Improved Isolation Optimizes Downstream Application of Extracellular Vesicles Derived from Mycobacterium tuberculosis
Abstract
1. Introduction
2. Materials and Methods
2.1. Cultivating H37Rv and Extracting EVs Using Various Isolation Methods
2.2. Transmission Electron Microscopy
2.3. Nanoparticle Tracking Analysis
2.4. Protein Analysis
2.5. Test of EV Uptake AND Viability in RAW264.7
2.6. Quantitative Real-Time PCR
2.7. ELISA
2.8. Animal Experiments
2.9. Statistical Analysis
3. Results
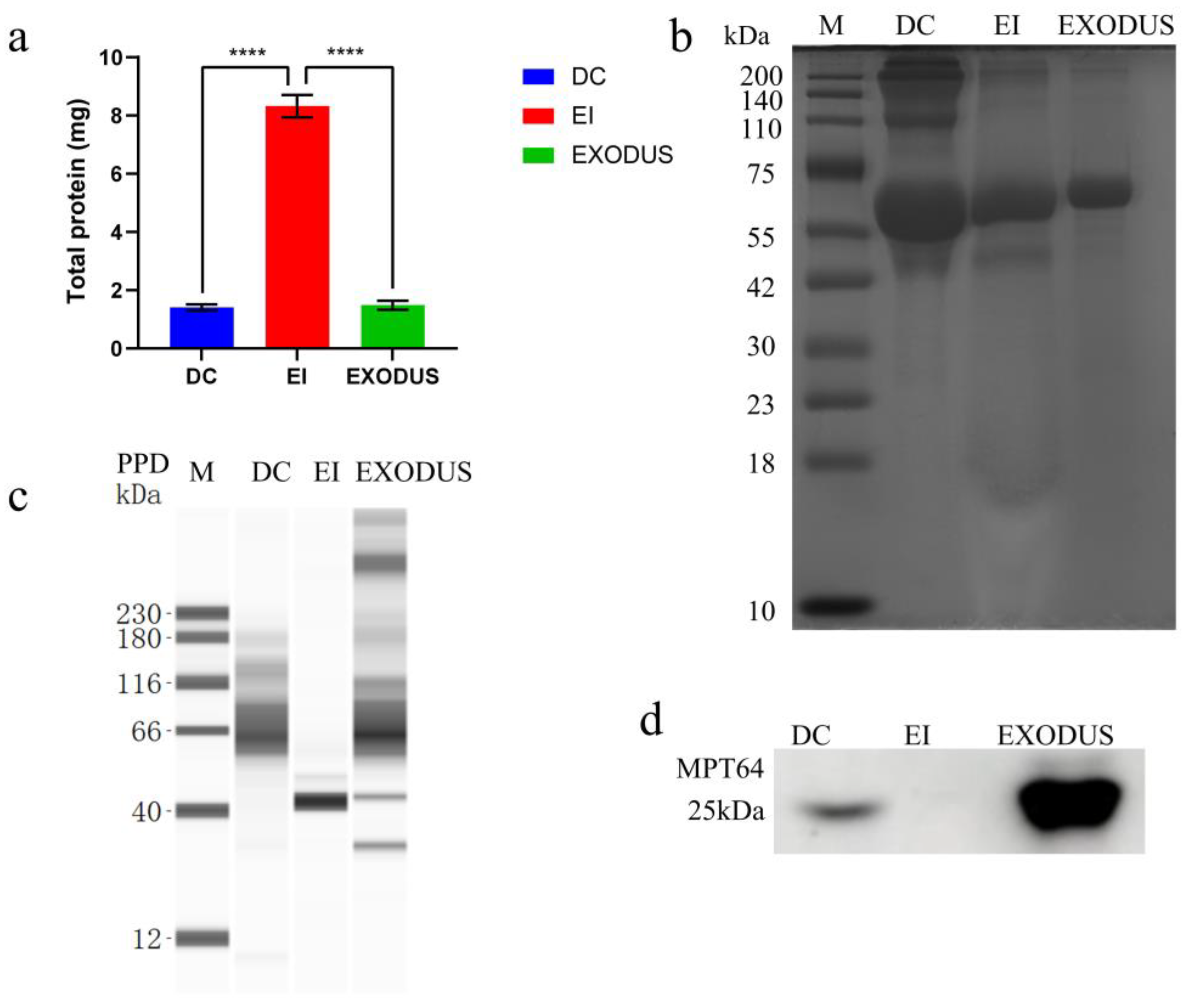
3.1. Comparative Analysis of H37Rv EVs Isolated via Three Methods
3.1.1. Electron Microscopy Analysis
3.1.2. Nanoparticle Tracking Analysis
3.1.3. Protein Analysis
3.2. Analysis of H37Rv EVs for Downstream Application
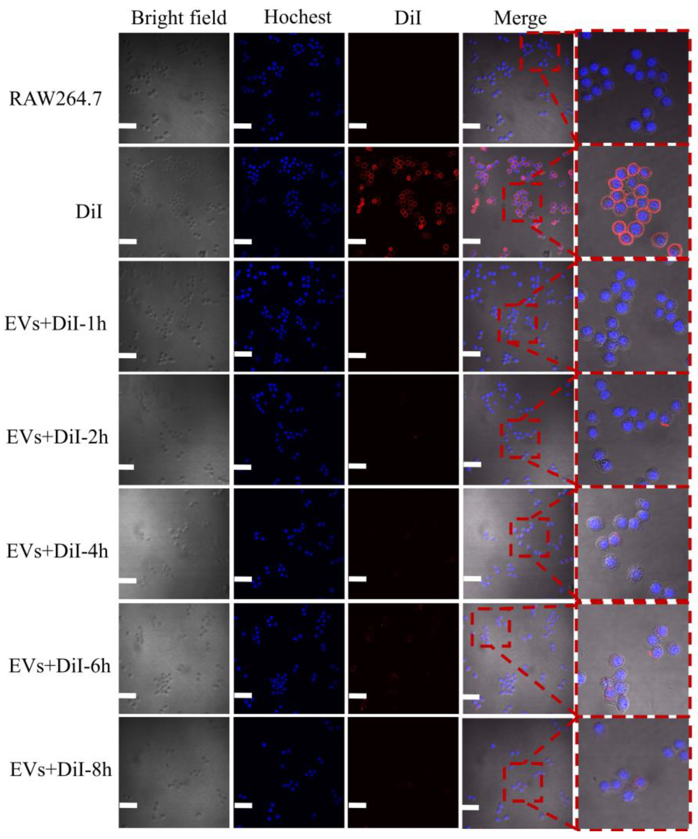
3.2.1. Uptake of H37Rv EVs by RAW264.7 Cells
3.2.2. Analysis of Immunological Effects of H37Rv EVs on RAW264.7 Cells
3.2.3. Effects of H37Rv EVs on the Brain and Their Ability to Cross the Blood–Brain Barrier
4. Discussion
5. Conclusions
Supplementary Materials
Author Contributions
Funding
Data Availability Statement
Acknowledgments
Conflicts of Interest
References
- Rao, K.U.; Godaly, G. Isolation and Purification of Mycobacterial Extracellular Vesicles (EVs). Methods Mol. Biol. 2023, 2674, 55–60. [Google Scholar] [CrossRef] [PubMed]
- World Health Organization. Global Tuberculosis Report 2023; World Health Organization: Geneva, Switzerland, 2023; Licence: CC BY-NC-SA 3.0 IGO. [Google Scholar]
- Palacios, A.; Gupta, S.; Rodriguez, G.M.; Prados-Rosales, R. Extracellular vesicles in the context of Mycobacterium tuberculosis infection. Mol. Immunol. 2021, 133, 175–181. [Google Scholar] [CrossRef]
- Dulberger, C.L.; Rubin, E.J.; Boutte, C.C. The mycobacterial cell envelope—A moving target. Nat. Rev. Microbiol. 2020, 18, 47–59. [Google Scholar] [CrossRef] [PubMed]
- Lai, C.H.; Listgarten, M.A.; Hammond, B.F. Comparative ultrastructure of leukotoxic and non-leukotoxic strains of Actinobacillus actinomycetemcomitans. J. Periodontal Res. 1981, 16, 379–389. [Google Scholar] [CrossRef] [PubMed]
- Prados-Rosales, R.; Baena, A.; Martinez, L.R.; Luque-Garcia, J.; Kalscheuer, R.; Veeraraghavan, U.; Camara, C.; Nosanchuk, J.D.; Besra, G.S.; Chen, B.; et al. Mycobacteria release active membrane vesicles that modulate immune responses in a TLR2-dependent manner in mice. J. Clin. Investig. 2011, 121, 1471–1483. [Google Scholar] [CrossRef]
