Abstract
Rhizoctonia solani root rot (RSRR) is a major disease that significantly reduces soybean yields, causing substantial economic losses to global soybean production. To elucidate the genetic basis of RSRR resistance, 310 soybean germplasm accessions were evaluated using the disease severity index (DSI) following inoculation with R. solani. Among these accessions, 46.13% were susceptible, and only 2.26% exhibited high resistance. Utilizing resequencing data consisting of 738,561 Single Nucleotide Polymorphism (SNP) loci, a genome-wide association study (GWAS) was performed by integrating both general linear model (GLM) and mixed linear model (MLM) approaches, resulting in the identification of 21 SNPs significantly associated with resistance on chromosomes 3, 13, 15, 16, 17, and 18, and six candidate genes. RT-qPCR expression analysis revealed that four genes, including Glyma.03G166300, Glyma.03G168100, Glyma.13G212700, and Glyma.13G212300, were significantly upregulated in resistant genotypes after inoculation. Furthermore, Cleaved Amplified Polymorphic Sequences (CAPS) and Kompetitive Allele Specific PCR (KASP) molecular markers were successfully developed based on the RSRR-associated SNPs S3_38086892, S3_38247290, and S13_32595026, providing effective tools for marker-assisted selection (MAS). The findings strengthen our genetic knowledge concerning RSRR resistance and contribute to the molecular breeding of resistant soybean cultivars.
1. Introduction
Soybean production is seriously affected by various biotic stresses, among which root rot caused by Rhizoctonia solani (R. solani) is gradually spreading. This pathogen, primarily disseminated through soil and seeds, demonstrates high resilience, enabling it to endure various environmental stresses and perpetuate plant infection [1,2,3]. R. solani-induced soybean diseases have been documented across multiple countries, including Canada, China, Brazil, and the United States, where they significantly impact soybean production [4,5,6,7]. Various economic crops are affected by this pathogen, including soybean, alfalfa, pea, common bean, maize, peanuts, and potato [8,9,10,11,12,13]. According to reports, this pathogen causes an average annual loss of 20% in legume yields, and, in extreme cases, it can even cause 30–60% crop losses [8,14]. Therefore, breeding RSRR-resistant varieties has become a top priority in soybean breeding and research.
The occurrence of root rot has long restricted soybean production, and the diversity of pathogens has made the disease difficult to prevent and control. In agricultural production, once the disease occurs, it often recurs after continuous cropping. Currently, prevention remains the primary approach to managing this disease in agricultural practices. To manage these harmful pathogens, contemporary agricultural practices often rely on the extensive use of fertilizers and pesticides [15]. Consequently, the unique biological features of R. solani make it particularly difficult to manage. Given these challenges, identifying genetic loci associated with resistance to R. solani using GWAS has become a critical strategy for developing resistant soybean cultivars and improving disease management. In order to solve the problem of controlling soybean root rot in agricultural production, researchers have conducted extensive research. Candidate genes and SNPs associated with resistance to root rot were identified, including Glyma.03G033700 and Glyma.03G033800 for Phytophthora sojae root rot, seven SNPs linked to resistance against Pythium sylvaticum, and eight SNPs associated with resistance to Fusarium oxysporum [16,17,18]. Although GWAS studies on R. solani resistance in soybean are limited, recent research has identified resistance-associated loci on chromosomes 2 and 18, with candidate genes including Glyma.02g252200 and Glyma.18g179800 [5]. These findings collectively demonstrate that GWAS is an important means of studying soybean genetic resistance.
In plant root rot research, resistance to pathogens is often evaluated in varieties. In recent years, molecular markers have emerged as an essential instrument for assessing plant resistance and advancing MAS. Researchers have developed SSR molecular markers for soybean diseases caused by R. solani, including aerial blight and hypocotyl rot [19,20]. While SSR markers have proven to be valuable for identifying resistance loci against R. solani in soybean, other molecular marker systems, such as KASP and CAPS, have been increasingly employed in soybean genetic studies and molecular breeding. KASP markers for soybean resistance to abiotic stresses have been reported, including markers for drought resistance linked to S14_5147797 and S18_53902767 and markers for salt stress resistance associated with S05_41921861 and S02_6088007 [21,22]. In soybean disease resistance research, CAPS markers have been developed for identifying resistance to soybean mosaic virus, with key loci identified through segregating populations from various cultivar crosses [23]. Although KASP and CAPS markers have been widely used in soybean genetic improvement, their application in resistance to R. solani remains limited. Moreover, despite reports of R. solani-induced diseases in various crops, GWAS-based efforts to unravel the genetic architecture of soybean RSRR are still scarce, leaving candidate genes and molecular markers largely unexplored. This study aimed to assess RSRR resistance in a diverse panel of soybean accessions, employ GWAS to identify resistance-associated SNPs and candidate genes, and develop CAPS and KASP markers linked to key loci, thereby providing effective molecular tools to support resistance breeding in soybean.
2. Materials and Methods
2.1. Plant Materials
The experimental materials consisted of 310 soybean (Glycine max) germplasm accessions with diverse geographic origins, primarily from China, supplemented by foreign accessions introduced from Brazil, Germany, Korea, France, the United States, and Italy. The soybean germplasm used in this study was obtained from the Soybean Research Institute of Northeast Agricultural University (NEAU), Harbin, China. All experiments were carried out under controlled environmental conditions in the greenhouse facilities of the institute from August to October 2023. Soybean seeds were grown under a 12 h light/12 h dark cycle, with daytime temperature set at 25 °C and nighttime temperature at 20 °C. Relative humidity was maintained at 85%. Temperature and humidity were regularly monitored and controlled to ensure consistent environmental conditions across all replicates.
2.2. Preparation of Rhizoctonia solani Inoculum
The R. solani isolate employed in this study, designated RS23 (AG-4), was originally recovered from symptomatic soybean roots collected in Harbin, Heilongjiang Province, China. Taxonomic identification was performed based on a combination of morphological traits and molecular diagnostic techniques, including DNA sequencing of the internal transcribed spacer (ITS) region, followed by sequence comparison. The isolate, obtained from the Soybean Research Institute, has been preserved on PDA at 4 °C in darkness to maintain viability for long-term storage.
For inoculum preparation, the R. solani was incubated on PDA medium at 25 °C under dark conditions for a period of 7 days. In parallel, sorghum seeds were washed, immersed in distilled water, transferred into 250 mL Erlenmeyer flasks, and subsequently sterilized through autoclaving. Sterile sorghum seeds were inoculated with mycelial disks excised from PDA cultures and incubated under dark conditions for 14 days. To promote even fungal colonization, the flasks were agitated once daily throughout the incubation period.
The fungus-infested sorghum substrate was pulverized and uniformly incorporated into sterilized vermiculite at a 1:50 volume ratio to prepare the final inoculum mixture. The prepared inoculated substrate was transferred into 250 mL seedling containers to serve as an infested matrix for R. solani inoculation of soybean seeds. Each container was initially planted with six soybean seeds. After germination, five healthy and evenly developed seedlings were selected and maintained per box for downstream inoculation assays. To evaluate phenotypic responses, each soybean accession was arranged in a completely randomized design, and the experiment was independently repeated three times.
