Abstract
Background: In the post-COVID-19 era, there is growing concern regarding its impact on cardiovascular health and the following effects on the overall quality of life of affected individuals. This research seeks to investigate cardiac magnetic resonance (CMR) findings following COVID-19 and their impact on the quality of life of affected individuals. Methods: An observational, cross-sectional study was conducted in consecutive patients with persistent cardiovascular symptoms after COVID-19 who were referred to CMR due to suspected myocardial injury. In addition, patients completed a questionnaire about symptoms and the quality of life during the post-COVID-19 period. Results: In this study, 85 patients were included. The study population consisted of patients with a mean age of 42.5 ± 13.4 years, predominantly women, who made up 69.4% of the study population, while men made up 30.6%. CMR findings showed non-ischemic myocardial injury in 78.8% of patients and myocardial edema in 14.1% of patients. Late pericardial enhancement was present in 40% of patients and pericardial effusion in 51.8% of patients. Pericardial effusion (p = 0.001) was more prevalent in patients who reported more pronounced symptoms in the post-COVID-19 period compared to the acute infection phase. Predictors of lower quality of life in the post-COVID-19 period were the presence of irregular heartbeat (p = 0.039), cardiovascular problems that last longer than 12 weeks (p = 0.018), and the presence of pericardial effusion (p = 0.037). Conclusion: Acute myocarditis was observed in a minority of patients after COVID-19, while non-ischemic LGE pattern and pericardial effusion were observed in the majority. Quality of life was worse during the post-COVID-19 period in patients with CMR abnormalities, primarily in patients with pericardial effusion. Also, irregular heartbeat, cardiovascular symptoms that last longer than 12 weeks, as well as pericardial effusion were independent predictors of lower quality of life during the post-COVID-19 period.
1. Introduction
COVID-19, primarily affecting the respiratory system, caused by the severe acute respiratory syndrome coronavirus 2 (SARS-CoV-2), rapidly escalated from a localized outbreak into a global pandemic [1,2]. The disease varied from mild respiratory symptoms to severe pneumonia and acute respiratory distress syndrome (ARDS), leading to millions of deaths and significantly impacting healthcare systems, economies, and daily life worldwide [1,2]. Beyond its initial respiratory focus, the pandemic has revealed numerous health challenges, including long-term effects on various organs [3]. Notably, there is growing concern about the cardiovascular consequences of COVID-19 and their impact on quality of life in the post-pandemic era [3]. A variety of cardiac complications associated with COVID-19 have been documented, reflecting the virus’s complex impact on the cardiovascular system, including myocarditis, acute coronary syndrome, arrhythmias, and heart failure, which are classified as post-acute sequels of COVID-19 (PASCs) [4,5]. Individuals affected by COVID-19 are more vulnerable to myocardial injury, which may be due to the direct cytopathic effects of the virus or the indirect effects of circulating cytokines and other immune-mediated mechanisms on myocardium [3,6,7]. Numerous studies document prolonged non-ischemic myocardial injury and/or persistent myocarditis following apparent recuperation from the acute stage of COVID-19 [8].
Post-acute COVID-19 syndrome refers to a set of prolonged symptoms that persist in some patients four or more weeks after the initial infection or three weeks following a negative RT-PCR test for SARS-CoV-2 [9]. Recent studies categorize this syndrome into two phases: subacute COVID-19, where symptoms and abnormalities are observed 4–12 weeks after the initial infection, and chronic or post-COVID-19 syndrome, where symptoms persist beyond 12 weeks without an alternative diagnosis [9]. Common symptoms associated with post-COVID-19 syndrome include fatigue, palpitations, chest pain, weakness, sleep disturbances, dizziness, and a range of hematological disorders [10,11,12]. Around 21% of affected individuals may require rehospitalization for further treatment and evaluation [13]. This syndrome is not only a concern for those with pre-existing conditions or severe cases but also for younger, previously healthy individuals [14]. Pre-existing cardiac conditions may heighten the risk of severe complications, including potentially fatal outcomes [3]. Accurate and timely diagnosis is critical and typically relies on a combination of clinical assessments, non-invasive biomarkers, and cardiac imaging [8].
Cardiovascular magnetic resonance (CMR), as a gold standard in non-invasive cardiac diagnostics, has the ability to provide comprehensive and non-invasive insights into myocardial function and structure [8]. The ability to characterize tissue is one of the most important capabilities of CMR, as it allows for the distinction between non-ischemic and ischemic myocardial injury [15]. According to recommendations, CMR evaluation of a patients after COVID-19 infection suspected of having myocarditis should be based on established and validated criteria, such as the 2018 Lake Louise criteria [5]. The Lake Louise criteria, first published in 2009, were updated in 2018 and have since required at least one T1-based criterion (increased T1 myocardial relaxation time, extracellular volume fraction, or late gadolinium enhancement (LGE)) and at least one T2-based criterion (increased myocardial T2 relaxation time, visible myocardial edema, or increased T2 signal intensity ratio) to diagnose myocarditis on CMR [16,17]. When these criteria are met, the presence of myocarditis can be confirmed with a sensitivity of 87.5% and a specificity of 96.2% [16]. Thanks to CMR, it is possible to detect even subclinical cases, stratify risk based on prognostic factors like left ventricular ejection fraction and myocardial edema, predict outcomes, and monitor therapeutic responses [18].
In clinical practice, on a daily basis, we encounter patients who complain of persistent cardiac symptoms such as fatigue, palpitations, irregular heartbeat, and poor exercise tolerance even months after recovering from COVID-19. The inclusion of CMR in various diagnostic modalities aims to define the long-term cardiovascular consequences of infection and optimize personalized treatment strategies to improve patient quality of life. This research seeks to investigate CMR findings following COVID-19 and the impact on the quality of life of affected individuals.
2. Materials and Methods
2.1. Study Population
This study was conducted as an observational, cross-sectional study of 85 patients, with cardiovascular symptoms after severe acute respiratory syndrome coronavirus 2 infection (SARS-CoV-2), who were referred for a cardiomagnetic resonance examination (CMR), in the period from September 2020 to February 2022. This study included patients who were hospitalized for COVID-19 infection, as well as patients who did not require hospital treatment (Figure 1).
Figure 1.
Research methodology flowchart. Abbreviations: RT-PCR—reverse transcription polymerase chain reaction test.
This study included consecutive patients with persistent cardiac complaints after COVID-19 infection. The most common complaints reported by patients were fatigue/exercise intolerance, palpitations, shortness of breath, chest pain, or discomfort. Due to the persistence of the aforementioned complaints, the patients were referred for cardiomagnetic resonance with suspicion of myocardial injury as part of a previous viral infection.
