Recent Imaging Updates and Advances in Gynecologic Malignancies
Abstract
Simple Summary
Abstract
1. Introduction
2. Methods
3. Discussion
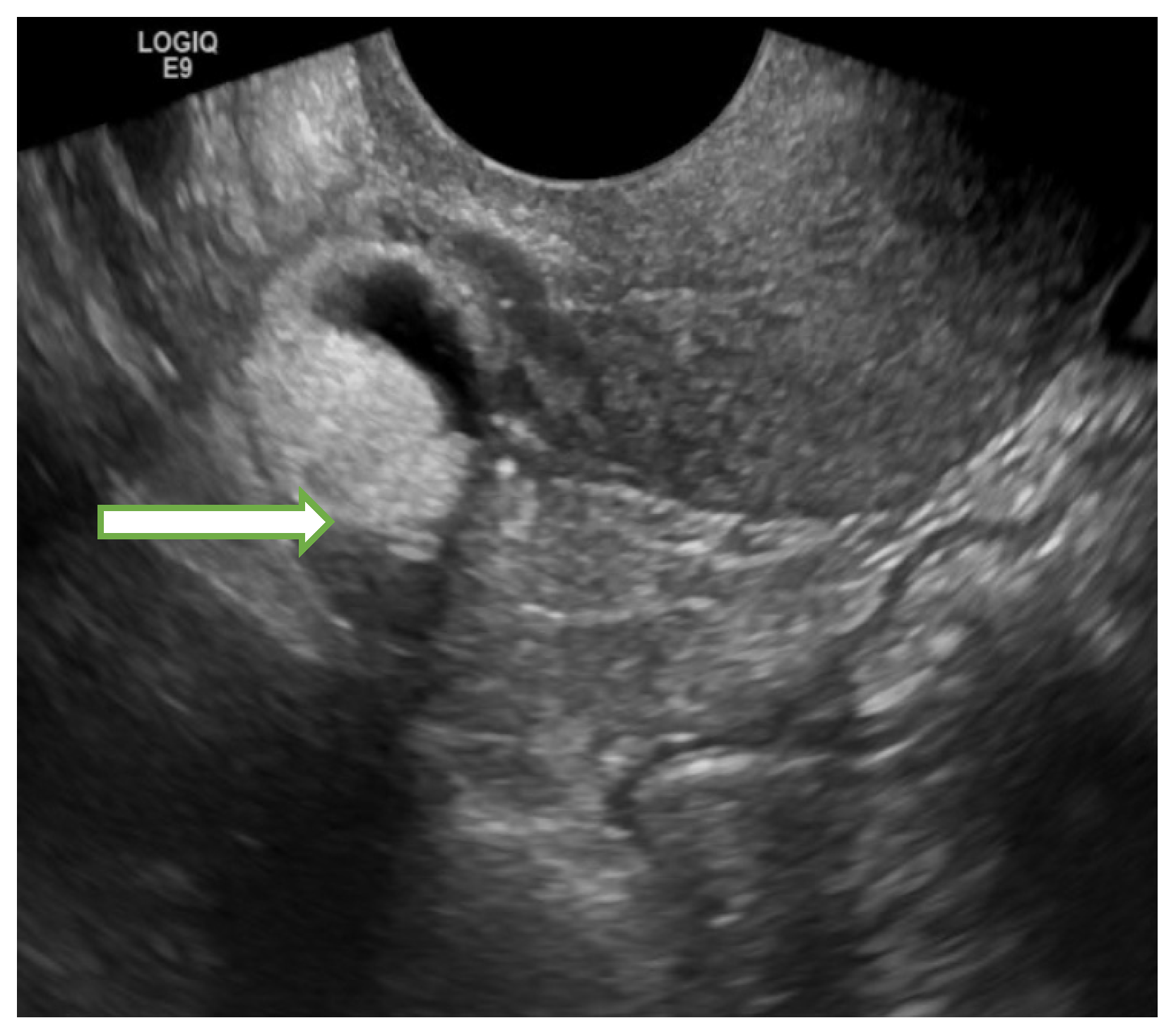
- Ultrasound is usually the primary modality to evaluate women with pelvic symptoms. It has the advantages of wide availability, feasibility, and cost-effectiveness with no radiation hazards. Limitations include operator dependence, limited field of view, and low contrast resolution
- MRI is regarded as the gold standard for local delineation of most gynecological malignancies owing to superb soft tissue contrast and resolution without exposing the patients to ionizing radiations. In addition, DCE and DWI provide additional data regarding tissue perfusion and cellular density, respectively.
