Abstract
The objective of this study was to assess the impact of concentrated cottonseed protein (CPC) as a substitute for fishmeal (FM) in juvenile hybrid culter (Erythroculter ilishaeformis ♀ × Ancherythroculter nigrocauda ♂). A total of 360 fish with an initial body weight of 10.0 ± 0.5 g were randomly allocated into 12 indoor culture tanks, with each tank containing 30 fish. Four diets were formulated in which fish meal (FM) was replaced by CPC at different inclusion levels: 0% (T0), 15% (T15), 30% (T30), and 45% (T45). The corresponding amounts of CPC included were 0, 61, 122, and 182 g/kg, respectively. At the end of the 10-week feeding trial, the findings revealed an inverse correlation between the proportion of CPC replacing FM and both final body weight (FBW) and weight growth rate (WG) in hybrid culter. Specifically, the T30 and T45 groups exhibited significantly lower FBW and WG compared to the T0 group (p < 0.05). No significant differences in crude protein and ash contents were observed among all groups (p > 0.05). However, the crude lipid content was highest in hybrid culter fed the T45 diet and lowest in the T0 group (p < 0.05). There were no significant differences in muscle amino acid composition among all treatment groups (p > 0.05). The contents of total protein (TP) and albumin (ALB) declined slightly as the proportion of FM substituted by CPC increased, yet this decline did not reach statistical significance (p > 0.05). Serum alanine aminotransferase (ALT) activity elevated with increasing dietary CPC, and the T45 group exhibited significantly higher ALT activity compared to the T0 group (p < 0.05). The hepatic activities of superoxide dismutase (SOD) and catalase (CAT) were significantly lower in the T45 group than in the T0 and T15 groups (p < 0.05). Furthermore, there was a decrease in intestinal villi length with an increasing replacement ratio of FM by CPC, and the villi length in the T45 group exhibited a significant reduction when compared to that in the T0 group (p < 0.05). It is concluded that replacing 15% FM with CPC does not exert obviously detrimental effects on growth performance, serum biochemical indices, intestinal morphology, muscle amino acid profile, or antioxidant performance of juvenile hybrid culter.
Keywords:
hybrid culter; aquaculture; concentrated cottonseed protein; growth; liver and intestinal health Key Contribution:
Fishmeal is a valuable ingredient for aquatic feed due to its high quality. However, its expensive price and the need to protect wild marine fish resources limit its extensive use in aquatic feed. Concentrated cottonseed protein (CPC) serves as an excellent alternative source of vegetable protein and proves to be an ideal substitute for FM. In this study, we successfully replaced 60 g/kg of FM with CPC in the diet of hybrid broilers without observing any significant adverse effects. This finding not only contributes to reducing feed costs but also promotes the sustainable and healthy development of hybrid culter cultivation.
1. Introduction
Fish meal (FM) is widely recognized as the primary protein source in aquatic feeds, particularly for carnivorous fish, owing to its elevated digestible protein, well-balanced amino acids, and minor antinutritional factors [1,2]. In recent decades, the rapid growth of aquaculture has escalated the demand for aquatic feeds, exacerbating the imbalance between FM supply and demand [2]. However, the excessive exploitation of marine fish resources has resulted in a significant reduction in fishing area, consequently leading to an ongoing decrease in FM production [3]. Therefore, it is imperative to urgently explore alternative protein sources as substitutes for FM to reduce FM inclusion and dietary costs.
Replacing FM with plant protein sources, such as rapeseed meal [4], peanut meal [5], soybean protein meal [6], etc., represents a prominent research direction in the field of fish nutrition. However, antinutritional factors such as gossypol, trypsin inhibitors, phytic acids, and tannin in traditional plant protein sources are not conducive to the digestion, absorption, and growth of fish [7]. By improving the plant protein source through processing technology and fermentation technology, the antinutritional factors can be effectively removed, and the availability of plant protein source can be promoted [8]. Cottonseed protein concentrate (CPC) is a product derived from common cottonseed meal through a low-temperature leaching and double-solvent extraction process, exhibiting notable characteristics such as reduced antinutritional factor content and elevated protein content [9,10]. CPC is considered a superior plant protein source and an ideal alternative to FM [10]. Some studies demonstrated that the substitution of a portion of FM in the diet with CPC had no detrimental impact on the growth performance of largemouth bass (Micropterus salmoides) [11], rainbow trout (Oncorhynchus mykiss) [2], golden pompano (Trachinotus ovatus) [12], and pearl gentiana grouper (Epinephelus fuscoguttatus ♀ × Epinephelus lanceolatu ♂) [13]. Furthermore, the incorporation of CPC as a partial substitute for FM resulted in enhanced hepatic antioxidant capacity in rainbow trout [2] and golden pompano [12]. These findings indicate that it is possible to use CPC as a substitute for a portion of FM in the diets for carnivorous fish.
The hybrid F1, resulting from a cross between Erythroculter ilishaeformis (♀) and Ancherythroculter nigrocauda (♂), exhibits remarkable traits including rapid growth, high stress resistance, delicious meat, cost-effective feeding, and robust disease resistance [14,15]. Currently, the cultivation of the hybrid F1 is widespread across China. Previous studies have demonstrated that the hybrid culter exhibits a carnivorous feeding behavior, with its dietary composition typically comprising 40% FM [16]. However, there are currently no reports documenting the replacement of FM with CPC in the diet of the hybrid culter. Therefore, to clarify the effects of the dietary CPC on growth and health, the growth performance, serum biochemical parameters, muscle amino acid composition, antioxidant properties, and intestinal morphology of hybrid culter were examined. The findings provide a theoretical foundation for the implementation of CPC in a low FM diet for carnivorous fish.
