Image Quality and Diagnostic Performance of Accelerated 2D Hip MRI with Deep Learning Reconstruction Based on a Deep Iterative Hierarchical Network
Abstract
1. Introduction
2. Material and Methods
2.1. Study Design
2.2. Image Evaluation
2.3. Quantitative Analysis
2.4. Statistical Analysis
3. Results
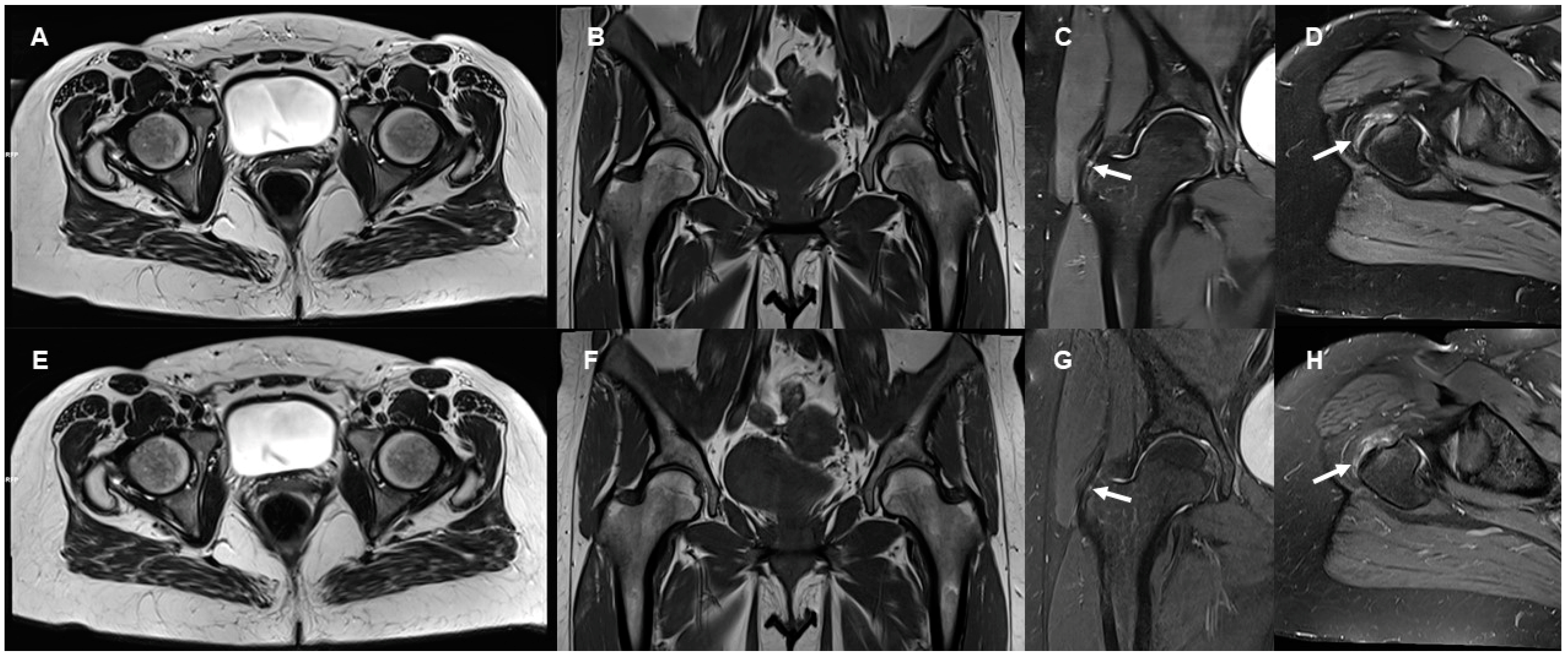
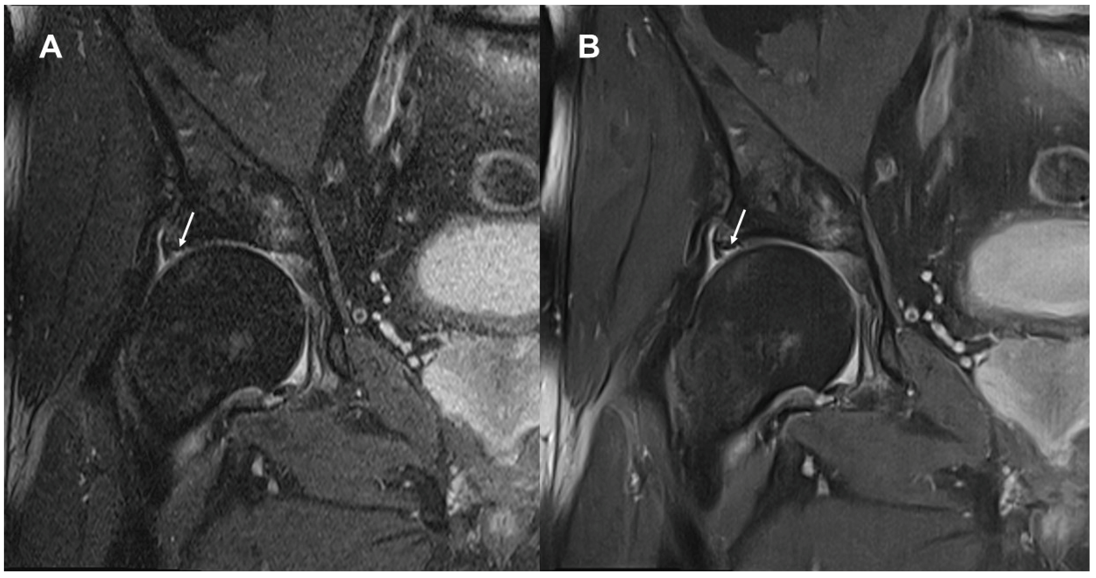
3.1. Image Quality
3.2. Delineation of Anatomic Structures and Internal Derangement
3.3. Quantitative Image Analysis
4. Discussion
Author Contributions
Funding
Institutional Review Board Statement
Informed Consent Statement
Data Availability Statement
Conflicts of Interest
Abbreviations
References
- Chamberlain, R. Hip Pain in Adults: Evaluation and Differential Diagnosis. Am. Fam. Physician 2021, 103, 81–89. [Google Scholar] [PubMed]
- Protokollempfehlungen der AG Bildgebende Verfahren des Bewegungsapparates (AG BVB) der Deutschen Rontgengesellschaft (DRG) zu Messsequenzen fur die Gelenk-MRT. Rofo 2018, 190, 186–190. [CrossRef] [PubMed][Green Version]
- Del Grande, F.; Guggenberger, R.; Fritz, J. Rapid Musculoskeletal MRI in 2021: Value and Optimized Use of Widely Accessible Techniques. AJR Am. J. Roentgenol. 2021, 216, 704–717. [Google Scholar] [CrossRef]
- Matcuk, G.R.; Gross, J.S.; Fields, B.K.K.; Cen, S. Compressed Sensing MR Imaging (CS-MRI) of the Knee: Assessment of Quality, Inter-reader Agreement, and Acquisition Time. Magn. Reson. Med. Sci. 2020, 19, 254–258. [Google Scholar] [CrossRef]
- Gersing, A.S.; Bodden, J.; Neumann, J.; Diefenbach, M.N.; Kronthaler, S.; Pfeiffer, D.; Knebel, C.; Baum, T.; Schwaiger, B.J.; Hock, A.; et al. Accelerating anatomical 2D turbo spin echo imaging of the ankle using compressed sensing. Eur. J. Radiol. 2019, 118, 277–284. [Google Scholar] [CrossRef] [PubMed]
- Lee, S.H.; Lee, Y.H.; Song, H.T.; Suh, J.S. Rapid acquisition of magnetic resonance imaging of the shoulder using three-dimensional fast spin echo sequence with compressed sensing. Magn. Reson. Imaging 2017, 42, 152–157. [Google Scholar] [CrossRef]
- Kijowski, R.; Rosas, H.; Samsonov, A.; King, K.; Peters, R.; Liu, F. Knee imaging: Rapid three-dimensional fast spin-echo using compressed sensing. J. Magn. Reson. Imaging 2017, 45, 1712–1722. [Google Scholar] [CrossRef]
- Altahawi, F.F.; Blount, K.J.; Morley, N.P.; Raithel, E.; Omar, I.M. Comparing an accelerated 3D fast spin-echo sequence (CS-SPACE) for knee 3-T magnetic resonance imaging with traditional 3D fast spin-echo (SPACE) and routine 2D sequences. Skelet. Radiol. 2017, 46, 7–15. [Google Scholar] [CrossRef]