- FDG PET-CT is a modality of high specificity yet low sensitivity in delineating primary gynecologic malignancies with a well-established role in preoperative staging, monitoring therapy response, and detecting recurrence in all locally advanced gynecological malignancies. New tracers are introduced but with limited data in the literature, thus not routinely used in clinical practice.
- PET-MRI allows a one-stop assessment of gynecological malignancies, combining the functional and quantitative metabolic data of PET with the high-resolution anatomic and functional imaging properties of MRI. Although it shows promising diagnostic performance, limited data in the literature exists regarding the justification of its high cost compared to separately acquired PET-CT and MRI.
- Radiomics and radiogenomics are promising approaches that may aid the diagnosis, prognosis, and assessment of treatment response in gynecological malignancies. However, there is a need for more extensive prospective studies and standardization of relevant imaging biomarkers before they can be applicable to the clinical workflow.
4. Imaging
4.1. Ultrasound
| O-RADS Score | Risk Category | Lexicon Descriptors | Management | ||||
|---|---|---|---|---|---|---|---|
| Premenopausal | Post-Menopausal | ||||||
| 0 | Incomplete Evaluation | N/A | Repeat/Alternative Study | ||||
| 1 | Normal Ovary | Follicle is a simple cyst ≤ 3 cm | None | N/A | |||
| Corpus Luteum ≤ 3 cm | |||||||
| 2 | Almost certainly benign (risk of malignancy < 1%) | Simple cyst | ≤3 cm | N/A | None | ||
| 3 m to 5 cm | None | Follow up in 1 year | |||||
| >5 cm to <10 cm | Follow up in 8–12 weeks | Follow up in 1 year (at minimum) | |||||
| Classic benign lesions | Typical hemorrhagic cyst | If >5 cm to <10 cm, follow up in 8–12 weeks | US specialist, gynecologist management or MRI | ||||
| Typical dermoid cyst <10 cm (Figure 2) | Follow up in 8–12 weeks | US specialist, gynecologist management or MRI | |||||
| Typical endometrioma <10 cm | Follow up in 8–12 weeks | US specialist, gynecologist management or MRI | |||||
| Simple paraovarian cyst of any size | None | Single follow up in 1 year | |||||
| Typical peritoneal inclusion cyst of any size | Gynecologist management | ||||||
| Typical hydrosalpinx of any size | Gynecologist management | ||||||
| Non-simple unilocular cyst, smooth inner margin | ≤3 cm | None | Follow up in 1 year | ||||
| >3 cm to <10 cm | Follow up in 8–12 weeks | US specialist or MRI | |||||
| 3 | Low risk of malignancy (1% to less than 10%) | Unilocular cyst ≥ 10 cm (simple or non-simple) | US specialist or MRI Gynecologist management | ||||
| ≥10 cm Typical dermoid/hemorrhagic cysts or endometrioma | |||||||
| Unilocular cyst with irregular inner wall <3 mm height (regardless cyst size) | |||||||
| Mutlilocular cyst < 10 cm with smooth inner wall, CS = 1–3 | |||||||
| Solid smooth (regardless its size), CS = 1 | |||||||
