Doppler and Spectral Ultrasound of Sacroiliac Joints in Pediatric Patients with Suspected Juvenile Spondyloarthritis
Abstract
1. Introduction
2. Methods
2.1. Study Sample
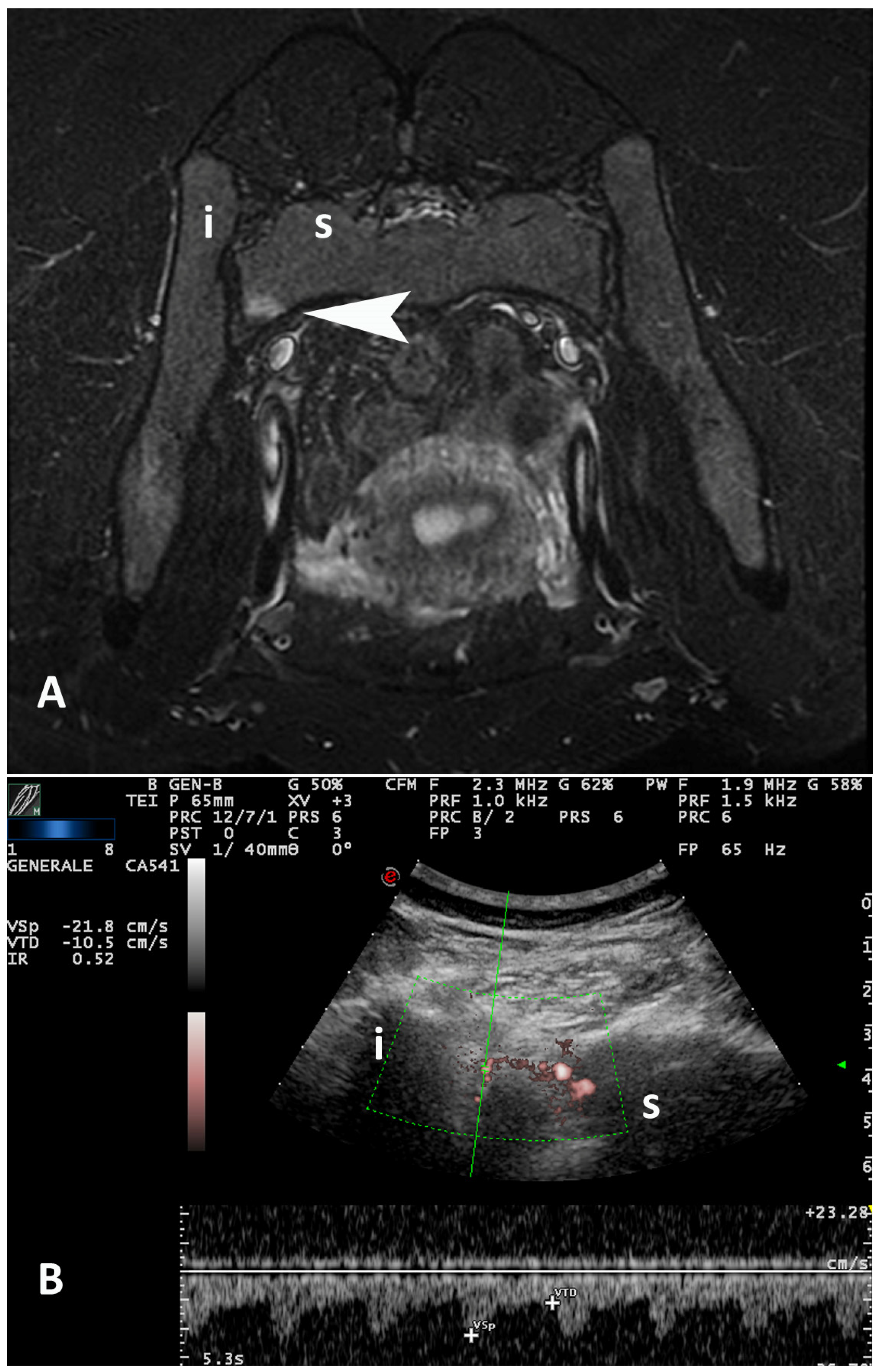
2.2. Procedures and Measurements
2.3. Statistical Analysis
3. Results
4. Discussion
Author Contributions
Funding
Institutional Review Board Statement
Informed Consent Statement
Data Availability Statement
Conflicts of Interest
References
- Petty, R.E.; Southwood, T.R.; Manners, P.; Baum, J.; Glass, D.N.; Goldenberg, J.; He, X.; Maldonado-Cocco, J.; Orozco-Alcala, J.; Prieur, A.M.; et al. International League of Associations for Rheumatology classification of juvenile idiopathic arthritis: Second revision, Edmonton, 2001. J. Rheumatol. 2004, 31, 390–392. [Google Scholar] [PubMed]
- Weiss, P.F.; Xiao, R.; Biko, D.M.; Chauvin, N.A. Assessment of sacroiliitis at diagnosis of juvenile spondyloarthritis by radiography, magnetic resonance imaging, and clinical examination. Arthritis Care Res. 2016, 68, 187–194. [Google Scholar] [CrossRef] [PubMed]
- Herregods, N.; Jans, L.; Chen, M.; Paschke, J.; De Buyser, S.L.; Renson, T.; Dehoorne, J.; Joos, R.; Lambert, R.; Jaremko, J.L. Normal subchondral high T2 signal on MRI mimicking sacroiliitis in children: Frequency, age distribution, and relationship to skeletal maturity. Eur Radiol. 2021, 31, 3498–3507. [Google Scholar] [CrossRef] [PubMed]
- Burdiles, A.; Babyn, P.S. Pediatric bone marrow MR imaging. Magn. Reson. Imaging Clin. N. Am. 2009, 17, 391–409. [Google Scholar] [CrossRef]
- Herregods, N.; Jaremko, J.L.; Baraliakos, X.; Dehoorne, J.; Leus, A.; Verstraete, K.; Jans, L. Limited role of gadolinium to detect active sacroiliitis on MRI in juvenile spondyloarthritis. Skeletal Radiol. 2015, 44, 1637–1646. [Google Scholar] [CrossRef]
- Herregods, N.; Dehoorne, J.; Van den Bosch, F.; Jaremko, J.L.; Van Vlaenderen, J.; Joos, R.; Baraliakos, X.; Varkas, G.; Verstraete, K.; Elewaut, D.; et al. ASAS definition for sacroiliitis on MRI in SpA: Applicable to children? Pediatr. Rheumatol. Online J. 2017, 15, 24. [Google Scholar] [CrossRef]
- Bandinelli, F.; Melchiorre, D.; Scazzariello, F.; Candelieri, A.; Conforti, D.; Matucci-Cerinic, M. Clinical and radiological evaluation of sacroiliac joints compared with ultrasound examination in early spondyloarthritis. Rheumatology 2013, 52, 1293–1297. [Google Scholar] [CrossRef]
- Arslan, H.; Sakarya, M.E.; Adak, B.; Unal, O.; Sayarlioglu, M. Duplex and color Doppler sonographic findings in active sacroiliitis. Am. J. Roentgenol. 1999, 173, 677–680. [Google Scholar] [CrossRef]