2. Materials and Methods
2.1. Experimental Diets
The formulation and proximate composition of the experimental diets are shown in Table 1, and the amino acid compositions of diets are illustrated in Table 2. Experimental basic diets were compounded with FM, soybean meal, and chicken meal as main protein sources (about 42% protein); fish oil and soybean oil as main lipid sources (about 11.4% lipid); and wheat flour as a carbohydrate source. Four experimental diets were prepared by replacing the same amount of FM with about 0, 6%, 12%, and 18% CPC in the basal diet, recorded as T0, T15, T30, and T45, respectively. All the large particles of ingredients were crushed first and then passed through a 60-mesh sieve. Dry ingredients listed in Table 1 were thoroughly mixed in a mixer before the addition of oil and 40% water. The mixture was extruded through a single-screw extruder to form Φ1 mm strips, subsequently desiccated at 60 °C for 2 h, and finally crushed into pellet feed with a length of approximately 5 mm using a crusher, and then were stored at −20 °C until used.
Table 1.
Formulation and proximate chemical compositions of the tested diets.
Table 2.
Amino acid compositions of diets (as dry matter, g/kg).
2.2. Feeding and Management
The experimental fish were provided by the Fisheries Research Institute, Wuhan Academy of Agricultural Sciences. Fish were domesticated in a recirculating aquacultural system for 2 weeks. After being acclimatized for 2 weeks, A total of 360 fish (mean initial weight: 10.0 ± 0.5 g) with uniform size and health were randomly distributed to 12 tanks with 30 fish per tank. Each experimental diet was randomly assigned to triplicate tanks. Fish were hand-fed twice daily (08:00 and 16:30) at a daily feeding rate of 3% of body weight for 70 days. Uneaten feed and feces were removed and approximately 10% of the water in each tank was replenished. During the experiment, the water temperature was maintained at 26.5–27.5 °C, the dissolved oxygen was kept at more than 5 mg/L, and regular monitoring of ammonia nitrogen and nitrite concentrations was performed. The dissolved oxygen and temperature were measured using a YSI-Pro20 dissolved oxygen meter, while ammonia nitrogen and nitrite were analyzed using a HACH ultraviolet–visible spectrophotometer (DR6000) and the corresponding detection kits.
2.3. Sample Collection
After a 70-day feeding trial, all fish were fasting for 24 h and then were weighed and counted. Three fish were randomly selected from each tank, anesthetized with an overdose of MS-222, euthanized, and stored at −40 °C for determination of whole fish nutrient composition. Additionally, six randomly chosen fish from each tank were anesthetized (75 mg/L MS-222) to measure their body weight and length. Subsequently, blood samples from the tail vein of these fish were collected to separate serum for the analysis of biochemical indicators. Then, the dorsal muscles were collected and subsequently stored at −80 °C to facilitate the subsequent analysis of muscle amino acid composition. The visceral mass, liver, and foregut of six fish from each tank were extracted, while the visceral mass and liver underwent weighing to calculate hepatosomatic and viscerosomatic index, respectively. Then, foregut tissue along with part of the liver tissue was fixed with paraformaldehyde fixative for preparation of liver and intestinal sections; another portion of the liver tissue was stored at −40 °C for assessment of antioxidant indexes.
2.4. Chemical Composition and Enzyme Activity Analysis Methods
Proximate compositions of experimental diets and whole fish samples were measured according to the Association of Official Agricultural Chemists methods [17]. Crude protein content was determined by measuring nitrogen (N × 6.25) levels using the Kjeldahl method following acid digestion with an auto Kjeldahl System (Kjelflex K-360; BUCHI Labortechnik AG, Flawil, Switzerland), and the crude lipid content was determined by Soxhlet extraction. Moisture content was measured by freeze-drying samples for 48 h in a vacuum freeze dryer (Christ Beta 2–4 LD plus LT, Marin Christ Corporation, Osterode, Germany). Ash level was examined through incineration at 550 °C for 24 h in a muffle furnace. The amino acid composition of diets and muscle samples were assessed using an automatic amino acid analyzer (Hitachi L-8900, Tokyo, Japan) after pretreatment with hydrochloric acid hydrolysis.
Serum glucose (GLU), serum albumin (ALB), triglyceride (TG), total protein (TP), and total cholesterol (TCHO), along with alkaline phosphatase (ALP), aminotransferase (AST), and alanine aminotransferase (ALT) were determined using an automatic biochemical analyzer (CHEMIX-800, Sysmex Corporation, Kobe, Japan) with commercial diagnostic reagent kits (Sysmex Wuxi Co., Ltd., Wuxi, China).
The activities of superoxide dismutase (SOD) and catalase (CAT) and the content of malondialdehyde (MDA) were detected with commercial kits (Nanjing Jiancheng Bioengineering Institute, Nanjing, China).
2.5. Histological Analysis
Liver and foregut tissues were dehydrated by ethanol, then permeabilized, soaked in wax and embedded in paraffin, cut into 5 μm slices, dried, and then stained with hematoxylin–eosin (H&E). Three slides were obtained from liver and intestinal sections of each group for quantification, with three randomly selected fields analyzed on each slide. The number of cell nuclei in liver and the villi height, width, and muscular layer thickness of foregut were measured using Image J (National Institutes of Health, Bethesda, MD, USA).
2.6. Statistical Analysis
All data were analyzed using the statistical software SPSS 20.0 (SPSS Inc., Chicago, IL, USA). Data were subjected to a homogeneity test and a normality test prior to analysis by the one-way analysis of variance (ANOVA) and Duncan’s multiple range test. The results were described as mean ± standard deviation (SD), where the threshold of statistical significance was p < 0.05.
3. Results
3.1. Growth Performance and Proximate Body Composition
Table 3 reveals no statistically significant differences in the SR, FCR, HSI, VSI, and CF among the groups (p > 0.05). However, it is noteworthy that FBW and WG of hybrid culter were both decreased in response to increasing dietary CPC. Particularly, the FBW and WG in the T30 and T45 groups were both remarkably decreased compared to the T0 group (p < 0.05). Fish fed the T0 diets had higher FI than fish fed T30 and T45 diets (p < 0.05). The approximate body composition in the whole fish is shown in Table 4. The moisture, crude protein, and ash contents presented no marked differences among the four dietary groups (p > 0.05). The crude lipid content was highest in hybrid culter fed the T45 diet and lowest in the control (p < 0.05).
Table 3.
Growth parameters of hybrid culter (Erythroculter ilishaeformis ♀ × Ancherythroculter nigrocauda ♂) fed the experimental diets.