| 4 | Intermediate risk of malignancy (10% to less than 50%) | Multilocular cyst with no solid component | ≥10 cm, smooth inner wall, CS = 1–3 | US specialist or MRI Management by GYN-oncologist or gynecologist with GYN-oncologist consultation | |||
| Any size, smooth inner wall, CS = 4 | |||||||
| Any size, irregular inner wall and/or irregular septations, any color score | |||||||
| Unilocular cyst with solid component | Any size, 0–3 papillary projections, CS = any | ||||||
| Multilocular cyst with solid component | Any size, CS = 1–2 | ||||||
| Solid | Smooth, any size, CS = 2–3 | ||||||
| 5 | High risk of malignancy (≥50%) | Unilocular cyst, ≥4 papillary projections, (regardless its size and CS) | GYN-oncologist management | ||||
| Multilocular cyst with solid component (regardless its size), CS = 3–4 | |||||||
| Solid smooth, CS = 4 (regardless its size) | |||||||
| Solid irregular (regardless its size and CS) | |||||||
| Ascites and/or peritoneal nodules | |||||||

4.2. Magnetic Resonance Imaging (MRI)
4.3. Computed Tomography (CT)
4.4. Molecular Imaging
4.5. Positron Emission Tomography-Computed Tomography (PET-CT)
4.6. PET-MRI
4.7. Artificial Intelligence (AI), Deep Learning, Radiomics and Radiogenomics
5. Conclusions
Author Contributions
Funding
Institutional Review Board Statement
Informed Consent Statement
Data Availability Statement
Conflicts of Interest
References
- Ferlay, J.; Soerjomataram, I.; Dikshit, R.; Eser, S.; Mathers, C.; Rebelo, M.; Parkin, D.M.; Forman, D.; Bray, F. Cancer incidence and mortality worldwide: Sources, methods and major patterns in GLOBOCAN 2012. Int. J. Cancer 2015, 136, E359–E386. [Google Scholar] [CrossRef] [PubMed]
- Bell, D.J.; Pannu, H.K. Radiological assessment of gynecologic malignancies. Obstet. Gynecol. Clin. N. Am. 2011, 38, 45–68. [Google Scholar] [CrossRef] [PubMed]
- Siegel, R.L.; Miller, K.D.; Fuchs, H.E.; Jemal, A. Cancer statistics, 2022. CA Cancer J. Clin. 2022, 72, 7–33. [Google Scholar] [CrossRef] [PubMed]
- Friedman, S.N.; Itani, M.; Dehdashti, F. PET Imaging for Gynecologic Malignancies. Radiol. Clin. N. Am. 2021, 59, 813–833. [Google Scholar] [CrossRef]
- Zander, D.; Hüske, S.; Hoffmann, B.; Cui, X.W.; Dong, Y.; Lim, A.; Jenssen, C.; Löwe, A.; Koch, J.B.H.; Dietrich, C.F. Ultrasound Image Optimization (“Knobology”): B-Mode. Ultrasound Int. Open 2020, 6, E14–E24. [Google Scholar] [CrossRef]
- Fischerova, D.; Cibula, D. Ultrasound in gynecological cancer: Is it time for re-evaluation of its uses? Curr. Oncol. Rep. 2015, 17, 28. [Google Scholar] [CrossRef]
- Woodfield, C.A. The Usefulness of Ultrasound Imaging in Gynecologic Oncology. PET Clin. 2018, 13, 143–163. [Google Scholar] [CrossRef]
- Kaveh, M.; Sadegi, K.; Salarzaei, M.; Parooei, F. Comparison of diagnostic accuracy of saline infusion sonohysterography, transvaginal sonography, and hysteroscopy in evaluating the endometrial polyps in women with abnormal uterine bleeding: A systematic review and meta-analysis. Wideochir. Inne. Tech. Maloinwazyjne 2020, 15, 403–415. [Google Scholar] [CrossRef]
