Regeneration of Horizontal Bone Defect in Edentulous Maxilla Using the Allogenic Bone-Plate Shell Technique and a Composite Bone Graft—A Case Report
Abstract
1. Introduction
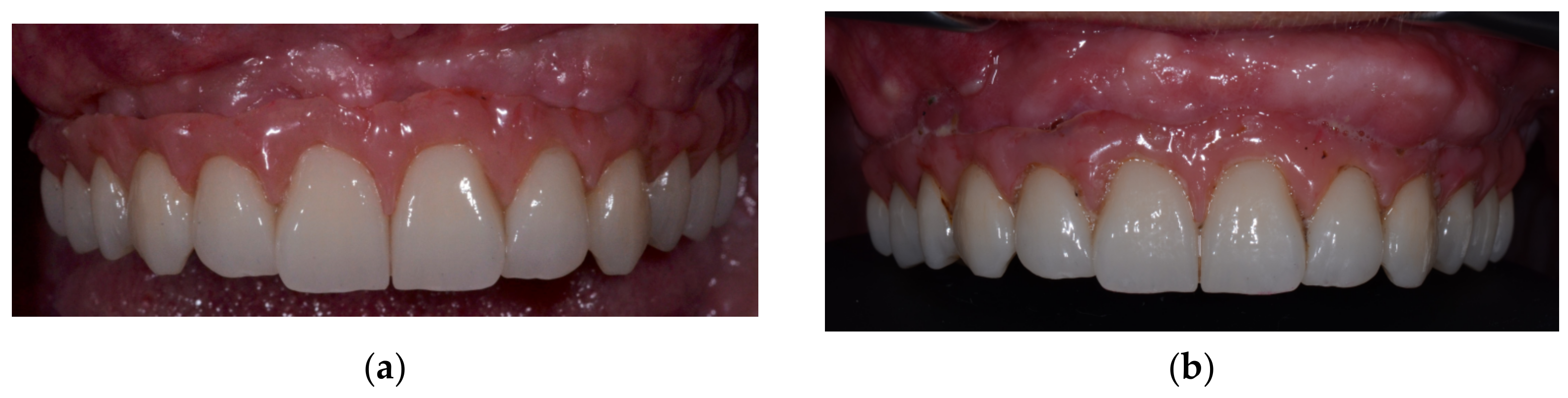
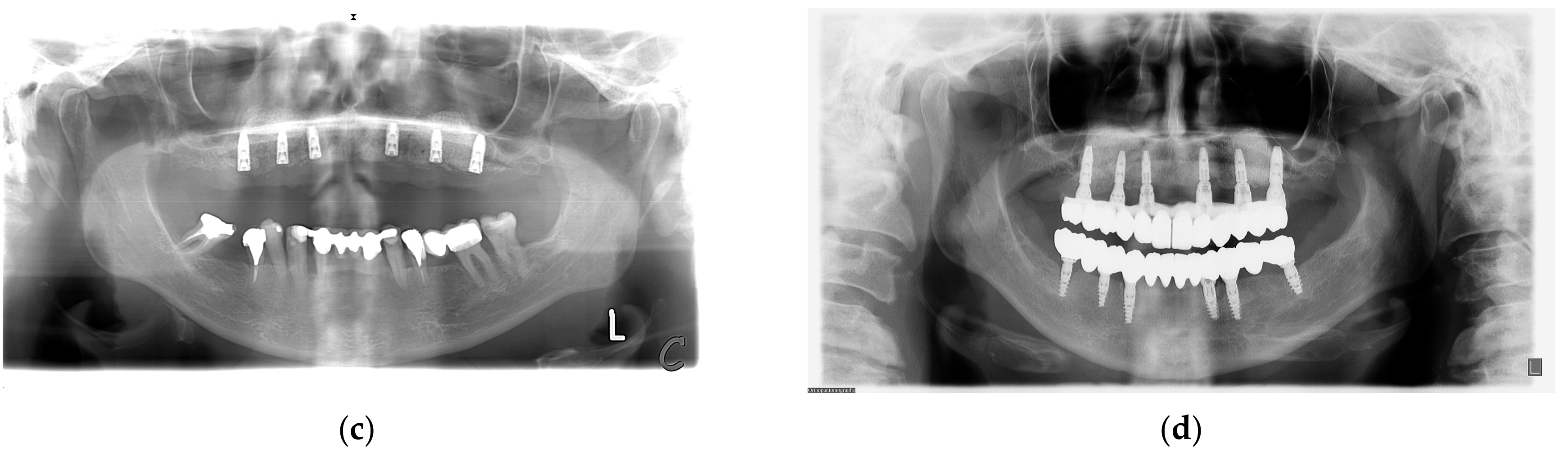
2. Case Report
3. Discussion
4. Conclusions
Author Contributions
Funding
Institutional Review Board Statement
Informed Consent Statement
Data Availability Statement
Conflicts of Interest
References
- Schropp, L.; Wenzel, A.; Kostopoulos, L.; Karring, T. Bone healing and soft tissue contour changes following single-tooth extraction: A clinical and radiographic 12-month prospective study. Int. J. Periodontics Restor. Dent. 2003, 23, 313–323. [Google Scholar]
- Buser, D.; Martin, W.; Belser, U.C. Optimizing esthetics for implant restorations in the anterior maxilla: Anatomic and surgical considerations. Int. J. Oral. Maxillofac. Implant. 2004, 19, 43–61. [Google Scholar]
- McAllister, B.S.; Haghighat, K. Bone augmentation techniques. J. Periodontol. 2007, 78, 377–396. [Google Scholar] [CrossRef] [PubMed]
- Khoury, F.; Ponte, A. The three-dimensional reconstruction of the alveolar crest with mandibular bone block graft: A clinical study. Int. J. Oral. Maxillofac. Implant. 2004, 19, 765–766. [Google Scholar]
- Khoury, F.; Hanser, T. Three-Dimensional Vertical Alveolar Ridge Augmentation in the Posterior Maxilla: A 10-year Clinical Study. Int. J. Oral. Maxillofac. Implant. 2019, 34, 471–480. [Google Scholar] [CrossRef] [PubMed]
- Nefussi, J.R. Biology and physiology of the implant bone site. In Bone Augmentation in Oral Implantology; Khoury, F., Antoun, H., Missika, P., Eds.; Quintessence Books: London, UK, 2007; pp. 1–27. [Google Scholar]
- Tunkel, J.; Würdinger, R.; de Stavola, L. Vertical 3D Bone Reconstruction with Simultaneous Implantation: A Case Series Report. Int. J. Periodontics Restor. Dent. 2018, 38, 413–421. [Google Scholar] [CrossRef]
- Khoury, F.; Hanser, T. Mandibular bone block harvesting from the retromolar region: A 10-year prospective clinical study. Int. J. Oral. Maxillofac. Implant. 2015, 30, 688–697. [Google Scholar] [CrossRef]
- Sakkas, A.; Wilde, F.; Heufelder, M.; Winter, K.; Schramm, A. Autogenous bone grafts in oral implantology-is it still a “gold standard”? A consecutive review of 279 patients with 456 clinical procedures. Int. J. Implant. Dent. 2017, 3, 23. [Google Scholar] [CrossRef]
