Production, Purification, and Characterization of Extracellular Lipases from Hyphopichia wangnamkhiaoensis and Yarrowia deformans
Abstract
1. Introduction
2. Materials and Methods
2.1. Microorganisms
2.2. Culture Media
2.3. Preparation of Inocula
2.4. Partial Purification of Extracellular Lipases from H. wangnamkhiaoensis and Y. deformans
2.5. Partial Characterization of Extracellular Lipases from H. wangnamkhiaoensis and Y. deformans
2.5.1. Effects of pH on Lipase Activity and Stability
2.5.2. Effects of Temperature on Lipase Activity and Stability
2.5.3. Effects of Some Inhibitors on Lipase Activity
2.5.4. Effects of Monovalent, Divalent, and Trivalent Ions on Lipase Activity
2.5.5. Effects of Organic Solvents on Lipase Activity
2.5.6. Determination of Reaction Kinetics of Lipases
2.6. Kinetics of Cell Growth, Substrate Consumption, and Extracellular Lipase Production by H. wangnamkhiaoensis and Y. deformans Using Olive Oil, Waste Cooking Oil, and Glycerol as Carbon and Energy Sources
2.7. Analytical Methods
2.7.1. Biomass Concentration
2.7.2. Substrate Concentration
2.7.3. Protein Concentration
2.7.4. Lipase Activity
2.7.5. Statistical Analysis
3. Results and Discussion
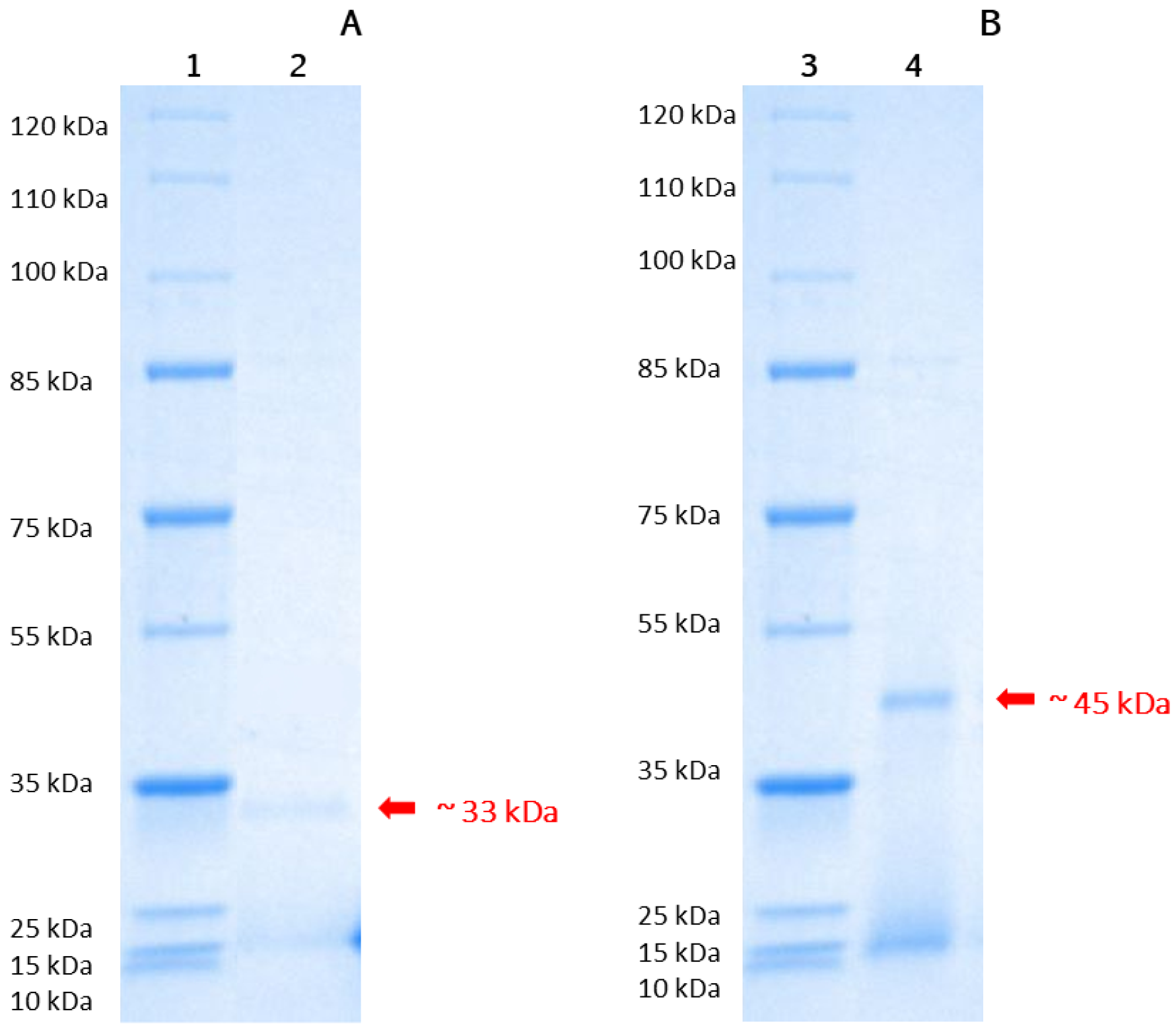
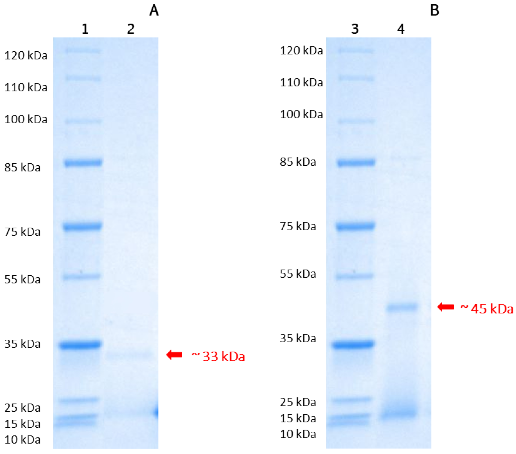
3.1. Partial Purification of Extracellular Lipases from H. wangnamkhiaoensis and Y. deformans
3.2. Partial Characterization of the Lipases from H. wangnamkhiaoensis and Y. deformans
3.2.1. Effects of pH on Lipase Activity and Stability
3.2.2. Effects of Temperature on Lipase Activity and Stability
3.2.3. Effects of Inhibitors on Lipase Activity
3.2.4. Effects of Monovalent, Divalent, and Trivalent Metal Cations on Lipase Activity
3.2.5. Effects of Organic Solvents on Lipase Activity
3.2.6. Determination of Kinetic Parameters (KM and Vmax) of H. wangnamkhiaoensis and Y. deformans Lipases
3.3. Kinetic Study of the Effects of Different Carbon Sources on Cell Growth, Substrate Utilization, and Extracellular Lipase Production of H. wangnamkhiaoensis and Y. deformans
4. Conclusions
Author Contributions
Funding
Institutional Review Board Statement
Informed Consent Statement
Data Availability Statement
Acknowledgments
Conflicts of Interest
References
- Aouf, C.; Durand, E.; Lecomte, J.; Figueroa-Espinoza, M.-C.; Dubreucq, E.; Fulcrand, H.; Villeneuve, P. The use of lipases as biocatalysts for the epoxidation of fatty acids and phenolic compounds. Green Chem. 2014, 16, 1740–1754. [Google Scholar] [CrossRef]
- Bharathi, D.; Rajalakshmi, G. Microbial lipases: An overview of screening, production and purification. Biocatal. Agric. Biotechnol. 2019, 22, 101368. [Google Scholar] [CrossRef]
- Kuncharoen, N.; Techo, S.; Savarajara, A.; Tanasupawat, S. Identification and lipolytic activity of yeasts isolated from foods and wastes. Mycology 2020, 11, 279–286. [Google Scholar] [CrossRef] [PubMed]
- Ali, S.; Khan, S.A.; Hamayun, M.; Lee, I.-J. The recent advances in the utility of microbial lipases: A review. Microorganisms 2023, 11, 510. [Google Scholar] [CrossRef] [PubMed]
- Sethi, B.K.; Nanda, P.K.; Sahoo, S. Characterization of biotechnologically relevant extracellular lipase produced by Aspergillus terreus NCFT 4269.10. Braz. J. Microbiol. 2016, 47, 143–149. [Google Scholar] [CrossRef]
- Alabdalall, A.H.; ALanazi, N.A.; Aldakeel, S.A.; AbdulAzeez, S.; Borgio, J.F. Molecular, physiological, and biochemical characterization of extracellular lipase production by Aspergillus niger using submerged fermentation. PeerJ 2020, 8, e9425. [Google Scholar] [CrossRef]
- Borkar, P.S.; Bodade, R.G.; Rao, S.R.; Khobragade, C.N. Purification and characterization of extracellular lipase from a new strain—Pseudomonas aeruginosa SRT 9. Braz. J. Microbiol. 2009, 40, 358–366. [Google Scholar] [CrossRef]
