Abstract
Paecilomyces/Purpureocillium has recently been recognized as an emerging human pathogen, causing serious infection in immunocompromised and immunocompetent patients. Several predisposing factors have been reported, including foreign body implants, previous surgery, or trauma. Treatment with antifungal drugs often fails as species-specific differences in antifungal susceptibilities are one of the management challenges. Surgical debridement with or without antifungal therapy was sufficient to cure the infection in a few reported cases. Nonetheless, the surgical approach has been found to decrease the chance of dissemination and recurrence. Here, we report the first pediatric patient with chronic osteomyelitis of the femur secondary to Paecilomyces species, with no predisposing risk factors. Our case was successfully treated with a combination of antifungal therapy and surgical debridement. Additionally, we describe the first extensive literature review of previously reported Paecilomyces/Purpureocillium species infections in pediatric age groups.
1. Introduction
Fungal infections are well known to cause opportunistic infections, especially among immunocompromised patients, leading to increased morbidity and mortality [1,2,3]. Species of Paecilomyces/Purpureocillium are common environmental molds and are seldom associated with human infections. However, Paecilomyces variotii and lilacinus are considered emerging causative agents in immunocompromised patients and patients with underlying chronic diseases. Paecilomyces lilacinus, a common species reported clinically, had different morphological and phylogenetic characteristics; hence, Luangsa-Ard et al. had modified the name recently to Purpureocillium lilacinum [4].
Paecilomyces/Purpureocillium species can infect patients via foreign bodies, implanted devices like prosthetic valves, lens implants, catheters, ventriculoperitoneal shunts, or after trauma [2,3,4,5].
We describe the first case of an immunocompetent child with no underlying disease or predisposing factors presenting with chronic osteomyelitis due to Paecilomyces. Furthermore, we report the first literature review of Paecilomyces/Purpureocillium infection in the pediatric population, describing demographics, risk factors, diagnosis, treatment regimen, and outcomes.
2. Case
A previously healthy 12-year-old girl from a small village in Saudi Arabia presented to the emergency department in King Abdullah Specialized Children’s Hospital in Riyadh with left hip pain for five months. The pain was described as progressive, worsening while walking, and affecting her daily life. She had no history of trauma, fever, weight loss, raw milk ingestion, animal contact, or gastrointestinal or other systemic symptoms.