- Klauser, A.; Halpern, E.J.; Frauscher, F.; Gvozdic, D.; Duftner, C.; Springer, P.; Schirmer, M. Inflammatory low back pain: High negative predictive value of contrast-enhanced color Doppler ultrasound in the detection of inflamed sacroiliac joints. Arthritis Rheum. 2005, 53, 440–444. [Google Scholar] [CrossRef]
- Hu, Y.; Zhu, J.; Xue, Q.; Wang, N.; Hu, B. Scanning of the sacroiliac joint and entheses by color Doppler ultrasonography in patients with ankylosing spondylitis. J. Rheumatol. 2011, 38, 1651–1655. [Google Scholar] [CrossRef]
- Zhu, J.; Xing, C.; Jiang, Y.; Hu, Y.; Hu, B.; Wang, N. Evaluation of complex appearance in vascularity of sacroiliac joint in ankylosing spondylitis by color Doppler ultrasonography. Rheumatol. Int. 2012, 32, 69–72. [Google Scholar] [CrossRef] [PubMed]
- Mohammadi, A.; Ghasemi-rad, M.; Aghdashi, M.; Mladkova, N.; Baradaransafa, P. Evaluation of disease activity in ankylosing spondylitis; diagnostic value of color Doppler ultrasonography. Skeletal Radiol. 2013, 42, 219–224. [Google Scholar] [CrossRef] [PubMed]
- Hu, Z.; Zhu, J.; Liu, F.; Wang, N.; Xue, Q. Feasibility of US-CT image fusion to identify the sources of abnormal vascularization in posterior sacroiliac joints of ankylosing spondylitis patients. Sci. Rep. 2015, 5, 18356. [Google Scholar] [CrossRef] [PubMed]
- Rosa, J.E.; Ruta, S.; Bravo, M.; Pompermayer, L.; Marin, J.; Ferreyra-Garrot, L.; García-Mónaco, R.; Soriano, E.R. Value of color Doppler ultrasound assessment of sacroiliac joints in patients with inflammatory low back pain. J. Rheumatol. 2019, 46, 694–700. [Google Scholar] [CrossRef] [PubMed]
- Castillo-Gallego, C.; De Miguel, E.; García-Arias, M.; Plasencia, C.; Lojo-Oliveira, L.; Martín-Mola, E. Color Doppler and spectral Doppler ultrasound detection of active sacroiliitis in spondyloarthritis compared to physical examination as gold standard. Rheumatol. Int. 2017, 37, 2043–2047. [Google Scholar] [CrossRef] [PubMed]
- Ghosh, A.; Mondal, S.; Sinha, D.; Nag, A.; Chakraborty, S. Ultrasonography as a useful modality for documenting sacroiliitis in radiographically negative inflammatory back pain: A comparative evaluation with MRI. Rheumatology 2014, 53, 2030–2034. [Google Scholar] [CrossRef]
- Falsetti, P.; Conticini, E.; Mazzei, M.A.; Baldi, C.; Sota, J.; Bardelli, M.; Gentileschi, S.; D’Alessandro, R.; Al Khayyat, S.G.; Acciai, C.; et al. Power and spectral Doppler ultrasound in suspected active sacroiliitis: A comparison with magnetic resonance imaging as gold standard. Rheumatology 2021, 60, 1338–1345. [Google Scholar] [CrossRef]
