Abstract
In modern clinical practice, there is an increasing dependence on imaging techniques in several settings, and especially during emergencies. Consequently, there has been an increase in the frequency of imaging examinations and thus also an increased risk of radiation exposure. In this context, a critical phase is a woman’s pregnancy management that requires a proper diagnostic assessment to reduce radiation risk to the fetus and mother. The risk is greatest during the first phases of pregnancy at the time of organogenesis. Therefore, the principles of radiation protection should guide the multidisciplinary team. Although diagnostic tools that do not employ ionizing radiation, such as ultrasound (US) and magnetic resonance imaging (MRI) should be preferred, in several settings as polytrauma, computed tomography (CT) nonetheless remains the examination to perform, beyond the fetus risk. In addition, protocol optimization, using dose-limiting protocols and avoiding multiple acquisitions, is a critical point that makes it possible to reduce risks. The purpose of this review is to provide a critical evaluation of emergency conditions, e.g., abdominal pain and trauma, considering the different diagnostic tools that should be used as study protocols in order to control the dose to the pregnant woman and fetus.
1. Introduction
In modern clinical practice, there is an increasing dependence on imaging techniques in most settings, and especially in emergency settings. Consequently, there has been an increase in the frequency of imaging examinations and with it an increased risk of radiation exposure. In this context, a critical setting is a pregnant woman who requires proper diagnostic management during an emergency. Provision of the right care to a pregnant woman could cause anxiety, which could result in delayed, inappropriate, or underutilization or overutilization of imaging [1].
Ionizing radiation fetal exposure is one of the main concerns for care practitioners, although the risk of radiation effects on fetus is correlated to radiation dose and radiation target as does the stage of gestation [2]. With regard to the target, radiation examinations on the expecting mother’s head, neck, and extremities cause a very low fetal irradiation. However, diagnostic fluoroscopy and abdomen and pelvis computed tomography (CT) studies provide a more substantial dose.
Regarding the gestation stage, it is believed that, during the first 2 weeks after fertilization, radiation is responsible for an “all or nothing” event, which could determine either normal development of the fetus, without effects, or a spontaneous abortion. The dose threshold for inducing a spontaneous abortion is estimated to be 50 to 100 mGy or higher, which corresponds to a greater dose than a single CT study should ever reach [2,3,4,5]. However, the rate of this event is about 50% when a fetus is subjected to a radiation-based examination during the early phases of gestation [3]. After the 2nd week, the main risk is the teratogenesis, which is common between the 2nd and 25th weeks, especially between the 8th and 15th weeks. Teratogenesis is due to both rapid organ development and differentiation at this stage, at a dose higher than 50 to 100 mGy [2,4]. There are different kinds of damage that can occur regardless of the dose, the so-called radiation stochastic effects, among which carcinogenesis is the most significant [6,7,8,9,10,11,12,13,14,15,16,17,18,19,20,21,22,23,24,25]. Anyway, the risk that carcinogenesis will occur is low if diagnostic examinations are managed appropriately. Although doubts exist, this risk is similar in the second and third trimesters and part of the first trimester. The lifetime attributable risk of developing cancer is approximately 0.4% per 10 mGy fetal dose [3]. So, the total fetal radiation exposure through pregnancy should be known if a pregnant woman is subjected to multiple necessary examinations. In this regard, the mother should be clearly informed of the possibility of this event, and it should be part of the informed consent [6]. A radiation level lower than 50 mGy is not correlated to fetal injury or abortion [8]; so, considering that dose reduction and optimization are the main goals in the radiological field, in accordance with the “as low as reasonably achievable” (ALARA) principle, the fetus should not be exposed to doses approaching this threshold in most of the imaging examinations used in clinical practice [9,10,11,12,26].
2. Communicating Benefits and Risks
Pregnant women exposed to radiation often request counselling about the associated radiation exposure and fetal risks [25]. In this context, it is critical that the counsellor be well-versed in the potential adverse effects correlated to the different levels of radiation exposure, so as not to unintentionally increase apprehension. Inappropriately, some care givers have inadequate knowledge of the ionizing radiation biological effects and of the possibility of using alternative non-ionizing diagnostic techniques. Consequently, inadequate counselling may cause more harm than the radiation exposure itself [27,28,29]. The conditions surrounding inadvertent radiation exposure of a pregnant woman or any patient due to inaccurate counselling on the radiation risk may have medicolegal implications [12,15,23,26,30].
Since many of the complex issues dealt with in this paper are not clearly known by non-healthcare professionals, nor among all healthcare professionals, a valuable information source for women could be their obstetric care provider. However, the obstetrician usually does not have the knowledge to offer proper counselling for all exposure conditions, and other experienced professionals, such as radiologists, should be proposed [25,31,32,33,34,35,36,37,38,39,40,41,42,43,44,45,46,47,48,49]. In addition, it would be appropriate that the consultation include not only verbal communication, but a written report with supporting information and clarifications as well [10,11,12,13,14,15,50,51,52,53,54,55,56,57,58,59,60,61,62,63,64,65,66,67,68,69].
3. Imaging Tools
Imaging tools without ionizing radiation should be employed during pregnancy. In this context, ultrasound (US) and magnetic resonance imaging (MRI) have several advantages over CT [30,61,68,70,71,72,73,74,75,76,77,78,79,80]. US is widely used, easy to perform, and has a low cost. However, the dependency operator reduces its diagnostic accuracy. MRIs have superior soft-tissue contrasts and functional applications compared to CT and US. However, the long examination time and high costs represent an obstacle, especially during an emergency. Abbreviated MRI protocols remove unnecessary sequences that negatively affect acquisition time. Although both methods are of proven utility, in some clinical settings, including emergencies, CT remains the method of problem solving and therefore of choice [27,50,51,52,53,60,73,77,81,82,83].
In any case, when a healthcare professional has to perform a diagnostic investigation, it is crucial that he keep in mind the fundamental principles of radiation protection, and this fact is even more important for a pregnant woman. Among these principles, the one that should be well known is the principle of optimization that the International Commission on Radiological Protection has named the “as low as reasonably achievable” (ALARA) principle, which states that, to obtain a diagnosis, the lowest possible dose level should be employed [10,13,24,25,26,27,28,29,30,31]. In addition, “the principle of justification” should be considered, i.e., the appropriateness of the imaging allows you to perform only necessary radiological procedures, avoiding unjustified exposure [10,13]. From a legal point of view, radiologists and obstetricians, before performing an imaging study, should have a signed informed consent form. Informed consent forms should be signed by all pregnant women for all diagnostic studies performed. Obtaining informed consent is good medical practice, since on the one hand it informs the patient about the possibility of alternative methods, albeit with different levels of accuracy, and, on the other hand, it makes known the risks and benefits of the methods used [14,24,32,34,54,75].
4. Clinical Setting: Abdominal Pain
The imaging tool choice to be employed in a pregnant patient’s abdominal assessment is complicated and should take into account the urgency in diagnosis, the main clinical hypotheses, the results of previous examinations, and the risks that these examinations have for the mother and fetus. The major non-obstetric clinical conditions that require an imaging assessment, because they are entities that can compromise the life of the mother and fetus, are those responsible for acute abdomen conditions, particularly appendicitis and biliary tract diseases, as well as an obstruction of the urinary tract, since it is responsible for pyelonephritis [9,30,33,34,35,36,37,38,39,40,41,42,43,44,45,46,47,48,49,50,51,52,53,54,55,56,57,58,59,60,61,62,63,64,65,66,67,68,84].
5. Acute Appendicitis
Acute appendicitis is the principal acute surgical abdomen condition in pregnancy, with an estimated prevalence of 50–70 cases/1000 patients [14,15,16]. This entity is correlated to a higher risk of premature childbirth and of perforation, as well as to higher rates of fetal morbidity [16]. In addition to the greater severity, the clinical symptoms may not help determine the diagnosis, since nausea, vomiting, and leukocytosis could be typical symptoms during pregnancy [16,59]. Moreover, several conditions can be responsible for abdominal pain, and a correct diagnosis is essential, hence the need for an imaging study. The choice of imaging modality should be tailored for the diagnosis of acute appendicitis in patients with a high degree of suspicion but should also allow diagnosis of other causes of abdominal pain to triage appropriate patient management. Issues related to the safety of the fetus during a diagnostic work-up is a major consideration. Abdominal US or MRI assessment is usually appropriate for the initial imaging of a pregnant woman with right lower quadrant pain with fever, leukocytosis, and suspected appendicitis. The reported US sensitivity in the diagnosis of acute appendicitis is variable, and the operator dependence could probably account for this variability in results [43]. Also, it should be considered that, in the terminal pregnancy phases, the appendix could be displaced by the gravid uterus, reducing the sensitivity of an US examination. On the other hand, the specificity is very high, at around 95% [14,16,43]. Therefore, US is the first imaging modality that should be employed both for diagnostic confirmation and for any differential diagnoses assessment (Figure 1). MRI and CT should be utilized as problem-solving tools [74]. Recent authors demonstrated that MRI has a higher accuracy compared to US [14,16], as well as to CT, with the advantages of greater availability and a shorter examination time than MRI, key factors during an emergency. However, due to the fetal risk linked to radiation exposure, it is to be considered a secondary instrument, with indications limited to cases that cannot be resolved with ultrasound or MRI [14,16,35,85].
