Multiparametric MRI Features of Breast Cancer Molecular Subtypes
Abstract
1. Introduction
2. Materials and Methods
2.1. Study Population
2.2. MRI Acquisition and Features
2.3. Pathology and Immunohistochemistry Data
2.4. Statistical Analysis
3. Results
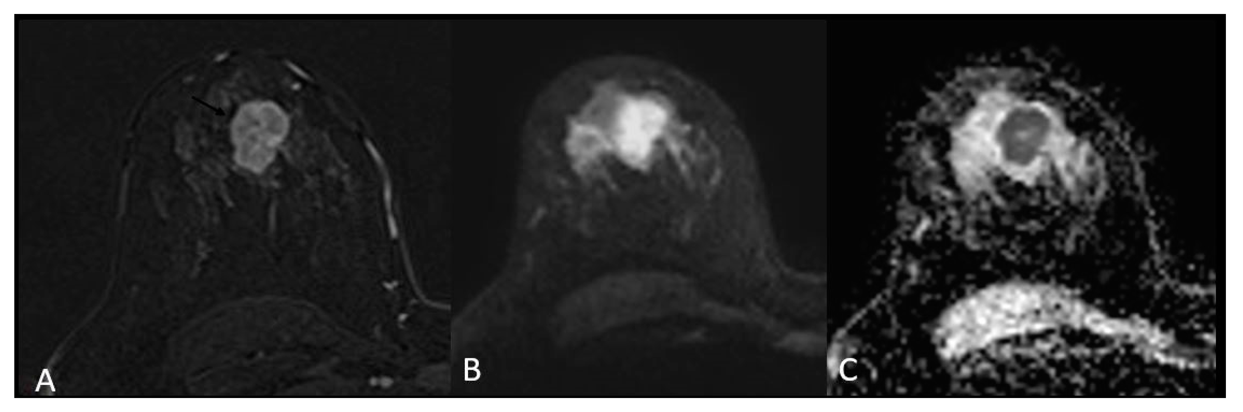
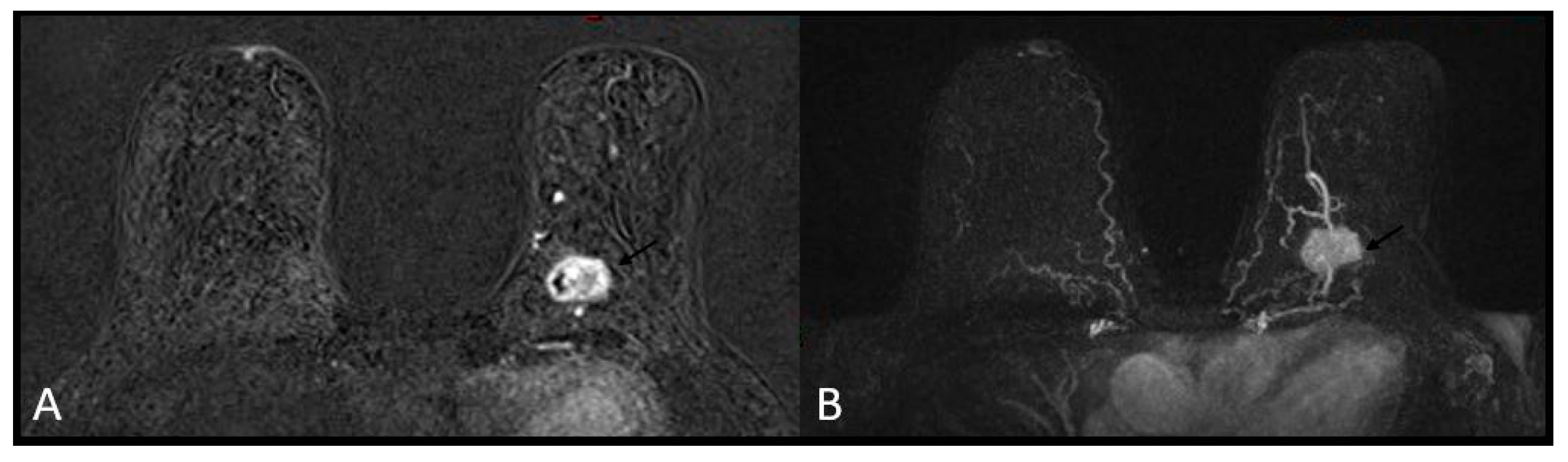
3.1. Associations between 5 BC Molecular Subtypes and MRI Features
3.2. Associations between ER/PR Positive and Negative BC and MRI Features
4. Discussion
5. Conclusions
Author Contributions
Funding
Institutional Review Board Statement
Informed Consent Statement
Conflicts of Interest
References
- Perou, C.M.; Sørlie, T.; Eisen, M.B.; van de Rijn, M.; Jeffrey, S.S.; Jeffrey, C.A.; Pollack, J.R.; Ross, D.T.; Johnsen, H.; Akslen, L.A.; et al. Molecular portraits of human breast tumours. Nature 2000, 406, 747–752. [Google Scholar] [CrossRef] [PubMed]
- Goldhirsch, A.; Winer, E.P.; Coates, A.S.; Gelber, R.D.; Piccart-Gebhart, N.; Thürlimann, B.; Senn, H.J. Personalizing the treatment of women with earyely breast cancer: Highlights of the St Gallen International expert consensus on the primary therapy of early breast cancer 2013. Ann. Oncol. 2013, 24, 2206–2223. [Google Scholar] [CrossRef] [PubMed]
- Rouzier, R.; Perou, C.M.; Symmans, W.F.; Ibrahim, N.; Cristofanilli, M.; Anderson, K.; Hess, K.R.; Stec, J.; Ayers, M.; Wagner, P.; et al. Breast cancer molecular subtypes respond differently to preoperative chemotherapy. Clin. Cancer Res. 2005, 11, 5678–5686. [Google Scholar] [CrossRef] [PubMed]
- Anderson, W.F.; Rosenberg, P.S.; Prat, A.; Perou, C.M.; Sherman, M.E. How many etiological subtypes of breast cancer: Two, three, four, or more? J. Natl. Cancer Inst. 2014, 106, dju165. [Google Scholar] [CrossRef] [PubMed]
- Anderson, K.N.; Schwab, R.B.; Martinez, M.E. Reproductive risk factors and breast cancer subtypes: A review of the literature. Breast Cancer Res. Treat. 2014, 144, 1–10. [Google Scholar] [CrossRef]
- Rakha, E.A.; Reis-Filho, J.S.; Ellis, I.O. Combinatorial biomarker expression in breast cancer. Breast Cancer Res. Treat. 2010, 120, 293–308. [Google Scholar] [CrossRef] [PubMed]
- Mann, R.M.; Kuhl, C.K.; Kinkel, K.; Boetes, C. Breast MRI: Guidelines from the European Society of Breast Imaging. Eur. Radiol. 2008, 18, 1307–1318. [Google Scholar] [CrossRef]
- Sutton, E.J.; Dashevsky, B.Z.; Oh, J.H.; Veeraraghavan, H.; Apte, A.P.; Thakur, S.; Morris, E.; Deasy, J. Breast cancer molecular subtype classifier that incorporates MRI features. J. Magn. Reson. Imaging 2016, 44, 122–129. [Google Scholar] [CrossRef]
