is unknown but fish were implicated as a source of T. gondii infection for human beings and marine mammals [26]. Fish are not generally considered competent biological hosts for T. gondii but can be contaminated with T. gondii oocysts from water run-off following rains and flooding, and act as mechanical carriers for the parasite [27]. Previous studies of T. gondii in fish and invertebrates focused on the possibility of these aquatic animals being a source of T. gondii infection for marine mammals and examined the concentration and survival of protozoal stages in fish and invertebrates [26,28]. T. gondii was shown to persist in many invertebrates [29,30,31,32], and some fish [28], but the proliferation of the parasite was not described in those animals which had a variable body temperature (poikilotherm). Experimentally infected goldfish (Carassius auratus), maintained at 37 °C with T. gondii, failed to contract T. gondii infections [33]. However, T. gondii tachyzoites were demonstrated in zebrafish (Danio rerio) infected experimentally with bradyzoites derived from mouse brain, suggesting that the development of T. gondii is possible in fish [34]. The presence of T. gondii in fish in the southeastern United States is unknown and the importance of fish in the transmission of the parasite to this osprey remains in question.
4. Conclusions
In the present study, we report the first case of disseminated T. gondii infection with severe, widespread tissue necrosis in an osprey.
Author Contributions
Original draft preparation—X.W., C.T.T., J.-H.Y., A.A.K., C.W. and J.C.N.; Review and editing—J.-H.Y. and J.C.N.; Supervision—J.C.N. All authors have read and agreed to the published version of the manuscript.
Funding
This research received no external funding.
Institutional Review Board Statement
According to the necropsy report, the adult osprey described in the manuscript was a wild bird that died of natural causes. It was not involved in veterinary research activities. As a wild birds that died of natural causes, the IACUC determined it is not covered by either the USDA Animal Welfare Act and Animal Welfare Regulations nor the PHS Policy on Humane Care and Use of Laboratory Animals. The letter of exemption for ethical opinion on this study has been obtained from Auburn University Institutional Animal Care and Use Committee (IACUC).
Informed Consent Statement
Not applicable.
Data Availability Statement
The data presented were obtained from all subjects involved in this study.
Acknowledgments
We thank Lisa Cox Parsons for technical assistance during the study. Additionally, we thank David Lindsay and Byron Blagburn for the generous gift of the rabbit anti-Toxoplasma antibody.
Conflicts of Interest
The authors declare no conflict of interest.
References
- Dubey, J.P.; Odening, K. Toxoplasmosis and Related Infections; Iowa State University Press: Ames, IA, USA, 2001. [Google Scholar]
- Dubey, J.P.; Felix, T.A.; Kwok, O.C. Serological and parasitological prevalence of Toxoplasma gondii in wild birds from Colorado. J. Parasitol. 2010, 96, 937–939. [Google Scholar] [CrossRef]
- Shapiro, K.; Bahia-Oliveira, L.; Dixon, B.; Dumètre, A.; de Wit, L.A.; VanWormer, E.; Villena, I. Environmental transmission of Toxoplasma gondii: Oocysts in water, soil and food. Food Waterborne Parasitol. 2019, 15, e00049. [Google Scholar] [CrossRef]
- Tenter, A.M.; Heckeroth, A.R.; Weiss, L.M. Toxoplasma gondii: From animals to humans. Int. J. Parasitol. 2000, 30, 1217–1258. [Google Scholar] [CrossRef] [Green Version]