- Fritz, J.; Raithel, E.; Thawait, G.K.; Gilson, W.; Papp, D.F. Six-Fold Acceleration of High-Spatial Resolution 3D SPACE MRI of the Knee Through Incoherent k-Space Undersampling and Iterative Reconstruction-First Experience. Investig. Radiol. 2016, 51, 400–409. [Google Scholar] [CrossRef]
- Schnaiter, J.W.; Roemer, F.; McKenna-Kuettner, A.; Patzak, H.J.; May, M.S.; Janka, R.; Uder, M.; Wuest, W. Diagnostic Accuracy of an MRI Protocol of the Knee Accelerated Through Parallel Imaging in Correlation to Arthroscopy. Rofo 2018, 190, 265–272. [Google Scholar] [CrossRef]
- Alaia, E.F.; Benedick, A.; Obuchowski, N.A.; Polster, J.M.; Beltran, L.S.; Schils, J.; Garwood, E.; Burke, C.J.; Chang, I.J.; Gyftopoulos, S.; et al. Comparison of a fast 5-min knee MRI protocol with a standard knee MRI protocol: A multi-institutional multi-reader study. Skelet. Radiol. 2018, 47, 107–116. [Google Scholar] [CrossRef] [PubMed]
- Subhas, N.; Benedick, A.; Obuchowski, N.A.; Polster, J.M.; Beltran, L.S.; Schils, J.; Ciavarra, G.A.; Gyftopoulos, S. Comparison of a Fast 5-Minute Shoulder MRI Protocol With a Standard Shoulder MRI Protocol: A Multiinstitutional Multireader Study. AJR Am. J. Roentgenol. 2017, 208, W146–W154. [Google Scholar] [CrossRef] [PubMed]
- Gao, F.; Wen, Z.; Dou, S.; Kan, X.; Wei, S.; Ge, Y. High-Resolution Simultaneous Multi-Slice Accelerated Turbo Spin-Echo Musculoskeletal Imaging: A Head-to-Head Comparison with Routine Turbo Spin-Echo Imaging. Front. Physiol. 2021, 12, 759888. [Google Scholar] [CrossRef]
- Li, X.; Peng, Z.; Sun, Y.; Cui, J. Is simultaneous multisection turbo spin echo ready for clinical MRI? A feasibility study on fast imaging of knee lesions. Clin. Radiol. 2020, 75, 238 e21–238 e30. [Google Scholar] [CrossRef] [PubMed]
- Haraikawa, M.; Suzuki, M.; Inoue, K.; Kozawa, E.; Tanaka, J.; Niitsu, M. Simultaneous multi-slice MR imaging of the hip at 3 T to reduce acquisition times and maintain image quality. BMC Musculoskelet. Disord. 2018, 19, 440. [Google Scholar] [CrossRef] [PubMed]
- Benali, S.; Johnston, P.R.; Gholipour, A.; Dugan, M.E.; Heberlein, K.; Bhat, H.; Bixby, S.D. Simultaneous multi-slice accelerated turbo spin echo of the knee in pediatric patients. Skelet. Radiol. 2018, 47, 821–831. [Google Scholar] [CrossRef] [PubMed]
