Abstract
Low-cost enzyme production is considered a feasibility factor in enzyme commercialization. Okara, a high-nutritional agro-industrial residue from soybean processing, was performed as a medium for bacterial amylase production to save costs and increase productivity. This study aimed to produce, characterize, activate amylase, and evaluate the material cost for media from okara. Under solid-state fermentation (SSF) of okara without pretreatment, Bacillus subtilis J12 could produce 983 U/g of amylase within 24 h. Bacillus subtilis J12 amylase had optimal activity at pH 6.0 and 50 °C and was stable at a moderate temperature for up to 120 min. Identified as a metalloenzyme, the activity was improved by ferric ions. The purification of amylase resulted in two fractions which contained at least two types of amylases. Compared with other producers, the production was evaluated using low-cost media without additional supplementations. Based on the productivity, characteristics, and evaluation, Bacillus subtilis J12 amylase was potentially commercialized, had economic value, possessed energy-saving features, and could be applied for industrial use.
1. Introduction
The development of low-cost processes is recognized as a crucial aspect and challenge in enzyme commercialization. To reduce production costs related to fermentation media, many studies have focused on utilizing agro-industrial residues as alternative media. Agricultural wastes such as rice husk, wheat straw, pearl millet straw, moong husk, sugar cane bagasse, oat straw, maize straw, potato, orange, and pomegranate peels have been reported as media supplements in alpha-amylase production [1]. On the other hand, the cost of media composition was rarely evaluated, even though many agro-industrial residues were studied as media for amylase production. In fact, it is important for industrial consideration based on the feasibility and disadvantages.
Okara, a by-product of soy milk and tofu production that is rich in nutritional composition, has the potential to serve as an alternative bacterial cultivation medium to produce enzymes. Okara could serve as a carbon, nitrogen, and other nutrition source to support bacterial growth. Moreover, other studies have reported that okara remains high in dietary fiber, protein, unsaturated fatty acids, isoflavones, minerals, and oligosaccharides [2]. Okara comprises 50% dietary fiber, 25% protein, 10% lipid, 3.8–5.3% carbohydrates, and 3–4.5% ash in 100 g of dry matter [3]. Several carbohydrates, such as carbon sources, play a role as stimulants from 1.0–6.0% to optimize amylase production [1]. On the other hand, the high global annual production of okara led to the high costs of okara disposal. For example, Japan has a huge okara production and spent approximately USD 145 million on the disposal of 800,000 metric tons of okara [4]. In other cases, okara is possibly unprocessed and improperly disposed in the environment, leading to new environmental issues. Consequently, okara utilization is promising to produce eco-friendly products such as enzymes to reduce waste and save our environment.
Fungi and bacteria are the primary producers of amylase and are extensively used in various industries. Amylase is commonly used to convert starch or other polysaccharides into small units of sugars, such as glucose and maltose. On an industrial scale, amylase is utilized as a biocatalyst for various purposes, including starch processing, liquefaction, and maltose syrup production, as well as in baking, biofuel production, feed, paper, textile, detergent, and pharmaceutical industries [5,6,7,8,9]. Bacillus subtilis, Bacillus licheniformis, Bacillus cereus, and Anoxybacillus amylolyticus are among the most common amylase-generating bacteria used in industry [10]. In addition, a previous study reported that Bacillus subtilis J12 can produce thermophilic CMCase and xylanase through submerged fermentation and are recognized as Gram-positive bacteria, have a rod shape, are motile, and the colony is circular, raised, translucent, and smooth [11]. The B. subtilis has a single-cell membrane that facilitates protein secretion, simplifies downstream processing, and reduces process costs. These strain characteristics fulfill the generally recognized as safe (GRAS) requirement [12]. This suggests the potential for exploring other enzymes that act on polysaccharides from B. subtilis J12, such as amylase.
In enzyme production, the fermentation method plays an important role, which influences enzyme activity and productivity. Thus, solid-state fermentation (SSF) is the preferred method for amylase production due to okara being is stored in a dried condition to extend its shelf life and prevent contamination. Under solid-state fermentation, okara support microbial growth on the surface and, inside, a solid matrix in the absence of free water [13]. This method yields a higher enzyme concentration, increases enzyme efficiency, and exhibits different enzyme characteristics compared to submerged fermentation [14,15]. Solid-state fermentation involves positioning the cultured microorganisms close to the substrate. It facilitates microbial physiological and physicochemical factors that influence the fermentation process [16].
Nevertheless, some evidence showed that amylase produced by bacteria exhibited lower enzymatic activity and distinct characteristics compared to fungal amylase. This may be attributed to the unique enzyme conformation of bacterial amylase, which could affect its catalytic activity. Enhancing enzyme function and activation through adjustments in its conformation is achievable, due to its innate properties and characteristics. Therefore, this study aimed to produce, characterize, and activate amylase from the solid-state fermentation of okara by B. subtilis J12, as well as evaluate the material cost for media production.
2. Materials and Methods
2.1. Bacterial Strain and Inoculum Preparation
Bacillus subtilis J12, isolated from hot spring water (GenBank accession number KP996492), was kept in the culture collection of the Faculty of Technology, Khon Kaen University, Khon Kaen, Thailand. The culture was refreshed in nutrient broth for 18–24 h at 37 °C before separating the cell by centrifugation at 10,000 rpm for 2 min (AS One, Osaka, Japan). The cell pellet was washed and diluted in sodium chloride (0.85% v/v). Furthermore, optical density was adjusted to 1.00 (4.7 × 105 CFU/mL) at 600 nm using a UV-VIS spectrophotometer (AS One, Osaka, Japan).