The inclusion criteria were as follows: (1) age ≥ 18 years; (2) previously confirmed SARS-CoV-2 infection (SARS-CoV-2 infection confirmed by reverse transcription polymerase chain reaction (RT-PCR) test within 1 month before the onset of cardiac symptoms); (3) recovery from COVID-19 infection and discharge from the hospital (patients were considered recovered if they met the following criteria: normal body temperature lasting more than 3 days, no respiratory symptoms, two consecutive negative RT-PCR test results separated by at least 24 h, and having been isolated for at least 14 days after being discharged from hospital); (4) persistent cardiac symptoms (e.g., chest pain, palpitations, dyspnea, fatigue); (5) agreement to participate and signing of informed consent.
Exclusion criteria were as follows: (1) an explanation for the patient’s complaints other than COVID-19 infection; (2) uncontrolled hypertension; (3) coronary artery disease (evidence of coronary artery stenosis >50%) or previous myocardial infarction; (4) moderate to severe valvular dysfunction; (5) previous atrial fibrillation; (6) previous heart failure; (7) contraindications for performing cardiomagnetic resonance with a contrast agent (e.g., claustrophobia; history of allergic reactions to the gadolinium-based contrast agent (GBCA); moderate, severe, or end-stage chronic kidney disease (creatinine clearance rate <30 mL/min/1.73 m2); non-MRI-conditional implants and devices); (8) hemodynamic instability; (9) pregnancy or breastfeeding; (10) inability to hold breath and cooperate during CMR examination.
Before the CMR examination, an interview was conducted with each patient, during which they answered questions from a dedicated questionnaire. The patients were asked about the existence of cardiovascular complaints after the COVID-19 infection, and whether they were more pronounced during the acute illness of COVID-19 or after COVID-19. To assess the quality of life during the post-COVID-19 period, a simple rating scale was used, ranging from “0” (no symptoms) to “10” (the most severe symptoms).
The present study was approved by the Ethics Committee of the University Hospital Medical Center Bezanijska Kosa (protocol code 5197/2, date of approval 21 March 2021) and informed consent was obtained from all patients. Our research was performed within the ethical guidelines of the Declaration of Helsinki of 1975 [19].
2.2. Cardiac MRI: Protocol and Image Analysis
All CMR examinations were performed according to a standardized protocol on a 1.5 Tesla scanner (Magnetom Avanto, Siemens Healthcare GmbH, Erlangen, Germany). The standardized protocol included sequences that allowed for functional and morphological analysis of the myocardium.
To assess the volume and functional parameters of both ventricles, cine steady-state free precession (SSFP) images were acquired in a short-axis stack (SAX), which covered the entire ventricles from base to apex. Left ventricular (LV) views included four-chamber, two-chamber, and three-chamber views, as well as a left ventricular outflow tract (LVOT). Right ventricular (RV) views included a right ventricular outflow tract (RVOT) and a two-chamber view of the right ventricle.
For tissue characterization (detection of myocardial edema and fibrosis), T2-weighted short-tau-inversion-recovery (STIR) black-blood images, myocardial mapping, and late gadolinium enhancement (LGE) images were acquired. STIR was performed using SAX stacks. Myocardial mapping (T2, native, and post-contrast T1) was performed in short-axis views. Post-contrast T1 mapping was performed approximately 15 min after contrast administration to calculate extracellular volume (ECV). An LGE image was acquired in the same planes as the cine images with a phase-sensitive inversion recovery sequence (PSIR), 8–10 min after intravenous administration of 0.2 mmol/kg gadolinium-based contrast media (GBCA).
All CMR studies were analyzed by the same two physicians (a radiologist and a cardiologist, with 7 and 5 years of experience in CMR, respectively). Any disagreements in the analysis between these two physicians were judged by senior physicians (cardiologist with more than 15 years of experience in cardiac imaging).
Post-processing of acquired CMR images and measuring of cardiac chamber volumes, mass, and function were performed using software (SyngoVia VB20A_HF05), Siemens Healthineers, Erlangen, Germany) with automated cardiac contour detection (endocardial and epicardial contour, excluding the contour of papillary muscle) along with manual correction if required. Post-processing also included assessment of myocardial edema and LGE. During the analysis of all sequences, the left ventricle was divided into 17 segments according to the American Heart Association (AHA) model of myocardial segmentation (AHA) [20].
The functional evaluation included the assessment of wall motion abnormalities, cardiac chamber volumes, mass, and function. The software automatically calculated the functional parameters of the left and right ventricles, as well as normalizing all volumes and masses according to body surface area (BSA). This resulted in ejection fraction (EF) values, indexed end-diastolic volume (EDVI), indexed end-systolic volume (ESVI), indexed values of stroke volume (SVI), cardiac output (CI), and mass.
On STIR images, focal myocardial edema was assessed as focal myocardial hyperintensity and semi-quantitatively (myocardial edema ratio (ER) was defined as the ratio between myocardial signal intensity (IS) and skeletal muscle IS, with ER > 2.0 considered abnormal). The region of interest was drawn in myocardial zones with increased signal intensity and divided by the signal intensity in skeletal muscle.
Myocardial mapping, including native T1 and T2 maps, was analyzed for myocardial global native T1 and T2 values by drawing endocardial and epicardial contours within the septal myocardium of the midventricular SAX slice. Focal native T1 and T2 values were assessed in myocardial zones with alternating signal intensity. Also, the native T1 value, along with the post-contrast T1 value, was used to calculate the extracellular volume fraction according to the following formula: ECV = (1 − hematocrit) × [ΔR1myocardium]/[ΔR1blood pool], where ΔR1myocardium = 1/T1myocardium pre-contrast − 1/T1myocardium post-contrast and ΔR1blood = 1/T1blood pre-contrast − 1/T1blood post-contrast [21].
The analysis of LGE images included a qualitative assessment to determine whether the LGE phenomenon was present, and if it was present, which segments it affected, and the pattern of its distribution (subepicardial, mid-wall, or transmural). In LGE-positive patients, the quantification of the LGE was also performed. This involved calculating the ratio between the LGE volume and the total volume of the LV myocardium (LGE/myocardium), expressed as a percentage of the mass of the left ventricular myocardium under the LGE.
Pericardial analysis included the detection of pericardial effusion (reported if they exceeded 5 mm in thickness) and the assessment of pericardial LGE (pericardial LGE was considered present if enhancement involved both pericardial layers, regardless of the presence of pericardial effusion).
Myocardial injury/myocarditis was diagnosed according to the 2018 Lake Louis criteria [5,16,17].