Table 4.
The body composition of whole fish of hybrid culter (Erythroculter ilishaeformis ♀ × Ancherythroculter nigrocauda ♂) fed the experimental diets (% of wet weight).
3.2. Amino Acid Composition of Muscle
As shown in Table 5, a total of 17 amino acids were detected. The analysis revealed no statistically significant changes in the contents of TAA, EAA, and NEAA among all the groups (p > 0.05). Furthermore, there were no notable variations observed in the contents of individual amino acids across the different groups (p > 0.05).
Table 5.
The amino acid composition of muscle of hybrid culter (Erythroculter ilishaeformis ♀ × Ancherythroculter nigrocauda ♂) fed the experimental diets (as dry matter, g/kg).
3.3. Serum Biochemistry
As shown in Table 6, the analysis results of the serum biochemical indicators of hybrid culter showed that compared with the control group, the contents of TP and GLU and the activities of AST and ALP in other treatments indicated no statistically significant differences (p > 0.05). Serum ALB and TCHO contents decreased with the increase in dietary CPC level, but the difference was not significant. The TG content did not change significantly with dietary CPC. Notably, the serum ALT activity in the T
30 and T45 groups were significantly higher than that in the T0 group (p < 0.05).
Table 6.
Serum biochemical indexes of hybrid culter (Erythroculter ilishaeformis ♀ × Ancherythroculter nigrocauda ♂) fed the experimental diets.
3.4. Antioxidant Abilities of Liver
Dietary CPC replacement significantly influenced antioxidant responses in the livers of hybrid culter (Table 7). Compared with the T0 and T15 groups, the T45 group showed significantly decreased activities of SOD and CAT in the liver (p < 0.05).
Table 7.
Liver antioxidant indexes of hybrid culter (Erythroculter ilishaeformis ♀ × Ancherythroculter nigrocauda ♂) fed the experimental diets.
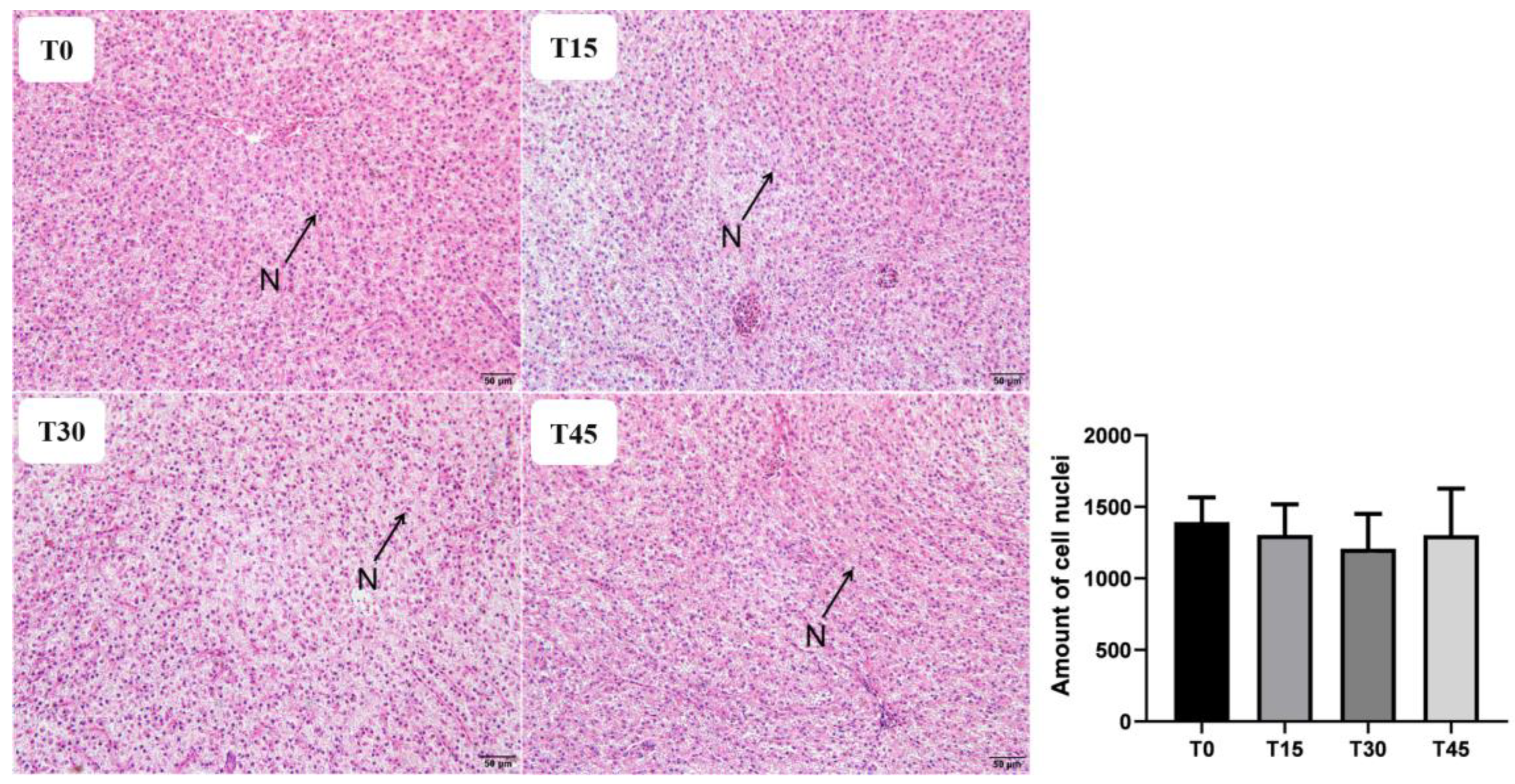
3.5. Liver Morphology
The liver of the T0, T15, and T30 groups all exhibit distinct nuclei, and without discernible differences in the hepatic tissue structure (Figure 1). Dietary CPC did not significantly affect the number of hepatocyte cell nuclei, as revealed by H&E staining of hybrid culter (p > 0.05).