- Carlsen, A.; Gorst-Rasmussen, A.; Jensen, T. Donor site morbidity associated with autogenous bone harvesting from the ascending mandibular ramus. Implant. Dent. 2013, 22, 503–506. [Google Scholar] [CrossRef]
- Jensen, S.S.; Terheyden, H. Bone augmentation procedures in localized defects in the alveolar ridge: Clinical results with different bone grafts and bone-substitute materials. Int. J. Oral. Maxillofac. Implant. 2009, 24, 218–236. [Google Scholar]
- Hämmerle, C.H.; Jung, R.E.; Yaman, D.; Lang, N.P. Ridge augmentation by applying bioresorbable membranes and deproteinized bovine bone mineral: A report of twelve consecutive cases. Clin. Oral. Implant. Res. 2008, 19, 19–25. [Google Scholar] [CrossRef] [PubMed]
- Chisci, G.; Fredianelli, L. Therapeutic Efficacy of Bromelain in Alveolar Ridge Preservation. Antibiotics 2022, 11, 1542. [Google Scholar] [CrossRef] [PubMed]
- Sassano, P.; Gennaro, P.; Chisci, G.; Gabriele, G.; Aboh, I.V.; Mitro, V.; di Curzio, P. Calvarial onlay graft and submental incision in treatment of atrophic edentulous mandibles: An approach to reduce postoperative complications. J. Craniofac. Surg. 2014, 25, 693–697. [Google Scholar] [CrossRef] [PubMed]
- Valentini, V.; Gennaro, P.; Aboh, I.V.; Longo, G.; Mitro, V.; Ialongo, C. Iliac crest flap: Donor site morbidity. J. Craniofac. Surg. 2009, 20, 1052–1055. [Google Scholar] [CrossRef]
- Starch-Jensen, T.; Deluiz, D.; Tinoco, E.M.B. Horizontal Alveolar Ridge Augmentation with Allogeneic Bone Block Graft Compared with Autogenous Bone Block Graft: A Systematic Review. J. Oral. Maxillofac. Res. 2020, 11, e1. [Google Scholar] [CrossRef]
- Cinar, I.C.; Gultekin, B.A.; Saglanmak, A.; Akay, A.S.; Zboun, M.; Mijiritsky, E. Comparison of Allogeneic Bone Plate and Guided Bone Regeneration Efficiency in Horizontally Deficient Maxillary Alveolar Ridges. Appl. Sci. 2022, 12, 10518. [Google Scholar] [CrossRef]
- Schlee, M.; Rothamel, D. Ridge augmentation using customized allogenic bone blocks: Proof of concept and histological findings. Implant. Dent. 2013, 22, 212–218. [Google Scholar] [CrossRef]
