Management of Suprachoroidal Hemorrhage during Phacoemulsification: A Comprehensive Review
Abstract
1. Introduction
2. Materials and Methods
- -
- “(Expulsive Hemorrhage) OR (Suprachoroidal Hemorrhage)” AND “(cataract surgery)”: 105 articles.
- -
- “(Expulsive Hemorrhage) OR (Suprachoroidal Hemorrhage)” AND “(Phacoemulsification)”: 77 articles.
3. Pathophysiology
Risk Factors
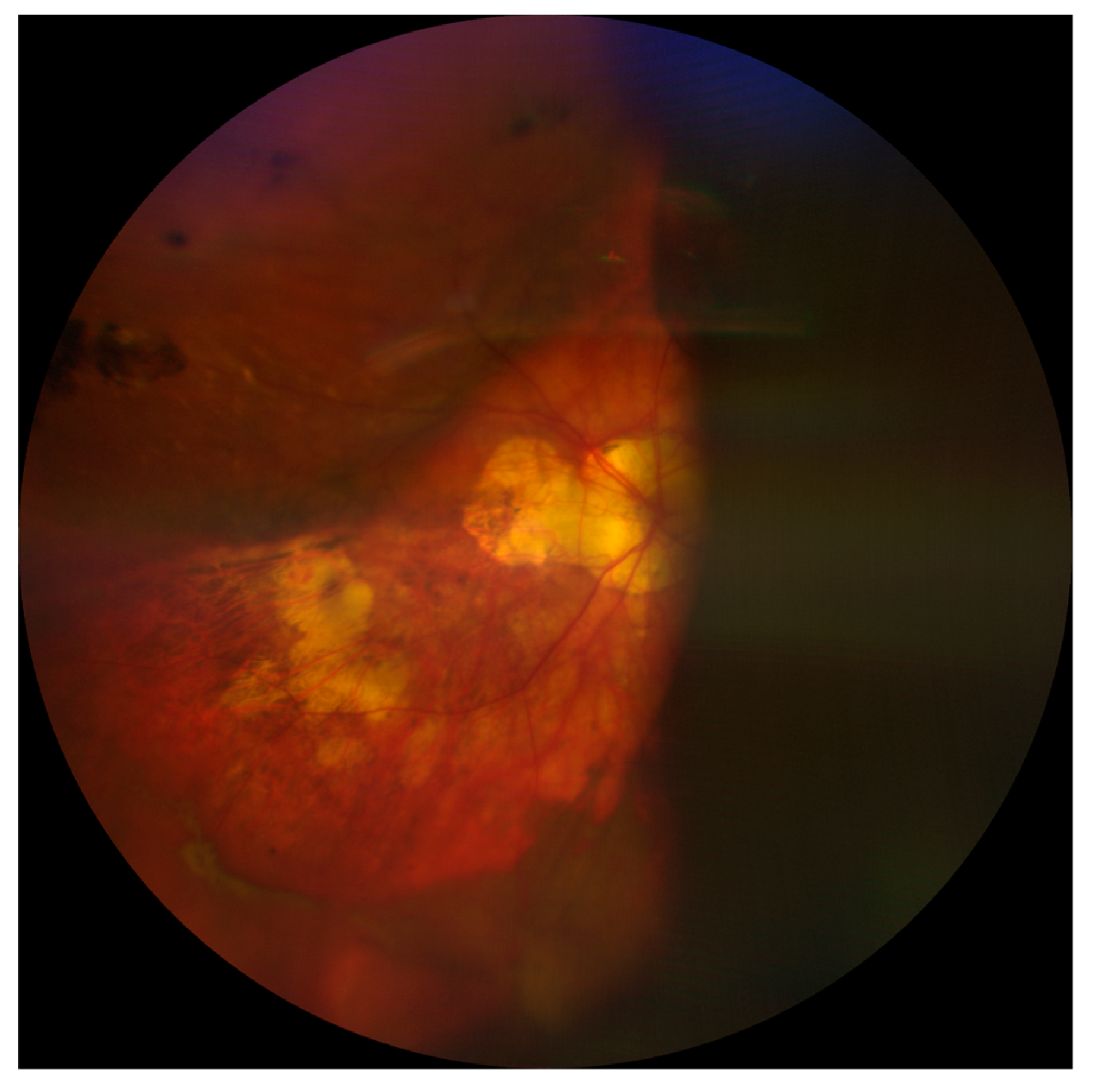
4. Diagnosis
Differential Diagnosis
5. Management
5.1. Prophylactic Measures
5.2. Intraoperative Management
5.3. Postoperative Management
6. Limitations
7. Conclusions
Author Contributions
Funding
Institutional Review Board Statement
Informed Consent Statement
Data Availability Statement
Conflicts of Interest
References
- Jiang, H.; Gao, Y.; Fu, W.; Xu, H. Risk Factors and Treatments of Suprachoroidal Hemorrhage. BioMed. Res. Int. 2022, 2022, 6539917. [Google Scholar] [CrossRef]
- Eriksson, A.; Koranyi, G.; Seregard, S.; Philipson, B. Risk of acute suprachoroidal hemorrhage with phacoemulsification. J. Cataract Refract. Surg. 1998, 24, 793–800. [Google Scholar] [CrossRef]
- Nambiar, A.K.; Fox, P.D. Acute suprachoroidal hemorrhage during phacoemulsification. J. Cataract Refract. Surg. 2000, 26, 934–936. [Google Scholar] [CrossRef]
- Iaccarino, G.; Rosa, N.; Romano, M.; Capasso, L.; Romano, A. Expulsive hemorrhage before phacoemulsification. J. Cataract Refract. Surg. 2002, 28, 1074–1076. [Google Scholar] [CrossRef] [PubMed]
- Chu, T.G.; Green, R.L. Suprachoroidal hemorrhage. Surv. Ophthalmol. 1999, 43, 471–486. [Google Scholar] [CrossRef] [PubMed]
- Savastano, A.; Rizzo, S.; Savastano, M.C.; Piccirillo, V.; Forte, R.; Sbordone, S.; Diurno, F.; Savastano, S. Choroidal Effusion and Suprachoroidal Hemorrhage during Phacoemulsification: Intraoperative Management to Prevent Expulsive Hemorrhage. Eur. J. Ophthalmol. 2015, 26, 338–341. [Google Scholar] [CrossRef]
- Grzybowski, A. Recent developments in cataract surgery. Ann. Transl. Med. 2020, 8, 1540. [Google Scholar] [CrossRef] [PubMed]
- Basti, S.; Hu, D.J.; Goren, M.B.; Tanna, A.P. Acute suprachoroidal hemorrhage during clear corneal phacoemulsification using topical and intracameral anesthesia. J. Cataract Refract. Surg. 2003, 29, 588–591. [Google Scholar] [CrossRef] [PubMed]
- Ibañez-Hernández, M.A.; González-de la Rosa, A.; Navarro-Partida, J. Expulsive Hemorrhage: A case report and literature review. Rev. Mex. Oft. 2012, 86, 136–140. [Google Scholar]
- Arnold, P.N. Study of acute intraoperative suprachoroidal hemorrhage. J. Cataract Refract. Surg. 1992, 18, 489–494. [Google Scholar] [CrossRef] [PubMed]
- Speaker, M.G.; Guerriero, P.N.; Met, J.A.; Coad, C.T.; Berger, A.; Marmor, M. A case-control study of risk factors for intraoperative suprachoroidal expulsive hemorrhage. Ophthalmology 1991, 98, 202–209. [Google Scholar] [CrossRef] [PubMed]