- Chandra, P.; Enespa; Singh, R.; Arora, P.K. Microbial lipases and their industrial applications: A comprehensive review. Microb. Cell Factories 2020, 19, 169. [Google Scholar] [CrossRef]
- Szymczak, T.; Cybulska, J.; Podleśny, M.; Frąc, M. Various perspectives on microbial lipase production using agri-food waste and renewable products. Agriculture 2021, 11, 540. [Google Scholar] [CrossRef]
- Cherif, S.; Mnif, S.; Hadrich, F.; Abdelkafi, S.; Sayadi, S. A newly high alkaline lipase: An ideal choice for application in detergent formulations. Lipids Health Dis. 2011, 10, 221. [Google Scholar] [CrossRef]
- Chávez-Camarillo, G.M.; Lopez-Nuñez, P.V.; Jiménez-Nava, R.A.; Aranda-García, E.; Cristiani-Urbina, E. Production of extracellular α-amylase by single-stage steady-state continuous cultures of Candida wangnamkhiaoensis in an airlift bioreactor. PLoS ONE 2022, 17, e0264734. [Google Scholar] [CrossRef]
- Jiménez-Nava, R.A.; Chávez-Camarillo, G.M.; Cristiani-Urbina, E. Kinetics of riboflavin production by Hyphopichia wangnamkhiaoensis under varying nutritional conditions. Int. J. Mol. Sci. 2024, 25, 9430. [Google Scholar] [CrossRef] [PubMed]
- Astudillo, Á.; Rubilar, O.; Briceño, G.; Diez, M.C.; Schalchli, H. Advances in agroindustrial waste as a substrate for obtaining eco-friendly microbial products. Sustainability 2023, 15, 3467. [Google Scholar] [CrossRef]
- Awogbemi, O.; Kallon, D.V.V.; Aigbodion, V.S.; Panda, S. Advances in biotechnological applications of waste cooking oil. Case Stud. Chem. Environ. Eng. 2021, 4, 100158. [Google Scholar] [CrossRef]
- Naik, B.; Kumar, V.; Rizwanuddin, S.; Chauhan, M.; Gupta, A.K.; Rustagi, S.; Kumar, V.; Gupta, S. Agro-industrial waste: A cost-effective and eco-friendly substrate to produce amylase. Food Prod. Process. Nutr. 2023, 5, 30. [Google Scholar] [CrossRef]
- Stikane, A.; Baumanis, M.R.; Muiznieks, R.; Stalidzans, E. Impact of waste as a substrate on biomass formation, and optimization of spent microbial biomass re-use by sustainable metabolic engineering. Fermentation 2023, 9, 531. [Google Scholar] [CrossRef]
- Yan, J.; Han, B.; Gui, X.; Wang, G.; Xu, L.; Yan, Y.; Madzak, C.; Pan, D.; Wang, Y.; Zha, G.; et al. Engineering Yarrowia lipolytica to simultaneously produce lipase and single cell protein from agro-industrial wastes for feed. Sci. Rep. 2018, 8, 758. [Google Scholar] [CrossRef]
- Foo, W.H.; Chia, W.Y.; Tang, D.Y.Y.; Koay, S.S.N.; Lim, S.S.; Chew, K.W. The conundrum of waste cooking oil: Transforming hazard into energy. J. Hazard. Mater. 2021, 417, 126129. [Google Scholar] [CrossRef]
- Foo, W.H.; Koay, S.S.N.; Chia, S.R.; Chia, W.Y.; Tang, D.Y.Y.; Nomanbhay, S.; Chew, K.W. Recent advances in the conversion of waste cooking oil into value-added products: A review. Fuel 2022, 324, 124539. [Google Scholar] [CrossRef]
- Yaakob, Z.; Mohammad, M.; Alherbawi, M.; Alam, Z.; Sopian, K. Overview of the production of biodiesel from waste cooking oil. Renew. Sustain. Energy Rev. 2013, 18, 184–193. [Google Scholar] [CrossRef]
- Mitrea, L.; Călinoiu, L.-F.; Teleky, B.-E.; Szabo, K.; Martău, A.-G.; Ştefănescu, B.-E.; Dulf, F.-V.; Vodnar, D.-C. Waste cooking oil and crude glycerol as efficient renewable biomass for the production of platform organic chemicals through oleophilic yeast strain of Yarrowia lipolytica. Environ. Technol. Innov. 2022, 28, 102943. [Google Scholar] [CrossRef]
- Bansal, N.; Dasgupta, D.; Hazra, S.; Bhaskar, T.; Ray, A.; Ghosh, D. Effect of utilization of crude glycerol as substrate on fatty acid composition of an oleaginous yeast Rhodotorula mucilagenosa IIPL32: Assessment of nutritional indices. Bioresour. Technol. 2020, 309, 123330. [Google Scholar] [CrossRef]
- Karayannis, D.; Papanikolaou, S.; Vatistas, C.; Paris, C.; Chevalot, I. Yeast lipid produced through glycerol conversions and its use for enzymatic synthesis of amino acid-based biosurfactants. Int. J. Mol. Sci. 2023, 24, 714. [Google Scholar] [CrossRef]