Upon physical examination, there was a limitation in left hip flexion, leg extension, external and internal rotation, as well as a leg-length discrepancy with an antalgic gait. The remainder of the examination was unremarkable.
Her laboratory investigations showed the following: white blood cells 5 × 109/L (4.5–13.5 × 109/L), hemoglobin 136 g/L (120–160 g/L), ESR 56 mm/h (0–22 mm/h), and CRP 7 mg/L (0–3 mg/L). Multiple sets of blood cultures were negative. As brucellosis is an endemic disease in Saudi Arabia, Brucella abortus and Brucella melitensis standard agglutination tests (SAT) were done with a titer of <1:160 (negative).
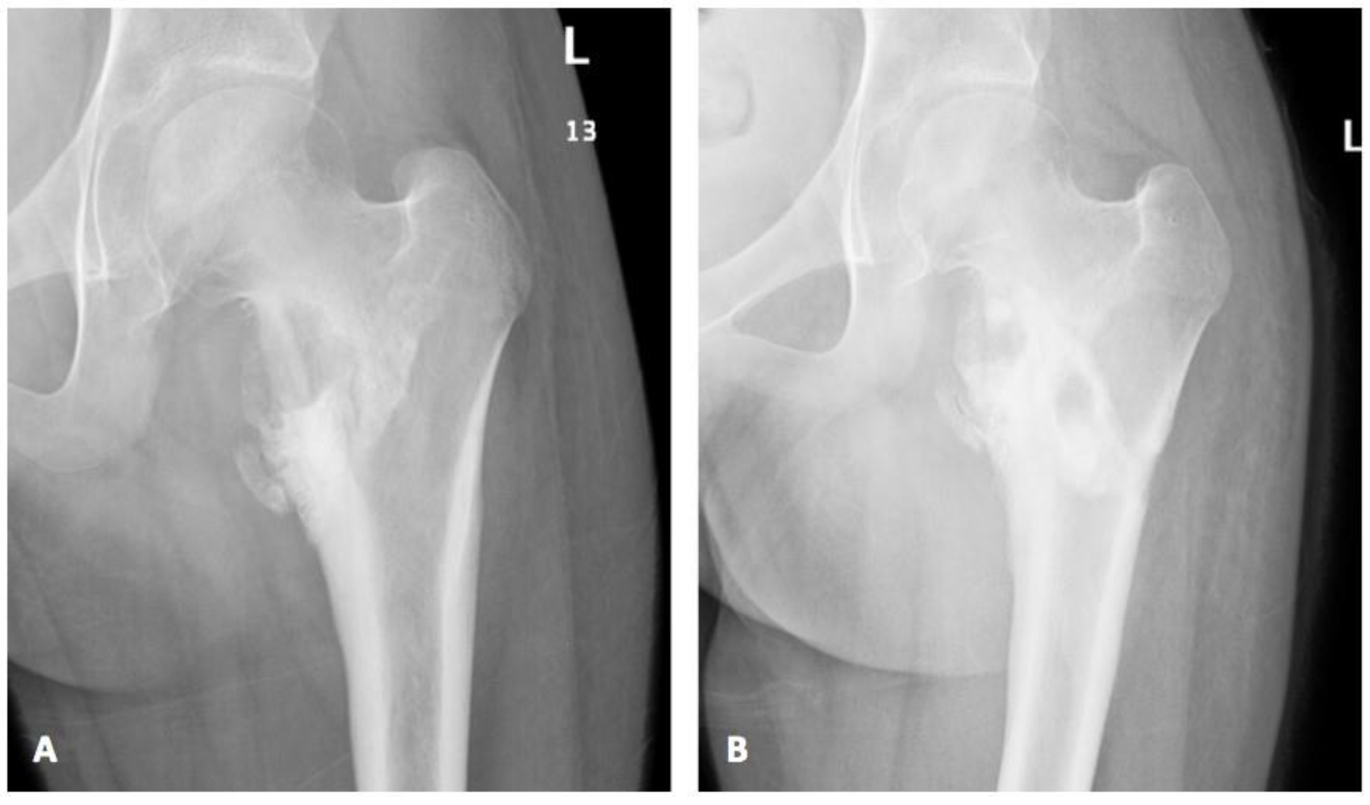
Non-specific arthritis was the preliminary diagnosis based on clinical, laboratory, and radiological findings of narrowing joint space. Follow-up plain radiograph of the affected hip showed sclerosis with central lucency at the medial aspect of the left femoral neck associated with cortical irregularity and periosteal reaction. Further evaluation by Computed Tomography (CT) scan revealed similar findings (Figure 1).
Figure 1.
(A) Hip X-ray showed increased sclerosis with central lucency at the medial aspect of left femoral neck associated with the cortical irregularity and periosteal reaction; (B) Computed Tomography (CT) scan confirmed the erosive nature of the lesion with adjacent sclerosis and the adjacent bony overgrowth.
The patient was referred to the rheumatology service for further evaluation. Given the initial CT findings, Magnetic Resonance Imaging (MRI) of the hip was obtained, which showed evidence of chronic arthritis (Figure 2). Therefore, she was started on non-steroidal anti-inflammatory drug (NSAID) and given a working diagnosis of juvenile idiopathic arthritis (JIA).
Figure 2.
Magnetic Resonance Imaging (MRI) of the hip revealed bony overgrowth of the lesser trochanter with early cystic formation and a fluid-fluid level, extensive bone marrow edema, extensive adjacent soft tissue edema and hip joint effusion with evidence of synovial thickening and enhancement post contrast administration.
A follow-up after one month of therapy revealed no clinical improvement. Hence, a percutaneous tissue (bone) biopsy was performed after the findings of worsening femur cortical lucent lesion with a sinus tract and extensive cortical thickening on the repeated CT scan.
