Expression of CD47 and SIRPα Macrophage Immune-Checkpoint Pathway in Non-Small-Cell Lung Cancer
Abstract
:Simple Summary
Abstract
1. Introduction
2. Results
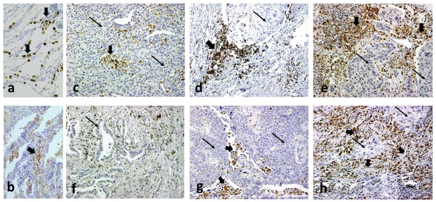
2.1. Expression in Normal Lungs
2.2. CD47 Expression in Cancer
2.3. SIRPα and CD68 Expression in Cancer
2.4. SIRPα, CD68 and Survival
2.5. SIRPα/CD68 Ratio Analysis
2.6. Association of CD47 with SIRPα and CD68 Scores
2.7. Correlations with PD-L1/PD-1 and TILs
3. Discussion
4. Materials and Methods
4.1. Patient and Disease Characteristics
4.2. Ethical Considerations
4.3. Immunohistochemistry
4.4. Confocal Microscopy
4.5. Scoring of TIL-Density
4.6. Other Immunohistochemical Markers
4.7. Statistical Analysis
5. Conclusions
Supplementary Materials
Author Contributions
Funding
Institutional Review Board Statement
Informed Consent Statement
Data Availability Statement
Acknowledgments
Conflicts of Interest
References
- Finck, A.; Gill, S.I.; June, C.H. Cancer immunotherapy comes of age and looks for maturity. Nat. Commun. 2020, 11, 3325. [Google Scholar] [CrossRef] [PubMed]
- Oronsky, B.; Carter, C.; Reid, T.; Brinkhaus, F.; Knox, S.J. Just eat it: A review of CD47 and SIRP-α antagonism. Semin. Oncol. 2020, 47, 117–124. [Google Scholar] [CrossRef] [PubMed]
- Sikic, B.I.; Lakhani, N.; Patnaik, A.; Shah, S.A.; Chandana, S.R.; Rasco, D.; Colevas, A.D.; O’Rourke, T.; Narayanan, S.; Papadopoulos, K.; et al. First-in-Human, First-in-Class Phase I Trial of the Anti-CD47 Antibody Hu5F9-G4 in Patients With Advanced Cancers. J. Clin. Oncol. 2019, 37, 946–953. [Google Scholar] [CrossRef] [PubMed]
- Voets, E.; Paradé, M.; Lutje Hulsik, D.; Spijkers, S.; Janssen, W.; Rens, J.; Reinieren-Beeren, I.; van den Tillaart, G.; van Duijnhoven, S.; Driessen, L.; et al. Functional characterization of the selective pan-allele anti-SIRPα antibody ADU-1805 that blocks the SIRPα-CD47 innate immune checkpoint. J. Immunother. Cancer 2019, 7, 340. [Google Scholar] [CrossRef]
- Yuan, J.; Shi, X.; Chen, C.; He, H.; Liu, L.; Wu, J.; Yan, H. High expression of CD47 in triple negative breast cancer is associated with epithelial-mesenchymal transition and poor prognosis. Oncol. Lett. 2019, 18, 3249–3255. [Google Scholar] [CrossRef] [Green Version]
- Wang, J.H.; Huang, S.T.; Zhang, L.; Liu, Z.G.; Liang, R.X.; Jiang, S.W.; Jiang, Y.N.; Yu, X.J.; Jiang, Y.C.; Li, X.Z.; et al. Combined prognostic value of the cancer stem cell markers CD47 and CD133 in esophageal squamous cell carcinoma. Cancer Med. 2019, 8, 1315–1325. [Google Scholar] [CrossRef]
- Sudo, T.; Takahashi, Y.; Sawada, G.; Uchi, R.; Mimori, K.; Akagi, Y. Significance of CD47 expression in gastric cancer. Oncol. Lett. 2017, 14, 801–809. [Google Scholar] [CrossRef] [Green Version]
- Kim, H.; Bang, S.; Jee, S.; Paik, S.S.; Jang, K. Clinicopathological significance of CD47 expression in hepatocellular carcinoma. J. Clin. Pathol. 2020, 23, 111–115. [Google Scholar] [CrossRef]