2.3. Disease Assessment and Data Analysis
The phenotypic evaluation criteria for soybean germplasm inoculated with RSRR followed the method described by Xue et al. [24]. Phenotypic evaluation was performed 10 days after inoculation by scoring root rot severity on a scale of 0 to 7 (Table 1). After disease scoring, the disease severity index (DSI) was calculated using Formula (1). Based on the DSI values, resistance levels were categorized as follows: DSI = 0 indicating immunity, 0 < DSI ≤ 10 for high resistance (HR), 10 < DSI ≤ 20 for moderate resistance (MR), 20 < DSI ≤ 30 for moderately susceptible (MS), 30 < DSI ≤ 60 for susceptible (S), and 60 < DSI ≤ 100 for highly susceptible (HS). In each replicate, 15 soybean seedlings per variety were evaluated, and the experiment was repeated three times.
Table 1.
Disease severity rating scale for root rot symptoms used for DSI calculation.
2.4. DNA Sequencing and Genotyping
Genomic DNA was extracted from the root tissues of 310 soybean accessions using the CTAB method [25]. Total DNA concentration and purity were assessed using a Nano-400A ultramicro nucleic acid analyzer (AllSheng, Hangzhou, China). Samples with an OD260/280 ratio of 1.8–2.0 were considered suitable for genotyping. Genomic DNA was sequenced using paired-end sequencing (150 bp read length) on the Illumina HiSeq 4000 platform (Illumina, San Diego, CA, USA), with an average depth of 30×. The Williams 82 soybean reference genome (Wm82.a2.v1) [26] was used as the reference genome for the GATK analysis. The resulting sequence data were aligned to the reference genome using BWA version 0.7.17 [27]. SNPs and indels were identified using the GATK version 4.2.0 [28]. Concordant sites identified by both GATK and VCFtools were retained [29]. SNPs with a quality score below 30 were excluded. SNPs with a minor allele frequency (MAF) lower than 5% and a missing data rate higher than 10% were filtered. 738,561 high-quality SNP loci were used in GWAS. These SNPs cover 20 soybean chromosomes (Supplementary Table S1).
2.5. Population Structure and LD Analysis
Population structure among the 310 soybean accessions was evaluated via principal component analysis (PCA) using the GAPIT v3.0 software package [30]. Linkage disequilibrium (LD) was analyzed using SNP markers filtered with a MAF threshold of at least 5% and a missing data rate below 10%. Genotype imputation was not conducted prior to LD analysis in order to avoid potential bias introduced by imputed data. Pairwise LD between SNPs was estimated as the squared correlation coefficient (r2) using TASSEL version 5.0 [31].
2.6. Genome-Wide Association Study
GWAS were conducted using both the GLM and the MLM to improve the robustness of association results [32]. All analyses were performed using the GAPIT 3.0 package implemented in R version 4.4.1 and RStudio version 2024.04.1 [30]. A significance threshold of −log10 (p) ≥ 4.0 was applied to identify SNPs significantly associated with RSRR [33]. As RSRR resistance is a quantitative trait likely controlled by multiple minor-effect loci, a significance threshold of −log10 (p) ≥ 4.0 was applied to ensure sufficient power for detecting biologically relevant associations while minimizing the risk of Type II errors from overly conservative corrections [34,35]. Significant SNPs were first identified separately using both models, and only those consistently detected as significant in both GLM and MLM were retained as robust loci. The overlapping SNPs were used for candidate gene identification.
2.7. Identification and Expression Analysis of Candidate Genes
Candidate genes were identified and annotated within a 200 kb genomic region (100 kb upstream and downstream) surrounding each significant SNP that was commonly detected by both the GLM and MLM, based on the soybean reference genome Wm82.a2.v1 [26]. The genomic features of these candidate genes were further analyzed, including exon regions and upstream regulatory sequences. To validate the phenotypic relevance of these loci, genotype–phenotype association analysis was performed by comparing DSI values across different genotypes using a t-test.
Based on the DSI values following R. solani inoculation in soybean accessions, HN62 (DSI = 9.09, HR) and CN4 (DSI = 53.85, S) were selected for RT-qPCR validation of candidate genes. Soybean seeds were germinated in sterile vermiculite at 25 °C for 4 days. Subsequently, the seedlings were inoculated with R. solani. Taproot tissues were collected 72 h post-inoculation for further experimental analyses. Sterilized sorghum grains were ground and thoroughly mixed with autoclaved vermiculite to prepare the growth substrate for soybean seedlings, which served as the control treatment. Total RNA was extracted from soybean roots using TRIzol reagent (Invitrogen, Carlsbad, CA, USA), as described by Chomczynski and Sacchi [36]. The SuperScript™ IV First-Strand Synthesis System (Thermo Fisher Scientific, Waltham, MA, USA) was used to synthesize cDNA from RNA. RT-qPCR analysis was carried out using a one-step RT-PCR kit supplied by Toyobo (Osaka, Japan). Primers were designed using Primer-BLAST (NCBI) to ensure specificity and amplification efficiency, and the sequences are listed in Supplementary Table S2. The 2−ΔΔCt method was used to calculate relative gene expression, with actin as the internal reference gene. Each sample included three biological replicates and three technical replicates.
2.8. Establishment of CAPS and KASP Molecular Assays
Genomic sequences of Glyma.03G166300, Glyma.03G168100, and Glyma.13G212300 were obtained from the Phytozome database (Available online: https://phytozome-next.jgi.doe.gov, accessed on 20 November 2024). Two SNP loci, S3_38086892 and S3_38247290, previously identified as significantly associated with the trait of interest, were selected as targets for molecular marker development. The 2× CTAB method was employed to isolate genomic DNA from a set of 20 soybean accessions, comprising ten RSRR-resistant and ten RSRR-sensitive lines [25]. CAPS primers flanking the SNP site were designed using Primer Premier version 5.0 under default parameter settings (Supplementary Table S2). The restriction enzymes TaqI and HindIII were used to digest purified DNA fragments from each variety. Polymorphic fragments were then separated on a 2% agarose gel by electrophoresis.
For KASP marker development, allele-specific primers targeting the SNP locus S13_32595026-C/T, which shows a significant association with RSRR, were designed using the Primer-BLAST tool available on the NCBI platform (Available online: https://www.ncbi.nlm.nih.gov/, accessed on 20 November 2024). The KASP assay utilized two allele-specific forward primers (F1 and F2), each incorporating a unique fluorescent tail: 6-carboxyfluorescein (FAM) for F1 and hexachloro-6-carboxyfluorescein (HEX) for F2. A common reverse primer (R) was also included to complete the reaction. Primer sequences and related marker information are listed in Supplementary Table S2. Following genomic DNA extraction, KASP genotyping was performed on an ABI 7500 real-time PCR system using the KASP V4.0 2×Master mix (LGC, Teddington, UK), following the manufacturer’s protocol.
