Abstract
Permanent makeup (PMU) is a popular application for the correction of face and body imperfections. It can be applied over the facial area to correct the shape and color of eyebrows, to the eyelids to create permanent eyeliner shapes, and the lips to create permanent lipliner and lip shading features. Furthermore, its “medical” use on the scalp and men’s facial hair area to camouflage hair follicles and to cover hairless areas makes it popular for hair transplants. No matter how useful these procedures are, there are always mistakes and the factor of bad application which raises the number of patients who want to “remove” it or “correct” it on their face or body. In order to find a non-laser solution for PMU removal, we investigated the decolorization capacity of common plants and plant origin extracts on mouse models. Two methods were used for PMU decolorization. The first one included the use of traditional tattooing with needles combined with plant origin extracts applied over the tattooed area. The second one included the use of electroporation technology application with the combination of plant origin materials to remove the PMU colorants over the tattooed area. In both cases, the permanent makeup colorants for eyebrows, eyeliners, and lipliners were applied in vivo.
1. Introduction
Tattooing dates back to neolithic years. It has existed in every historical period of human existence and uniquely “marks” the archaeological findings of today. Today, decorative tattoos are a way of expressing everyday art with the characteristics of the previous decades, particularly resulting in the rising popularity of tattoos, especially in the younger population. Young people in many countries obtain their first tattoo during their teenage years and within a decade may have more than three tattoos on their bodies, including permanent makeup [,,].
Permanent makeup (PMU), in the beginning of its appearance in the tattoo market, was used for facial characteristic correction, such as for the reshaping of eyebrows, eyelids, and lips [,,]. As the years passed, it developed into more “medical” uses such as hair follicle pigmentation and areola reconstruction after mastectomy. In many countries, breast reconstruction after mastectomy includes the permanent makeup procedure as part of the healing process on the body and soul of the patient. On the other hand, scalp micropigmentation over the head is a promising procedure for the scalp hairs in order to create artificial hair follicles. This kind of application uses specific colorants that are used in the decorative tattoo industry []. All kinds of tattoo application are targeted on the upper and lower dermis where the ink is placed with a commonly used method by needles and specific tattoo machines. The tattoo specialist’s abilities and experience play the most important role in every kind of application. Colorants also have an important role as far as the quality of ingredients is concerned. Tattoo inks and PMU colorants of low quality and uncertain origin may contribute to bad applications [,,].
At the same time, tattoo and PMU colorants come from a wide spectrum of color industry use, with untrustworthy substances and no obligative legislative framework for the manufacturers to list all the ingredients on the ink bottles []. This can lead to side effects which, in the case of PMU, can cause a bad result in the application over the facial area, with unpleasant color differences or skin irritation, leaving tattoo removal to be the only solution [,].
Because of its numerous applications on the facial area, PMU may have negative effects on the psychology of the person with PMU on their face who wants PMU removal to change it according to the trends of the time []. The permanence of the application makes the removal procedure only possible with laser treatments, which is one of the most famous ways of tattoo removal [,].
Over the past years, caustic substances for PMU removal have been used on the facial area, with unpleasant side effects on the individual’s skin and psychology. The most dangerous of the side effects over the facial area is the risk of scarification. Products based on caustic substances that have been used to remove the unwanted PMU application can create scars over the area. Facial skin is very sensitive and cannot easily return to its previous condition [,]. The technique used for PMU removal in the case of caustic products is the same as the PMU application. The materials for removing the PMU are placed in the upper or lower dermis in the same way as the colorants []. Because of the increasing rise in the side effects from PMU application and caustic product use over the last few years, there are, in the market, products which promise the total or partial removal of tattoos and PMU applications. They are applied onto the skin as a cream or by injecting the removal liquid in the same way as a tattoo procedure [].
These substances are mostly formed from alkaline solutions with an unknown content of acidic ingredients. Also, a small amount of unknown plant-based materials can be found in these products. The last issue with regard to such products is their basic characteristics, as they are sold in the market as natural plant-based products, without all of the chemical names and contents reported on the bottles [,].
Until now, the non-laser methods that have been used for PMU removal are based on the traditional way of tattooing, with the use of various numbers of needles on PMU application machines. No other non-laser method can be used over the facial area. In this study, we compared the traditional way, using a PMU machine, with the electroporation technology that can be used for the penetration of various substances into the skin.
2. Materials and Methods
2.1. In Vitro Study of Plant-Based Materials
Firstly, we tested the decolorization ability of many plant-based materials. These materials were obtained from various parts of plants. The plant parts were leaves, flowers, petals, roots, fruits, and seeds. At the end of the decolorization test, we concluded with utilizing the decolorization ability of Pelargonium zonale leaves and the polyphenol oxidase from Agaricus. Pelargonium zonale is a species of Pelargonium, the widely cultivated plant Pelargonium × hortorum, often called “geranium”, “horseshoe geranium”, “zonal geranium”, or “zonal pelargonium”.
Agaricus is a genus of mushroom-forming fungi containing both edible and poisonous species. In our study, we tested polyphenol oxidase from the mushroom Agaricus bisporus, which can be found in the dominant cultivated mushrooms of the West.
All the results were compared with a commercial product for the control which exists in the market as a PMU remover and can be used with a PMU machine (K.K. Remover -Kinga Kowalczyk, Szczecin, Poland).
2.2. PMU Colorants
In our study, we used three PMU colorants purchased from the local PMU market suppliers. These colorants were used for the eyebrow area (code name: sunset), the eyelid area (code name: 810), and the lips (code name: lush pink). All the PMU colorants had organic and inorganic ingredients according to their Color Index number (C.I.), as can be seen in Table 1.