The tissue samples for bacterial, fungal, and acid-fast bacilli cultures were negative. Although there were no findings suggestive of infection or malignancy in the histopathological examination, an ongoing inflammatory process was noted. Therefore, she continued on NSAIDs. At a three-month follow up, her clinical condition remained the same with no significant improvement. Thus, she was referred to pediatric infectious diseases where she was diagnosed with chronic osteomyelitis. The repeated MRI revealed an increase in the size of the cortical lesion, breaking through the cortex and extending into the joint capsule with bone marrow edema. Consequently, a core biopsy was done to increase the yield of diagnostics. Multiple bone tissue cultures showed a growth of yellowish velvety texture colonies on Sabouraud dextrose agar, identified as Paecilomyces species by matrix-assisted laser desorption ionization time of flight mass spectrometry (MALDI-TOF). Polymerase chain reaction (PCR), and identification of the isolate to the species level along with susceptibility testing were not performed due to a limitation of laboratory resources. However, based on the morphological appearance of the culture, it was identified as Paecilomyces variotii, histopathologically showing fragments of necrotic bone and fibroconnective tissue with heavy inflammation and abscess formation, with no fungal elements on Grocott methenamine silver (GMS) stain (Figure 3). In contrast to intravenous options such as amphotericin B, and unavailability of posaconazole in our center, voriconazole had been chosen to be the initial antifungal therapy as it was previously reported to be effective in treating this organism, along with the availability as an oral formulation and capability to monitor serum therapeutic level.
Figure 3.
Histopathological findings in bone tissue (A) There are scattered bone trabeculae and fibroconnective tissue exhibiting dense inflammation and collection of hemosiderin-laden macrophages (lower left); (B) Collection of neutrophils forming micro-abscess.
Despite three months of therapy on voriconazole (9 mg/kg/dose twice daily) and appropriate therapeutic level between 2.5–4.18 mcg/mL, her clinical status remained unchanged. Thus, a surgical debridement with extensive washout and debris removal was performed. In spite of negative tissue culture this time, which might have resulted from the three months of prior antifungal treatment, similar histopathological findings of inflammation and micro-abscess appearance were noted. One-month post-surgical intervention, a remarkable clinical and radiological improvement was noted (Figure 4). Post-operatively, she completed a total duration of 12 weeks of therapeutic voriconazole with an appropriate trough serum level and all subsequent follow-up visits showed complete clinical recovery and no evidence of recurrence.
Figure 4.
(A) Pre-surgical X-ray showed worsening of medial femoral erosions and destruction with adjacent sclerosis; (B) Post-surgical X-ray demonstrated interval sclerosis and healing with new bone formation along the medial aspect of femoral neck with interval reduction of erosive changes and medial neck lytic lesion.
Given the reported immune defects associated with this type of infection, all the immunological workups, including primary immunodeficiency panel, neutrophil oxidative burst test, and immunoglobulins levels, were completely normal.
3. Discussion
Paecilomyces/Purpureocillium are saprophytic fungi found in air, soil, and decaying plants. It is known for its resistance to most sterilizing techniques, making the chance of contamination very high. Paecilomyces genus has several species. A few of them, such as P. lilacinus, P. variotii, P. marquandii and P. javanicus, have been described as pathogenic in humans [1,6,7,8].
Microscopically, Paecilomyces/Purpureocillium are described by their swollen phialides at their base that taper gradually toward the neck and long ovoid conidia chains attached to the tips. Morphologically, they are well known by their fluffy powdery texture. However, colonies can show different colors, depending on the type of species. Examples are the yellow-brown of P. variotii and the lilac of P. lilacinus [7,8,9].
Identification of Paecilomyces in clinical practice is crucial, however, due to similarities with other fungi, identification difficulties have been reported. Paecilomyces and Penicillium have similarities in reproductive structures, leading to difficulty in identification without specialized optic and measuring devices that are available in highly specialized reference labs. Paecilomyces can be identified effectively by molecular targeting internal transcribed spacer (ITS) regions within the ribosomal deoxyribonucleic acid (rDNA) [10].
We conducted a literature review of all English-language reports using PubMed and Embase database up to May 2021, using the keywords ‘Paecilomyces’, ‘pediatric’, and ‘osteomyelitis’. The literature reveals 30 cases, apart from our own, whose main characteristics are described in (Table 1).
Table 1.
Paecilomyces/Purpureocillium Infections in Pediatrics.
Older children are frequently affected, as we found that 22 out of 30 (73%) reported cases were older than five years. P. lilacinus 12/30 (40%) and P. variotii 11/30 (36%) were the most commonly reported pathogenic species.