- Sarantou, S.; Stoforos, N.G.; Kalantzi, O.; Papanikolaou, S. Biotechnological valorization of biodiesel-derived glycerol: Trials with the non-conventional yeasts Yarrowia lipolytica and Rhodosporidium sp. Carbon Resour. Convers. 2021, 4, 61–75. [Google Scholar] [CrossRef]
- Semkiv, M.; Sibirny, A. Yeasts for bioconversion of crude glycerol to high-value chemicals. In Non-conventional Yeasts: From Basic Research to Application; Sibirny, A., Ed.; Springer: Berlin/Heidelberg, Germany, 2019; pp. 389–451. [Google Scholar]
- Chávez-Camarillo, G.M.; Santiago-Flores, U.M.; Mena-Vivanco, A.; Morales-Barrera, L.; Cortés-Acosta, E.; Cristiani-Urbina, E. Transient responses of Wickerhamia sp. yeast continuous cultures to qualitative changes in carbon source supply: Induction and catabolite repression of α-amylase synthesis. Ann. Microbiol. 2018, 68, 625–635. [Google Scholar] [CrossRef]
- Hernández-Montañez, Z.F.; Juárez-Montiel, M.; Velázquez-Ávila, M.; Cristiani-Urbina, E.; Hernández-Rodríguez, C.; Villa-Tanaca, L.; Chávez-Camarillo, G.M. Production and characterization of extracellular α-amylase produced by Wickerhamia sp. X-Fep. Appl. Biochem. Biotechnol. 2012, 167, 2117–2129. [Google Scholar] [CrossRef] [PubMed]
- Pérez-Rodríguez, A.; Flores-Ortiz, C.M.; Chávez-Camarillo, G.M.; Cristiani-Urbina, E.; Morales-Barrera, L. Potential capacity of Candida wangnamkhiaoensis to produce oleic acid. Fermentation 2023, 9, 443. [Google Scholar] [CrossRef]
- Jiménez-Nava, R.A.; Zepeda-Vallejo, G.; Santoyo-Tepole, F.; Chávez-Camarillo, G.M.; Cristiani-Urbina, E. RP-HPLC and 1H NMR identification of a yellow fluorescent compound –Riboflavin (vitamin B2)–produced by the yeast Hyphopichia wangnamkhiaoensis. Biomolecules 2023, 13, 1423. [Google Scholar] [CrossRef] [PubMed]
- García-Cortés, H. Selección e Identificación de una Levadura Proteolítica Aislada de una Fuente Natural. Bachelor’s Thesis, Escuela Nacional de Ciencias Biológicas, Mexico City, Mexico, 2022. [Google Scholar]
- Tan Gana, N.H.; Mendoza, B.C.; Monsalud, R.G. Isolation, screening and characterization of yeasts with amylolytic, lipolytic, and proteolytic activities from the surface of Philippine bananas (Musa spp.). Philipp. J. Sci. 2014, 143, 81–87. [Google Scholar]
- Kurtzman, C.P. Hyphopichia von Arx & van der Walt. In The Yeasts, a Taxonomic Study, 5th ed.; Kurtzman, C.P., Fell, J.W., Boekhout, T., Eds.; Elsevier: Amsterdam, The Netherlands, 2011; Volume 2, pp. 435–438. [Google Scholar]
- Boutur, O.; Dubreucq, E.; Galzy, P. Factors influencing ester synthesis catalysed in aqueous media by the lipase from Candida deformans (Zach) Langeron and Guerra. J. Biotechnol. 1995, 42, 23–33. [Google Scholar] [CrossRef]
- Novotný, Č.; Doležalová, L.; Musil, P.; Novak, M. The production of lipases by some Candida and Yarrowia yeasts. J. Basic Microbiol. 1988, 28, 221–227. [Google Scholar] [CrossRef]
- Muderhwa, J.M.; Ratomahenina, R.; Pina, M.; Graille, J.; Galzy, P. Purification and properties of the lipase from Candida deformans (Zach) Langeron and Guerra. J. Am. Oil Chem. Soc. 1985, 62, 1031–1036. [Google Scholar] [CrossRef]
- Chouhan, R.; Lapaka, S.; Alpula, N.; Podeti, S. Optimization and molecular characterization of lipase producing Bacillus subtilis strain Rcps3 and Bacillus fumarioli strain Rcps4 from oil-contaminated soils of Warangal. J. Pure Appl. Microbiol. 2020, 14, 2063–2074. [Google Scholar] [CrossRef]
- Kouker, G.; Jaeger, K.E. Specific and sensitive plate assay for bacterial lipases. Appl. Environ. Microbiol. 1987, 53, 211–213. [Google Scholar] [CrossRef]
- Misbah, A.; Aouine, M.; Raouan, S.E.; Lekbach, Y.; Ettadili, H.; Koraichi, S.I.; Tahri Jouti, M.A.T. Microorganisms isolated from Moroccan olive-mill wastes: Screening of their enzymatic activities for biotechnological use. Eur. Sci. J. 2019, 15, 464–494. [Google Scholar] [CrossRef]