- Davidson, J.A. Acute intraoperative suprachoroidal hemorrhage in extracapsular cataract surgery. J Cataract Refract. Surg 1986, 12, 606–622. [Google Scholar] [CrossRef] [PubMed]
- Koksaldi, S.; Utine, C.A.; Kayabasi, M. Management of Suprachoroidal Hemorrhage during Cataract Surgery: A Case Report. Beyoglu Eye J. 2022, 7, 66–70. [Google Scholar] [PubMed]
- Beatty, S.; Lotery, A.; Kent, D.; O’Driscoll, A.; Kilmartin, D.J.; Wallace, D.; Baglivo, E. Acute intraoperative suprachoroidal haemorrhage in ocular surgery. Eye 1998, 12, 815–820. [Google Scholar] [CrossRef] [PubMed]
- Elliott, A.J. Expulsive haemorrhage during phacoemulsification. Eye 1993, 7, 598–599. [Google Scholar] [CrossRef]
- Ling, R.; Cole, M.; James, C.; Kamalarajah, S.; Foot, B.; Shaw, S. Suprachoroidal haemorrhage complicating cataract surgery in the UK: Epidemiology, clinical features, management, and outcomes. Br. J. Ophthalmol. 2004, 88, 478–480. [Google Scholar] [CrossRef]
- Bozkurt, T.K.; Miller, K.M. Suprachoroidal hemorrhage during femtosecond laser assisted cataract surgery. Am. J. Ophthalmol. Case Rep. 2016, 4, 45–46. [Google Scholar] [CrossRef]
- Song, W.; Zhang, Y.; Chen, H.; Du, C. Delayed suprachoroidal hemorrhage after cataract surgery: A case report and brief review of literature. Medicine 2018, 97, e8697. [Google Scholar] [CrossRef] [PubMed]
- Ling, R.; Kamalarajah, S.; Cole, M.; James, C.; Shaw, S. Suprachoroidal haemorrhage complicating cataract surgery in the UK: A case control study of risk factors. Br. J. Ophthalmol. 2004, 88, 474–477. [Google Scholar] [CrossRef] [PubMed]
- Davison, J.A. Acute intraoperative suprachoroidal hemorrhage in capsular bag phacoemulsification. J. Cataract Refract. Surg. 1993, 19, 534–537. [Google Scholar] [CrossRef] [PubMed]
- Shekhar, M.; Menon, R.P.; Rajendran, J.; Kannan, N.B.; Das, M.R.; Rajendrababu, S.; Balakrishnan, L.; Mishra, C. Clinical features, management, and outcomes of expulsive choroidal hemorrhage during cataract surgery: 13-year experience of a tertiary eye center. J. Cataract Refract. Surg. 2022, 48, 1037–1043. [Google Scholar] [CrossRef]
- Zainol, N.; Raman, P.; Devi, S.P.; Mohd Khalid, K.H. Rare Presentation of Bilateral Carotid Cavernous Fistula as Supra-choroidal Hemorrhage during Cataract Surgery. Retin. Cases Brief Rep. 2021, 6, 1186. [Google Scholar]
- Jamali, H.; Sadeghi, E.; Nowroozzadeh, M.H. Suprachoroidal hemorrhage during phacoemulsification surgery associated with recent COVID-19: A report of two cases. Clin. Case Rep. 2022, 10, e6204. [Google Scholar] [CrossRef]
- Wong, K.K.; Saleh, T.A.; Gray, R.H. Suprachoroidal hemorrhage during cataract surgery in a vitrectomized eye. J. Cataract Refract. Surg. 2005, 31, 1242–1243. [Google Scholar] [CrossRef]
- Okubo, A.; Nakagawa, S.; Ogawa, S.; Ishii, K. Anterior Chamber Shallowing from the Early Stage of Surgery and Supra-choroidal Effusion during Clear Corneal Small-Incision Cataract Surgery: A Case Report. Case Rep. Ophthalmol. 2022, 13, 483–489. [Google Scholar] [CrossRef] [PubMed]