Remarkably, the majority of cases were catheter-related infections (either central venous line or dialysis catheter) (11/30 (36%)), followed by cutaneous lesions (8/30 (26%)). Sinopulmonary infections were also seen in (6/30 (20%)) cases. Additionally, few cases were reported involving eyes, lymph node, and skin and soft tissue, making a specific site predilection for this organism hard to be determined. Although there is a previously reported case of osteomyelitis in an 18-year-old male with an underlying immunodeficiency (chronic granulomatous disease) [19], our patient is the first case with no underlying medical condition and no predisposing risk factors. It is not clear whether our patient developed osteomyelitis secondary to transient unnoticed fungemia or spontaneous infection.
In the previous reports, patients with decreased immunity (primary or secondary) were commonly affected. Chronic granulomatous disease (CGD), blood malignancy, and prolonged neutropenia after bone marrow/solid organ transplant patients were found in most of the patients [12,14,16,17,19,20,21,22,23,27,28,29,33], and although infection in immunocompetent patients has been also reported, several predisposing risk factors are commonly present [11,18,24,25,30,32,35,36,37,38,40].
Although resolution was the usual outcome of this infection with no reported recurrences, death was seen in 4/30 (13%) patients [12,21,23]. While Das et al. have reported a fatality case due to bronchopneumonia, bronchoalveolar lavage (BAL) revealed two additional Aspergillus species, making the attribution of death secondary to Paecilomyces/Purpureocillium species alone is difficult [26]. Noticeably, all deaths related to Paecilomyces/Purpureocillium infection had an initial cutaneous lesion and then disseminated to the lungs or were complicated by graft-versus-host-disease (GVHD), which signifies the risk of dissemination.
The treatment options for Paecilomyces/Purpureocillium infection are challenging. Identifying the Paecilomyces/Purpureocillium at the species level is crucial due to the diversity of antifungal susceptibility of each species. Previous in-vitro studies reported high amphotericin B, itraconazole, flucytosine, and echinocandins minimum inhibitory concentrations (MICs) to P. lilacinus, which contributed to a high rate of treatment failure [3,41]. However, in-vitro activity of newer antifungals (i.e., Posaconazole) showed a good pattern of efficacy, considering it a drug of choice for P. lilacinus along with voriconazole and terbinafine [42,43,44,45,46]. In contrast, in-vitro susceptibilities of P. variotii species to amphotericin B, echinocandins, and most of the azole group, including posaconazole and itraconazole (excluding fluconazole), had been well documented, making them an available option for therapy. However, amphotericin B is still considered the drug of choice for this species [47].
Voriconazole, on the other hand, has variable activity against P. variotii. Although the resistance had been reported in some studies [28,42,43,44,45,46], a successful treatment with voriconazole had also been reported [3,34], making testing this drug susceptibility a valuable step in management. Combination therapy and synergism have not been fully evaluated clinically. However, Ortoneda et al. reported that the best synergistic interaction for P. lilacinus was a combination of terbinafine and voriconazole, whereas combining terbinafine with itraconazole was successful for treating P. variotii [48]. While in vivo, Toker et al. and Chang et al. reported two cases with clinical improvement and resolution of infection after combining voriconazole with terbinafine [31,36].
The removal of prosthesis/catheters and surgical debridement along with antifungal therapy are essential for an optimal cure and will decrease the risk of complication or recurrence. Lazarus et al. and Pastor et al. found an increased failure rate in patients treated with medication solely without the removal of catheters or surgical debridement [1,49]. Hence, surgical source control is of crucial importance.
Unfortunately, in our case, we could not identify the isolate to the species level due to a limitation of laboratory resources and the inability to send it to the central laboratory due to the COVID-19 pandemic. However, it is crucial to acquire species identification for any rare fungi, as antifungal susceptibility between different species is variable and it plays a major role in the management. In chronic osteomyelitis, particularly fungal osteomyelitis, it is of the utmost importance that pediatric infectious diseases service is involved early in the management process in order to provide appropriate diagnostics and therapeutics while improving patient outcome. In our case, a combination of surgical debridement and antifungal therapy resulted in a successful outcome, highlighting the importance of surgical intervention in chronic osteomyelitis.
4. Conclusions
Paecilomyces/Purpureocillium infection, although commonly thought to be a contaminant, is a rare but potentially serious infection with severe complications and tendency to dissemination. This is the first reported case in an immunocompetent child with no predisposing risk factors. The management strategy is universally challenging; however, the key to a successful treatment is surgical intervention, if feasible, along with antifungal therapy with or without synergism.