- Castañeda-Agulló, M. Studies on the biosynthesis of extracellular proteases by bacteria. I. Serratia marcescens, synthetic and gelatin media. J. Gen. Physiol. 1956, 39, 369–375. [Google Scholar] [CrossRef]
- Antecka, A.; Blatkiewicz, M.; Boruta, T.; Górak, A.; Ledakowicz, S. Comparison of downstream processing methods in purification of highly active laccase. Bioprocess. Biosyst. Eng. 2019, 42, 1635–1645. [Google Scholar] [CrossRef]
- Dako, E.; Bernier, A.-M.; Dadie, A.T.; Jankowski, C.K. The problems associated with enzyme purification. In Chemical Biology; Ekinci, D., Ed.; IntechOpen: London, UK, 2012; pp. 19–40. [Google Scholar] [CrossRef]
- Melanie, H.; Anita, Y.; Aspiyanto; Susilowati, A.; Maryati, Y.; Mulyani, H.; Budiari, S. Partial purification of peroxidase from kailan (Brassica oleraceae var Alboglabra) by micro- and ultrafiltration membrane. AIP Conf. Proc. 2022, 2493, 040016. [Google Scholar] [CrossRef]
- Ramos, O.L.; Malcata, F.X. Purification of food-grade enzymes. In Comprehensive Biotechnology; Moo-Young, M., Ed.; Industrial Biotechnology and Commodity Products; Elsevier: Amsterdam, The Netherlands, 2017; Volume 3, pp. 587–603. [Google Scholar] [CrossRef]
- Yagmurov, E.R.; Kozlov, G.V.; Pushkarev, M.A. Lipase purification: The review of conventional and novel methods. J. Hyg. Eng. Des. 2017, 20, 60–69. [Google Scholar]
- Braga, A.; Gomes, N.; Belo, I. Lipase induction in Yarrowia lipolytica for castor oil hydrolysis and its effect on g-decalactone production. J. Am. Oil Chem. Soc. 2012, 89, 1041–1047. [Google Scholar] [CrossRef]
- Colacicco, M.; Ciliberti, C.; Biundo, A.; Agrimi, G.; Pisano, I. Study of lipase production by Yarrowia lipolytica grown in high concentration of hydrophobic carbon sources. Chem. Eng. Trans. 2022, 93, 247–252. [Google Scholar] [CrossRef]
- Laemmli, U.K. Cleavage of structural proteins during the assembly of the head of the bacteriophage T4. Nature 1970, 227, 680–685. [Google Scholar] [CrossRef] [PubMed]
- Li, X.; Qian, P.; Wu, S.-G.; Yu, H.-Y. Characterization of an organic solvent-tolerant lipase from Idiomarina sp. W33 and its application for biodiesel production using Jatropha oil. Extremophiles 2014, 18, 171–178. [Google Scholar] [CrossRef] [PubMed]
- Izard, J.; Limberger, R.J. Rapid screening method for quantitation of bacterial cell lipids from whole cells. J. Microbiol. Methods 2003, 55, 411–418. [Google Scholar] [CrossRef]
- Prazeres, D.M.F.; Garcia, F.A.P.; Cabral, J.M.S. Colorimetric assays for the determination of dioctyl sodium sulphosuccinate and glycerol in reverse micelles. Biotechnol. Tech. 1993, 7, 1–4. [Google Scholar] [CrossRef]
- Bradford, M.M. A Rapid and sensitive method for the quantitation of microgram quantities of protein utilizing the principle of protein-dye binding. Anal. Biochem. 1976, 72, 248–254. [Google Scholar] [CrossRef]
- Winkler, U.K.; Stuckmann, M. Glycogen, hyaluronate, and some other polysaccharides greatly enhance the formation of exolipase by Serratia marcescens. J. Bacteriol. 1979, 138, 663–670. [Google Scholar] [CrossRef]
- Çorbacı, C.; Kartal, F.; Yalçın, H.T. Production and partial purification of extracellular lipase produced by a novel yeast strain Candida odintsovae TY42. Turk. J. Biochem. 2014, 39, 351–356. [Google Scholar] [CrossRef]
- Harvinda, Y.; Ustadi, U.; Putra, M.M.P. Production, purification and characterization of chitinase from Micromonospora sp. AR17. Indones. J. Biotechnol. 2023, 28, 46–55. [Google Scholar] [CrossRef]
- Lv, X.-Y.; Guo, L.-Z.; Song, L.; Fu, Q.; Zhao, K.; Li, A.-X.; Luo, X.-L.; Lu, W.-D. Purification and characterization of a novel extracellular carboxylesterase from the moderately halophilic bacterium Thalassobacillus sp. strain DF-E4. Ann. Microbiol. 2011, 61, 281–290. [Google Scholar] [CrossRef]