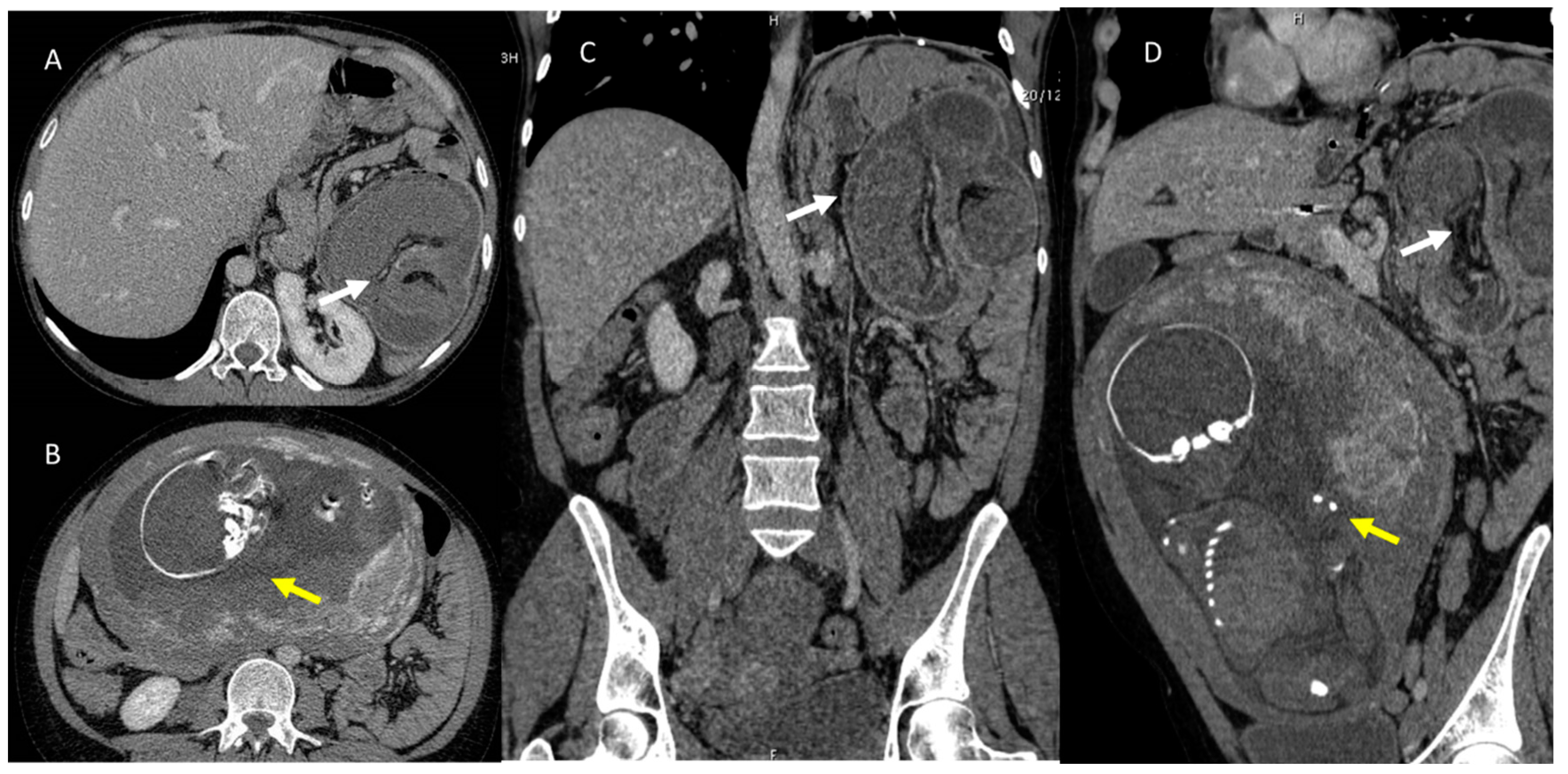
Figure 1.
Pregnant woman (yellow arrows) with emergency room admission for abdominal pain, vomiting, and heart rhythm disturbances. US assessment reveals no specific findings. CT study in axial plane (A,B) and in coronal MPR plane (C,D) shows volvulus (white arrows) of the small bowel in the left epigastrium.
Regarding the contrast medium, the ACR Committee on Drugs and Contrast Media has proposed the following concerning the performance of contrast-enhanced MRI examinations in pregnant patients: each case should be carefully considered by radiologists, and gadolinium-based contrast agent should be administered only when there is a potential benefit to the patient or fetus that outweighs the risk of fetal exposure to free gadolinium ions. In addition, abbreviated protocols including T2 half-Fourier acquisition single-shot turbo spin echo (HASTE) and diffusion-weighted imaging (DWI) sequences have been shown to reduce acquisition and interpretation times in an appendicitis diagnosis during an emergency with comparable accuracy compared to a full protocol [86].
Therefore, in this context, an abbreviated protocol probably remains an optimal choice.
6. Biliary Tract and Pancreatic Diseases
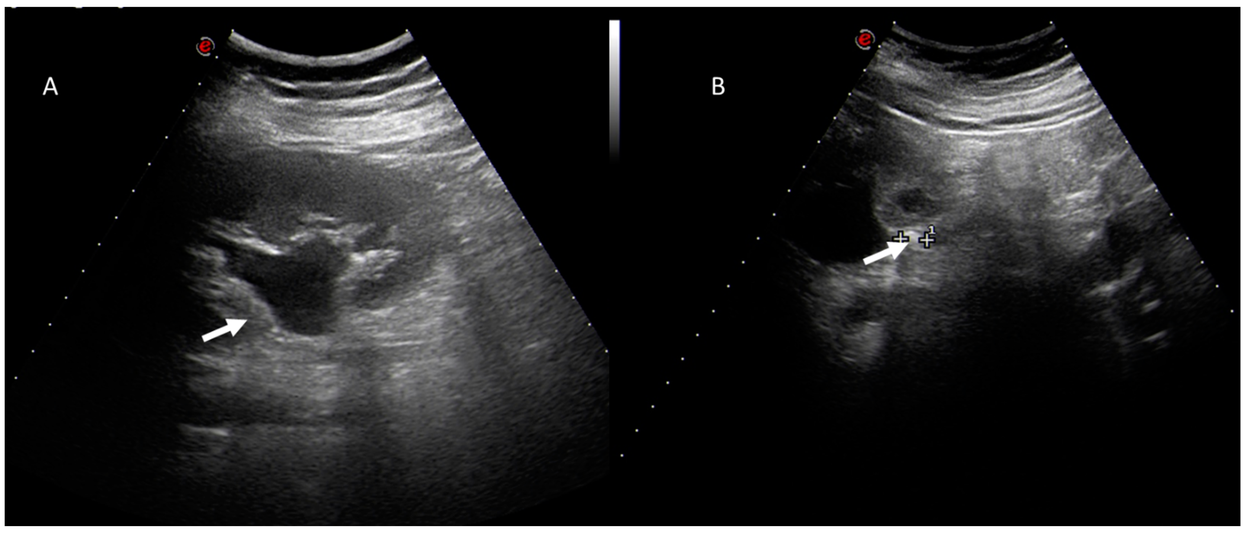
Acute cholecystitis is the second main cause of a non-obstetric surgical procedure in pregnancy (Figure 2), occurring in 1 of every 1600–10,000 cases. Other important conditions in this context are obstructive choledocholithiasis and biliary pancreatitis [14,17,67,87,88].
Figure 2.
Pregnant woman with emergency room admission for right abdominal pain and fever. US assessment (A,B) shows (arrows) thickening of the gallbladder walls, with intraluminal hyperechoic material.
The incidence of acute pancreatitis (AP) in pregnancy varies and is approximately 1 in 1000 to 1 in 10,000 births. In the assessment of AP during pregnancy, four important issues should be resolved: (1) the AP diagnosis and ruling out of other causes; (2) the severity prediction; (3) the biliary etiology; and (4) the trimester of pregnancy. According to these issues and considering the latter, it is possible to define the diagnostic management.
Abdominal US is the initial imaging technique to identify a biliary etiology. Gallstones are detected by US in most cases. However, this tool has low sensitivity for the detection of common bile duct stones. For biliary tract diseases’ etiological clarification, MRI shows high sensitivity and specificity (98% and 84%, respectively). According to the Safety Committee of the Society for MRI [89], MRI should be employed during pregnancy if other non ionizing diagnostic tools studies are insufficient, or if this exam offers critical data that would otherwise require exposure to ionizing radiation.
Normally, in non-pregnant adults, CT is the most commonly used imaging tool in the diagnosis and assessment of the severity of AP. This tool is not suggested for pregnant patients due to the risk of radiation exposure to the fetus.
Therefore, US should be the first-line diagnostic test in cases of suspected acute biliary complications [14,16,90], while MRI should be a problem-solving tool for inconclusive US assessment and to assess the AP severity [35,88].
7. Ureterolithiasis
Urinary tract obstruction due to ureterolithiasis is a possible reason for abdominal pain in pregnancy. A proper diagnosis is required, since ureterolithiasis could cause pyelonephritis and sepsis, as well as a premature birth [18].
Although a pregnant woman could have physiological dilatation of the collecting system (hydroureteronephrosis), either due to extrinsic compression by the gravid uterus or due to hormonal changes that can cause ureteral relaxation, it is crucial to differentiate physiological hydronephrosis from an obstructive one, usually due to ureterolithiasis [14,16,18].