Figure 1.
Liver morphology of hybrid culter (Erythroculter ilishaeformis ♀ × Ancherythroculter nigrocauda ♂) and determination of hepatocyte nucleus (H&E staining, ×40). Note: N, nucleus; VS: vacuoles; SN: shifted nucleus.
3.6. Intestinal Morphology
Intestinal morphology in hybrid culter is presented in Figure 2. There were no significant differences observed in the villus number, villus width, and muscular thickness among the experimental groups (p > 0.05) (Table 8). The villus height for the T45 group showed a significant decrease compared to the T0 group (p < 0.05).
Figure 2.
Intestinal morphology of hybrid culter (Erythroculter ilishaeformis ♀ Í Ancherythroculter nigrocauda ♂) (H&E staining, ×40).
Table 8.
Intestinal morphology of hybrid culter (Erythroculter ilishaeformis ♀ × Ancherythroculter nigrocauda ♂) fed the experimental diets.
4. Discussion
Previous studies revealed that partial replacement of FM with a plant protein source has the benefit of decreasing diet cost and without adverse effects on growth, but higher replacement levels caused its growth retardation [18,19]. In largemouth bass, the replacement of 30% FM by CPC had no significant impacts on growth, flesh composition, flavor, or muscular tissue structure, whereas high FM replacement (≥45%) decreased growth performance [19]. Similar results were also reported in common carp (Cyprinus carpio) [20], hybrid grouper (♀Epinephelus fuscoguttatus × ♂Epinephelus lanceolatu) [21], and cobia (Rachycentron canadum) [22]. Our study demonstrated a consistent decrease in WG with increasing dietary CPC level and decreasing dietary FM, and the WG in T30 and T45 groups was significantly lower than that in the control group. Although the CPC had undergone dephenolization, it still contained various antinutrient factors such as gossyphene, phytic acid, and tannin. These compounds form complexes with proteins, sugars, and various metal ions that are not easily digestible or absorbable by the body, thus adversely affecting the palatability, feed intake, and growth [21,23]. In this study, the hybrid culter group fed with T15 did not impact on growth performance and SR (≥90%). Higher dietary CPC (T30 and T45) significantly decreased the growth performance and food intake of hybrid culter. Several studies have shown that replacing FM with higher levels of CPC reduces the SR of largemouth bass [10,24] and rainbow trout [2,25]. Furthermore, there were no significant differences in FCR among all the groups, which is consistent with the results on rainbow trout [25] and golden pompano [26].
Studies have demonstrated that the utilization of phenol-free cottonseed meal and CPC as FM substitutes does not significantly impact the body composition of rainbow trout [24], black sea bass (Centropristis striata) [27], and Chinese soft-shelled turtle (Pelodiscus sinensis) [28]. However, other studies have shown that replacing FM with CPC has a significant effect on the body composition [10,26]. The current study indicates an increasing trend in crude lipid content of whole fish as the CPC replacement proportion increases. Notably, the T45 group exhibits a significantly higher concentration of crude lipid compared to the T0 group, which aligns with previous results observed in largemouth bass [1,11] and southern flounder (Paralichthys lethostigma) [29]. Nevertheless, no significant differences were observed in terms of crude protein and ash contents between groups. These observations may be attributed to variations in cottonseed protein processing methods, levels of FM substitution, and experimental conditions [24,30].
Blood is the pivotal component of the circulatory system in the body and plays crucial roles in material transportation, physiological regulation, and defense mechanisms. In fish, serum biochemical indicators effectively reflect various metabolic processes, nutritional status, and health [31]. Previous studies have demonstrated that gossypol consumption may result in liver damage and associated alterations in serum biochemistry [32]. AST and ALT are two vital transaminase enzymes involved in amino acid metabolism, with increased activities typically indicating liver damage [33]. Our findings revealed an elevation in serum ALT activity with increasing CPC content in the diet, where the T45 group exhibited the highest value compared to the other groups. The results indicated that a higher substitution of FM with CPC influences the hepatic function in hybrid culter. Similar observations have been reported in hybrid grouper [21], Amur sturgeon (Acipenser schrenckii) [34], and rainbow trout [35]. Serum TP and ALB levels serve as indicators for protein metabolic status and immune capacity in fish [36]. Our study indicated a decreasing trend in serum TP and ALB contents with increasing proportions of CPC replacement. This could be attributed to nutritional deficiencies or abnormalities in hepatic protein metabolism [37,38]. Serum T-CHO and TG levels provide insights into lipid metabolism within the body [39]. Our results demonstrated that a decreasing trend was observed in the T-CHO and TG contents in serum, and at the same time, the whole-fish lipid level increased significantly with the dietary CPC level. This observation implies that the TG and TCHO in serum may accelerate the transformation into lipids and deposition in fish, but the results of serum biochemical indicators (TG and TCHO) are not significant. Further investigation is warranted to elucidate the mechanism by which CPC affects lipid deposition in fish.
The nutritional composition and content of animal muscle are intricately linked to its quality. The nutritional value of muscle proteins is determined by the composition, types, and proportions of amino acids, which serve as the fundamental building blocks [19]. The flavor quality of fish fillets mainly depends on alanine, glutamic acid, aspartic acid, and glycine, which contribute to the umami and sweetness of fish fillets [40,41]. In this study, 17 essential and nonessential amino acids in the diet and muscles were detected in the muscle of hybrid culter. No differences were found in the amino acid profiles under the replacement of FM by CPC. This indicates that CPC can replace up to 45% of FM in the diet without negatively impacting the composition of muscle amino acids. Our findings are consistent with previous research on Nile tilapia (Oreochromis niloticus) [42] and large yellow croaker (Larimichthys crocea) [43], which reported that increasing CPC in the diet did not significantly affect EAA or TAA contents in muscles. However, studies on largemouth bass [10] and Amur sturgeon [34] have shown that replacing FM with a high proportion of CPC significantly reduced muscular TAA and EAA contents. This may be explained by higher dietary CPC content causing an increase in gossypol level or an imbalance in amino acid compositions.