3. Results
3.1. Evaluation of Soybean Germplasm for Resistance to Rhizoctonia solani
To assess the resistance spectrum against RSRR in the soybean association panel, a comprehensive phenotypic evaluation was performed. Based on DSI scores, a wide range of resistance levels was observed among the 310 accessions (Supplementary Table S3), with values ranging from 7.56 to 69.23 and an average of 29.27. The frequency distribution of DSI values was continuous and unimodal, consistent with the characteristics of a quantitative trait (Figure 1). Following RSRR inoculation, most accessions were classified as susceptible (46.13%), followed by moderately susceptible (30.97%). Only 2.26% were highly resistant, and no immune accessions were identified. Notably, several accessions were classified as highly resistant (DSI < 10), including the Russian germplasm Cohata, MK100, and Vilana, as well as the Chinese accessions HeiNong 62, Longdou 1, and Hefeng 71. ANOVA revealed significant differences in DSI values across the resistance categories (p < 0.05), highlighting the considerable variation in resistance levels among the soybean accessions. These results underscore the high pathogenicity of RSRR in soybean and reveal substantial variation in resistance across the evaluated germplasm, providing a solid foundation for further genetic analysis.
Figure 1.
DSI assessed in 310 soybean germplasms subjected to RSRR.
3.2. GWAS for RSRR Resistance Loci in Soybean
To elucidate the genetic basis of RSRR resistance in soybean, we used genome-wide SNP data from 310 soybean accessions for analysis. The panel exhibited high genetic diversity and weak population structure, with an average LD decay distance of 203 kb (Supplementary Figure S1). Based on this foundation, GWAS were conducted using DSI values and resequencing data. Both the GLM and MLM approaches were employed.
Based on the GLM, 197 SNPs associated with resistance to soybean root rot caused by R. solani were identified and distributed across all chromosomes except 10, 12, and 20. Of these, chromosome 3 contained the largest number of resistance-associated SNPs (71), followed by chromosome 18 (Figure 2A, Supplementary Table S4). The MLM identified 48 significant SNP loci associated with RSRR resistance, distributed across chromosomes 3, 6, 8, 9, 12, 13, 15, 16, 17, 18, and 20. Chromosome 3 again harbored the greatest number of significant SNPs (13), while chromosomes 9, 12, and 15 each contained a single associated SNP (Figure 2B, Supplementary Table S5).
Figure 2.
Manhattan plots from GWAS of RSRR resistance in soybean. (A) GLM results. (B) MLM results. Each color represents SNPs located on different chromosomes of soybean. The red dots above the dashed line correspond to SNPs that are significantly associated with RSRR.
Importantly, 21 SNP loci were consistently identified by both the GLM and MLM methods, primarily located on chromosomes 3, 13, 15, 16, 17, and 18. Among these, chromosome 3 harbored the highest number of overlapping SNPs, with 10 detected by both models. Additionally, chromosome 16 harbored 4 overlapping SNPs, chromosome 17 contained 3, chromosome 18 had 2, and chromosomes 13 and 15 each hosted 1 overlapping SNP (Supplementary Table S5). To explore potential functional genes, we examined regions spanning 100 kb upstream and downstream of each significant SNP. Based on gene annotation, a total of 116 candidate genes were screened as putatively involved in R. solani resistance (Supplementary Table S6). Functional annotation indicated that the candidate genes were predominantly associated with pathogen recognition and signaling, secondary metabolic and detoxification pathways, cell wall modification, and ROS-mediated redox regulation, which are commonly implicated in plant defense responses.
3.3. Identification of RSRR-Associated SNPs and Functional Allelic Variants in Candidate Genes
To investigate the functional association between the candidate genes and soybean resistance to RSRR, we conducted a genotype-phenotype association analysis based on whole-genome resequencing data from 310 soybean accessions and their DSI following RSRR inoculation. Six candidate genes were used in this study. We identified 34 SNPs within the candidate genes that were significantly associated with resistance to RSRR (Supplementary Table S7). Box plots were generated to compare DSI values among soybean accessions carrying different alleles, and the corresponding allelic effects are presented in Table 2.
Table 2.
Allelic effects of candidate SNPs on soybean resistance to RSRR.
Soybean accessions carrying the A allele at SNP S3_38086892, which is located upstream of the candidate gene Glyma.03G166300, exhibited a significantly higher average DSI compared to those carrying the G allele (Figure 3A). Similarly, soybean accessions carrying the A allele at S3_38247290, located within the exonic region of Glyma.03G168100, also had higher average DSI values compared with accessions carrying the G allele (Figure 3C). In contrast, soybean accessions carrying the A allele at S3_38198254, located upstream of Glyma.03G167600, had significantly lower mean DSI values compared with accessions carrying the G allele (Figure 3B).
Figure 3.
Allelic variation among accessions correlates with RSRR resistance. (A) S3_38086892-A/G; (B) S3_38198254-A/G; (C) S3_38247290-A/G; (D) S13_32584347-G/T; (E) S13_32595026-C/T; (F) S13_32624653-C/A. Statistical significance was determined by t-test. p < 0.05 (*), p < 0.01 (**).
On chromosome 13, at the S13_32584347 site upstream of Glyma.13G212100, the average DSI of soybean germplasm carrying the T allele was significantly lower than that of soybean germplasm carrying the G allele (Figure 3D). Soybean accessions carrying the C allele at SNP S13_32595026, located upstream of Glyma.13G212300, exhibited a significantly higher mean DSI compared to those carrying the T allele (Figure 3E). Soybean accessions carrying the A allele at SNP S13_32624653, located upstream of Glyma.13G212700, exhibited a significantly lower mean DSI compared to those carrying the C allele (Figure 3F).
3.4. Response of Candidate Genes to RSRR Inoculation at the Transcript Level
To further identify candidate genes, we analyzed the transcript levels of six candidate genes in different RSRR-resistant genotypes. The resistant genotype HN62 and the susceptible genotype CN4 were inoculated with R. solani, and root samples were collected from both inoculated and control plants 72 h post-inoculation. Control plants were not inoculated with R. solani. The relative expression levels of the candidate genes were analyzed using RT-qPCR. Following inoculation with R. solani, the relative expression levels of Glyma.03G166300, Glyma.03G168100, and Glyma.13G212300 were significantly higher in the resistant genotype HN62 compared to the susceptible genotype CN4. Additionally, Glyma.13G212700 also exhibited significantly elevated expression in HN62 relative to CN4. In contrast, the expression of Glyma.03G167600 and Glyma.13G212100 was not significantly different between the two genotypes (Figure 4).
Figure 4.
Relative expression levels of candidate genes in the RSRR-resistant soybean genotype HN62 and the RSRR-susceptible genotype CN4 following R. solani inoculation. Values represent means ± SEs (n = 3). Statistical significance was determined by t-test. p < 0.05 (*), p < 0.01 (**).