In the emergency diagnostic work-up of pregnant patients presenting with renal colic, the choice of diagnostic test should be tailored to the diagnosis, also considering other causes of flank pain and the safety to the fetus. Despite the relatively low sensitivity reported for identifying ureteral calculi (Figure 3) in pregnancy, US remains the first diagnostic tool that should be employed if there is suspicion of obstructive causes, since it is widely available, is low in cost, and allows for a hydroureteronephrosis assessment without ionizing radiation use [14,16,18,91]. Similarly to a pancreatitis diagnostic work-up, when US is inconclusive, the problem-solving method should be MRI [73,74,75,76]. In this pathological setting, MRI shows high accuracy in the diagnosis of urinary collection system obstruction as well as detecting renal complications. Contrast agents should be avoided according to the ACR Committee on Drugs and Contrast Media and abbreviated protocols, including T2-W, and pyelographic sequences could be a good alternative to the full protocol [16,18]. A CT study should be performed only if a definitive diagnosis of obstruction was not achieved with US and MRI and the patient’s clinical condition has deteriorated [29,84]. Particular attention must be paid to ensure the safety of the fetus, as it enters the field of view of an abdominopelvic CT scan, thus being exposed to the radiation beam. Although conventional protocols expose the fetus to a radiation dose estimated at 25 mGy, in this context, it would be preferable to employ low-dose protocols, using low tube current and voltage (160 mA and 140 kVp, respectively) to limit a fetal radiation dose to an estimated 11.7 mGy [10,16].
Figure 3.
Pregnant woman with left flank pain. US assessment (A,B) shows hydroureteronephrosis (arrow) in (A) and distal ureteral calculi (arrow) in (B).
Acute pyelonephritis (APN) is a severe urinary infection (Figure 4) that can cause sepsis, shock, and death. Pregnancy increases the risk of complications from APN. Imaging studies are often employed to help with a diagnosis, identify causal features, and differentiate inferior infections (Figure 5) from renal involvement. The primary diagnostic tests used are CT, MRI, and US, although CT is usually not appropriate for a pregnant woman without other complications. An abdominal ultrasound is safe during pregnancy, is quick and portable, and does not require the use of contrast material. MRI should be used as a solution to the problem, which enables the detection of APN, scars, congenital anomalies of the kidneys, kidney abscesses, hydronephrosis, and pyonephrosis. According to the 2022 update of the ACR eligibility criteria for acute pyelonephritis [92], kidneys with color Doppler or MRI with or without contrast agents may be appropriate for imaging pregnant patients with no other complications.
Figure 4.
Pregnant woman with left flank pain and fever. US assessment shows in (A,B) hydroureteronephrosis with caliceal hyperechoic material (arrows) and thickening of the ureteral walls (C).
Figure 5.
Pregnant woman (C) with abdominal pain and fever. US assessment shows hydroureteronephrosis with caliceal hyperechoic material (arrows) in (A) and thickening of the bladder walls, with intraluminal hyperechoic material in (B).
8. Evaluation of the Pregnant Patient with Dyspnoea
The main causes of dyspnoea during pregnancy comprise pulmonary thromboembolism (PTE), pneumonia, asthma exacerbation, amniotic fluid aspiration, and pulmonary edema. Among them, the major cause of maternal mortality is PTE [58,65,93,94].
During pregnancy, the greatest risk of PTE is related to a state of hypercoagulability due to venous stasis and changes in coagulation factors; this condition results in a fivefold higher risk of deep vein thrombosis (DVT). Other predisposing features include advanced maternal age, thrombophilia, antiphospholipid syndrome, obesity, trauma, and surgery [19,23,51,64,95,96]. The clinical symptoms include dyspnoea, coughing, pleuritic chest pain, tachycardia, tachypnea, and hypoxemia [19,65,70,96]. Since PE is a leading cause of pregnancy-related mortality, the clinical suspicion of PTE must necessarily be confirmed by imaging [14,51,80,97,98].
The American Thoracic Society/Society of Thoracic Radiology (ATS/STR) Committee on Pulmonary Embolism in Pregnancy has released its clinical practice guideline [99], revised in seven endorsements, placing a high value on avoidance of work with radiation-associated testing, if possible [99]. In patients with signs of lower-extremity DVT and suspected PE, lower-extremity duplex US for assessment of DVT was suggested [99].
Although the choice between CT angiography (CTPA) and ventilation/perfusion scintigraphy (V/Q scan) in pregnant women remains the subject of debate [100,101,102], fetal radiation doses administered in the uterus during a properly performed examination do not pose an increased risk to the fetus. The ATS/STR statement recommends scintigraphy over CTA, mainly due to maternal, not fetal, radiation dose concerns [99]. In any case, since the diagnosis and treatment of PTE should not be delayed, the choice should be based primarily on which method is available, as well as on clinical judgment [19]. Scintigraphy has the advantage of lower maternal exposure, whereas CT allows for the detection of alternative diagnoses [17,20,64,97]. CT angiography is preferable and is also useful in cases where scan results are inconclusive and the level of clinical suspicion remains high [19,20,94,103,104,105,106].
According to the ACR Appropriateness Criteria for Suspected Pulmonary Embolism [107], in suspected PE pregnant patients with signs and symptoms of lower-extremity DVT, radiation tests should be avoided and lower-extremity duplex US should be employed for DVT assessment. The expert panels suggested no preferences regarding the CTPA or scintigraphy test. However, protocol study data are suggested. For CT scans, the administered dose of contrast agent should be reduced by a factor of two or more, with correspondingly longer acquisition times to obtain accurate imaging data. Regarding scintigraphy, if the perfusion test is normal, the ventilation test should be avoided [107].
9. Assessment of the Polytraumatized Pregnant Patient
Blunt abdominal trauma is the leading cause of traumatic injuries in pregnancy, with automobile accidents and falls being the most common etiologies. The evaluation of the polytraumatized pregnant patient is demanding, as the presence of the fetus implies the evaluation of two patients at risk [21,22], and therefore pregnant women should be managed in a medical center with the capacity to offer satisfactory care to both traumatized patients. Nonetheless, the mother’s survival remains the priority, and all treatment should be centered on her hemodynamic stability. In this scenario, all required diagnostic tests should be employed, since an inadequate diagnosis could cause maternal and fetal death [5]. So, it is clear that the benefits of imaging examinations outweigh any possible risk, even if using ionizing radiation is required [20,85].
Initial polytraumatized pregnant patient assessments (Figure 6) comprise radiography of the thorax/cervical spine, obstetric and abdominal US [50,108]. US is the first diagnostic tool since it is safe and is an integral part of the diagnostic management of all polytraumatized patients as a FAST examination. This approach allows for the evaluation of intraabdominal bleeding as free fluid and may also signal the presence of solid organ injury. Although FAST may be less sensitive in pregnant patients for abdominal injury, it remains highly specific. Equivocal findings require alternative techniques to identify traumatic injuries and to allow proper management [14,21], since no one necessary diagnostic study should be omitted [14,21]. Additional diagnostic assessments include the head, thorax, abdomen, and pelvis CT and, if appropriate, MRI for neurological injuries [72,109,110,111,112,113,114,115,116].
Figure 6.
Polytraumatized (crash accident) pregnant woman (yellow arrows) admitted to emergency room. Fast US (A and B) shows abdominal free fluid. Unenhanced CT (C), white arrow shows intraabdominal blood with active bleeding (white arrows in D,E) after contrast medium administration.
For blunt trauma, non-contrast CT should be avoided considering its lower sensitivity in detecting visceral and/or vascular lesions. Contrast agent administration is required to assess vascular and solid organ injury, and the protocol should include an angiography and a portal phase. Doubts remains on whole-body CT (WBCT), since no consensus exists for deciding which patients should receive WBCT versus selective CT studies.
Regarding abdominal and pelvic MRIs, there are a lack of supporting studies on MRI use in traumatized pregnant patients [117].
10. Neurological Complaints Assessment of Pregnant Patient
Pregnancy can be associated with several neurological illnesses such as headaches, preeclampsia, venous thrombosis, posterior reversible encephalopathy syndrome, subarachnoid hemorrhage, and pituitary diseases [22,56,66,102,110,113]. The diagnostic tools that could be employed include CT and MRI [102,106,114]. Although head CT does not include the fetus in the field of study and the fetus may only be exposed to a low radiation dose [22,56,81], MRI, which does not involve ionizing radiation, should nonetheless be preferred [71].
11. Discussion
Thousands of radiation workers and pregnant patients are exposed to ionizing radiation each year. Inadequate knowledge is the main cause of concern and of unnecessary pregnancy interruptions. However, even if for certain pregnant patients the dose does not increase fetus risk, the exposure is inappropriate in several settings, causing the fetus an unjustified increased risk [11,79,81,104,108]. In this context, it is critical that healthcare professionals keep in mind the fundamental principles of radiation protection and utilize the proper diagnostic tool according to the clinical setting (Table 1). In fact, US and MRI should be preferred during pregnancy. However, in a critical setting, such as trauma, when the benefits outweigh the potential risks to the fetus, CT should be performed, although the study protocol should be optimized [21,55,57,78,98,112,113,114,115,116,117,118,119,120,121,122,123]. In addition, examination in anatomical regions far from the fetus, such as those on the chest, skull, or extremities, can typically be performed safely at any stage during pregnancy, with adequate bundle collimation [10,39]. When the uterus is directly exposed to the bundle, there may be high exposure to the fetus with absorbed doses that may reach or exceed 50 mGy [44]. In this case, care should be taken to minimize the dose absorbed by the fetus and an estimate of the dose to which the fetus will be exposed should be assessed [29,37,45,46,51,52,53,54,55,56,57,58,59,60,61,62,63,100]. This may not be possible in an emergency setting.