- Li, Y.; Qian, Y.; Wang, N.; Qiu, D.; Cao, H.; Wang, Y.; Luo, H.; Shen, X.; Cui, H.; Wang, J.; et al. The functions and applications of extracellular vesicles derived from Mycobacterium tuberculosis. Biomed. Pharmacother. 2023, 168, 115767. [Google Scholar] [CrossRef]
- Prados-Rosales, R.; Carreno, L.J.; Batista-Gonzalez, A.; Baena, A.; Venkataswamy, M.M.; Xu, J.; Yu, X.; Wallstrom, G.; Magee, D.M.; LaBaer, J.; et al. Mycobacterial membrane vesicles administered systemically in mice induce a protective immune response to surface compartments of Mycobacterium tuberculosis. mBio 2014, 5, e01921-14. [Google Scholar] [CrossRef]
- Doyle, L.M.; Wang, M.Z. Overview of Extracellular Vesicles, Their Origin, Composition, Purpose, and Methods for Exosome Isolation and Analysis. Cells 2019, 8, 727. [Google Scholar] [CrossRef]
- Patel, G.K.; Khan, M.A.; Zubair, H.; Srivastava, S.K.; Khushman, M.; Singh, S.; Singh, A.P. Comparative analysis of exosome isolation methods using culture supernatant for optimum yield, purity and downstream applications. Sci. Rep. 2019, 9, 5335. [Google Scholar] [CrossRef]
- Chen, G.Z.; Fan, F.F.; Deng, S.Q.; Xia, X.Y.; Bian, X.C.; Ren, Y.H.; Wei, L. Extraction of Extracelluar Vesicles Derived from Mycobacterium tuberculosis and Their Effect on the Production of Reactive Oxygen Species and Expression of Inflammatory Factors in Mouse Bone Marrow-Derived Dendritic Cells. Sichuan Da Xue Xue Bao Yi Xue Ban 2023, 54, 122–127. [Google Scholar] [CrossRef]
- Ryan, J.M.; Dobos, K.M.; Kruh-Garcia, N.A. Mycobacterium tuberculosis Extracellular Vesicle Enrichment through Size Exclusion Chromatography. J. Vis. Exp. 2022, 183, e63895. [Google Scholar] [CrossRef]
- Chitale, P.; Lemenze, A.D.; Fogarty, E.C.; Shah, A.; Grady, C.; Odom-Mabey, A.R.; Johnson, W.E.; Yang, J.H.; Eren, A.M.; Brosch, R.; et al. A comprehensive update to the Mycobacterium tuberculosis H37Rv reference genome. Nat. Commun. 2022, 13, 7068. [Google Scholar] [CrossRef] [PubMed]
- Wallace, E.; Hendrickson, D.; Tolli, N.; Mehaffy, C.; Peña, M.; Nick, J.A.; Knabenbaur, P.; Watkins, J.; Simpson, A.; Amin, A.G.; et al. Culturing Mycobacteria. Methods Mol. Biol. 2021, 2314, 1–58. [Google Scholar] [CrossRef]
- Narciso, A.R.; Aschtgen, M.S. Strategies to Isolate Extracellular Vesicles from Gram-Negative and Gram-Positive Bacteria. Methods Mol. Biol. 2023, 2674, 61–70. [Google Scholar] [CrossRef]
- Ji, N.; Wang, F.; Wang, M.; Zhang, W.; Liu, H.; Su, J. Engineered bacterial extracellular vesicles for central nervous system diseases. J. Control Release 2023, 364, 46–60. [Google Scholar] [CrossRef] [PubMed]