- Liu, Z.Q.; Zheng, X.B.; Zhang, S.P.; Zheng, Y.G. Cloning, expression and characterization of a lipase gene from the Candida antarctica ZJB09193 and its application in biosynthesis of vitamin A esters. Microbiol. Res. 2012, 167, 452–460. [Google Scholar] [CrossRef]
- Padhiar, J.; Das, A.; Bhattacharya, S. Optimization of process parameters influencing the submerged fermentation of extracellular lipases from Pseudomonas aeruginosa, Candida albicans and Aspergillus flavus. Pak. J. Biol. Sci. 2011, 14, 1011–1018. [Google Scholar] [CrossRef][Green Version]
- Zhao, W.; Wang, J.; Deng, R.; Wang, X. Scale-up fermentation of recombinant Candida rugosa lipase expressed in Pichia pastoris using the GAP promoter. J. Ind. Microbiol. Biotechnol. 2008, 35, 189–195. [Google Scholar] [CrossRef]
- Dharmsthiti, S.; Ammaranond, P. Purification and characterization of lipase from a raw-milk yeast (Trichosporon asteroides). Biotechnol. Appl. Biochem. 1997, 26, 111–116. [Google Scholar] [CrossRef]
- Yu, M.; Qin, S.; Tan, T. Purification and characterization of the extracellular lipase Lip2 from Yarrowia lipolytica. Process Biochem. 2007, 42, 384–391. [Google Scholar] [CrossRef]
- Priyanka, P.; Kinsella, G.K.; Henehan, G.T.; Ryan, B.J. Isolation and characterization of a novel thermo-solvent-stable lipase from Pseudomonas brenneri and its application in biodiesel synthesis. Biocatal. Agric. Biotechnol. 2020, 29, 101806. [Google Scholar] [CrossRef]
- Gomaa, E.Z. Optimization and characterization of alkaline protease and carboxymethyl-cellulase produced by Bacillus pumillus grown on Ficus nitida wastes. Braz. J. Microbiol. 2013, 44, 529–537. [Google Scholar] [CrossRef] [PubMed]
- Donzella, S.; Fumagalli, A.; Contente, M.L.; Molinari, F.; Compagno, C. Waste cooking oil and molasses for the sustainable production of extracellular lipase by Saitozyma flava. Biotechnol. Appl. Biochem. 2024, 71, 712–720. [Google Scholar] [CrossRef]
- Benjamin, S.; Pandey, A. Isolation and characterization of three distinct forms of lipases from Candida rugosa produced in solid state fermentation. Braz. Arch. Biol. Technol. 2001, 44, 213–221. [Google Scholar] [CrossRef]
- Lazar, G.; Schröder, F.R. Degradation of lipids by fungi. In Microbial Degradation of Natural Products; Winkelmann, G., Ed.; VCH: Weinheim, Germany, 1992; pp. 267–291. [Google Scholar]
- Ota, Y.; Gomi, K.; Kato, S.; Sugiura, T.; Minoda, Y. Purification and some properties of cell-bound lipase from Saccharomycopsis lipolytica. Agric. Biol. Chem. 1982, 46, 2885–2893. [Google Scholar] [CrossRef]
- Demera, L.L.; Barahona, P.P.; Carvajal Barriga, E.J. Production, extraction and characterization of lipases from the Antarctic yeast Guehomyces pullulans. Am. J. Biochem. Biotechnol. 2019, 15, 75–82. [Google Scholar] [CrossRef]
- Oliveira, A.C.D.; Fernandes, M.L.; Mariano, A.B. Production and characterization of an extracellular lipase from Candida guilliermondii. Braz. J. Microbiol. 2014, 45, 1503–1511. [Google Scholar] [CrossRef]
- Veeraragavan, K.; Gibbs, B.F. Detection and partial purification of two lipases from Candida rugosa. Biotechnol. Lett. 1989, 11, 345–348. [Google Scholar] [CrossRef]
- Veeraragavan, K.; Colpitts, T.; Gibbs, B.F. Purification and characterization of two distinct lipases from Geotrichum candidum. Biochim. Biophys. Acta 1990, 1044, 26–33. [Google Scholar] [CrossRef] [PubMed]
- Arai, T.; Yusa, S.; Kirimura, K.; Usami, S. Cloning and sequencing of the cDNA encoding lipase I from Trichosporon fermentans WU-C12. FEMS Microbiol. Lett. 1997, 152, 183–188. [Google Scholar] [CrossRef]
- Zhao, J.; Ma, M.; Zeng, Z.; Yu, P.; Gong, D.; Deng, S. Production, purification and biochemical characterisation of a novel lipase from a newly identified lipolytic bacterium Staphylococcus caprae NCU S6. J. Enzym. Inhib. Med. Chem. 2021, 36, 248–256. [Google Scholar] [CrossRef]
- Akoh, C.C.; Lee, G.C.; Shaw, J.F. Protein engineering and applications of Candida rugosa lipase isoforms. Lipids 2004, 39, 513–526. [Google Scholar] [CrossRef]