Table 1.
Clinical setting and imaging tools utilized.
Regarding patient gonadal and fetal shielding during X-ray-based diagnostic imaging, it should be discontinued as a routine practice. Patient shielding may jeopardize the benefits of undergoing radiological imaging. Use of these shields during X-ray-based diagnostic imaging may obscure anatomical information or interfere with the automatic exposure control of the imaging system. These effects can compromise the diagnostic efficacy of the exam, or actually result in an increase in the patient’s radiation dose. Because of these risks and the minimal to nonexistent benefit associated with fetal and gonadal shielding, the American Association of Physicists in Medicine (AAPM) recommends that the use of such shielding be discontinued [119].
All procedures with fluoroscopic guidance or CT should be optimized to achieve the clinical target with the minimum radiological exposure required, taking into account the resources and technologies available [28,101]. Several strategies for CT protocol optimization exist, such as tube modulation, z-axis overscan, scan length limitation, kV modulation in smaller size and younger patients, use of iterative reconstruction algorithms, and use of machine learning and artificial intelligence algorithms [10,11,23,52,74,75,76,90,91,92,93,105,111,113,114,115]. Dose optimization to the patient and the fetus does not result in the delivery of the minimum dose [38,62,63,64,65,66,111], and it is critical to achieve maximum dose reduction, consistent with acceptable image quality [3,58,79,83,101]. There are simple technical measures that make it possible to achieve this purpose, such as fetus exclusion from the primary beam trajectory, the use of collimation modules, as well as the appropriate selection of the many technical factors affecting the dose [40,41,49,50,51,52,53,54,55,56]. General guidelines for managing the radiological dose to the patient are important for the optimization of pregnant doses and related conception products [42,69,95,100,105,110,115,118].
12. Conclusions
Optimization, regardless of the type of clinical question, always remains the only effective solution for the correct management of the diagnosis, especially in the case of pregnant patients. It is critical that healthcare professionals keep in mind the fundamental principles of radiation protection and utilize the proper diagnostic tool according to the clinical setting. Although US and MRI should be preferred during pregnancy, in a critical setting, such as trauma, when the benefits outweigh the potential risks to the fetus, CT should nevertheless be preferred. All CT procedures should be optimized to achieve the clinical target with the minimum radiological exposure required. Several strategies for CT protocol optimization exist, such as tube modulation, z-axis overscan, scan length limitation, kV modulation in smaller size and younger patients, use of iterative reconstruction algorithms, and use of machine learning and artificial intelligence algorithms.
Author Contributions
C.P., R.F., M.T., S.C.F., E.N., M.C.B., R.G., G.D., A.P., M.S., N.G., A.G., A.B., V.M., C.G., V.G. written and revised the manuscript. Each author has participated sufficiently to take public responsibility for the content of the manuscript. All authors have read and agreed to the published version of the manuscript.
Funding
This research received no external funding.
Data Availability Statement
All data are reported in the manuscript.
Acknowledgments
The authors are grateful to Alessandra Trocino, librarian at the National Cancer Institute of Naples, Italy.
Conflicts of Interest
The authors have no conflicts of interest to disclose.
References
- Mathur, S.; Pillenahalli Maheshwarappa, R.; Fouladirad, S.; Metwally, O.; Mukherjee, P.; Lin, A.W.; Ditkofsky, N.G. Emergency imaging in Pregnancy and lactation. Can. Assoc. Radiol. J. 2020, 71, 396–402. [Google Scholar] [CrossRef]
- ICRP. Pregnancy and Medical Radiation. ICRP Publication 84. Ann. ICRP 2000, 30. [Google Scholar]
- American College of Radiology. ACR-SPR Practice Parameter for Imaging Pregnant or Potentially Pregnant Adolescent and Women with Ionizing Radiation. 2018. Available online: http://www.acr.org/-/media/ACR/Files/Practice-Parameters/Pregnant-pts.pdf. (accessed on 30 November 2019).
- McCollough, C.H.; Schueler, B.A.; Atwell, T.D.; Braun, N.N.; Regner, D.M.; Brown, D.L.; LeRoy, A.J. Radiation exposure and pregnancy: When schould we be concerned? Radiographics 2007, 27, 909–917. [Google Scholar] [CrossRef]
- Tremblay, E.; Thèrasse, E.; Thomassin-Naggara, I.; Trop, I. Quality initiatives: Guidelines for use of medical imaging during pregnancy and lactation. Radiographics 2012, 32, 897–911. [Google Scholar] [CrossRef]
- Tirada, N.; Dreizin, D.; Khati, N.J.; Akin, E.A.; Zeman, R.K. Imaging pregnant and lactation patients. Radiographics 2015, 35, 1751–1765. [Google Scholar] [CrossRef]
- Litmanovich, D.E.; Tack, D.; Lee, K.S.; Shahrzad, M.; Bankier, A.A. Cardiothoracic imaging in the pregnant patient. J. Thorac. Imaging 2014, 29, 38–49. [Google Scholar] [CrossRef]
- Granata, V.; Fusco, R.; de Lutio di Castelguidone, E.; Avallone, A.; Palaia, R.; Delrio, P.; Tatangelo, F.; Botti, G.; Grassi, R.; Izzo, F.; et al. Diagnostic performance of gadoxetic acid-enhanced liver MRI versus multidetector CT in the assessment of colorectal liver metastases compared to hepatic resection. BMC Gastroenterol. 2019, 19, 129. [Google Scholar] [CrossRef]
- Rocha, A.P.C.; Carmo, R.L.; Melo, R.F.Q.; Vilela, D.N.; Leles-Filho, O.S.; Costa-Silva, L. Imaging evaluation of nonobstetric condition during pregnancy:what every radiologist should know. Radiol. Bras. 2020, 53, 185–194. [Google Scholar] [CrossRef]
- Fusco, R.; Setola, S.V.; Raiano, N.; Granata, V.; Cerciello, V.; Pecori, B.; Petrillo, A. Analysis of a monocentric computed tomography dosimetric database using a radiation dose index monitoring software: Dose levels and alerts before and after the implementation of the adaptive statistical iterative reconstruction on CT images. Radiol. Med. 2022, 127, 733–742. [Google Scholar] [CrossRef]
- Virginia, T. Radiation dose optimization in diagnostic and interventional radiology: Current issues and future perspectives. Physicians Med. 2020, 79, 16–21. [Google Scholar]
- Park, S.H.; Kim, Y.S.; Choi, J. Dosimetric analysis of the effects of a temporary tissue expander on the radiotherapy technique. Radiol. Med. 2021, 126, 437–444. [Google Scholar] [CrossRef]
- ICRP. The 2007 Recommendations of the International Commission on Radiological Protection. ICRP publication 103. Ann. ICRP 2007, 37, 1–332. [Google Scholar]
- Wieseler, K.M.; Bhargava, P.; Kanal, K.M. Imaging in pregnant patients: Examination appropriateness. Radiographics 2010, 30, 1215–1229. [Google Scholar] [CrossRef]
- Preconception and Prenatal Radiation Exposure: Health Effects and Protective Guidance; NCRP: Washington, DC, USA, 2013; Volume 39, p. 174.
- Patel, S.J.; Reede, D.L.; Katz, D.S.; Subramaniam, R.; Amorosa, J.K. Imaging the pregnant patient for nonobstetric conditions: Algorithms and radiation dose considerations. Radiographics 2007, 27, 1705–1722. [Google Scholar] [CrossRef]
- Clardy, P.F.; Reardon, C.C. Acute Respiratory Failure during Pregnancy and the Peripartum Period. Available online: http://www.uptodate.com/contents/acute-respiratory-failure-during-pregnancy-and-the-peripartum-period (accessed on 30 January 2018).
- Spalluto, L.B.; Woodfield, C.A.; DeBenedectis, C.M. MR imaging evaluation of abdominal pain during pregnancy: Appendicitis and other nonobstetric causes. Radiographics 2012, 32, 317–334. [Google Scholar] [CrossRef]
- Malhotra, A.; Weinberger, S.E. Pulmonary Embolism in Pregnacy: Epidemiology, Pathogenesis, and Diagnosis. Available online: http://www.uptodate.com/contents/pulmonary-embolism-in-pregnancy-epidemiology-pathogenesis-and-diagnosis (accessed on 7 February 2018).