3.5. Development of CAPS Markers Based on SNP Variants for Rapid Genotyping of RSRR Resistance
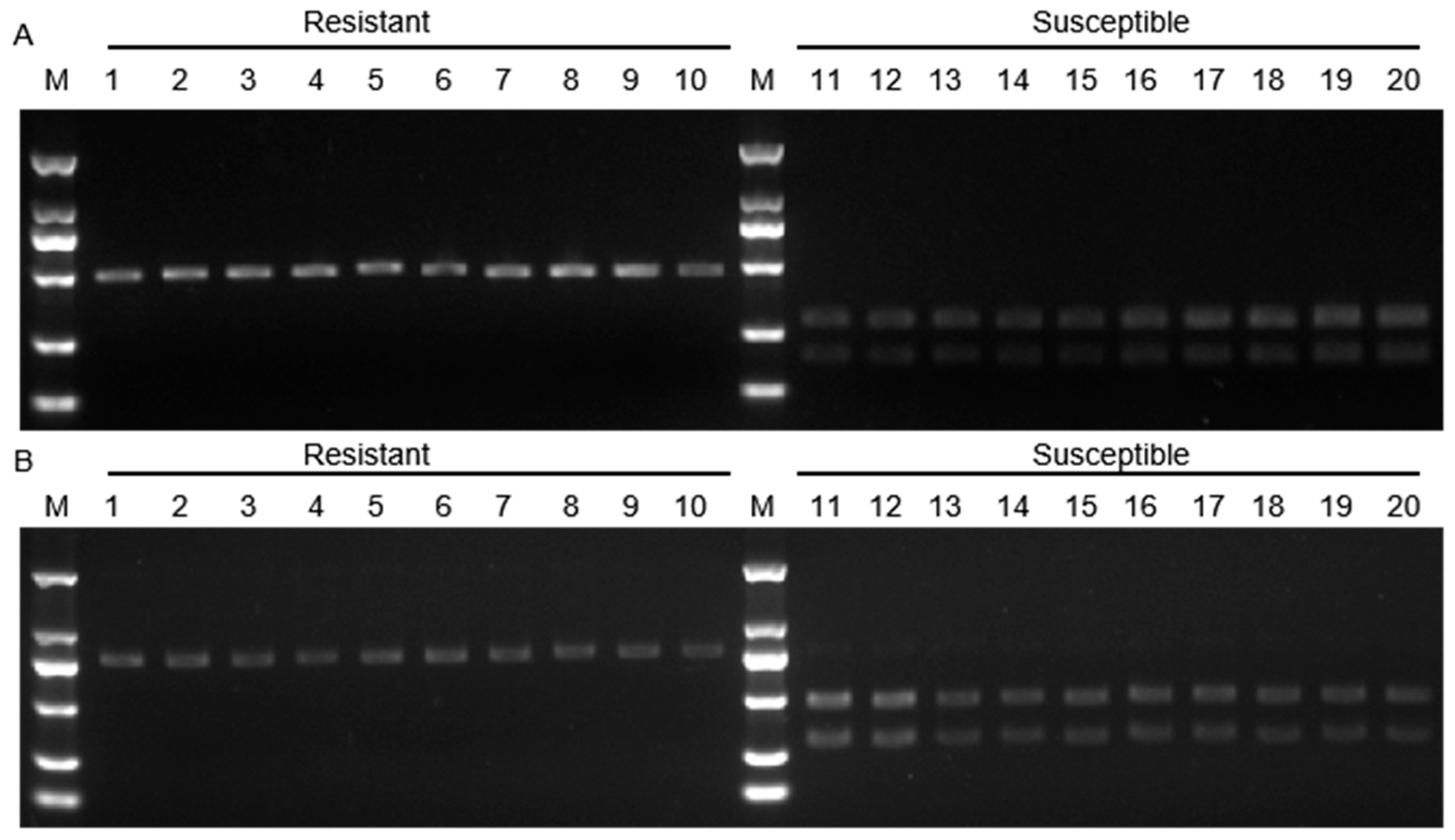
CAPS markers play a crucial role in accelerating crop breeding and serve as an effective technique for detecting and identifying SNP variations. It provides a reliable method for genetic analysis, contributing to the enhancement of crop varieties. Amplify the target DNA fragment according to SNP sites S3_38086892 and S3_38247290, which were subsequently digested with restriction enzymes to enable rapid differentiation of RSRR-resistant genotypes. To further confirm the accuracy of the developed CAPS marker SNP locations, 20 extreme soybean germplasm accessions with RSRR resistance were selected, including 10 resistant and 10 susceptible varieties (Supplementary Figure S2).
The S3_38086892-CAPS1 marker was developed to distinguish between the A and G alleles by TaqI restriction enzyme digestion. The TaqI enzyme recognizes and cleaves the TCG(A) sequence, whereas the TCG(G) sequence remains intact and is not cleaved. TaqI digestion resulted in two fragments of 322 bp and 194 bp, which were indicative of the homozygous AA genotype present in the ten susceptible germplasm accessions. In contrast, the intact 516 bp fragment revealed the homozygous GG genotype in the ten resistant soybean accessions (Figure 5A). The A and G alleles of S3_38247290-CAPS2 were differentiated by digestion with the HindIII restriction enzyme. HindIII recognizes and cleaves the A(A)GCTT sequence but does not cleave sequences carrying the G allele. Therefore, after HindIII digestion, the 462 bp and 301 bp fragments obtained corresponded to the A allele carried in the susceptible germplasm, while the intact fragment of 763 bp indicated the G allele carried in the resistant germplasm (Figure 5B). Digestion of susceptible germplasm with TaqI and HindIII produced the expected banding pattern, whereas the resistant germplasm showed no enzymatic cleavage, with the specific fragment remaining uncut. The development of these CAPS markers provides a reliable tool for distinguishing resistant and susceptible soybean genotypes for RSRR resistance.
Figure 5.
CAPS assay for identifying SNP genotypes linked to RSRR resistance. (A) PCR-amplified DNA fragments and TaqI digestion of S3_38086892-CAPS1. (B) PCR-amplified DNA fragments and HindIII digestion of S3_38247290-CAPS2. M represents the DL2000 marker; lanes 1–10 show resistant samples, while lanes 11–20 display susceptible samples.
3.6. KASP Marker Development for Efficient Genotyping of RSRR Resistance in Soybean
The KASP marker was developed to target the S13_32595026-C/T site in the upstream region of Glyma.13G212300. The results of this study demonstrated a significant association between this SNP and the DSI of soybean RSRR. Notable differences in DSI were observed among soybean accessions with different genotypes. Specifically, accessions with the homozygous CC genotype (blue points) exhibited higher DSI values, whereas those with the TT genotype (red points) showed significantly lower DSI values. Similarly, genotype–phenotype association analysis demonstrated that soybean accessions carrying the T allele at the S13_32595026 locus exhibited significantly lower DSI values than those carrying the C allele. This KASP marker enabled accurate SNP genotyping, as evidenced by the consistent clustering patterns among different genotypes (Figure 6). The development of KASP molecular markers provides a practical tool for genotype screening, which helps to breed disease-resistant soybean varieties more efficiently.
Figure 6.
KASP genotyping of 310 soybean germplasm accessions at the S13_32595026-C/T locus. Each dot represents a single soybean accession. Blue and red dots indicate accessions carrying the CC and TT alleles, respectively.
4. Discussion
Soybean root rot caused by R. solani represents a persistent constraint to production, largely due to the pathogen’s ability to survive in soil and the lack of effective control measures. Through genome-wide association analysis of 310 diverse accessions, we identified multiple loci and candidate genes linked to resistance. These results provide novel insights into the genetic architecture of RSRR resistance and highlight valuable molecular targets for marker-assisted selection in soybean improvement.