Author Contributions
Wrote the first draft, N.A.; Interpreted images and revised the article, A.A.; wrote the final draft and edit the subsequent versions, M.A. (Musaed Alharbi) and M.A. (Maha Almuneef). All authors have read and agreed to the published version of the manuscript.
Funding
This research received no external funding.
Institutional Review Board Statement
Not applicable.
Informed Consent Statement
Written informed consent was obtained from the patient’s mother for the publication of any potentially identifiable images or data included in this article.
Data Availability Statement
Not applicable.
Acknowledgments
We are grateful to the patient reported in this article and her family for their genuine support.
Conflicts of Interest
The authors declare no conflict of interest.
References
- Pastor, F.J.; Guarro, J. Clinical manifestations, treatment and outcome of Paecilomyces lilacinus infections. Clin. Microbiol. Infect. 2006, 12, 948–960. [Google Scholar] [CrossRef] [PubMed]
- Sprute, R.; Salmanton-García, J.; Sal, E.; Malaj, X.; Falces-Romero, I.; Hatvani, L.; Heinemann, M.; Klimko, N.; López-Soria, L.; Meletiadis, J.; et al. Characterization and outcome of invasive infections due to Paecilomyces variotii: Analysis of patients from the FungiScope® registry and literature reports. J. Antimicrob. Chemother. 2021, 76, 765–774. [Google Scholar] [CrossRef] [PubMed]
- Houbraken, J.; Verweij, P.E.; Rijs, A.J.; Borman, A.M.; Samson, R.A. Identification of Paecilomyces variotii in clinical samples and settings. J. Clin. Microbiol. 2010, 48, 2754. [Google Scholar] [CrossRef] [PubMed]
- Luangsa-Ard, J.; Houbraken, J.; van Doorn, T.; Hong, S.B.; Borman, A.M.; Hywel-Jones, N.L.; Samson, R.A. Purpureocillium, a new genus for the medically important Paecilomyces lilacinus. FEMS Microbiol. Lett. 2011, 321, 141–149. [Google Scholar] [CrossRef]
- Batarseh, R.Y.; Shehata, M.; Becker, M.D.; Sigdel, S.; He, P.; Shweihat, Y.R. Paecilomyces in an immune competent host. IDCases 2020, 21, e00885. [Google Scholar] [CrossRef]
- Cesaro, S.; Tridello, G.; Castagnola, E.; Calore, E.; Carraro, F.; Mariotti, I.; Colombini, A.; Perruccio, K.; Decembrino, N.; Russo, G.; et al. Retrospective study on the incidence and outcome of proven and probable invasive fungal infections in high-risk pediatric onco-hematological patients. Eur. J. Haematol. 2017, 99, 240–248. [Google Scholar] [CrossRef]
- de Hoog, G.S.; Guarro, J.; Gené, J.; Figueras, M.J. Atlas of Clinical Fungi; Centraalbureau voor Schimmelcultures (CBS): Utrecht, The Netherlands, 2000. [Google Scholar]
- Larone, D.H.; Larone, D.H. Medically Important Fungi: A Guide to Identification; Elsevier: New York, NY, USA, 1987. [Google Scholar]
- St-Germain, G.; Summerbell, R. Identifying Filamentous Fungi: A Clinical Laboratory Handbook; Star Publishing Company: Singapore, 1996. [Google Scholar]
- Wong, G.; Nash, R.; Barai, K.; Rathod, R.; Singh, A. Paecilomyces lilacinus causing debilitating sinusitis in an immunocompetent patient: A case report. J. Med. Case Rep. 2012, 6, 1–5. [Google Scholar] [CrossRef]
- Rodrigues, M.M.; MacLeod, D. Exogenous fungal endophthalmitis caused by Paecilomyces. Am. J. Ophthalmol. 1975, 79, 687–690. [Google Scholar] [CrossRef]
