Photobiostimulation Therapy in Non-Responsive Oral Ulcerative Aftosis: 3 Cases Reports †
1. Introduction
2. Materials and Methods
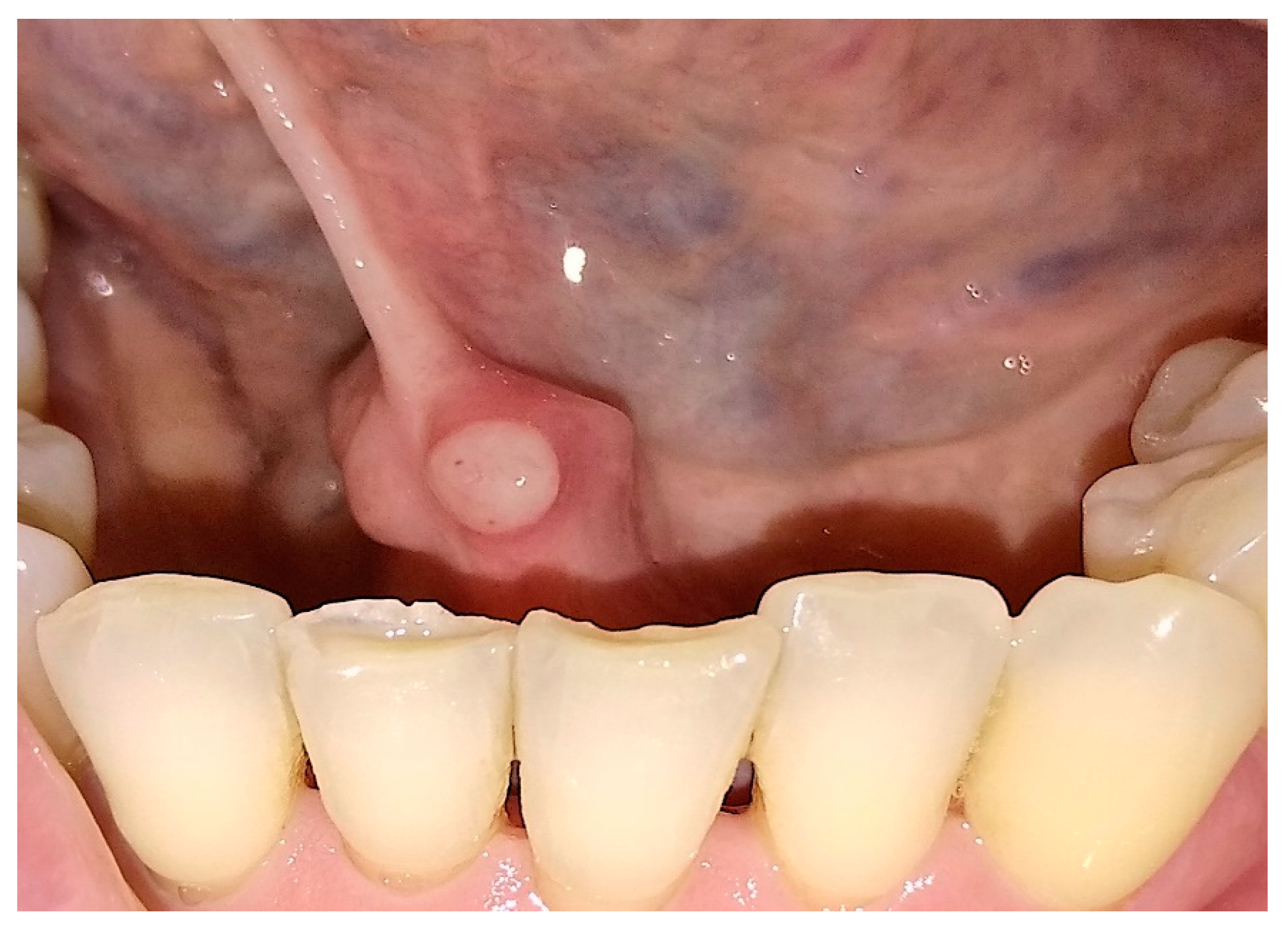
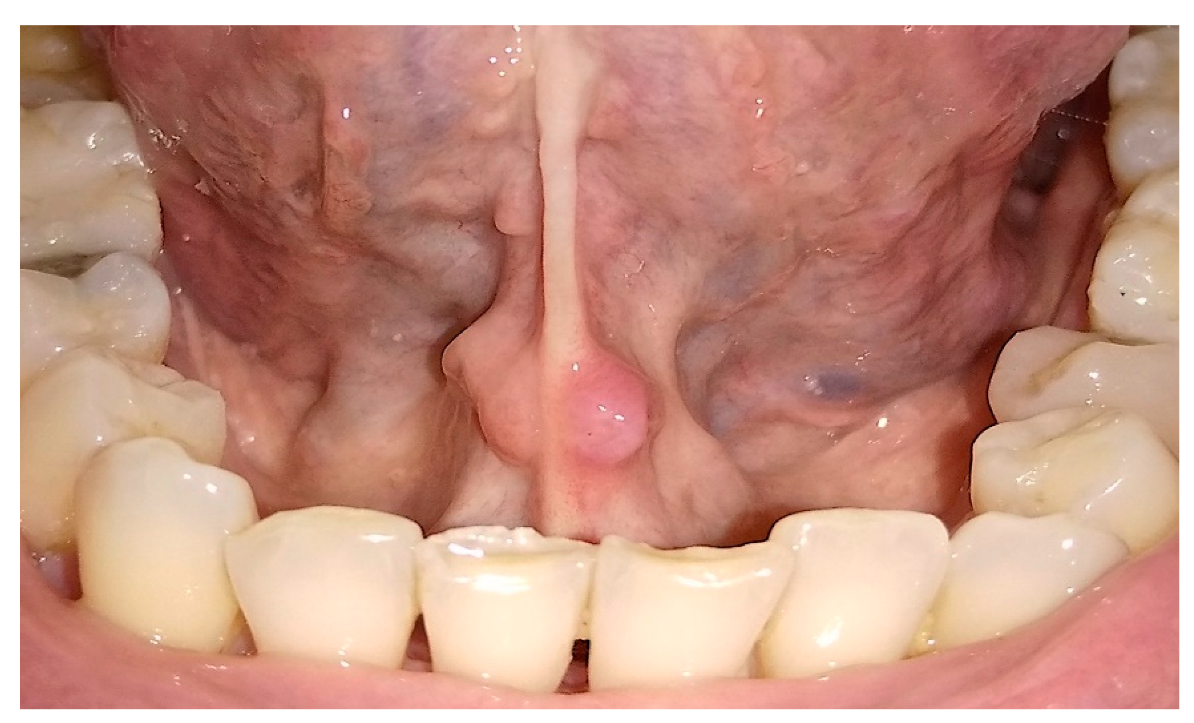
3. Results
4. Discussion and Conclusions
Conflicts of Interest
References
- Saikaly, S.K.; Saikaly, T.S.; Saikaly, L.E. Recurrent aphthous ulceration: A review of potential causes and novel treatments. J. Dermatol. Treat. 2018, 29, 542–552. [Google Scholar] [CrossRef] [PubMed]
- Suter, V.G.A.; Sjölund, S.; Bornstein, M.M. Effect of laser on pain relief and wound healing of recurrent aphthous stomatitis: A systematic review. Lasers Med Sci. 2017, 32, 953–963. [Google Scholar] [CrossRef] [PubMed]
- Pavlić, V.; vujić-Aleksić, V.; Aoki, A.; Nežić, L. Treatment of recurrent aphthous stomatitis by laser therapy: A systematic review of the literature. Vojnosanit. Pregl. 2015, 72, 722–728. [Google Scholar] [CrossRef] [PubMed]
- Najeeb, S.; Khurshid, Z.; Zohaib, S.; Najeeb, B.; Qasim, S.B.; Zafar, M.S. Management of recurrent aphthous ulcers low-level lasers: A systematic review. Medicina (Kaunas) 2016, 52, 263–268. [Google Scholar] [CrossRef] [PubMed]