We combined GLM and MLM to perform GWAS, and 21 SNPs were found simultaneously. The RSRR-associated SNPs were mapped to chromosomes 3, 13, 15, 16, 17, and 18, with a predominant concentration on chromosome 3. Chen et al. [5] also performed a GWAS for RSRR resistance in spring soybean and identified significant loci on chromosomes 2 and 18. Similarly, we identified two SNP loci on chromosome 18, S18_38726918 and S18_39940786, that were significantly associated with RSRR resistance. Moreover, our study revealed several new loci significantly associated with R. solani resistance, located on chromosomes 3, 13, 15, 16, and 17. This discrepancy may result from differences in germplasm composition, evaluation criteria, or pathogen strains used in the respective studies. These loci, not previously identified in earlier R. solani resistance GWAS studies in soybean, significantly enhance our understanding of the genetic underpinnings of R. solani resistance. The discovery of these novel loci, combined with the high-quality SNP data derived from a large soybean germplasm panel, offers valuable insights that advance the potential for breeding R. solani-resistant soybean cultivars. To identify candidate genes, we considered a 200 kb range around the significant SNP sites. Combining functional annotation and gene association analysis, six candidate genes were identified, including Glyma.03G166300, Glyma.03G167600, Glyma.03G168100, Glyma.13G212100, Glyma.13G212300, and Glyma.13G212700. Polymorphic SNP loci, representing different allele variants, were identified in the upstream and exon regions of these genes. Gene-phenotype association analysis showed that DSI varied significantly between breeds carrying different allelic variants. These candidate genes are involved in multiple disease resistance pathways. MAPK cascades play an important role in plant growth and development, especially in plant disease resistance [37]. FLS2, a receptor-like kinase containing leucine-rich repeats, perceives bacterial flagellin and initiates MAPK signaling pathways that lead to the activation of plant immune defenses [38]. Hao et al. (2023) found in their study on Phakopsora pachyrhizi resistance that FLS2 (Glyma.03G166300) was upregulated in resistant materials [39]. In this study, Glyma.03G166300 responded to R. solani, and its relative expression level was significantly different between the resistant and susceptible genotypes. This suggests that this gene not only regulates resistance to Phakopsora pachyrhizi, but may also play a role in resistance to R. solani. Glyma.03G167600 was annotated as subtilisin-like protease SSD1 by the Phytozome database. The SDD1 gene has been reported to be associated with stomatal regulation in various plant studies. Overexpression of maize SDD1 can enhance its drought resistance by reducing stomatal density [40]. Overexpression of the wild-type tomato SDD1-like gene reduced stomatal density in Arabidopsis and cultivated tomato while enhancing the ability to avoid dehydration [41]. These reports indicate that SDD1 not only functions in plant stress resistance, but may also play an important role in plant disease resistance. Glyma.03G167600 expression was significantly induced by R. solani in both the resistant cultivar HN62 and the susceptible cultivar CN4, indicating its involvement in the basal response to RSRR. Although Glyma.03G167600 was upregulated in both materials after inoculation, the difference between the two genotype materials did not reach statistical significance, suggesting that it may be involved in the response process, but its role needs further verification. The ABCG subfamily is unique to fungi and plants [42]. In soybean, ABC transporters have been associated with aluminum detoxification [43], and GmABCG5 (Glyma.03G168100) was shown to enhance tolerance to iron deficiency by regulating iron homeostasis, promoting growth, and strengthening antioxidant capacity [44].These processes are integral to plant defense, since effective pathogen resistance depends on maintaining ion balance, efficient detoxification, and stable redox homeostasis. Accordingly, Glyma.03G168100, annotated as a drug resistance transporter-like ABC protein, responded to R. solani, indicating a potential role in RSRR resistance through related mechanisms. Similarly, the candidate gene Glyma.13G212300 discovered in this study was annotated by Phytozome as a calcofluor white high-sensitivity protein. Although research on this gene in plants is limited, some studies have been conducted in other organisms. As reported in a study of Metarhizium acridum, two Calcofluor white high-sensitivity proteins, MaCwh1 and MaCwh43, are involved in maintaining cell wall integrity and stress resistance [45]. Therefore, Glyma.13G212300 may play a similar role in regulating soybean cell wall integrity. The candidate gene Glyma.13G212700 has been linked to drought resistance, and its expression shows a strong correlation with GmNTF2B-1 in soybean roots [46]. Because abiotic and biotic stress responses often rely on overlapping signaling pathways, the observed differential expression between resistant and susceptible genotypes in this study supports a role for this gene in RSRR resistance. These findings lay the groundwork for further elucidation of the molecular mechanisms underlying RSRR resistance in soybean.
Molecular markers have gained increasing attention in plant research recently, primarily due to their ability to effectively shorten breeding cycles and rapidly identify disease-resistant plant types [47]. CAPS markers are widely used in plant research. They mainly use specific restriction endonucleases to digest PCR products to distinguish allelic variations [48]. In barley research, the powdery mildew resistance-associated CAPS marker PMC_75 was developed through QTL-seq analysis [49]. Similarly, in pepper research, the CAPS marker helped distinguish between resistant and susceptible genotypes of Phytophthora capsici [50]. Therefore, the application of CAPS markers in soybean has been reported many times, including stress tolerance and disease resistance [23,51,52]. In this study, we developed two CAPS markers, S3_38086892-CAPS1 and S3_38247290-CAPS2, which can effectively distinguish soybean varieties with resistance to RSRR. The molecular markers developed in this study enable differentiation between resistant and susceptible genotypes, enhancing the precision of breeding for RSRR-resistant soybean varieties. We have also developed KASP molecular markers, which can be used as powerful tools in genetic research and breeding programs. The application of KASP markers in soybean quality traits, disease resistance, and stress resistance has been reported many times, including resistance to reniform nematode, salt tolerance, root rot, and shade tolerance [22,51,53,54]. In this study, we developed the KASP molecular marker for soybean RSRR resistance, mainly based on the S13_32595026 locus in the promoter region of the Glyma.13G212300. This marker facilitates the precise genotyping of resistant soybean varieties and provides new evidence for the potential mechanism of RSRR resistance. The CAPS and KASP molecular markers developed in this study could be widely used in the future to identify disease resistance in various soybean varieties. These markers provide practical tools to facilitate the efficient selection of resistant cultivars, thereby enhancing breeding precision and serving as a foundation for subsequent research on RSRR resistance.
Despite the insights gained, this study has several limitations. Greenhouse inoculation provides a consistent and reproducible system for evaluating root rot resistance and has been shown to correlate well with field performance [55,56]. Nonetheless, reliance on a single R. solani isolate under controlled conditions likely reflects only a subset of pathogen diversity and environmental influences. Therefore, while greenhouse assays represent a robust approach for preliminary screening and genetic analysis, broader validation across multiple isolates and field environments is required to confirm their applicability. Although the 310 accessions captured substantial genetic diversity, the sample size may still limit the power to reliably detect loci with minor effects. The LD decay of 203 kb provides sufficient resolution for GWAS in this panel, supporting the detection of resistance-associated loci. Seven soybean germplasm lines with high resistance to RSRR were genotyped using six resistance-associated SNP markers. Supplementary Table S8 shows that the number of favorable alleles varied among lines. Cohata and Vilana carried two favorable alleles, whereas Heinong 62 and Longdou 1 carried five. The lack of a clear linear trend with DSI is consistent with the quantitative nature of RSRR resistance. As this study focused on single-SNP associations, future work in larger populations using haplotype-based approaches may provide a more comprehensive evaluation of resistance prediction. Collectively, these findings deepen the understanding of RSRR resistance and provide a foundation for advancing soybean genetic improvement.