- Murciano, A.; Domer, J.; Cohen, I. Paecilomyces lilacinus infection in an immunocompromised patient. J. La. State Med. Soc. Off. Organ La. State Med. Soc. 1990, 142, 35. [Google Scholar]
- Crompton, C.H.; Balfe, J.W.; Summerbell, R.C.; Silver, M.M. Peritonitis with Paecilomyces complicating peritoneal dialysis. Pediatric Infect. Dis. J. 1991, 10, 869–871. [Google Scholar]
- Williamson, P.R.; won-Chung, K.J.; Gallin, J.I. Successful treatment of Paecilomyces varioti infection in a patient with chronic granulomatous disease and a review of Paecilomyces species infections. Clin. Infect. Dis. 1992, 14, 1023–1026. [Google Scholar] [CrossRef] [PubMed]
- Tan, T.Q.; Ogden, A.K.; Tillman, J.; Demmler, G.J.; Rinaldi, M.G. Paecilomyces lilacinus catheter-related fungemia in an immunocompromised pediatric patient. J. Clin. Microbiol. 1992, 30, 2479. [Google Scholar] [CrossRef] [PubMed] [Green Version]
- Silliman, C.C.; Lawellin, D.W.; Lohr, J.A.; Rodgers, B.M.; Donowitz, L.G. Paecilomyces lilacinus infection in a child with chronic granulomatous disease. J. Infect. 1992, 24, 191–195. [Google Scholar] [CrossRef]
- Bernacer, M.; Gadea, I.; Esteban, J.; Gegundez, M.I.; Kamal, K.; Soriano, F. Catheter-related fungemia due to Paecilomyces lilacinus in a leukemic child. Med. Microbiol. Lett. 1992, 1, 207–212. [Google Scholar]
- Marzec, A.N.; Heron, L.G.; Pritchard, R.C.; Butcher, R.H.; Powell, H.R.; Disney, A.P.; Tosolini, F.A. Paecilomyces variotii in peritoneal dialysate. J. Clin. Microbiol. 1993, 31, 2392. [Google Scholar] [CrossRef]
- Cohen-Abbo, A.; Edwards, K.M. Multifocal osteomyelitis caused by Paecilomyces varioti in a patient with chronic granulomatous disease. Infection 1995, 23, 55–57. [Google Scholar] [CrossRef]
- Shing, M.M.; Ip, M.; Li, C.K.; Chik, K.W.; Yuen, P.M. Paecilomyces varioti fungemia in a bone marrow transplant patient. Bone Marrow Transplant. 1996, 17, 281–283. [Google Scholar]
- Orth, B.; Frei, R.; Itin, P.H.; Rinaldi, M.G.; Speck, B.; Gratwohl, A.; Widmer, A.F. Outbreak of invasive mycoses caused by Paecilomyces lilacinus from a contaminated skin lotion. Ann. Intern. Med. 1996, 125, 799–806. [Google Scholar] [CrossRef]
- Smitt, J.S.; Leusen, J.H.; Stas, H.G.; Teeuw, A.H.; Weening, R.S. Chronic bullous disease of childhood and a paecilomyces lung infection in chronic granulomatous disease. Arch. Dis. Child. 1997, 77, 150–152. [Google Scholar] [CrossRef]
- Itina, P.H.; Freib, R.; Lautenschlagera, S.; Buechnera, S.A.; Surberc, C.; Gratwohld, A.; Widmere, A.F. Cutaneous manifestations of Paecilomyces lilacinus infection induced by a contaminated skin lotion in patients who are severely immunosuppressed. J. Am. Acad. Dermatol. 1998, 39, 401–409. [Google Scholar] [CrossRef]
- Rinaldi, S.; Fiscarelli, E.; Rizzoni, G. Paecilomyces variotii peritonitis in an infant on automated peritoneal dialysis. Pediatric Nephrol. 2000, 14, 365–366. [Google Scholar] [CrossRef]
- Nayak, D.R.; Balakrishnan, R.; Nainani, S.; Siddique, S. Paecilomyces fungus infection of the paranasal sinuses. Int. J. Pediatric Otorhinolaryngol. 2000, 52, 183–187. [Google Scholar] [CrossRef]
- Das, A.; MacLaughlin, E.F.; Ross, L.A.; Monforte, H.L.; Horn, M.V.; Lam, G.L.; Mason, W.H. Paecilomyces variotii in a pediatric patient with lung transplantation. Pediatric Transplant. 2000, 4, 328–332. [Google Scholar] [CrossRef]