Table 1.
Colorants used in the study with the C.I. number as referenced on the product bottles.
2.3. In Vivo Test
The PMU colorants were tattooed on the back of 30 SKH-1 hairless mice with the same procedure as is performed on the facial area. The device used for the permanent makeup application was a digital PMU machine (Nouveau Contour, Weert, The Netherlands). The mice were separated in groups of 10 to check the different plant-based materials and the commercial product for control.
We observed the effects on the areas of mice skin with PMU and application of removal procedure (treated area) (Figure 1a). On the other hand, we used the other half of the backs of the mice for PMU application and no removal procedure (untreated area) (Figure 1b).

Figure 1.
SKH-1 hairless mouse with PMU application: (a) treated area with the use of discoloration agents the first week of the study and (b) treated area with PMU and discoloration agents 73 days after, with a weekly discoloration process.
The discoloration agents were two different kinds of plant-based extracts formulated in our laboratory and a commercial PMU remover product available in the PMU market. The plant-based materials were solutions of Pelargonium zonale leaves in distilled water (pH 7.0) and polyphenol oxidase from Agaricus in a phosphate buffer (pH 7.0). For each removal, we used 0.3 mL from each solution and 0.5 mL of the control PMU removal product. There were 8 removal repetitions, one per week, in a period of time of 73 days. The first seven days of the study, no discoloration procedure was tested in order to leave the PMU application to “heal” properly. Also, the last discoloration process was seven days before the end of the study and the animal sacrifice. At the end of the study, all mice were sacrificed with cervical dislocation. All skin biopsies were checked with the treated and untreated area, as well as the area of the skin which had no PMU on it (natural skin color).
2.4. Devices
2.4.1. PMU Machine
A digital PMU machine (Nouveau Contour, Weert, The Netherlands) was tested for the application of the colorants. The same PMU machine was tested with the plant extracts to remove PMU from the mice skin. The PMU was applied to SKH-1 mice which were tattooed with PMU colorants for eyebrows, eyelids, and lips. The PMU machine was regulated with a speed of 6000 rpm and a 5-shader needle used in the same way as the PMU procedure. There were 5 repetitions of each decolorization material on the tattooed area over the mice skin. All the mice were anesthetized during the removal procedure.
2.4.2. Electroporation Device
Electroporation is an approach, which promotes drug penetration with high voltage and short duration pulses. Due to the electrical pulses, the structure of the lipid bilayers changes, aqueous pores are formed, which allow macromolecules to enter the skin [,]. Different electrodes can be used to deliver pulses: needle, plate, needle-free microelectrode array, and multi-electrode array electrodes. The drug delivery can be controlled by amplitude, duration, and the number of pulses [,].
During electroporation treatment, cellular membrane permeability can be accelerated so cellular uptake can be increased. This function has high relevance in medical treatments because it can be used on the skin surface to accelerate both transdermal and topical drug administration [,].
The electroporation procedure decreases the resistance of the stratum corneum, the electrical field reaches the deeper layer of the skin, and drugs can penetrate more effectively []. Dermal electroporation can be applied alone or in combination with other penetration methods (e.g., with a specialized drug delivery system) because their combined effect could further improve the drug penetration [,].
Furthermore, non-invasive dermal electroporation is also preferred in the cosmetic industry as a part of mesotherapy [,,]. This treatment may decrease the unpleasant sign of stretch marks and wrinkles and can help regain skin firmness.
The active ingredients are rubbed in with a circular motion by using a special treating handpiece, thereby the person who is experiencing this procedure can feel comfortable due to its relaxing effect. Electroporation is frequently applied in combination with other techniques to increase penetration because the combination of different formulations could be favorable, both during clinical or cosmetic treatments []. The electroporation method could be an appropriate alternative in PMU removal without the painful method of a tattoo procedure. In this research, we set the goal of investigating the penetration enhancer properties of electroporation by using plant origin materials with the following aims:
- Comparison of the traditional non-laser PMU removal method with the use of a PMU machine, combined with the electroporation method with the use of an electroporation device.
- Investigation of the effect of non-invasive dermal electroporation on mouse skin by measuring the decolorization ability of plant origin materials with the use of both methods.
