Abstract
Ditylenchus destructor and D. dipsaci are important nematodes that have a significant economic impact on agronomic and horticultural plants worldwide. Microscopic observation alone may not distinguish between D. destructor and D. dipsaci. Accurate and rapid identification of these two species is essential for effective pest management. In the present study, a species-specific PCR assay was developed to detect and differentiate D. destructor and D. dipsaci based on the rDNA-ITS sequences. The primers developed in this study can specifically amplify fragments of DNA from D. destructor and D. dipsaci in the target population, without amplifying DNA from other non-target nematodes within the genus Ditylenchus. The sensitivity test revealed that this procedure has the ability to detect single second-stage juveniles (J2) of D. dipsaci at a dilution of 1/128 and D. destructor at a dilution of 1/64. Additionally, it can detect genomic DNA (gDNA) at concentrations of 10 pg/µL for D. dipsaci and 1 ng/µL for D. destructor. These results align with previously reported results obtained through RPA and LAMP methods. Furthermore, the primers developed in this study for D. destructor not only were able to amplify six different haplotypes of nematodes but also successfully detected it in infested plant roots and soil samples, thereby shortening the time and reducing the number of steps required for detection. Thus, this assay, which does not necessitate taxonomic or morphological expertise, significantly enhances the diagnosis of D. destructor and D. dipsaci in infested fields. This advancement aids in the early control of these nematodes.
1. Introduction
The genus Ditylenchus Filipjev, 1936, comprises over 80 species that are distributed globally [1]. Only a few of these species are regarded as pests of higher plants [2,3]. Among them, Ditylenchus dipsaci and D. destructor are considered the most significant species for agriculture [3,4]. D. dipsaci, commonly known as the stem nematode, is a major pest in both agricultural and quarantine settings [5]. Its significance stems not only from its ability to infest over 500 species of flowering plants but also its unique capacity to survive in a dehydrated state without a host plant [3,6]. Moreover, the presence of D. dipsaci often leads to severe crop damage due to strong synergism with certain fungi [3,7]. Another economically important species within the genus is the potato rot nematode, D. destructor Thorne, 1945. It is responsible for significant losses in potato, sweet potato, and bulb crop production worldwide [3]. It has been recorded to infest over 90 plant species and weeds, and it can also feed on a similar number of fungal species [3]. The pest poses a serious threat to potato tubers in Europe and North America and is considered an important international quarantine pest in China [3,8].
The species within the Ditylenchus genus pose challenges to differentiation due to their high degree of morphological similarity [9]. D. dipsaci and D. destructor, in particular, share such close physical characteristics that distinguishing them through microscopic observation is difficult [1]. Surprisingly, recent molecular analyses using ribosomal DNA (rDNA) sequence data have revealed that these two species are genetically further apart than previously believed [10]. On the otd, investigations into the evolutionary highly variable, non-coding internal transcribed spacers (ITS1 and ITS2) of the nuclear rDNA have highlighted significant relationships between D. dipsaci, the stem nematode, and gall-forming nematodes from the subfamily Anguininae [10,11,12]. As a result, rDNA-ITS genes have become a favored tool for identifying these nematodes, and various assays currently exist for detecting D. dipsaci and D. destructor, including restriction fragment length polymorphism (RFLP)-ITS, multiplex PCR, real-time PCR, recombinase polymerase amplification (RPA), and loop-mediated isothermal amplification (LAMP) [9,10,13,14,15,16,17]. While it has been acknowledged that nematodes within the Ditylenchus genus share morphological similarities, little is known about simultaneous target detection among these nematodes.
Recent studies have shown a high genetic diversity among populations of D. destructor, as indicated by the sequences of ITS [17,18,19]. D. destructor populations from 22 different locations were categorized into two types, namely type A and type B, based on their ITS sequences [17]. Based on the secondary structure of ITS1-H9, we have identified five novel haplotypes, specifically C-G [20]. Seven additional haplotypes (H-N) were observed in samples derived from Chinese herbal medicines [18]. Li et al. recently reported the presence of 14 haplotypes in D. destructor, collected from various hosts in China [19]. In light of the aforementioned research, two sets of primer pairs (DdS1/DdS2 and DdL1/DdL2) were developed for the detection of haplotype A and haplotype B, respectively [17]. Moreover, Marek et al. formulated another primer set (Des2-F/Des1-R) capable of detecting all haplotypes of D. destructor, except for haplotype A [10]. Hence, there is an urgent need to devise a universal primer that can accurately detect different haplotypes of D. destructor, with the aim of achieving simplicity, time efficiency, and reduced labor requirements.
This study aimed to develop a species-specific PCR assay capable of efficiently and accurately detecting D. destructor and D. dipsaci from closely related nematodes. Additionally, the primers developed in this study for D. destructor can amplify six different haplotypes and also successfully detected it in infested plant roots and soil samples, thereby reducing the experimental time and streamlining the detection process. The assays designed for both species will significantly improve the diagnosis of Ditylenchus sp. species in infested fields.
2. Materials and Methods
2.1. Nematode Populations Collection and Cultivation
Seven populations of Ditylenchus destructor, seven populations of D. dipsaci, and six other Ditylenchus species were collected from various regions from four countries (Table 1). All samples underwent identification using both morphological and molecular methods, following the procedures described by Qiao et al. [21,22]. D. destructor was cultured on Fusarium oxysporium on 10% potato dextrose agar (PDA) in Petri dishes with a diameter of 90 mm [18]. D. dipsaci and D. africanus were cultured on yellow pea and peanut excised roots, respectively, using B5 medium. After six weeks of inoculation, nematodes were separated using a Baermann funnel [23] and cleared three times with sterile distilled water.
