Pott’s Puffy Tumor in Young Age: A Systematic Review and Our Experience
Abstract
1. Introduction
2. Materials and Methods
2.1. Protocol Registration
2.2. Search Strategy
2.3. Selection Criteria
2.4. Data Extraction and Quality Assessment
2.5. Statistical Analysis
3. Results
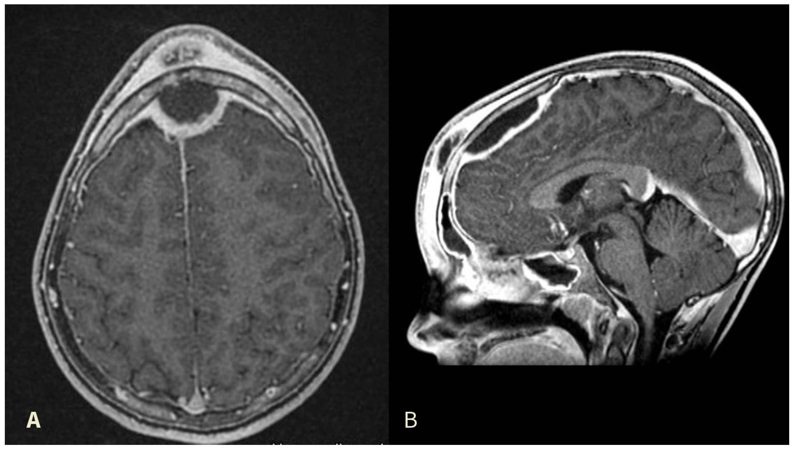
3.1. Case Report
3.2. Search Results and Quality Assessment
3.3. Included Studies’ Characteristics
3.4. Included Patients’ Characteristics
3.5. Imaging Assessment
3.6. Pathogens
3.7. Medical Treatment
3.8. Intracranial Extension
3.9. Surgical Treatment
4. Discussion
4.1. Epidemiology
4.2. Pathophysiology
4.3. Clinical Presentation
4.4. Imaging Modalities
4.5. Intracranial Manifestations
4.6. Microbiology
4.7. Treatment
4.8. Limitations of the Study
- -
- Case reports: the review primarily included case reports and short case series, which can limit the generalizability of findings due to variability and heterogeneity.
- -
- Missing data: some older articles lacked details relevant to the study, leading to the exclusion of some information from the analyses.
- -
- Evolution of treatment: the evolution of surgical technique and overall management of PPT that has taken place over the last decades may have improved outcomes, potentially affecting the comparability of older data with more recent data.
5. Conclusions
Supplementary Materials
Author Contributions
Funding
Institutional Review Board Statement
Informed Consent Statement
Data Availability Statement
Conflicts of Interest
References
- Koltsidopoulos, P.; Papageorgiou, E.; Skoulakis, C. Pott’s puffy tumor in children: A review of the literature. Laryngoscope 2020, 130, 225–231. [Google Scholar] [CrossRef] [PubMed]
- Kombogiorgas, D.; Solanki, G.A. The Pott puffy tumor revisited: Neurosurgical implications of this unforgotten entity: Case report and review of the literature. J. Neurosurg. 2006, 105, 143–149. [Google Scholar] [CrossRef] [PubMed]
- Behbahani, M.; Burokas, L.; Rosinski, C.L.; Rosenberg, D.M.; Chaudhry, N.S.; Sherman, J.M. Treatment of pediatric extra-axial sinogenic infection: Case series and literature review. Child’s Nerv. Syst. 2020, 36, 755–766. [Google Scholar] [CrossRef] [PubMed]
- Sharma, P.; Sharma, S.; Gupta, N.; Kochar, P.; Kumar, Y. Pott Puffy Tumor. Bayl. Univ. Med. Cent. Proc. 2017, 30, 179–181. [Google Scholar] [CrossRef]
- Page, M.J.; McKenzie, J.E.; Bossuyt, P.M.; Boutron, I.; Hoffmann, T.C.; Mulrow, C.D.; Shamseer, L.; Tetzlaff, J.M.; Akl, E.A.; Brennan, S.E.; et al. The PRISMA 2020 statement: An updated guideline for reporting systematic reviews. BMJ 2021, 372, 71. [Google Scholar] [CrossRef]
- NHLBI NIH. Study Quality Assessment Tools. Available online: https://www.nhlbi.nih.gov/health-topics/study-quality-assessment-tools (accessed on 3 January 2024).
- Adnani, A.; Wawrzyniak, M.; Eilbert, W. Girl with a frontal headache and fever. J. Am. Coll. Emerg. Physicians Open 2023, 4, e12994. [Google Scholar] [CrossRef]
- Allfather, P.; Nagler, J. Seven-Year-Old Girl With Forehead Swelling. Ann. Emerg. Med. 2017, 70, 771–796. [Google Scholar] [CrossRef][Green Version]
- AlMoosa, Z.A.; AlFawaz, T.; AlFawaz, F. Pott’s puffy tumor due to Aspergillus fumigatus: A case report and review. Int. J. Pediatr. Adolesc. Med. 2016, 3, 128–131. [Google Scholar] [CrossRef]
- Amstrup, J.; Penning, L.W.; Hansen, J.K.; Brix, N.; Andersen, G. A 9-year-old boy with a nonmalignant forehead tumor—A rare case of pediatric Pott’s puffy tumor. BMC Pediatr. 2023, 23, 300. [Google Scholar] [CrossRef]
- Arnold, P.M.; Govindan, S.; Anderson, K.K. Spontaneous cranial osteomyelitis in an otherwise healthy ten-year-old male. Pediatr. Neurosurg. 2009, 45, 407–409. [Google Scholar] [CrossRef]
- Arora, H.S.; Abdel-Haq, N. A 14-year-old male with swelling of the forehead. Pott’s puffy tumor. Pediatr. Ann. 2014, 43, 479–481. [Google Scholar] [CrossRef] [PubMed]
- Avcu, G.; Belet, N.; Kurnaz, S.C.; Karli, A.; Sensoy, G. Pott’s puffy tumor in a 12-year-old boy. Pediatr. Int. 2015, 57, 163–165. [Google Scholar] [CrossRef] [PubMed]
- Bağdatoğlu, C.; Güleryüz, A.; Ersöz, G.; Talas, D.U.; Kandemir, O.; Köksel, T. A rare clinical entity: Pott’s puffy tumor. A case report. Pediatr. Neurosurg. 2001, 34, 156–158. [Google Scholar] [CrossRef] [PubMed]
- Bambakidis, N.C.; Cohen, A.R. Intracranial complications of frontal sinusitis in children: Pott’s puffy tumor revisited. Pediatr. Neurosurg. 2001, 35, 82–89. [Google Scholar] [CrossRef] [PubMed]
- Belharti, A.; Nasri, S.; Kennoudi, N.; Ziani, H.; Mojahid, A.; Aichouni, N.; Kamaoui, I.; Skiker, I. What is hidden behind a forehead swelling: Pott’s puffy tumor? Pediatr. Neonatol. 2023, 64, 611–612. [Google Scholar] [CrossRef]
- Bhalla, V.; Khan, N.; Isles, M. Pott’s puffy tumour: The usefulness of MRI in complicated sinusitis. J. Surg. Case Rep. 2016, 2016, rjw038. [Google Scholar] [CrossRef]
- Blackman, S.C.; Schleiss, M.R. Forehead swelling caused by Pott’s puffy tumor in a 9-year-old boy with sinusitis. Pediatr. Int. 2005, 47, 704–707. [Google Scholar] [CrossRef]
- Blumfield, E.; Misra, M. Pott’s puffy tumor, intracranial, and orbital complications as the initial presentation of sinusitis in healthy adolescents, a case series. Emerg. Radiol. 2011, 18, 203–210. [Google Scholar] [CrossRef]
- Butskiy, O.; Remillard, A.; Kozak, F. Forehead swelling in a 10-year-old male: A case report. Br. Columbia Med. J. 2017, 59, 407–411. [Google Scholar]
- Cannon, L.; Zwemer, E.; Stephens, J.R. Puff laddy: A 5-year-old-boy with forehead swelling. BMJ Case Rep. 2017, 2017, bcr-2017-223340. [Google Scholar] [CrossRef]
- Cheng, S.; Vu, P. Pott’s Puffy Tumor in a Premature Neonate: The New Youngest Case Reported in the Post-Antibiotic Era. Orbit 2009, 28, 412–414. [Google Scholar] [CrossRef] [PubMed]
- Costa, L.; Mendes Leal, L.; Vales, F.; Santos, M. Pott’s puffy tumor: Rare complication of sinusitis. Braz. J. Otorhinolaryngol. 2020, 86, 812–814. [Google Scholar] [CrossRef] [PubMed]