- Opolskiene, G.; Sladkevicius, P.; Valentin, L. Prediction of endometrial malignancy in women with postmenopausal bleeding and sonographic endometrial thickness ≥ 4.5 mm. Ultrasound Obstet. Gynecol. 2011, 37, 232–240. [Google Scholar] [CrossRef]
- Lee, S.I. An imaging algorithm for evaluation of abnormal uterine bleeding: Does sonohysterography play a role? Menopause 2007, 14, 823–825. [Google Scholar] [CrossRef]
- Green, R.W.; Epstein, E. Dynamic contrast-enhanced ultrasound improves diagnostic performance in endometrial cancer staging. Ultrasound Obstet. Gynecol. 2020, 56, 96–105. [Google Scholar] [CrossRef]
- Antonsen, S.L.; Jensen, L.N.; Loft, A.; Berthelsen, A.K.; Costa, J.; Tabor, A.; Qvist, I.; Hansen, M.R.; Fisker, R.; Andersen, E.S.; et al. MRI, PET/CT and ultrasound in the preoperative staging of endometrial cancer-a multicenter prospective comparative study. Gynecol. Oncol. 2013, 128, 300–308. [Google Scholar] [CrossRef] [PubMed]
- Fischerova, D.; Frühauf, F.; Zikan, M.; Pinkavova, I.; Kocián, R.; Dundr, P.; Nemejcova, K.; Dusek, L.; Cibula, D. Factors affecting sonographic preoperative local staging of endometrial cancer. Ultrasound Obstet. Gynecol. 2014, 43, 575–585. [Google Scholar] [CrossRef]
- Savelli, L.; Ceccarini, M.; Ludovisi, M.; Fruscella, E.; De Iaco, P.A.; Salizzoni, E.; Mabrouk, M.; Manfredi, R.; Testa, A.C.; Ferrandina, G. Preoperative local staging of endometrial cancer: Transvaginal sonography vs. magnetic resonance imaging. Ultrasound Obstet. Gynecol. 2008, 31, 560–566. [Google Scholar] [CrossRef]
- Hsiao, Y.-H.; Yang, S.-F.; Chen, Y.-H.; Chen, T.-H.; Tsai, H.-D.; Chou, M.-C.; Chou, P.-H. Updated applications of Ultrasound in Uterine Cervical Cancer. J. Cancer 2021, 12, 2181–2189. [Google Scholar] [CrossRef]
- Sayasneh, A.; Ekechi, C.; Ferrara, L.; Kaijser, J.; Stalder, C.; Sur, S. The characteristic ultrasound features of specific types of ovarian pathology (review). Int. J. Oncol. 2015, 46, 445–458. [Google Scholar] [CrossRef] [PubMed]
- Murotsuki, J. Contrast-enhanced Ultrasound in Obstetrics and Gynecology. Donald Sch. J. Ultrasound Obstet. Gynecol. 2007, 1, 16–19. [Google Scholar] [CrossRef]
- Strachowski, L.M.; Jha, P.; Chawla, T.P.; Davis, K.M.; Dove, C.K.; Glanc, P.; Morgan, T.A.; Andreotti, R.F. O-RADS for Ultrasound: A User’s Guide, From the AJR Special Series on Radiology Reporting and Data Systems. AJR Am. J. Roentgenol. 2021, 216, 1150–1165. [Google Scholar] [CrossRef] [PubMed]
- Ohliger, M.A.; Hope, T.A.; Chapman, J.S.; Chen, L.M.; Behr, S.C.; Poder, L. PET/MR Imaging in Gynecologic Oncology. Magn. Reson. Imaging Clin. N. Am. 2017, 25, 667–684. [Google Scholar] [CrossRef]
- Nougaret, S.; Lakhman, Y.; Vargas, H.A.; Colombo, P.E.; Fujii, S.; Reinhold, C.; Sala, E. From Staging to Prognostication: Achievements and Challenges of MR Imaging in the Assessment of Endometrial Cancer. Magn. Reson. Imaging Clin. N. Am. 2017, 25, 611–633. [Google Scholar] [CrossRef]
