Better 90 Minutes Late than Never: Differential Diagnosis on MRI Scanning in a Case of Hepatic Angiosarcoma
Abstract
1. Introduction
2. Detailed Case Description
2.1. Clinical Presentation
2.2. Standard MRI Liver Protocol
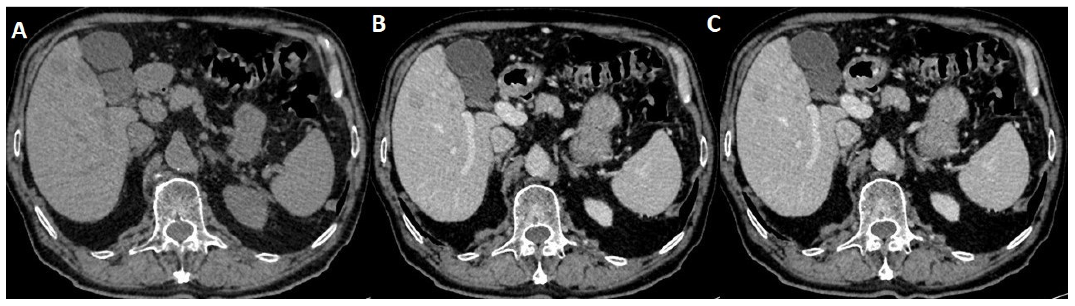
2.3. MRI Dynamic Three-Phasic Scanning
2.4. Delayed Multiphase Scanning
3. Discussion
4. Conclusions
Author Contributions
Funding
Institutional Review Board Statement
Informed Consent Statement
Data Availability Statement
Conflicts of Interest
References
- Averbukh, L.D.; Mavilia, M.G.; Einstein, M.M. Hepatic Angiosarcoma: A Challenging Diagnosis. Cureus 2018, 10, e3283. [Google Scholar] [CrossRef]
- Chaudhary, P.; Bhadana, U.; Singh, R.; Ahuja, A. Primary hepatic angiosarcoma. Eur. J. Surg. Oncol. 2015, 41, 1137–1143. [Google Scholar] [CrossRef] [PubMed]
- Gaballah, A.H.; Jensen, C.T.; Palmquist, S.; Pickhardt, P.J.; Duran, A.; Broering, G.; Elsayes, K.M. Angiosarcoma: Clinical and imaging features from head to toe. Br. J. Radiol. 2017, 90, 20170039. [Google Scholar] [CrossRef]
- Fedeli, U.; Girardi, P.; Mastrangelo, G. Occupational exposure to vinyl chloride and liver diseases. World J. Gastroenterol. 2019, 25, 4885–4891. [Google Scholar] [CrossRef] [PubMed]
- Li, D.-B.; Si, X.-Y.; Wan, T.; Zhou, Y.-M. A pooled analysis of treatment and prognosis of hepatic angiosarcoma in adults. Hepatobiliary Pancreat. Dis. Int. 2018, 17, 198–203. [Google Scholar] [CrossRef] [PubMed]
- Georgescu, D.; Iurciuc, M.; Ionita, I.; Georgescu, L.-A.; Muntean, M.; Lascu, A.; Ionita, M.; Lighezan, D. Portal vein thrombosis and gut microbiota: Understanding the burden. Rev. Chim. 2019, 70, 2181–2185. [Google Scholar] [CrossRef]
- Cruz-Ramón, V.; Chinchilla-López, P.; Ramírez-Pérez, O.; Aguilar-Olivos, N.E.; Alva-López, L.F.; Fajardo-Ordoñez, E.; Ponciano-Rodríguez, G.; Northup, P.G.; Intagliata, N.; Caldwell, S.H.; et al. Thrombosis of the Portal Venous System in Cirrhotic vs. Non-Cirrhotic Patients. Ann. Hepatol. 2018, 17, 476–481. [Google Scholar] [CrossRef] [PubMed]
- Chien, C.Y.; Hwang, C.C.; Yeh, C.N.; Chen, H.Y.; Wu, J.T.; Chan, S.C.; Lin, C.L.; Yen, C.L.; Wang, W.Y.; Chiang, K.C. Liver angiosarcoma, a rare liver malignancy, presented with intraabdominal bleeding due to rupture—A case report. World J. Surg. Oncol. 2012, 10, 23. [Google Scholar] [CrossRef] [PubMed]
- Fields, B.K.; Matcuk, G.R.; Lai, D.; Lee, A.; Dwabe, S.; Hanlon, C.; Demirjian, N.L.; Politano, S. Primary hepatic angiosarcoma: A case-based discussion of unique presentations and extrahepatic manifestations. Curr. Probl. Cancer Case Rep. 2020, 1, 100012. [Google Scholar] [CrossRef]
- Minh, M.T.; Mazzola, A.; Perdigao, F.; Charlotte, F.; Rousseau, G.; Conti, F. Primary hepatic angiosarcoma and liver transplantation: Radiological, surgical, histological findings and clinical outcome. Clin. Res. Hepatol. Gastroenterol. 2018, 42, 17–23. [Google Scholar] [CrossRef]
- Georgescu, D.; Lighezan, D.F.; Rosca, C.I.; Nistor, D.; Ancusa, O.E.; Suceava, I.; Iancu, M.A.; Kundnani, N.R. NASH/NAFLD-Related Hepatocellular Carcinoma: An Added Burden. Life 2024, 14, 25. [Google Scholar] [CrossRef] [PubMed]
- Park, Y.S.; Kim, J.H.; Kim, K.W.; Lee, I.S.; Yoon, H.K.; Ko, G.Y.; Sung, K.B. Primary hepatic angiosarcoma: Imaging findings and palliative treatment with transcatheter arterial chemoembolization or embolization. Clin. Radiol. 2009, 64, 779–785. [Google Scholar] [CrossRef] [PubMed]