- Davidson, L.; McComb, J.G. Epidural-cutaneous fistula in association with the Pott puffy tumor in an adolescent: Case report. J. Neurosurg. 2006, 105, 235–237. [Google Scholar] [CrossRef] [PubMed]
- Dayan, E.R.; Sanders, J.E. Girl With Fever and Forehead Swelling. Ann. Emerg. Med. 2020, 76, 679–694. [Google Scholar] [CrossRef] [PubMed]
- Durur-Subasi, I.; Kantarci, M.; Karakaya, A.; Orbak, Z.; Ogul, H.; Alp, H. Pott’s puffy tumor: Multidetector computed tomography findings. J. Craniofac. Surg. 2008, 19, 1697–1699. [Google Scholar] [CrossRef]
- Faridi, M.M.A.; Pandey, S.; Shamsi, S. Pott’s Puffy Tumor Presenting as Pyogenic Meningitis in an Infant. Case Rep. Pediatr. 2022, 2022, 4732287. [Google Scholar] [CrossRef]
- Feder, H.M.; Cates, K.L.; Cementina, A.M. Pott puffy tumor: A serious occult infection. Pediatrics 1987, 79, 625–629. [Google Scholar]
- Forgie, S.E.; Marrie, T.J. Pott’s puffy tumor. Am. J. Med. 2008, 121, 1041–1042. [Google Scholar] [CrossRef]
- Fu, B. Pott’s puffy tumour: A rare complication from frontal sinusitis. Emerg. Med. J. 2010, 27, 521. [Google Scholar] [CrossRef]
- Fullerton, L.; Huckerby, L.; Gandhi, M.; Jabeen, F.; Maity, S. Trauma-related Pott’s puffy tumour. Arch. Dis. Child. 2016, 101, 184. [Google Scholar] [CrossRef]
- Gildener-Leapman, N.; Lin, A. Pott’s puffy tumor in a 5-year-old male and a review of the literature. Int. J. Pediatr. Otorhinolaryngol. Extra 2012, 7, 48–51. [Google Scholar] [CrossRef]
- Gozgec, E.; Ogul, H.; Kılıc, K. Pott’s Puffy Tumor with Intraorbital Abscess. Rev. Soc. Bras. Med. Trop. 2022, 55, e01262022. [Google Scholar] [CrossRef] [PubMed]
- Guillén, A.; Brell, M.; Cardona, E.; Claramunt, E.; Costa, J.M. Pott’s puffy tumour: Still not an eradicated entity. Child’s Nerv. Syst. 2001, 17, 359–362. [Google Scholar] [CrossRef]
- Gupta, M.; El-Hakim, H.; Burgava, R.; Mehta, V. Pott’s puffy tumour in a pre-adolescent child: The youngest reported in the post-antibiotic era. Int. J. Pediatr. Otorhinolaryngol. 2004, 68, 373–378. [Google Scholar] [CrossRef] [PubMed]
- Haider, H.R.; Mayatepek, E.; Schaper, J.; Vogel, M. Pott’s puffy tumor: A forgotten differential diagnosis of frontal swelling of the forehead. J. Pediatr. Surg. 2012, 47, 1919–1921. [Google Scholar] [CrossRef]
- Hassan, S.; Rahmani, B.; Rastatter, J.C.; Jaju, A.I.; Kurup, S.P. Trauma-associated Pott’s puffy tumor: An ophthalmologic perspective. Orbit 2020, 39, 38–40. [Google Scholar] [CrossRef]
- Hayek, B.R.; Sitole, S.; Andreoli, M.; Banich, A.; Ahmad, A.Z. Bilateral eyelid edema and orbital cellulitis associated with Pott’s puffy tumor. Ophthalmic Plast. Reconstr. Surg. 2007, 23, 163–165. [Google Scholar] [CrossRef]
- Heale, L.; Zahanova, S.; Bismilla, Z. Cases: Pott puffy tumour in a five-year-old girl. CMAJ 2015, 187, 433–435. [Google Scholar] [CrossRef]
- Hicks, C.W.; Weber, J.G.; Reid, J.R.; Moodley, M. Identifying and Managing Intracranial Complications of Sinusitis in Children: A Retrospective Series. Pediatr. Infect. Dis. J. 2011, 30, 222–226. [Google Scholar] [CrossRef]
- Hitti, E.; Love, E. Pott’s puffy tumor in a six-year-old female. J Hosp Med. 2010, 5, E4–E5. [Google Scholar] [CrossRef]
- Holder, J.; Corbin, D.; Marquez, S.; Clarke, H.; Walcott, J.; Thomas, R. Pott’s puffy tumour and subdural empyema following frontal sinusitis. West Indian Med. J. 1991, 40, 33–36. [Google Scholar] [PubMed]
- Hore, I.; Mitchell, R.B.; Radcliffe, G.; De Casso Moxo, C. Pott’s puffy tumour: A rare cause of forehead swelling in a child. Int. J. Clin. Pract. 2000, 54, 267–268. [Google Scholar] [CrossRef] [PubMed]
- Huijssoon, E.; Woerdeman, P.A.; van Diemen-Steenvoorde, R.A.A.M.; Hanlo, P.W.; Plötz, F.B. An 8-year-old boy with a Pott’s puffy tumor. Int. J. Pediatr. Otorhinolaryngol. 2003, 67, 1023–1026. [Google Scholar] [CrossRef] [PubMed]
- Ikoma, N.; Aizawa, Y.; Sasaki, T.; Oishi, M.; Saito, N.; Yoshida, H.; Saitoh, A. Pott’s puffy tumour: A rare and life-threatening disease. Lancet Infect. Dis. 2020, 20, 1482. [Google Scholar] [CrossRef]
- Is, M.; Karatas, A.; Aytekin, H.; Dosoglu, M.; Gezen, F. An 11-year-old girl with Pott’s puffy tumour. Int. J. Pediatr. Otorhinolaryngol. Extra 2007, 2, 215–217. [Google Scholar] [CrossRef]
- Jafri, L.; Farooq, O. Pott’s puffy tumor. Pediatr. Neurol. 2015, 52, 250–251. [Google Scholar] [CrossRef]
- Joo, M.J.; Schapira, K.E. Pott’s Puffy Tumor: A Potentially Deadly Complication of Sinusitis. Cureus 2019, 11, e6351. [Google Scholar] [CrossRef]
- Kalkan, H.; Eryılmaz, M.A.; Kıresi, D.; Arbag, H.; Yesildag, A. Pott’s puffy tumor: The role of ultrasound, computed tomography and magnetic resonance imaging in diagnosis. Eur. J. Gen. Med. 2017, 14, 51–53. [Google Scholar] [CrossRef]
- Karadaghy, O.A.; Lucas, J.C.; Paroya, S.; Jensen, D. Pott’s puffy tumor in a 23-month-old: Youngest known case of a rare disease. Auris Nasus Larynx 2022, 49, 713–716. [Google Scholar] [CrossRef]
- Karaman, E.; Hacizade, Y.; Isildak, H.; Kaytaz, A. Pott’s puffy tumor. J. Craniofac. Surg. 2008, 19, 1694–1697. [Google Scholar] [CrossRef]
- Ketenci, I.; Unlü, Y.; Tucer, B.; Vural, A. The Pott’s puffy tumor: A dangerous sign for intracranial complications. Eur. Arch. Otorhinolaryngol. 2011, 268, 1755–1763. [Google Scholar] [CrossRef] [PubMed]
- Khan, M.A. Pott’s puffy tumor: A rare complication of mastoiditis. Pediatr. Neurosurg. 2006, 42, 125–128. [Google Scholar] [CrossRef] [PubMed]
- Kim, H.Y.; Hwang, E.H.; Han, Y.M.; Kim, S.H.; Kim, Y.M. Pott’s puffy tumor in an adolescent boy. Pediatr. Int. 2012, 54, 158–160. [Google Scholar] [CrossRef]
- Klivitsky, A.; Erps, A.; Regev, A.; Ashkenazi-Hoffnung, L.; Pratt, L.T.; Grisaru-Soen, G. Pott’s Puffy Tumor in Pediatric Patients: Case Series and Literature Review. Pediatr. Infect. Dis. J. 2023, 42, 851–856. [Google Scholar] [CrossRef] [PubMed]