5. Conclusions
In this study, we assessed the resistance of 310 soybean germplasm accessions to RSRR and found a broad spectrum of responses, with 46.13% identified as susceptible, whereas only 2.26% exhibited high resistance. GWAS analysis was also performed in conjunction with resequencing data. Twenty-one SNP loci significantly associated with RSRR resistance were identified by both the GLM and MLM, mainly distributed on chromosomes 3, 13, 15, 16, 17, and 18. Based on genotype–phenotype association analysis, six candidate genes were identified, with Glyma.03G166300, Glyma.03G168100, Glyma.13G212300, and Glyma.13G212700 showing markedly different expression between resistant and susceptible genotypes after inoculation. We developed two CAPS markers from SNPs S3_38086892 and S3_38247290 that effectively distinguish RSRR-resistant and RSRR-susceptible soybean accessions. In addition, we developed a KASP marker based on SNP S13_32595026, which enables efficient genotyping. These markers can be incorporated into breeding programs for MAS, facilitating the development of RSRR-resistant varieties. Future multi-environment testing of these markers will be crucial for evaluating their stability and consistency across different growing conditions, thereby advancing the development and breeding of RSRR-resistant varieties.
Supplementary Materials
The following supporting information can be downloaded at: https://www.mdpi.com/article/10.3390/agronomy15092144/s1, Figure S1: SNP distribution and mapping genetic data of populations; Figure S2: Sequence alignment of candidate genes; Table S1: Summary of the polymorphic markers on the 20 chromosomes of Glycine max; Table S2: Primers used for RT-qPCR, CAPS, and KASP assays in this study; Table S3: Phenotypic Analysis of RSRR Resistance in 310 Soybean Germplasm; Table S4: Significant SNPs associated with RSRR DSI identified by GLM analysis; Table S5: Significant SNPs associated with RSRR DSI identified by MLM analysis; Table S6: Genes within 200 kb of peak SNPs associated with soybean RSRR resistance; Table S7: SNP variants in GWAS-identified candidate genes; Table S8: Distribution of multiple resistance-associated allelic variants in RSRR-resistant soybean germplasm.
Author Contributions
Conceptualization, X.Z. and Y.W.; methodology, X.Z.; investigation, Y.W., X.M., J.H., Z.F. and J.X.; data curation, Y.W., H.Z. and J.X.; formal analysis, Y.W. and W.T.; writing—original draft preparation, Y.W.; writing—review and editing, Y.L. and X.Z.; visualization, Y.W. and Y.Z.; supervision, X.Z. and H.L.; project administration, Y.W. and X.Z.; funding acquisition, Y.W. and X.Z. All authors have read and agreed to the published version of the manuscript.
Funding
This research was funded by the National Natural Science Foundation of China (32301926, U22A20473 and 32472196), Heilongjiang Natural Science Foundation (LH2023C003), the Youth Leading Talent Project of the Ministry of Science and Technology in China (2015RA228), the National Ten-Thousand Talents Program, The national project (CARS-04-PS07), the Young leading talents of Northeast Agricultural University (NEAU2023QNLJ-003), the Young Talents Project of Northeast Agricultural University (22QC02). The funding bodies had no role in study design, data collection and analysis, decision to publish, or preparation of the manuscript.
Data Availability Statement
Data are available in the manuscript and in the Supplementary Materials.
Conflicts of Interest
The authors declare no conflicts of interest.
References
- Ajayi-Oyetunde, O.; Bradley, C. Rhizoctonia solani: Taxonomy, population biology and management of rhizoctonia seedling disease of soybean. Plant Pathol. 2018, 67, 3–17. [Google Scholar] [CrossRef]
- Abbas, A.; Mubeen, M.; Sohail, M.A.; Solanki, M.K.; Hussain, B.; Nosheen, S.; Kashyap, B.K.; Zhou, L.; Fang, X. Root rot a silent alfalfa killer in China: Distribution, fungal, and oomycete pathogens, impact of climatic factors and its management. Front. Microbiol. 2022, 13, 961794. [Google Scholar] [CrossRef] [PubMed]
- Drizou, F.; Graham, N.S.; Bruce, T.J.; Ray, R.V. Development of high-throughput methods to screen disease caused by Rhizoctonia solani AG 2-1 in oilseed rape. Plant Methods 2017, 13, 45. [Google Scholar] [CrossRef]
- Chang, K.-F.; Hwang, S.-F.; Ahmed, H.U.; Strelkov, S.; Harding, M.; Conner, R.L.; McLaren, D.; Gossen, B.; Turnbull, G.D. Disease reaction to Rhizoctonia solani and yield losses in soybean. Can. J. Plant Sci. 2017, 98, 115–124. [Google Scholar] [CrossRef]
- Chen, X.; Peng, L.; Ren, H.; Wang, Y.; Wang, Y. Genome-wide association study on resistance of soybean to Rhizoctonia solani root rot in Northeast China. Physiol. Mol. Plant Pathol. 2025, 139, 102792. [Google Scholar] [CrossRef]
- Chela Fenille, R.; Luiz de Souza, N.; Eurya Kuramae, E. Characterization of Rhizoctonia solani associated with soybean in Brazil. Eur. J. Plant Pathol. 2002, 108, 783–792. [Google Scholar] [CrossRef]
- Spurlock, T.N.; Rothrock, C.S.; Monfort, W.S.; Griffin, T.W. The distribution and colonization of soybean by Rhizoctonia solani AG11 in fields rotated with rice. Soil Biol. Biochem. 2016, 94, 29–36. [Google Scholar] [CrossRef]
- Ajayi-Oyetunde, O.O.; Bradley, C.A. Identification and characterization of Rhizoctonia species associated with soybean seedling disease. Plant Dis. 2017, 101, 520–533. [Google Scholar] [CrossRef]
- Zhang, C.; Yu, S.; Tian, H.; Wang, Z.; Yu, B.; Ma, L.; Nan, Z.; Fang, X. Varieties with a high level of resistance provide an opportunity to manage root rot caused by Rhizoctonia solani in alfalfa. Eur. J. Plant Pathol. 2021, 160, 983–989. [Google Scholar] [CrossRef]
- Heyman, F.; Blair, J.; Persson, L.; Wikström, M. Root rot of pea and faba bean in southern Sweden caused by Phytophthora pisi sp. nov. Plant Dis. 2013, 97, 461–471. [Google Scholar] [CrossRef]