Table 1.
Nematode samples used in this study.
2.2. DNA Extraction
A single nematode from each available population was transferred into a 0.2 mL PCR tube containing 45 µL of PCR buffer (200 mM Tris-HCl(pH 8.4), 500 mM KCl) (Fisher, Waltham, MA, USA) and 5 µL of 600 ng/mL proteinase K (Roche, Munich, Germany). The samples were then incubated at 65 °C for 75 min, followed by a 10-min incubation at 95 °C.
To conduct sensitivity tests, the total genomic DNA was extracted from a mass of D. destructor and D. dipsaci using the phenol and chloroform method [25]. The extracted DNA was quantified using the NanoDrop ND-2000 spectrophotometer (Thermo Fisher Scientific). Any remaining DNA was stored at −20 °C for future use.
2.3. Molecular Cloning and DNA Sequencing
Amplification reactions were conducted using DNA extracts, with a total volume of 25 μL. The reaction mixture included 2.5 μL of 10× PCR buffer, 1.0 μL of 2.0 mM dNTPs, 2 U of Taq DNA polymerase (Fisher), 1.0 μM of ITS-F primer (5′-TTGATTACGTCCCTGCCCTTT-3′), 1.0 μM of ITS-R primer (5′-ACGAGCCGAGTGATCCACCG-3′) [26], and 1 μL of nematode template DNA. The PCR program consisted of an initial denaturation step at 94 °C for 4 min, followed by 35 cycles of 30 s at 94 °C, 30 s at 60 °C, and 1 min at 72 °C with a final extension at 72 °C for 10 min. The PCR products were separated by electrophoresis on a 1.5% agarose gel, stained with ethidium bromide (EB), and visualized and photographed under UV light. Subsequently, the amplicons were sequenced from both directions using BigDye terminator v3.1 on the ABI PRISM 3130 platform.
2.4. Primer Design and PCR Assays
The specific primers of D. destructor and D. dipsaci were designed using an alignment of Ditylenchus species ITS sequences by Geneious 6.15. The alignment consisted of ITS sequences of the study samples (Table 1) and other Ditylenchus species from GenBank, including D. askenasyi (AF396337), D. angustus (AJ966483), D. gigas (HQ219240), D. adasi (EU669909), D. phyllobius (AF363112), D. myceliophagus (AF396322), D. holictus (EF627047), and D. drepanocercus (JQ429774). The specific primers were compared with the nucleotide (Nt) dataset, using primer-blast to examine the specificity.
2.5. Species-Specific Amplification
All of the samples in this study were selected to test specificity. PCR amplification reactions were performed in 25 μL reaction volumes containing 2.5 μL 10 × PCR buffer, 5 mM dNTPs, 2 U Taq DNA polymerase (Clontech, San Jose, CA, USA), 1 μL template DNA, and 20 pM each of forward and reverse primers (DdF2/ DdR2 and DpF5/DpR5) (Table 2); ddH20 was added to a total volume of 25 μL. The amplification was carried out in an MBI Gradient thermocycler, with the following cycling profile: 4 min at 94 °C; 35 cycles of 30 s at 94 °C, 30 s at 61 °C, and 1 min at 72 °C; and then 72 °C for 10 min. The PCR product’s sequencing was described as above.
Table 2.
Sequences of the primers designed for species-specific PCR.
2.6. Sensitivity Test of Developed Primers
For the sensitivity test, serial ten-folds of D. destructor and D. dipsaci genome DNA (at initial concentration 100 μg/μL) were prepared in sterile distilled water, and two-fold serial dilutions of a single nematode DNA (1:1, 1:2, 1:4, 1:8, 1:16, 1:32, 1:64, 1:128) were performed and used to test the sensitivity. Different dilutions of genomic DNA templates were separately detected by PCR assay and were repeated three times.
2.7. General Detection of Specific Primers for D. destructor
To understand whether the D. destructor-specific primers can amplify all haplotypes, three major haplotypes (A, B, C) populations and three new identified haplotypes (D, F, L) of D. destructor were collected from China [19] and were used for evaluation using the methods described above.
2.8. Direct Detection of Ditylenchus destructor in Plant and Soil Samples
To assess the practicality of using the PCR assay for direct detection of D. destructor in plant and soil samples, known quantities of nematodes were manually spiked into sterile soil or non-infected potato roots. Specifically, 1 g of autoclaved sand soil was inoculated with 1, 5, 10, 25, and 50 D. destructor respectively, and total DNA was extracted using the Fast DNA Spin Kit for Soil (MP Bio). Similarly, 0.1 g of potato roots was individually mixed with the same quantities of D. destructor and subjected to DNA isolation using the phenol chloroform method [25]. The genomic DNA obtained from the artificially inoculated soil and potato root samples served as templates for testing the D. destructor PCR primers. Negative controls were established using healthy root and autoclaved soil samples. Each experiment was conducted in quadruplicate.
To evaluate the accuracy of our newly devised technique for directly identifying D. destructor in soil samples, we gathered 16 soil samples from regions where potatoes are cultivated in five provinces: Yunnan, Hebei, Shanxi, Inner Mongolia, and Heilongjiang (Table 3). Ten grams of soil were chosen at random from each thoroughly mixed sample, and the DNA of the soil was isolated using the previously described method. Meanwhile, nematodes were extracted from 100 g of soil in each sample using the flotation method, and subsequently examined and quantified under a microscope (Olympus CZ61) to verify the findings.