- Chen, Y.; Zhu, Q.; Cheng, L.; Wang, Y.; Li, M.; Yang, Q.; Hu, L.; Lou, D.; Li, J.; Dong, X.; et al. Exosome detection via the ultrafast-isolation system: EXODUS. Nat. Methods 2021, 18, 212–218. [Google Scholar] [CrossRef]
- Chen, G.; Gao, C.; Jiang, S.; Cai, Q.; Li, R.; Sun, Q.; Xiao, C.; Xu, Y.; Wu, B.; Zhou, H. Fusobacterium nucleatum outer membrane vesicles activate autophagy to promote oral cancer metastasis. J. Adv. Res. 2024, 56, 167–179. [Google Scholar] [CrossRef]
- Wu, Z.; Wei, W.; Zhou, Y.; Guo, H.; Zhao, J.; Liao, Q.; Chen, L.; Zhang, X.; Zhou, L. Integrated Quantitative Proteomics and Metabolome Profiling Reveal MSMEG_6171 Overexpression Perturbing Lipid Metabolism of Mycobacterium smegmatis Leading to Increased Vancomycin Resistance. Front. Microbiol. 2020, 11, 1572. [Google Scholar] [CrossRef]
- Li, Y.; Song, Y.; Zhao, L.; Gaidosh, G.; Laties, A.M.; Wen, R. Direct labeling and visualization of blood vessels with lipophilic carbocyanine dye DiI. Nat. Protoc. 2008, 3, 1703–1708. [Google Scholar] [CrossRef]
- Ge, X.; Meng, Q.; Wei, L.; Liu, J.; Li, M.; Liang, X.; Lin, F.; Zhang, Y.; Li, Y.; Liu, Z.; et al. Myocardial ischemia-reperfusion induced cardiac extracellular vesicles harbour proinflammatory features and aggravate heart injury. J. Extracell. Vesicles 2021, 10, e12072. [Google Scholar] [CrossRef]
- Foreman-Ortiz, I.U.; Ma, T.F.; Hoover, B.M.; Wu, M.; Murphy, C.J.; Murphy, R.M.; Pedersen, J.A. Nanoparticle tracking analysis and statistical mixture distribution analysis to quantify nanoparticle-vesicle binding. J. Colloid. Interface Sci. 2022, 615, 50–58. [Google Scholar] [CrossRef] [PubMed]
- James, A.E.; Driskell, J.D. Monitoring gold nanoparticle conjugation and analysis of biomolecular binding with nanoparticle tracking analysis (NTA) and dynamic light scattering (DLS). Analyst 2013, 138, 1212–1218. [Google Scholar] [CrossRef] [PubMed]
- Cho, Y.S.; Dobos, K.M.; Prenni, J.; Yang, H.; Hess, A.; Rosenkrands, I.; Andersen, P.; Ryoo, S.W.; Bai, G.H.; Brennan, M.J.; et al. Deciphering the proteome of the in vivo diagnostic reagent “purified protein derivative” from Mycobacterium tuberculosis. Proteomics 2012, 12, 979–991. [Google Scholar] [CrossRef]
- Kestler, B.; Tyler, S.K. Latent tuberculosis testing through the ages: The search for a sleeping killer. Am. J. Physiol. Lung Cell Mol. Physiol. 2022, 322, L412–L419. [Google Scholar] [CrossRef]