The antioxidant defense system plays a crucial role in protecting cells and cell membranes against oxidative damage, thus maintaining normal physiological functions of the body [44]. Antioxidant enzymes are important indicators and serve as markers for animal health and their response to external stimuli [12]. Excessive production of reactive oxygen species (ROS) disrupts cellular redox balance, causing metabolic disorders and impairments in genetic material. SOD and CAT are widely recognized as antioxidant enzymes in fish responsible for scavenging excessive ROS, indicating stronger antioxidant properties within the fish’s body [45,46]. MDA is the product resulting from the reaction between oxygen free radicals and lipid oxidation. Its content reflects the degree of lipid peroxidation and damage to cell membranes [47]. It has been reported that gossypol readily binds to proteins in the electron transport chain of mitochondria, thereby disrupting mitochondrial function and inducing excessive production of ROS, consequently inhibiting various enzyme activities and initiating oxidative damage [48]. Studies have demonstrated that high dietary CPC replacement levels result in decreased liver antioxidant capacity (SOD, CAT, GSH-PX) or reduced expression of antioxidant-related genes in largemouth bass [11] and Ussuri catfish (Pseudobagrus ussuriensis) [44]. Another study revealed that high substitution ratios of FM with a mixture of Clostridium ethanolic protein and CPC (1:1) could diminish the antioxidant capacity in rainbow trout [49]. The findings from this study suggest that an increase in CPC substitution content within FM tends to decrease T-SOD and CAT activities. Notably, the T45 group exhibits significantly lower T-SOD and CAT activities compared to the T0 group, but there was no significant difference in MDA content. These findings suggest that elevated dietary CPC diminish the antioxidant capacity of juvenile hybrid culter, but the increased dietary CPC did not cause more serious oxidative damage to the liver. Indeed, this conclusion was further confirmed by the results of liver morphology and the number of hepatocyte cell nuclei. However, contrasting findings have been reported in previous studies: SOD activity was found to be enhanced in golden pompano [12], while no significant effect on MDA content was observed for the replacement of FM with CPC. These discrepancies may be attributed to variations in feed formulations or stress resistance of fish species.
The intestine functions as the primary organ responsible for digestion and absorption of nutrients in fish, playing a crucial role in normal growth and development. The dimensions of villus height and width within the intestine determine the surface area of contact between mucosal epithelial cells and chyme, while the thickness of the muscle layer facilitates intestinal peristalsis and advancement of chyle [49]. Studies have shown that high CPC levels (CPC60) in diets can lead to intestinal morphological changes (including villus height and number of goblet cells, etc.) [11]. The reduction in intestinal villus height may contribute to inhibition of growth performance. Furthermore, higher replacement level of CPC has been found to significantly decrease both the height and width of intestinal villi in rainbow trout [35], large yellow croaker [43], and largemouth bass [1]. The inclusion of a mixture consisting of clostridium ethanol protein and CPC (1:1) as a substitute for FM resulted in significant reductions in villus height, villus width, and muscle layer thickness within the intestines of rainbow trout [49]. Similarly, substituting FM with low gossypol cottonseed meal can induce morphological damage to the intestines of silver sillago (Sillago sihama) [9]. The findings from this study revealed that the T45 group, which had a high proportion of CPC replacement, exhibited significantly decreased intestinal villi height compared to the control group, consistent with previous research [1,35,43,49]. These results demonstrate a notable decline in intestinal villi height of hybrid culter when replacing FM with a high proportion of CPC.
5. Conclusions
Our results demonstrated that in a practical diet containing 400 g/kg FM, 60 g/kg FM could be replaced by CPC, which did not exhibit obvious adverse effects on the growth performance, serum biochemical parameters, intestinal morphology, muscle amino acid composition and content, or antioxidant capacity of juvenile hybrid culter. Thus, addition of CPC is recommended in commercial feeds for its cost-effectiveness and environmental safety.
Author Contributions
Conceptualization, M.J. and H.W. (Hua Wen); methodology, L.Z.; validation, X.L.; formal analysis, L.D.; investigation, H.W. (Hua Wen); resources and supervision, J.T.; data curation, M.J.; project administration, Q.L. and G.W.; writing—original draft preparation, G.X.; writing—review and editing, D.P. and H.W. (Huijie Wei) All authors have read and agreed to the published version of the manuscript.
Funding
This research was supported by the Special Funds for the Hubei Technology and Innovation (2018ABA105) and Special Funds for the Ministry of Science and Technology Science and Technology to Help the Economy 2020.
Institutional Review Board Statement
The care, handing, and sampling of animals were performed following animal care protocols approved by the Animal Welfare Committee of Yangtze River Fisheries Research Institute, Chinese Academy of Fishery Sciences (Approval Code, YFI 2022JM-07).
Informed Consent Statement
Not applicable.
Data Availability Statement
All data are available within the current study.
Conflicts of Interest
The authors declare no conflicts of interest. Huijie Wei and Qing Li were employed by the company Wuhan Xianfeng Aquaculture Technology Co., Ltd., Wuhan, China. The remaining authors declare that the research was conducted in the absence of any commercial or financial relationships that could be construed as a potential conflict of interest.