- Longo, M.G.; Fagundes, J.; Huang, S.; Mehan, W.; Witzel, T.; Bhat, H.; Heberlein, K.; Rosen, B.R.; Rosenthal, D.; Gonzalez, R.G.; et al. Simultaneous Multislice-Based 5-Minute Lumbar Spine MRI Protocol: Initial Experience in a Clinical Setting. J. Neuroimaging 2017, 27, 442–446. [Google Scholar] [CrossRef]
- Kim, M.; Lee, S.M.; Park, C.; Lee, D.; Kim, K.S.; Jeong, H.S.; Kim, S.; Choi, M.H.; Nickel, D. Deep Learning-Enhanced Parallel Imaging and Simultaneous Multislice Acceleration Reconstruction in Knee MRI. Investig. Radiol. 2022, 57, 826–833. [Google Scholar] [CrossRef]
- Foreman, S.C.; Neumann, J.; Han, J.; Harrasser, N.; Weiss, K.; Peeters, J.M.; Karampinos, D.C.; Makowski, M.R.; Gersing, A.S.; Woertler, K. Deep learning-based acceleration of Compressed Sense MR imaging of the ankle. Eur. Radiol. 2022, 32, 8376–8385. [Google Scholar] [CrossRef]
- Almansour, H.; Herrmann, J.; Gassenmaier, S.; Afat, S.; Jacoby, J.; Koerzdoerfer, G.; Nickel, D.; Mostapha, M.; Nadar, M.; Othman, A.E. Deep Learning Reconstruction for Accelerated Spine MRI: Prospective Analysis of Interchangeability. Radiology 2022, 306, e212922. [Google Scholar] [CrossRef]
- Koch, K.M.; Sherafati, M.; Arpinar, V.E.; Bhave, S.; Ausman, R.; Nencka, A.S.; Lebel, R.M.; McKinnon, G.; Kaushik, S.S.; Vierck, D.; et al. Analysis and Evaluation of a Deep Learning Reconstruction Approach with Denoising for Orthopedic MRI. Radiol. Artif. Intell. 2021, 3, e200278. [Google Scholar] [CrossRef] [PubMed]
- Herrmann, J.; Koerzdoerfer, G.; Nickel, D.; Mostapha, M.; Nadar, M.; Gassenmaier, S.; Kuestner, T.; Othman, A.E. Feasibility and Implementation of a Deep Learning MR Reconstruction for TSE Sequences in Musculoskeletal Imaging. Diagnostics 2021, 11, 1484. [Google Scholar] [CrossRef] [PubMed]
- Subhas, N.; Li, H.; Yang, M.; Winalski, C.S.; Polster, J.; Obuchowski, N.; Mamoto, K.; Liu, R.; Zhang, C.; Huang, P.; et al. Diagnostic interchangeability of deep convolutional neural networks reconstructed knee MR images: Preliminary experience. Quant. Imaging Med. Surg. 2020, 10, 1748–1762. [Google Scholar] [CrossRef] [PubMed]
- Recht, M.P.; Zbontar, J.; Sodickson, D.K.; Knoll, F.; Yakubova, N.; Sriram, A.; Murrell, T.; Defazio, A.; Rabbat, M.; Rybak, L.; et al. Using Deep Learning to Accelerate Knee MRI at 3 T: Results of an Interchangeability Study. Am. J. Roentgenol. 2020, 215, 1421–1429. [Google Scholar] [CrossRef]
- Knoll, F.; Murrell, T.; Sriram, A.; Yakubova, N.; Zbontar, J.; Rabbat, M.; Defazio, A.; Muckley, M.J.; Sodickson, D.K.; Zitnick, C.L.; et al. Advancing machine learning for MR image reconstruction with an open competition: Overview of the 2019 fastMRI challenge. Magn. Reson. Med. 2020, 84, 3054–3070. [Google Scholar] [CrossRef]