- Singh, S.; Maurya, S.K.; Aqdas, M.; Bashir, H.; Arora, A.; Bhalla, V.; Agrewala, J.N. Mycobacterium tuberculosis exploits MPT64 to generate myeloid-derived suppressor cells to evade the immune system. Cell Mol. Life Sci. 2022, 79, 567. [Google Scholar] [CrossRef]
- Kamra, E.; Prasad, T.; Rais, A.; Dahiya, B.; Sheoran, A.; Soni, A.; Sharma, S.; Mehta, P.K. Diagnosis of genitourinary tuberculosis: Detection of mycobacterial lipoarabinomannan and MPT-64 biomarkers within urine extracellular vesicles by nano-based immuno-PCR assay. Sci. Rep. 2023, 13, 11560. [Google Scholar] [CrossRef]
- Rezwan, M.; Grau, T.; Tschumi, A.; Sander, P. Lipoprotein synthesis in mycobacteria. Microbiology 2007, 153, 652–658. [Google Scholar] [CrossRef] [PubMed]
- Lee, J.; Kim, S.H.; Choi, D.S.; Lee, J.S.; Kim, D.K.; Go, G.; Park, S.M.; Kim, S.H.; Shin, J.H.; Chang, C.L.; et al. Proteomic analysis of extracellular vesicles derived from Mycobacterium tuberculosis. Proteomics 2015, 15, 3331–3337. [Google Scholar] [CrossRef] [PubMed]
- Xie, J.; Li, Q.; Haesebrouck, F.; Van Hoecke, L.; Vandenbroucke, R.E. The tremendous biomedical potential of bacterial extracellular vesicles. Trends Biotechnol. 2022, 40, 1173–1194. [Google Scholar] [CrossRef]
- Nagakubo, T.; Nomura, N.; Toyofuku, M. Cracking Open Bacterial Membrane Vesicles. Front. Microbiol. 2019, 10, 3026. [Google Scholar] [CrossRef]
- Turner, L.; Bitto, N.J.; Steer, D.L.; Lo, C.; D’Costa, K.; Ramm, G.; Shambrook, M.; Hill, A.F.; Ferrero, R.L.; Kaparakis-Liaskos, M. Helicobacter pylori Outer Membrane Vesicle size Determines Their Mechanisms of host cell entry and Protein content. Front. Immunol. 2018, 9, 1466. [Google Scholar] [CrossRef] [PubMed]
- Kim, K.S. Mechanisms of microbial traversal of the blood-brain barrier. Nat. Rev. Microbiol. 2008, 6, 625–634. [Google Scholar] [CrossRef] [PubMed]
- Prados-Rosales, R.; Brown, L.; Casadevall, A.; Montalvo-Quiros, S.; Luque-Garcia, J.L. Isolation and identification of membrane vesicle-associated proteins in Gram-positive bacteria and mycobacteria. MethodsX 2014, 1, 124–129. [Google Scholar] [CrossRef]
- Brown, L.; Wolf, J.M.; Prados-Rosales, R.; Casadevall, A. Through the wall: Extracellular vesicles in Gram-positive bacteria, mycobacteria and fungi. Nat. Rev. Microbiol. 2015, 13, 620–630. [Google Scholar] [CrossRef]
- Kaur, D.; Guerin, M.E.; Skovierova, H.; Brennan, P.J.; Jackson, M. Chapter 2: Biogenesis of the cell wall and other glycoconjugates of Mycobacterium tuberculosis. Adv. Appl. Microbiol. 2009, 69, 23–78. [Google Scholar] [CrossRef] [PubMed]