- Blader, I.J.; Coleman, B.I.; Chen, C.T.; Gubbels, M.J. Lytic Cycle of Toxoplasma gondii: 15 Years Later. Annu. Rev. Microbiol. 2015, 69, 463–485. [Google Scholar] [CrossRef] [PubMed] [Green Version]
- Montoya, J.G.; Liesenfeld, O. Toxoplasmosis. Lancet 2004, 363, 1965–1976. [Google Scholar] [CrossRef]
- Wang, Z.D.; Liu, H.H.; Ma, Z.X.; Ma, H.Y.; Li, Z.Y.; Yang, Z.B.; Zhu, X.Q.; Xu, B.; Wei, F.; Liu, Q. Toxoplasma gondii Infection in Immunocompromised Patients: A Systematic Review and Meta-Analysis. Front. Microbiol. 2017, 8, 389. [Google Scholar] [CrossRef] [PubMed] [Green Version]
- Khan, I.A.; Ouellette, C.; Chen, K.; Moretto, M. Toxoplasma: Immunity and Pathogenesis. Curr. Clin. Microbiol. Rep. 2019, 6, 44–50. [Google Scholar] [CrossRef] [PubMed]
- Rougier, S.; Montoya, J.G.; Peyron, F. Lifelong Persistence of Toxoplasma Cysts: A Questionable Dogma? Trends Parasitol. 2017, 33, 93–101. [Google Scholar] [CrossRef] [PubMed]
- Lin, M.H.; Chen, T.C.; Kuo, T.T.; Tseng, C.C.; Tseng, C.P. Real-time PCR for quantitative detection of Toxoplasma gondii. J. Clin. Microbiol. 2000, 38, 4121–4125. [Google Scholar] [CrossRef] [Green Version]
- Homan, W.L.; Vercammen, M.; De Braekeleer, J.; Verschueren, H. Identification of a 200- to 300-fold repetitive 529 bp DNA fragment in Toxoplasma gondii, and its use for diagnostic and quantitative PCR. Int. J. Parasitol. 2000, 30, 69–75. [Google Scholar] [CrossRef]
- Wright, D.K.; Manos, M.M. Sample Preparation from Paraffin-Embedded Tissues; Academic: San Diego, CA, USA, 1990. [Google Scholar]
- Lindsay, D.S.; Smith, P.C.; Hoerr, F.J.; Blagburn, B.L. Prevalence of encysted Toxoplasma gondii in raptors from Alabama. J. Parasitol. 1993, 79, 870–873. [Google Scholar] [CrossRef]
- Bierregaard, R. Osprey (Pandion haliaetus) Birds of the World. Cornell Laboratory of Ornithology; Ithaca: New York, NY, USA, 2020. [Google Scholar]
- Bierregaard, R. The Cornell Lab of Ornithology. Birds of the World. Available online: https://birdsoftheworld.org/bow/species/osprey/cur/introduction (accessed on 12 August 2021).
- Szabo, K.A.; Mense, M.G.; Lipscomb, T.P.; Felix, K.J.; Dubey, J.P. Fatal toxoplasmosis in a bald eagle (Haliaeetus leucocephalus). J. Parasitol. 2004, 90, 907–908. [Google Scholar] [CrossRef]
- Love, D.; Kwok, O.C.; Verma, S.K.; Dubey, J.P.; Bellah, J. Antibody Prevalence and Isolation of Viable Toxoplasma gondii from Raptors in the Southeastern USA. J. Wildl. Dis. 2016, 52, 653–656. [Google Scholar] [CrossRef]
- Mikaelian, I.; Dubey, J.P.; Martineau, D. Severe hepatitis resulting from toxoplasmosis in a barred owl (Strix varia) from Québec, Canada. Avian Dis. 1997, 41, 738–740. [Google Scholar] [CrossRef] [PubMed]
- Cabezón, O.; García-Bocanegra, I.; Molina-López, R.; Marco, I.; Blanco, J.M.; Höfle, U.; Margalida, A.; Bach-Raich, E.; Darwich, L.; Echeverría, I.; et al. Seropositivity and risk factors associated with Toxoplasma gondii infection in wild birds from Spain. PLoS ONE 2011, 6, e29549. [Google Scholar] [CrossRef] [PubMed] [Green Version]
- Lindsay, D.S.; Dubey, J.P.; Blagburn, B.L. Toxoplasma gondii infections in red-tailed hawks inoculated orally with tissue cysts. J. Parasitol. 1991, 77, 322–325. [Google Scholar] [CrossRef] [PubMed]
- Dubey, J.P. Induced Toxoplasmosis in Owls. J. Zoo Wildl. Med. 1992, 23, 98–102. [Google Scholar]
