Cemented Calcar-Guided Short-Stem Prostheses in Geriatric Patients: Short-Term Results from a Prospective Observational Study
Abstract
1. Introduction
2. Materials and Methods
Statistics
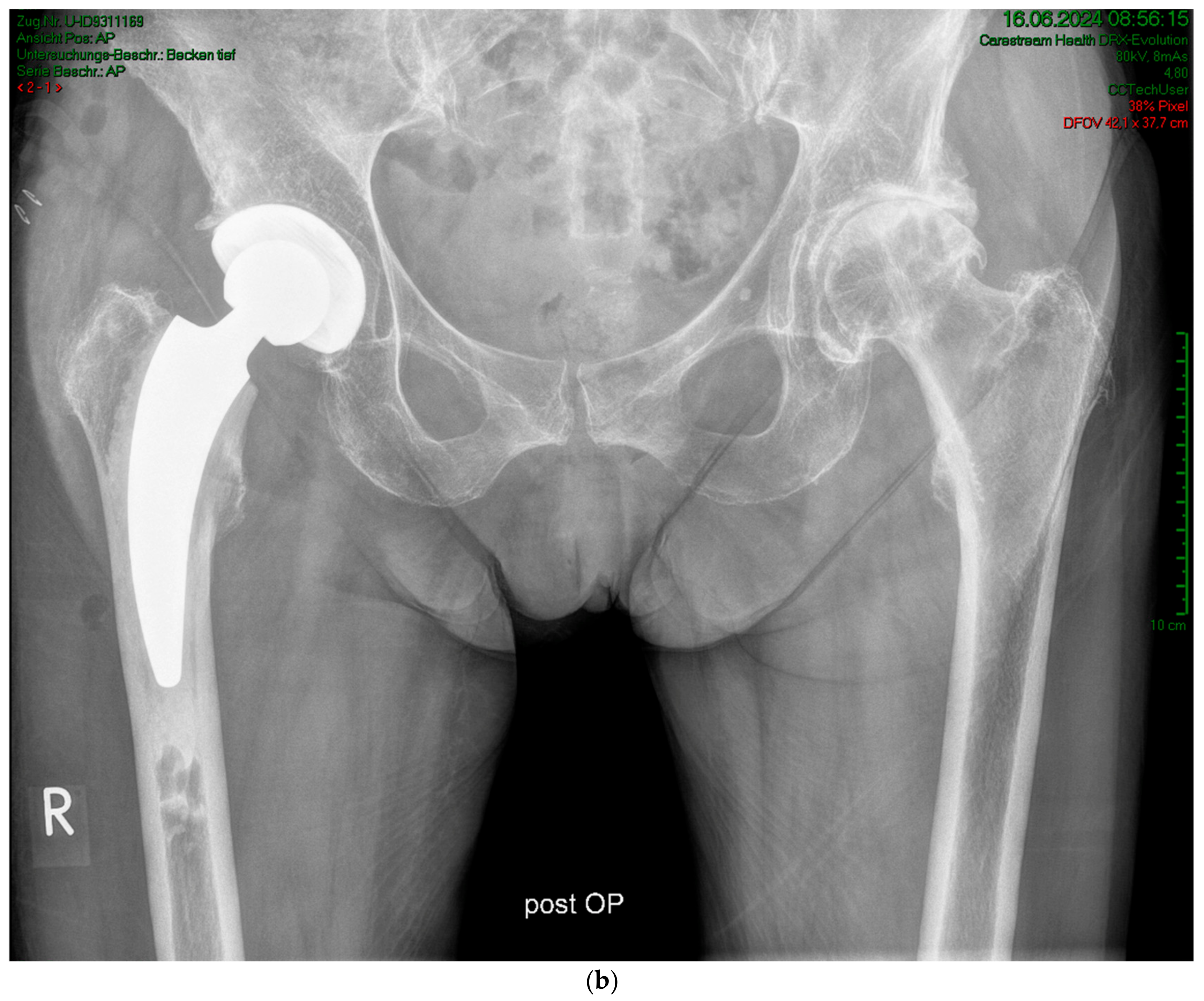
3. Results
4. Discussion
Author Contributions
Funding
Institutional Review Board Statement
Informed Consent Statement
Data Availability Statement
Conflicts of Interest
References
- Learmonth, I.D.; Young, C.; Rorabeck, C. The operation of the century: Total hip replacement. Lancet 2007, 370, 1508–1519. [Google Scholar] [CrossRef] [PubMed]
- Charnley, J. Acrylic cement in orthopaedic surgery. Br. J. Surg. 1970, 57, 874. [Google Scholar]
- Kühn, B.M.; Lieb, E.; Berberich, C. PMMA bone cement: What is the role of local antibiotics. Maitrise Orthop. 2016, 243, 1–15. [Google Scholar]
- Buchholz, H.W.; Engelbrecht, H. Depot effects of various antibiotics mixed with Palacos resins. Chirurg 1970, 41, 511–515. [Google Scholar] [PubMed]
- Szymski, D.; Walter, N.; Krull, P.; Melsheimer, O.; Grimberg, A.; Alt, V.; Steinbrück, A.; Rupp, M. Aseptic revisions and pulmonary embolism after surgical treatment of femoral neck fractures with cemented and cementless hemiarthroplasty in Germany: An analysis from the German Arthroplasty Registry (EPRD). J. Orthop. Traumatol. 2023, 24, 9. [Google Scholar] [CrossRef] [PubMed]
- Meißner, N.; Halder, A.M.; Schrednitzki, D. Cemented and hybrid total hip arthroplasty lead to lower blood loss in primary total hip arthroplasty: A retrospective study. Arch. Orthop. Trauma Surg. 2023, 143, 6447–6451. [Google Scholar] [CrossRef]
- Klug, A.; Gramlich, Y.; Hoffmann, R.; Pfeil, J.; Drees, P.; Kutzner, K.P. Trends in Total Hip Arthroplasty in Germany from 2007 to 2016: What Has Changed and Where Are We Now? Z. Orthop. Unfall. 2021, 159, 173–180. [Google Scholar] [CrossRef] [PubMed]
- Staats, K.P.; Vertesich, K.; Sigmund, I.K.; Böhler, C.; Windhager, R.; Kolb, A. Thirty-Year Minimum Follow-Up Outcome of a Straight Cementless Rectangular Stem. J. Arthroplast. 2024, 39, 193–197. [Google Scholar] [CrossRef] [PubMed]
- Thalody, H.S.; Post, Z.D.; Lutz, R.W.; Czymek, M.; Ong, A.C.; Ponzio, D.Y. Primary Cementless Femoral Stems in Conversion Hip Arthroplasty After Failed Fixation of Intertrochanteric Fractures. Orthopedics 2024, 47, e6–e12. [Google Scholar] [CrossRef]
- Grimberg, A.; Lutzner, J.; Melsheimer, O.; Morlock, M.; Steinbruck, A. Annual Report 2023; The German Arthroplasty Registry (EPRD): Berlin, Germany, 2024. [Google Scholar]
- Li, M.; Zeng, Y.; Nie, Y.; Liao, K.; Pei, F.; Yang, J.; Xie, H.; Shen, B. A high risk of postoperative periprosthetic femoral fracture in Dorr type C femurs: A retrospective cohort study with 10-year follow-up data and a preliminary monochromatic image analysis. Int. J. Surg. 2024, 110, 296–305. [Google Scholar] [CrossRef]