- Welsh, J.A.; Goberdhan, D.C.; O’Driscoll, L.; Buzas, E.I.; Blenkiron, C.; Bussolati, B.; Cai, H.; Di Vizio, D.; Driedonks, T.A.; Erdbrügger, U.; et al. Minimal information for studies of extracellular vesicles (MISEV2023): From basic to advanced approaches. J. Extracell. Vesicles 2024, 13, e12404. [Google Scholar] [CrossRef]
- Chiplunkar, S.S.; Silva, C.A.; Bermudez, L.E.; Danelishvili, L. Characterization of membrane vesicles released by Mycobacterium avium in response to environment mimicking the macrophage phagosome. Future Microbiol. 2019, 14, 293–313. [Google Scholar] [CrossRef]
- Veerman, R.E.; Teeuwen, L.; Czarnewski, P.; Güclüler Akpinar, G.; Sandberg, A.; Cao, X.; Pernemalm, M.; Orre, L.M.; Gabrielsson, S.; Eldh, M. Molecular evaluation of five different isolation methods for extracellular vesicles reveals different clinical applicability and subcellular origin. J. Extracell. Vesicles 2021, 10, e12128. [Google Scholar] [CrossRef]
- Shu, S.L.; Yang, Y.; Allen, C.L.; Hurley, E.; Tung, K.H.; Minderman, H.; Wu, Y.; Ernstoff, M.S. Purity and yield of melanoma exosomes are dependent on isolation method. J. Extracell. Vesicles 2020, 9, 1692401. [Google Scholar] [CrossRef]
- Chutkan, H.; Macdonald, I.; Manning, A.; Kuehn, M.J. Quantitative and qualitative preparations of bacterial outer membrane vesicles. Methods Mol. Biol. 2013, 966, 259–272. [Google Scholar] [CrossRef]
- Sidhom, K.; Obi, P.O.; Saleem, A. A Review of Exosomal Isolation Methods: Is Size Exclusion Chromatography the Best Option? Int. J. Mol. Sci. 2020, 21, 6466. [Google Scholar] [CrossRef] [PubMed]
- Reiner, A.T.; Witwer, K.W.; Van Balkom, B.W.; De Beer, J.; Brodie, C.; Corteling, R.L.; Gabrielsson, S.; Gimona, M.; Ibrahim, A.G.; De Kleijn, D.; et al. Concise Review: Developing Best-Practice Models for the Therapeutic Use of Extracellular Vesicles. Stem Cells Transl. Med. 2017, 6, 1730–1739. [Google Scholar] [CrossRef] [PubMed]
- Biadglegne, F.; Rademacher, P.; De Sulbaran, Y.G.; König, B.; Rodloff, A.C.; Zedler, U.; Dorhoi, A.; Sack, U. Exosomes in serum-free cultures of THP-1 macrophages infected with Mycobacterium tuberculosis. Mol. Med. Rep. 2021, 24, 815. [Google Scholar] [CrossRef]
- Atha, D.H.; Ingham, K.C. Mechanism of precipitation of proteins by polyethylene glycols. Analysis in terms of excluded volume. J. Biol. Chem. 1981, 256, 12108–12117. [Google Scholar] [CrossRef]
- Dixson, A.C.; Dawson, T.R.; Di Vizio, D.; Weaver, A.M. Context-specific regulation of extracellular vesicle biogenesis and cargo selection. Nat. Rev. Mol. Cell Biol. 2023, 24, 454–476. [Google Scholar] [CrossRef] [PubMed]