2.3. Statistical Analysis
Numerical data were presented as mean with standard deviation or 95% CI, or with median with percentiles. Categorical variables were summarized by absolute numbers with percentages. Differences between groups were analyzed by Students’ t test for independent samples for numerical variables with normal distribution, Mann–Whitney test for numerical variables without normal distribution, and the chi-square test for categorical variables. Univariate and multivariate linear regression analyses were used in order to determine independent predictors of lower quality of life. In all analyses, the significance level was set at 0.05. Statistical analysis was performed using IBM SPSS statistical software (SPSS for Windows, release 25.0, SPSS, Chicago, IL, USA).
3. Results
A total of 85 patients, mostly female (69.4%), with a mean age of 42.5 ± 13.4 years, were included in the study. Of comorbidities, 20.0% of patients had hypertension, 11.8% had diabetes mellitus, only one patient had chronic obstructive pulmonary disease (COPD), while 2.4% of patients had systemic connective tissue or inflammatory diseases. Characteristics of the study population are presented in Table 1.
Table 1.
Characteristics of the study population.
Table 2 displays the patients’ cardiovascular features during the COVID-19 and post-COVID-19 periods. The median duration from the beginning of symptoms to the performance of cardiac magnetic resonance (CMR) was 120 days. The duration of cardiac symptoms exceeded 12 weeks in the majority of patients (91.8%). Out of all the patients, 35.3% received oxygen treatment during acute illness, while only 2.4% underwent mechanical ventilation. Pneumonia as a part of COVID-19 infection was observed in 55.3% of the study population. The main cardiac symptoms in the post-COVID-19 period were fatigue (81.2%), palpitations (62.4%), and irregular heartbeat (44.7%). Nine patients (10.6%) had recurrent episode of hospitalization during the post-COVID-19. The mean (95% CI) quality of life score of patients during the post-COVID-19 period was 5.2 (4.7–5.8). Additionally, in the majority of patients (57.6%), symptoms were more severe in the post-COVID-19 period than during acute illness (Table 2).
Table 2.
Patients’ cardiovascular features during COVID-19 and post-COVID-19 periods.
Detailed CMR findings of the study population are summarized in Table 3. At CMR, the mean ejection fraction (EF) of the left ventricle (EF LV) was 61.43 ± 5.87% and the mean ejection fraction of the right ventricle (EF RV) was 60.65 ± 7.83%. Indexed end-diastolic volume (EDVI) of the left ventricle was elevated in 23.5% of patients, indexed stroke volume (SVI) was decreased in 3.5%, and cardiac index (CI) was decreased at CMR in 1.2% of patients. None of the patients had elevated left ventricular myocardial mass.
Table 3.
CMR findings.
In Table 4, detailed late gadolinium enhancement (LGE) findings are presented. The majority of patients had LGE (78.8%). Mid inferolateral (47.1%), mid anterolateral (34.1%), and basal inferolateral (25.9%) were the most prevalent myocardial segments involved by LGE in LGE-positive patients. Subepicardial and mid-wall distribution of LGE was present in 37.6% of patients with LGE, while 31.8% had isolated subepicardial distribution of LGE. Late pericardial enhancement was present in 40% of patients involved.
Table 4.
LGE imaging.
Pericard characteristics of the study population, as well as comprehensive assessment by multi-parametric CMR, are shown in Table 5. The mean native T1 value (diffuse) was 1020 ± 35, the mean T2 value (diffuse) was 47 ± 3, while the mean extracellular volume (ECV) fraction of the study population was 25.7 ± 1.9. Pericardial effusion was present in more than half of the patients included (51.8%).
Table 5.
Pericard characteristics and comprehensive assessment by multi-parametric CMR.
In Table 6, CMR data are reported based on the use of oxygen therapy, mechanical ventilation, or the presence of pneumonia during acute illness. Patients who required oxygen treatment, mechanical ventilation (MV), or had pneumonia were older (p < 0.001), had higher body mass index (BMI) (p = 0.002), and more often had hypertension (p = 0.004) and diabetes mellitus (p = 0.028). Patients who did not require oxygen treatment, MV, or hadn’t pneumonia more often had basal anterior LGE on CMR (p = 0.007).
Table 6.
Oxygen therapy, MV, or pneumonia.
Detailed CMR findings of the study population according to the presence of pericardial effusion are summarized in Table 7. Patients with pericardial effusion were younger (p = 0.013), more often were female (p = 0.002), had lower BMI (p = 0.001), and had lower quality of life (p = 0.049). The mid inferoseptal segment involved by LGE was more frequently observed in patients with pericardial effusion (p = 0.010). Patients with pericardial effusion had a higher mean native T1 value (diffuse) in the post-COVID-19 period (p = 0.029).
Table 7.
Pericardial effusion.
CMR data according to the severity of symptoms in the COVID-19/post-COVID-19 period are presented in Table 8. Patients with more severe symptoms in the post-COVID-19 period were younger (p = 0.022), more often were female (p = 0.017), had lower BMI (p = 0.023), and more often had lower quality of life in the post-COVID-19 period (p < 0.001). The basal anterior myocardial segment involved by LGE (p = 0.048) and pericardial effusion (p = 0.001) were more often observed in patients that had more severe symptoms during the post-COVID-19 period, while the apical lateral myocardial segment involved by LGE (p = 0.040) was more often observed in patients that had more severe symptoms during COVID-19 period.
Table 8.
The severeness of symptoms in the COVID-19/post-COVID-19 period.
In univariate regression analysis, female gender (p = 0.005), cardiovascular symptoms that last longer than 12 weeks (p = 0.014), presence of palpitations (p = 0.025), irregular heartbeat (p = 0.005), and unconsciousness (p = 0.020) were significant predictors of lower quality of life during the post-COVID-19 period. In multivariate regression analysis, predictors of lower quality of life during the post-COVID-19 period were the presence of irregular heartbeat (p = 0.039), cardiovascular problems that last longer than 12 weeks (p = 0.018), and the presence of pericardial effusion (p = 0.037) (Table 9).
Table 9.
Multivariate regression analysis.
4. Discussion
The following study used cardiac magnetic resonance (CMR) to evaluate the presence and spectrum of cardiac abnormalities in patients who had persistent cardiac symptoms after COVID-19 infection. Our findings revealed that most patients had abnormalities on CMR, indicative of non-ischemic myocardial injury. The predominant findings were late gadolinium enhancement (LGE) in a non-ischemic distribution and pericardial effusion, while acute myocarditis was found in a small number of patients.
Previous studies, including laboratory analyses, autopsy, and CMR findings, have shown that myocardial involvement is one of the primary manifestations of COVID-19 infection, distinguishing it from infections caused by other viruses in the coronavirus family [22,23,24,25]. Although there have been documented cases of delayed myocarditis in patients with cardiac symptoms after recovering from COVID-19, the prevalence of myocarditis in these individuals has not yet been precisely determined [1,26,27].