- Leung, A.N.; Bull, T.M.; Jaeschke, R. American Thoracic Society documents: An official American Thoracic Society/Society of Tho- racic Radiology Clinical Practice Guideline—Evaluation of suspect- ed pulmonary embolism in pregnancy. Radiology 2012, 262, 635–646. [Google Scholar] [CrossRef]
- Raptis, C.A.; Mellnick, V.M.; Raptis, D.A. Imaging of trauma in the pregnant patient. Radiographics 2014, 34, 748–763. [Google Scholar] [CrossRef]
- Kanekar, S.; Bennett, S. Imaging of neurologic conditions in pregnant patients. Radiographics 2016, 36, 2102–2122. [Google Scholar] [CrossRef]
- Tagliafico, A.S.; Campi, C.; Bianca, B.; Bortolotto, C.; Buccicardi, D.; Francesca, C.; Prost, R.; Rengo, M.; Faggioni, L. Blockchain in radiology research and clinical practice: Current trends and future directions. Radiol. Med. 2022, 127, 391–397. [Google Scholar] [CrossRef]
- De Felice, F.; Boldrini, L.; Greco, C.; Nardone, V.; Salvestrini, V.; Desideri, I. ESTRO vision 2030: The young Italian Association of Radiotherapy and Clinical Oncology (yAIRO) commitment statement. Radiol. Med. 2021, 126, 1374–1376. [Google Scholar] [CrossRef]
- Neri, E.; Granata, V.; Montemezzi, S.; Belli, P.; Bernardi, D.; Brancato, B.; Caumo, F.; Calabrese, M.; Coppola, F.; Cossu, E.; et al. Structured reporting of x-ray mammography in the first diagnosis of breast cancer: A Delphi consensus proposal. Radiol. Med. 2022, 127, 471–483. [Google Scholar] [CrossRef] [PubMed]
- Failla, G.; Libra, F.; Giurazza, F.; Lucarelli, N.M.; Coniglio, G.; Vacirca, F.; Santonocito, S.M.; Dell’Atti, C.; Camerano, F.; Palmucci, S.; et al. Endovascular treatment of cesarean scar pregnancy: A retrospective multicentric study. Radiol. Med. 2022, 127, 1313–1321. [Google Scholar] [CrossRef]
- Bellardita, L.; Colciago, R.R.; Frasca, S.; De Santis, M.C.; Gay, S.; Palorini, F.; La Rocca, E.; Valdagni, R.; Rancati, T.; Lozza, L. Breast cancer patient perspective on opportunities and challenges of a genetic test aimed to predict radio-induced side effects before treatment: Analysis of the Italian branch of the REQUITE project. Radiol. Med. 2021, 126, 1366–1373. [Google Scholar] [CrossRef] [PubMed]
- Scola, E.; Desideri, I.; Bianchi, A.; Gadda, D.; Busto, G.; Fiorenza, A.; Amadori, T.; Mancini, S.; Miele, V.; Fainardi, E. Assessment of brain tumors by magnetic resonance dynamic susceptibility contrast perfusion-weighted imaging and computed tomography perfusion: A comparison study. Radiol. Med. 2022, 127, 664–672. [Google Scholar] [CrossRef] [PubMed]
- Cappabianca, S.; Granata, V.; Di Grezia, G.; Mandato, Y.; Reginelli, A.; Di Mizio, V.; Grassi, R.; Rotondo, A. The role of nasoenteric intubation in the MR study of patients with Crohn’s disease: Our experience and literature review. Radiol. Med. 2010, 116, 389–406. [Google Scholar] [CrossRef]
- Salaffi, F.; Carotti, M.; Di Matteo, A.; Ceccarelli, L.; Farah, S.; Villota-Eraso, C.; Di Carlo, M.; Giovagnoni, A. Ultrasound and magnetic resonance imaging as diagnostic tools for sarcopenia in immune-mediated rheumatic diseases (IMRDs). Radiol. Med. 2022, 127, 1277–1291. [Google Scholar] [CrossRef]
- Granata, V.; Fusco, R.; Setola, S.V.; Castelguidone, E.D.L.D.; Camera, L.; Tafuto, S.; Avallone, A.; Belli, A.; Incollingo, P.; Palaia, R.; et al. The multidisciplinary team for gastroenteropancreatic neuroendocrine tumours: The radiologist’s challenge. Radiol. Oncol. 2019, 53, 373–387. [Google Scholar] [CrossRef]
- Sansone, M.; Marrone, S.; Di Salvio, G.; Belfiore, M.P.; Gatta, G.; Fusco, R.; Vanore, L.; Zuiani, C.; Grassi, F.; Vietri, M.T.; et al. Comparison between two packages for pectoral muscle removal on mammographic images. Radiol. Med. 2022, 127, 848–856. [Google Scholar] [CrossRef]
- Hussein, M.A.M.; Cafarelli, F.P.; Paparella, M.T.; Rennie, W.J.; Guglielmi, G. Phosphaturic mesenchymal tumors: Radiological aspects and suggested imaging pathway. Radiol. Med. 2021, 126, 1609–1618. [Google Scholar] [CrossRef]
- Stefanini, M.; Simonetti, G. Interventional Magnetic Resonance Imaging Suite (IMRIS): How to build and how to use. Radiol. Med. 2022, 127, 1063–1067. [Google Scholar] [CrossRef]
- Fusco, R.; Granata, V.; Sansone, M.; Rega, D.; Delrio, P.; Tatangelo, F.; Romano, C.; Avallone, A.; Pupo, D.; Giordano, M.; et al. Validation of the standardized index of shape tool to analyze DCE-MRI data in the assessment of neo-adjuvant therapy in locally advanced rectal cancer. Radiol. Med. 2021, 126, 1044–1054. [Google Scholar] [CrossRef] [PubMed]
- Giovagnoni, A. A farewell from the “old” Editor-in-Chief. Radiol. Med. 2021, 126, 1–2. [Google Scholar] [CrossRef]
- Merlotti, A.; Bruni, A.; Borghetti, P.; Ramella, S.; Scotti, V.; Trovò, M.; Chiari, R.; Lohr, F.; Ricardi, U.; Bria, E.; et al. Sequential chemo-hypofractionated RT versus concurrent standard CRT for locally advanced NSCLC: GRADE recommendation by the Italian Association of Radiotherapy and Clinical Oncology (AIRO). Radiol. Med. 2021, 126, 1117–1128. [Google Scholar] [CrossRef] [PubMed]
- Miller, D.L. Overview of contemporary interventional fluoroscopy procedures. Health Phys. 2008, 95, 638–644. [Google Scholar] [CrossRef] [PubMed]
- National Council on Radiation Protection and Measurements. Medical Radiation Exposure of Pregnant and Potentially Pregnant Women; NCRP Report No. 54; NCRP: Washington, DC, USA, 1977. [Google Scholar]
- Miller, D.L.; Balter, S.; Noonan, P.T.; Georgia, J.D. Minimizing radiation- induced skin injury in interventional radiology procedures. Radiology 2002, 225, 329–336. [Google Scholar] [CrossRef]
- Wagner, L.; Huda, W. When a pregnant woman with suspected appendicitis is referred for a CT scan, what should a radiologist do to minimize potential radiation risks? Pediatr. Radiol. 2004, 34, 589–590. [Google Scholar] [CrossRef]
- Baron, T.H.; Schueler, B.A. Pregnancy and radiation exposure during therapeutic ERCP: Time to put the baby to bed? Gastrointest. Endosc. 2009, 69, 832–834. [Google Scholar] [CrossRef]
- Argalia, G.; Tarantino, G.; Ventura, C.; Campioni, D.; Tagliati, C.; Guardati, P.; Kostandini, A.; Marzioni, M.; Giuseppetti, G.M.; Giovagnoni, A. Shear wave elastography and transient elastography in HCV patients after direct-acting antivirals. Radiol. Med. 2021, 126, 894–899. [Google Scholar] [CrossRef]
- Damilakis, J.; Perisinakis, K.; Grammatikakis, J.; Panayiotakis, G.; Gourtsoyiannis, N. Accidental embryo irradiation during barium enema examinations. An estimation of absorbed dose. Invest. Radiol. 1996, 31, 242–245. [Google Scholar] [CrossRef]
- Dauer, L.T.; Thornton, R.; Erdi, Y.; Ching, H.; Hamacher, K.; Boylan, D.C.; Williamson, M.J.; Balter, S.; Germain, J.S. Estimating radiation doses to the skin from interventional radiology procedures for a patient population with cancer. J. Vasc. Interv. Radiol. 2009, 20, 782–788. [Google Scholar] [CrossRef] [PubMed]
- International Commission on Radiological Protection. Protection of the Patient in Diagnostic Radiology; ICRP Publication No. 34; ICRP: Ottawa, ON, Canada, 1982. [Google Scholar]
- Arslan, A.; Aktas, E.; Sengul, B.; Tekin, B. Dosimetric evaluation of left ventricle and left anterior descending artery in left breast radiotherapy. Radiol. Med. 2021, 126, 14–21. [Google Scholar] [CrossRef] [PubMed]
- Dauer, L.T.; Thornton, R.H.; Miller, D.L.; Damilakis, J.; Dixon, R.G.; Marx, M.V.; Cardella, J.F. Radiation Management for Interventions Using Fluoroscopic or Computed Tomographic Guidanceduring Pregnancy: A Joint Guideline of the Society of Interventional Radiology and the Cardiovascularand Interventional Radiological Society of Europe with Endorsement by the Canadian Interventional Radiology Association. J. Vasc. Interv. Radiol. JVIR 2012, 23, 19–32. [Google Scholar] [PubMed]