- Calkins, T.E.; Goetz, D.D.; Zalewski, J.T.; Jones, C.A.; Gaumer, P.R.; Ford, M.C.; Toy, P.C.; Crockarell, J.R.; Harkess, J.W.; Mihalko, W.M.; et al. Hip arthroplasty femoral stem designs and their association with early postoperative periprosthetic femoral fractures. J. Arthroplast. 2023, 38, 849–854. [Google Scholar] [CrossRef]
- Kheir, M.M.; Dilley, J.E.; Speybroeck, J.; Kuyl, E.V.; Ochenjele, G.; McLawhorn, A.S.; Meneghini, R.M. The influence of Dorr type and femoral fixation on outcomes following total hip arthroplasty for acute femoral neck fractures: A multicenter study. J. Arthroplast. 2023, 38, 719–725. [Google Scholar] [CrossRef] [PubMed]
- Luger, M.; Feldler, S.; Pisecky, L.; Klasan, A.; Gotterbarm, T.; Schopper, C. Periprosthetic femoral fractures in cementless short versus straight stem total hip arthroplasty: A propensity score matched analysis. J. Arthroplast. 2023, 38, 751–756. [Google Scholar] [CrossRef]
- Steinbrück, A.; Grimberg, A.W.; Elliott, J.; Melsheimer, O.; Jansson, V. Short versus conventional stem in cementless total hip arthroplasty: An evidence-based approach with registry data of mid-term survival. Orthopade 2021, 50, 296–305. [Google Scholar] [CrossRef] [PubMed]
- De Geest, T.; Fennema, P.; Lenaerts, G.; De Loore, G. Adverse effects associated with the direct anterior approach for total hip arthroplasty: A Bayesian meta-analysis. Arch. Orthop. Trauma. Surg. 2015, 135, 1183–1192. [Google Scholar] [CrossRef] [PubMed]
- Cassar-Gheiti, A.J.; McColgan, R.; Kelly, M.; Cassar-Gheiti, T.M.; Kenny, P.; Murphy, C.G. Current concepts and outcomes in cemented femoral stem design and cementation techniques: The argument for a new classification system. EFORT Open Rev. 2020, 5, 241–252. [Google Scholar] [CrossRef]
- Harris, W.H. Traumatic arthritis of the hip after dislocation and acetabular fractures: Treatment by mold arthroplasty. An end-result study using a new method of result evaluation. J. Bone Jt. Surg. 1969, 51-A, 737–755. [Google Scholar] [CrossRef]
- Davis, A.M.; Perruccio, A.V.; Canizares, M.; Tennant, A.; Hawker, G.A.; Conaghan, P.G.; Roos, E.M.; Jordan, J.M.; Maillefert, J.F.; Dougados, M.; et al. The development of a short measure of physical function for hip OA HOOS-Physical Function Shortform (HOOS-PS): An OARSI/OMERACT initiative. Osteoarthr. Cartil. 2008, 16, 551–559. [Google Scholar] [CrossRef]
- Behrend, H.; Giesinger, K.; Giesinger, J.M.; Kuster, M.S. The “forgotten joint” as the ultimate goal in joint arthroplasty: Validation of a new patient-reported outcome measure. J. Arthroplast. 2012, 27, 430–436.e1. [Google Scholar] [CrossRef]