Table 3.
Direct detection of Ditylenchus destructor in naturally infested soil samples.
3. Results
3.1. Primer Design and Screening
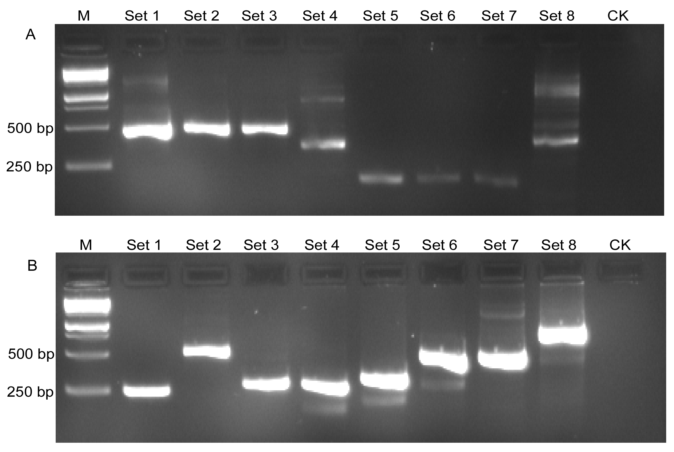
According to the results of the comparison, eight primer sets were designed in the specific region of D. dipsaci and D. destructor (Figure 1) and further screened using the DNA of D. destructor and D. dipsaci as a template, separately. The electrophoresis results showed that the amplification products, specifically primer Set 2 (DdF2/DdR2) of D. destructor and primers Set 5 (DpF5/DpR5) of D. dipsaci were singular, devoid of any additional bands, and bright (Figure 2). Consequently, these selected sets of primers are to be utilized for the subsequent detection step.
Figure 1.
Selected sequences from various Ditylenchus species to design the species-specific primer set for D. dipsaci and D. destructor. The sequence in the direction of the arrow is the primer sequence.
Figure 2.
Electrophoretic results of eight sets of primers for D. destructor (A) and D. dipsaci (B), respectively. M: DNA marker III. CK: a non-template control.
3.2. Specific Test
Seven D. destructor populations and the same number of D. dipsaci populations were amplified by specific primers (DdF2/DdR2 and DpF5/DpR5), each with stable bands of 495 bp and 327 bp, respectively (Figure 3A,B). With the exception of the target nematodes, the amplified bands were absent in seven other nematodes from Ditylenchus sp. and the negative control. Bright bands were amplified from all populations using universal primers (D2A/D3B), indicating that the DNA quality of all samples was good (3C). The above results indicated that the primers of D. dipsaci and D. destructor (DdF2/DdR2 and DpF5/DpR5) had high specificity.
Figure 3.