- Kettunen, T.; Okuma, H.; Auvinen, P.; Sudah, M.; Tiainen, S.; Sutela, A.; Masarwah, A.; Tammi, M.; Tammi, R.; Oikari, S.; et al. Peritumoral ADC values in breast cancer: Region of interest selection, associations with hyaluronan intensity, and prognostic significance. Eur. Radiol. 2020, 30, 38–46. [Google Scholar] [CrossRef] [PubMed]
- Cho, N. Imaging features of breast cancer molecular subtypes: State of the art. J. Pathol. Transl. Med. 2021, 55, 16–25. [Google Scholar] [CrossRef]
- Uematsu, T.; Kasami, M.; Yuen, S. Triple-negative breast cancer: Correlation between MR imaging and pathologic findings. Radiology 2009, 250, 638–647. [Google Scholar] [CrossRef] [PubMed]
- Yuen, S.; Monzawa, S.; Yanai, S.; Matsumoto, H.; Yata, Y.; Ichinose, Y.; Deai, T.; Hashimoto, T.; Tashiro, T.; Yamagami, K. The association between MRI findings and breast cancer subtypes: Focused on the combination patterns on diffusion-weighted and T2-weighted images. Breast Cancer 2020, 27, 1029–1037. [Google Scholar] [CrossRef] [PubMed]
- D’Orsi, C.J.; Sickles, E.A.; Mendelson, E.B.; Morris, A.; Creech, E.W.; Butler, F.P.; Wiegmann, P.G.; Chatfield, B.M.; Meyer, W.L.; Wilcox, A.P. ACR BI-RADS Atlas, Breast Imaging Reporting and Data System, 5th ed.; American College of Radiology: Reston, VA, USA, 2013. [Google Scholar]
- Yeh, R.H.; Yu, J.C.; Chu, C.H.; Ho, C.L.; Kao, H.W.; Liao, G.S.; Chen, H.W.; Kao, W.Y.; Yu, C.P.; Chao, T.Y. Distinct MR Imaging Features of Triple-Negative Breast Cancer with Brain Metastasis. J Neuroimaging. J. Neuroimaging. 2015, 25, 474–481. [Google Scholar] [CrossRef] [PubMed]
- Dogan, B.E.; Turnbull, L.W. Imaging of triple-negative breast cancer. Ann. Oncol. 2012, 23 (Suppl. 6), vi23–vi29. [Google Scholar] [CrossRef]
- Bae, M.S.; Shin, S.U.; Ryu, H.S.; Han, W.; Im, S.A.; Park, I.A.; Noh, D.Y.; Moon, W.K. Pretreatment MR Imaging Features of Triple-Negative Breast Cancer: Association with Response to Neoadjuvant Chemotherapy and Recurrence-Free Survival. Radiology 2016, 281, 392–400. [Google Scholar] [CrossRef] [PubMed]
- Teifke, A.; Behr, O.; Schmidt, M.; Victor, A.; Vomweg, T.W.; Thelen, M.; Lehr, H.-A. Dynamic MR imaging of breast lesions: Correlation with microvessel distribution pattern and histologic characteristics of prognosis. Radiology 2006, 239, 351–360. [Google Scholar] [CrossRef]
- Huang, J.; Lin, Q.; Cui, C.; Fei, J.; Su, X.; Li, L.; Ma, J.; Zhang, M. Correlation between imaging features and molecular subtypes of breast cancer in young women (≤30 years old). Jpn J. Radiol. 2020, 38, 1062–1074. [Google Scholar] [CrossRef]
- Yetkin, D.I.; Akpınar, M.G.; Durhan, G.; Demirkazik, F.B. Comparison of clinical and magnetic resonance imaging findings of triple-negative breast cancer with non-triple-negative tumours. Pol. J. Radiol. 2021, 86, e269–e276. [Google Scholar] [CrossRef]