Our research findings suggest that acute myocarditis is relatively uncommon, as it was diagnosed in only a small number of patients. A minority (n = 12; 14.1%) had signs of myocardial edema, indicative of acute myocardial injury. In nearly all of these patients (n = 11; 12.9%), LGE was observed with a subepicardial and/or mid-wall distribution, meeting the 2018 Lake Louise criteria for diagnosing myocarditis (Figure 2) [16]. However, one patient with myocardial edema did not fully meet the criteria for myocarditis, presenting only with a T2-based marker for myocardial edema, from the modified Lake Louise criteria. This edema might be attributed to increased vascular permeability, potentially due to endothelial angiotensin-converting enzyme 2 (ACE2), which serves as a receptor for SARS-CoV-2 entry into host cells [28,29,30,31]. Additionally, some patients with myocarditis (n = 7; 8.23%) also presented with pericardial effusion. Both patients with confirmed myocarditis and those with myocardial edema generally had normal or mildly reduced left ventricular (LV) ejection fraction, an important prognostic marker in myocarditis [32].
Figure 2.
(a) T2 mapping, mid-ventricular short axis slice: increased focal T2 value, subepicardial distribution—a sign of subepicardial myocardial edema in the mid inferolateral segment (marked with arrow); (b) phase-sensitive inversion recovery (PSIR), mid-ventricular short axis slice: subepicardial (non-ischemic) distribution of late gadolinium enhancement (LGE) in mid inferior and mid inferolateral segments (marked with arrows). These CMR findings fulfilled both Lake Louise 2018 criteria for CMR diagnosis of acute myocarditis.
In one of the earliest prospective observational cohort studies, which included 100 unselected patients who had recently recovered from COVID-19, Puntmann et al. examined the presence of myocardial injury [33]. The study revealed that 78% of the patients had abnormal CMR findings indicative of non-ischemic myocardial injury, with ongoing myocardial inflammation observed in 60% of the participants. These CMR findings were independent of pre-existing conditions, the severity and course of the acute illness, or the timing of the initial COVID-19 diagnosis. The differences between the study and our research may be attributed, at least in part, to differences in the populations being studied. In Puntmann et al., the study population included unselected individuals, with pre-existing cardiovascular conditions (diabetes mellitus, hypertension, coronary artery disease) in the majority of subjects that may have otherwise contributed to the ongoing inflammation, without significant difference in sex distribution, while the present study included patients with persistent cardiac symptoms, with cardiovascular comorbidities in the minority of subjects and with a dominant female sex distribution. Another difference is the mean duration from the onset of symptoms of COVID-19 infection until the CMR exam, i.e., in our study, it is longer and amounts to 120 days (51–209), while it is 71 days (64–92) in the study by Puntmann et al., which may be one of the factors that influenced the results. On the other hand, the results of the studies, which were conducted after the previous study, showed, similar to our results, that acute myocarditis is not a common occurrence in patients with cardiac symptoms after recovery from COVID-19 infection [1,28,34].
In our study, the majority of patients undergoing CMR examination had LGE in a non-ischemic distribution pattern. Specifically, LGE was predominantly localized in the inferolateral segments, particularly at the base and mid of the left ventricle (LV), with a subepicardial and/or mid-wall distribution (Figure 3). This pattern aligns with findings from studies on patients with other forms of viral myocarditis [1]. LGE is indicative of tissue inflammation, necrosis, and fibrosis, suggesting that myocarditis is a primary mechanism of direct myocardial injury caused by COVID-19 [35,36]. The simultaneous presence of LGE and edema points to active inflammation, and at this stage, LGE may not indicate definitive damage, as it often resolves upon follow-up [18,37]. Conversely, studies have shown that LGE without accompanying edema on a 6-month follow-up CMR is indicative of definitive fibrosis, representing irreversible myocardial injury [18,38,39]. Additionally, earlier studies on other types of viral myocarditis have demonstrated that LGE carries prognostic significance, often correlating with a worse prognosis [18,40].
Figure 3.
(a) Phase-sensitive inversion recovery (PSIR), mid-ventricular short axis slice: subepicardial and mid-wall (non-ischemic) distribution of late gadolinium enhancement (LGE) in the mid inferolateral segment (marked with arrows); (b) phase-sensitive inversion recovery (PSIR) long axis (four chamber): subepicardial and mid-wall (non-ischemic) distribution of late gadolinium enhancement (LGE) in the mid lateral segment (marked with arrows). This pattern of LGE indicates post-inflammatory fibrosis.
Grani C et al., as well as Aquaro GD et al., showed an association between LGE and a worse prognosis (including sudden death, heart failure hospitalization, persistent ventricular tachycardia, implantable cardioverter/defibrillator shock, and recurrent myocarditis) in patients with myocarditis during a mean follow-up of 4.7 years, and nearly threefold increased risk of major adverse cardiovascular events (MACE) [41,42].