Verification of the assay specificity for D. dipsaci and D. destructor. (A) The result is for all samples amplified by primers specific to D. destructor. (B) The result is for all samples amplified by primers specific to D. dipsaci. (C) The result is for all samples amplified by the ITS gene. Dd1–Dd7: D. destructor populations; Ddip1–Ddip7: D. dipsaci populations; Da1: D. africanus; Dw1: D. weischeri; Dg1: D. gagis; Dity1: Ditylenchus sp. M: DNA marker III. CK a non-template control.
3.3. Detection Sensitivity of the Species-Specific PCR Assays
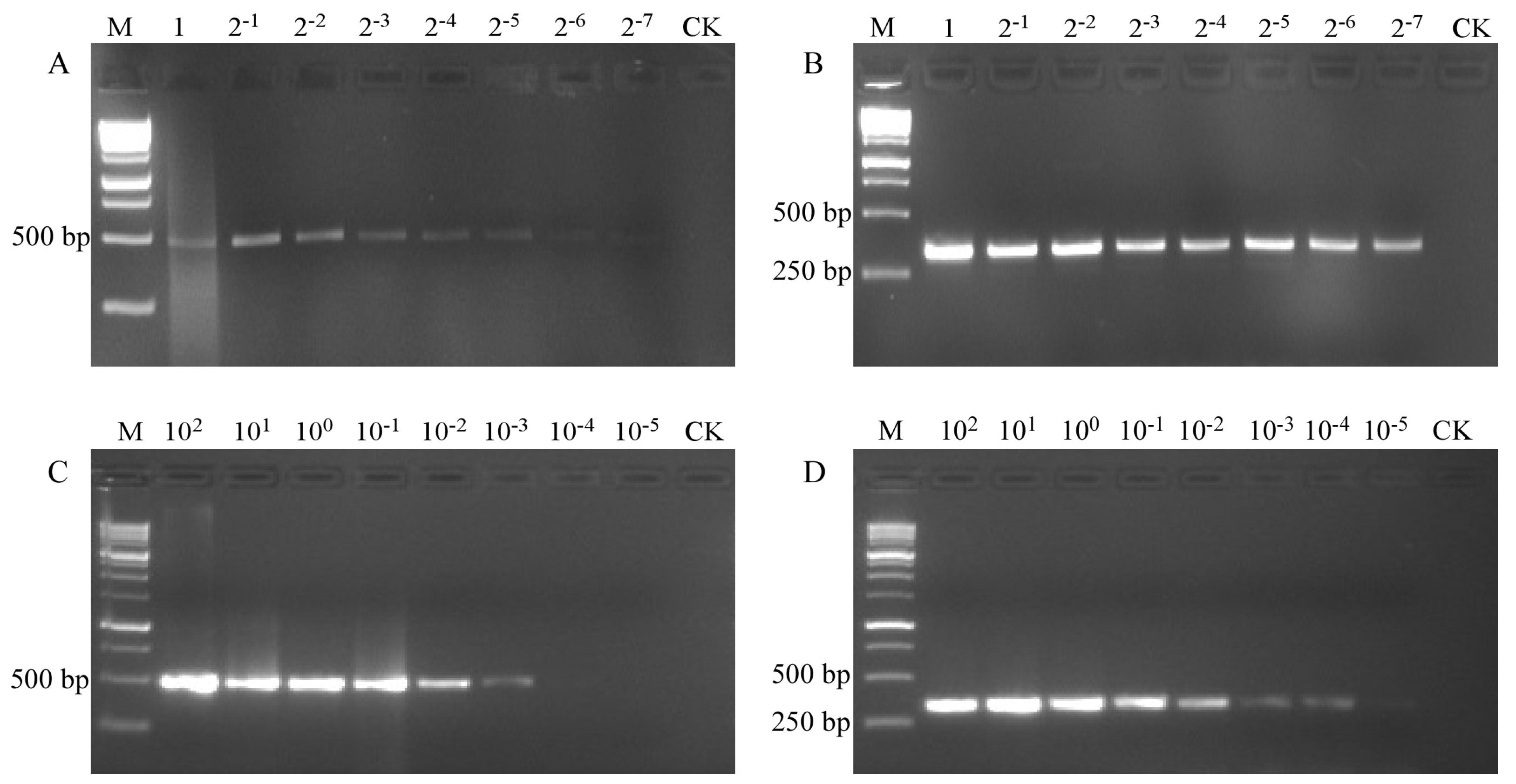
The sensitivity results showed that the species-specific PCR assays could detect D. dipsaci and D. destructor as low as 1/128 (D. dipsaci) and 1/64 (D. destructor) single J2, respectively (Figure 4A,B). Serial diluted genomic DNA templates with concentrations ranging from 100 µg/µL to 10−6 µg/µL were also detected and the results showed that visible bands could be amplified at a DNA concentration of even as low as 10 pg/µL (D. dipsaci) and 1 ng/µL (D. destructor), respectively (Figure 4C,D).
Figure 4.
Sensitivity test for D. dipsaci and D. destructor. (A) As performed with serial-diluted DNA from single second-stage juveniles of D. dipsaci (1, 1/2, 1/4, 1/8, 1/16, 1/32, 1/64, and 1/128 per reaction). (B) As performed with serial-diluted DNA from single second-stage juveniles of D. destructor (1, 1/2, 1/4, 1/8, 1/16, 1/32, 1/64, and 1/128 per reaction). (C) As performed with serial-diluted genomic DNA of D. dipsaci (100,10, 1, 10−1,10−2, 10−3, 10−4, 10−5, and 10−6 µg per reaction). (D) As performed with serial-diluted genomic DNA of D. destructor (100,10, 1, 10−1,10−2, 10−3, 10−4, 10−5, and 10−6 µg per reaction). M: DNA marker III. CK a non-template control.
3.4. Universality Test of the Primer for D. destructor
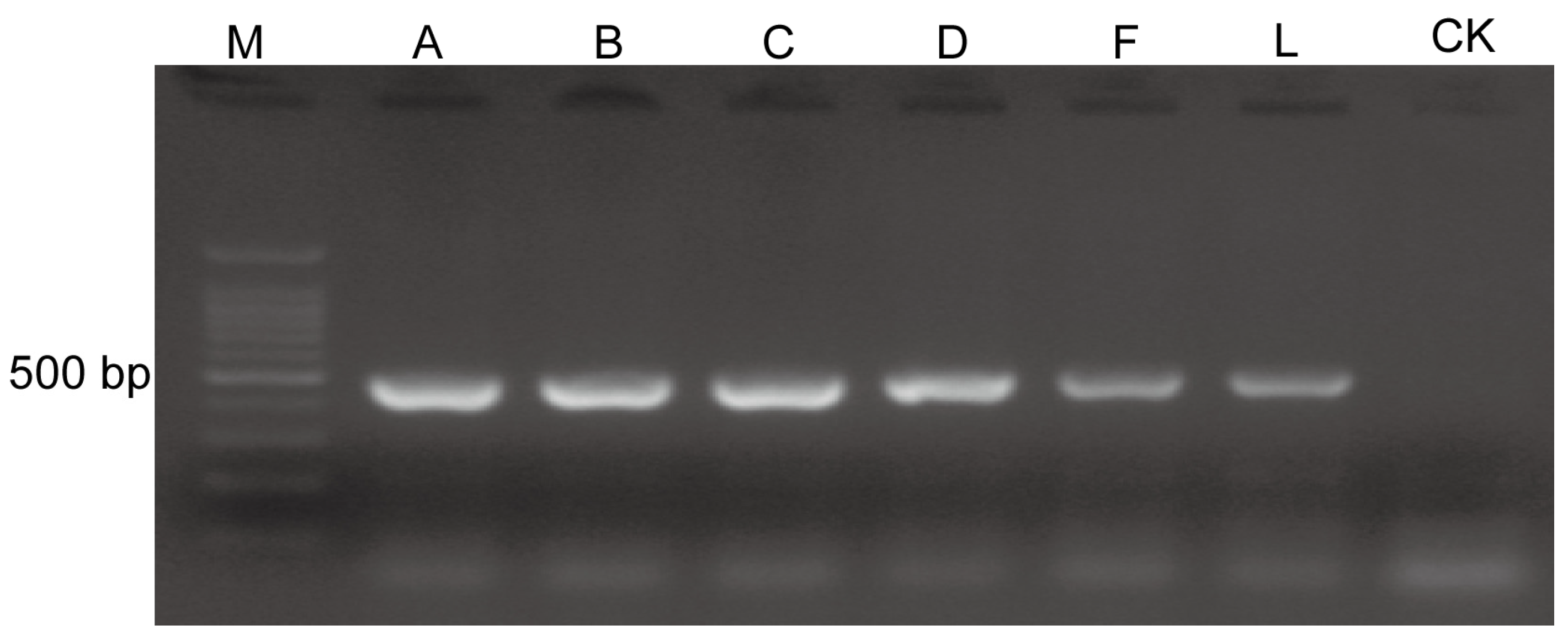
Six different haplotypes of D. destructor (A, B, C, D, F, L) were chosen for universality testing. The findings demonstrated that the primers designed for D. destructor in this investigation successfully amplified all six selected haplotypes (Figure 5). This evidence indicates that primer sets have the capacity to amplify all haplotypes, emphasizing their potential for further exploration.