- Irshad, A.; Leddy, R.; Pisano, E.; Baker, N.; Lewis, M.; Ackerman, S.; Campbell, A. Assessing the role of ultrasound in predicting the biological behavior of breast cancer. AJR Am. J. Roentgenol. 2013, 200, 284–290. [Google Scholar] [CrossRef]
- Taneja, S.; Evans, A.J.; Rakha, E.A.; Green, A.R.; Ball, G.; Ellis, I.O. The mammographic correlations of a new immunohistochemical classifcation of invasive breast cancer. Clin. Radiol. 2008, 11, 1228–12355. [Google Scholar] [CrossRef]
- Pintican, R.; Duma, M.; Chiorean, A.; Fetica, B.; Badan, M.; Bura, V.; Szep, M.; Feier, D.; Dudea, S. Mucinous versus medullary breast carcinoma: Mammography, ultrasound, and MRI findings. Clin. Radiol. 2020, 75, 483–496. [Google Scholar] [CrossRef] [PubMed]
- Schrading, S.; Kuhl, C.K. Mammographic, US, and MR imaging phenotypes of familial breast cancer. Radiology 2008, 246, 58–70. [Google Scholar] [CrossRef] [PubMed]
- Pintican, R.M.; Chiorean, A.; Duma, M.; Feier, D.; Szep, M.; Eniu, D.; Goidescu, I.; Dudea, S. Are Mutation Carrier Patients Different from Non-Carrier Patients? Genetic, Pathology, and US Features of Patients with Breast Cancer. Cancers 2022, 14, 2759. [Google Scholar] [CrossRef]
- Elias, S.G.; Adams, A.; Wisner, D.J.; Esserman, L.J.; Veer, L.J.V.; Mali, W.P.; Gilhuijs, K.G.; Hylton, N.M. Imaging features of HER2 overexpression in breast cancer: A systematic review and meta-analysis. Cancer Epidemiol Biomark. Prev. 2014, 23, 1464–1483. [Google Scholar] [CrossRef]
- Sharma, U.; Sah, R.G.; Agarwal, K.; Parshad, R.; Seenu, V.; Mathur, S.R.; Hari, S.; Jagannathan, N.R. Potential of Diffusion-Weighted Imaging in the Characterization of Malignant, Benign, and Healthy Breast Tissues and Molecular Subtypes of Breast Cancer. Front. Oncol. 2016, 6, 126. [Google Scholar] [CrossRef]
- Kim, S.-Y.; Kim, E.-K.; Moon, H.J.; Yoon, J.H.; Koo, J.S.; Kim, S.G.; Kim, M.J. Association among T2 signal intensity, necrosis, ADC and Ki-67 in estrogen receptor-positive and HER2-negative invasive ductal carcinoma. Magn Reson. Imaging 2018, 54, 176–182. [Google Scholar] [CrossRef]
- Dilorenzo, G.; Telegrafo, M.; La Forgia, D.; Ianora, A.A.S.; Moschetta, M. Breast MRI background parenchymal enhancement as an imaging bridge to molecular cancer sub-type. Eur. J. Radiol. 2019, 113, 148–152. [Google Scholar] [CrossRef]
- Bignotti, B.; Signori, A.; Valdora, F.; Rossi, F.; Calabrese, M.; Durando, M.; Mariscotto, G.; Tagliafico, A. Evaluation of background parenchymal enhancement on breast MRI: A systematic review. Br. J. Radiol. 2017, 90, 20160542. [Google Scholar] [CrossRef]