- Guerrero-González, M.; Rodríguez-Kessler, M.; Rodríguez-Guerra, R.; González-Chavira, M.; Simpson, J.; Sanchez, F.; Jiménez-Bremont, J. Differential expression of Phaseolus vulgaris genes induced during the interaction with Rhizoctonia solani. Plant Cell Rep. 2011, 30, 1465–1473. [Google Scholar] [CrossRef]
- Thiessen, L.D.; Woodward, J.E. Diseases of peanut caused by soilborne pathogens in the Southwestern United States. Int. Sch. Res. Not. 2012, 2012, 517905. [Google Scholar] [CrossRef]
- Woodhall, J.; Lees, A.; Edwards, S.; Jenkinson, P. Characterization of Rhizoctonia solani from potato in Great Britain. Plant Pathol. 2007, 56, 286–295. [Google Scholar] [CrossRef]
- Koenning, S.R.; Wrather, J.A. Suppression of soybean yield potential in the continental United States by plant diseases from 2006 to 2009. Plant Health Prog. 2010, 11, 5. [Google Scholar] [CrossRef]
- Abd-Elmagid, W.; Aly, M.M.; El-Sharkawy, R.M. Control of peanut root and pod rots diseases using certain bioagents. J. Phytopathol. Pest Manag. 2020, 7, 79–90. [Google Scholar]
- Zhao, X.; Bao, D.; Wang, W.; Zhang, C.; Jing, Y.; Jiang, H.; Qiu, L.; Li, W.; Han, Y. Loci and candidate gene identification for soybean resistance to Phytophthora root rot race 1 in combination with association and linkage mapping. Mol. Breed. 2020, 40, 100. [Google Scholar] [CrossRef]
- Lin, F.; Wani, S.H.; Collins, P.J.; Wen, Z.; Li, W.; Zhang, N.; McCoy, A.G.; Bi, Y.; Tan, R.; Zhang, S. QTL mapping and GWAS for identification of loci conferring partial resistance to Pythium sylvaticum in soybean (Glycine max (L.) Merr.). Mol. Breed. 2020, 40, 54. [Google Scholar] [CrossRef]
- Sang, Y.; Liu, X.; Yuan, C.; Yao, T.; Li, Y.; Wang, D.; Zhao, H.; Wang, Y. Genome-wide association study on resistance of cultivated soybean to Fusarium oxysporum root rot in Northeast China. BMC Plant Biol. 2023, 23, 625. [Google Scholar] [CrossRef]
- Surbhi, K.; Singh, K.P.; Singh, N.K.; Aravind, T. Assessment of genetic diversity among soybean genotypes differing in response to aerial blight (Rhizoctonia solani Kuhn) using SSR markers. J. Phytopathol. 2021, 169, 37–44. [Google Scholar] [CrossRef]
- Zhao, G.; Ablett, G.; Anderson, T.; Rajcan, I.; Schaafsma, A. Inheritance and genetic mapping of resistance to Rhizoctonia root and hypocotyl rot in soybean. Crop Sci. 2005, 45, 1441–1447. [Google Scholar] [CrossRef]
- Jia, Q.; Zhou, M.; Xiong, Y.; Wang, J.; Xu, D.; Zhang, H.; Liu, X.; Zhang, W.; Wang, Q.; Sun, X. Development of KASP markers assisted with soybean drought tolerance in the germination stage based on GWAS. Front. Plant Sci. 2024, 15, 1352379. [Google Scholar] [CrossRef]
- Wang, J.; Zhou, M.; Zhang, H.; Liu, X.; Zhang, W.; Wang, Q.; Jia, Q.; Xu, D.; Chen, H.; Su, C. A genome-wide association analysis for salt tolerance during the soybean germination stage and development of KASP markers. Front. Plant Sci. 2024, 15, 1352465. [Google Scholar] [CrossRef]
- Li, Y.; Liu, X.; Deng, W.; Liu, J.; Fang, Y.; Liu, Y.; Ma, T.; Zhang, Y.; Xue, Y.; Tang, X. Fine mapping the soybean mosaic virus resistance gene in soybean cultivar Heinong 84 and development of CAPS markers for rapid identification. Viruses 2022, 14, 2533. [Google Scholar] [CrossRef]
- Xue, A.; Cober, E.; Morrison, M.; Voldeng, H.; Ma, B. Effect of seed treatments on emergence, yield, and root rot severity of soybean under Rhizoctonia solani inoculated field conditions in Ontario. Can. J. Plant Sci. 2007, 87, 167–174. [Google Scholar] [CrossRef]
- Allen, G.C.; Flores-Vergara, M.; Krasynanski, S.; Kumar, S.; Thompson, W. A modified protocol for rapid DNA isolation from plant tissues using cetyltrimethylammonium bromide. Nat. Protoc. 2006, 1, 2320–2325. [Google Scholar] [CrossRef]
- Schmutz, J.; Cannon, S.B.; Schlueter, J.; Ma, J.; Mitros, T.; Nelson, W.; Hyten, D.L.; Song, Q.; Thelen, J.J.; Cheng, J. Genome sequence of the palaeopolyploid soybean. Nature 2010, 463, 178–183. [Google Scholar] [CrossRef]
- Li, H.; Durbin, R. Fast and accurate short read alignment with Burrows–Wheeler transform. Bioinformatics 2009, 25, 1754–1760. [Google Scholar] [CrossRef] [PubMed]
- McKenna, A.; Hanna, M.; Banks, E.; Sivachenko, A.; Cibulskis, K.; Kernytsky, A.; Garimella, K.; Altshuler, D.; Gabriel, S.; Daly, M. The Genome Analysis Toolkit: A MapReduce framework for analyzing next-generation DNA sequencing data. Genome Res. 2010, 20, 1297–1303. [Google Scholar] [CrossRef] [PubMed]
- Danecek, P.; Auton, A.; Abecasis, G.; Albers, C.A.; Banks, E.; DePristo, M.A.; Handsaker, R.E.; Lunter, G.; Marth, G.T.; Sherry, S.T. The variant call format and VCFtools. Bioinformatics 2011, 27, 2156–2158. [Google Scholar] [CrossRef]
- Wang, J.; Zhang, Z. GAPIT version 3: Boosting power and accuracy for genomic association and prediction. Genom. Proteom. Bioinform. 2021, 19, 629–640. [Google Scholar] [CrossRef] [PubMed]
- Bradbury, P.J.; Zhang, Z.; Kroon, D.E.; Casstevens, T.M.; Ramdoss, Y.; Buckler, E.S. TASSEL: Software for association mapping of complex traits in diverse samples. Bioinformatics 2007, 23, 2633–2635. [Google Scholar] [CrossRef]
- Yu, J.; Pressoir, G.; Briggs, W.H.; Vroh Bi, I.; Yamasaki, M.; Doebley, J.F.; McMullen, M.D.; Gaut, B.S.; Nielsen, D.M.; Holland, J.B. A unified mixed-model method for association mapping that accounts for multiple levels of relatedness. Nat. Genet. 2006, 38, 203–208. [Google Scholar] [CrossRef] [PubMed]
- Yu, Z.; Chang, F.; Lv, W.; Sharmin, R.A.; Wang, Z.; Kong, J.; Bhat, J.A.; Zhao, T. Identification of QTN and candidate gene for seed-flooding tolerance in soybean [Glycine max (L.) Merr.] using genome-wide association study (GWAS). Genes 2019, 10, 957. [Google Scholar] [CrossRef] [PubMed]
- Kaler, A.S.; Purcell, L.C. Estimation of a significance threshold for genome-wide association studies. BMC Genom. 2019, 20, 618. [Google Scholar] [CrossRef]
- Brzyski, D.; Peterson, C.B.; Sobczyk, P.; Candès, E.J.; Bogdan, M.; Sabatti, C. Controlling the rate of GWAS false discoveries. Genetics 2017, 205, 61–75. [Google Scholar] [CrossRef] [PubMed]