2.2. Media Preparation
Okara was rinsed with water to clean it and was placed in the hot air oven at 60 °C until dry. Dried okara was kept in a closed pack at room temperature. Before fermentation, the dried okara was weighed and autoclaved at 121 °C for 15 min.
2.3. Production of Amylase
Production of amylase was carried out by solid-state fermentation (SSF). In brief, sterile distilled water was added to the okara and the moisture content was maintained (65–70% v/w). The inoculum of B. subtilis J12 (10% of the initial media weight v/w) was inoculated into okara and it was mixed manually before incubating at 37 °C for 48 h. The fermented okara was collected at 12, 24, 30, 36, and 48 h. Crude amylase was extracted by adding sterile distilled water into the fermented samples in a ratio of 1:7 (w/v) and waiting for 30 min. Crude amylase was filtered twice using Whatman No. 1 filter paper (Cytiva, Little Chalfont, UK), followed by centrifugation (SIGMA, Osterode am Harz, Germany) at 10,000 rpm, 4 °C for 10 min to obtain the supernatant.
2.4. Determination of Amylase Activity
The amylase activity was determined according to Bernfeld [17], with slight modifications. Briefly, 0.25 mL of crude enzyme was added to 0.25 mL of soluble starch (1% w/v) in 0.5 mM sodium phosphate buffer (pH 4.5). The mixture was incubated at 37 °C for 10 min, followed by adding 0.5 mL of 3,5-dinitrosalicylic acid (DNS) solution [18]. A control of the reaction was performed by mixing the substrate and DNS solution before adding the enzyme. The test tube was capped and immediately boiled for 5 min. Furthermore, the mixture was cooled in cold water and 5 mL of distilled water was added. Absorbance was read at 540 nm against the blank solution without the enzyme. D(+)-glucose (KemAus, Cherrybrook, Australia) solution was prepared as the standard. One unit of amylase activity is defined as the amount of enzyme required to release 1 µmol of reducing sugar as glucose per minute, under assay conditions. Amylase activity and productivity were calculated by the formulae as follows.
where A is the concentration of standard equivalent released (mg/mL), B is the total assay volume (mL), C is the molecular weight of the standard used (g/mol), D is the reaction time (minute), E is the volume of enzyme used (mL), F is the dissolving volume (mL), G is the weight of dry substrate (g), and H is the fermentation time (h).
2.5. Characterization of Amylase
2.5.1. Effect of pH on Amylase Activity
Several buffers were used to determine the optimum pH for amylase activity: 0.1 M acetate buffer (pH 4.0 and 5.0), 0.1 M sodium phosphate buffer (6.0 and 7.0), and 0.1 M Tris-HCl buffer (pH 8.0 and 9.0). In brief, 0.5 mL of the enzyme was mixed with a buffer of up to 1 mL of the final volume. Immediately, the enzyme buffer solution was added into soluble starch 1% (v/v) and incubated at room temperature (25 °C) for 10 min before the DNS was added. The activity was tested following the DNS method [18].
2.5.2. Effect of Temperature on Amylase Activity
The reaction between enzyme and 1% (v/v) soluble starch at the optimal pH (Section 2.5.1) was performed at different temperatures (30–100 °C) for 10 min, to determine the optimum temperature. The activity was tested following the DNS method [18].
2.5.3. Thermostability of Amylase Activity
The enzyme was pre-incubated at different temperatures (30–60 °C) and collected for 0–120 min. The enzyme was added into soluble starch 1% (v/v) with the optimal pH (Section 2.5.1) and incubated at 37 °C for 10 min. The relative activity (%) was compared with the activity at 0 min as 100% (control).
2.5.4. Effect of Organic Solvent on Amylase Activity
The enzyme was pre-incubated in organic solvents (methanol, ethanol, propan-2-ol, and n-butanol) at room temperature for 30 min at 10% and 25% (v/v) of the final concentration of solvents. The absence of an organic solvent was considered as 100% activity and then compared to the relative activity (%). All assays were performed under standard conditions.
2.5.5. Effect of Metal Ion on Amylase Activity
The enzyme was pre-incubated in metal ion solution (Na+, Ca2+, Mn2+, Mg2+, K+, and Fe3+) at room temperature (25 °C) for 30 min at 5 mM and 10 mM of the final concentration of the metal ions. The activity in the absence of metal ions as the control was taken to be 100% and compared to the relative activity (%).
2.5.6. Effect of Ferric Ion on Amylase Activity
Different final concentrations of ferric ion (Fe3+) ranging from 5 mM to 25 mM were used for a pre-incubate enzyme for 30 min. The activity in the absence of ferric ions as the control was taken to be 100% and compared to the relative activity (%).
2.6. Hydrolysis Pattern
Analysis was carried out by following Thin Layer Chromatography (TLC) protocols with slight modifications [19]. Briefly, 3 µL of starch hydrolysate was spotted on TLC silica gel 60 F254 (Merck KGaA, Darmstadt, Germany and dried thrice before the mobile-phase movement step. The mobile-phase reagents were formulated by mixing n-butanol, propan-2-ol, ethanol, and deionized water in the ratio of 2:3:3:2, respectively. After the mobile phase, the TLC plate was immediately dipped into the color development reagent containing 2% (w/v) orcinol in 1% (v/v) sulfuric acid in ethanol. Furthermore, the TLC plate was heated at 90 °C until the colors of the spots were exhibited. Both D(+)-glucose (KemAus, Cherrybrook, Australia) and D(+)-maltose (KemAus, Cherrybrook, Australia) in the concentration of 1 mg/mL (w/v) were used as standard markers.