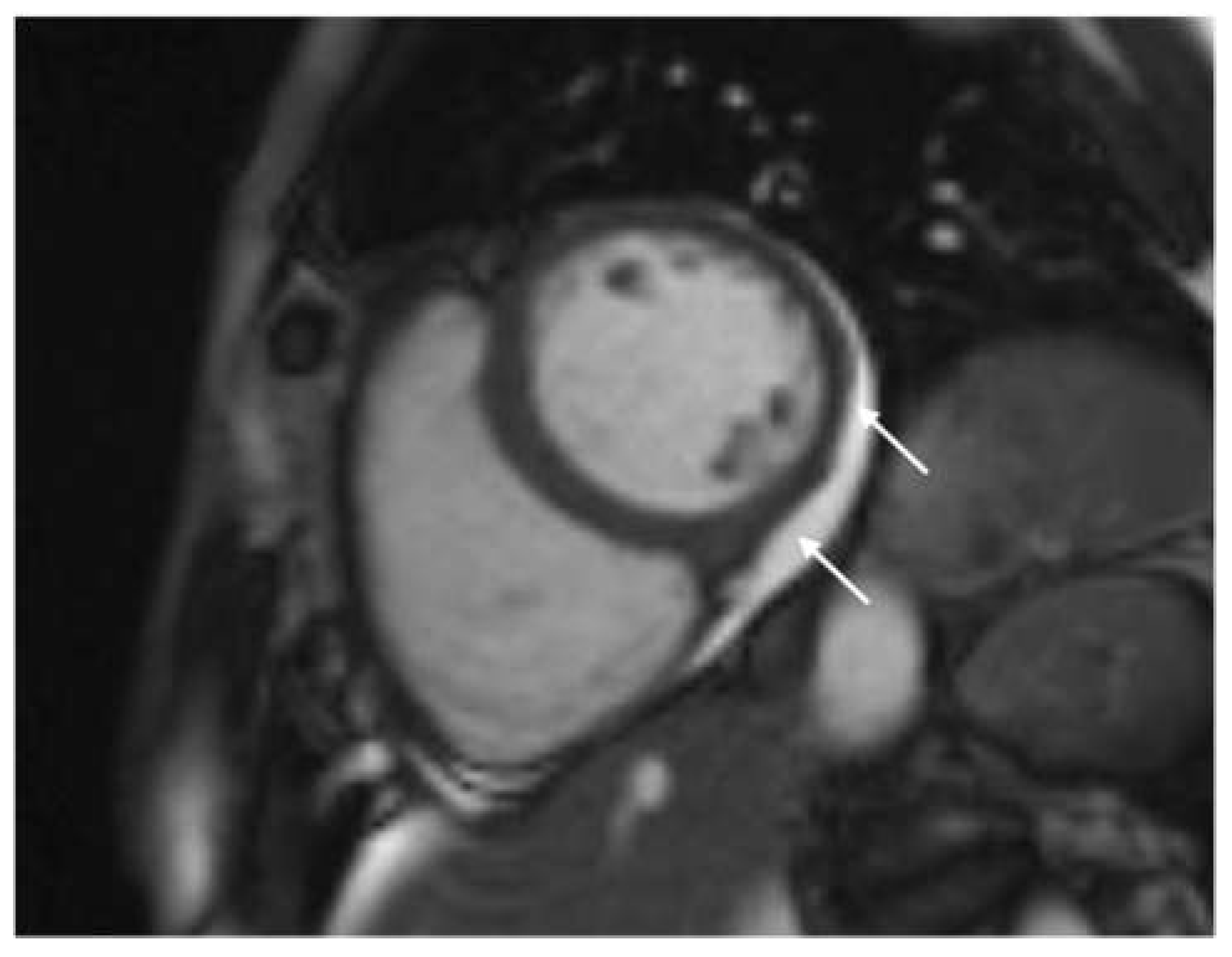
The findings of our research showed that the phenomenon of late pericardial enhancement was present in 40% of the included patients, while mild pericardial effusion (<10 mm) was present in more than half of the included patients (51.8%) (Figure 4). These results are similar to those obtained by Brito et al. in a study that investigated the spectrum of cardiac abnormalities in previously healthy student-athletes recovering from uncomplicated COVID-19 infection [43]. The existence of pericardial effusion during COVID-19 infection is explained by several pathophysiological mechanisms: (a) by binding to the ACE2 receptor, the virus directly invades cardiomyocytes leading to myocardial injury; (b) indirectly, by means of inflammatory cytokines (tumor necrosis factor-alpha (TNF-a), interleukin (IL)-1, and IL-6) the virus leads to pericarditis or myopericarditis; (c) result of direct involvement of the pericardium; (d) consequence of acute respiratory distress syndrome (ARDS) or hypoxia [44]. Saraç et al. investigated the clinical significance of pericardial effusion (prevalence, risk factors, prognosis, late clinical outcomes, and treatment) in patients discharged after recovery from COVID-19 [44]. Their study showed that in 75.9% of patients with an initial small pericardial effusion, after a follow-up of 25 months, there was a complete resolution of the effusion, but it also showed that there was a progression of the effusion in patients with more severe disease, which consequently led to an increase in the frequency of hospitalization for recurrent cardiac and non-cardiac reasons, complications, and mortality rates. Follow-up studies after COVID-19 indicate an increased risk of cardiovascular events, including pericardial disease. It has been shown that the presence of pericardial effusion in patients in the post-COVID-19 period is one of the main risk factors and a poor prognostic indicator regarding the occurrence of complications during the acute and chronic phase [44,45].
Figure 4.
Cine sequences, mid-ventricular short axis slice: mild (<10 mm) pericardial effusion (marked with arrows).
Our study compared quality of life during the post-COVID-19 period with CMR findings and showed that post-COVID-19 quality of life is worse in patients with CMR abnormalities (pericardial effusion and LGE) (Figure 5). Pericardial effusion was more often observed in patients who had more severe symptoms and lower quality of life during the post-COVID-19 period. Also, irregular heartbeat, cardiovascular symptoms that last longer than 12 weeks, as well as pericardial effusion, were independent predictors of lower quality of life during the post-COVID-19 period. It is important to note that we did not observe a significant correlation between the severity of acute COVID-19 infection and lower quality of life during the post-COVID-19 period (Table 6). Current data indicate that persistent cardiac symptoms in post-COVID-19 patients are mainly associated with the existence of active or healed myocarditis, which may be a consequence of a slower resolution of the inflammatory process or its transition to a chronic phase, which can potentially cause long-term damage to the myocardium [46,47].
Figure 5.
Phase-sensitive inversion recovery (PSIR), basal ventricular short axis slice: mid-wall distribution of late gadolinium enhancement (LGE) in basal anteroseptal segment (red arrow); subepicardial distribution of late gadolinium enhancement (LGE) in basal inferior and inferolateral segments (white arrow); pericardial effusion (star).
The present study has several limitations: We conducted this research as a single-center study with a moderate sample size, without the existence of a control group. The research included a small number of patients with comorbidities, so the findings of our research cannot be transferred to this group. Also, this study does not provide data on the existence, type, and degree of myocardial injury during the acute phase of the disease. In addition, we did not have available data regarding the markers of myocardial injury in all patients, which prevented these data from being associated with CMR results. However, only a small number of patients had acute myocardial inflammation and minimally affected myocardium, pointing out that the usefulness of myocardial injury markers would be minimal in patients during the post-COVID-19 period.
5. Conclusions
In our single-center study, cardiac magnetic resonance (CMR) examination confirmed the non-ischemic cardiac injury, indicating that persistent symptoms after COVID-19 may be due to previous myocarditis. Patients with pericardial effusion had worse quality of life during the post-COVID-19 period, regardless of the severity of acute COVID-19 infection, while irregular heartbeat, cardiovascular symptoms that last longer than 12 weeks, as well as pericardial effusion, were independent predictors of lower quality of life during post-COVID-19 period. These patients may be at increased risk of heart failure or arrhythmias, so the CMR examination should be a part of the multidisciplinary diagnostic algorithm to ensure optimal and personalized treatment of patients and an optimal quality of life.