- Gutierrez, M.; Pineda, C. Ultrasound in sacroiliitis: The picture is shaping up. Rheumatol. Int. 2017, 37, 1943–1945. [Google Scholar] [CrossRef]
- Gutierrez, M.; Rodriguez, S.; Soto-Fajardo, C.; Santos-Moreno, P.; Sandoval, H.; Bertolazzi, C.; Pineda, C. Ultrasound of sacroiliac joints in spondyloarthritis: A systematic review. Rheumatol. Int. 2018, 38, 1791–1805. [Google Scholar] [CrossRef]
- Hemke, R.; Herregods, N.; Jaremko, J.L.; Åström, G.; Avenarius, D.; Becce, F.; Bielecki, D.K.; Boesen, M.; Dalili, D.; Giraudo, C.; et al. Imaging assessment of children presenting with suspected or known juvenile idiopathic arthritis: ESSR-ESPR points to consider. Eur. Radiol. 2020, 30, 5237–5249. [Google Scholar] [CrossRef]
- Zanwar, A.; Phatak, S.; Aggarwal, A. Prospective validation of the Juvenile Spondyloarthritis Disease Activity Index in children with enthesitis-related arthritis. Rheumatology 2018, 57, 2167–2171. [Google Scholar] [CrossRef] [PubMed]
- Roth, J.; Ravagnani, V.; Backhaus, M.; Balint, P.; Bruns, A.; Bruyn, G.A.; Collado, P.; De la Cruz, L.; Guillaume-Czitrom, S.; Herlin, T.; et al. OMERACT Ultrasound Group. Preliminary Definitions for the Sonographic Features of Synovitis in Children. Arthritis Care Res. 2017, 69, 1217–1223. [Google Scholar] [CrossRef] [PubMed]
- Lanni, S.; Wood, M.; Ravelli, A.; Magni Manzoni, S.; Emery, P.; Wakefield, R.J. Towards a role of ultrasound in children with juvenile idiopathic arthritis. Rheumatology 2013, 52, 413–420. [Google Scholar] [CrossRef] [PubMed][Green Version]
- Patil, P.; Dasgupta, B. Role of diagnostic ultrasound in the assessment of musculoskeletal diseases. Ther. Adv. Musculoskelet. Dis. 2012, 4, 341–355. [Google Scholar] [CrossRef] [PubMed]
- Milutinovic, S.; Radunovic, G.; Veljkovic, K.; Zlatanovic, M.; Damjanov, N. Construct validity and sensitivity to change of Belgrade Ultrasound Enthesitis Score in patients with spondyloarthritis: A pilot study. Rheumatol Int. 2018, 38, 383–391. [Google Scholar] [CrossRef]
- Falsetti, P.; Conticini, E.; Baldi, C.; Bardelli, M.; Cantarini, L.; Frediani, B. Diffuse peripheral enthesitis in metabolic syndrome: A retrospective clinical and power Doppler ultrasound study. Reumatol. Clin. 2021, in press. [CrossRef]