- Yip, C.-C.; Eong, K.-G.A.; Yong, V. Intraoperative capsular block syndrome masquerading as expulsive hemorrhage. Eur. J. Ophthalmol. 2002, 12, 333–335. [Google Scholar] [CrossRef] [PubMed]
- Grzybowski, A.; Kanclerz, P. Acute and chronic fluid misdirection syndrome: Pathophysiology and treatment. Graefe’s Arch. Clin. Exp. Ophthalmol. 2017, 256, 135–154. [Google Scholar] [CrossRef] [PubMed]
- Pamukcu, C.; Odabasi, M. Acute retrobulbar hemorrhage: An ophthalmologic emergency for the emergency physician. Ulus Trayma Acil Cerrahi Derg. 2015, 21, 309–314. [Google Scholar] [CrossRef]
- Globe Pertoration; Dai, Y.; Sun, T.; Gong, G.F. Inadvertent globe perforation during retrobulbar anesthesia: A case report. World J. Clin. Cases 2021, 9, 2001–2007. [Google Scholar] [CrossRef]
- Oli, A.; Balakrishnan, D. Multimodal Imaging in a Case of Localized Suprachoroidal Hemorrhage. J. Ophthalmic Vis. Res. 2020, 15, 104–108. [Google Scholar] [CrossRef]
- Lankhanpal, V. Experimental and clinical observations on massive suprachoroidal haemorrhage. Trans. Am. Ophthalmol. Soc. 1993, 91, 545–562. [Google Scholar]
- Ghorayeb, G.; Khan, A.; Godley, B.F. Delayed Suprachoroidal Hemorrhage after Cataract Surgery. Retin. Cases Brief Rep. 2012, 6, 390–392. [Google Scholar] [CrossRef]
- Gupta, A.; Ionides, A. Does acute suprachoroidal haemorrhage during phacoemulsification cataract surgery need surgical treatment? Graefes Arch. Clin. Exp. Ophthalmol. 2022, 260, 3395–3396. [Google Scholar] [CrossRef] [PubMed]
- Ma, J.; Roelofs, K.A.; Rudnisky, C.J. When do you go back to the OR? A case of delayed IOL repositioning after suprachoroidal hemorrhage. Can. J. Ophthalmol. 2019, 54, e225–e227. [Google Scholar] [CrossRef]
- Qureshi, A.; Jalil, A.; Sousa, D.C.; Patton, N.; Dhawahir-Scala, F.; Charles, S.J.; Turner, G.; Ivanova, T. Outcomes of suprachoroidal haemorrhage drainage with and without vitrectomy: A 10-year study. Eye 2020, 35, 1879–1885. [Google Scholar] [CrossRef]
- Han, S.B.; Lee, S.-J.; Lee, J.H.; Park, S.W.; Kim, M. Spontaneous resolution of massive expulsive suprachoroidal hemorrhage with good long-term visual outcome: A case report. Int. Med. Case Rep. J. 2015, ume 8, 185–187. [Google Scholar] [CrossRef]
- Feretis, E.; Mourtzoukos, S.; Mangouritsas, G.; Kabanarou, S.; Inoba, K.; Xirou, T. Secondary Management and Outcome of Massive Suprachoroidal Hemorrhage. Eur. J. Ophthalmol. 2006, 16, 835–840. [Google Scholar] [CrossRef]
- Jin, W.; Xing, Y.; Xu, Y.; Wang, W.; Yang, A. Management of delayed suprachoriodal haemorrhage after intraocular surgery and trauma. Graefe’s Arch. Clin. Exp. Ophthalmol. 2014, 252, 1189–1193. [Google Scholar] [CrossRef] [PubMed]
- Meier, P.; Wiedemann, P. Massive suprachoroidal hemorrhage: Secondary treatment and outcome. Graefe’s Arch. Clin. Exp. Ophthalmol. 2000, 238, 0028–0032. [Google Scholar] [CrossRef]