2.7. Purification of Amylase
The crude enzyme in the form of supernatant was filtered with 0.45 µm of cellulose acetate membrane (FilTrex, Encinitas, CA, USA) to separate the cells and other particulates. The crude enzyme was partially purified with one-step purification using the NGC Quest 10 Chromatography System (BioRad, Hercules, CA, USA) equipped with the anion exchange column (Mecro-Prep High Q, BioRad, Hercules, CA, USA). The column was equilibrated and washed with deionized water, followed by 0.1 M Tris buffer (pH 8.0) as the initial buffer and eluted by NaCl 1 M at a flow rate of 5.0 mL/min. The fractions were collected and tested for amylase activity at pH 6.0 and 50 °C, followed by measuring reducing sugar by the 3,5-dinitrosalicylic acid (DNS) method. Fractions with the highest activity were chosen to analyze the purity using Native PAGE, SDS-PAGE, and zymography.
2.8. Native PAGE, SDS-PAGE, and Zymography of Amylase
The molecular weight of amylase was estimated using Native PAGE and SDS-PAGE according to Laemmli [20], with slight modifications, and proved the activity of zymography. Native PAGE and zymography were performed under non-denaturing treatment, to maintain enzyme activity. Standard molecular weight of protein (Bio-helix, New Taipei, Taiwan) was used. In brief, fractions were loaded onto Native PAGE and Tris-HCl SDS-PAGE gel (10% separating and 4.5% stacking gel). The electrophoresis was constantly run (100 V; 400 mA) and stained with Coomassie Brilliant Blue R-250 (AppliChem, Darmstadt, Germany).
In addition, Native zymography was carried out by loading fractions into 10% separating gel containing 0.1% (w/v) soluble starch. After electrophoresis, the gel was gently agitated in 1% (v/v) Triton X-100 for 30 min and rinsed at least five times with deionized water. The gel was incubated in Tris buffer (pH 7.0) at 37 °C for 1 h. After incubation, the gel was stained with Lugol’s iodine solution and the clear zone was determined as the enzyme activity.
2.9. Material Cost Evaluation
Variable material costs including agricultural wastes, chemicals, and media supplements, were calculated for cost evaluation. The cost of agricultural waste was assumed as the free material, while additional ingredients such as the chemicals and media supplementation prices were considered from the available price on the distributor website. Calculations were formulated for cost evaluation based on the total material needed, as follows.
Cost per unit (USD) = (Material cost (USD)/100 g) × Material used (g)
Total cost (USD) = Σ Cost per unit (USD)
2.10. Statistical Analysis
The data results were analyzed by one-way analysis of variance (ANOVA) using IBM SPSS version 28.0 (IBM Corp, Armonk, NY, USA). The significance of all data results was determined at a p-value < 0.05.
3. Results and Discussion
3.1. Production of Amylase Under Solid-state Fermentation
The fermentation time is crucial in the production of enzymes that depend on bacterial growth during fermentation. In this study, amylase activity was performed at different fermentation periods (12, 24, 30, 36, and 48 h). As shown in Figure 1, B. subtilis J12 produced extracellular amylase of 983 U/g from okara in 24 h, which was determined as the suitable time for amylase production with a productivity of 40.96 U/g per hour. After 30 h fermentation, there was a notable decrease in activity, possibly due to the nutrient components being limited in a long period of fermentation [21].
Figure 1.
Bacillus subtilis J12 amylase activity and productivity from okara in solid-state fermentation. Different superscripts show a significant difference (p < 0.05).
Efficient enzyme production with high enzyme activity and productivity is considered for commercial purposes. The cost of production is a major factor in the total cost of industrial processes. Thus, with high productivity, the cost of production can be minimized [22]. Commonly, the catalytic activity of extracellular amylase produced by bacteria is lower than that of fungal amylase. However, bacteria possess the capability to grow more rapidly than fungi. Therefore, the fermentation time and media could be optimized to obtain high bacterial enzyme productivity.
As indicated in Table 1, B. subtilis J12 exhibited competitive productivity, with faster production. This discovery is an advantage for enzyme manufacturers for fulfilling the high demand for amylase in the industrial sector. With faster production, B. subtilis J12 could compete with other amylase producers that utilize agro-industrial residue as a media. Our findings showed that, within 24 h, B. subtilis J12 can reach high productivity among bacterial and fungal producers. Hence, this finding and comparison can prove that B. subtilis J12 amylase can be potentially developed for commercial purposes.
Table 1.
Comparison of amylase production by different agro-industrial residue media.
3.2. Characterization of Amylase
3.2.1. Effect of pH on Amylase Activity
The amylase activity was measured atdifferent pH buffers from 4.0 to 9.0. As shown in Figure 2a, amylase activity was not significantly different at the pH range of 4.0 to 7.0. The optimum pH for amylase activity was 6.0 (sodium phosphate buffer). The enzyme was active more than 80% of the maximum activity in the range of acidic and neutral conditions. However, the amylase activity of B. subtilis J12 decreased in the alkali environment and exhibited 49% of the maximum activity at pH 9.0. This corresponded to another study of a novel acidic thermostable α-amylase, which exhibited 72% activity at pH 4.0 and 46% activity at pH 9.0 [8].