- Bourgioti, C.; Chatoupis, K.; Antoniou, A.; Panourgias, E.; Tzavara, C.; Rodolakis, A.; Moulopoulos, L. T2-weighted MRI findings predictive of parametrial involvement in patients with cervical cancer and histologically confirmed full thickness stromal invasion. Hell. J. Radiol. 2018, 3, 23–32. [Google Scholar]
- Otero-García, M.M.; Mesa-Álvarez, A.; Nikolic, O.; Blanco-Lobato, P.; Basta-Nikolic, M.; de Llano-Ortega, R.M.; Paredes-Velázquez, L. Role of MRI in staging and follow-up of endometrial and cervical cancer: Pitfalls and mimickers. Insights Imaging 2019, 10, 19. [Google Scholar] [CrossRef]
- Khan, S.R.; Arshad, M.; Wallitt, K.; Stewart, V.; Bharwani, N.; Barwick, T.D. What’s New in Imaging for Gynecologic Cancer? Curr. Oncol. Rep. 2017, 19, 85. [Google Scholar] [CrossRef] [PubMed]
- Iyer, V.R.; Lee, S.I. MRI, CT, and PET/CT for Ovarian Cancer Detection and Adnexal Lesion Characterization. Am. J. Roentgenol. 2010, 194, 311–321. [Google Scholar] [CrossRef]
- Thomassin-Naggara, I.; Poncelet, E.; Jalaguier-Coudray, A.; Guerra, A.; Fournier, L.S.; Stojanovic, S.; Millet, I.; Bharwani, N.; Juhan, V.; Cunha, T.M.; et al. Ovarian-Adnexal Reporting Data System Magnetic Resonance Imaging (O-RADS MRI) Score for Risk Stratification of Sonographically Indeterminate Adnexal Masses. JAMA Netw. Open 2020, 3, e1919896. [Google Scholar] [CrossRef]
- Sadowski, E.A.; Thomassin-Naggara, I.; Rockall, A.; Maturen, K.E.; Forstner, R.; Jha, P.; Nougaret, S.; Siegelman, E.S.; Reinhold, C. O-RADS MRI Risk Stratification System: Guide for Assessing Adnexal Lesions from the ACR O-RADS Committee. Radiology 2022, 303, 204371. [Google Scholar] [CrossRef]
- Miccò, M.; Sala, E.; Lakhman, Y.; Hricak, H.; Vargas, H.A. Role of imaging in the pretreatment evaluation of common gynecological cancers. Womens Health 2014, 10, 299–321. [Google Scholar] [CrossRef]
- Bolus, D.N. Dual-energy computed tomographic scanners: Principles, comparisons, and contrasts. J. Comput. Assist. Tomogr. 2013, 37, 944–947. [Google Scholar] [CrossRef]
- Benveniste, A.P.; de Castro Faria, S.; Broering, G.; Ganeshan, D.M.; Tamm, E.P.; Iyer, R.B.; Bhosale, P. Potential Application of Dual-Energy CT in Gynecologic Cancer: Initial Experience. Am. J. Roentgenol. 2017, 208, 695–705. [Google Scholar] [CrossRef]
- Agrawal, M.D.; Pinho, D.F.; Kulkarni, N.M.; Hahn, P.F.; Guimaraes, A.R.; Sahani, D.V. Oncologic Applications of Dual-Energy CT in the Abdomen. RadioGraphics 2014, 34, 589–612. [Google Scholar] [CrossRef]
- Dejanovic, D.; Hansen, N.L.; Loft, A. PET/CT Variants and Pitfalls in Gynecological Cancers. Semin. Nucl. Med. 2021, 51, 593–610. [Google Scholar] [CrossRef] [PubMed]
- Narayanan, P.; Sahdev, A. The role of (18)F-FDG PET CT in common gynaecological malignancies. Br. J. Radiol. 2017, 90, 20170283. [Google Scholar] [CrossRef] [PubMed]