Author Contributions
Conceptualization, M.P., M.Z. and V.C.; methodology, M.P., M.Z., V.C., V.P., A.R. and K.I.; software, M.P., V.P., N.M., N.R. and A.K.; validation, M.P., M.Z. and V.C.; formal analysis, N.M. and N.R.; investigation, M.P., R.L., D.G., S.K. and A.R.; resources, R.L., M.Z., D.G., V.P., M.P., S.K., A.K. and E.M.; data curation, M.P. and V.P.; writing—original draft preparation, M.P., M.Z., V.C., V.P. and A.R.; writing—review and editing, M.P., M.Z., V.C., E.M., V.P. and K.I.; visualization, M.P., N.M. and N.R.; supervision, M.Z. and V.C.; project administration, M.Z. and V.P.; funding acquisition, M.Z. All authors have read and agreed to the published version of the manuscript.
Funding
This research was funded by the Faculty of Medicine, University of Belgrade, 11000 Belgrade, Serbia (number 200110).
Institutional Review Board Statement
This study was conducted according to the guidelines of the Declaration of Helsinki and approved by the Ethics Committee of the University Hospital Medical Center Bezanijska Kosa (protocol code 5197/2).
Informed Consent Statement
Informed consent was obtained from all subjects involved in this study.
Data Availability Statement
The data that support the findings of this study are available from the corresponding author (M.P. or M.Z.) upon reasonable request.
Conflicts of Interest
The authors declare no conflicts of interest.
References
- Wojtowicz, D.; Dorniak, K.; Ławrynowicz, M.; Wąż, P.; Fijałkowska, J.; Kulawiak-Gałąska, D.; Rejszel-Baranowska, J.; Knut, R.; Haberka, M.; Szurowska, E.; et al. Cardiac Magnetic Resonance Findings in Patients Recovered from COVID-19 Pneumonia and Presenting with Persistent Cardiac Symptoms: The TRICITY-CMR Trial. Biology 2022, 11, 1848. [Google Scholar] [CrossRef] [PubMed]
- Duda-Seiman, D.; Kundnani, N.R.; Dugaci, D.; Man, D.E.; Velimirovici, D.; Dragan, S.R. COVID-19 Related Myocarditis and Myositis in a Patient with Undiagnosed Antisynthetase Syndrome. Biomedicines 2022, 11, 95. [Google Scholar] [CrossRef] [PubMed]
- Bandyopadhyay, D.; Akhtar, T.; Hajra, A.; Gupta, M.; Das, A.; Chakraborty, S.; Pal, I.; Patel, N.; Amgai, B.; Ghosh, R.K.; et al. COVID-19 Pandemic: Cardiovascular Complications and Future Implications. Am. J. Cardiovasc. Drugs 2020, 20, 311–324. [Google Scholar] [CrossRef]
- Huang, L.; Zhao, P.; Tang, D.; Zhu, T.; Han, R.; Zhan, C.; Liu, W.; Zeng, H.; Tao, Q.; Xia, L. Cardiac Involvement in Patients Recovered From COVID-2019 Identified Using Magnetic Resonance Imaging. JACC Cardiovasc. Imaging 2020, 13, 2330–2339. [Google Scholar] [CrossRef]
- Halfmann, M.C.; Luetkens, J.A.; Langenbach, I.L.; Kravchenko, D.; Wenzel, P.; Emrich, T.; Isaak, A. Cardiac MRI Findings in Patients Clinically Referred for Evaluation of Post-Acute Sequelae of SARS-CoV-2 Infection. Diagnostics 2023, 13, 2172. [Google Scholar] [CrossRef]
- Siripanthong, B.; Asatryan, B.; Hanff, T.C.; Chatha, S.R.; Khanji, M.Y.; Ricci, F.; Muser, D.; Ferrari, V.A.; Nazarian, S.; Santangeli, P.; et al. The Pathogenesis and Long-Term Consequences of COVID-19 Cardiac Injury. JACC Basic Transl. Sci. 2022, 7, 294–308. [Google Scholar] [CrossRef]
- Petersen, S.E.; Friedrich, M.G.; Leiner, T.; Elias, M.D.; Ferreira, V.M.; Fenski, M.; Flamm, S.D.; Fogel, M.; Garg, R.; Halushka, M.K.; et al. Cardiovascular Magnetic Resonance for Patients With COVID-19. JACC Cardiovasc. Imaging. 2022, 15, 685–699. [Google Scholar] [CrossRef]
- Ferreira, V.M.; Plein, S.; Wong, T.C.; Tao, Q.; Raisi-Estabragh, Z.; Jain, S.S.; Han, Y.; Ojha, V.; Bluemke, D.A.; Hanneman, K.; et al. Cardiovascular magnetic resonance for evaluation of cardiac involvement in COVID-19: Recommendations by the Society for Cardiovascular Magnetic Resonance. J. Cardiovasc. Magn. Reson. 2023, 25, 21. [Google Scholar] [CrossRef] [PubMed]
- Antoncecchi, V.; Antoncecchi, E.; Orsini, E.; D’Ascenzo, G.; Oliviero, U.; Savino, K.; Aloisio, A.; Casalino, L.; Lillo, A.; Chiuini, E.; et al. High prevalence of cardiac post-acute sequelae in patients recovered from Covid-19. Results from the ARCA post-COVID study. Int. J. Cardiol. Cardiovasc. Risk Prev. 2024, 21, 200267. [Google Scholar] [CrossRef]
- Makhluf, H.; Madany, H.; Kim, K. Long COVID: Long-Term Impact of SARS-CoV-2. Diagnostics 2024, 14, 711. [Google Scholar] [CrossRef]
- Golzardi, M.; Hromić-Jahjefendić, A.; Šutković, J.; Aydin, O.; Ünal-Aydın, P.; Bećirević, T.; Redwan, E.M.; Rubio-Casillas, A.; Uversky, V.N. The Aftermath of COVID-19: Exploring the Long-Term Effects on Organ Systems. Biomedicines 2024, 12, 913. [Google Scholar] [CrossRef] [PubMed]
- Rosca, C.I.; Branea, H.S.; Sharma, A.; Nicoras, V.A.; Borza, C.; Lighezan, D.F.; Morariu, S.I.; Kundnani, N.R. Rhythm Disturbances in Post-Acute COVID-19 Syndrome in Young Men without Pre-Existing Known Cardiovascular Disease—A Case Series. Biomedicines 2023, 11, 1146. [Google Scholar] [CrossRef] [PubMed]
- Wahlgren, C.; Forsberg, G.; Divanoglou, A.; Östholm Balkhed, Å.; Niward, K.; Berg, S.; Levi, R. Two-year follow-up of patients with post-COVID-19 condition in Sweden: A prospective cohort study. Lancet Reg. Health-Eur. 2023, 28, 100595. [Google Scholar] [CrossRef] [PubMed]