- Maas, S.L.N.; Breakefield, X.O.; Weaver, A.M. Extracellular Vesicles: Unique Intercellular Delivery Vehicles. Trends Cell Biol. 2017, 27, 172–188. [Google Scholar] [CrossRef]
- Mohammadzadeh, R.; Ghazvini, K.; Farsiani, H.; Soleimanpour, S. Mycobacterium tuberculosis extracellular vesicles: Exploitation for vaccine technology and diagnostic methods. Crit. Rev. Microbiol. 2021, 47, 13–33. [Google Scholar] [CrossRef]
- Rath, P.; Huang, C.; Wang, T.; Wang, T.; Li, H.; Prados-Rosales, R.; Elemento, O.; Casadevall, A.; Nathan, C.F. Genetic regulation of vesiculogenesis and immunomodulation in Mycobacterium tuberculosis. Proc. Natl. Acad. Sci. USA 2013, 110, E4790–E4797. [Google Scholar] [CrossRef]
- Maserumule, C.; Passemar, C.; Oh, O.S.; Hegyi, K.; Brown, K.; Weimann, A.; Dinan, A.; Davila, S.; Klapholz, C.; Bryant, J.; et al. Phagosomal RNA sensing through TLR8 controls susceptibility to tuberculosis. bioRxiv 2022. [Google Scholar] [CrossRef]
- Srivastava, P.; Kim, K.S. Membrane Vesicles Derived from Gut Microbiota and Probiotics: Cutting-Edge Therapeutic Approaches for Multidrug-Resistant Superbugs Linked to Neurological Anomalies. Pharmaceutics 2022, 14, 2370. [Google Scholar] [CrossRef]
- Ha, J.Y.; Choi, S.Y.; Lee, J.H.; Hong, S.H.; Lee, H.J. Delivery of Periodontopathogenic Extracellular Vesicles to Brain Monocytes and Microglial IL-6 Promotion by RNA Cargo. Front. Mol. Biosci. 2020, 7, 596366. [Google Scholar] [CrossRef] [PubMed]
- Han, E.C.; Choi, S.Y.; Lee, Y.; Park, J.W.; Hong, S.H.; Lee, H.J. Extracellular RNAs in periodontopathogenic outer membrane vesicles promote TNF-alpha production in human macrophages and cross the blood-brain barrier in mice. FASEB J. 2019, 33, 13412–13422. [Google Scholar] [CrossRef] [PubMed]
- Xie, J.; Cools, L.; Van Imschoot, G.; Van Wonterghem, E.; Pauwels, M.J.; Vlaeminck, I.; De Witte, C.; El Andaloussi, S.; Wierda, K.; De Groef, L.; et al. Helicobacter pylori-derived outer membrane vesicles contribute to Alzheimer’s disease pathogenesis via C3-C3aR signalling. J. Extracell. Vesicles 2023, 12, e12306. [Google Scholar] [CrossRef] [PubMed]
- Gong, T.; Chen, Q.; Mao, H.; Zhang, Y.; Ren, H.; Xu, M.; Chen, H.; Yang, D. Outer membrane vesicles of Porphyromonas gingivalis trigger NLRP3 inflammasome and induce neuroinflammation, tau phosphorylation, and memory dysfunction in mice. Front. Cell Infect. Microbiol. 2022, 12, 925435. [Google Scholar] [CrossRef] [PubMed]