- Karaca, U.; Durukan, A.H.; Kucukevcilioglu, M.; Usta, G.; Yilmaz, A.C. An Alternative Approach for External Drainage of Suprachoroidal Hemorrhage: Active Aspiration with Butterfly Needle. Semin. Ophthalmol. 2021, 36, 614–617. [Google Scholar] [CrossRef] [PubMed]
- Fei, P.; Jin, H.-Y.; Zhang, Q.; Zhao, P.Q. Tissue plasminogen activator-assisted vitrectomy in theearly treatment of acute massive suprachoroidal hemorrhage complicating cataractsurgery. Int. J. Ophthalmol. 2018, 11, 170–171. [Google Scholar] [PubMed]
- Akram, H.; Dowlut, M.S.; Chandra, A. Suprachoroidal haemorrhage (SCH) drainage using suprachoroidal tissue plas-minogen activator (t-PA) after complicated cataract extraction (two-staged procedure): Early intervention could mean better vision. BMJ Case Rep. 2021, 14, e241705. [Google Scholar] [CrossRef] [PubMed]
- Chai, F.; Ai, H.; Deng, J.; Zhao, X.-Q. Sub-Tenon’s urokinase injection-assisted vitrectomy in early treatment of suprachoroidal hemorrhage: Four cases report. World J. Clin. Cases 2018, 6, 1059–1066. [Google Scholar] [CrossRef] [PubMed]



Disclaimer/Publisher’s Note: The statements, opinions and data contained in all publications are solely those of the individual author(s) and contributor(s) and not of MDPI and/or the editor(s). MDPI and/or the editor(s) disclaim responsibility for any injury to people or property resulting from any ideas, methods, instructions or products referred to in the content. |
© 2023 by the authors. Licensee MDPI, Basel, Switzerland. This article is an open access article distributed under the terms and conditions of the Creative Commons Attribution (CC BY) license (https://creativecommons.org/licenses/by/4.0/).
Share and Cite
Flores Márquez, A.; Urbinati, F.; Rocha-de-Lossada, C.; Moreno Gutiérrez, J.Á.; Munteanu, M.; Ferrara, M.; Fernández, J. Management of Suprachoroidal Hemorrhage during Phacoemulsification: A Comprehensive Review. Medicina 2023, 59, 583. https://doi.org/10.3390/medicina59030583
Flores Márquez A, Urbinati F, Rocha-de-Lossada C, Moreno Gutiérrez JÁ, Munteanu M, Ferrara M, Fernández J. Management of Suprachoroidal Hemorrhage during Phacoemulsification: A Comprehensive Review. Medicina. 2023; 59(3):583. https://doi.org/10.3390/medicina59030583
Chicago/Turabian StyleFlores Márquez, Ana, Facundo Urbinati, Carlos Rocha-de-Lossada, Juan Ángel Moreno Gutiérrez, Mihnea Munteanu, Mariantonia Ferrara, and Joaquín Fernández. 2023. "Management of Suprachoroidal Hemorrhage during Phacoemulsification: A Comprehensive Review" Medicina 59, no. 3: 583. https://doi.org/10.3390/medicina59030583
APA StyleFlores Márquez, A., Urbinati, F., Rocha-de-Lossada, C., Moreno Gutiérrez, J. Á., Munteanu, M., Ferrara, M., & Fernández, J. (2023). Management of Suprachoroidal Hemorrhage during Phacoemulsification: A Comprehensive Review. Medicina, 59(3), 583. https://doi.org/10.3390/medicina59030583