- Böer, E.; Mock, H.P.; Bode, R.; Gellissen, G.; Kunze, G. An extracellular lipase from the dimorphic yeast Arxula adeninivorans: Molecular cloning of the ALIPI gene and characterization of the purified recombinant enzyme. Yeast 2005, 22, 523–535. [Google Scholar] [CrossRef]
- Brocca, S.; Schmidt-Dannert, C.; Lotti, M.; Alberghina, L.; Schmid, R.D. Design, total synthesis, and functional overexpression of the Candida rugosa lip1 gene coding for a major industrial lipase. Protein Sci. 1998, 7, 1415–1422. [Google Scholar] [CrossRef]
- Fickers, P.; Marty, A.; Nicaud, J.M. The lipases from Yarrowia lipolytica: Genetics, production, regulation, biochemical characterization and biotechnological applications. Biotechnol. Adv. 2011, 29, 632–644. [Google Scholar] [CrossRef]
- Tsujisaka, Y.; Iwai, M.; Tominaga, Y. Purification, crystallization and some properties of lipase from Geotrichum candidum Link. Agric. Biol. Chem. 1973, 37, 1457–1464. [Google Scholar] [CrossRef]
- Kakugawa, K.; Shobayashi, M.; Suzuki, O.; Miyakawa, T. Purification and characterization of a lipase from the glycolipid-producing yeast Kurtzmanomyces sp. I-11. Biosci. Biotechnol. Biochem. 2002, 66, 978–985. [Google Scholar] [CrossRef]
- Chen, J.; Shimura, S.; Kimura, K.; Usami, S. Lipase production from petroleum products by Trichosporon fermentans WU-C12. Hakkokogaku 1992, 70, 185–189. [Google Scholar]
- de Almeida, A.F.; Terrasan, C.R.F.; Terrone, C.C.; Tauk-Tornisielo, S.M.; Carmona, E.C. Biochemical properties of free and immobilized Candida viswanathii lipase on octyl-agarose support: Hydrolysis of triacylglycerol and soy lecithin. Process Biochem. 2018, 65, 71–80. [Google Scholar] [CrossRef]
- Navarro-González, I.; Periago, M.J. Enzimas lipolíticas bacterianas: Propiedades, clasificación, estructura, aplicaciones tecnológicas y aspectos legales. An. Vet. Murcia 2012, 28, 45–65. [Google Scholar] [CrossRef]
- Salazar Carranza, L.A.; Hinojoza Guerrero, M.M.; Acosta Gaibor, M.P.; Escobar Torres, A.F.; Scrich Vázquez, A.J. Caracterización, clasificación y usos de las enzimas lipasas en la producción industrial. Rev. Cuba. Investig. Biomed. 2020, 39, e620. [Google Scholar]
- Vakhlu, J.; Kour, A. Yeast lipases: Enzyme purification, biochemical properties and gene cloning. Electron. J. Biotechnol. 2006, 9, 69–85. [Google Scholar] [CrossRef]
- Yao, W.; Liu, K.; Liu, H.; Jiang, Y.; Wang, R.; Wang, W.; Wang, T. A Valuable product of microbial cell factories: Microbial lipase. Front. Microbiol. 2021, 12, 743377. [Google Scholar] [CrossRef] [PubMed]
- Kumari, A.; Gupta, R. Extracellular expression and characterization of thermostable lipases, LIP8, LIP14 and LIP18, from Yarrowia lipolytica. Biotechnol. Lett. 2012, 34, 1733–1739. [Google Scholar] [CrossRef]
- de Souza, C.E.C.; Ribeiro, B.D.; Coelho, M.A.Z. Characterization and application of Yarrowia lipolytica lipase obtained by solid-state fermentation in the synthesis of different esters used in the food industry. Appl. Biochem. Biotechnol. 2019, 189, 933–959. [Google Scholar] [CrossRef]
- Dheeman, D.S.; Antony-Babu, S.; Frías, J.M.; Henehan, G.T.M. Purification and characterization of an extracellular lipase from a novel strain Penicillium sp. DS-39 (DSM 23773). J. Mol. Cat. B Enzym. 2011, 72, 256–262. [Google Scholar] [CrossRef]
- Giles, N.M.; Watts, A.B.; Giles, G.I.; Fry, F.H.; Littlechild, J.A.; Jacob, C. Metal and redox modulation of cysteine protein function. Chem. Biol. 2003, 10, 677–693. [Google Scholar] [CrossRef] [PubMed]
- Brígida, A.I.S.; Amaral, P.F.F.; Coelho, M.A.Z.; Gonçalves, L.R.B. Lipase from Yarrowia lipolytica: Production, characterization and application as an industrial biocatalyst. J. Mol. Cat. B Enzym. 2014, 101, 148–158. [Google Scholar] [CrossRef]