- Chiu, O.; Frank, J.; Dow, C. Hepatic angiosarcoma: Detection with computed tomography. Australas. Radiol. 2005, 49, 163–165. [Google Scholar] [CrossRef] [PubMed]
- Koyama, T.; Fletcher, J.G.; Johnson, C.D.; Kuo, M.S.; Notohara, K.; Burgart, L.J. Primary Hepatic Angiosarcoma: Findings at CT and MR Imaging. Radiology 2002, 222, 667–673. [Google Scholar] [CrossRef] [PubMed]
- Okano, A.; Sonoyama, H.; Masano, Y.; Taniguchi, T.; Ohana, M.; Kusumi, F.; Nabeshima, M. The Natural History of a Hepatic Angiosarcoma that was Difficult to Differentiate from Cavernous Hemangioma. Intern. Med. 2012, 51, 2899–2904. [Google Scholar] [CrossRef] [PubMed][Green Version]
- Pickhardt, P.J.; Kitchin, D.; Lubner, M.G.; Ganeshan, D.M.; Bhalla, S.; Covey, A.M. Primary hepatic angiosarcoma: Multi-institutional comprehensive cancer centre review of multiphasic CT and MR imaging in 35 patients. Eur. Radiol. 2015, 25, 315–322. [Google Scholar] [CrossRef] [PubMed]
- Thapar, S.; Rastogi, A.; Ahuja, A.; Sarin, S. Angiosarcoma of the liver: Imaging of a rare salient entity. J. Radiol. Case Rep. 2014, 8, 24–32. [Google Scholar] [CrossRef] [PubMed]
- Yi, L.-L.; Zhang, J.-X.; Zhou, S.-G.; Wang, J.; Huang, Y.-Q.; Li, J.; Yu, X.; Wang, R.-N. CT and MRI studies of hepatic angiosarcoma. Clin. Radiol. 2019, 74, 406.e1–406.e8. [Google Scholar] [CrossRef] [PubMed]
- Zhang, Y.; Zhang, M.; Zhang, Y. Diffused primary hepatic angiosarcoma: A case description. Quant. Imaging Med. Surgery 2023, 13, 5398–5402. [Google Scholar] [CrossRef]
- Agostini, A.; Kircher, M.F.; Do, R.K.; Borgheresi, A.; Monti, S.; Giovagnoni, A.; Mannelli, L. Magnetic Resonanance Imaging of the Liver (Including Biliary Contrast Agents)-Part 2: Protocols for Liver Magnetic Resonanance Imaging and Characterization of Common Focal Liver Lesions. Semin. Roentgenol. 2016, 51, 317–333. [Google Scholar] [CrossRef]
- Bruegel, M.; Muenzel, D.; Waldt, S.; Specht, K.; Rummeny, E.J. Hepatic angiosarcoma: Cross-sectional imaging findings in seven patients with emphasis on dynamic contrast-enhanced and diffusion-weighted MRI. Abdom. Imaging 2013, 38, 745–754. [Google Scholar] [CrossRef] [PubMed]
- Flabouris, K.; McKeen, S.; Gomes, D.C.; Chaudhuri, D.; Russell, P. Hepatic angiosarcoma: Pitfalls in establishing a diagnosis. SAGE Open Med. Case Rep. 2021, 9. [Google Scholar] [CrossRef] [PubMed]
- Georgescu, D.; Ancusa, O.-E.; Azoulay, D.; Lascu, A.; Ionita, I.; Calamar-Popovici, D.; Ionita, M.; Rosca, C.I.; Brează, G.-M.; Reisz, D.; et al. Portal Vein Thrombosis in Patients with Liver Cirrhosis: What Went Wrong? Int. J. Gen. Med. 2023, 16, 3889–3906. [Google Scholar] [CrossRef] [PubMed]
- Francisco, F.A.; Araújo, A.L.; Oliveira Neto, J.A.; Parente, D.B. Hepatobiliary contrast agents: Differential diagnosis of focal hepatic lesions, pitfalls and other indications. Radiol. Bras. 2014, 47, 301–309. [Google Scholar] [CrossRef] [PubMed]
- Heo, S.H.; Jeong, Y.Y.; Shin, S.S.; Chung, T.W.; Kang, H.K. Solitary Small Hepatic Angiosarcoma: Initial and Follow-up Imaging Findings. Korean J. Radiol. 2007, 8, 180–183. [Google Scholar] [CrossRef] [PubMed][Green Version]