- Fu, W.; Li, J.; Zhang, W.; Li, P. High expression of CD47 predicts adverse prognosis in Chinese patients and suppresses immune response in melanoma. Biomed. Pharmacother. 2017, 93, 1190–1196. [Google Scholar] [CrossRef]
- Arrieta, O.; Aviles-Salas, A.; Orozco-Morales, M.; Hernández-Pedro, N.; Cardona, A.F.; Cabrera-Miranda, L.; Barrios-Bernal, P.; Soca-Chafre, G.; Cruz-Rico, G.; Peña-Torres, M.L.; et al. Association between CD47 expression, clinical characteristics and prognosis in patients with advanced non-small cell lung cancer. Cancer Med. 2020, 9, 2390–2402. [Google Scholar] [CrossRef]
- Barrera, L.; Montes-Servín, E.; Hernandez-Martinez, J.M.; García-Vicente, M.L.Á.; Montes-Servín, E.; Herrera-Martínez, M.; Crispín, J.C.; Borbolla-Escoboza, J.R.; Arrieta, O. CD47 overexpression is associated with decreased neutrophil apoptosis/phagocytosis and poor prognosis in non-small-cell lung cancer patients. Br. J. Cancer 2017, 117, 385–397. [Google Scholar] [CrossRef] [PubMed] [Green Version]
- Yang, Z.; Xu, J.; Li, R.; Gao, Y.; He, J. PD-L1 and CD47 co-expression in pulmonary sarcomatoid carcinoma: A predictor of poor prognosis and potential targets of future combined immunotherapy. J. Cancer Res. Clin. Oncol. 2019, 145, 3055–3065. [Google Scholar] [CrossRef] [PubMed]
- Xu, Y.; Li, J.; Tong, B.; Chen, M.; Liu, X.; Zhong, W.; Zhao, J.; Wang, M. Positive tumour CD47 expression is an independent prognostic factor for recurrence in resected non-small cell lung cancer. ESMO Open 2020, 5, e000823. [Google Scholar] [CrossRef] [PubMed]
- Kazama, R.; Miyoshi, H.; Takeuchi, M.; Miyawaki, K.; Nakashima, K.; Yoshida, N.; Kawamoto, K.; Yanagida, E.; Yamada, K.; Umeno, T.; et al. Combination of CD47 and signal-regulatory protein-α constituting the “don’t eat me signal” is a prognostic factor in diffuse large B-cell lymphoma. Cancer Sci. 2020, 111, 2608–2619. [Google Scholar] [CrossRef]
- Yanagida, E.; Miyoshi, H.; Takeuchi, M.; Yoshida, N.; Nakashima, K.; Yamada, K.; Umeno, T.; Shimasaki, Y.; Furuta, T.; Seto, M.; et al. Clinicopathological analysis of immunohistochemical expression of CD47 and SIRPα in adult T-cell leukemia/lymphoma. Hematol. Oncol. 2020, 38, 680–688. [Google Scholar] [CrossRef]
- Koga, N.; Hu, Q.; Sakai, A.; Takada, K.; Nakanishi, R.; Hisamatsu, Y.; Ando, K.; Kimura, Y.; Oki, E.; Oda, Y.; et al. Clinical significance of signal regulatory protein alpha (SIRPα) expression in esophageal squamous cell carcinoma. Cancer Sci. 2021, 112, 3018–3028. [Google Scholar] [CrossRef]
- Sugimura-Nagata, A.; Koshino, A.; Inoue, S.; Matsuo-Nagano, A.; Komura, M.; Riku, M.; Ito, H.; Inoko, A.; Murakami, H.; Ebi, M.; et al. Expression and Prognostic Significance of CD47-SIRPA Macrophage Checkpoint Molecules in Colorectal Cancer. Int. J. Mol. Sci. 2021, 22, 2690. [Google Scholar] [CrossRef]