- Joseph, B.; Ramteke, P.W. Extracellular solvent stable cold-active lipase from psychrotrophic Bacillus sphaericus MTCC 7526: Partial purification and characterization. Ann. Microbiol. 2013, 63, 363–370. [Google Scholar] [CrossRef]
- Kamal, M.Z.; Yedavalli, P.; Deshmukh, M.V.; Rao, N.M. Lipase in aqueous-polar organic solvents: Activity, structure, and stability. Protein Sci. 2013, 22, 904–915. [Google Scholar] [CrossRef]
- Brígida, A.I.S.; Amaral, P.F.; Gonçalves, L.R.; Coelho, M.A.Z. Characterization of an extracellular lipase from Yarrowia lipolytica. In Proceedings of the European Congress of Chemical Engineering (ECCE-6), Copenhagen, Denmark, 16–20 September 2007; pp. 1–12. [Google Scholar]
- Guo, J.; Sun, S.; Liu, J. Conversion of waste frying palm oil into biodiesel using free lipase A from Candida antarctica as a novel catalyst. Fuel 2020, 267, 117323. [Google Scholar] [CrossRef]
- Sailwal, M.; Mishra, P.; Bhaskar, T.; Pandey, R.; Ghosh, D. Time-resolved transcriptomic profile of oleaginous yeast Rhodotorula mucilaginosa during lipid and carotenoids accumulation on glycerol. Bioresour. Technol. 2023, 384, 129379. [Google Scholar] [CrossRef]
- de Almeida, A.F.; Taulk-Tornisielo, S.M.; Carmona, E.C. Influence of carbon and nitrogen sources on lipase production by a newly isolated Candida viswanathii strain. Ann. Microbiol. 2013, 63, 1225–1234. [Google Scholar] [CrossRef]
- Sokolovská, I.; Albasi, C.; Riba, J.P.; Báleš, V. Production of extracellular lipase by Candida cylindracea CBS 6330. Bioprocess Eng. 1998, 19, 179–186. [Google Scholar] [CrossRef]
- Kamzolova, S.V.; Finogenova, T.V.; Lunina, Y.N.; Perevoznikova, O.A.; Minachova, L.N.; Morgunov, I.G. Characteristics of the growth on rapeseed oil and synthesis of citric and isocitric acids by Yarrowia lipolytica yeasts. Microbiology 2007, 76, 20–24. [Google Scholar] [CrossRef]
- Muralidhar, R.V.; Chirumamila, R.R.; Marchant, R.; Nigam, P. A response surface approach for the comparison of lipase production by Candida cylindracea using two different carbon sources. Biochem. Eng. J. 2001, 9, 17–23. [Google Scholar] [CrossRef]
- Boonchaidung, T.; Papone, T.; Leesing, R. Effect of carbon and nitrogen sources on lipase production by isolated lipase-producing soil yeast. J. Life Sci. Technol. 2013, 1, 176–179. [Google Scholar] [CrossRef]
- Martínez-Corona, R.; Cortés-Penagos, C.; Madrigal-Pérez, L.A.; González-Hernández, J.C. Hongos y levaduras: Fábrica de lipasas. Interciencia 2019, 44, 378–385. [Google Scholar]
- Kebabci, Ö.; Cihangir, N. Comparison of three Yarrowia lipolytica strains for lipase production: NBRC 1658, IFO 1195, and a local strain. Turk. J. Biol. 2012, 36, 15–24. [Google Scholar] [CrossRef]
- Fabiszewskaa, A.U.; Stolarzewicza, I.A.; Zamojskab, W.M.; Bialecka-Florjanczyk, E. Carbon source impact on Yarrowia lipolytica KKP 379 lipase production. Appl. Biochem. Biotechnol. 2014, 50, 404–410. [Google Scholar] [CrossRef]
- Liepins, J.; Balina, K.; Soloha, R.; Berzina, I.; Lukasa, L.K.; Dace, E. Glycolipid biosurfactant production from waste cooking oils by yeast: Review of substrates, producers and products. Fermentation 2021, 7, 136. [Google Scholar] [CrossRef]
- Xiaoyan, L.; Yu, X.; Lv, J.; Xu, J.; Xia, J.; Wu, Z.; Zhang, T.; Deng, Y. A cost-effective process for the coproduction of erythritol and lipase with Yarrowia lipolytica M53 from waste cooking oil. Food Bioprod. Process. 2017, 103, 86–94. [Google Scholar] [CrossRef]
- Karmakar, G.; Ghosh, P.; Sharma, B.K. Chemically modifying vegetable oils to prepare green lubricants. Lubricants 2017, 5, 44. [Google Scholar] [CrossRef]
- Lopes, M.; Miranda, S.M.; Belo, I. Microbial valorization of waste cooking oils for valuable compounds production—A review. Crit. Rev. Environ. Sci. Technol. 2020, 50, 2583–2616. [Google Scholar] [CrossRef]