- Kuhar, B.G.; Dunn, T.M.; Liming, B.J.; Yakopson, V.S. Pott’s Puffy Tumor: A Rare, Life-Threatening Presentation of Periorbital Edema. Mil. Med. 2023, 188, 3696–3698. [Google Scholar] [CrossRef] [PubMed]
- Kühn, J.P.; Linsler, S.; Nourkami-Tutdibi, N.; Meyer, S.; Becker, S.L.; Yilmaz, U.; Schick, B.; Bozzato, A.; Kulas, P. Pott’s puffy tumor: A need for interdisciplinary diagnosis and treatment. HNO 2022, 70, 8–13. [Google Scholar] [CrossRef]
- Lang, E.E.; Curran, A.J.; Patil, N.; Walsh, R.M.; Rawluk, D.; Walsh, M.A. Intracranial complications of acute frontal sinusitis. Clin. Otolaryngol. Allied Sci. 2001, 26, 452–457. [Google Scholar] [CrossRef]
- Lauria, R.A.; Laffitte Fernandes, F.; Brito, T.P.; Pereira, P.S.G.; Chone, C.T. Extensive Frontoparietal Abscess: Complication of Frontal Sinusitis (Pott’s Puffy Tumor). Case Rep. Otolaryngol. 2014, 2014, 632464. [Google Scholar] [CrossRef][Green Version]
- Ling, C.; Ng, D.C.E.; Kumar, T.A.P.B.A. More than a Bump on the Head. J. Pediatr. 2021, 238, 331. [Google Scholar] [CrossRef]
- Linton, S.; Pearman, A.; Joganathan, V.; Karagama, Y. Orbital abscess as a complication of Pott’s puffy tumour in an adolescent male. BMJ Case Rep. 2019, 12, e229664. [Google Scholar] [CrossRef]
- Liu, A.; Powers, A.K.; Whigham, A.S.; Whitlow, C.T.; Shetty, A.K. A Child With Fever and Swelling of the Forehead. Pott’s puffy tumor and epidural abscess complicating frontal sinusitis. Clin. Pediatr. 2015, 54, 803–805. [Google Scholar] [CrossRef] [PubMed]
- Maheshwar, A.A.; Harris, D.A.; Al-Mokhthar, N.; Evans, R.A. Pott’s puffy tumour: An unusual presentation and management. J. Laryngol. Otol. 2001, 115, 497–499. [Google Scholar] [CrossRef] [PubMed]
- Marzuillo, P.; Aliberti, F.; Tipo, V. A revealing forehead cutaneuos lesion: Pott’s “puffy” tumor. Türk Pediatri Arşivi 2017, 52, 57. [Google Scholar] [CrossRef] [PubMed]
- McGee, A.E.; Cooper, F.; Maini, S.K.; Vallamkondu, V. Unusual Presentation of Pott’s puffy tumour in a child: Our recent experience and review of the literature. BMJ Case Rep. 2022, 15, e247325. [Google Scholar] [CrossRef]
- Morley, A.M.S. Pott’s puffy tumour: A rare but sinister cause of periorbital oedema in a child. Eye 2009, 23, 990–991. [Google Scholar] [CrossRef]
- Moser, R.; Schweintzger, G.; Uggowitzer, M.; Urban, C.; Stammberger, H.; Eder, H.; Kerbl, R. Recurrent Pott’s puffy tumor—Atypical presentation of a rare disorder. Wien. Klin. Wochenschr. 2009, 121, 719–722. [Google Scholar] [CrossRef]
- Moses, S.F.; Roben, E.C. Deep Impact. Clin. Pediatr. Emerg. Med. 2018, 19, 187–192. [Google Scholar] [CrossRef]
- Nastovska, R.; Lim, L.L. Sinusitis complicated by frontal bone osteomyelitis in a young patient. Med. J. Aust. 2017, 207, 376. [Google Scholar] [CrossRef]
- Nicoli, T.K.; Mäkitie, A. Frontal sinusitis causing epidural abscess and puffy tumor. N. Engl. J. Med. 2014, 370, e18. [Google Scholar] [CrossRef]
- Nourkami-Tutdibi, N.; Linsler, S.; Yilmaz, U.; Pfeifer, J.; Derouet, C.; Becker, S.L.; Zemlin, M.; Meyer, S.; Kulas, P. A 6-Year-Old Boy with a Frontal Mass: Pott Puffy Tumor. J. Pediatr. 2020, 217, 211. [Google Scholar] [CrossRef]
- Olmaz, B.; Cingoz, M.; Akdogan, E.; Kandemirli, S.G. Correlation of imaging and intraoperative findings in Pott’s puffy tumour. Scott. Med. J. 2019, 64, 25–29. [Google Scholar] [CrossRef] [PubMed]
- Onesimo, R.; Scalzone, M.; Valetini, P.; Caldarelli, M. Pott’s puffy tumour by Streptoccocus intermedius a rare complication of sinusitis. Case Rep. 2011, 2011, bcr0820114660. [Google Scholar] [CrossRef] [PubMed]
- Özkaya Parlakay, A.; Kara, A.; Cengiz, A.; Ceyhan, M. Puffy Frontal Edema: A Serious Life-Threatening Finding of Pott’s Puffy Tumor: Case Report. Turk. Klin. Tip Bilim. Derg. 2012, 32, 850–853. [Google Scholar] [CrossRef]
- Öztürk, N.; Atay, K.; Çekin, İ.E.; Erkul, B.E.; Karademir, F. A rare case in childhood: Pott’s puffy tumor developing secondary to frontal sinus osteoma. Türk Pediatri Arşivi 2020, 55, 445–448. [Google Scholar] [CrossRef]
- Palabiyik, F.B.; Yazici, Z.; Cetin, B.; Celebi, S.; Hacimustafaoglu, M. Pott puffy tumor in children: A rare emergency clinical entity. J. Craniofacial Surg. 2016, 27, e313–e316. [Google Scholar] [CrossRef]
- Palacios-García, J.M.; Moreno-Luna, R.; Molina-Fernandez, E.M.; Sanchez-Gomez, S. Bilateral involvement of frontal sinuses in a pott’s puffy tumor: A case report. Otorhinolaryngol. Clin. 2019, 11, 67–69. [Google Scholar] [CrossRef]
- Parida, P.K.; Surianarayanan, G.; Ganeshan, S.; Saxena, S.K. Pott’s puffy tumor in pediatric age group: A retrospective study. Int. J. Pediatr. Otorhinolaryngol. 2012, 76, 1274–1277. [Google Scholar] [CrossRef]
- Patel, A.; Vuppula, S.; Hayward, H.; Lakhani, A.; Lighter, J. A Case of Pott’s Puffy Tumor Associated With Barosinusitis from Scuba Diving. Pediatr. Emerg. Care 2021, 37, e51–e54. [Google Scholar] [CrossRef]
- Patel, S.A.; Chatterjee, A.; Simonsen, K. Recurrent midline frontal mass in a patient with sinusitis. Clin. Pediatr. 2011, 50, 266–268. [Google Scholar] [CrossRef]
- Pender, E.S. Pott’s puffy tumor: A complication of frontal sinusitis. Pediatr. Emerg. Care 1990, 6, 280–284. [Google Scholar] [CrossRef]
- Podolsky-Gondim, G.G.; Santos, M.V.; Carneiro, V.M.; Pires Augusto, L.; Da Costa Pacheco Neto, R.; Santos de Oliveira, R.M. Neurosurgical Management of Pott’s Puffy Tumor in an Obese Adolescent with Asthma: Case Report with a Brief Review of the Literature. Cureus 2018, 10, e2836. [Google Scholar] [CrossRef] [PubMed]
- Przybysz, P.; Hartmann, P.; Jackowska, T. Paranasal sinusitis complicated by Pott’s puffy tumour. Pediatr. Med. Rodz.-Paediatr. Fam. Med. 2018, 14, 331–336. [Google Scholar] [CrossRef]
- Queen, J.R.; Anderson, E. A fourteen-year old with Pott’s Puffy Tumor. J. Emerg. Med. 2001, 21, 185–188. [Google Scholar] [CrossRef] [PubMed]
- Reddan, T.; Connor, P. Not just a bump on the head: Ultrasound as first-line imaging in a boy with Pott’s puffy tumour. J. Med. Radiat. Sci. 2018, 65, 71–73. [Google Scholar] [CrossRef] [PubMed]