- Składanek, J.A.; Leśkiewicz, M.; Gumiężna, K.; Baruś, P.; Piasecki, A.; Klimczak-Tomaniak, D.; Sygitowicz, G.; Kochman, J.; Grabowski, M.; Tomaniak, M. Long COVID and its cardiovascular consequences: What is known? Adv. Clin. Exp. Med. 2023, 33, 299–308. [Google Scholar] [CrossRef] [PubMed]
- Karamitsos, T.D.; Arvanitaki, A.; Karvounis, H.; Neubauer, S.; Ferreira, V.M. Myocardial Tissue Characterization and Fibrosis by Imaging. JACC Cardiovasc. Imaging 2020, 13, 1221–1234. [Google Scholar] [CrossRef]
- Luetkens, J.A.; Faron, A.; Isaak, A.; Dabir, D.; Kuetting, D.; Feisst, A.; Schmeel, F.C.; Sprinkart, A.M.; Thomas, D. Comparison of Original and 2018 Lake Louise Criteria for Diagnosis of Acute Myocarditis: Results of a Validation Cohort. Radiol. Cardiothorac. Imaging 2019, 1, e190010. [Google Scholar] [CrossRef]
- Li, S.; Duan, X.; Feng, G.; Sirajuddin, A.; Yin, G.; Zhuang, B.; He, J.; Xu, J.; Yang, W.; Wu, W.; et al. Multiparametric Cardiovascular Magnetic Resonance in Acute Myocarditis: Comparison of 2009 and 2018 Lake Louise Criteria With Endomyocardial Biopsy Confirmation. Front. Cardiovasc. Med. 2021, 8, 739892. Available online: www.frontiersin.org (accessed on 16 July 2024). [CrossRef]
- Sozzi, F.B.; Gherbesi, E.; Faggiano, A.; Gnan, E.; Maruccio, A.; Schiavone, M.; Lacuzio, L.; Carugo, S. Viral Myocarditis: Classification, Diagnosis, and Clinical Implications. Front. Cardiovasc. Med. 2022, 9, 908663. [Google Scholar] [CrossRef]
- World Medical Association. World Medical Association Declaration of Helsinki. JAMA 2013, 310, 2191. [Google Scholar] [CrossRef]
- Cerqueira, M.D.; Weissman, N.J.; Dilsizian, V.; Jacobs, A.K.; Kaul, S.; Laskey, W.K.; Pennell, D.J.; Rumberger, J.A.; Ryan, T.; Verani, M.S.; et al. Standardized Myocardial Segmentation and Nomenclature for Tomographic Imaging of the Heart. Circulation 2002, 105, 539–542. [Google Scholar] [CrossRef]
- Haaf, P.; Garg, P.; Messroghli, D.R.; Broadbent, D.A.; Greenwood, J.P.; Plein, S. Cardiac T1 Mapping and Extracellular Volume (ECV) in clinical practice: A comprehensive review. J. Cardiovasc. Magn. Reson. 2017, 18, 89. [Google Scholar] [CrossRef]
- Wang, H.; Li, R.; Zhou, Z.; Jiang, H.; Yan, Z.; Tao, X.; Li, H.; Xu, L. Cardiac involvement in COVID-19 patients: Mid-term follow up by cardiovascular magnetic resonance. J. Cardiovasc. Magn. Reson. 2021, 23, 14. [Google Scholar] [CrossRef] [PubMed]
- Buja, L.M.; Wolf, D.A.; Zhao, B.; Akkanti, B.; McDonald, M.; Lelenwa, L.; Reilly, N.; Ottaviani, G.; Elghetany, M.T.; Trujillo, D.O.; et al. The emerging spectrum of cardiopulmonary pathology of the coronavirus disease 2019 (COVID-19): Report of 3 autopsies from Houston, Texas, and review of autopsy findings from other United States cities. Cardiovasc. Pathol. 2020, 48, 107233. [Google Scholar] [CrossRef] [PubMed]
- Han, H.; Xie, L.; Liu, R.; Yang, J.; Liu, F.; Wu, K.; Chen, L.; Hou, W.; Feng, Y.; Zhu, C. Analysis of heart injury laboratory parameters in 273 COVID-19 patients in one hospital in Wuhan, China. J. Med. Virol. 2020, 92, 819–823. [Google Scholar] [CrossRef] [PubMed]
- Ansari Ramandi, M.M.; Baay, M.; Naderi, N. Does the novel coronavirus 2019 like heart more than the other family members of coronaviruses? J. Cardiovasc. Thorac. Res. 2020, 12, 156–157. [Google Scholar] [CrossRef] [PubMed]
- Bajaj, R.; Sinclair, H.C.; Patel, K.; Low, B.; Pericao, A.; Manisty, C.; Guttmann, O.; Zemrak, F.; Miller, O.; Longhi, P.; et al. Delayed-onset myocarditis following COVID-19. Lancet Respir. Med. 2021, 9, e32–e34. [Google Scholar] [CrossRef]
- Nicol, M.; Cacoub, L.; Baudet, M.; Nahmani, Y.; Cacoub, P.; Cohen-Solal, A.; Henry, P.; Adle-Biassette, H.; Logeart, D. Delayed acute myocarditis and COVID-19-related multisystem inflammatory syndrome. ESC Heart Fail. 2020, 7, 4371–4376. [Google Scholar] [CrossRef]
- Breitbart, P.; Alexander, K.; Schmidt, M.; Magedanz, A.; Lindhoff-Last, E.; Voigtländer, T.; Schmermund, A.; Mehta, R.H.; Eggebrecht, H. Clinical and cardiac magnetic resonance findings in post-COVID patients referred for suspected myocarditis. Clin. Res. Cardiol. 1929, 110, 1832–1840. [Google Scholar] [CrossRef]
- Li, W.; Moore, M.J.; Vasilieva, N.; Sui, J.; Wong, S.K.; Berne, M.A.; Somasundaran, M.; Sullivan, J.L.; Luzuriaga, K.; Greenough, T.C.; et al. Angiotensin-converting enzyme 2 is a functional receptor for the SARS coronavirus. Nature 2003, 426, 450–454. [Google Scholar] [CrossRef]
- Turner, A.J.; Hiscox, J.A.; Hooper, N.M. ACE2: From vasopeptidase to SARS virus receptor. Trends Pharmacol. Sci. 2004, 25, 291–294. [Google Scholar] [CrossRef]
- Pober, J.S.; Sessa, W.C. Evolving functions of endothelial cells in inflammation. Nat. Rev. Immunol. 2007, 7, 803–815. [Google Scholar] [CrossRef] [PubMed]
- Ali-Ahmed, F.; Dalgaard, F.; Al-Khatib, S.M. Sudden cardiac death in patients with myocarditis: Evaluation, risk stratification, and management. Am. Heart J. 2020, 220, 29–40. [Google Scholar] [CrossRef] [PubMed]