© 2019 by the authors. Licensee MDPI, Basel, Switzerland. This article is an open access article distributed under the terms and conditions of the Creative Commons Attribution (CC BY) license (http://creativecommons.org/licenses/by/4.0/).
Share and Cite
Nosotti, M.G.; Fanuli, M.; Viganò, L.; Casu, C. Photobiostimulation Therapy in Non-Responsive Oral Ulcerative Aftosis: 3 Cases Reports. Proceedings 2019, 35, 68. https://doi.org/10.3390/proceedings2019035068
Nosotti MG, Fanuli M, Viganò L, Casu C. Photobiostimulation Therapy in Non-Responsive Oral Ulcerative Aftosis: 3 Cases Reports. Proceedings. 2019; 35(1):68. https://doi.org/10.3390/proceedings2019035068
Chicago/Turabian StyleNosotti, Maria Giulia, Matteo Fanuli, Luca Viganò, and Cinzia Casu. 2019. "Photobiostimulation Therapy in Non-Responsive Oral Ulcerative Aftosis: 3 Cases Reports" Proceedings 35, no. 1: 68. https://doi.org/10.3390/proceedings2019035068
APA StyleNosotti, M. G., Fanuli, M., Viganò, L., & Casu, C. (2019). Photobiostimulation Therapy in Non-Responsive Oral Ulcerative Aftosis: 3 Cases Reports. Proceedings, 35(1), 68. https://doi.org/10.3390/proceedings2019035068