- Liu, S.; Butler, C.A.; Ayton, S.; Reynolds, E.C.; Dashper, S.G. Porphyromonas gingivalis and the pathogenesis of Alzheimer’s disease. Crit. Rev. Microbiol. 2024, 50, 127–137. [Google Scholar] [CrossRef]
- Cheng, Z.; Zheng, Y.; Yang, W.; Sun, H.; Zhou, F.; Huang, C.; Zhang, S.; Song, Y.; Liang, Q.A.; Yang, N.; et al. Pathogenic bacteria exploit transferrin receptor transcytosis to penetrate the blood-brain barrier. Proc. Natl. Acad. Sci. USA 2023, 120, e2307899120. [Google Scholar] [CrossRef]







| Categories | DC | EI | EXODUS |
|---|---|---|---|
| Original Concentration (Particles/mL) | 6.0 × 1010 | 3.1 × 1011 | 8.2 × 1010 |
| Dilution Factor | 500 | 2500 | 2000 |
| Concentration (Particles/mL) | 1.2 × 108 | 1.3 × 108 | 4.1 × 107 |
| Diameter/nm | 116.7 | 137.2 | 110.3 |
| X10 | 92.5 | 97.6 | 77.3 |
| Median (X50) | 135.0 | 149.4 | 112.4 |
| X90 | 196.4 | 223.9 | 181.9 |
Disclaimer/Publisher’s Note: The statements, opinions and data contained in all publications are solely those of the individual author(s) and contributor(s) and not of MDPI and/or the editor(s). MDPI and/or the editor(s) disclaim responsibility for any injury to people or property resulting from any ideas, methods, instructions or products referred to in the content. |
© 2024 by the authors. Licensee MDPI, Basel, Switzerland. This article is an open access article distributed under the terms and conditions of the Creative Commons Attribution (CC BY) license (https://creativecommons.org/licenses/by/4.0/).
Share and Cite
Wang, W.; Hou, Y.; Zhang, J.; Sun, Z.; Sun, H. Improved Isolation Optimizes Downstream Application of Extracellular Vesicles Derived from Mycobacterium tuberculosis. Microorganisms 2024, 12, 2129. https://doi.org/10.3390/microorganisms12112129
Wang W, Hou Y, Zhang J, Sun Z, Sun H. Improved Isolation Optimizes Downstream Application of Extracellular Vesicles Derived from Mycobacterium tuberculosis. Microorganisms. 2024; 12(11):2129. https://doi.org/10.3390/microorganisms12112129
Chicago/Turabian StyleWang, Wenjing, Yue Hou, Jingfang Zhang, Zhaogang Sun, and Hong Sun. 2024. "Improved Isolation Optimizes Downstream Application of Extracellular Vesicles Derived from Mycobacterium tuberculosis" Microorganisms 12, no. 11: 2129. https://doi.org/10.3390/microorganisms12112129
APA StyleWang, W., Hou, Y., Zhang, J., Sun, Z., & Sun, H. (2024). Improved Isolation Optimizes Downstream Application of Extracellular Vesicles Derived from Mycobacterium tuberculosis. Microorganisms, 12(11), 2129. https://doi.org/10.3390/microorganisms12112129