- Maksymowych, W.P.; Lambert, R.G.; Østergaard, M.; Pedersen, S.J.; Machado, P.M.; Weber, U.; Bennett, A.N.; Braun, J.; Burgos-Vargas, R.; de Hooge, M.; et al. MRI lesions in the sacroiliac joints of patients with spondyloarthritis: An update of definitions and validation by the ASAS MRI working group. Ann. Rheum. Dis. 2019, 78, 1550–1558. [Google Scholar] [CrossRef]
- Badr, S.; Jacques, T.; Lefebvre, G.; Boulil, Y.; Abou Diwan, R.; Cotten, A. Main diagnostic pitfalls in reading the sacroiliac joints on MRI. Diagnostics 2021, 11, 2001. [Google Scholar] [CrossRef]
- Chan, S.; Li, P.H.; Lee, K.H.; Tsang, H.; Lau, C.S.; Chung, H.Y. Diagnostic utility of whole spine and thoracic spine MRI corner inflammatory lesions in axial spondyloarthritis. Ther. Adv. Musculoskelet. Dis. 2020, 12. [Google Scholar] [CrossRef]
- Windschall, D.; Collado, P.; Vojinovic, J.; Magni-Manzoni, S.; Balint, P.; Bruyn, G.; Hernandez-Diaz, C.; Nieto, J.C.; Ravagnani, V.; Tzaribachev, N.; et al. Outcome Measures in Rheumatology Pediatric Ultrasound Subtask Force. Age-related vascularization and ossification of joints in children: An international pilot study to test multiobserver ultrasound reliability. Arthritis Care Res. 2020, 72, 498–506. [Google Scholar] [CrossRef]
- Le Goff, B.; Berthelot, J.M.; Maugars, Y. Ultrasound assessment of the posterior sacroiliac ligaments. Clin. Exp. Rheumatol. 2011, 29, 1014–1017. [Google Scholar] [PubMed]
- Todorov, P.T.; Mekenjan, L.; Nestorova, R.; Batalov, A. An ultrasound study of the long posterior sacroiliac ligament in healthy volunteers and in patients with noninflammatory sacroiliac joint pain. Med. Ultrason. 2022, 24, 44–51. [Google Scholar] [CrossRef] [PubMed]



| Patients Characteristics | Overall Population | Final jSpA Diagnosis | Not jSpA | Statistical Significance |
|---|---|---|---|---|
| Number of patients (female/male) | 20 (13/7) | 12 (8/4) | 8 (5/3) | n.s. |
| Age, in years (±SD) | 14.2 (±2.95) | 14.6 (±2.75) | 13.9 (±2.53) | n.s. |
| BMI percentile(±SD) | 67.6 (±26.8) | 74.3 (±24) | 54.2 (±29.7) | n.s. |
| ESR mm/h(±SD) | 23.8 (±22.9) | 28.9 (±25.2) | 11 (±8.08) | n.s. |
| CRP mg/dL (±SD) | 1.04 (±1.58) | 1.31 (±1.79) | 0.51 (±1.01) | n.s. |
| jSpADA (±SD) | 2.75 (±1.89) | 2.75 (±1.89) | n.a. | n.a. |
| -Patients with PDUS+ -SIJs with PDUS+ | 19 patients (95%) 30 SIJs (75%) | 12 patients (100%) 21 SIJs (87.5%) | 7 patients (87.5%) 9 SIJs (56.2%) | n.s. n.s. |
| SIJs PD grading (±SD) patient level | 1.20 (±0.523) | 1.42 (±0.515) | 0.875 (±0.354) | p = 0.012 * |
| SIJs PD grading (±SD) joint level | 0.912 (±0.668) | 1.13 (±0.612) | 0.563 (±0.512) | p = 0.003 ** |