References
- Liu, Y.; Lu, Q.; Xi, L.; Gong, Y.; Su, J.; Han, D.; Zhang, Z.; Liu, H.; Jin, J.; Yang, Y. Effects of replacement of dietary fishmeal by cottonseed protein concentrate on growth performance, liver health, and intestinal histology of largemouth bass (Micropterus salmoides). Front. Physiol. 2021, 12, 2308. [Google Scholar] [CrossRef] [PubMed]
- Zhao, W.; Liu, Z.-L.; Niu, J. Growth performance, intestinal histomorphology, body composition, hematological and antioxidant parameters of Oncorhynchus mykiss were not detrimentally affected by replacement of fish meal with concentrated dephenolization cottonseed protein. Aquac. Rep. 2021, 19, 100557. [Google Scholar] [CrossRef]
- Carvalho, M.; Torrecillas, S.; Montero, D.; Sanmartín, A.; Fontanillas, R.; Farías, A.; Moutou, K.; Velásquez, J.H.; Izquierdo, M. Insect and single-cell protein meals as replacers of fish meal in low fish meal and fish oil diets for gilthead sea bream (Sparus aurata) juveniles. Aquaculture 2023, 566, 739215. [Google Scholar] [CrossRef]
- Dossou, S.; Koshio, S.; Ishikawa, M.; Yokoyama, S.; Dawood, M.A.; El Basuini, M.F.; Olivier, A.; Zaineldin, A.I. Growth performance, blood health, antioxidant status and immune response in red sea bream (Pagrus major) fed Aspergillus oryzae fermented rapeseed meal (RM-Koji). Fish Shellfish. Immunol. 2018, 75, 253–262. [Google Scholar] [CrossRef] [PubMed]
- Liu, X.h.; Ye, J.d.; Wang, K.; Kong, J.h.; Yang, W.; Zhou, L. Partial replacement of fish meal with peanut meal in practical diets for the Pacific white shrimp, Litopenaeus vannamei. Aquac. Res. 2012, 43, 745–755. [Google Scholar] [CrossRef]
- Wang, P.; Zhu, J.; Feng, J.; He, J.; Lou, Y.; Zhou, Q. Effects of dietary soy protein concentrate meal on growth, immunity, enzyme activity and protein metabolism in relation to gene expression in large yellow croaker Larimichthys crocea. Aquaculture 2017, 477, 15–22. [Google Scholar] [CrossRef]
- Imani, A.; Mahmoudikiya, Z. Introducing antinutritional factors in plant origin fish feed ingredients and strategies to reduce their contents. J. Fish. 2023, 76, 377–396. [Google Scholar]
- Barrows, F.T.; Stone, D.A.; Hardy, R.W. The effects of extrusion conditions on the nutritional value of soybean meal for rainbow trout (Oncorhynchus mykiss). Aquaculture 2007, 265, 244–252. [Google Scholar] [CrossRef]
- Liu, H.; Dong, X.; Tan, B.; Du, T.; Zhang, S.; Yang, Y.; Chi, S.; Yang, Q.; Liu, H. Effects of fish meal replacement by low-gossypol cottonseed meal on growth performance, digestive enzyme activity, intestine histology and inflammatory gene expression of silver sillago (Sillago sihama Forsskál) (1775). Aquac. Nutr. 2020, 26, 1724–1735. [Google Scholar] [CrossRef]
- Xu, X.; Yang, H.; Zhang, C.; Bian, Y.; Yao, W.; Xu, Z.; Wang, Y.; Li, X.; Leng, X. Effects of replacing fishmeal with cottonseed protein concentrate on growth performance, flesh quality and gossypol deposition of largemouth bass (Micropterus salmoides). Aquaculture 2022, 548, 737551. [Google Scholar] [CrossRef]
- He, G.; Zhang, T.; Zhou, X.; Liu, X.; Sun, H.; Chen, Y.; Tan, B.; Lin, S. Effects of cottonseed protein concentrate on growth performance, hepatic function and intestinal health in juvenile largemouth bass, Micropterus salmoides. Aquac. Rep. 2022, 23, 101052. [Google Scholar] [CrossRef]
- Shen, J.; Liu, H.; Tan, B.; Dong, X.; Yang, Q.; Chi, S.; Zhang, S. Effects of replacement of fishmeal with cottonseed protein concentrate on the growth, intestinal microflora, haematological and antioxidant indices of juvenile golden pompano (Trachinotus ovatus). Aquac. Nutr. 2020, 26, 1119–1130. [Google Scholar] [CrossRef]
- Chen, G.; Yin, B.; Liu, H.; Tan, B.; Dong, X.; Yang, Q.; Chi, S.; Zhang, S. Effects of fishmeal replacement with cottonseed protein concentrate on growth, digestive proteinase, intestinal morphology and microflora in pearl gentian grouper (♀ Epinephelus fuscoguttatus×♂ Epinephelus lanceolatu). Aquac. Res. 2020, 51, 2870–2884. [Google Scholar] [CrossRef]
- Tian, J.; Peng, D.; Wen, H.; Wang, G.; Li, P.; Chen, J.; Sun, Y.; Lu, X.; Wu, F.; Li, Q. A comparative study on protein-sparing effects among juvenile Erythroculter ilishaeformis line, Ancherythroculter nigrocauda line and their hybrid F1 fed diets with different protein to carbohydrate ratios. Aquac. Nutr. 2020, 26, 993–1006. [Google Scholar] [CrossRef]
- Zhang, L.; Wei, H.; Yu, Y.; Li, Q.; Song, Z.; Sun, Y.; Li, P.; Chen, J.; Gan, J.; Zhang, H. Insights into the molecular mechanism of muscle textural quality improvement treated by exercise using comparative transcriptome analysis on the hybrid (Erythroculter ilishaeformis ♀ × Ancherythroculter nigrocauda ♂). Aquac. Rep. 2023, 31, 101672. [Google Scholar] [CrossRef]
- Wu, F.; Wen, H.; Li, Q.; Chen, J.; Wang, G. Dietary Protein Requirement of Juvenile Erythroculter ilishaeformis (♀) × Ancherythroculter nigrocauda (♂) Hybrid F1. Chin. J. Anim. Nutr. 2018, 30, 5052–5061. [Google Scholar]
- AOAC. Official Methods of Analysis of AOAC International; AOAC International: Arlington, TX, USA, 1995. [Google Scholar]