- Marcus, A.; Gowen, B.G.; Thompson, T.W.; Iannello, A.; Ardolino, M.; Deng, W.; Wang, L.; Shifrin, N.; Raulet, D.H. Recognition of tumors by the innate immune system and natural killer cells. Adv. Immunol. 2014, 122, 91–128. [Google Scholar]
- De Nardo, D.G.; Ruffell, B. Macrophages as regulators of tumour immunity and immunotherapy. Nat. Rev. Immunol. 2019, 19, 369–382. [Google Scholar] [CrossRef]
- Murata, Y.; Kotani, T.; Ohnishi, H.; Matozaki, T. The CD47-SIRPα signalling system: Its physiological roles and therapeutic application. J. Biochem. 2014, 155, 335–344. [Google Scholar] [CrossRef] [Green Version]
- Yanagita, T.; Murata, Y.; Tanaka, D.; Motegi, S.I.; Arai, E.; Daniwijaya, E.W.; Hazama, D.; Washio, K.; Saito, Y.; Kotani, T.; et al. Anti-SIRPα antibodies as a potential new tool for cancer immunotherapy. JCI Insight 2017, 2, e89140. [Google Scholar] [CrossRef] [PubMed]
- Abe, H.; Saito, R.; Ichimura, T.; Iwasaki, A.; Yamazawa, S.; Shinozaki-Ushiku, A.; Morikawa, T.; Ushiku, T.; Yamashita, H.; Seto, Y.; et al. CD47 expression in Epstein-Barr virus-associated gastric carcinoma: Coexistence with tumor immunity lowering the ratio of CD8+/Foxp3+ T cells. Virchows Arch. 2018, 472, 643–651. [Google Scholar] [CrossRef] [PubMed]
- Tseng, D.; Volkmer, J.P.; Willingham, S.B.; Contreras-Trujillo, H.; Fathman, J.W.; Fernhoff, N.B.; Seita, J.; Inlay, M.A.; Weiskopf, K.; Miyanishi, M.; et al. Anti-CD47 antibody-mediated phagocytosis of cancer by macrophages primes an effective antitumor T-cell response. Proc. Natl. Acad. Sci. USA 2013, 110, 11103–11108. [Google Scholar] [CrossRef] [PubMed] [Green Version]
- Kalamida, D.; Giatromanolaki, A.; Koukourakis, M.I. Characterization of the “Autophagic Flux” in Prostate Cancer Tissue Biopsies by LC3A/LAMP2a Immunofluorescence and Confocal Microscopy. Methods Mol. Biol. 2019, 1880, 555–560. [Google Scholar]
- Giatromanolaki, A.; Koukourakis, I.M.; Balaska, K.; Mitrakas, A.G.; Harris, A.L.; Koukourakis, M.I. Programmed death-1 receptor (PD-1) and PD-ligand-1 (PD-L1) expression in non-small cell lung cancer and the immune-suppressive effect of anaerobic glycolysis. Med. Oncol. 2019, 36, 76. [Google Scholar] [CrossRef]
- Giatromanolaki, A.; Harris, A.L.; Banham, A.H.; Contrafouris, C.A.; Koukourakis, M.I. Carbonic anhydrase 9 (CA9) expression in non-small-cell lung cancer: Correlation with regulatory FOXP3+T-cell tumour stroma infiltration. Br. J. Cancer 2020, 122, 1205–1210. [Google Scholar] [CrossRef]




| SIRPα+Mφ (Invading Front) | |||||
|---|---|---|---|---|---|
| SIRPα+Mφ (Inner Areas) | 0 | 1 | 2 | 3 | Total |
| 0 | 26 | 4 | 0 | 0 | 30 |
| (26/53) | −4.08 | 0 | 0 | −30.6 | |
| 1 | 4 | 53 | 5 | 0 | 62 |
| −4.08 | −54.08 | −5.1 | 0 | −63.2 | |
| 2 | 0 | 1 | 5 | 0 | 6 |