- De Stavola, L.; Tunkel, J. Results of vertical bone augmentation with autogenous bone block grafts and the tunnel technique: A clinical prospective study of 10 consecutively treated patients. Int. J. Periodontics Restor. Dent. 2013, 33, 651–659. [Google Scholar] [CrossRef]
- Alérico, F.A.; Bernardes, S.R.; Fontão, F.N.; Diez, G.F.; Alérico, J.H.; Claudino, M. Prospective tomographic evaluation of autogenous bone resorption harvested from mandibular ramus in atrophic maxilla. J. Craniofac. Surg. 2014, 25, 543–546. [Google Scholar] [CrossRef]
- Lee, H.G.; Kim, Y.D. Volumetric stability of autogenous bone graft with mandibular body bone: Cone-beam computed tomography and three-dimensional reconstruction analysis. J. Korean Assoc. Oral. Maxillofac. Surg. 2015, 41, 232–239. [Google Scholar] [CrossRef]
- Von Arx, T.; Buser, D. Horizontal ridge augmentation using autogenous block grafts and the guided bone regeneration technique with collagen membranes: A clinical study with 42 patients. Clin. Oral. Implant. Res. 2006, 17, 359–366. [Google Scholar] [CrossRef] [PubMed]
- Maiorana, C.; Beretta, M.; Salina, S.; Santoro, F. Reduction of autogenous bone graft resorption by means of bio-oss coverage: A prospective study. Int. J. Periodontics Restor. Dent. 2005, 25, 19–25. [Google Scholar]
- Cordaro, L.; Torsello, F.; Morcavallo, S.; di Torresanto, V.M. Effect of bovine bone and collagen membranes on healing of mandibular bone blocks: A prospective randomized controlled study. Clin. Oral. Implant. Res. 2011, 22, 1145–1150. [Google Scholar] [CrossRef]
- Tunkel, J.; de Stavola, L.; Kloss-Brandstätter, A. Alveolar ridge augmentation using the shell technique with allogeneic and autogenous bone plates in a split-mouth design-A retrospective case report from five patients. Clin. Case Rep. 2020, 9, 947–959. [Google Scholar] [CrossRef] [PubMed]
- Pistilli, R.; Felice, P.; Piatelli, M.; Nisii, A.; Barausse, C.; Esposito, M. Blocks of autogenous bone versus xenografts for the rehabilitation of atrophic jaws with dental implants: Preliminary data from a pilot randomised controlled trial. Eur. J. Oral. Implantol. 2014, 7, 153–171. [Google Scholar] [PubMed]
- Peck, M.T. Alveolar Ridge Augmentation using the Allograft Bone Shell Technique. J. Contemp. Dent Pract. 2015, 16, 768–773. [Google Scholar] [CrossRef]