- Giurazza, F.; Contegiacomo, A.; Calandri, M.; Mosconi, C.; Modestino, F.; Corvino, F.; Scrofani, A.R.; Marra, P.; Coniglio, G.; Failla, G.; et al. IVC filter retrieval: A multicenter proposal of two score systems to predict application of complex technique and procedural outcome. Radiol. Med. 2021, 126, 1007–1016. [Google Scholar] [CrossRef]
- Assadsangabi, R.; Babaei, R.; Songco, C.; Ivanovic, V.; Bobinski, M.; Chen, Y.J.; Nabavizadeh, S.A. Multimodality oncologic evaluation of superficial neck and facial lymph nodes. Radiol. Med. 2021, 126, 1074–1084. [Google Scholar] [CrossRef] [PubMed]
- Barra, S.; Guarnieri, A.; Bastia, M.B.D.M.E.; Marcenaro, M.; Tornari, E.; Belgioia, L.; Magrini, S.M.; Ricardi, U.; Corvò, R. Short fractionation radiotherapy for early prostate cancer in the time of COVID-19: Long-term excellent outcomes from a multicenter Italian trial suggest a larger adoption in clinical practice. Radiol. Med. 2021, 126, 142–146. [Google Scholar] [CrossRef]
- Granata, V.; Fusco, R.; De Muzio, F.; Cutolo, C.; Setola, S.V.; Grassi, R.; Grassi, F.; Ottaiano, A.; Nasti, G.; Tatangelo, F.; et al. Radiomics textural features by MR imaging to assess clinical outcomes following liver resection in colorectal liver metastases. Radiol. Med. 2022, 127, 461–470. [Google Scholar] [CrossRef]
- Han, D.; Yu, N.; Yu, Y.; He, T.; Duan, X. Performance of CT radiomics in predicting the overall survival of patients with stage III clear cell renal carcinoma after radical nephrectomy. Radiol. Med. 2022, 127, 837–847. [Google Scholar] [CrossRef]
- Zerunian, M.; Pucciarelli, F.; Caruso, D.; Polici, M.; Masci, B.; Guido, G.; De Santis, D.; Polverari, D.; Principessa, D.; Benvenga, A.; et al. Artificial intelligence based image quality enhancement in liver MRI: A quantitative and qualitative evaluation. Radiol. Med. 2022, 127, 1098–1105. [Google Scholar] [CrossRef]
- Scapicchio, C.; Gabelloni, M.; Barucci, A.; Cioni, D.; Saba, L.; Neri, E. A deep look into radiomics. Radiol. Med. 2021, 126, 1296–1311. [Google Scholar] [CrossRef]
- Cellina, M.; Pirovano, M.; Ciocca, M.; Gibelli, D.; Floridi, C.; Oliva, G. Radiomic analysis of the optic nerve at the first episode of acute optic neuritis: An indicator of optic nerve pathology and a predictor of visual recovery? Radiol. Med. 2021, 126, 698–706. [Google Scholar] [CrossRef]
- Chianca, V.; Albano, D.; Messina, C.; Vincenzo, G.; Rizzo, S.; Del Grande, F.; Sconfienza, L.M. An update in musculoskeletal tumors: From quantitative imaging to radiomics. Radiol. Med. 2021, 126, 1095–1105. [Google Scholar] [CrossRef] [PubMed]
- Cozzi, D.; Bicci, E.; Cavigli, E.; Danti, G.; Bettarini, S.; Tortoli, P.; Mazzoni, L.N.; Busoni, S.; Pradella, S.; Miele, V. Radiomics in pulmonary neuroendocrine tumours (NETs). Radiol. Med. 2022, 127, 609–615. [Google Scholar] [CrossRef]
- Gregucci, F.; Fiorentino, A.; Mazzola, R.; Ricchetti, F.; Bonaparte, I.; Surgo, A.; Figlia, V.; Carbonara, R.; Caliandro, M.; Ciliberti, M.P.; et al. Radiomic analysis to predict local response in locally advanced pancreatic cancer treated with stereotactic body radiation therapy. Radiol. Med. 2022, 127, 100–107. [Google Scholar] [CrossRef] [PubMed]
- Cicero, G.; Mazziotti, S.; Silipigni, S.; Blandino, A.; Cantisani, V.; Pergolizzi, S.; D’Angelo, T.; Stagno, A.; Maimone, S.; Squadrito, G.; et al. Dual-energy CT quantification of fractional extracellular space in cirrhotic patients: Comparison between early and delayed equilibrium phases and correlation with oesophageal varices. Radiol. Med. 2021, 126, 761–767. [Google Scholar] [CrossRef]
- Nakamura, Y.; Higaki, T.; Honda, Y.; Tatsugami, F.; Tani, C.; Fukumoto, W.; Narita, K.; Kondo, S.; Akagi, M.; Awai, K. Advanced CT techniques for assessing hepatocellular carcinoma. Radiol. Med. 2021, 126, 925–935. [Google Scholar] [CrossRef]
- Ierardi, A.M.; Stellato, E.; Pellegrino, G.; Bonelli, C.; Cellina, M.; Renzulli, M.; Biondetti, P.; Carrafiello, G. Fluid-dynamic control microcatheter used with glue: Preliminary experience on its feasibility and safety. Radiol. Med. 2022, 127, 272–276. [Google Scholar] [CrossRef] [PubMed]
- Bozkurt, M.; Eldem, G.; Bozbulut, U.B.; Bozkurt, M.F.; Kılıçkap, S.; Peynircioğlu, B.; Çil, B.; Ergün, E.L.; Volkan-Salanci, B. Factors affecting the response to Y-90 microsphere therapy in the cholangiocarcinoma patients. Radiol. Med. 2021, 126, 323–333. [Google Scholar] [CrossRef] [PubMed]
- Falcinelli, L.; Mendichi, M.; Chierchini, S.; Tenti, M.V.; Bellavita, R.; Saldi, S.; Ingrosso, G.; Reggioli, V.; Bini, V.; Aristei, C. Pulmonary function in stereotactic body radiotherapy with helical tomotherapy for primary and metastatic lung lesions. Radiol. Med. 2021, 126, 163–169. [Google Scholar] [CrossRef] [PubMed]
- Cellini, F.; Di Franco, R.; Manfrida, S.; Borzillo, V.; Maranzano, E.; Pergolizzi, S.; Morganti, A.G.; Fusco, V.; Deodato, F.; Santarelli, M.; et al. Palliative radiotherapy indications during the COVID-19 pandemic and in future complex logistic settings: The NORMALITY model. Radiol. Med. 2021, 126, 1619–1656. [Google Scholar] [CrossRef]
- Lancellotta, V.; Del Regno, L.; Di Stefani, A.; Fionda, B.; Marazzi, F.; Rossi, E.; Balducci, M.; Pampena, R.; Morganti, A.G.; Mangoni, M.; et al. The role of stereotactic radiotherapy in addition to immunotherapy in the management of melanoma brain metastases: Results of a systematic review. Radiol. Med. 2022, 127, 773–783. [Google Scholar] [CrossRef]
- Danti, G.; Flammia, F.; Matteuzzi, B.; Cozzi, D.; Berti, V.; Grazzini, G.; Pradella, S.; Recchia, L.; Brunese, L.; Miele, V. Gastrointestinal neuroendocrine neoplasms (GI-NENs): Hot topics in morphological, functional, and prognostic imaging. Radiol. Med. 2021, 126, 1497–1507. [Google Scholar] [CrossRef]
- An, H.; Ma, X.; Pan, Z.; Guo, H.; Lee, E.Y.P. Qualitative and quantitative comparison of image quality between single-shot echo-planar and interleaved multi-shot echo-planar diffusion-weighted imaging in female pelvis. Eur. Radiol. 2020, 30, 1876–1884. [Google Scholar] [CrossRef]
- Granata, V.; Simonetti, I.; Fusco, R.; Setola, S.V.; Izzo, F.; Scarpato, L.; Vanella, V.; Festino, L.; Simeone, E.; Ascierto, P.A.; et al. Management of cutaneous melanoma: Radiologists challenging and risk assessment. Radiol. Med. 2022, 127, 899–911. [Google Scholar] [CrossRef] [PubMed]
- Pecoraro, M.; Cipollari, S.; Marchitelli, L.; Messina, E.; Del Monte, M.; Galea, N.; Ciardi, M.R.; Francone, M.; Catalano, C.; Panebianco, V. Cross-sectional analysis of follow-up chest MRI and chest CT scans in patients previously affected by COVID-19. Radiol. Med. 2021, 126, 1273–1281. [Google Scholar] [CrossRef]
- Petralia, G.; Zugni, F.; Summers, P.E.; Colombo, A.; Pricolo, P.; Grazioli, L.; Colagrande, S.; Giovagnoni, A.; Padhani, A.R. Italian Working Group on Magnetic Resonance. Whole-body magnetic resonance imaging (WB-MRI) for cancer screening: Recommendations for use. Radiol. Med. 2021, 126, 1434–1450. [Google Scholar] [CrossRef] [PubMed]
- Chiti, G.; Grazzini, G.; Flammia, F.; Matteuzzi, B.; Tortoli, P.; Bettarini, S.; Pasqualini, E.; Granata, V.; Busoni, S.; Messserini, L.; et al. Gastroenteropancreatic neuroendocrine neoplasms (GEP-NENs): A radiomic model to predict tumor grade. Radiol. Med. 2022, 127, 928–938. [Google Scholar] [CrossRef] [PubMed]
- Halefoglu, A.M.; Ozagari, A.A. Tumor grade estımatıon of clear cell and papıllary renal cell carcınomas usıng contrast-enhanced MDCT and FSE T2 weıghted MR ımagıng: Radıology-pathology correlatıon. Radiol. Med. 2021, 126, 1139–1148. [Google Scholar] [CrossRef]