- Ha, R.; Mango, V.; Al-Khalili, R.; Mema, E.; Friedlander, L.; Desperito, E.; Wynn, R.T. Evaluation of association between degree of background parenchymal enhancement on MRI and breast cancer subtype. Clin. Imaging 2018, 51, 307–310. [Google Scholar] [CrossRef]
- Xie, T.; Zhao, Q.; Fu, C.; Bai, Q.; Zhou, X.; Li, L.; Grimm, R.; Liu, L.; Gu, Y.; Peng, W. Differentiation of triple-negative breast cancer from other subtypes through whole-tumor histogram analysis on multiparametric MR imaging. Eur. Radiol. 2019, 29, 2535–2544. [Google Scholar] [CrossRef]
- Song, L.; Lu, H.; Yin, J. Preliminary study on discriminating HER2 2+ amplification status of breast cancers based on texture features semi-automatically derived from pre-, post-contrast, and subtraction images of DCE-MRI. PLoS ONE 2020, 15, e0234800. [Google Scholar] [CrossRef] [PubMed]
- Mazurowski, M.A.; Zhang, J.; Grimm, L.; Yoon, S.C.; Silber, J.I. Radiogenomic analysis of breast cancer: Luminal B molecular subtype is associated with enhancement dynamics at MR imaging. Radiology 2014, 273, 365–372. [Google Scholar] [CrossRef] [PubMed]
- Grimm, L.J.; Zhang, J.; Mazurowski, M.A. Computational approach to radiogenomics of breast cancer: Luminal A and luminal B molecular subtypes are associated with imaging features on routine breast MRI extracted using computer vision algorithms. J. Magn. Reason. Imaging 2015, 42, 902–907. [Google Scholar] [CrossRef]
- Leithner, D.; Horvat, J.V.; Marino, M.A.; Bernard-Davila, B.; Jochelson, M.S.; Ochoa-Albiztegui, R.E.; Martinez, D.; Morris, E.A.; Thakur, S.; Pinker, K. Radiomic signatures with contrast-enhanced magnetic resonance imaging for the assessment of breast cancer receptor status and molecular subtypes: Initial results. Breast Cancer Res. 2019, 21, 106. [Google Scholar] [CrossRef]






| Luminal A | Luminal B | Luminal B-like | HER2+ | Triple Negative (TN) |
|---|---|---|---|---|
| ER+ | ER+ | ER+ | ER− | ER− |
| PR+ | HER2− | HER2+ | PR− | PR− |
| HER2− | High Ki-67/PR− | Any PR | HER2+ | HER2− |
| Low Ki-67 | Any Ki-67 |
| Variable | Luminal A | Luminal B HER+ | Luminal B HER− | Triple Negative | Her 2 Positive |
|---|---|---|---|---|---|
| Age mean | 50.2 | 44.5 | 48.2 | 45 | 44.4 |
| p-value | <0.01 | 0.02 | 0.57 | 0.04 | 0.36 |
| Pathology | |||||
| NST | 58 | 33 | 140 | 36 | 0 |
| Other | 31 | 6 | 28 | 5 | 7 |
| p-value | <0.01 | 0.41 | 0.09 | 0.16 | 0.35 |
| Breast density | |||||
| A | 6 | 1 | 6 | 3 | 0 |
| B | 17 | 6 | 39 | 9 | 2 |
| C | 45 | 21 | 78 | 16 | 3 |
| D | 21 | 11 | 45 | 13 | 2 |
| p-value | 0.55 | 0.67 | 0.68 | 0.60 | 0.90 |
| BPE | |||||
| Symmetric | 79 | 34 | 141 | 23 | 5 |
| Asymmetric | 10 | 5 | 27 | 18 | 2 |