- Puntmann, V.O.; Ludovica Carerj, M.; Wieters, I.; Fahim, M.; Arendt, C.; Hoffmann, J.; Shchendrygina, A.; Escher, F.; Vasa-Nicotera, M.; Zeiher, A.M.; et al. Outcomes of Cardiovascular Magnetic Resonance Imaging in Patients Recently Recovered From Coronavirus Disease 2019 (COVID-19). JAMA Cardiol. 2020, 5, 1265–1273. [Google Scholar] [CrossRef] [PubMed]
- Gyöngyösi, M.; Hasimbegovic, E.; Han, E.; Zlabinger, K.; Spannbauer, A.; Riesenhuber, M.; Hamzaraj, K.; Bergler-Klein, J.; Hengstenberg, C.; Kammerlander, A.; et al. Improvement of Symptoms and Cardiac Magnetic Resonance Abnormalities in Patients with Post-Acute Sequelae of SARS-CoV-2 Cardiovascular Syndrome (PASC-CVS) after Guideline-Oriented Therapy. Biomedicines 2023, 11, 3312. [Google Scholar] [CrossRef]
- Dhakal, B.P.; Sweitzer, N.K.; Indik, J.H.; Acharya, D.; William, P. SARS-CoV-2 Infection and Cardiovascular Disease: COVID-19 Heart. Heart Lung Circ. 2020, 29, 973–987. [Google Scholar] [CrossRef]
- Babapoor-Farrokhran, S.; Gill, D.; Walker, J.; Rasekhi, R.T.; Bozorgnia, B.; Amanullah, A. Myocardial injury and COVID-19: Possible mechanisms. Life Sci. 2020, 253, 117723. [Google Scholar] [CrossRef] [PubMed]
- Clark, D.E.; Aggarwal, S.K.; Phillips, N.J.; Soslow, J.H.; Dendy, J.M.; Hughes, S.G. Cardiac Magnetic Resonance in the Evaluation of COVID-19. Card. Fail. Rev. 2022, 8, e09. [Google Scholar] [CrossRef]
- Luetkens, J.A.; Homsi, R.; Dabir, D.; Kuetting, D.L.; Marx, C.; Doerner, J.; Schlesinger-Irsch, U.; Andrié, R.; Sprinkart, A.M.; Schmeel, F.C.; et al. Comprehensive Cardiac Magnetic Resonance for Short-Term Follow-Up in Acute Myocarditis. J. Am. Heart Assoc. 2016, 5, e003603. [Google Scholar] [CrossRef]
- Zagrosek, A.; Abdel-Aty, H.; Boyé, P.; Wassmuth, R.; Messroghli, D.; Utz, W.; Rudolph, A.; Bohl, S.; Dietz, R.; Schulz-Menger, J. Cardiac Magnetic Resonance Monitors Reversible and Irreversible Myocardial Injury in Myocarditis. JACC Cardiovasc. Imaging 2009, 2, 131–138. [Google Scholar] [CrossRef]
- Barone-Rochette, G.; Augier, C.; Rodière, M.; Quesada, J.; Foote, A.; Bouvaist, H.; Marlière, S.; Fagret, D.; Baguet, J.P.; Vanzetto, G. Potentially simple score of late gadolinium enhancement cardiac MR in acute myocarditis outcome. J. Magn. Reson. Imaging 2014, 40, 1347–1354. [Google Scholar] [CrossRef]
- Gräni, C.; Eichhorn, C.; Bière, L.; Murthy, V.L.; Agarwal, V.; Kaneko, K.; Cuddy, S.; Aghayev, A.; Steigner, M.; Blankstein, R.; et al. Prognostic Value of Cardiac Magnetic Resonance Tissue Characterization in Risk Stratifying Patients With Suspected Myocarditis. J. Am. Coll. Cardiol. 2017, 70, 1964–1976. [Google Scholar] [CrossRef] [PubMed]
- Aquaro, G.D.; Perfetti, M.; Camastra, G.; Monti, L.; Dellegrottaglie, S.; Moro, C.; Pepe, A.; Todiere, G.; Lanzillo, C.; Scatteia, A.; et al. Cardiac MR With Late Gadolinium Enhancement in Acute Myocarditis With Preserved Systolic Function. J. Am. Coll. Cardiol. 2017, 70, 1977–1987. [Google Scholar] [CrossRef]
- Brito, D.; Meester, S.; Yanamala, N.; Patel, H.B.; Balcik, B.J.; Casaclang-Verzosa, G.; Seetharam, K.; Riveros, D.; Beto, R.J., 2nd; Balla, S.; et al. High Prevalence of Pericardial Involvement in College Student Athletes Recovering From COVID-19. JACC Cardiovasc. Imaging 2021, 14, 541–555. [Google Scholar] [CrossRef]
- Saraç, İ.; Aydın, S.Ş.; Özmen, M.; Doru, H.İ.; Tonkaz, G.; Çırçır, M.N.; Akpınar, F.; Zengin, O.; Delice, O.; Aydınyılmaz, F. Prevalence, Risk Factors, Prognosis, and Management of Pericardial Effusion in COVID-19. J. Cardiovasc. Dev. Dis. 2023, 10, 368. [Google Scholar] [CrossRef]
- Mitrani, R.D.; Dabas, N.; Alfadhli, J.; Lowery, M.H.; Best, T.M.; Hare, J.M.; Myerburg, R.J.; Goldberger, J.J. Long-term cardiac surveillance and outcomes of COVID-19 patients. Trends Cardiovasc. Med. 2022, 32, 465–475. [Google Scholar] [CrossRef]
- Palmisano, A.; Vignale, D.; Bruno, E.; Peretto, G.; De Luca, G.; Campochiaro, C.; Tomelleri, A.; Agricola, E.; Montorfano, M.; Esposito, A. Cardiac magnetic resonance findings in acute and post-acute COVID-19 patients with suspected myocarditis. J. Clin. Ultrasound 2023, 51, 613–621. [Google Scholar] [CrossRef] [PubMed]
- Raman, B.; Bluemke, D.A.; Lüscher, T.F.; Neubauer, S. Long COVID: Post-acute sequelae of COVID-19 with a cardiovascular focus. Eur. Heart J. 2022, 43, 1157–1172. [Google Scholar] [CrossRef] [PubMed]
Disclaimer/Publisher’s Note: The statements, opinions and data contained in all publications are solely those of the individual author(s) and contributor(s) and not of MDPI and/or the editor(s). MDPI and/or the editor(s) disclaim responsibility for any injury to people or property resulting from any ideas, methods, instructions or products referred to in the content. |
© 2024 by the authors. Licensee MDPI, Basel, Switzerland. This article is an open access article distributed under the terms and conditions of the Creative Commons Attribution (CC BY) license (https://creativecommons.org/licenses/by/4.0/).