Figure 5.
Detection of different haplotypes of D. destructor. A: haplotype A of D. destructor; B: haplotype B of D. destructor; C: haplotype C of D. destructor; D: haplotype D of D. destructor; F: haplotype F of D. destructor; L: haplotype L of D. destructor. M: 100 bp DNA marker. CK: a non-template control.
3.5. Direct Detection of Ditylenchus destructor in Plant and Soil Samples
D. destructor was deliberately introduced into sterile soil and healthy potato roots, and their DNA was extracted for use as a PCR template. PCR testing showed positive bands in the DNA of all samples inoculated with nematodes, with a detection limit of 1 nematode/g of soil and 1 nematode/0.1 g of plant tissue (Figure 6A,B). Based on this criterion, we collected 16 soil samples from five major potato-growing provinces, with seven of them testing positive through the developed method (Figure 6C). Microscopic observation and rDNA-ITS sequencing verified the accuracy of our findings (Table 3).
Figure 6.
Direct detection of Ditylenchus destructor in soil and plant samples. (A) The directed detection of D. destructor from DNA templates extracted from 50, 25, 10, 5, and 1 nematodes in 1 g of soil. (B) Detection of D. destructor from DNA templates extracted from 50, 25, 10, 5, and 1 nematodes in 1 g of root sample. (C) Detection of D. destructor in naturally infested soil samples. M: DL2000 DNA maker. PC: positive control. NC: a non-template control.
4. Discussion
Ditylenchus destructor is a widely distributed and economically important pest primarily parasitic on various crops [8]. Similarly, D. dipsaci is a destructive parasitic nematode that affects stem tissue, as well as the tubers, bulbs, and rhizomes of nearly 500 host species [3]. The morphology of nematodes in the Ditylenchus genus is highly similar. It is common for D. destructor and D. dipsaci to coexist with other nematode species within the Ditylenchus genus [3]. Therefore, distinguishing them from mixed-species samples without taxonomic expertise is challenging. The species-specific PCR assay developed in this study can accurately differentiate these two nematodes from other nematodes within the same genus. This assay does not require proficiency in species taxonomy or morphology but enhances the diagnosis of D. dipsaci and D. destructor in infested fields.
To assess the specificity of the species-specific PCR assay in this study, the ITS sequences of D. destructor and D. dipsaci were compared with sequences of closely related nematodes within the same genus, and primers were designed by targeting regions with substantial differences. The ITS region was considered variable and valuable for species-level nematode identification [17,18,27]. The selected primers successfully amplified specific bands of D. destructor and D. dipsaci populations from different geographic regions, while no bands were observed for other nematodes (Figure 3A,B). These findings support previous results [9,10]. Unlike other assays, this study used samples exclusively from nematodes of the Ditylenchus genus, further distinguishing the target nematodes from closely related ones. This confirms that the primers possess a high level of specificity. In the future, it is recommended to investigate additional isolates of D. dipsaci, D. destructor, and other related species, to minimize the possibility of misdetection.
The effectiveness of detection methods can be determined by the parameter of sensitivity, as higher sensitivity results in fewer false-negative outcomes. The sensitivity of this study allowed for the detection of D. dipsaci and D. destructor at concentrations as low as 1/128 and 1/64 single J2, respectively. The detection limits for genomic DNA were 10 pg/µL and 1 ng/µL. The sensitivity of the species-specific PCR assay is higher compared to the common PCR detection method [28,29]. Mahmoudi et al. [28]. and Liu et al. [29] utilized one or more nematodes for the identification of D. destructor. Specific PCR techniques have made significant advancements in the molecular detection of plant nematodes. With a single PCR assay, it is possible to detect one or more populations of plant nematodes in a sample, reducing the detection time and improving efficiency [30]. Recently, the development of isothermal amplification technology such as RPA and LAMP methods have been successfully used in the detection of D. dipsaci and D. destructor, demonstrating extremely high sensitivity [14,15]. Notably, our developed species-specific PCR assay exhibits comparable detection sensitivity to previously reported RPA and LAMP methods. It is noteworthy that the RPA and LAMP methods exhibit a high false positive rate, which requires further attention [31].