- Rogers, L. Pott’s puffy tumour. Br. J. Surg. 1949, 36, 315. [Google Scholar] [CrossRef]
- Rogo, T.; Schwartz, R.H. Pott puffy tumor in a 5-year-old girl with frontal sinusitis. Ear Nose Throat J. 2013, 92, E24. [Google Scholar]
- Russ, A.E.; Morse, A.M.; Spiro, D.M. When a Headache Is More than the Flu: A Case Report. Clin. Pract. Cases Emerg. Med. 2022, 6, 240–243. [Google Scholar] [CrossRef]
- Sabatiello, M.; Vanhooteghem, O.; Mostinckx, S.; De La Brassinne, M. The Pott’s puffy tumor: An unusual complication of frontal sinusitis, methods for its detection. Pediatr. Dermatol. 2010, 27, 406–408. [Google Scholar] [CrossRef]
- Sade, R.; Polat, G.; Kantarci, M. Unusual cause of seizure: Pott puffy tumor. J. Craniofacial Surg. 2016, 27, e548–e549. [Google Scholar] [CrossRef]
- Salomão, J.F.; Cervante, T.P.; Bellas, A.R.; Boechat, M.C.; Pone, S.M.; Pone, M.V.; de APereira, B. Neurosurgical implications of Pott’s puffy tumor in children and adolescents. Child’s Nerv. Syst. 2014, 30, 1527–1534. [Google Scholar] [CrossRef]
- Shehu, B.B.; Mahmud, M.R. Pott’s puffy tumour: A case report. Ann. Afr. Med. 2008, 7, 138–140. [Google Scholar] [CrossRef] [PubMed]
- Shemesh, A.J.; Panebianco, N.L.; Chen, A.E. An Uncommon Complication of Sinusitis in a Young Adolescent. Pediatr. Emerg. Care 2015, 31, 531–532. [Google Scholar] [CrossRef] [PubMed]
- Sheth, S.P.; Ilkanich, P.; Congeni, B. Complicated fusobacterium sinusitis: A case report. Pediatr. Infect. Dis. J. 2018, 37, E246–E248. [Google Scholar] [CrossRef] [PubMed]
- Silva, A.C.V.; Lins, C.M.; Mendes, R.F.d.A.; Silva, M.H.S.; de Alencar Neto, J.F.; Lopes, C.C.M.; Ferraz, G.L.D.S.; de Sousa, D.F.R.; Bem Junior, L.S.; Valença, M.M.; et al. Case Report: Pott’s Edematous Tumor: Complicated Frontal Sinusitis—An Unremembered Diagnosis. Front. Surg. 2022, 9, 889463. [Google Scholar] [CrossRef] [PubMed]
- Stark, P.; Ghumman, R.; Thomas, A.; Sawyer, S.M. Forehead swelling in a teenage boy. J. Paediatr. Child Health 2015, 51, 731–733. [Google Scholar] [CrossRef]
- Stoddard, T.J.; Tung, P.; Kelly, M.N. Pott’s Puffy Tumor: A Case Report. J. Pediatr. Health Care 2019, 33, 585–588. [Google Scholar] [CrossRef]
- Strony, R.J.; Dula, D. Pott puffy tumor in a 4-year-old boy presenting in status epilepticus. Pediatr. Emerg. Care 2007, 23, 820–822. [Google Scholar] [CrossRef]
- Sugiyama, A.; Kobayashi, M.; Moriishi, H.; Tanaka, H.; Mitsuyoshi, R.; Matsunaga, T.; Kuwabara, S. Pneumocephalus associated with Pott’s puffy tumor. J. Neurol. Sci. 2016, 362, 196–197. [Google Scholar] [CrossRef]
- Suwan, P.T.; Mogal, S.; Chaudhary, S. Pott’s Puffy Tumor: An Uncommon Clinical Entity. Case Rep. Pediatr. 2012, 2012, 386104. [Google Scholar] [CrossRef]
- Tibesar, R.J.; Azhdam, A.M.; Borrelli, M. Pott’s Puffy Tumor. Ear Nose Throat J. 2021, 100, 870S–872S. [Google Scholar] [CrossRef]
- Tsai, B.Y.; Lin, K.L.; Lin, T.Y.; Chiu, C.H.; Lee, W.J.; Hsia, S.H.; Wu, C.T.; Wang, H.S. Pott’s puffy tumor in children. Child’s Nerv. Syst. 2010, 26, 53–60. [Google Scholar] [CrossRef] [PubMed]
- Tudor, R.B.; Carson, J.P.; Pulliam, M.W.; Hill, A. Pott’s puffy tumor, frontal sinusitis, frontal bone osteomyelitis, and epidural abscess secondary to a wrestling injury. Am. J. Sports Med. 1981, 9, 390–391. [Google Scholar] [CrossRef] [PubMed]
- Urík, M.; Machač, J.; Šlapák, I.; Hošnová, D. Pott’s puffy tumor: A rare complication of acute otitis media in child: A case report. Int. J. Pediatr. Otorhinolaryngol. 2015, 79, 1589–1591. [Google Scholar] [CrossRef] [PubMed]
- Vadiee, G.; Beshali, M.; Jahangiri, S.; Eghlidos, Z.; Rahimian, Z.; Mirzaei, F. Pott’s puffy tumor: A case report. Clin. Case Rep. 2023, 11, e7815. [Google Scholar] [CrossRef] [PubMed]
- Van Der Poel, N.A.; Hansen, F.S.; Georgalas, C.; Fokkens, W.J. Minimally invasive treatment of patients with Pott’s puffy tumour with or without endocranial extension—A case series of six patients: Our Experience. Clin. Otolaryngol. 2016, 41, 596–601. [Google Scholar] [CrossRef]
- Vanderveken, O.M.; De Smet, K.; Dogan-Duyar, S.; Desimpelaere, J.; Duval, E.L.; De Praeter, M.; Van Rompaey, D. Pott’s puffy tumour in a 5-year old boy: The role of ultrasound and contrast-enhanced CT imaging; surgical case report. B-ENT 2012, 8, 127–129. [Google Scholar]
- Vaphiades, M.S.; Isen, D.; Tavakoli, M.; Bilyk, J.R. Pott luck. Surv. Ophthalmol. 2023, 68, 830–833. [Google Scholar] [CrossRef]
- Verma, R.K.; Abraham, S. Potts Puffy Tumor: A Rare Cause of Seizure in Children. Eur. J. Rhinol. Allergy 2021, 4, 99–102. [Google Scholar] [CrossRef]
- Verma, R.; Behera, S. Endoscopic management of Pott’s puffy tumour—Still a common entity in-developing country a case series of three patients: Our experience. Int. J. Pediatr. Otorhinolaryngol. Extra 2018, 19, 10–13. [Google Scholar] [CrossRef]
- Weinberg, B.; Gupta, S.; Thomas, M.J.; Stern, H. Pott’s puffy tumor: Sonographic diagnosis. J. Clin. Ultrasound 2005, 33, 305–307. [Google Scholar] [CrossRef]
- Wu, C.T.; Huang, J.L.; Hsia, S.H.; Lee, H.Y.; Lin, J.J. Pott’s puffy tumor after acupuncture therapy. Eur. J. Pediatr. 2009, 168, 1147–1149. [Google Scholar] [CrossRef] [PubMed]
- Rohde, R.L.; North, L.M.; Murray, M.; Khalili, S.; Poetker, D.M. Pott’s puffy tumor: A comprehensive review of the literature. Am. J. Otolaryngol. 2022, 43, 103529. [Google Scholar] [CrossRef] [PubMed]
- Sideris, G.; Davoutis, E.; Panagoulis, E.; Maragkoudakis, P.; Nikolopoulos, T.; Delides, A. A Systematic Review of Intracranial Complications in Adults with Pott Puffy Tumor over Four Decades. Brain Sci. 2023, 13, 587. [Google Scholar] [CrossRef] [PubMed]
- Uren, R.F.; Howman-Giles, R. Pott’s Puffy Tumor: Scintigraphic Findings. Clin. Nucl. Med. 1992, 17, 724–727. [Google Scholar] [CrossRef]
- Akiyama, K.; Karaki, M.; Mori, N. Evaluation of adult pott’s puffy tumor: Our five cases and 27 literature cases. Laryngoscope 2012, 122, 2382–2388. [Google Scholar] [CrossRef]