- Wang, J.; Sun, L.T. Primary hepatic angiosarcoma: A case report. World J. Clin. Cases 2022, 10, 11590–11596. [Google Scholar] [CrossRef] [PubMed]
- Wu, X.; Yu, X.; Gan, Q.; Wang, B.; Lin, Z.; Shi, Y.; Huang, Z. Primary hepatic angiosarcoma with noncirrhotic portal hypertension: A case report. Front. Oncol. 2023, 13, 1037820. [Google Scholar] [CrossRef] [PubMed]
- Hui, C.L.; Mautone, M. Patterns of enhancement in the hepatobiliary phase of gadoxetic acid-enhanced MRI. Br. J. Radiol. 2020, 93, 20190989. [Google Scholar] [CrossRef]
- Li, Y.; Chen, J.; Weng, S.; Yan, C.; Ye, R.; Zhu, Y.; Wen, L.; Cao, D.; Hong, J. Hepatobiliary phase hypointensity on gadobenate dimeglumine-enhanced magnetic resonance imaging may improve the diagnosis of hepatocellular carcinoma. Ann. Transl. Med. 2020, 9, 55. [Google Scholar] [CrossRef]
- Schooler, G.R.; NCHull Lee, E.Y. Hepatobiliary MRI Contrast Agents: Pattern Recognition Approach to Pediatric Focal Hepatic Lesions. Am. J. Roentgenol. 2020, 214, 976–986. [Google Scholar] [CrossRef]
- Ramakrishnan, N.; Mokhtari, R.; Charville, G.W.; Bui, N.; Ganjoo, K. Management Strategies and Outcomes in Primary Liver Angiosarcoma. Am. J. Clin. Oncol. 2023, 46, 439–444. [Google Scholar] [CrossRef] [PubMed]


| Author/s | N | LCE Scanning | Presumptive Imaging Diagnostic |
|---|---|---|---|
| Current Case Report | 1 | 10, 20, 90 min | PHA |
| Koyama T., et al. [14] | 5 | no | Hepatocellular carcinoma |
| Pickhardt P., et al. [16] | 7 | no | Cavernous hemangioma |
| Thapar S., et al. [17] | 1 | 120 min | PHA |
| Zhang Y., et al. [19] | 1 | no | Diffuse angiogenic tumor |
| Flabouris K., et al. [22] | 1 | no | Peliosis hepatis or Hepatic epithelioid hemangioendothelioma |
| Heo SH, et al. [25] | 1 | no | Hemangioma |
| Wang J., Sun LT [26] | 1 | no | Malignant vascular tumor/features of infectious lesions |
| Xuwei W., et al. [27] | 1 | no | Multifocal hepatic hemangioma |
Disclaimer/Publisher’s Note: The statements, opinions and data contained in all publications are solely those of the individual author(s) and contributor(s) and not of MDPI and/or the editor(s). MDPI and/or the editor(s) disclaim responsibility for any injury to people or property resulting from any ideas, methods, instructions or products referred to in the content. |
© 2024 by the authors. Licensee MDPI, Basel, Switzerland. This article is an open access article distributed under the terms and conditions of the Creative Commons Attribution (CC BY) license (https://creativecommons.org/licenses/by/4.0/).
Share and Cite
Albu, T.A.; Iacob, N. Better 90 Minutes Late than Never: Differential Diagnosis on MRI Scanning in a Case of Hepatic Angiosarcoma. Life 2024, 14, 823. https://doi.org/10.3390/life14070823
Albu TA, Iacob N. Better 90 Minutes Late than Never: Differential Diagnosis on MRI Scanning in a Case of Hepatic Angiosarcoma. Life. 2024; 14(7):823. https://doi.org/10.3390/life14070823
Chicago/Turabian StyleAlbu, Teodora Anca, and Nicoleta Iacob. 2024. "Better 90 Minutes Late than Never: Differential Diagnosis on MRI Scanning in a Case of Hepatic Angiosarcoma" Life 14, no. 7: 823. https://doi.org/10.3390/life14070823
APA StyleAlbu, T. A., & Iacob, N. (2024). Better 90 Minutes Late than Never: Differential Diagnosis on MRI Scanning in a Case of Hepatic Angiosarcoma. Life, 14(7), 823. https://doi.org/10.3390/life14070823