The recent studies have shown a high genetic diversity among populations of D. destructor; this has been discovered based on the rDNA-ITS sequences [11,17,18,19]. At present, the reported detection methods cannot use a single primer to detect all haplotypes [10,17]. To accurately and quickly identify the various haplotypes of D. destructor, multiple pairs of primers need to be used. Wan et al. developed two pairs of primers, namely DdS1/DdS2 and DdL1/DdL2, for detecting haplotype A and all other haplotypes, respectively [17]. Marek et al. designed a pair of primers, Des2-F/Des1-R, that can detect all haplotypes of D. destructor except haplotype A [10]. Although it is possible to identify the nematodes using the universal primers of rDNA-ITS or rDNA-28S, this method is complex and time-consuming. The previous studies showed that the variations of rDNA-ITS sequences from different D. destructor populations were mainly localized in the ITS1 region [32]. In this study, the conserved regions within the ITS sequences of different D. destructor populations but with significant differences from other species of Ditylenchus sp. were selected as a target site for primer design (Figure 1). This strategy can help us better distinguish and identify the various haplotypes of D. destructor, to ensure the accuracy and reliability of the specific primers we design. Fortunately, our designed primers have successfully detected all six selected haplotypes of D. destructor (Figure 5), demonstrating their universal applicability. This effectively overcomes the limitations of existing rapid detection methods for D. destructor, which can only identify defects in specific haplotypes of the nematode. As a result, the false detection rate is significantly reduced. This finding greatly contributes to the prevention and control of D. destructor.
The stem nematode including D. ditylenchus and D. dipsaci, a migratory nematode, is challenging to find in soil using the naked eye. Additionally, plants do not exhibit obvious symptoms in the early stages of infection. Hence, to effectively control the harm caused by this nematode disease, it is crucial to quickly detect the nematode in soil or on early diseased plants [31,33]. In previous studies, a method was established for directly detecting both nematode species from soil using RPA, LAMP, and qPCR techniques [14,15,34]. In this study, the PCR assay successfully detected D. destructor in infested plant roots and soil samples. The minimum detectable number of D. destructor under this method was estimated to be one nematode per 0.1 g of plant tissues or 1 g of soil. The detection sensitivity is comparable to that of reported RPA and LAMP [14,15,34]. However, some studies have demonstrated that RPA, LAMP, and real-time PCR exhibit higher sensitivity than PCR methods [32,35]. Moreover, after analyzing the field sampling soil samples, we found 7 positive results out of 16 samples, which were analyzed using the funnel method. The nematode count in 100 g of soil ranged from 16 to 56, suggesting a sensitivity of 16–56 nematodes/100 g soil. This indicates that our developed PCR detection method has a sensitivity exceeding 1 nematode/g of soil, demonstrating an exceptionally high level of sensitivity. The assay established in this study does not require the extraction of nematodes from plant tissue and soil samples, providing a simple molecular tool for the rapid detection of D. destructor in infested plant tissues and soils. Although we also aimed to assess the potential for the direct detection of D. dipsaci from soil and plant tissues, this nematode is currently not distributed in China and was therefore not studied in this research.
5. Conclusions
We have developed a species-specific PCR assay that is rapid, precise, and easy to use for the detection of Ditylenchus destructor and D. dipsaci. The primers designed for D. destructor in this study have the capability to amplify all selected haplotypes and facilitate the direct detection of nematodes in soil and diseased plants. This reduces experimental time and simplifies the detection process. These assays for both species will improve the diagnosis of Ditylenchus species in infested fields.
Author Contributions
Conceptualization, H.P.; funding acquisition, H.P.; methodology, X.H., Y.X. and Y.L. (Yunqing Li); project administration, H.P.; resources, H.L. and Y.L. (Yanshan Li); supervision, H.P.; writing—original draft preparation, X.H., Q.C. and P.W.; writing—review and editing, W.H., L.K., S.L. and D.P. All authors have read and agreed to the published version of the manuscript.
Funding
This research was funded by the Open Project of the Shaanxi Key Laboratory of Plant Nematology, grant number 2021-SKL-01; Yunnan Province Rural Revitalization Science and Technology Special Projects, grant number 202304BT090026; the Science and Technology Innovation Project of Chinese Academy of Agricultural Sciences, grant number 2060302-51; and the Science and Technology Program of Shaanxi Academy of Sciences, grant number 2020k-04.
Data Availability Statement
The original data presented in the study are included in the article. Further inquiries can be directed to the corresponding authors.
Acknowledgments
We thank Bo Gao (Plant Protection Institute of Hebei Academy of Agricultural and Forestry Sciences) and Qing Yu (Agriculture and Agri-Food Canada), Chengjing Guo (Institute of Plant Protection, Ningxia Agricultural Sciences), and Dong Wang (Inner Mongolia Agricultural University) for providing experimental materials.
Conflicts of Interest
The authors declare no conflict of interest.