| SIJs RI (±SD) patient level | 0.583 (±0.115) | 0.534 (±0.092) | 0.656 (±0.112) | p = 0.024 * |
| SIJs RI (±SD) joint level | 0.671 (±0.181) | 0.604 (±0.155) | 0.767 (±0.176) | p = 0.005 ** |
| MRI SIJs BME lesions | 12 patients (60%) 22 SIJs (55%) | 12 patients (100%) 22 SIJs (91.6%) | 0 0 | n.a. |
| MRI SIJs capsulitis/enthesitis | 6 patients (30%) 11 SIJs (27.5%) | 6 patients (50%) 11 SIJs (45.8%) | 0 0 | n.a. |
| MRI lumbar spine inflammatory involvement | 5 patients (25%) | 5 patients (41.6%) | 0 | n.a. |
| Patients with US enthesitis total amount of US enthesitis BUSES (mean) | 4 patients (20%) 8 1.8 | 3 (25%) 6 1.83 | 1 (12.5%) 2 1.75 | n.s. n.s. n.s. |
Publisher’s Note: MDPI stays neutral with regard to jurisdictional claims in published maps and institutional affiliations. |
© 2022 by the authors. Licensee MDPI, Basel, Switzerland. This article is an open access article distributed under the terms and conditions of the Creative Commons Attribution (CC BY) license (https://creativecommons.org/licenses/by/4.0/).
Share and Cite
Falsetti, P.; Conticini, E.; Gaggiano, C.; Baldi, C.; Tarsia, M.; Bardelli, M.; Gentileschi, S.; D’Alessandro, R.; Al Khayyat, S.G.; Cartocci, A.; et al. Doppler and Spectral Ultrasound of Sacroiliac Joints in Pediatric Patients with Suspected Juvenile Spondyloarthritis. Diagnostics 2022, 12, 992. https://doi.org/10.3390/diagnostics12040992
Falsetti P, Conticini E, Gaggiano C, Baldi C, Tarsia M, Bardelli M, Gentileschi S, D’Alessandro R, Al Khayyat SG, Cartocci A, et al. Doppler and Spectral Ultrasound of Sacroiliac Joints in Pediatric Patients with Suspected Juvenile Spondyloarthritis. Diagnostics. 2022; 12(4):992. https://doi.org/10.3390/diagnostics12040992
Chicago/Turabian StyleFalsetti, Paolo, Edoardo Conticini, Carla Gaggiano, Caterina Baldi, Maria Tarsia, Marco Bardelli, Stefano Gentileschi, Roberto D’Alessandro, Suhel Gabriele Al Khayyat, Alessandra Cartocci, and et al. 2022. "Doppler and Spectral Ultrasound of Sacroiliac Joints in Pediatric Patients with Suspected Juvenile Spondyloarthritis" Diagnostics 12, no. 4: 992. https://doi.org/10.3390/diagnostics12040992
APA StyleFalsetti, P., Conticini, E., Gaggiano, C., Baldi, C., Tarsia, M., Bardelli, M., Gentileschi, S., D’Alessandro, R., Al Khayyat, S. G., Cartocci, A., Fabiani, C., Cantarini, L., Mazzei, M. A., & Frediani, B. (2022). Doppler and Spectral Ultrasound of Sacroiliac Joints in Pediatric Patients with Suspected Juvenile Spondyloarthritis. Diagnostics, 12(4), 992. https://doi.org/10.3390/diagnostics12040992