- Roque, J.; Navarro, M.; Toro, G.; González, I.; Pimstein, M.; Venegas, E. Paecilomyces lilacinus systemic infection in an immunocompromised child. Rev. Med. Chile 2003, 131, 77–80. [Google Scholar]
- Chamilos, G.; Kontoyiannis, D.P. Voriconazole-resistant disseminated Paecilomyces variotii infection in a neutropenic patient with leukaemia on voriconazole prophylaxis. J. Infect. 2005, 51, 225–228. [Google Scholar] [CrossRef]
- Wang, S.M.; Shieh, C.C.; Liu, C.C. Successful treatment of Paecilomyces variotii splenic abscesses: A rare complication in a previously unrecognized chronic granulomatous disease child. Diagn. Microbiol. Infect. Dis. 2005, 53, 149–152. [Google Scholar] [CrossRef]
- Jackson, S.T. Paecilomyces lilacinus fungemia in a Jamaican neonate. West Indian Med. J. 2006, 55, 361. [Google Scholar] [CrossRef]
- Chang, B.P.; Sun, P.L.; Huang, F.Y.; Tsai, T.C.; Lin, C.C.; Lee, M.D.; Chen, Y.C.; Sheu, J.C.; Tsai, J.D. Paecilomyces lilacinus peritonitis complicating peritoneal dialysis cured by oral voriconazole and terbinafine combination therapy. J. Med. Microbiol. 2008, 57, 1581–1584. [Google Scholar] [CrossRef]
- Yuan, X.; Wilhelmus, K.R.; Matoba, A.Y.; Alexandrakis, G.; Miller, D.; Huang, A.J. Pathogenesis and outcome of Paecilomyces keratitis. Am. J. Ophthalmol. 2009, 147, 691–696. [Google Scholar] [CrossRef]
- Bogomolova, T.S.; Nikitina, E.A.; Boychenko, E.G.; Kolbin, A.S.; Ignatieva, S.M.; Pitsik, E.V.; Mikhaylova, Y.V.; Avdeenko, Y.L.; Vasilyeva, N.V.; Klimko, N.N. The case of successful treatment of Paecilomyces lilacinus infection in a pediatric patient with acute lymphoblastic leukemia. In Mycoses. Diagnosis, Therapy and Prophylaxis of Fungal Diseases; Blackwell Science: Hoboken, NJ, USA, 2012; p. 208. [Google Scholar]
- Polat, M.; Kara, S.S.; Tapısız, A.; Demirtaş, Z.; Sarı, S.; Kalkancı, A.; Tezer, H.; Dalgıç, B. Successful treatment of Paecilomyces variotii peritonitis in a liver transplant patient. Mycopathologia 2015, 179, 317–320. [Google Scholar] [CrossRef]
- Kuboi, T.; Okazaki, K.; Inotani, M.; Sugino, M.; Sadamura, T.; Nakano, A.; Kobayashi, S.; Ota, A.; Nishimura, K.; Yaguchi, T. A case of cutaneous Paecilomyces formosus infection in an extremely premature infant. J. Infect. Chemother. 2016, 22, 339–341. [Google Scholar] [CrossRef]
- Toker, E.; Ziyade, N.; Atici, S.; Eda, K.K.; Türel, Ö.; Toprak, D.; Oray, M.; Cerikcioglu, N.; Soysal, A.; Bakir, M. Postoperative keratitis due to Paecilomyces: A rare pediatric case. Pan Afr. Med. J. 2016, 24, 317. [Google Scholar]
- Çolakoglu, S.; Durmaz, S.; Poyrazoğlu, H.; Tekinsen, F.F.; Atalay, M.A.; Koc, A.N. Urinary System Infection Caused by Paecilomyces variotti. Eur. J. Gen. Med. 2016, 13, 168–170. [Google Scholar]
- Anand, S.; Vaidyanathan, S.; Janeel, M.; Solomon, N.A. Fungal infective endocarditis of polytetrafluoroethylene pulmonary valve with Paecilomyces species following tetralogy of Fallot correction. Int. Surg. J. 2020, 7, 1666–1668. [Google Scholar] [CrossRef]
- Tiwari, P.; Hazarika, N.; Ahlawat, S.; Sen, I.B.; Shirshi, N. Paecilomyces as a Cause of Lymph Nodes Enlargement in Hodgkin’s Lymphoma. Indian J. Pediatrics 2017, 84, 881–882. [Google Scholar] [CrossRef]