References
- Brzeski, M.W. Review of the genus Ditylenchus Filipjev, 1936 (Nematoda: Anguinidae). Rev. Nématol 1991, 14, 9–59. [Google Scholar]
- Nickle, W.R. Manual of Agricultural Nematology, 1st ed.; CRC Press: Boca Raton, FL, USA, 1991. [Google Scholar] [CrossRef]
- European and Mediterranean Plant Protection Organization. Ditylenchus destructor and Ditylenchus dipsaci. EPPO Bull. 2008, 38, 363–373. [Google Scholar] [CrossRef]
- Khan, M.R.; Quintanilla, M. Nematode Diseases of Crops and their Sustainable Management; Academic Press: Cambridge, MA, USA, 2023; pp. 655–683. [Google Scholar] [CrossRef]
- Kantor, M.; Handoo, Z.; Kantor, C.; Carta, L. Top Ten Most Important U.S.-Regulated and Emerging Plant-Parasitic Nematodes. Horticulturae 2022, 8, 208. [Google Scholar] [CrossRef]
- Wharton, D.A.; Barrett, J. Ultrastructural changes during recovery from anabiosis in the plant parasitic nematode, Ditylenchus. Tissue Cell 1985, 17, 79–96. [Google Scholar] [CrossRef]
- Storelli, A.; Kiewnick, S.; Daub, M.; Mahlein, A.K.; Schumann, M.; Beyer, W.; Keiser, A. Virulence and pathogenicity of four Ditylenchus dipsaci populations on sugar beet. Eur. J. Plant Pathol. 2021, 161, 63–71. [Google Scholar] [CrossRef]
- Yu, Q.; Zaida, M.; Hughes, B.; Celetti, M. Discovery of Potato Rot Nematode, Ditylenchus destructor, Infesting Garlic in Ontario, Canada. Plant Dis. 2012, 96, 297. [Google Scholar] [CrossRef] [PubMed]
- Wendt, K.R.; Vrain, T.C.; Webster, J.M. Separation of Three Species of Ditylenchus and Some Host Races of D. dipsaci by Restriction Fragment Length Polymorphism. J. Nematol. 1993, 25, 555–563. [Google Scholar] [CrossRef]
- Marek, M.; Zouhar, M.; Douda, O.; Mazakova, J. Bioinformatics-assisted characterization of the ITS1-5·8S-ITS2 segments of nuclear rRNA gene clusters, and its exploitation in molecular diagnostics of European crop-parasitic nematodes of the genus Ditylenchus. Plant Pathol. 2010, 59, 931–943. [Google Scholar] [CrossRef]
- Subbotin, S.A.; Madani, M.; Krall, E.; Sturhan, D.; Moens, M. Molecular Diagnostics, Taxonomy, and Phylogeny of the Stem Nematode Ditylenchus dipsaci Species Complex Based on the Sequences of the Internal Transcribed Spacer-rDNA. Phytopathology 2005, 95, 1308–1315. [Google Scholar] [CrossRef]
- Vovlas, N.; Troccoli, A.; Palomares-Rius, J.E.; Luca, F.D. Ditylenchus gigas n. sp. parasitizing broad bean: A new stem nematode singled out from the Ditylenchus dipsaci species complex using a polyphasic approach with molecular phylogeny. Plant Pathol. 2011, 60, 762–775. [Google Scholar] [CrossRef]
- Jeszke, A.; Dobosz, R.; Obrępalska-Stęplowska, A. A fast and sensitive method for the simultaneous identification of three important nematode species of the genus Ditylenchus. Pest Manag. Sci. 2015, 71, 243–249. [Google Scholar] [CrossRef]
- Gao, B.; Ma, J.; Li, X.; Wang, R.; Chen, S. A real-time recombinase polymerase amplification assay for fast and accurate detection of Ditylenchus destructor. Mol. Cell. Probes 2021, 61, 101788. [Google Scholar] [CrossRef]
- Ding, S.; Yang, S.; Wu, W.; Xie, H.; Xu, C. Rapid diagnosis of Ditylenchus destructor by loop-mediated isothermal amplification assay based on 28S rRNA sequences. Eur. J. Plant Pathol. 2018, 153, 1165–1175. [Google Scholar] [CrossRef]
- Pethybridge, S.J.; Gorny, A.M.; Hoogland, T.; Jones, L.; Hay, F.; Smart, C.; Abawiet, G. Identification and characterization of Ditylenchus spp. populations from garlic in New York State, USA. Trop. Plant Pathol. 2016, 41, 193–197. [Google Scholar] [CrossRef]
- Wan, F.; Peng, D.; Yang, Y.; He, Y. Species specific molecular diagnosis of Ditylenchus destructor populations occurring in China. Acta Phytopathol. Sin. 2008, 38, 263–270. (In Chinese) [Google Scholar] [CrossRef]
- Ni, C.; Han, B.; Liu, Y.; Munawar, M.; Liu, S.; Li, W.; Shi, M.; Li, H.; Peng, D. Populations of the Potato rot nematode Ditylenchus destructor parasitizing Chinese herbal medicines diagnosis and characterization of the ribosomal DNA-ITS. J. Integr. Agric. 2023, 22, 1763–1781. [Google Scholar] [CrossRef]
- Li, Y.; Huang, L.; Jiang, R.; Han, S.; Chang, Q.; Li, Y.; Chen, Z.; Peng, H.; Huang, W.; Guo, J.; et al. Molecular characterization of internal transcribed spacer (ITS) of ribosomal RNA gene, haplotypes and pathogenicity of potato rot nematode Ditylenchus destructor in China. Phytopathol. Res. 2022, 4, 22. [Google Scholar] [CrossRef]