- Clayman, G.L.; Adams, G.L.; Paugh, D.R.; Koopmann, C.F. Intracranial complications of paranasal sinusitis: A combined institutional review. Laryngoscope 1991, 101, 234–239. [Google Scholar] [CrossRef]
- Brook, I. Microbiology and antimicrobial treatment of orbital and intracranial complications of sinusitis in children and their management. Int. J. Pediatr. Otorhinolaryngol. 2009, 73, 1183–1186. [Google Scholar] [CrossRef]
- Pendolino, A.L.; Koumpa, F.S.; Zhang, H.; Leong, S.C.; Andrews, P.J. Draf III frontal sinus surgery for the treatment of Pott’s puffy tumour in adults: Our case series and a review of frontal sinus anatomy risk factors. Eur. Arch. Otorhinolaryngol. 2020, 277, 2271–2278. [Google Scholar] [CrossRef]
- Kaufman, D.I.; Litman, N.; Miller, M.H. Sinusitis: Induced subdural empyerna. Neurology 1983, 33, 123. [Google Scholar] [CrossRef]
- Garin, A.; Thierry, B.; Leboulanger, N.; Blauwblomme, T.; Grevent, D.; Blanot, S.; Garabedian, N.; Couloigner, V. Pediatric sinogenic epidural and subdural empyema: The role of endoscopic sinus surgery. Int. J. Pediatr. Otorhinolaryngol. 2015, 79, 1752–1760. [Google Scholar] [CrossRef]





| Author | Year | Age (Years) | Sex | Etiology | Imaging | Complication | Surgery | Treatment | Culture |
|---|---|---|---|---|---|---|---|---|---|
| Adnani et al. [7] | 2023 | 8 | F | ARS | ce-CT | PSC | NA | NA | NA |
| Allfather et al. [8] | 2017 | 7 | F | FARS | ce-CT | EDA | ESS, CRA | MER, VAN | Staphylococcus, Fusobacterium |
| AlMoosa et al. [9] | 2016 | 9 | F | T | ce-CT, ce-MRI | None | ESS, CRA | empirical: CLI, CEF; AC: VOR | Aspergillus Fumigatus |
| Amstrup et al. [10] | 2023 | 9 | M | ARS | ce-CT, ce-MRI | SSST, EDA | None | CEF, MET | S. anginosus |
| Arnold et al. [11] | 2009 | 10 | M | T | CT | EDA | EXD, CRE | CEF, VAN, MET | S. intermedius |
| Arora et al. [12] | 2014 | 14 | M | FARS | ce-CT | None | EXD | CEF, CLI | NA |
| Avcu et al. [13] | 2015 | 12 | M | ARS | ce-CT, ce-MRI | PSC | EXD, ESS | CEF, VAN, MET | NA |
| Bağdatoğlu et al. [14] | 2001 | 18 | M | ARS | ce-CT | EDA, SDA | CRA | empirical: IM gentamycin AC: VAN, RIF, MET | STE |
| Bambakidis et al. [15] | 2001 | 11 | M | ARS | CT, only 2 pts MRI | SDA, OA | CRA | BSATB | Fusobacterium, S. pneumoniae |
| 11 | M | ARS | EDA, SDA | CRA | BSATB | S. milleri | |||
| 16 | M | ARS | SDA | EXD, CRA | BSATB | Klebsiella sp., Peptostreptococcus | |||
| 18 | M | ARS | EDA | EXD, CRA | BSATB | S. microaerophilic | |||
| 15 | M | ARS | EDA | CRA | BSATB | Peptostreptococcus | |||
| 14 | M | ARS | EDA | CRA | BSATB | S. viridans | |||
| 11 | F | ARS | EDA, SDA, BA | CRA | BSATB | S. pyogenes | |||
| Behbahani et al. [3] | 2020 | 7 | M | ARS | ce-CT or ce-MRI | EDA | ESS, CRA | CEF | S. pyogenes, Corynebacterium, Pseudodiphtheriticum |
| 13 | M | ARS | SDA | ESS, CRA | CEF, MET | S. anginosus | |||
| 14 | M | ARS | EDA | ESS, CRA | CEF, MET | S. intermedius | |||
| 6 | M | ARS | EDA | ESS, CRA | CEF | S. pyogenes | |||
| 12 | M | ARS | EDA, SDA | ESS, CRA | CEF, CLI | S. anginosus | |||
| 14 | M | ARS | CER | ESS, CRA | CEF, MET | S. anginosus, S. intermedius, Staph. epidermidis | |||
| 13 | M | ARS | EDA | ESS, CRA | CEF, MET | S. intermedius | |||
| 10 | F | ARS | EDA, CER | ESS, CRA | CEF, MET | S. intermedius | |||
| 11 | M | ARS | EDA | ESS | CEF, MET | Staph epidermidis, Propionibacterium, Avidum Diphtheroids | |||
| 5 | M | ARS | CER | ESS | CEF, MET | S. pyogenes | |||
| 5 | F | ARS | EDA, MEN | ESS | CEF, MET | S. intermedius | |||
| 12 | M | ARS | SDA | ESS, CRA | CEF, MET | S, intermedius, Staph. aureus, Staph. epidermidis | |||
| Belharti et al. [16] | 2023 | 15 | M | FARS | ce-CT | EDA | NA | NA | NA |
| Bhalla et al. [17] | 2016 | 5 | M | ARS | ce-CT | subperiosteal OA, EDA | ESS | CEF, CLI, MET | NA |
| Blackman et al. [18] | 2005 | 9 | M | ARS | ce-CT | OC | EXD | CEF, VAN, MET | Staph. saccharolyticus |
| Blumfield et al. [19] | 2011 | 9–16 | 8M 1F | ARS | 8 ce-CT, 1 ce-MRI | 2 SSST 6 EDA 1 SDA | 3: EXD, ESS, CRA 2: ESS, 2: EXD, CRE 1: none, 1: transferred to another hospital | BSATB | S. milleri, S. pneumonia, S. group F, Staph. aureus |
| Butskiy et al. [20] | 2017 | 10 | M | ARS | ce-CT | None | EXD | CEF, CLI | S. intermedius |
| Cannon et al. [21] | 2017 | 5 | M | ARS | ce-MRI | None | EXD | NA | S. anginosus |
| Cheng et al. [22] | 2009 | 32 months | M | SEP | ce-CT | SSST | EXD | CLI | Staph. aureus |
| Costa et al. [23] | 2020 | 13 | M | ARS | ce-CT | BA, OA | EXD, ESS, CRA | CEF, VAN, MET | NA |
| Davidson et al. [24] | 2006 | 14 | F | ARS | ce-CT | EDA, fistula | CRE | NA | NA |
| Dayan et al. [25] | 2020 | 4 | F | ARS | ce-CT | None | EXD | BSATB | NA |
| Durur-Subasi et al. [26] | 2008 | 14 | F | ARS | ce-CT | EDA, BA | EXD | NA | NA |
| Faridi et al. [27] | 2022 | 4 | F | ARS | ce-CT, ce-MRI | CER | EXD | CEF, VAN | NA |
| Feder et al. [28] | 1987 | 6 | F | ARS | X-ray, ce-CT | None | ESS | empirical: cefuroxime and gentamicin; AC: CLI | Peptostreptococcus, Bacteroides melaninogenicus |
| 12 | F | ARS | ce-CT | EDA | ESS, CRA | empirical: CLI AC: penicillin | Alpha Hemolytic S. | ||
| Forgie et al. [29] | 2008 | 16 | M | ARS | NA | None | EXD | BSATB | NA |
| Fu B. [30] | 2010 | 16 | M | FARS | ce-CT | None | EXD | BSATB | NA |
| Fullerton et al. [31] | 2016 | 11 | M | FARS | ce-MRI | EDA | EXD, ESS, CRA | CEF | S. pyogenes |
| Gildener-Leapman et al. [32] | 2012 | 5 | M | FARS | ce-CT | EDA, SDA, CER | EXD, ESS, CRA | CEF, VAN, MET | S. intermedius |
| Gozgec et al. [33] | 2022 | 15 | M | ARS | ce-CT | OC | EXD | BSATB | NA |
| Guillén et al. [34] | 2001 | 12 | F | ARS | ce-CT | OC, EDA, SDA | CRA | CEF, VAN, MET | NA |
| Gupta et al. [35] | 2004 | 3 | M | FARS | ce-CT, ce-MRI | EDA | ESS, CRA | CEF, MET, cloxacillin | STE |
| Haider et al. [36] | 2012 | 14 | M | ARS | ce-CT, ce-MRI | MEN, SDA | EXD, ESS, CRA | MER, MET | F. necrophorum |