- Mardani, M.; Gong, E.; Cheng, J.Y.; Vasanawala, S.S.; Zaharchuk, G.; Xing, L.; Pauly, J.M. Deep Generative Adversarial Neural Networks for Compressive Sensing MRI. IEEE Trans. Med. Imaging 2019, 38, 167–179. [Google Scholar] [CrossRef]
- Liu, F.; Samsonov, A.; Chen, L.; Kijowski, R.; Feng, L. SANTIS: Sampling-Augmented Neural neTwork with Incoherent Structure for MR image reconstruction. Magn. Reson. Med. 2019, 82, 1890–1904. [Google Scholar] [CrossRef]
- Hammernik, K.; Klatzer, T.; Kobler, E.; Recht, M.P.; Sodickson, D.K.; Pock, T.; Knoll, F. Learning a variational network for reconstruction of accelerated MRI data. Magn. Reson. Med. 2018, 79, 3055–3071. [Google Scholar] [CrossRef]
- Schlemper, J.; Caballero, J.; Hajnal, J.V.; Price, A.N.; Rueckert, D. A Deep Cascade of Convolutional Neural Networks for Dynamic MR Image Reconstruction. IEEE Trans. Med. Imaging 2018, 37, 491–503. [Google Scholar] [CrossRef]
- Knoll, F.; Hammernik, K.; Kobler, E.; Pock, T.; Recht, M.P.; Sodickson, D.K. Assessment of the generalization of learned image reconstruction and the potential for transfer learning. Magn. Reson. Med. 2019, 81, 116–128. [Google Scholar] [CrossRef]
- Fritz, J.; Guggenberger, R.; Del Grande, F. Rapid Musculoskeletal MRI in 2021: Clinical Application of Advanced Accelerated Techniques. AJR Am. J. Roentgenol. 2021, 216, 718–733. [Google Scholar] [CrossRef] [PubMed]
- Deshmane, A.; Gulani, V.; Griswold, M.A.; Seiberlich, N. Parallel MR imaging. J. Magn. Reson. Imaging 2012, 36, 55–72. [Google Scholar] [CrossRef] [PubMed]




| Characteristics | Patients |
|---|---|
| Total (male/female), n | 14 (7/7) |
| Age, mean ± SD (range), y | total: 46 ± 13 (23–66) |
| Tesla, n | 3 Tesla: 6 1.5 Tesla: 8 |
| Sequence | FS | Area | Orientation | Contrast Agent | TA | Slices | Slice Thickness | FOV | TE | TR | FA | AV | |
|---|---|---|---|---|---|---|---|---|---|---|---|---|---|
| 3 T | T1 TSES | pelvis | coronal | native | 3:57 | 30 | 3 | 247 × 360 | 21 | 522 | 140 | 2 | |
| T1 TSEDL | pelvis | coronal | native | 1:48 | 30 | 3 | 247 × 360 | 25 | 480 | 160 | 1 | ||
| T2 TSES | pelvis | axial | native | 4:52 | 30 | 3 | 360 × 360 | 124 | 6230 | 140 | 3 | ||
| T2 TSEDL | pelvis | axial | native | 2:38 | 30 | 3 | 360 × 360 | 124 | 3800 | 140 | 2 | ||
| PD TSES | FS | hip | coronal | native | 1:52 | 28 | 3 | 200 × 200 | 42 | 3410 | 150 | 1 | |
| PD TSEDL | FS | hip | coronal | native | 0:56 | 28 | 3 | 200 × 200 | 41 | 3300 | 160 | 1 | |