- Sun, H.; Tang, J.-w.; Yao, X.-h.; Wu, Y.-f.; Wang, X.; Liu, Y.; Lou, B. Partial substitution of fish meal with fermented cottonseed meal in juvenile black sea bream (Acanthopagrus schlegelii) diets. Aquaculture 2015, 446, 30–36. [Google Scholar] [CrossRef]
- Xu, X.; Li, X.; Xu, Z.; Yang, H.; Lin, X.; Leng, X. Replacing fishmeal with cottonseed protein concentrate in practical diet of largemouth bass (Micropterus salmoides): Growth, flesh quality and metabolomics. Aquaculture 2024, 579, 740164. [Google Scholar] [CrossRef]
- Wang, X.-F.; Li, X.-Q.; Leng, X.-J.; Shan, L.-L.; Zhao, J.-X.; Wang, Y.-T. Effects of dietary cottonseed meal level on the growth, hematological indices, liver and gonad histology of juvenile common carp (Cyprinus carpio). Aquaculture 2014, 428, 79–87. [Google Scholar] [CrossRef]
- Yin, B.; Liu, H.; Tan, B.; Dong, X.; Chi, S.; Yang, Q.; Zhang, S.; Chen, L. Cottonseed protein concentrate (CPC) suppresses immune function in different intestinal segments of hybrid grouper ♀ Epinephelus fuscoguttatus × ♂ Epinephelus lanceolatu via TLR-2/MyD88 signaling pathways. Fish Shellfish Immunol. 2018, 81, 318–328. [Google Scholar] [CrossRef]
- Lunger, A.N.; McLean, E.; Gaylord, T.; Kuhn, D.; Craig, S. Taurine supplementation to alternative dietary proteins used in fish meal replacement enhances growth of juvenile cobia (Rachycentron canadum). Aquaculture 2007, 271, 401–410. [Google Scholar] [CrossRef]
- He, Y.; Guo, X.; Tan, B.; Dong, X.; Yang, Q.; Liu, H.; Zhang, S.; Chi, S. Replacing fishmeal with cottonseed protein concentrate in feed for pearl gentian groupers (Epinephelus fuscoguttatus♀ × E. lanceolatus ♂): Effects on growth and expressions of key genes involved in appetite and hepatic glucose and lipid metabolism. Aquac. Rep. 2021, 20, 100710. [Google Scholar] [CrossRef]
- Xie, X.; Wang, J.; Guan, Y.; Xing, S.; Liang, X.; Xue, M.; Wang, J.; Chang, Y.; Leclercq, E. Cottonseed protein concentrate as fishmeal alternative for largemouth bass (Micropterus salmoides) supplemented a yeast-based paraprobiotic: Effects on growth performance, gut health and microbiome. Aquaculture 2022, 551, 737898. [Google Scholar] [CrossRef]
- Luo, L.; Xue, M.; Wu, X.; Cai, X.; Cao, H.; Liang, Y. Partial or total replacement of fishmeal by solvent-extracted cottonseed meal in diets for juvenile rainbow trout (Oncorhynchus mykiss). Aquac. Nutr. 2006, 12, 418–424. [Google Scholar] [CrossRef]
- Shen, J.; Chen, M.; Liu, H.; Tan, B.; Dong, X.; Yang, Q.; Chi, S.; Zhang, S.; Wang, H. Effects of Fish Meal Replacement by Concentrated Cottonseed Protein on Growth Performance, Serum Biochemical Indices, Liver Antioxidant Indices and Gastrointestinal Tract Protease Activities of Juvenile Trachinotus ovatus. Chin. J. Anim. Nutr. 2019, 31, 746–756. [Google Scholar]
- Zhang, J.; Ren, X.; Li, W.; Liu, M.; Wang, L.; Wang, Y. Potential of replacing fish meal with cottonseed protein concentrate in black sea bass (Centropristis striata) diet. J. Fish. China 2020, 44, 1873–1882. [Google Scholar]
- Qiu, Z.; Zhao, J.; Xie, D.; de Cruz, C.R.; Zhao, J.; Xu, H.; Xu, Q. Effects of Replacing Fish Meal with Enzymatic Cottonseed Protein on the Growth Performance, Immunity, Antioxidation, and Intestinal Health of Chinese Soft-Shelled Turtle (Pelodiscus sinensis). Aquac. Nutr. 2023, 2023, 6628805. [Google Scholar] [CrossRef]
- Alam, M.; Watanabe, W.; Carroll, P.; Gabel, J.; Corum, M.; Seaton, P.; Wedegaertner, T.; Rathore, K.; Dowd, M. Evaluation of genetically-improved (glandless) and genetically-modified low-gossypol cottonseed meal as alternative protein sources in the diet of juvenile southern flounder Paralichthys lethostigma reared in a recirculating aquaculture system. Aquaculture 2018, 489, 36–45. [Google Scholar] [CrossRef]
- Anderson, A.; Alam, M.; Watanabe, W.; Carroll, P.; Wedegaertner, T.; Dowd, M. Full replacement of menhaden fish meal protein by low-gossypol cottonseed flour protein in the diet of juvenile black sea bass Centropristis striata. Aquaculture 2016, 464, 618–628. [Google Scholar] [CrossRef]
- Wan, M.; Yin, P.; Fang, W.; Xie, S.; Chen, S.J.; Tian, L.X.; Niu, J. The effect of replacement of fishmeal by concentrated dephenolization cottonseed protein on the growth, body composition, haemolymph indexes and haematological enzyme activities of the Pacific white shrimp (Litopenaeus vannamei). Aquac. Nutr. 2018, 24, 1845–1854. [Google Scholar] [CrossRef]
- Mena, H.; Santos, J.; Huber, J.; Tarazon, M.; Calhoun, M. The effects of varying gossypol intake from whole cottonseed and cottonseed meal on lactation and blood parameters in lactating dairy cows. J. Dairy Sci. 2004, 87, 2506–2518. [Google Scholar] [CrossRef] [PubMed]
- Zhou, C.; Liu, B.; Ge, X.; Xie, J.; Xu, P. Effect of dietary carbohydrate on the growth performance, immune response, hepatic antioxidant abilities and heat shock protein 70 expression of Wuchang bream, Megalobrama amblycephala. J. Appl. Ichthyol. 2013, 29, 1348–1356. [Google Scholar] [CrossRef]
- Wang, C.a.; Zhao, Z.; Lu, S.; Liu, Y.; Han, S.; Jiang, H.; Yang, Y.; Liu, H. Physiological, Nutritional and Transcriptomic Responses of Sturgeon (Acipenser schrenckii) to Complete Substitution of Fishmeal with Cottonseed Protein Concentrate in Aquafeed. Biology 2023, 12, 490. [Google Scholar] [CrossRef] [PubMed]