| p-value | 0.05 | 0.36 | 0.35 | <0.01 | 0.61 |
| Level | |||||
| Minimal | 22 | 5 | 36 | 13 | 1 |
| Mild | 19 | 6 | 35 | 7 | 0 |
| Moderate | 43 | 23 | 85 | 13 | 5 |
| Marked | 5 | 5 | 12 | 8 | 1 |
| p-value | 0.56 | 0.29 | 0.60 | <0.01 | 0.46 |
| Mass | |||||
| Size, mean | 21.3 | 29.9 | 27.7 | 25.1 | 37.28 |
| p-value | <0.01 | 0.13 | 0.09 | 0.59 | 0.02 |
| Shape | |||||
| Oval | 24 | 11 | 45 | 21 | 2 |
| Round | 18 | 5 | 17 | 2 | 2 |
| Irregular | 40 | 16 | 81 | 12 | 3 |
| Lobulated | 3 | 6 | 15 | 6 | 0 |
| p-value | 0.02 | 0.50 | 0.25 | <0.01 | 0.58 |
| Margins | |||||
| Circumscribed | 0 | 1 | 4 | 6 | 0 |
| Irregular | 60 | 27 | 104 | 31 | 5 |
| Spiculated | 25 | 10 | 50 | 4 | 2 |
| p-value | 0.13 | 0.94 | 0.24 | <0.01 | 0.88 |
| Enhancement | |||||
| Homogeneous | 2 | 0 | 2 | 0 | 0 |
| Heterogeneous | 75 | 33 | 138 | 26 | 5 |
| Rim | 8 | 5 | 18 | 15 | 2 |
| p-value | 0.17 | 0.73 | 0.28 | <0.01 | 0.55 |
| ADC mean | 0.80 | 0.80 | 0.77 | 0.82 | 0.80 |
| Range | 0.20–1.21 | 0.34–1.47 | 0.35–1.71 | 0.75–0.91 | 0.32–1.2 |
| p-value | 0.16 | 0.54 | <0.01 | 0.12 | 0.87 |
| Non-mass | NA * | ||||
| Enhancement | |||||
| Distribution | |||||
| Focal | 1 | 0 | 4 | 0 | |
| Lineal | 2 | 1 | 4 | 2 | |
| Segmental | 3 | 0 | 7 | 0 | |
| Regional | 2 | 1 | 4 | 0 | |
| M. regions | 1 | 1 | 0 | 0 | |
| Diffuse | 1 | 0 | 0 | 0 | |
| p-value | 0.66 | 0.29 | 0.28 | 0.31 | |
| Type | |||||
| Homogeneous | 6 | 0 | 1 | 1 | |
| Heterogenous | 4 | 3 | 7 | 1 | |
| Clumped | 0 | 0 | 9 | 0 | |
| Cluster ring | 0 | 0 | 1 | 0 | |
| p-value | 0.82 | 0.51 | 0.37 | 0.99 | |
| ADC mean | 0.88 | 0.86 | 0.86 | NA * | |
| Range | 0.74–1.02 | 1 case | 0.60–1.29 | ||
| p-value | 0.48 | 0.81 | 0.58 | ||
| Kinetic curves | |||||
| Persistent (1) | 6 | 2 | 5 | 0 | 0 |
| Plateau (2) | 22 | 7 | 30 | 9 | 3 |
| Wash-out (3) | 61 | 30 | 133 | 32 | 4 |
| p-value | 0.10 | 0.82 | 0.30 | 0.39 | 0.31 |
| ADC mean | 0.80 | 0.81 | 0.77 | 0.81 | 0.80 |
| (mass + non-mass) | |||||
| Range | 0.20–1.21 | 0.34–1.47 | 0.35–1.71 | 0.34–1.47 | 0.75–0.91 |
| p-value | 0.12 | 0.59 | <0.01 | 0.15 | 0.88 |
| Total | 89 | 39 | 168 | 41 | 7 |
| Variable | Odds Ratio (95%CI) | p-Value |
|---|---|---|
| Univariate analysis | ||
| Shape − oval + round | 2.16 (1.03–4.52) | 0.04 |
| Shape − lobulated | 2.91 (0.99–8.51) | 0.05 |
| Margins − circumscribed | 9.70 (2.81–33.45) | < 0.01 |
| Enhancement − homogenous | 0.00 | 0.99 |
| Multivariate analysis | ||
| Shape – oval + round | 1.43 (0.64–3.19) | 0.39 |
| Shape − lobulated | 2.64 (0.88–7.92) | 0.08 |
| Margins − circumscribed | 9.12 (2.19–37.87) | < 0.01 |
| Enhancement − homogenous | 0.00 | 0.99 |
| Variable | ER/PR Positive | ER/PR Negative | p-Value |