| PD TSES | FS | hip | axial oblique | native | 2:51 | 30 | 3 | 200 × 200 | 42 | 3650 | 150 | 1 | |
| PD TSEDL | FS | hip | axial oblique | native | 1:00 | 30 | 3 | 200 × 200 | 41 | 3540 | 160 | 1 | |
| T2 TIRM | FS | pelvis | coronal | native | 3:22 | 30 | 3 | 247 × 360 | 74 | 5650 | 150 | 2 | |
| 3D T2 DESS | FS | hip | sagittal | native | 6:16 | 80 | 1 | 170 × 170 | 9 | 25 | 25 | 2 | |
| 1.5 T | T1 TSES | FS | pelvis | coronal | native | 3:48 | 28 | 3 | 226 × 329 | 21 | 492 | 150 | 2 |
| T1 TSEDL | FS | pelvis | coronal | native | 0:52 | 28 | 3 | 226 × 329 | 18 | 619 | 150 | 1 | |
| T2 TSES | pelvis | axial | native | 4:39 | 30 | 3 | 330 × 330 | 119 | 5940 | 140 | 3 | ||
| T2 TSEDL | pelvis | axial | native | 0:49 | 30 | 3 | 330 × 330 | 119 | 4870 | 140 | 1 | ||
| PD TSES | FS | hip | coronal | native | 1:51 | 28 | 3 | 200 × 200 | 40 | 3380 | 150 | 1 | |
| PD TSEDL | FS | hip | coronal | native | 0:56 | 28 | 3 | 200 × 200 | 38 | 3260 | 150 | 1 | |
| PD TSES | FS | hip | axial oblique | native | 2:50 | 30 | 3 | 200 × 200 | 40 | 3620 | 150 | 1 | |
| PD TSEDL | FS | hip | axial oblique | native | 1:20 | 30 | 3 | 200 × 200 | 38 | 3490 | 150 | 1 | |
| T2 TIRM | FS | pelvis | coronal | native | 3:52 | 30 | 3 | 240 × 350 | 70 | 5080 | 150 | 2 | |
| 3D T2 DESS | FS | hip | sagittal | native | 6:16 | 80 | 1 | 170 × 170 | 9 | 25 | 25 | 2 |
| Reader 1 | Reader 2 | Cohen‘s κ | ||||||
|---|---|---|---|---|---|---|---|---|
| Item | TSES | TSEDL | p-Value | TSES | TSEDL | p-Value | TSES | TSEDL |
| Image Quality | 3 (3-4) | 4 (4-4) | 0.008 | 4 (3-4) | 4 (4-4) | 0.020 | 0.857 | 0.650 |
| Artifacts | 4 (3-4) | 4 (3-4) | 0.564 | 4 (3-4) | 4 (3-4) | 0.564 | 0.851 | 0.837 |
| Noise | 3 (3-3) | 4 (4-4) | <0.001 | 3 (3-4) | 4 (4-4) | 0.001 | 0.650 | 0.833 |
| Edge Sharpness | 3 (3-4) | 4 (4-4) | 0.003 | 3 (3-4) | 4 (4-4) | 0.003 | 0.837 | 0.837 |
| Diagnostic Confidence | 4 (4-4) | 4 (4-4) | 0.157 | 4 (4-4) | 4 (4-4) | 0.180 | 0.632 | 0.781 |
| Labrum | 4 (3-4) | 4 (4-4) | 0.059 | 4 (3-4) | 4 (4-4) | 0.157 | 0.803 | 0.841 |
| Iliofemoral Ligament | 5 (4-5) | 5 (4-5) | 0.157 | 5 (4-5) | 5 (5-5) | 0.206 | 0.896 | 0.833 |
| Ligamentum Teres | 4 (3-4) | 4 (4-4) | 0.161 | 4 (3-4) | 4 (4-4) | 0.366 | 0.720 | 0.833 |
| Psoas Tendon | 4 (3-4) | 4 (3-4) | 0.317 | 4 (3-4) | 4 (3-4) | 0.655 | 0.883 | 0.837 |
| Abductor Tendons | 4 (4-4) | 4 (4-5) | 0.157 | 4 (4-4) | 4 (4-5) | 0.157 | 0.837 | 0.881 |
| Cartilage | 4 (3-4) | 4 (4-4) | 0.414 | 4 (3-4) | 4 (4-4) | 0.655 | 0.875 | 0.833 |