- Kidd, E.A.; Siegel, B.A.; Dehdashti, F.; Grigsby, P.W. The standardized uptake value for F-18 fluorodeoxyglucose is a sensitive predictive biomarker for cervical cancer treatment response and survival. Cancer 2007, 110, 1738–1744. [Google Scholar] [CrossRef] [PubMed]
- Burger, I.A.; Vargas, H.A.; Donati, O.F.; Andikyan, V.; Sala, E.; Gonen, M.; Goldman, D.A.; Chi, D.S.; Schöder, H.; Hricak, H. The value of 18F-FDG PET/CT in recurrent gynecologic malignancies prior to pelvic exenteration. Gynecol. Oncol. 2013, 129, 586–592. [Google Scholar] [CrossRef] [PubMed]
- Fruscio, R.; Sina, F.; Dolci, C.; Signorelli, M.; Crivellaro, C.; Dell’Anna, T.; Cuzzocrea, M.; Guerra, L.; Milani, R.; Messa, C. Preoperative 18F-FDG PET/CT in the management of advanced epithelial ovarian cancer. Gynecol. Oncol. 2013, 131, 689–693. [Google Scholar] [CrossRef]
- Hynninen, J.; Kemppainen, J.; Lavonius, M.; Virtanen, J.; Matomäki, J.; Oksa, S.; Carpén, O.; Grénman, S.; Seppänen, M.; Auranen, A. A prospective comparison of integrated FDG-PET/contrast-enhanced CT and contrast-enhanced CT for pretreatment imaging of advanced epithelial ovarian cancer. Gynecol. Oncol. 2013, 131, 389–394. [Google Scholar] [CrossRef]
- Sanduleanu, S.; Wiel, A.M.A.v.d.; Lieverse, R.I.Y.; Marcus, D.; Ibrahim, A.; Primakov, S.; Wu, G.; Theys, J.; Yaromina, A.; Dubois, L.J.; et al. Hypoxia PET Imaging with [18F]-HX4—A Promising Next-Generation Tracer. Cancers 2020, 12, 1322. [Google Scholar] [CrossRef]
- Huang, Y.; Fan, J.; Li, Y.; Fu, S.; Chen, Y.; Wu, J. Imaging of Tumor Hypoxia With Radionuclide-Labeled Tracers for PET. Front. Oncol. 2021, 11, 731503. [Google Scholar] [CrossRef]
- Lopci, E.; Grassi, I.; Chiti, A.; Nanni, C.; Cicoria, G.; Toschi, L.; Fonti, C.; Lodi, F.; Mattioli, S.; Fanti, S. PET radiopharmaceuticals for imaging of tumor hypoxia: A review of the evidence. Am. J. Nucl. Med. Mol. Imaging 2014, 4, 365–384. [Google Scholar]
- Li, Z.; Chu, T. Recent advances on radionuclide labeled hypoxia-imaging agents. Curr. Pharm. Des. 2012, 18, 1084–1097. [Google Scholar] [CrossRef]
- Nguyen, N.C.; Beriwal, S.; Moon, C.-H.; D’Ardenne, N.; Mountz, J.M.; Furlan, A.; Muthukrishnan, A.; Rangaswamy, B. Diagnostic Value of FDG PET/MRI in Females With Pelvic Malignancy-A Systematic Review of the Literature. Front. Oncol. 2020, 10, 519440. [Google Scholar] [CrossRef]
- Virarkar, M.; Viswanathan, C.; Iyer, R.; de Castro Faria, S.; Morani, A.; Carter, B.; Ganeshan, D.; Elsherif, S.; Bhosale, P.R. The Role of Positron Emission Tomography/Magnetic Resonance Imaging in Gynecological Malignancies. J. Comput. Assist. Tomogr. 2019, 43, 825–834. [Google Scholar] [CrossRef]
- Kim, E.J.; Woo, H.S.; Cho, J.H.; Sym, S.J.; Baek, J.H.; Lee, W.S.; Kwon, K.A.; Kim, K.O.; Chung, J.W.; Park, D.K.; et al. Early experience with Watson for oncology in Korean patients with colorectal cancer. PLoS ONE 2019, 14, e0213640. [Google Scholar] [CrossRef]
- Zhou, J.; Zeng, Z.Y.; Li, L. Progress of Artificial Intelligence in Gynecological Malignant Tumors. Cancer Manag. Res. 2020, 12, 12823–12840. [Google Scholar] [CrossRef]