- Chen, Y.T.; Yeh, L.K.; Ma, D.H.; Lin, H.C.; Sun, C.C.; Tan, H.Y.; Chen, H.C.; Chen, S.Y.; Sun, P.L.; Hsiao, C.H. Paecilomyces/Purpureocillium keratitis: A consecutive study with a case series and literature review. Med. Mycol. 2020, 58, 293–299. [Google Scholar] [CrossRef]
- Monpierre, L.; Aït-Ammar, N.; Valsecchi, I.; Normand, A.C.; Guitard, J.; Riat, A.; Huguenin, A.; Bonnal, C.; Sendid, B.; Hasseine, L.; et al. Species Identification and In Vitro Antifungal Susceptibility of Paecilomyces/Purpureocillium Species Isolated from Clinical Respiratory Samples: A Multicenter Study. J. Fungi 2022, 8, 684. [Google Scholar] [CrossRef]
- Aguilar, C.; Pujol, I.; Sala, J.; Guarro, J. Antifungal susceptibilities of Paecilomyces species. Antimicrob. Agents Chemother. 1998, 42, 1601. [Google Scholar] [CrossRef]
- Lamoth, F.; Alexander, B.D. Antifungal activities of SCY-078 (MK-3118) and standard antifungal agents against clinical non-Aspergillus mold isolates. Antimicrob. Agents Chemother. 2015, 59, 4308–4311. [Google Scholar] [CrossRef]
- Drogari-Apiranthitou, M.; Mantopoulou, F.D.; Skiada, A.; Kanioura, L.; Grammatikou, M.; Vrioni, G.; Mitroussia-Ziouva, A.; Tsakris, A.; Petrikkos, G. In vitro antifungal susceptibility of filamentous fungi causing rare infections: Synergy testing of amphotericin B, posaconazole and anidulafungin in pairs. J. Antimicrob. Chemother. 2012, 67, 1937–1940. [Google Scholar] [CrossRef]
- Castelli, M.V.; Alastruey-Izquierdo, A.; Cuesta, I.; Monzon, A.; Mellado, E.; Rodriguez-Tudela, J.L.; Cuenca-Estrella, M. Susceptibility testing and molecular classification of Paecilomyces spp. Antimicrob. Agents Chemother. 2008, 52, 2926. [Google Scholar] [CrossRef]
- Cuenca-Estrella, M.; Gomez-Lopez, A.; Mellado, E.; Buitrago, M.J.; Monzon, A.; Rodriguez-Tudela, J.L. Head-to-head comparison of the activities of currently available antifungal agents against 3378 Spanish clinical isolates of yeasts and filamentous fungi. Antimicrob. Agents Chemother. 2006, 50, 917. [Google Scholar] [CrossRef]
- Hoenigl, M.; Salmanton-García, J.; Walsh, T.J.; Nucci, M.; Neoh, C.F.; Jenks, J.D.; Lackner, M.; Sprute, R.; Al-Hatmi, A.M.; Bassetti, M.; et al. Global guideline for the diagnosis and management of rare mould infections: An initiative of the European Confederation of Medical Mycology in cooperation with the International Society for Human and Animal Mycology and the American Society for Microbiology. Lancet Infect. Dis. 2021, 21, e246–e257. [Google Scholar]
- Ortoneda, M.; Capilla, J.; Pastor, F.J.; Pujol, I.; Yustes, C.; Serena, C.; Guarro, J. In vitro interactions of approved and novel drugs against Paecilomyces spp. Antimicrob. Agents Chemother. 2004, 48, 2727. [Google Scholar] [CrossRef] [Green Version]
- Lazarus, J.E.; Branda, J.A.; Gandhi, R.G.; Barshak, M.B.; Zachary, K.C.; Barczak, A.K. Disseminated Intravascular Infection Caused by Paecilomyces variotii: Case Report and Review of the Literature. In Open Forum Infectious Diseases; Oxford University Press: Oxford, UK, 2020; Volume 7, p. ofaa166. [Google Scholar]
Publisher’s Note: MDPI stays neutral with regard to jurisdictional claims in published maps and institutional affiliations. |
© 2022 by the authors. Licensee MDPI, Basel, Switzerland. This article is an open access article distributed under the terms and conditions of the Creative Commons Attribution (CC BY) license (https://creativecommons.org/licenses/by/4.0/).