| Reader 1 | ||
|---|---|---|
| Pathology | TSES | TSEDL |
| Labrum | 11 (78.6%) | 11 (78.6%) |
| Iliofemoral ligament | 0 (0.0%) | 0 (0.0%) |
| Ligamentum teres | 4 (28.6%) | 4 (28.6%) |
| Psoas tendon | 0 (0.0%) | 0 (0.0%) |
| Abductor tendons | 4 (28.6%) | 4 (28.6%) |
| Cartilage | 4 (28.6%) | 4 (28.6%) |
| DJD | 7 (50.0%) | 7 (50.0%) |
| Bursitis | 1 (7.1%) | 1 (7.1%) |
| Fracture | 0 (0.0%) | 0 (0.0%) |
| Effusion | 3 (21.4%) | 4 (28.6%) |
Disclaimer/Publisher’s Note: The statements, opinions and data contained in all publications are solely those of the individual author(s) and contributor(s) and not of MDPI and/or the editor(s). MDPI and/or the editor(s) disclaim responsibility for any injury to people or property resulting from any ideas, methods, instructions or products referred to in the content. |
© 2023 by the authors. Licensee MDPI, Basel, Switzerland. This article is an open access article distributed under the terms and conditions of the Creative Commons Attribution (CC BY) license (https://creativecommons.org/licenses/by/4.0/).
Share and Cite
Herrmann, J.; Afat, S.; Gassenmaier, S.; Koerzdoerfer, G.; Lingg, A.; Almansour, H.; Nickel, D.; Werner, S. Image Quality and Diagnostic Performance of Accelerated 2D Hip MRI with Deep Learning Reconstruction Based on a Deep Iterative Hierarchical Network. Diagnostics 2023, 13, 3241. https://doi.org/10.3390/diagnostics13203241
Herrmann J, Afat S, Gassenmaier S, Koerzdoerfer G, Lingg A, Almansour H, Nickel D, Werner S. Image Quality and Diagnostic Performance of Accelerated 2D Hip MRI with Deep Learning Reconstruction Based on a Deep Iterative Hierarchical Network. Diagnostics. 2023; 13(20):3241. https://doi.org/10.3390/diagnostics13203241
Chicago/Turabian StyleHerrmann, Judith, Saif Afat, Sebastian Gassenmaier, Gregor Koerzdoerfer, Andreas Lingg, Haidara Almansour, Dominik Nickel, and Sebastian Werner. 2023. "Image Quality and Diagnostic Performance of Accelerated 2D Hip MRI with Deep Learning Reconstruction Based on a Deep Iterative Hierarchical Network" Diagnostics 13, no. 20: 3241. https://doi.org/10.3390/diagnostics13203241
APA StyleHerrmann, J., Afat, S., Gassenmaier, S., Koerzdoerfer, G., Lingg, A., Almansour, H., Nickel, D., & Werner, S. (2023). Image Quality and Diagnostic Performance of Accelerated 2D Hip MRI with Deep Learning Reconstruction Based on a Deep Iterative Hierarchical Network. Diagnostics, 13(20), 3241. https://doi.org/10.3390/diagnostics13203241