- Liu, Y.; Ma, S.; Lv, W.; Shi, H.; Qiu, G.; Chang, H.; Lu, S.; Wang, D.; Wang, C.; Han, S. Effects of replacing fishmeal with cottonseed protein concentrate on growth performance, blood metabolites, and the intestinal health of juvenile rainbow trout (Oncorhynchus mykiss). Front. Immunol. 2022, 13, 1079677. [Google Scholar] [CrossRef] [PubMed]
- Perazzolo, L.M.; Gargioni, R.; Ogliari, P.; Barracco, M.A. Evaluation of some hemato-immunological parameters in the shrimp Farfantepenaeus paulensis submitted to environmental and physiological stress. Aquaculture 2002, 214, 19–33. [Google Scholar] [CrossRef]
- Kumar, V.; Makkar, H.P.; Amselgruber, W.; Becker, K. Physiological, haematological and histopathological responses in common carp (Cyprinus carpio L.) fingerlings fed with differently detoxified Jatropha curcas kernel meal. Food Chem. Toxicol. 2010, 48, 2063–2072. [Google Scholar] [CrossRef] [PubMed]
- Wu, Z.-x.; Pang, S.-f.; Chen, X.-x.; Yu, Y.-m.; Zhou, J.-m.; Chen, X.; Pang, L.-j. Effect of Coriolus versicolor polysaccharides on the hematological and biochemical parameters and protection against Aeromonas hydrophila in allogynogenetic crucian carp (Carassius auratus gibelio). Fish Physiol. Biochem. 2013, 39, 181–190. [Google Scholar] [CrossRef] [PubMed]
- Wu, F.; Tian, J.; Yu, L.; Wen, H.; Jiang, M.; Lu, X. Effects of dietary rapeseed meal levels on growth performance, biochemical indices and flesh quality of juvenile genetically improved farmed tilapia. Aquac. Rep. 2021, 20, 100679. [Google Scholar] [CrossRef]
- Kawai, M.; Okiyama, A.; Ueda, Y. Taste enhancements between various amino acids and IMP. Chem. Senses 2002, 27, 739–745. [Google Scholar] [CrossRef]
- Ruiz-Capillas, C.; Moral, A. Free amino acids in muscle of Norway lobster (Nephrops novergicus (L.)) in controlled and modified atmospheres during chilled storage. Food Chem. 2004, 86, 85–91. [Google Scholar] [CrossRef]
- Wu, H.-X.; Li, W.-J.; Zhang, L.; Zhou, N.-N.; Ye, Z.-H.; Wang, X.; Zhang, W.-B.; Qiao, F.; Du, Z.-Y.; Zhang, M.-L. Microbiota derived butyrate affected the muscle texture of Nile tilapia (Oreochromis niloticus) fed with different protein sources. Food Chem. 2022, 393, 133392. [Google Scholar] [CrossRef] [PubMed]
- Tian, S.; Wu, Y.; Yuan, J.; Zhang, Z.; Huang, D.; Zhou, H.; Zhang, W.; Mai, K. Replacement of dietary fishmeal by cottonseed protein concentrate on growth performance, feed utilization and protein metabolism of large yellow croaker Larimichthys crocea. Aquac. Rep. 2022, 26, 101313. [Google Scholar] [CrossRef]
- Bu, X.; Chen, A.; Lian, X.; Chen, F.; Zhang, Y.; Muhammad, I.; Ge, X.; Yang, Y. An evaluation of replacing fish meal with cottonseed meal in the diet of juvenile Ussuri catfish Pseudobagrus ussuriensis: Growth, antioxidant capacity, nonspecific immunity and resistance to Aeromonas hydrophila. Aquaculture 2017, 479, 829–837. [Google Scholar] [CrossRef]
- Kim, J.-H.; Kim, S.K.; Hur, Y.B. Toxic effects of waterborne nitrite exposure on antioxidant responses, acetylcholinesterase inhibition, and immune responses in olive flounders, Paralichthys olivaceus, reared in bio-floc and seawater. Fish Shellfish Immunol. 2020, 97, 581–586. [Google Scholar] [CrossRef] [PubMed]
- Panieri, E.; Santoro, M. ROS homeostasis and metabolism: A dangerous liason in cancer cells. Cell Death Dis. 2016, 7, e2253. [Google Scholar] [CrossRef]
- Dawood, M.A.; Koshio, S.; El-Sabagh, M.; Billah, M.M.; Zaineldin, A.I.; Zayed, M.M.; Omar, A.A.E.-D. Changes in the growth, humoral and mucosal immune responses following β-glucan and vitamin C administration in red sea bream, Pagrus major. Aquaculture 2017, 470, 214–222. [Google Scholar] [CrossRef]
- Aitken, R.; Muscio, L.; Whiting, S.; Connaughton, H.; Fraser, B.; Nixon, B.; Smith, N.; De Iuliis, G. Analysis of the effects of polyphenols on human spermatozoa reveals unexpected impacts on mitochondrial membrane potential, oxidative stress and DNA integrity; implications for assisted reproductive technology. Biochem. Pharmacol. 2016, 121, 78–96. [Google Scholar] [CrossRef]
- Huang, H.; Li, X.; Cao, K.; Leng, X. Effects of Replacing Fishmeal with the Mixture of Cottonseed Protein Concentrate and Clostridium autoethanogenum Protein on the Growth, Nutrient Utilization, Serum Biochemical Indices, Intestinal and Hepatopancreas Histology of Rainbow Trout (Oncorhynchus mykiss). Animals 2023, 13, 817. [Google Scholar] [CrossRef]
Disclaimer/Publisher’s Note: The statements, opinions and data contained in all publications are solely those of the individual author(s) and contributor(s) and not of MDPI and/or the editor(s). MDPI and/or the editor(s) disclaim responsibility for any injury to people or property resulting from any ideas, methods, instructions or products referred to in the content. |
© 2024 by the authors. Licensee MDPI, Basel, Switzerland. This article is an open access article distributed under the terms and conditions of the Creative Commons Attribution (CC BY) license (https://creativecommons.org/licenses/by/4.0/).