- Development of a new decolorization method by using each device ability with a combination of plant origin materials.
The electroporation device that was tested was e-Nanoporation with (electroporation transdermal meso-chip (ETM) technology (ResultMed, Nicosia, Cyprus). This device combines electroporation technology with the exfoliation action with microdermabrasion technology. Microdermabration offers greater skin penetration because of cell removal on the skin surface. With this device, the penetration depth and the absorption of the active ingredients are drastically improved compared to conventional mesotherapy methods.
The ETM technology makes use of the activation of aquaporins of the cells and creates a lot of microchannels in the tissues that investigate the transdermal penetration of active ingredients up to the dermis.
To overcome the formidable barrier of the stratum corneum, the head of the device combines nano microneedles with electroporation for chemical enhancers to promote the skin permeation. The nano microneedle array can be effective due to its advantage of providing a high-performance means of delivering various substances through the skin barrier without causing marked skin damage. The nano-needles promote the opening of the water channels that run through the biological membranes in the skin. In is point electroporation increases the rate of absorption and transfers the active ingredients to the dermis, exactly to the depth that the PMU colorants are placed.
Electroporation application offers a high-voltage electric pulse for a short period (millisecond order) and results in the enhanced penetration of high molecular compounds (molecular weight of several hundreds to kilodaltons) through the skin.
The mutual synergic action of nano microneedling and electroporation helps achieve a longer duration of pore opening for higher drug penetration in the present study, combining the advantages of microneedling and electroporation.
2.4.3. Skin Color Catch Device
All the PMU applications were measured before and after the decolorating process with a Skin Color Catch device (Delfin, Kuopio, Finland). Skin Color Catch is a non-invasive device which measures red, green, blue (RGB) color space coordinates and calculates automatically the degree that classifies the skin tone, the erythema index, and the melanin index. With traditional colorimeters, erythema measurement is often affected by melanin and vice versa. The Skin Color Catch device can measure skin tone, erythema, and melanin separately from each other.
The reliability of these measurements is due to LED technology which can measure multiple skin color values simultaneously with a single measurement. The white LEDs of the device corresponding to daylight are arranged in a circle inside the measurement probe. Once the device is placed on the skin to perform the measurement, the LEDs illuminate the skin. The light reflecting from the skin is detected with a sensitive RGB sensor and the measurement values are displayed in the device’s software 1.1.1.1594 Delfin Modular Core (DMC). This software gives detailed results over the RGB and L*a*b (L* indicates lightness, a* is the red/green coordinate, and b* is the yellow/blue coordinate) color space which is useful for detecting small differences in color. This device is a standard observation tool which can give an averaging of the results of skin color changing experiments under laboratory conditions.
There were also photographic samples from the tattooed area with the professional photographic machine, Canon EOS700D, to have an accurate archive of all the PMU applications on the mice of the study. At the end of the study, skin biopsies were taken to examine the remaining colorants in the mice skin.
2.5. Statistical Analysis
Data are expressed as mean ± standard error of the mean (SEM). Unpaired t-test, with unequal variances, was used to compare decolorization differences between all the colorants of treated and untreated area of the skin with PMU application and skin color without colorants. p < 0.05 was considered significant.
3. Results and Discussion
3.1. Skin Biopsies
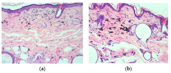
Our results from skin biopsies verifying the existence of PMU colorants in both areas of mice backs (treated with discoloration agents and untreated without using any discoloration procedure). This observation is obvious in both Figure 2a,b which is a biopsy from skin with the lush pink colorant. In the treated area (Figure 2a), the discoloration process with Pelargonium zonale was used with the PMU machine. In Figure 2a, we can see skin tissue with common characteristics as in Figure 2b, which is an untreated area without any discoloration process on the skin. There is no inflammation while the thickness of the skin is the same in both cases which shows no side effects from the whole process. The good condition of the skin in the treated and untreated areas (Figure 2a,b) reveals that the discoloration process and plant-based materials do not damage the skin. The amount of PMU colorants cannot be measured as it can be seen in both figures.