- Subbotin, S.A.; Deimi, A.M.; Zheng, J.W.; Chizhov, V.N. Length variation and repetitive sequences of internal transcribed spacer of ribosomal RNA gene, diagnostics and relationships of populations of potato rot nematode, Ditylenchus destructor Thorne, 1945 (Tylenchidae: Anguinidae). Nematology 2011, 13, 773–785. [Google Scholar] [CrossRef]
- Qiao, Y.; Zaidi, M.A.; Badiss, A.; Hughes, B.; Celetti, M.J.; Yu, Q. Intra-racial genetic variation of Ditylenchus dipsaci isolated from garlic in Ontario as revealed by random amplified polymorphic DNA analysis. Can. J. Plant Pathol. 2013, 35, 346–353. [Google Scholar] [CrossRef]
- Qiao, Y.; Yu, Q.; Badiss, A.; Zaidi, M.A.; Ponomareva, E.; Hu, Y.; Ye, W. Paraphyletic genus Ditylenchus Filipjev (Nematoda, Tylenchida), corresponding to the D. triformis-group and the D. dipsaci-group scheme. ZooKeys 2016, 568, 1–12. [Google Scholar] [CrossRef]
- Viglierchio, D.R.; Schmitt, R.V. On the methodology of nematode extraction from field samples: Baermann funnel modifications. J. Nematol. 1983, 15, 438–444. [Google Scholar] [PubMed]
- Ou, S.; Wang, Y.; Peng, D.; Qiu, H.; Bai, Q.; Shi, S. Discovery of Potato Rot Nematode, Ditylenchus destructor, Infesting Potato in Inner Mongolia, China. Plant Dis. 2017, 101, 1554. [Google Scholar] [CrossRef]
- Suzanne, D.; Bryan, S.G.; Roy, N.; Tim, J.D. DNA extraction from soil nematodes for multi-sample community studies. Applied Soil Ecology. 2008, 38, 20–26. [Google Scholar] [CrossRef]
- Cherry, T.H.; Szalanski, A.L.; Todd, T.C.; Powers, T.O. The internal transcribed spacer region of belonolaimus (nemata: Belonolaimidae). J. Nematol. 1997, 29, 23–29. [Google Scholar] [CrossRef] [PubMed]
- Zijlstra, C.; Lever, A.; Uenk, B.J.; Silfhout, C.H. Differences between ITS regions of isolates of the root-knot nematodes Meloidogyne hapla and M. chitwoodi. Phytopathology 1995, 85, 1231–1237. [Google Scholar] [CrossRef]
- Mahmoudi, N.; Нилoуфар, М.; Naserzadeh, Y.; Юсеф, H.; Pakina, E.; Никoлаевна, I.E.; Limantceva, L.A.; Алексеевна, J.J.; Nejad, D.K.; Картули, H. Molecular identification of Ditylenchus destructor nematode with PCR Species-Specific primers in the Moscow region. RUDN J. Agron. Anim. Ind. 2019, 14, 430–436. [Google Scholar] [CrossRef]
- Liu, B.; Mei, Y.; Zheng, J. Species-specific detection of inter-populations of Ditylenchus destructor. J. Zhejiang Univ. (Agric. Life Sci.) 2007, 33, 490–496. (In Chinese) [Google Scholar] [CrossRef]
- Yan, G.; Smiley, R.W.; Okubara, P.A.; Skantar, A.M. Species-Specific PCR Assays for Differentiating Heterodera filipjevi and H. avenae. Plant Dis. 2013, 97, 1611–1619. [Google Scholar] [CrossRef]
- Shao, H.; Zhang, P.; Peng, D.; Huang, W.; Kong, L.; Li, C.; Liu, E.; Peng, H. Current advances in the identification of plant nematode diseases: From lab assaysto in-field diagnostics. Front. Plant Sci. 2023, 14, 1106784. [Google Scholar] [CrossRef]
- Zhang, S.; Zhang, S. PCR and sequence analyse of rDNA-ITS1 region of sweet potato stem nematode. Acta Phytopathol. Sin. 2008, 38, 4. (In Chinese) [Google Scholar] [CrossRef]
- Song, W.; Dai, M.; Shi, Q.; Liang, C.; Duan, F.; Zhao, H. Diagnosis and Characterization of Ditylenchus destructor Isolated from Mazus japonicus in China. Life 2023, 13, 1758. [Google Scholar] [CrossRef] [PubMed]
- Cheng, Z.; Toyota, K.; Yamashita, K. Development of real-time PCR primers specific to the garlic-damaging potato rot nematode Ditylenchus destructor to quantify its density in soil and outer skin of garlic. Nematol. Res. (Jpn. J. Nematol.) 2015, 45, 93–99. [Google Scholar] [CrossRef]
- Bogale, M.; Baniya, A.; DiGennaro, P. Nematode Identification Techniques and Recent Advances. Plants 2020, 9, 1260. [Google Scholar] [CrossRef] [PubMed]
Disclaimer/Publisher’s Note: The statements, opinions and data contained in all publications are solely those of the individual author(s) and contributor(s) and not of MDPI and/or the editor(s). MDPI and/or the editor(s) disclaim responsibility for any injury to people or property resulting from any ideas, methods, instructions or products referred to in the content. |
© 2024 by the authors. Licensee MDPI, Basel, Switzerland. This article is an open access article distributed under the terms and conditions of the Creative Commons Attribution (CC BY) license (https://creativecommons.org/licenses/by/4.0/).