| 0 | −1.02 | −5.1 | 0 | −6.2 | |
| 3 | 0 | 0 | 0 | 0 | 0 |
| 0 | 0 | 0 | 0 | 0 | |
| Total | 30 | 58 | 10 | 0 | 98 |
| −30.6 | −59.2 | −10.2 | 0 | −100 | |
| CD68Mφ(Invading Front) | |||||
| CD68+Mφ(Inner Areas) | 0 | 1 | 2 | 3 | Total |
| 0 | 0 | 0 | 0 | 0 | 0 |
| 0 | 0 | 0 | 0 | 0 | |
| 1 | 0 | 28 | 10 | 2 | 40 |
| 0 | −28.57 | −10.2 | −2.04 | −40.8 | |
| 2 | 0 | 5 | 16 | 7 | 28 |
| 0 | −5.1 | −16.37 | −7.14 | −28.6 | |
| 3 | 0 | 2 | 2 | 26 | 30 |
| 0 | −2.04 | −2.04 | −26.53 | −30.6 | |
| Total | 0 | 35 | 28 | 35 | 98 |
| 0 | −35.7 | −28.6 | −35.7 | −100 | |
| Invading Front | ||||||
|---|---|---|---|---|---|---|
| (Median 0.4) | ||||||
| Inner Areas (Median 0.5) | 0 | 0.3 | 0.5 | 0.7 | 1 | Total |
| 0 | 25 | 2 | 1 | 0 | 2 | 30 |
| −25.52 | −2.04 | −1.02 | 0 | −2.04 | −30.6 | |
| 0.3 | 2 | 12 | 2 | 3 | 0 | 19 |
| −2.04 | −12.24 | −1.04 | −3.06 | 0 | −19.4 | |
| 0.5 | 1 | 4 | 7 | 1 | 2 | 15 |
| −1.02 | −4.08 | −7.14 | −1.02 | −2.04 | −15.3 | |
| 0.7 | 0 | 0 | 0 | 1 | 0 | 1 |
| 0 | 0 | 0 | −1.02 | (0 | −1.02 | |
| 1 | 1 | 1 | 8 | 0 | 23 | 33 |
| −1.02 | −1.02 | −18.4 | 0 | −23.46 | −33.7 | |
| Total | 29 | 19 | 18 | 5 | 27 | 98 |
| −29.6 | −19.4 | −18.4 | −5.1 | −27.5 | −100 | |
Publisher’s Note: MDPI stays neutral with regard to jurisdictional claims in published maps and institutional affiliations. |
© 2022 by the authors. Licensee MDPI, Basel, Switzerland. This article is an open access article distributed under the terms and conditions of the Creative Commons Attribution (CC BY) license (https://creativecommons.org/licenses/by/4.0/).
Share and Cite
Giatromanolaki, A.; Mitrakas, A.; Anestopoulos, I.; Kontosis, A.; Koukourakis, I.M.; Pappa, A.; Panayiotidis, M.I.; Koukourakis, M.I. Expression of CD47 and SIRPα Macrophage Immune-Checkpoint Pathway in Non-Small-Cell Lung Cancer. Cancers 2022, 14, 1801. https://doi.org/10.3390/cancers14071801
Giatromanolaki A, Mitrakas A, Anestopoulos I, Kontosis A, Koukourakis IM, Pappa A, Panayiotidis MI, Koukourakis MI. Expression of CD47 and SIRPα Macrophage Immune-Checkpoint Pathway in Non-Small-Cell Lung Cancer. Cancers. 2022; 14(7):1801. https://doi.org/10.3390/cancers14071801
Chicago/Turabian StyleGiatromanolaki, Alexandra, Achilleas Mitrakas, Ioannis Anestopoulos, Andreas Kontosis, Ioannis M. Koukourakis, Aglaia Pappa, Mihalis I. Panayiotidis, and Michael I. Koukourakis. 2022. "Expression of CD47 and SIRPα Macrophage Immune-Checkpoint Pathway in Non-Small-Cell Lung Cancer" Cancers 14, no. 7: 1801. https://doi.org/10.3390/cancers14071801
APA StyleGiatromanolaki, A., Mitrakas, A., Anestopoulos, I., Kontosis, A., Koukourakis, I. M., Pappa, A., Panayiotidis, M. I., & Koukourakis, M. I. (2022). Expression of CD47 and SIRPα Macrophage Immune-Checkpoint Pathway in Non-Small-Cell Lung Cancer. Cancers, 14(7), 1801. https://doi.org/10.3390/cancers14071801