Figure 2.
Skin biopsies from treated area (a) with Pelargonium zonale (Pe) and untreated area (b) from the colorant lush pink, 73 days after PMU application. In (a), there have been 8 discoloration procedures for PMU removal while (b) has not been treated with discoloration procedure. PMU colorants can be observed in both figures (10× hematoxylin/eosin).
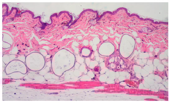
In Figure 3, we can see skin tissue for the same colorant lush pink and the use of electroporation with Pelargonium zonale as the discoloration process. We can also observe here that there is no inflammation, while the thickness of the skin is the same as in Figure 2a,b. The skin image from the electroporation procedure reveals that the discoloration process and plant-based materials do not damage the skin. PMU colorants also in this case cannot be measured.

Figure 3.
Skin biopsies from treated area with Pelargonium zonale (Pe) and electroporation device from the colorant lush pink, 73 days after PMU application. In this figure, there have been 8 discoloration procedures for PMU removal with electroporation device. PMU colorants can be observed in both figures (10×, hematoxylin/eosin).
3.2. Skin Color Catch Results
In order to identify the percentage of discoloration procedure on the mice skin, we used the Skin Color Catch analyzer. We made measurements on skin without colorants, (natural skin color), on the treated area with PMU colorants, and on the untreated area. All measurements are saved on the DMC data collection software with a USB receiver.
We chose to compare the RGB distance from natural skin color of the mice with the RGB distance from the treated and untreated area for all three colors from every mouse back. We also compared the results from the use of plant-based materials and the device of electroporation and PMU machine. The results showed a good decolorization ability for each colorant with both plant-based materials and both devices.
In Table 2, we can see that colorant 810 had a good RGB distance between the Pelargonium zonale (Pe) decolorization process from the 7th day to the 73rd day of the study. The color was reduced from 47.14 to 16.61 on the last day of the study, when the untreated area was 46.19. These findings show a good decolorization ability for Pe. The same results are obvious for polyphenol oxidase (PPO) for the same colorant on the last day of the study. The market control (PMU Control) seems not to work very well with this colorant as it became stronger as a color with a distance of 75.10. Electroporation had a good discoloration ability for both plant-based materials with the color intensity being reduced from 26.67 to 19.01 for Pe and from 48.06 to 11.26 for PPO on the last day of the study.

Table 2.
RGB distance for colorant 810 treated with discoloration process with Pelargonium zonale (Pe), polyphenol oxidase from Agaricus (PPO), control for PMU removal (PMU Control), and combination with electroporation for Pe and PPO.
In Table 3, a good decolorization ability is observed for Pe and PPO of 23.10 and 9.56 in contrast with the untreated area of 48.88. The electroporation procedure did not achieve discoloration as the color had a stronger density at the end of the study. The market control did not make a big difference with the untreated area until the 73rd day of the study. For the colorant sunset, the use of PPO had the best decolorization result.

Table 3.
RGB distance for colorant sunset treated with discoloration process with Pelargonium zonale (Pe), polyphenol oxidase from Agaricus (PPO), and control for PMU removal (PMU Control).
In Table 4, we can see the RGB distance for the colorant lush pink. We observed a good decolorization ability with all the agents with the use of the PMU machine. The electroporation procedure did not make a big difference. The distance of 1.44 for Pe and 8.92 for PPO is not a good discoloration. The difference for Pe was 20.19 for PPO 24.50 and for the market control (PMU control) 35.44. These results showed that this colorant, which is used for the lip area, can be removed easily with the use of the PMU machine, in contrast to the others that can be used on the eyebrow and eyelid area.