- Zahiri, C.A.; Schmalzried, T.P.; Szuszczewicz, E.S.; Amstutz, H.C. Assessing activity in joint replacement patients. J. Arthroplast. 1998, 13, 890–895. [Google Scholar] [CrossRef]
- Gruen, T.; McNeice, G.; Amstutz, H. “Modes of failure” of cemented stem-type femoral components: A radiographic analysis of loosening. Clin. Orthop. Relat. Res. 1979, 141, 17–27. [Google Scholar] [CrossRef]
- Brooker, A.; Bowerman, J.; Robinson, R.; Riley, L.J. Ectopic ossification following total hip replacement. Incidence and a method of classification. J. Bone Jt. Surg. 1973, 55, 1629–1632. [Google Scholar] [CrossRef]
- Ezechieli, M.; Windhagen, H.; Matsubara, M.; Budde, S.; Wirries, N.; Sungu, M. A neck-preserving short stem better reconstructs the centre of rotation than straight stems: A computed tomography-based cadaver study. Arch. Orthop. Trauma Surg. 2022, 142, 1669–1680. [Google Scholar] [CrossRef] [PubMed]
- Budde, S.; Derksen, A.; Hurschler, C.; Fennema, P.; Windhagen, H.; Plagge, J.; Flörkemeier, T.; von Lewinski, G.; Noll, Y.; Schwarze, M. Very early migration of a calcar-guided short stem: A randomized study of early mobilization and the influence of a calcium phosphate coating with 60 patients. Sci. Rep. 2024, 14, 3837. [Google Scholar] [CrossRef]
- Zhang, Z.; Xing, Q.; Li, J.; Jiang, Z.; Pan, Y.; Hu, Y.; Wang, L. A comparison of short-stem prostheses and conventional stem prostheses in primary total hip arthroplasty: A systematic review and meta-analysis of randomized controlled trials. Ann. Transl. Med. 2021, 9, 231. [Google Scholar] [CrossRef] [PubMed]
- Van Beers, L.; Scheijbeler, E.; Van Oldenrijk, J.; Geerdink, C.H.; Niers, B.; Willigenburg, N.W.; Poolman, R.W. Short versus conventional straight stem in uncemented total hip arthroplasty: Functional outcomes up to 5 years and survival up to 12 years: Secondary results of a randomized controlled trial. Acta Orthop. 2024, 95, 99–107. [Google Scholar] [CrossRef] [PubMed]
- Bigart, K.C.; Nahhas, C.R.; Ruzich, G.P.; Culvern, C.N.; Salzano, M.B.; Della Valle, C.J.; Nam, D. Does Femoral Morphology Predict the Risk of Periprosthetic Fracture After Cementless Total Hip Arthroplasty? J. Arthroplast. 2020, 35, S359–S363. [Google Scholar] [CrossRef] [PubMed]
- Konow, T.; Baetz, J.; Melsheimer, O.; Grimberg, A.; Morlock, M. Factors influencing periprosthetic femoral fracture risk. Bone Jt. J. 2021, 103-b, 650–658. [Google Scholar] [CrossRef] [PubMed]
- Parvizi, J.; Saleh, K.J.; Ragland, P.S.; Pour, A.E.; Mont, M.A. Efficacy of antibiotic-impregnated cement in total hip replacement. Acta Orthop. 2008, 79, 335–341. [Google Scholar] [CrossRef]
- Kühn, K.D.; Renz, N.; Trampuz, A. Local antibiotic therapy. Unfallchirurg 2017, 120, 561–572. [Google Scholar] [CrossRef]