- Krzyczkowska, J.; Kozłowska, M. Effect of oils extracted from plant seeds on the growth and lipolytic activity of Yarrowia lipolytica yeast. J. Am. Oil Chem. Soc. 2017, 94, 661–671. [Google Scholar] [CrossRef]
- Shimada, Y.; Sugihara, A.; Nagao, T.; Tominaga, Y. Induction of Geotrichum candidum lipase by long-chain fatty acids. J. Ferment. Bioeng. 1992, 74, 77–80. [Google Scholar] [CrossRef]
- Sugiura, T.; Ota, Y.; Minoda, Y. Effects of fatty acids, lipase activator, phospholipids and related substances on the lipase production by Candida paralipolytica. Agric. Biol. Chem. 1975, 39, 1689–1694. [Google Scholar] [CrossRef]








| Sample | Total Lipase Activity (U) Hw / Yd | Total Protein (mg) Hw / Yd | Specific Activity (U/mg) Hw / Yd | Purification Fold Hw / Yd | ||||
|---|---|---|---|---|---|---|---|---|
| Crude extract | 79.20 | 83.90 | 23.37 | 26.84 | 3.39 | 3.13 | 1.00 | 1.00 |
| 50 kDa MWCO | ||||||||
| Retentate Permeate | 0.018 64.293 | 0.021 78.039 | 0.042 18.88 | 0.033 20.53 | 0.428 3.40 | 0.64 3.80 | 0.126 1.00 | 0.20 1.21 |
| 30 kDa MWCO | ||||||||
| Retentate Permeate | 4.482 0.405 | 5.118 0.729 | 0.996 3.402 | 1.092 5.184 | 4.50 0.12 | 4.69 0.14 | 1.33 0.035 | 1.50 0.044 |
| 10 kDa MWCO | ||||||||
| Retentate Permeate | nd nd | nd nd | 0.048 nd | nd nd | 0 nd | nd nd | 0 nd | nd nd |
| Parameter | H. wangnamkhiaoensis | Y. deformans | ||||
|---|---|---|---|---|---|---|
| COO | WCO | GRO | COO | WCO | GRO | |
| μmax (1/h) | 0.046 ± 0.007 | 0.069 ± 0.003 | 0.179 ± 0.008 | 0.102 ± 0.003 | 0.094 ± 0.006 | 0.078 ± 0.005 |
| YXS (g/g) | 0.463 ± 0.024 | 0.545 ± 0.047 | 0.664 ± 0.043 | 0.554 ± 0.031 | 0.604 ± 0.023 | 0.458 ± 0.038 |
| RX (g/L·h) | 0.084 ± 0.009 | 0.167 ± 0.007 | 0.321 ± 0.025 | 0.171 ± 0.013 | 0.294 ± 0.029 | 0.151 ± 0.005 |
| E (%) | 60.99 ± 1.168 | 69.16 ± 0.24 | 93.30 ± 0.247 | 75.34 ± 0.918 | 84.77 ± 0.73 | 84.72 ± 0.389 |
| YPX (U/g) | 1913.38 ± 30.8 | 1269.3 ± 39.7 | 226.78 ± 11.08 | 1604.32 ± 65.74 | 692.75 ± 17.7 | 535.53 ± 28.2 |
| RP (U/L·h) | 64.07 ± 7.315 | 83.3 ± 6.608 | 32.97 ± 1.78 | 67.78 ± 2.69 | 101.86 ± 7.6 | 18.37 ± 2.92 |
Disclaimer/Publisher’s Note: The statements, opinions and data contained in all publications are solely those of the individual author(s) and contributor(s) and not of MDPI and/or the editor(s). MDPI and/or the editor(s) disclaim responsibility for any injury to people or property resulting from any ideas, methods, instructions or products referred to in the content. |
© 2024 by the authors. Licensee MDPI, Basel, Switzerland. This article is an open access article distributed under the terms and conditions of the Creative Commons Attribution (CC BY) license (https://creativecommons.org/licenses/by/4.0/).
Share and Cite
Romo-Silva, M.; Flores-Camargo, E.O.; Chávez-Camarillo, G.M.; Cristiani-Urbina, E. Production, Purification, and Characterization of Extracellular Lipases from Hyphopichia wangnamkhiaoensis and Yarrowia deformans. Fermentation 2024, 10, 595. https://doi.org/10.3390/fermentation10120595
Romo-Silva M, Flores-Camargo EO, Chávez-Camarillo GM, Cristiani-Urbina E. Production, Purification, and Characterization of Extracellular Lipases from Hyphopichia wangnamkhiaoensis and Yarrowia deformans. Fermentation. 2024; 10(12):595. https://doi.org/10.3390/fermentation10120595
Chicago/Turabian StyleRomo-Silva, Misael, Emanuel Osmar Flores-Camargo, Griselda Ma. Chávez-Camarillo, and Eliseo Cristiani-Urbina. 2024. "Production, Purification, and Characterization of Extracellular Lipases from Hyphopichia wangnamkhiaoensis and Yarrowia deformans" Fermentation 10, no. 12: 595. https://doi.org/10.3390/fermentation10120595
APA StyleRomo-Silva, M., Flores-Camargo, E. O., Chávez-Camarillo, G. M., & Cristiani-Urbina, E. (2024). Production, Purification, and Characterization of Extracellular Lipases from Hyphopichia wangnamkhiaoensis and Yarrowia deformans. Fermentation, 10(12), 595. https://doi.org/10.3390/fermentation10120595