- Liu, J.; Wang, C.; Guo, W.; Zeng, P.; Liu, Y.; Lang, N.; Yuan, H. A preliminary study using spinal MRI-based radiomics to predict high-risk cytogenetic abnormalities in multiple myeloma. Radiol. Med. 2021, 126, 1226–1235. [Google Scholar] [CrossRef]
- Qin, H.; Que, Q.; Lin, P.; Li, X.; Wang, X.-R.; He, Y.; Chen, J.-Q.; Yang, H. Magnetic resonance imaging (MRI) radiomics of papillary thyroid cancer (PTC): A comparison of predictive performance of multiple classifiers modeling to identify cervical lymph node metastases before surgery. Radiol. Med. 2021, 126, 1312–1327. [Google Scholar] [CrossRef] [PubMed]
- Brunese, L.; Brunese, M.C.; Carbone, M.; Ciccone, V.; Mercaldo, F.; Santone, A. Automatic PI-RADS assignment by means of formal methods. Radiol. Med. 2022, 127, 83–89. [Google Scholar] [CrossRef] [PubMed]
- Satake, H.; Ishigaki, S.; Ito, R.; Naganawa, S. Radiomics in breast MRI: Current progress toward clinical application in the era of artificial intelligence. Radiol. Med. 2022, 127, 39–56. [Google Scholar] [CrossRef] [PubMed]
- Simonetti, I.; Trovato, P.; Granata, V.; Picone, C.; Fusco, R.; Setola, S.V.; Raso, M.M.; Caracò, C.; Ascierto, P.A.; Sandomenico, F.; et al. Imaging Assessment of Interval Metastasis from Melanoma. J. Pers. Med. 2022, 12, 1033. [Google Scholar] [CrossRef] [PubMed]
- Granata, V.; Fusco, R.; Barretta, M.L.; Picone, C.; Avallone, A.; Belli, A.; Patrone, R.; Ferrante, M.; Cozzi, D.; Grassi, R.; et al. Multimodality Imaging Assessment of Desmoid Tumors: The Great Mime in the Era of Multidisciplinary Teams. Infect. Agent Cancer 2021, 16, 39. [Google Scholar] [CrossRef] [PubMed]
- Granata, V.; Fusco, R.; Vallone, P.; Setola, S.V.; Picone, C.; Grassi, F.; Patrone, R.; Belli, A.; Izzo, F.; Petrillo, A. Not only lymphadenopathy: Case of chest lymphangitis assessed with MRI after COVID 19 vaccine. Infect Agent Cancer. 2022, 17, 8. [Google Scholar] [CrossRef]
- Cirillo, L.; Rustici, A.; Toni, F.; Zoli, M.; Bartiromo, F.; Gramegna, L.L.; Cicala, D.; Tonon, C.; Caranci, F.; Lodi, R. Vessel Wall MRI: Clinical implementation in cerebrovascular disorders-technical aspects. Radiol. Med. 2022, 127, 645–651. [Google Scholar] [CrossRef]
- Renzulli, M.; Brandi, N.; Argalia, G.; Brocchi, S.; Farolfi, A.; Fanti, S.; Golfieri, R. Morphological, dynamic and functional characteristics of liver pseudolesions and benign lesions. Radiol. Med. 2022, 127, 129–144. [Google Scholar] [CrossRef]
- Li, N.; Wakim, J.; Koethe, Y.; Huber, T.; Schenning, R.; Gade, T.P.; Hunt, S.J.; Park, B.J. Multicenter assessment of augmented reality registration methods for image-guided interventions. Radiol. Med. 2022, 127, 857–865. [Google Scholar] [CrossRef] [PubMed]
- Granata, V.; Faggioni, L.; Grassi, R.; Fusco, R.; Reginelli, A.; Rega, D.; Maggialetti, N.; Buccicardi, D.; Frittoli, B.; Rengo, M.; et al. Structured reporting of computed tomography in the staging of colon cancer: A Delphi consensus proposal. Radiol. Med. 2022, 127, 21–29. [Google Scholar] [CrossRef]
- Granata, V.; Fusco, R.; Setola, S.; Galdiero, R.; Picone, C.; Izzo, F.; D’Aniello, R.; Miele, V.; Grassi, R.; Grassi, R.; et al. Lymphadenopathy after BNT162b2 Covid-19 Vaccine: Preliminary Ultrasound Findings. Biology 2021, 11, 214. [Google Scholar] [CrossRef]
- Mian, M.; Khosa, F.; Ali, I.T.; McLaughlin, P.; Klass, D.; Chang, S.; Nicolaou, S. Faster magnetic resonance imaging in emergency room patients with right lower quadrant pain and suspected acute appendicitis. Pol. J. Radiol. 2018, 83, e340–e347. [Google Scholar] [CrossRef]
- Karmazanovsky, G.; Gruzdev, I.; Tikhonova, V.; Kondratyev, E.; Revishvili, A. Computed tomography-based radiomics approach in pancreatic tumors characterization. Radiol. Med. 2021. [Google Scholar] [CrossRef] [PubMed]
- Granata, V.; Grassi, R.; Fusco, R.; Setola, S.V.; Belli, A.; Ottaiano, A.; Nasti, G.; La Porta, M.; Danti, G.; Cappabianca, S.; et al. Intrahepatic cholangiocarcinoma and its differential diagnosis at MRI: How radiologist should assess MR features. Radiol. Med. 2021, 126, 1584–1600. [Google Scholar] [CrossRef]
- Shellock, F.G.; Kanal, E. Policies, guidelines, and recommendations for MR imaging safety and patient management. SMRI Safety Committee. J. Magn. Reson. Imaging 1991, 1, 97–101. [Google Scholar] [CrossRef]
- Benedetti, G.; Mori, M.; Panzeri, M.M.; Barbera, M.; Palumbo, D.; Sini, C.; Muffatti, F.; Andreasi, V.; Steidler, S.; Doglioni, C.; et al. CT-derived radiomic features to discriminate histologic characteristics of pancreatic neuroendocrine tumors. Radiol. Med. 2021, 126, 745–760. [Google Scholar] [CrossRef]
- Santone, A.; Brunese, M.C.; Donnarumma, F.; Guerriero, P.; Mercaldo, F.; Reginelli, A.; Miele, V.; Giovagnoni, A.; Brunese, L. Radiomic features for prostate cancer grade detection through formal verification. Radiol. Med. 2021, 126, 688–697. [Google Scholar] [CrossRef]
- Smith, A.D.; Nikolaidis, P.; Khatri, G.; Chong, S.T.; De Leon, A.D.; Ganeshan, D.; Gore, J.L.; Gupta, R.T.; Kwun, R.; Lyshchik, A.; et al. ACR Appropriateness Criteria® Acute Pyelonephritis: 2022 Update. J. Am. Coll. Radiol. 2022, 19, S224–S239. [Google Scholar] [CrossRef]
- Masci, G.M.; Iafrate, F.; Ciccarelli, F.; Pambianchi, G.; Panebianco, V.; Pasculli, P.; Ciardi, M.R.; Mastroianni, C.M.; Ricci, P.; Catalano, C.; et al. Tocilizumab effects in COVID-19 pneumonia: Role of CT texture analysis in quantitative assessment of response to therapy. Radiol. Med. 2021, 126, 1170–1180. [Google Scholar] [CrossRef] [PubMed]
- Sun, J.; Li, H.; Gao, J.; Li, J.; Li, M.; Zhou, Z.; Peng, Y. Performance evaluation of a deep learning image reconstruction (DLIR) algorithm in "double low" chest CTA in children: A feasibility study. Radiol. Med. 2021, 126, 1181–1188. [Google Scholar] [CrossRef]
- Cartocci, G.; Colaiacomo, M.C.; Lanciotti, S.; Andreoli, C.; De Cicco, M.L.; Brachetti, G.; Pugliese, S.; Capoccia, L.; Tortora, A.; Scala, A.; et al. Correction to: Chest CT for early detection and management of coronavirus disease (COVID-19): A report of 314 patients admitted to Emergency Department with suspected pneumonia. Radiol. Med. 2021, 126, 642. [Google Scholar] [CrossRef] [PubMed]
- Agazzi, G.M.; Ravanelli, M.; Roca, E.; Medicina, D.; Balzarini, P.; Pessina, C.; Vermi, W.; Berruti, A.; Maroldi, R.; Farina, D. CT texture analysis for prediction of EGFR mutational status and ALK rearrangement in patients with non-small cell lung cancer. Radiol. Med. 2021, 126, 786–794. [Google Scholar] [CrossRef]
- Ledda, R.E.; Silva, M.; McMichael, N.; Sartorio, C.; Branchi, C.; Milanese, G.; Nayak, S.M.; Sverzellati, N. The diagnostic value of grey-scale inversion technique in chest radiography. Radiol. Med. 2022, 127, 294–304. [Google Scholar] [CrossRef]
- Caruso, D.; Pucciarelli, F.; Zerunian, M.; Ganeshan, B.; De Santis, D.; Polici, M.; Rucci, C.; Polidori, T.; Guido, G.; Bracci, B.; et al. Chest CT texture-based radiomics analysis in differentiating COVID-19 from other interstitial pneumonia. Radiol. Med. 2021, 126, 1415–1424. [Google Scholar] [CrossRef] [PubMed]
- Petrillo, A.; Fusco, R.; Petrillo, M.; Granata, V.; Delrio, P.; Bianco, F.; Pecori, B.; Botti, G.; Tatangelo, F.; Caracò, C.; et al. Standardized Index of Shape (DCE-MRI) and Standardized Uptake Value (PET/CT): Two quantitative approaches to discriminate chemo-radiotherapy locally advanced rectal cancer responders under a functional profile. Oncotarget 2017, 8, 8143–8153. [Google Scholar] [CrossRef] [PubMed]
- Barile, A. Some thoughts and greetings from the new Editor-in-Chief. Radiol. Med. 2021, 126, 3–4. [Google Scholar] [CrossRef] [PubMed]