- Azari, F.; Sas, A.; Kutzner, K.P.; Klockow, A.; Scheerlinck, T.; van Lenthe, G.H. Cemented short-stem total hip arthroplasty: Characteristics of line-to-line versus undersized cementing techniques using a validated CT-based finite element analysis. J. Orthop. Res. 2021, 39, 1681–1690. [Google Scholar] [CrossRef] [PubMed]
- Yaseen, A.; Regenbrecht, B. Der femorale intraossäre Druck in der zementierten Hüfttotalendoprothese. In Proceedings of the 17. Endoprothesenkongress Berlin, Berlin, Germany, 8–10 February 2024. [Google Scholar]
- Donaldson, A.J.; Thomson, H.E.; Harper, N.J.; Kenny, N.W. Bone cement implantation syndrome. Br. J. Anaesth. 2009, 102, 12–22. [Google Scholar] [CrossRef] [PubMed]







| Variable | Value |
|---|---|
| Gender (female/male) * | 19/1 |
| Age [years] (mean ± std. dev [range]) | 81.3 ± 4.5 (71–90) |
| Weight [kg] (mean ± std. dev [range]) | 67.6 ± 11.0 (48–90) |
| BMI [kg/m2] (mean ± std. dev [range]) | 24.3 ± 3.2 (19.2–31.1) |
Indication for implantation: *
| 27 1 |
Disclaimer/Publisher’s Note: The statements, opinions and data contained in all publications are solely those of the individual author(s) and contributor(s) and not of MDPI and/or the editor(s). MDPI and/or the editor(s) disclaim responsibility for any injury to people or property resulting from any ideas, methods, instructions or products referred to in the content. |
© 2024 by the authors. Licensee MDPI, Basel, Switzerland. This article is an open access article distributed under the terms and conditions of the Creative Commons Attribution (CC BY) license (https://creativecommons.org/licenses/by/4.0/).
Share and Cite
Regenbrecht, B.; Yaseen, A.; Wagener, G.; Wild, M. Cemented Calcar-Guided Short-Stem Prostheses in Geriatric Patients: Short-Term Results from a Prospective Observational Study. Antibiotics 2024, 13, 739. https://doi.org/10.3390/antibiotics13080739
Regenbrecht B, Yaseen A, Wagener G, Wild M. Cemented Calcar-Guided Short-Stem Prostheses in Geriatric Patients: Short-Term Results from a Prospective Observational Study. Antibiotics. 2024; 13(8):739. https://doi.org/10.3390/antibiotics13080739
Chicago/Turabian StyleRegenbrecht, Bertram, Ahmed Yaseen, Gideon Wagener, and Michael Wild. 2024. "Cemented Calcar-Guided Short-Stem Prostheses in Geriatric Patients: Short-Term Results from a Prospective Observational Study" Antibiotics 13, no. 8: 739. https://doi.org/10.3390/antibiotics13080739
APA StyleRegenbrecht, B., Yaseen, A., Wagener, G., & Wild, M. (2024). Cemented Calcar-Guided Short-Stem Prostheses in Geriatric Patients: Short-Term Results from a Prospective Observational Study. Antibiotics, 13(8), 739. https://doi.org/10.3390/antibiotics13080739