Figure 2.
Effect of (a) pH and (b) temperature on amylase activity and (c) thermostability of amylase activity. Different superscripts show a significant difference (p < 0.05).
3.2.2. Effect of Temperature on Amylase Activity
Amylase activity was tested under different temperatures, from 30 °C to 100 °C. As shown in Figure 2b, the amylase works well in the range of 40 to 70 °C, exhibiting more than 75% of the maximum activity. This finding supported energy saving due to enzyme activation at moderate temperatures. However, the amylase activity declined at temperatures of more than 60 °C. The high temperature might influence the active site of the enzyme; then, the enzyme became inactive or potentially denaturized. A previous study revealed that α-amylase from Bacillus methylotrophicus DCS1 reached the maximum activity at 60 to 65 °C [28]. In contrast, α-amylase from Aspergillus fumigatus SKF-2 produced under solid-state fermentation exhibited the maximum activity at 30 °C [26].
3.2.3. Thermostability of Amylase Activity
The stability of amylase activity was measured after pre-incubation within 120 min at different temperatures between 30 and 60 °C. Based on the result in Figure 2c, the enzyme was stable at 30 to 50 °C for 120 min and retained more than 80% activity at 50 °C from the initial pre-incubation time. In addition, the activity gradually decreased during pre-incubation at 60 °C. Thus, it was determined that the optimum amylase activity was at 50 °C. These findings implied that long exposure to high temperature affected B. subtilis J12 amylase activity. The enzymes gradually lose their activity at high temperature because proteins in their structure become inactive due to heat or, potentially, through peptide chain hydrolysis, amino acid breakdown, or protein aggregation or denaturation. Other studies reported that α-amylase from Bacillus velezensis KB 2216 under submerged fermentation using a combination of agricultural wastes showed a reduction of 50% activity when the temperature increased more than 60 °C [1]. In addition, α-amylase from Trichoderma pseudokoningii under solid-state fermentation using orange peels was highly stable at 80 °C for 1 h enzyme incubation [29].
3.2.4. Effect of Organic Solvent on Amylase Activity
The amylase activity was observed after pre-incubating the enzyme in different concentrations of organic solvents. As shown in Figure 3, all organic solvents at concentrations of 10% and 25% significantly decreased amylase activity of B. subtilis J12. The enzyme maintained over 80% of its relative activity in the presence of solvents. The polarity change in the enzyme caused by organic solvent disrupts the active-site conformation, making it less effective at catalyzing reactions. Organic solvent influenced the reduction of enzyme catalytic activity due to the conformational change, loss of conformational flexibility and crucial water, thermodynamic stabilization, and interfacial inactivation [30]. Previous studies indicated that higher amounts of methanol, propanol, and butanol led to potent inhibition of amylase activity, which retained 36%, 31%, and loss activity at 30% of organic solvents [31].
Figure 3.
Effect of organic solvents on amylase activity. Different superscripts for each concentration show a significant difference (p < 0.05).
3.2.5. Effect of Metal Ion on Amylase Activity
Metal ions activate or inhibit enzymes by involving the catalytic ability or modifying the structural conformation. As shown in Figure 4a, amylase activity was decreased in the presence of Na+, Ca2+, Mn2+, Mg2+, K+, and Fe3+ at 5 mM of metal concentration. The relative activity of all metal ions retained >75% at 5 mM of metal concentration. According to a previous study, Timilsina et al. [32] reported that α-amylase activity was reduced in the presence of 0.1 to 10 mM of Ba2+, Ca2+, Co2+, Cu2+, Fe2+, K+, Mg2+, Mn2+, Ni2+, Pb2+, Sn2+, and Zn2+.
In contrast, this study showed that the amylase was stable and maintained the activity in the presence of 10 mM of Mn2+ and Fe3+. This finding indicated that amylase from B. subtilis J12 needs more specific metal ion content and a specific concentration for structural integrity and catalytic activity. Thus, amylase from B. subtilis J12 can be identified as a metalloenzyme. Previous studies reported that some metal ions increased amylase activity due to the stabilization of the active conformation. In the presence of metal ions, the active site of the enzyme can be improved by changing the active conformation. For instance, Bano et al. [33] reported that 1 mM of Mn2+, K+, and Fe2+ activate and raise amylase activity by about 363%, 165%, and 147%, respectively. Similarly, Karaca Açarı et al. [34] observed that divalent metal ions like Mn2+ and Co2+ at 5 mM of concentration have similar increases in free-amylase and immobilized-amylase activity.
3.2.6. Effect of Ferric Ion on Amylase Activity
In the presence of ferric ions, the relative activity was increased at 15 mM concentration up to 132% that of a control sample without ferric ions (Figure 4b). However, higher concentrations of ferric ions decreased the activity and retained about 18% activity at 25 mM ferric ion concentrations. These findings indicated that amylase from B. subtilis J12 was a metalloenzyme, since it needed specific ions at an optimum concentration of ferric ions. Ferric ion stabilizes and prolongs amylase activity by improving the active site or combining with enzymes. Thus, ferric ions played a role as a cofactor that increased the catalytic activity. In contrast, if the concentration of ferric ions is iexcessive, they might inhibit enzyme actives sites in binding substrate. Kizhakedathil and C [35] reported that α-amylase activity from Pseudomonas balearica VITPS19 increased when 1 mM of Ca2+ was added and decreased at greater concentrations.