| Hassan et al. [37] | 2020 | 15 | M | T | ce-CT, ce-MRI | EDA | EXD, ESS | empirical: VAN, AMPS AC: CEF, MET | F. nucleatum |
| Hayek et al. [38] | 2007 | 9 | M | ARS | ce-CT | PSC | EXD, ESS | AMPS, then CEF | NA |
| Heale et al. [39] | 2015 | 5 | F | NA | ce-CT | PSC, EDA | EXD, CRA | CEF, ET | S. anginosus |
| Hicks et al. [40] | 2011 | NA | NA | ARS | ce-CT, MRI | EDA, OC | ESS | BSATB | S. milleri |
| NA | NA | ARS | ce-CT, MRI | EDA. SDA, SSST | EXD, ESS | BSATB | S. milleri | ||
| NA | NA | ARS | ce-CT | SDA | ESS, CRA | BSATB | S. milleri | ||
| NA | NA | ARS | ce-CT, MRI | EDA, SDA | ESS, CRA | BSATB | Cutibacterium acnes | ||
| NA | NA | ARS | ce-CT, MRI | SDA | EXD, ESS | BSATB | NA | ||
| NA | NA | ARS | ce-CT | BA | CRA | BSATB | S. milleri | ||
| Hitti et al. [41] | 2010 | 6 | F | ARS | ce-CT | EDA | ESS, CRE | empirical: CEF, VAN, MET AC: AMPS | S. pyogenes |
| Holder et al. [42] | 1991 | 17 | M | ARS | X-ray, ce-CT | BA | ESS | empirical: ceftazidime and MET AC: ceftazidime, MET, penicillin, chloramphenicol | Non-hemolytic S. |
| Hore et al. [43] | 2000 | 12 | F | ARS | CT | None | EXD, ESS | CEF, MET | S. milleri |
| Huijssoon et al. [44] | 2003 | 8 | M | ARS | ce-CT | OC | EXD | BSATB | S. milleri |
| Ikoma et al. [45] | 2020 | 12 | M | FARS | ce-CT, ce-MRI | EDA, PNC | EXD, CRA | MER, VAN then CEF, MET | S. constellatus |
| Is et al. [46] | 2007 | 11 | F | NA | ce-CT | EDA | EXD | AMP, CEF, MET | Peptostreptococcus, Veillonella, E. Coli |
| Jafri et al. [47] | 2015 | 11 | F | ARS | ce-CT | EDA | EXD, CRA | AMO | S. intermedius |
| Joo et al. [48] | 2019 | 7 | F | FARS | ce-CT | OC | EXD | AMPS | NA |
| Kalkan et al. [49] | 2017 | 14 | M | ARS | ce-CT, ce-MRI | EDA | ESS, CRA | BSATB | STE |
| Karadaghy et al. [50] | 2022 | 23 months | M | ARS | ce-CT | PSC | EXD, ESS | AMPS, then LEV | S. intermedius, Granulicatella adiacens |
| Karaman et al. [51] | 2008 | 7 | F | ARS | ce-CT | None | EXD, ESS | AMPS | S. milleri |
| Ketenci et al. [52] | 2011 | 12 | F | ARS | ce-CT | SDA, BA | EXD, ESS, CRA | AMPS, VAN, MET | Peptostreptococcus |
| 13 | M | ARS | ce-CT | SDA, BA | EXD, ESS, CRA | CEF, AMPS, MET | S. pyogenes | ||
| Khan et al. [53] | 2006 | 10 | F | MAS | ce-CT | EDA | EXD, CRA, Cortical Mastoidectomy | CEF, CLI | STE |
| Kim et al. [54] | 2012 | 18 | M | ARS | ce-MRI | EDA, SDA | EXD, CRA | AMO, then VAN, ceftazidime, MET | STE |
| Klivitsky et al. [55] | 2023 | 11 | M | ARS | ce-CT, ce-MRI | PSC, SSST, CST | EXT, CRA | CEF and MET | S. pneumoniae |
| 9 | F | ARS | CT, MRI | None | EXD | CEF and CLI | Negative | ||
| 12 | F | ARS | ce-CT, MRI | EDA, SSST | EXD, ESS, CRA | CEF and MET | S. constellatus | ||
| 14 | M | ARS | CT, ce-CT, MRI | EDA, BA | ESS | CEF and MET | S. intermedius | ||
| 15 | M | ARS | CT, ce-CT, MRI | EDA | EXD, ESS, CRA | CEF and MET | STE | ||
| 13 | M | ARS | CT, ce-CT, MRI | EDA | ESS | CEF and MET | Prevotella | ||
| 17 | F | ARS | CT | None | ESS | CEF and CLI | S. pneumoniae | ||
| 14 | M | ARS | CT, MRI | EDA | EXD, ESS, CRA | CEF and MET | STE | ||
| 10 | F | ARS | CT | EDA | EXD | CEF and MET | STE | ||
| 9 | M | ARS | CT | PSC | EXXD | cefuroxime and MET | Staph. aureus | ||
| Kombogiorgas et al. [2] | 2006 | 11 | M | ARS | ce-MRI | EDA | EXD, ESS, CRA | CEF, MET | STE |
| Kuhar et al. [56] | 2023 | 3 | F | ARS | ce-CT, ce-MRI | OC, EDA, SSST | EXD, ESS, CRA | CEF | S. intermedius |
| Kühn et al. [57] | 2022 | 6 | M | FARS | ce-CT, ce-MRI | SDA, MEN, CER | ESS, CRA | cefotaxime, CLI | S. intermedius |
| 17 | M | ARS | ce-CT, ce-MRI | EDA | ESS | CEF | NA | ||
| 9 | F | ARS | ce-CT, ce-MRI | EDA | ESS, CRA | cefotaxime, CLI | S. intermedius | ||
| Lang et al. [58] | 2001 | 14 | F | FARS | ce-CT | SDA, SSST | EXD, CRA | cephalosporin, MET | STE |
| 15 | F | ARS | ce-CT | SDA, SSST | EXD, CRA | cephalosporin, MET | S. pyogenes | ||
| 12 | F | ARS | ce-CT | EDA, SDA | EXD, ESS, CRA | cephalosporin, MET | H. influenzae | ||
| Lauria et al. [59] | 2014 | 14 | M | FARS | ce-CT | None | EXD, ESS | VAN, MET, ceftazidime, then AMPS | S. constellatus |
| Ling et al. [60] | 2021 | 9 | M | ARS | ce-RM | EDA | NA | BSATB | NA |
| Linton et al. [61] | 2019 | 16 | M | T | ce-CT | OA | EXD, ESS | AMOC MET | STE |
| Liu et al. [62] | 2015 | 10 | F | ARS | ce-CT | EDA | ESS, CRA | MER, then cephalexin | Alpha Hemolytic S. |
| Maheshwar et al. [63] | 2001 | 14 | M | T | ce-CT | None | ESS | AMOC, then flucloxacillin, fusidic acid, MET, RIF | S. intermedius |
| Marzuillo et al. [64] | 2017 | 9 | F | ARS | ce-CT | Fistula | NA | AMOC | NA |
| McGee et al. [65] | 2022 | NA | M | ARS | ce-CT | None | EXD, ESS | CEF, MET | Staph. aureus |
| Morley et al. [66] | 2009 | 7 | M | ARS | ce-CT, ce-MRI | EDA | CRA | benzylpenicillin, flucloxacillin then CLI | NA |
| Moser et al. [67] | 2009 | 14 | F | ARS | ce-CT | EDA | EXD, ESS | CEF | STE |
| Moses et al. [68] | 2018 | 15 | M | FB | ce-CT | SDA | ESS, CRA | empirical: TAZO AC: MER, MET | F. necrophorum |
| Nastovska et al. [69] | 2017 | 15 | M | FARS | ce-MRI | None | ESS, CRA | benzylpenicillin | S. anginosus |
| Nicoli et al. [70] | 2014 | 13 | M | FARS | ce-CT, ce-MRI | EDA | ESS, CRA | BSATB | S. intermedius |
| Nourkami-Tutdibi et al. [71] | 2020 | 6 | M | FARS | ce-CT, ce-MRI | EDA | CRA | sultamicillin, then cefotaxime, CLI | S. intermedius |
| Olmaz et al. [72] | 2019 | 12 | M | ARS | CT- ce-MRI | EDA | CRA | CEF, VAN, MET | NA |
| Onesimo et al. [73] | 2011 | 8 | F | ARS | ce-MRI | EDA | NA | NA | S. intermedius |
| Özkaya Parlakay et al. [74] | 2012 | 13 | M | ARS | ce-CT | None | None | cefotaxime and VAN | NA |
| Öztürk et al. [75] | 2020 | 15 | M | FARS | ce-CT | None | NA | CEF and teicoplanin | NA |
| Palabiyik et al. [76] | 2016 | 18 | M | ARS | ce-CT, ce-MRI | PSC | ESS | AMPS, MET, or CEF | 1 E. Coli, 1 S. Epidermidis, 6 STE |
| 17 | M | ARS | ce-CT, ce-MRI | None | ESS | ||||