- Sone, K.; Toyohara, Y.; Taguchi, A.; Miyamoto, Y.; Tanikawa, M.; Uchino-Mori, M.; Iriyama, T.; Tsuruga, T.; Osuga, Y. Application of artificial intelligence in gynecologic malignancies: A review. J. Obstet. Gynaecol. Res. 2021, 47, 2577–2585. [Google Scholar] [CrossRef]
- Emmert-Streib, F.; Yang, Z.; Feng, H.; Tripathi, S.; Dehmer, M. An Introductory Review of Deep Learning for Prediction Models With Big Data. Front. Artif. Intell. 2020, 3, 4. [Google Scholar] [CrossRef]
- Aramendía-Vidaurreta, V.; Cabeza, R.; Villanueva, A.; Navallas, J.; Alcázar, J.L. Ultrasound Image Discrimination between Benign and Malignant Adnexal Masses Based on a Neural Network Approach. Ultrasound Med. Biol. 2016, 42, 742–752. [Google Scholar] [CrossRef]
- Pergialiotis, V.; Pouliakis, A.; Parthenis, C.; Damaskou, V.; Chrelias, C.; Papantoniou, N.; Panayiotides, I. The utility of artificial neural networks and classification and regression trees for the prediction of endometrial cancer in postmenopausal women. Public Health 2018, 164, 1–6. [Google Scholar] [CrossRef]
- Urushibara, A.; Saida, T.; Mori, K.; Ishiguro, T.; Sakai, M.; Masuoka, S.; Satoh, T.; Masumoto, T. Diagnosing uterine cervical cancer on a single T2-weighted image: Comparison between deep learning versus radiologists. Eur. J. Radiol. 2021, 135, 109471. [Google Scholar] [CrossRef]
- Shen, W.C.; Chen, S.W.; Wu, K.C.; Hsieh, T.C.; Liang, J.A.; Hung, Y.C.; Yeh, L.S.; Chang, W.C.; Lin, W.C.; Yen, K.Y.; et al. Prediction of local relapse and distant metastasis in patients with definitive chemoradiotherapy-treated cervical cancer by deep learning from [(18)F]-fluorodeoxyglucose positron emission tomography/computed tomography. Eur. Radiol. 2019, 29, 6741–6749. [Google Scholar] [CrossRef]
- Lo Gullo, R.; Daimiel, I.; Morris, E.A.; Pinker, K. Combining molecular and imaging metrics in cancer: Radiogenomics. Insights Imaging 2020, 11, 1. [Google Scholar] [CrossRef]
- Manganaro, L.; Nicolino, G.M.; Dolciami, M.; Martorana, F.; Stathis, A.; Colombo, I.; Rizzo, S. Radiomics in cervical and endometrial cancer. Br. J. Radiol. 2021, 94, 20201314. [Google Scholar] [CrossRef]
- El Naqa, I.; Napel, S.; Zaidi, H. Radiogenomics is the future of treatment response assessment in clinical oncology. Med. Phys. 2018, 45, 4325–4328. [Google Scholar] [CrossRef]












| O-RADS MRI Score | Risk Category | Positive Predictive Value for Malignancy | Lexicon Description |
|---|---|---|---|
| 0 | Incomplete evaluation | N/A | N/A |
| 1 | Normal ovaries | N/A | No ovarian lesion |
| Follicle defined as simple cyst ≤ 3 cm in a premenopausal woman | |||
| Hemorrhagic cyst ≤ 3 cm in a premenopausal woman | |||
| Corpus luteum +/− hemorrhage ≤ 3 cm in a premenopausal woman | |||
| 2 | Almost certainly benign | <0.5% | Cyst: Unilocular- any type of fluid content - No wall enhancement - No enhancing solid tissue * |
| Cyst: Unilocular–simple or endometriotic fluid content -Smooth enhancing wall -No enhancing solid tissue | |||