Figure 4.
Effect of (a) metal ions and (b) ferric ions on amylase activity. Different superscripts for each concentration show a significant difference (p < 0.05).
Figure 4.
Effect of (a) metal ions and (b) ferric ions on amylase activity. Different superscripts for each concentration show a significant difference (p < 0.05).

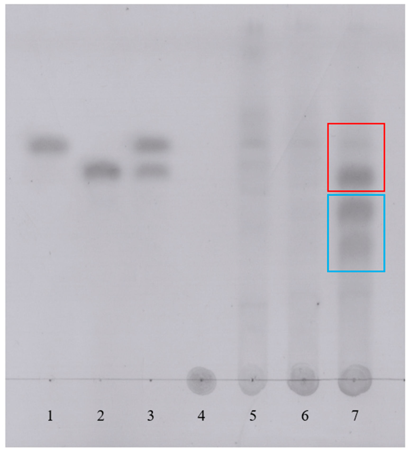
3.3. Hydrolysis Pattern of B. subtilis J12 Amylase
A starch hydrolysis pattern from B. subtilis J12 crude amylase was observed. As shown in Figure 5, glucose and maltose were the hydrolysis products that are shown in a red square (lane 7). However, starch hydrolysate also showed molecules larger than glucose and maltose, as shown in a blue square (lane 7). It indicated that crude amylase released incompletely hydrolyzed starch. A crude preparation of amylase showed lower degradation of starch than amylase partially purified by ammonium sulfate precipitation [36]. It means the purification step increased the enzyme purity and influenced the hydrolysis results. Thus, the high purity enzyme resulted in more specific products.
Figure 5.
The TLC chromatogram of starch hydrolysate by B. subtilis J12 amylase. 1 glucose; 2 maltose; 3 glucose and maltose; 4 1% starch; 5 crude amylase; 6 control; 7 starch hydrolysate; Red square small sugar molecules; blue square large sugar molecules.
3.4. Partial Purification of Amylase
As shown in Figure 6, the peak of protein detection (λ 280 nm) was found in several fractions, while amylase activity was found in fraction 9 (F9) and fraction 10 (F10). These findings indicated that during the washing step with Tris buffer pH 8.0, amylase was still bound to the anion exchanger. Furthermore, amylase was eluted the late phase with NaCl.
Figure 6.
Chromatograms obtained from NGC Quest 10 Chromatography System equipped with the anion-exchange column (Mecro-Prep High Q).
The purity of B. subtilis J12 amylase was verified by Native PAGE, SDS-PAGE, and zymography analysis. Several protein bands were found in SDS-PAGE and Native PAGE (Figure 7a,b). When compared with Native zymography, the results in the red square showed that two clear zones appeared on lanes 1 to 4 (Figure 7c). It confirmed the presence of at least two types of B. subtilis J12 amylase. However, it could not indicate the molecular weight of the specific enzyme, due to the presence of protein contamination in the partially purified enzyme. Further purification steps to obtain pure amylase should be considered, to determine the type of amylase and increase the enzyme efficacy when it is applied for many purposes. Other studies reported that amylase from Anoxybacillus ayderensis had a molecular weight of 58.5 kDa [37] and amylase from Bacillus sp. had a molecular weight ranging from 43 to 240 kDa [38].
Figure 7.
(a) SDS-PAGE; (b) Native PAGE; (c) Native zymography of partially purified amylase from B. subtilis J12. M marker 1 crude enzyme; 2 F9; 3 F10; 4 mixed F9 and F10.
3.5. Feasibility of Media Cost for Amylase Production
The media and substrate contribute to a significant portion of the overall expenses for enzyme production. Medium optimization and selection are the first steps to reduce production costs. The cost for production media for B. subtilis J12 amylase was evaluated and compared with other amylase producers that utilize agro-industrial waste (Table 2). In this case, the agro-industrial residue was assumed to be a free by-product to create low-cost media and make equal comparisons among the agro-industrial residues. Compared with other amylase producers, B. subtilis J12 used only okara as the media and substrate in amylase production, including the extraction process, without additional ingredients. Consequently, this study concluded that there is no cost forproduction of B. subtilis J12 amylase media.
Table 2.
Cost comparison of media for amylase production under solid-state fermentation.
Moreover, this innovation can produce high activity and productivity of amylase, and it is cheaper than others. They added other materials besides agro-industrial waste into the production media, and the amount of materials varied, which influenced the high total cost for production. Among bacterial amylase producers, B. subtilis J12 is superior, depending on the cost of the media, activity, and productivity. In contrast, B. subtilis J12 showed superiority in cost for media and production time if compared with fungal amylase producers. Therefore, the design of a low-cost material for the media and rapid production of amylase production in this study can be considered for B. subtilis J12 amylase commercialization.