| 9 | M | ARS | ce-CT, ce-MRI | EDA | EXD, CRA | ||||
| 11 | F | ARS | ce-CT, ce-MRI | EDA | ESS, CRA | ||||
| 7 | M | T | ce-CT, ce-MRI | None | ESS | ||||
| 17 | M | ARS | ce-CT, ce-MRI | None | EXD | ||||
| Palacios-García et al. [77] | 2019 | 15 | M | ARS | ce-CT | None | EXD, ESS | empirical: CLI AC: LEV | S. intermedius |
| Parida et al. [78] | 2012 | 10 | M | ARS | ce-CT | PSC | EXD, ESS | BSATB | Staph. aureus |
| 15 | F | CRS | ce-CT | None | EXD, ESS | BSATB | STE | ||
| 9 | F | ARS | ce-CT | None | ESS | BSATB | STE | ||
| 11 | M | T | ce-CT | None | EXD | BSATB | Pseudomonas aeruginosa | ||
| 13 | M | ARS | ce-CT | None | ESS | BSATB | STE | ||
| Patel et al. [79] | 2021 | 13 | M | SD | ce-CT | MEN | ESS | CEF, VAN, MET | NA |
| Patel et al. [80] | 2011 | 11 | M | ARS | ce-CT, ce-MRI | fistula, MEN | EXD, CRE | empirical: AMOC AC: MER, amphotericin B, then fluconazole | Candida parapsilosis |
| Pender [81] | 1990 | 13 | M | ARS | CT | None | ESS | oxacillin and ampicillin | Staph. aureus, S-viridans |
| 17 | M | I | CT | EDA and OA | ESS | cefuroxime and MET | Coagulase neg Staph. | ||
| Podolsky-Gondim et al. [82] | 2018 | 14 | M | ARS | ce-CT, ce-MRI | EDA | EXD, CRA | CEF, oxacillin, MET | Peptostreptococcus |
| Przybysz et al. [83] | 2018 | 8 | F | ARS | CT | None | NA | NA | NA |
| Queen et al. [84] | 2001 | 14 | M | ARS | CT, MRI | SDA | EXD, ESS, CRE | BSATB | NA |
| Reddan et al. [85] | 2018 | 6 | M | ARS | CT | None | ESS | NA | NA |
| Rogers [86] | 1949 | 11 | M | NA | NA | NA | EXD, CRE | NA | B. Alkaligenes faecalis |
| 16 | M | NA | NA | NA | EXD, CRE | NA | STE | ||
| Rogo et al. [87] | 2013 | 5 | F | ARS | CT | EDA | None | MER and VAN | NA |
| Russ et al. [88] | 2022 | 11 | M | I | ce-CT | EDA | ESS, CRA | CEF, VAN, MET | S. anginosus |
| Sabatiello et al. [89] | 2010 | 15 | M | ARS | ce-CT | SDA, BA | NA | cefotaxime, CLI | Peptostreptococcus, Fusobacterium |
| Sade et al. [90] | 2016 | 12 | M | FARS | ce-MRI | BA | NA | NA | NA |
| Salomão et al. [91] | 2014 | 11 | F | CRS | ce-CT | EDA | EXD, CRA | BSATB | STE |
| 9 | M | CRS | ce-CT | EDA | None | BSATB | S. aureus | ||
| 14 | M | FARS | ce-CT | EDA, SDA | EXD, CRA | BSATB | S. pyogenes | ||
| 12 | M | T | ce-CT | EDA | EXD, CRA | BSATB | S. pyogenes | ||
| 12 | M | CRS | ce-CT | EDA | EXD, CRA | BSATB | STE | ||
| 13 | M | T | ce-CT | EDA, fistula | EXD, CRA | BSATB | STE | ||
| Sharma et al. [4] | 2017 | 8 | F | FARS | CT, ce-MRI | EDA | ESS, CRA | BSATB | S. intermedius |
| Shehu et al. [92] | 2008 | 10 | F | ARS | CT | SDA | EXD, CRA | BSATB | NA |
| Shemesh et al. [93] | 2015 | 11 | M | NA | ce-CT | None | NA | NA | NA |
| Sheth et al. [94] | 2018 | 15 | M | FB | ce-CT | SDA | ESS, CRA | empirical: CEF, VAN, TAZO AC: MER, MET | F. necrophorum |
| 17 | M | FARS | ce-CT, ce-MRI | SDA, SSST | CRA | CEF, CLI, VAN | F. necrophorum | ||
| 14 | M | ARS | ce-CT | EDA, PNC, CER | CRA | CEF, VAN, MET | F. necrophorum, S. constellatum | ||
| Silva et al. [95] | 2022 | 16 | F | ARS | CT, ce-MRI | SDA, BA | CRA | CEF, MET | None |
| Stark et al. [96] | 2016 | 14 | M | FARS | ce-CT | None | EXD, ESS | empirical: flucloxacillin AC: CLI, RIF | Staph. aureus |
| Stoddard et al. [97] | 2019 | 13 | M | FARS | ce-MRI | EDA | CRA | CEF, VAN, MET | Staph. aureus |
| Strony et al. [98] | 2007 | 4 | M | ARS | ce-CT | EDA | EXD, CRA | CEF, VAN, MET | S. viridans |
| Sugiyama et al. [99] | 2016 | 17 | M | ARS | ce-CT, ce-MRI | EDA, PNC | EXD, ESS | CEF, MET | Peptostreptococcus, Collinsella aerofaciens, Staph. lugdunensis |
| Suwan et al. [100] | 2012 | 8 | F | ARS | CT | EDA | EXD, ESS, CRE | VAN, cefotaxime, MET, then AMPS | S. constellatus, F. necrophorum |
| Tibesar et al. [101] | 2021 | 15 | M | ARS | ce-CT | PSC | EXD, ESS | CEF, VAN, MET | S. intermedius |
| Tsai et al. [102] | 2010 | 14 | M | ARS | ce-CT | SSST | EXD, ESS, CRA | BSATB | F. nucleatum |
| 13 | M | T | ce-CT | SDA, BA | CRA | BSATB | Veillonella sp., Peptostreptococcus micros, F. nucleatum, S. viridans, Eikenella corrodens | ||
| 15 | M | CRS | ce-CT | SDA | EXD, ESS, CRA | BSATB | Peptostreptococcus micros; Coagulase neg Staph. | ||
| 12 | M | CRS | ce-CT | SDA | ESS, CRA | BSATB | Coagulase neg Staph., Prevotella sp. | ||
| 9 | F | AP | ce-CT | SDA | CRE, fistula repair | BSATB | P. aeruginosa | ||
| 13 | M | ARS | ce-CT | EDA, PNC, SDA | EXD, ESS, CRA | CEF, VAN, then penicillin G | S. constellatus, Beta-hemolytic non-group A streptococci | ||
| Tudor et al. [103] | 1981 | 16 | M | T | CT | EDA | EXD, CRA | nafcillin, gentamicin, then AMO | NA |
| Urík et al. [104] | 2015 | 6 | M | ARS | ce-CT | EDA, MEN | EXD | CEF, CLI, oral ketoconazole | STE |
| Vadiee et al. [105] | 2023 | 12 | F | IB | CT, ce-MRI | EDA | CRA | ceftazidime, VAN, MET | Polybacterial |
| van der Poel et al. [106] | 2016 | 7 | F | T | ce-CT, ce-MRI | SDA, SSST | ESS, CRE | penicillin | S. intermedius |
| 10 | F | ARS | ce-CT, ce-MRI | None | ESS | AMOC | Commensale flora | ||
| 12 | F | ARS | ce-CT, ce-MRI | EDA | ESS, CRE | AMOC, then penicillin, MET | S. constellatus | ||
| 13 | M | ARS | ce-CT, ce-MRI | None | None | AMOC | Streptococcus | ||
| 17 | M | ARS | ce-CT, ce-MRI | EDA | ESS, CRE | penicillin, MET | S. intermedius | ||
| Vanderveken et al. [107] | 2012 | 5 | M | ARS | ce-CT | EDA | EXD, CRA | AMOC | STE |
| Vaphiades et al. [108] | 2023 | 10 | M | ARS | ce-MRI | EDA, SSST, MEN | EXD, CRA | BSATB | NA |
| Verma et al. [109] | 2021 | 14 | M | ARS | ce-CT | EDA | EXD, ESS, CRA | CEF | Streptococcus |
| Verma et al. [110] | 2018 | 15 | M | ARS | ce-CT | None | ESS | CEF, VAN, MET | NA |
| 12 | M | AFRS | CT | EDA | ESS | itraconazole | NA | ||
| 12 | F | ARS | CT | None | ESS | BSATB | STE | ||
| Weinberg et al. [111] | 2005 | 11 | F | ARS | ce-CT | None | ESS | cefotaxime, VAN, MET | Group C Beta Streptococcus |
| Wu et al. [112] | 2009 | 12 | F | AP | ce-CT | None | EXD | ceftazidime and gentamicin | P. aeruginosa |