- Dumètre, A.; Dardé, M.L. How to detect Toxoplasma gondii oocysts in environmental samples? FEMS Microbiol. Rev. 2003, 27, 651–661. [Google Scholar] [CrossRef] [Green Version]
- Dubey, J.P. Toxoplasma gondii oocyst survival under defined temperatures. J. Parasitol. 1998, 84, 862–865. [Google Scholar] [CrossRef]
- Lindsay, D.S.; Dubey, J.P. Long-term survival of Toxoplasma gondii sporulated oocysts in seawater. J. Parasitol. 2009, 95, 1019–1020. [Google Scholar] [CrossRef]
- Dabritz, H.A.; Miller, M.A.; Gardner, I.A.; Packham, A.E.; Atwill, E.R.; Conrad, P.A. Risk factors for Toxoplasma gondii infection in wild rodents from central coastal California and a review of T. gondii prevalence in rodents. J. Parasitol. 2008, 94, 675–683. [Google Scholar] [CrossRef]
- Miller, M. Protozoan Parasites of Marine Mammals; CRC Press: Boca Raton, FL, USA, 2018; pp. 425–470. [Google Scholar]
- Marino, A.M.F.; Giunta, R.P.; Salvaggio, A.; Castello, A.; Alfonzetti, T.; Barbagallo, A.; Aparo, A.; Scalzo, F.; Reale, S.; Buffolano, W.; et al. Toxoplasma gondii in edible fishes captured in the Mediterranean basin. Zoonoses Public Health 2019, 66, 826–834. [Google Scholar] [CrossRef] [PubMed] [Green Version]
- Massie, G.N.; Ware, M.W.; Villegas, E.N.; Black, M.W. Uptake and transmission of Toxoplasma gondii oocysts by migratory, filter-feeding fish. Vet. Parasitol. 2010, 169, 296–303. [Google Scholar] [CrossRef] [PubMed]
- Arkush, K.D.; Miller, M.A.; Leutenegger, C.M.; Gardner, I.A.; Packham, A.E.; Heckeroth, A.R.; Tenter, A.M.; Barr, B.C.; Conrad, P.A. Molecular and bioassay-based detection of Toxoplasma gondii oocyst uptake by mussels (Mytilus galloprovincialis). Int J. Parasitol. 2003, 33, 1087–1097. [Google Scholar] [CrossRef]
- Lindsay, D.S.; Collins, M.V.; Mitchell, S.M.; Wetch, C.N.; Rosypal, A.C.; Flick, G.J.; Zajac, A.M.; Lindquist, A.; Dubey, J.P. Survival of Toxoplasma gondii oocysts in Eastern oysters (Crassostrea virginica). J. Parasitol. 2004, 90, 1054–1057. [Google Scholar] [CrossRef] [PubMed]
- Krusor, C.; Smith, W.A.; Tinker, M.T.; Silver, M.; Conrad, P.A.; Shapiro, K. Concentration and retention of Toxoplasma gondii oocysts by marine snails demonstrate a novel mechanism for transmission of terrestrial zoonotic pathogens in coastal ecosystems. Environ. Microbiol. 2015, 17, 4527–4537. [Google Scholar] [CrossRef] [PubMed]
- Schott, K.C.; Krusor, C.; Tinker, M.T.; Moore, J.; Conrad, P.A.; Shapiro, K. Concentration and retention of Toxoplasma gondii surrogates from seawater by red abalone (Haliotis rufescens). Parasitology 2016, 143, 1703–1712. [Google Scholar] [CrossRef] [PubMed]
- Omata, Y.; Umeshita, Y.; Murao, T.; Kano, R.; Kamiya, H.; Kudo, A.; Masukata, Y.; Kobayashi, Y.; Maeda, R.; Saito, A.; et al. Toxoplasma gondii does not persist in goldfish (Carassius auratus). J. Parasitol. 2005, 91, 1496–1499. [Google Scholar] [CrossRef]
- Sanders, J.L.; Zhou, Y.; Moulton, H.M.; Moulton, Z.X.; McLeod, R.; Dubey, J.P.; Weiss, L.M.; Kent, M.L. The zebrafish, Danio rerio, as a model for Toxoplasma gondii: An initial description of infection in fish. J. Fish. Dis. 2015, 38, 675–679. [Google Scholar] [CrossRef] [Green Version]
Publisher’s Note: MDPI stays neutral with regard to jurisdictional claims in published maps and institutional affiliations. |
© 2021 by the authors. Licensee MDPI, Basel, Switzerland. This article is an open access article distributed under the terms and conditions of the Creative Commons Attribution (CC BY) license (https://creativecommons.org/licenses/by/4.0/).