On the other hand, the effectiveness of the fermentation method toward the media also influenced the enzyme productivity. This study emphasized an easier approach for effective amylase production while using okara as the low-cost medium. Since okara contains high fibers, solid-state fermentation is an appropriate technique to produce enzymes. The comparison in Table 2 also proved that solid-state fermentation performed well in the bioconversion of agro-industrial residue to produce amylase as a value-added and eco-friendly product. Solid-state fermentation decreased the downstream liquid-volume treatment, with less stirring during fermentation [15]. It raises awareness of green manufacturing concepts and promoted the circular economy and sustainable agriculture by reducing agro-industrial waste, liquid residue, and energy usage [15,39]. Consequently, it is profitable. Capital and operational expenses can be lowered, as well as supporting the green revolution and ecological transition.
In analyzing the potential of B. subtilis J12 for commercialization, this study is limited to evaluating the production media using okara. However, other important factors should be considered, such as capital, operational cost, procurement cost, distribution, and project profit. Primary scale-up of the pilot experiment should be done in the next investigation, to evaluate advanced production effectiveness, determine the downstream processes, evaluate the system quality, and to carry out a cost analysis. In this step, the selection of a fermenter type could be the key to maximal production results and could reflect the sustainability of scaling up enzyme production. Solid-state fermentation has disadvantages. The fermentation should be maintained and monitored regularly, due to the initial moisture loss from the medium during the fermentation period [13,40,41]. Simple, easy-to-use, and cost-effective fermenters are important in the development of amylase production process [27]. Certain types of fermenters or bioreactors are options, such as a tray, rotating disc, column, fixed bed, packed bed, rotating drum, fluidized bed, air-pressure pulsation, airlift, and immersion bioreactors, mechanically stirred reactors, and even plug flow configurations [13,15]. Therefore, many aspects should be evaluated in advance, to achieve the commercialization goals of B. subtilis J12 amylase.
4. Conclusions
In the current study, solid-state fermentation of okara by B. subtilis J12 was performed to generate 983 U/g amylase within 24 h. The characteristics of the crude amylase indicated an optimal condition at pH 6.0 and 50 °C, and it was stable in the range of 30 °C to 50 °C for 120 min. The amylase activity was inhibited by organic solventsand could be activated by ferric ions as the metalloenzyme. The purification of amylase resulted in two fractions, and both fractions contained at least two types of amylases. The highlight of this finding provides new insight into the competitiveness of B. subtilis J12 amylase produced from an agro-industrial residue, i.e., a low-cost okara medium to generate eco-friendly products. Considering the productivity and its characteristics, B. subtilis J12 amylase can potentially be commercialized, has economic value, withenergy-saving potential, for industrial use.
Author Contributions
M.K.M., Conceptualization, data curation, formal analysis, methodology, writing—original draft preparation, investigation, validation, visualization. S.J., data curation, formal analysis, methodology. K.P.-o., data curation, formal analysis, methodology. J.A., conceptualization, funding acquisition, data curation, formal analysis, methodology, investigation, project administration, supervision, validation, visualization, writing—review and editing. All authors have read and agreed to the published version of the manuscript.
Funding
The research has received funding support from The Fundamental Fund of Khon Kaen University, the National Science Research and Innovation (NSRF) of Thailand, The KKU Scholarship for ASEAN and GMS Personnel countries.
Institutional Review Board Statement
Not applicable.
Informed Consent Statement
Not applicable.
Data Availability Statement
The raw data supporting the conclusions of this article will be made available by the authors on request.
Acknowledgments
The authors gratefully acknowledge the support from the KKU Scholarship for ASEAN and GMS Personnel countries, which provided the opportunity to study and conduct research at the Faculty of Technology, Khon Kaen University, Thailand.
Conflicts of Interest
The authors declare no conflicts of interest.
References
- Bhatt, K.; Lal, S.; R, S.; Joshi, B. Bioconversion of agriculture wastes to produce α-amylase from Bacillus velezensis KB 2216: Purification and characterization. Biocatal. Agric. Biotechnol. 2020, 28, 101703. [Google Scholar] [CrossRef]