| Our case | 2024 | 12 | M | ARS | ce-CT, ce-MRI | EDA | ESS, CRA | ceftazidime, VAN, MET | S. intermedius |
| Demographic Data | N (Range) | % |
|---|---|---|
| Patients | 184 | |
| Sex | 124M/54F/6NA | |
| Age | 12.06 ± 3.29 (1.92–18) | |
| Year of publication | 1949–2023 | |
| Etiology | ||
| Acute rhinosinusitis | 128 | 69.56 |
| Frontal acute rhinosinusitis | 22 | 11.95 |
| Chronic rhinosinusitis | 6 | 3.27 |
| Trauma | 12 | 6.52 |
| Allergic fungal rhinosinusitis | 1 | 0.55 |
| Acupuncture | 2 | 1.08 |
| Insect bite | 1 | 0.55 |
| Influenza | 2 | 1.08 |
| Mastoiditis | 1 | 0.55 |
| Foreign body | 2 | 1.08 |
| Scuba diving | 1 | 0.55 |
| Septicemia | 1 | 0.55 |
| Not available | 5 | 2.71 |
| Pathogens Cultured | N | % |
|---|---|---|
| Streptococcus intermedius | 25 | 11.96 |
| Streptococcus pyogenes | 10 | 4.78 |
| Peptostreptococcus | 10 | 4.78 |
| Streptococcus milleri | 9 | 4.30 |
| Streptococcus anginosus | 8 | 3.82 |
| Streptococcus constellatus | 7 | 3.35 |
| Streptococcus viridans | 4 | 1.91 |
| Streptococcus pneumoniae | 4 | 1.91 |
| Other Streptococcus species | 8 | 3.82 |
| Staphylococcus aureus | 10 | 4.78 |
| Staphylococcus Epidermidis | 4 | 1.91 |
| Coagulase neg Staph. | 3 | 1.43 |
| Other Staphylococcus species | 3 | 1.43 |
| Pseudomonas aeruginosa | 3 | 1.43 |
| Escherichia Coli | 2 | 0.95 |
| Fusobacterium necrophorum | 6 | 2.87 |
| Other Fusobacterium species | 6 | 2.87 |
| Other | 21 | 10.05 |
| Not available | 36 | 17.22 |
| Sterile | 30 | 14.35 |
| Medical Treatment | N | % |
|---|---|---|
| Ceftriaxone | 68 | 20.73 |
| Metronidazole | 68 | 20.73 |
| Vancomycin | 32 | 9.75 |
| Clindamycin | 20 | 6.09 |
| Ampicillin-sulbactam | 12 | 3.65 |
| Amoxicillin-clavulanate | 9 | 2.74 |
| Meropenem | 7 | 2.13 |
| Cefotaxime | 7 | 2.13 |
| Ceftazidime | 6 | 1.82 |
| Gentamycin | 4 | 1.22 |
| Rifampicin | 3 | 0.91 |
| Flucloxacillin | 3 | 0.91 |
| Cefuroxime | 3 | 0.91 |
| Piperacillin-tazobactam | 2 | 0.61 |
| Levofloxacin | 2 | 0.61 |
| Benzylpenicillin | 2 | 0.61 |
| Oxacillin | 2 | 0.61 |
| Amoxicillin | 2 | 0.61 |
| Voriconazole | 1 | 0.30 |
| Ampicillin | 1 | 0.30 |
| Beta-lattamic ndd | 7 | 2.13 |
| Cephalosporin ndd | 4 | 1.22 |
| Other | 8 | 2.44 |
| IV broad-spectrum antibiotics | 43 | 13.11 |
| Not available | 12 | 3.65 |
| Intracranial Complications | N | % |
|---|---|---|
| Epidural abscess | 92 | 42.59 |
| Subdural abscess | 37 | 17.12 |
| Brain abscess | 12 | 5.55 |
| Superior sagittal sinus thrombosis | 14 | 6.48 |
| Pneumocephalus | 3 | 1.39 |
| Fistula | 4 | 1.85 |
| Cerebritis | 7 | 3.24 |
| Meningitis | 7 | 3.24 |
| Cavernous sinus thrombosis | 1 | 0.46 |
| Not available | 2 | 0.92 |
| None | 37 | 17.13 |
| Intracranial Complications (131 Cases) | No Intracranial Complications (53 Cases) | p Value | ||
|---|---|---|---|---|
| Age | Median (IQR) | 12.00 (9–14) | 12.00 (10–14) | 0.865 |
| Sex | Male | 34 (66.7%) | 88 (70.4%) | 0.626 |
| Female | 17 (33.3%) | 37 (29.6%) | ||
| Imaging | TC | 39 (78.0%) | 64 (57.1%) | 0.039 |
| MRI | 2 (4.0%) | 9 (8.0%) | ||
| TC + MRI | 9 (18.0%) | 39 (34.8%) | ||
| Surgery type | External | 15 (34.1%) | 25 (20.7%) | <0.0001 |
| Endoscopic | 14 (31.8%) | 12 (9.9%) | ||
| Combined | 15 (34.1%) | 84 (69.4%) | ||
| Pathogen | Gram+ | 20 (76.9%) | 69 (82.1%) | 0.569 |
| Gram- | 2 (7.7%) | 8 (9.5%) | ||
| Other | 4 (15.4%) | 7 (8.3%) | ||
| Culture | Single pathogen | 21 (72.4%) | 66 (70.2%) | 0.820 |
| Multiple pathogens | 8 (27.6%) | 28 (29.8%) |
| Type of Surgery | N | % |
|---|---|---|
| External drainage | 21 | 11.41 |
| Endoscopic Sinus Surgery | 28 | 15.21 |
| Craniotomy | 17 | 9.23 |
| External drainage + Endoscopic Sinus Surgery | 18 | 9.78 |
| External drainage + craniotomy | 21 | 11.41 |
| Endoscopic Sinus Surgery + craniotomy | 28 | 15.21 |
| External drainage + Endoscopic Sinus Surgery + craniotomy | 19 | 10.32 |
| Craniectomy | 2 | 1.08 |
| External drainage, craniectomy | 6 | 3.26 |
| Endoscopic Sinus Surgery, craniectomy | 4 | 2.17 |
| External drainage + Endoscopic Sinus Surgery + craniectomy | 2 | 1.08 |
| External drainage, craniotomy, Cortical Mastoidectomy | 1 | 0.54 |
| Transferred to other hospital | 1 | 0.54 |
| None | 6 | 3.26 |
| Not available | 10 | 5.43 |
Disclaimer/Publisher’s Note: The statements, opinions and data contained in all publications are solely those of the individual author(s) and contributor(s) and not of MDPI and/or the editor(s). MDPI and/or the editor(s) disclaim responsibility for any injury to people or property resulting from any ideas, methods, instructions or products referred to in the content. |
© 2024 by the authors. Licensee MDPI, Basel, Switzerland. This article is an open access article distributed under the terms and conditions of the Creative Commons Attribution (CC BY) license (https://creativecommons.org/licenses/by/4.0/).
Share and Cite
Daloiso, A.; Mondello, T.; Boaria, F.; Savietto, E.; Spinato, G.; Cazzador, D.; Emanuelli, E. Pott’s Puffy Tumor in Young Age: A Systematic Review and Our Experience. J. Clin. Med. 2024, 13, 6428. https://doi.org/10.3390/jcm13216428
Daloiso A, Mondello T, Boaria F, Savietto E, Spinato G, Cazzador D, Emanuelli E. Pott’s Puffy Tumor in Young Age: A Systematic Review and Our Experience. Journal of Clinical Medicine. 2024; 13(21):6428. https://doi.org/10.3390/jcm13216428
Chicago/Turabian StyleDaloiso, Antonio, Tiziana Mondello, Francesco Boaria, Enrico Savietto, Giacomo Spinato, Diego Cazzador, and Enzo Emanuelli. 2024. "Pott’s Puffy Tumor in Young Age: A Systematic Review and Our Experience" Journal of Clinical Medicine 13, no. 21: 6428. https://doi.org/10.3390/jcm13216428
APA StyleDaloiso, A., Mondello, T., Boaria, F., Savietto, E., Spinato, G., Cazzador, D., & Emanuelli, E. (2024). Pott’s Puffy Tumor in Young Age: A Systematic Review and Our Experience. Journal of Clinical Medicine, 13(21), 6428. https://doi.org/10.3390/jcm13216428