| Lesion with lipid content ** - No enhancing solid tissue | |||
| Lesion with solid tissue showing dark signal on T2/DWI -Homogeneously hypointense on T2 and DWI | |||
| Dilated fallopian tube-simple fluid content - Thin, smooth wall/endosalpingeal folds with enhancement - No enhancing solid tissue | |||
| Para-ovarian cyst–any type of fluid - Thin, smooth wall +/− enhancement - No enhancing solid tissue | |||
| 3 | Low risk | ~5% | Cyst: Unilocular–proteinaceous, hemorrhagic or mucinous fluid content - Smooth enhancing wall - No enhancing solid tissue |
| Cyst: Multilocular-Any type of fluid, no lipid content - Smooth septae and wall with enhancement-No enhancing solid tissue | |||
| Lesion with solid tissue (excluding T2 dark/DWI dark) - Low risk time intensity curve on DCE MRI | |||
| Dilated fallopian tube - Non-simple fluid: Thin wall/folds - Simple fluid: Thick, smooth wall/folds - No enhancing solid tissue | |||
| 4 | Intermediate risk | ~50% | Lesion with solid tissue (excluding T2 dark/DWI dark) - Intermediate risk time intensity curve on DCE MRI - If DCE MRI is not feasible, score 4 is any lesion with solid tissue (excluding T2 dark/DWI dark) that is enhancing ≤ myometrium at 30–40 s on non-DCE MRI |
| Lesion with lipid content - Large volume enhancing solid tissue | |||
| 5 | High risk | ~90% | Lesion with solid tissue (excluding T2 dark/DWI dark) - High risk time intensity curve on DCE MRI - If DCE MRI is not feasible, score 5 is any lesion with solid tissue (excluding T2 dark/DWI dark) that is enhancing > myometrium at 30–40 s on non-DCE MRI |
| Peritoneal, mesenteric or omental nodularity or irregular thickening with or without ascites |
Publisher’s Note: MDPI stays neutral with regard to jurisdictional claims in published maps and institutional affiliations. |
© 2022 by the authors. Licensee MDPI, Basel, Switzerland. This article is an open access article distributed under the terms and conditions of the Creative Commons Attribution (CC BY) license (https://creativecommons.org/licenses/by/4.0/).
Share and Cite
Daoud, T.; Sardana, S.; Stanietzky, N.; Klekers, A.R.; Bhosale, P.; Morani, A.C. Recent Imaging Updates and Advances in Gynecologic Malignancies. Cancers 2022, 14, 5528. https://doi.org/10.3390/cancers14225528
Daoud T, Sardana S, Stanietzky N, Klekers AR, Bhosale P, Morani AC. Recent Imaging Updates and Advances in Gynecologic Malignancies. Cancers. 2022; 14(22):5528. https://doi.org/10.3390/cancers14225528
Chicago/Turabian StyleDaoud, Taher, Sahil Sardana, Nir Stanietzky, Albert R. Klekers, Priya Bhosale, and Ajaykumar C. Morani. 2022. "Recent Imaging Updates and Advances in Gynecologic Malignancies" Cancers 14, no. 22: 5528. https://doi.org/10.3390/cancers14225528
APA StyleDaoud, T., Sardana, S., Stanietzky, N., Klekers, A. R., Bhosale, P., & Morani, A. C. (2022). Recent Imaging Updates and Advances in Gynecologic Malignancies. Cancers, 14(22), 5528. https://doi.org/10.3390/cancers14225528