- Hadj Saadoun, J.; Calani, L.; Cirlini, M.; Bernini, V.; Neviani, E.; Del Rio, D.; Galaverna, G.; Lazzi, C. Effect of fermentation with single and co-culture of lactic acid bacteria on okara: Evaluation of bioactive compounds and volatile profiles. Food Funct. 2021, 12, 3033–3043. [Google Scholar] [CrossRef] [PubMed]
- Li, B.; Qiao, M.; Lu, F. Composition, nutrition, and utilization of okara (soybean residue). Food Rev. Int. 2012, 28, 231–252. [Google Scholar] [CrossRef]
- Joo, K.H.; Kerr, W.L.; Cavender, G.A. The effects of okara ratio and particle size on the physical properties and consumer acceptance of tofu. Foods 2023, 12, 3004. [Google Scholar] [CrossRef]
- Naik, B.; Kumar, V.; Rizwanuddin, S.; Chauhan, M.; Gupta, A.K.; Rustagi, S.; Kumar, V.; Gupta, S. Agro-industrial waste: A cost-effective and eco-friendly substrate to produce amylase. Food Prod. Process. Nutr. 2023, 5, 30. [Google Scholar] [CrossRef]
- Mondal, S.; Mondal, K.; Halder, S.K.; Thakur, N.; Mondal, K.C. Microbial amylase: Old but still at the forefront of all major industrial enzymes. Biocatal. Agric. Biotechnol. 2022, 45, 102509. [Google Scholar] [CrossRef]
- Saleh, F.; Hussain, A.; Younis, T.; Ali, S.; Rashid, M.; Ali, A.; Mustafa, G.; Jabeen, F.; AL-Surhanee, A.A.; Alnoman, M.M.; et al. Comparative growth potential of thermophilic amylolytic Bacillus sp. on unconventional media food wastes and its industrial application. Saudi J. Biol. Sci. 2020, 27, 3499–3504. [Google Scholar] [CrossRef]
- Sadeghian Motahar, S.F.; Ariaeenejad, S.; Salami, M.; Emam-Djomeh, Z.; Sheykh Abdollahzadeh Mamaghani, A. Improving the quality of gluten-free bread by a novel acidic thermostable α-amylase from metagenomics data. Food Chem. 2021, 352, 129307. [Google Scholar] [CrossRef]
- Paul, J.S.; Gupta, N.; Beliya, E.; Tiwari, S.; Jadhav, S.K. Aspects and recent trends in microbial α-Amylase: A review. Appl. Biochem. Biotechnol. 2021, 193, 2649–2698. [Google Scholar] [CrossRef]
- Paul, J.S.; Beliya, E.; Tiwari, S.; Patel, K.; Gupta, N.; Jadhav, S.K. Production of biocatalyst α-amylase from agro-waste ‘rice bran’ by using Bacillus tequilensis TB5 and standardizing its production process. Biocatal. Agric. Biotechnol. 2020, 26, 101648. [Google Scholar] [CrossRef]
- Kuancha, C.; Sukklang, S.; Detvisitsakun, C.; Chanton, S.; Apiraksakorn, J. Fermentable sugars production from lignocellulosic materials hydrolysis by thermophilic enzymes from Bacillus subtilis J12. In Proceedings of the International Conference on Alternative Energy in Developing Countries and Emerging Economies, Bangkok, Thailand, 25–26 May 2017. [Google Scholar] [CrossRef]
- Su, Y.; Liu, C.; Fang, H.; Zhang, D. Bacillus subtilis: A universal cell factory for industry, agriculture, biomaterials and medicine. Microb. Cell Factories 2020, 19, 173. [Google Scholar] [CrossRef] [PubMed]
- Oiza, N.; Moral-Vico, J.; Sánchez, A.; Oviedo, E.R.; Gea, T. Solid-state fermentation from organic wastes: A new generation of bioproducts. Processes 2022, 10, 2675. [Google Scholar] [CrossRef]
- Barrios-González, J. Solid-state fermentation: Physiology of solid medium, its molecular basis, and applications. Process Biochem. 2012, 47, 175–185. [Google Scholar] [CrossRef]
- Chilakamarry, C.R.; Mimi Sakinah, A.M.; Zularisam, A.W.; Sirohi, R.; Khilji, I.A.; Ahmad, N.; Pandey, A. Advances in solid-state fermentation for bioconversion of agricultural wastes to value-added products: Opportunities and challenges. Bioresour. Technol. 2022, 343, 126065. [Google Scholar] [CrossRef]
- Pranay, K.; Padmadeo, S.R.; Prasad, B. Production of amylase from Bacillus subtilis sp. strain KR1 under solid state fermentation on different agrowastes. Biocatal. Agric. Biotechnol. 2019, 21, 101300. [Google Scholar] [CrossRef]
- Bernfeld, P. Methods of Enzymology; Academic Press: New York, NY, USA, 1955; Volume 1, pp. 149–158. [Google Scholar]
- Miller, G.L. Use of dinitrosalisylic acid reagent for determination of reducing sugar. Anal. Chem. 1959, 31, 426–428. [Google Scholar] [CrossRef]
- Phirom-on, K.; Apiraksakorn, J. Development of cellulose-based prebiotic fiber from banana peel by enzymatic hydrolysis. Food Biosci. 2021, 41, 101083. [Google Scholar] [CrossRef]
- Laemmli, U.K. Cleavage of structural protein during the assembly of the head of bacteriophage T4. Nature 1970, 227, 680–685. [Google Scholar] [CrossRef] [PubMed]
- Elumalai, P.; Lim, J.M.; Park, Y.J.; Cho, M.; Shea, P.J.; Oh, B.T. Agricultural waste materials enhance protease production by Bacillus subtilis B22 in submerged fermentation under blue light-emitting diodes. Bioprocess Biosyst. Eng. 2020, 43, 821–830. [Google Scholar] [CrossRef]
- Siddiqui, K.S.; Ertan, H.; Poljak, A.; Bridge, W.J. Evaluating enzymatic productivity-The missing link to enzyme utility. Int. J. Mol. Sci. 2022, 23, 6908. [Google Scholar] [CrossRef]
- Mojumdar, A.; Deka, J. Recycling agro-industrial waste to produce amylase and characterizing amylase–gold nanoparticle composite. Int. J. Recycl. Org. Waste Agric. 2019, 8, 263–269. [Google Scholar] [CrossRef]