|---|---|---|---|
| Pathology | 0.06 | ||
| NST | 231 | 43 | |
| Other | 65 | 5 | |
| Density | 0.67 | ||
| A | 13 | 3 | |
| B | 62 | 11 | |
| C | 144 | 19 | |
| D | 77 | 15 | |
| BPE | <0.01 | ||
| Symmetric | 254 | 28 | |
| Asymmetric | 42 | 20 | |
| Minimal | 63 | 14 | 0.26 |
| Mild | 60 | 7 | |
| Moderate | 151 | 18 | |
| Marked | 22 | 9 | |
| Mass | |||
| Size | 26.08 | 26.95 | 0.14 |
| Shape | 0.02 | ||
| Oval | 80 | 23 | |
| Round | 40 | 4 | |
| Irregular | 137 | 15 | |
| Lobulated | 24 | 6 | |
| Margins | <0.01 | ||
| Circumscribed | 5 | 6 | |
| Irregular | 191 | 36 | |
| Spiculated | 85 | 6 | |
| Enhancement | <0.01 | ||
| Homogeneous | 4 | 0 | |
| Heterogeneous | 246 | 31 | |
| Rim | 31 | 17 | |
| ADC mean | 0.82 | 0.78 | 0.16 |
| Non-mass | |||
| Enhancement | 0.31 | ||
| Distribution | |||
| Focal | 5 | 0 | |
| Lineal | 7 | 2 | |
| Segmental | 10 | 0 | |
| Regional | 7 | 0 | |
| M. regions | 2 | 0 | |
| Diffuse | 1 | 0 | |
| Enhancement | 0.95 | ||
| Homogeneous | 16 | 1 | |
| Heterogenous | 13 | 1 | |
| Clumped | 2 | 0 | |
| Cluster ring | 1 | 0 | |
| Kinetic curves | 0.26 | ||
| Persistent | 13 | 0 | |
| Plateau | 59 | 12 | |
| Wash-out | 224 | 36 | |
| Total | 281 | 48 |
Publisher’s Note: MDPI stays neutral with regard to jurisdictional claims in published maps and institutional affiliations. |
© 2022 by the authors. Licensee MDPI, Basel, Switzerland. This article is an open access article distributed under the terms and conditions of the Creative Commons Attribution (CC BY) license (https://creativecommons.org/licenses/by/4.0/).
Share and Cite
Szep, M.; Pintican, R.; Boca, B.; Perja, A.; Duma, M.; Feier, D.; Fetica, B.; Eniu, D.; Dudea, S.M.; Chiorean, A. Multiparametric MRI Features of Breast Cancer Molecular Subtypes. Medicina 2022, 58, 1716. https://doi.org/10.3390/medicina58121716
Szep M, Pintican R, Boca B, Perja A, Duma M, Feier D, Fetica B, Eniu D, Dudea SM, Chiorean A. Multiparametric MRI Features of Breast Cancer Molecular Subtypes. Medicina. 2022; 58(12):1716. https://doi.org/10.3390/medicina58121716
Chicago/Turabian StyleSzep, Madalina, Roxana Pintican, Bianca Boca, Andra Perja, Magdalena Duma, Diana Feier, Bogdan Fetica, Dan Eniu, Sorin Marian Dudea, and Angelica Chiorean. 2022. "Multiparametric MRI Features of Breast Cancer Molecular Subtypes" Medicina 58, no. 12: 1716. https://doi.org/10.3390/medicina58121716
APA StyleSzep, M., Pintican, R., Boca, B., Perja, A., Duma, M., Feier, D., Fetica, B., Eniu, D., Dudea, S. M., & Chiorean, A. (2022). Multiparametric MRI Features of Breast Cancer Molecular Subtypes. Medicina, 58(12), 1716. https://doi.org/10.3390/medicina58121716