- Chomczynski, P.; Sacchi, N. Single-step method of RNA isolation by acid guanidinium thiocyanate-phenol-chloroform extraction. Anal. Biochem. 1987, 162, 156–159. [Google Scholar] [CrossRef]
- Thulasi Devendrakumar, K.; Li, X.; Zhang, Y. MAP kinase signalling: Interplays between plant PAMP-and effector-triggered immunity. Cell. Mol. Life Sci. 2018, 75, 2981–2989. [Google Scholar] [CrossRef]
- Asai, T.; Tena, G.; Plotnikova, J.; Willmann, M.R.; Chiu, W.-L.; Gomez-Gomez, L.; Boller, T.; Ausubel, F.M.; Sheen, J. MAP kinase signalling cascade in Arabidopsis innate immunity. Nature 2002, 415, 977–983. [Google Scholar] [CrossRef]
- Hao, Q.; Yang, H.; Chen, S.; Qu, Y.; Zhang, C.; Chen, L.; Cao, D.; Yuan, S.; Guo, W.; Yang, Z. RNA-Seq and comparative transcriptomic analyses of Asian soybean rust resistant and susceptible soybean genotypes provide insights into identifying disease resistance genes. Int. J. Mol. Sci. 2023, 24, 13450. [Google Scholar] [CrossRef]
- Liu, Y.; Qin, L.; Han, L.; Xiang, Y.; Zhao, D. Overexpression of maize SDD1 (ZmSDD1) improves drought resistance in Zea mays L. by reducing stomatal density. Plant Cell Tissue Organ Cult. (PCTOC) 2015, 122, 147–159. [Google Scholar] [CrossRef]
- Morales-Navarro, S.; Pérez-Díaz, R.; Ortega, A.; De Marcos, A.; Mena, M.; Fenoll, C.; González-Villanueva, E.; Ruiz-Lara, S. Overexpression of a SDD1-like gene from wild tomato decreases stomatal density and enhances dehydration avoidance in Arabidopsis and cultivated tomato. Front. Plant Sci. 2018, 9, 940. [Google Scholar] [CrossRef] [PubMed]
- Aslam, M.M.; Waseem, M.; Zhang, Q.; Ke, W.; Zhang, J.; Xu, W. Identification of ABC transporter G subfamily in white lupin and functional characterization of L. albABGC29 in phosphorus use. BMC Genom. 2021, 22, 723. [Google Scholar] [CrossRef] [PubMed]
- Huang, J.; Li, X.; Chen, X.; Guo, Y.; Liang, W.; Wang, H. Genome-wide identification of soybean ABC transporters relate to aluminum toxicity. Int. J. Mol. Sci. 2021, 22, 6556. [Google Scholar] [CrossRef]
- Wang, Y.; Zhang, X.; Yan, Y.; Niu, T.; Zhang, M.; Fan, C.; Liang, W.; Shu, Y.; Guo, C.; Guo, D. GmABCG5, an ATP-binding cassette G transporter gene, is involved in the iron deficiency response in soybean. Front. Plant Sci. 2024, 14, 1289801. [Google Scholar] [CrossRef] [PubMed]
- Su, X.; Yan, X.; Chen, X.; Guo, M.; Xia, Y.; Cao, Y. Calcofluor white hypersensitive proteins contribute to stress tolerance and pathogenicity in entomopathogenic fungus, Metarhizium acridum. Pest Manag. Sci. 2021, 77, 1915–1924. [Google Scholar] [CrossRef]
- Chen, K.; Su, C.; Tang, W.; Zhou, Y.; Xu, Z.; Chen, J.; Li, H.; Chen, M.; Ma, Y. Nuclear transport factor GmNTF2B-1 enhances soybean drought tolerance by interacting with oxidoreductase GmOXR17 to reduce reactive oxygen species content. Plant J. 2021, 107, 740–759. [Google Scholar] [CrossRef]
- Collard, B.C.; Mackill, D.J. Marker-assisted selection: An approach for precision plant breeding in the twenty-first century. Philos. Trans. R. Soc. B Biol. Sci. 2008, 363, 557–572. [Google Scholar] [CrossRef]
- Kulkarni, K.P.; Appiah, R.K.; Reddy, U.K.; Melmaiee, K. Cleaved amplified polymorphic sequence markers in horticultural crops: Current status and future perspectives. Agronomy 2024, 14, 2598. [Google Scholar] [CrossRef]
- Park, J.-C.; Yoon, Y.-M.; Lee, C.-H.; Hur, O.-S.; Kim, S.-M. Development of cleaved amplified polymorphic sequence marker for powdery mildew resistance in Korean malting barley using QTL-seq. Front. Plant Sci. 2025, 16, 1596811. [Google Scholar] [CrossRef]
- Bongiorno, G.; Di Noia, A.; Ciancaleoni, S.; Marconi, G.; Cassibba, V.; Albertini, E. Development and application of a cleaved amplified polymorphic sequence marker (Phyto) linked to the Pc5. 1 locus conferring resistance to Phytophthora capsici in pepper (Capsicum annuum L.). Plants 2023, 12, 2757. [Google Scholar] [CrossRef]
- Wang, Y.; Han, J.; Meng, X.; Sun, M.; Qu, S.; Liu, Y.; Li, Y.; Zhan, Y.; Teng, W.; Li, H. Genome-Wide Association Study and Marker Development for Fusarium Oxysporum Root Rot Resistance in Soybean. Int. J. Mol. Sci. 2024, 25, 12573. [Google Scholar] [CrossRef]
- Jun, T.-H.; Mian, M.R.; Kang, S.-T.; Michel, A.P. Genetic mapping of the powdery mildew resistance gene in soybean PI 567301B. Theor. Appl. Genet. 2012, 125, 1159–1168. [Google Scholar] [CrossRef] [PubMed]
- Wilkes, J.E.; Fallen, B.; Saski, C.; Agudelo, P. Development of SNP molecular markers associated with resistance to reniform nematode in soybean using KASP genotyping. Euphytica 2023, 219, 27. [Google Scholar] [CrossRef]
- Jia, Q.; Hu, S.; Li, X.; Wei, L.; Wang, Q.; Zhang, W.; Zhang, H.; Liu, X.; Chen, X.; Wang, X. Identification of candidate genes and development of KASP markers for soybean shade-tolerance using GWAS. Front. Plant Sci. 2024, 15, 1479536. [Google Scholar] [CrossRef] [PubMed]
- Diaz, L.M.; Arredondo, V.; Ariza-Suarez, D.; Aparicio, J.; Buendia, H.F.; Cajiao, C.; Mosquera, G.; Beebe, S.E.; Mukankusi, C.M.; Raatz, B. Genetic analyses and genomic predictions of root rot resistance in common bean across trials and populations. Front. Plant Sci. 2021, 12, 629221. [Google Scholar] [CrossRef]
- Schneider, K.A.; Kelly, J.D. A greenhouse screening protocol for Fusarium root rot in bean. HortScience 2000, 35, 1095–1098. [Google Scholar] [CrossRef]
Disclaimer/Publisher’s Note: The statements, opinions and data contained in all publications are solely those of the individual author(s) and contributor(s) and not of MDPI and/or the editor(s). MDPI and/or the editor(s) disclaim responsibility for any injury to people or property resulting from any ideas, methods, instructions or products referred to in the content. |
© 2025 by the authors. Licensee MDPI, Basel, Switzerland. This article is an open access article distributed under the terms and conditions of the Creative Commons Attribution (CC BY) license (https://creativecommons.org/licenses/by/4.0/).