- Ghosh, P.; Das, A.; Gayen, S.; Chandra Mondal, K.; Ghosh, U. Statistical optimization of α-amylase production from Penicillium notatum NCIM 923 and kinetics study of the purified enzyme. Acta Biol. Szeged. 2015, 59, 179–188. [Google Scholar]
- Melnichuk, N.; Braia, M.J.; Anselmi, P.A.; Meini, M.R.; Romanini, D. Valorization of two agroindustrial wastes to produce alpha-amylase enzyme from Aspergillus oryzae by solid-state fermentation. Waste Manag. 2020, 106, 155–161. [Google Scholar] [CrossRef]
- Mondal, S.; Soren, J.P.; Mondal, J.; Rakshit, S.; Kumar Halder, S.; Mondal, K.C. Contemporaneous synthesis of multiple carbohydrate debranching enzymes from newly isolated Aspergillus fumigatus SKF-2 under solid state fermentation: A unique enzyme mixture for proficient saccharification of plant bioresources. Ind. Crop. Prod. 2020, 150, 112409. [Google Scholar] [CrossRef]
- Balakrishnan, M.; Jeevarathinam, G.; Kumar, S.K.S.; Muniraj, I.; Uthandi, S. Optimization and scale-up of α-amylase production by Aspergillus oryzae using solid-state fermentation of edible oil cakes. BMC Biotechnol. 2021, 21, 33. [Google Scholar] [CrossRef]
- Hmidet, N.; Jemil, N.; Nasri, M. Simultaneous production of alkaline amylase and biosurfactant by Bacillus methylotrophicus DCS1: Application as detergent additive. Biodegradation 2019, 30, 247–258. [Google Scholar] [CrossRef]
- Abdulaal, W.H. Purification and characterization of α-amylase from Trichoderma pseudokoningii. BMC Biochem. 2018, 19, 4. [Google Scholar] [CrossRef]
- Doukyu, N.; Ogino, H. Organic solvent-tolerant enzymes. Biochem. Eng. J. 2010, 48, 270–282. [Google Scholar] [CrossRef]
- Pandey, S.; Singh, S.P. Organic solvent tolerance of an α-amylase from haloalkaliphilic bacteria as a function of pH, temperature, and salt concentrations. Appl. Biochem. Biotechnol. 2012, 166, 1747–1757. [Google Scholar] [CrossRef]
- Timilsina, P.M.; Pandey, G.R.; Shrestha, A.; Ojha, M.; Karki, T.B. Purification and characterization of a noble thermostable algal starch liquefying alpha-amylase from Aeribacillus pallidus BTPS-2 isolated from geothermal spring of Nepal. Biotechnol. Rep. 2020, 28, e00551. [Google Scholar] [CrossRef]
- Bano, S.; Qader, A.U.; Aman, A.; Azhar, A. Partial purification and some properties of α-amylase from Bacillus subtilis KIBGE-HAS. Indian J. Biochem. Biophys. 2009, 46, 401–404. [Google Scholar] [PubMed]
- Karaca Açarı, İ.; Dik, G.; Bakar, B.; Ulu, A.; Önal, Y.; Ateş, B. Immobilization of α-amylase onto Quantum Dots prepared from Hypericum perforatum L. flowers and Hypericum capitatum seeds: Its physicochemical and biochemical characterization. Top. Catal. 2022, 66, 563–576. [Google Scholar] [CrossRef]
- Kizhakedathil, M.P.J.; C, S.D. Acid stable α-amylase from Pseudomonas balearica VITPS19—Production, purification and characterization. Biotechnol. Rep. 2021, 30, e00603. [Google Scholar] [CrossRef]
- Konsula, Z.; Liakopoulou-Kyriakides, M. Hydrolysis of starches by the action of an α-amylase from Bacillus subtilis. Process Biochem. 2004, 39, 1745–1749. [Google Scholar] [CrossRef]
- Matpan Bekler, F.; Güven, K.; Gül Güven, R. Purification and characterization of novel α-amylase from Anoxybacillus ayderensis FMB1. Biocatal. Biotransform. 2021, 39, 322–332. [Google Scholar] [CrossRef]
- Rajesh, R.; Gummadi, S.N. α-Amylase and cellulase production by novel halotolerant Bacillus sp.PM06 isolated from sugarcane pressmud. Biotechnol. Appl. Biochem. 2022, 69, 149–159. [Google Scholar] [CrossRef]
- Mattedi, A.; Sabbi, E.; Farda, B.; Djebaili, R.; Mitra, D.; Ercole, C.; Cacchio, P.; del Gallo, M.; Pellegrini, M. Solid-state fermentation: Applications and future perspectives for biostimulant and biopesticides production. Microorganisms 2023, 11, 1408. [Google Scholar] [CrossRef]
- Prabhu, G.; Bhat, D.; Bhat, R.M.; Selvaraj, S. A critical look at bioproducts co-cultured under solid state fermentation and their challenges and industrial applications. Waste Biomass Valorization 2022, 13, 3095–3111. [Google Scholar] [CrossRef]
- Bibi, F.; Ilyas, N.; Saeed, M.; Shabir, S.; Shati, A.A.; Alfaifi, M.Y.; Amesho, K.T.T.; Chowdhury, S.; Sayyed, R.Z. Innovative production of value-added products using agro-industrial wastes via solid-state fermentation. Environ. Sci. Pollut. Res. 2023, 30, 125197–125213. [Google Scholar] [CrossRef]
Disclaimer/Publisher’s Note: The statements, opinions and data contained in all publications are solely those of the individual author(s) and contributor(s) and not of MDPI and/or the editor(s). MDPI and/or the editor(s) disclaim responsibility for any injury to people or property resulting from any ideas, methods, instructions or products referred to in the content. |
© 2024 by the authors. Licensee MDPI, Basel, Switzerland. This article is an open access article distributed under the terms and conditions of the Creative Commons Attribution (CC BY) license (https://creativecommons.org/licenses/by/4.0/).