- Würdinger, R.; Donkiewicz, P. Allogeneic cortical struts and bone granules for challenging alveolar reconstructions: An innovative approach toward an established technique. J. Esthet. Restor. Dent. 2020, 32, 747–756. [Google Scholar] [CrossRef]




| Measurements in mm | R1 | R2 | R3 | L1 | L2 | L3 | Avg | Avg Change (%) |
|---|---|---|---|---|---|---|---|---|
| Initial situation | 7.06 | 6.3 | 2.72 | 5.85 | 4.2 | 6.74 | 5.48 | |
| Post augmentation (6 months) | 12.04 | 11.71 | 10.64 | 12.11 | 10.72 | 11.27 | 11.42 | 47.9 |
| Follow up (6 years) | 9.47 | 9.97 | 6.03 | 9.72 | 9.47 | 9.13 | 8.97 | −21.4 |
Disclaimer/Publisher’s Note: The statements, opinions and data contained in all publications are solely those of the individual author(s) and contributor(s) and not of MDPI and/or the editor(s). MDPI and/or the editor(s) disclaim responsibility for any injury to people or property resulting from any ideas, methods, instructions or products referred to in the content. |
© 2023 by the authors. Licensee MDPI, Basel, Switzerland. This article is an open access article distributed under the terms and conditions of the Creative Commons Attribution (CC BY) license (https://creativecommons.org/licenses/by/4.0/).
Share and Cite
Kovac, Z.; Cabov, T.; Blaskovic, M.; Morelato, L. Regeneration of Horizontal Bone Defect in Edentulous Maxilla Using the Allogenic Bone-Plate Shell Technique and a Composite Bone Graft—A Case Report. Medicina 2023, 59, 494. https://doi.org/10.3390/medicina59030494
Kovac Z, Cabov T, Blaskovic M, Morelato L. Regeneration of Horizontal Bone Defect in Edentulous Maxilla Using the Allogenic Bone-Plate Shell Technique and a Composite Bone Graft—A Case Report. Medicina. 2023; 59(3):494. https://doi.org/10.3390/medicina59030494
Chicago/Turabian StyleKovac, Zoran, Tomislav Cabov, Marko Blaskovic, and Luka Morelato. 2023. "Regeneration of Horizontal Bone Defect in Edentulous Maxilla Using the Allogenic Bone-Plate Shell Technique and a Composite Bone Graft—A Case Report" Medicina 59, no. 3: 494. https://doi.org/10.3390/medicina59030494
APA StyleKovac, Z., Cabov, T., Blaskovic, M., & Morelato, L. (2023). Regeneration of Horizontal Bone Defect in Edentulous Maxilla Using the Allogenic Bone-Plate Shell Technique and a Composite Bone Graft—A Case Report. Medicina, 59(3), 494. https://doi.org/10.3390/medicina59030494