- De Filippo, M.; Puglisi, S.; D’Amuri, F.; Gentili, F.; Paladini, I.; Carrafiello, G.; Maestroni, U.; Del Rio, P.; Ziglioli, F.; Pagnini, F. CT-guided percutaneous drainage of abdominopelvic collections: A pictorial essay. Radiol. Med. 2021, 126, 1561–1570. [Google Scholar] [CrossRef]
- Bianchi, A.; Mazzoni, L.N.; Busoni, S.; Pinna, N.; Albanesi, M.; Cavigli, E.; Cozzi, D.; Poggesi, A.; Miele, V.; Fainardi, E.; et al. Assessment of cerebrovascular disease with computed tomography in COVID-19 patients: Correlation of a novel specific visual score with increased mortality risk. Radiol. Med. 2021, 126, 570–576. [Google Scholar] [CrossRef]
- Francolini, G.; Desideri, I.; Stocchi, G.; Ciccone, L.P.; Salvestrini, V.; Garlatti, P.; Aquilano, M.; Greto, D.; Bonomo, P.; Meattini, I.; et al. Impact of COVID-19 on workload burden of a complex radiotherapy facility. Radiol. Med. 2021, 126, 717–721. [Google Scholar] [CrossRef]
- Spinelli, M.S.; Balbaa, M.F.; Gallazzi, M.B.; Eid, M.E.-E.; Kotb, H.T.; El Shafei, M.; Ierardi, A.M.; Daolio, P.A.; Barile, A.; Carrafiello, G. Role of percutaneous CT-guided radiofrequency ablation in treatment of intra-articular, in close contact with cartilage and extra-articular osteoid osteomas: Comparative analysis and new classification system. Radiol. Med. 2022, 127, 1142–1150. [Google Scholar] [CrossRef]
- Caruso, D.; Polici, M.; Rinzivillo, M.; Zerunian, M.; Nacci, I.; Marasco, M.; Magi, L.; Tarallo, M.; Gargiulo, S.; Iannicelli, E.; et al. CT-based radiomics for prediction of therapeutic response to Everolimus in metastatic neuroendocrine tumors. Radiol. Med. 2022, 127, 691–701. [Google Scholar] [CrossRef]
- Masci, G.M.; Ciccarelli, F.; Mattei, F.I.; Grasso, D.; Accarpio, F.; Catalano, C.; Laghi, A.; Sammartino, P.; Iafrate, F. Role of CT texture analysis for predicting peritoneal metastases in patients with gastric cancer. Radiol. Med. 2022, 127, 251–258. [Google Scholar] [CrossRef]
- Kirsch, J.; Brown, R.K.; Henry, T.S.; Javidan-Nejad, C.; Jokerst, C.; Julsrud, P.R.; Kanne, J.P.; Kramer, C.M.; Leipsic, J.A.; Panchal, K.K.; et al. ACR Appropriateness Criteria® Acute Chest Pain-Suspected Pulmonary Embolism. J. Am. Coll. Radiol. 2017, 14, S2–S12. [Google Scholar] [CrossRef] [PubMed]
- Kang, Y.J.; Cho, J.-H.; Hwang, S.H. Diagnostic value of various criteria for deep lobe involvement in radiologic studies with parotid mass: A systematic review and meta-analysis. Radiol. Med. 2022, 127, 1124–1133. [Google Scholar] [CrossRef]
- De Robertis, R.; Geraci, L.; Tomaiuolo, L.; Bortoli, L.; Beleù, A.; Malleo, G.; D’Onofrio, M. Liver metastases in pancreatic ductal adenocarcinoma: A predictive model based on CT texture analysis. Radiol. Med. 2022, 127, 1079–1084. [Google Scholar] [CrossRef]
- Bracco, S.; Zanoni, M.; Casseri, T.; Castellano, D.; Cioni, S.; Vallone, I.M.; Gennari, P.; Mazzei, M.A.; Romano, D.G.; Piano, M.; et al. Endovascular treatment of acute ischemic stroke due to tandem lesions of the anterior cerebral circulation: A multicentric Italian observational study. Radiol. Med. 2021, 126, 804–817. [Google Scholar] [CrossRef] [PubMed]
- Gurgitano, M.; Angileri, S.A.; Rodà, G.M.; Liguori, A.; Pandolfi, M.; Ierardi, A.M.; Wood, B.J.; Carrafiello, G. Interventional Radiology ex-machina: Impact of Artificial Intelligence on practice. Radiol. Med. 2021, 126, 998–1006. [Google Scholar] [CrossRef]
- Cipollari, S.; Pecoraro, M.; Forookhi, A.; Laschena, L.; Bicchetti, M.; Messina, E.; Lucciola, S.; Catalano, C.; Panebianco, V. Biparametric prostate MRI: Impact of a deep learning-based software and of quantitative ADC values on the inter-reader agreement of experienced and inexperienced readers. Radiol Med. 2022, 127, 1245–1253. [Google Scholar] [CrossRef]
- Matsoukas, S.; Scaggiante, J.; Schuldt, B.R.; Smith, C.J.; Chennareddy, S.; Kalagara, R.; Majidi, S.; Bederson, J.B.; Fifi, J.T.; Mocco, J.; et al. Accuracy of artificial intelligence for the detection of intracranial hemorrhage and chronic cerebral microbleeds: A systematic review and pooled analysis. Radiol. Med. 2022, 127, 1106–1123. [Google Scholar] [CrossRef] [PubMed]
- Fushimi, Y.; Yoshida, K.; Okawa, M.; Maki, T.; Nakajima, S.; Sakata, A.; Okuchi, S.; Hinoda, T.; Kanagaki, M.; Nakamoto, Y. Vessel wall MR imaging in neuroradiology. Radiol. Med. 2022, 30, 1–14. [Google Scholar] [CrossRef] [PubMed]
- Granata, V.; Fusco, R.; De Muzio, F.; Cutolo, C.; Setola, S.V.; Dell’Aversana, F.; Grassi, F.; Belli, A.; Silvestro, L.; Ottaiano, A.; et al. Radiomics and machine learning analysis based on magnetic resonance imaging in the assessment of liver mucinous colorectal metastases. Radiol. Med. 2022, 127, 763–772. [Google Scholar] [CrossRef]
- Gabelloni, M.; Faggioni, L.; Cioni, D.; Mendola, V.; Falaschi, Z.; Coppola, S.; Corradi, F.; Isirdi, A.; Brandi, N.; Coppola, F.; et al. Extracorporeal membrane oxygenation (ECMO) in COVID-19 patients: A pocket guide for radiologists. Radiol. Med. 2022, 127, 369–382. [Google Scholar] [CrossRef]
- Shyu, J.Y.; Khurana, B.; Soto, J.A.; Biffl, W.L.; Camacho, M.A.; Diercks, D.B.; Glanc, P.; Kalva, S.P.; Khosa, F.; Meyer, B.J.; et al. ACR Appropriateness Criteria® Major Blunt Trauma. J. Am. Coll Radiol. 2020, 17, S160–S174. [Google Scholar] [CrossRef] [PubMed]
- Granata, V.; Fusco, R.; Cozzi, D.; Danti, G.; Faggioni, L.; Buccicardi, D.; Prost, R.; Ferrari, R.; Trinci, M.; Galluzzo, M.; et al. Structured reporting of computed tomography in the polytrauma patient assessment: A Delphi consensus proposal. Radiol. Med. 2023, 128, 222–233. [Google Scholar] [CrossRef] [PubMed]
- Available online: https://www.aapm.org/org/policies/details.asp?id=468 (accessed on 30 November 2022).
- Granata, V.; Fusco, R.; Catalano, O.; Piccirillo, M.; De Bellis, M.; Izzo, F.; Petrillo, A. Percutaneous ablation therapy of hepatocellular carcinoma with irreversible electroporation: MRI findings. AJR Am. J. Roentgenol. 2015, 204, 1000–1007. [Google Scholar] [CrossRef] [PubMed]
- Bimonte, S.; Leongito, M.; Barbieri, A.; Del Vecchio, V.; Barbieri, M.; Albino, V.; Piccirillo, M.; Amore, A.; Di Giacomo, R.; Nasto, A.; et al. Inhibitory effect of (-)-epigallocatechin-3-gallate and bleomycin on human pancreatic cancer MiaPaca-2 cell growth. Infect Agent Cancer. 2015, 10, 22. [Google Scholar] [CrossRef] [PubMed]
- Avallone, A.; Pecori, B.; Bianco, F.; Aloj, L.; Tatangelo, F.; Romano, C.; Granata, V.; Marone, P.; Leone, A.; Botti, G.; et al. Critical role of bevacizumab scheduling in combination with pre-surgical chemo-radiotherapy in MRI-defined high-risk locally advanced rectal cancer: Results of the BRANCH trial. Oncotarget 2015, 6, 30394–30407. [Google Scholar] [CrossRef]
- Granata, V.; Fusco, R.; Avallone, A.; De Stefano, A.; Ottaiano, A.; Sbordone, C.; Brunese, L.; Izzo, F.; Petrillo, A. Radiomics-Derived Data by Contrast Enhanced Magnetic Resonance in RAS Mutations Detection in Colorectal Liver Metastases. Cancers 2021, 13, 453. [Google Scholar] [CrossRef]
Disclaimer/Publisher’s Note: The statements, opinions and data contained in all publications are solely those of the individual author(s) and contributor(s) and not of MDPI and/or the editor(s). MDPI and/or the editor(s) disclaim responsibility for any injury to people or property resulting from any ideas, methods, instructions or products referred to in the content. |
© 2023 by the authors. Licensee MDPI, Basel, Switzerland. This article is an open access article distributed under the terms and conditions of the Creative Commons Attribution (CC BY) license (https://creativecommons.org/licenses/by/4.0/).