Table 4.
RGB distance for colorant lush pink treated with Pelargonium zonale (Pe), polyphenol oxidase from Agaricus (PPO), and control for PMU removal (PMU Control).
In Figure 4 and Figure 5, we can see the RGB distance for all the colorants together. All the colors show a good decolorization degree in comparison with the decolorization agent. PMU color lush pink shows the better results.

Figure 4.
In this figure, we can see the color degradation with the use of PMU machine from the 7th day (before) which is the first removal application until the end of the study, the 73rd day (after).

Figure 5.
In this figure, we can see the color degradation with the use of electroporation device from the 7th day (before) which is the first removal application until the end of the study, the 73rd day (after).
4. Discussion
The RGB results for each one of these colorants showed a considerable distance from the untreated skin and the skin of the mice without colorants when they were treated with PMU machine and electroporation device. The use of the electroporation device did not have good discoloration results with all the PMU colorants that were tattooed on the mice skin. The plant-based materials showed a good decolorization ability, especially the “lush pink” color when it was treated with the Pelargonium zonale extract and the PMU machine as a method for removal. An explanation about this result could be the fact that colors used for the lip area show different duration of PMU applications in human skin. These results should be taken into account for future studies in order to check their decolorization characteristics on human skin. As we noticed from the skin biopsies, PMU colorants exist in the skin tissue in an unknown amount. The procedure of PMU removal is the same with PMU tattooing and causes no side effects on the tissue when the application is performed by PMU professionals.
The use of more plants and various combinations of chemical substances could be investigated in the future, and could lead to a higher amount of skin decolorization from PMU colorants. Another interesting field of decolorization is on tattoo ink applications. The lifetime applications of tattoo ink will be a challenge for this kind of removal, as the laser is the only way of removing the ink until now. Also, laser tattoo removal has plenty of side effects on the skin, with scarification being the most serious of all.
5. Conclusions
In conclusion, our results suggest that certain plant origin materials as Pelargonium zonale leaves, which is a very common plant in Greece, and polyphenol oxidase enzyme from Agaricus, which is a common white mushroom, have decolorization abilities. This can be seen from the results above, that show that the penetration of these plant-based materials through use of a PMU machine and electroporation device into the skin, can enhance decolorization capacity. The PMU colorants that were tested in this study can be placed on the eyebrow, eyelid, and lip area. It can also be used for the medical application of PMU such as nipple areola reconstruction and scalp micropigmentation. This study’s protocols investigated only SKH-1 hairless mice and the ability of plant-based materials to penetrate the skin with a PMU machine and electroporation without having side effects. As the skin biopsies showed, there was no obvious skin irritation with the use of these discoloration agents they might be a first step for PMU removal. The electroporation technology was examined for the first time in the field of PMU removal. Safety studies for this new aspect should be made. There are also many plants which may lead to decolorization that need to be explored in vivo. These findings may simply reflect an alternative way of PMU removal, no matter what type of PMU techniques are used.
Author Contributions
Conceptualization, E.A. and S.H.; formal analysis—original draft, E.A.; writing—review and editing, E.A., S.H., E.R. and V.K. All authors have read and agreed to the published version of the manuscript.
Funding
This research received no external funding.
Institutional Review Board Statement
The study was conducted according to the guidelines of the Declaration of Helsinki, and approved by the Ethics Committee of each University Laboratory and Research Centre. This study was approved by the Ethics Committee of the University of West Attica (protocol code 100745, date of approval:14 November 2022). Also, there was approval from the Ethics Committee of the University of Patras (protocol code 13914, date approval: June 2022). Finally the animals were used under the approval of the National Centre for Scientific Research “DEMOKRITOS” (protocol code 684213, date of approval: 20 June 2022).
Informed Consent Statement
Not applicable.
Data Availability Statement
The data presented in this study are available upon request from the corresponding author. The data are not publicly available due to privacy restrictions.
Acknowledgments
The author wishes to thank Anastasios Papanastasiou for the histological evaluation and wish to offer special thanks to Konstantinos Ntostoglou for his exceptional work with animal biopsies.
Conflicts of Interest
The authors declare no conflicts of interest.
References
- Spindler, K. The man in the ice under special consideration of paleo-pathological evidence. Verhandlungen Dtsch. Ges. Pathol. 2001, 85, 229–236. [Google Scholar]
- Mavridou, K.A.; Bassukas, I.D. The tattoo: From social outcast to genetic medicine. Arch. Hell. Med. 2011, 28, 583–595. [Google Scholar]
- Caplan, J. Written on the Body: The Tattoo in European and American History; Princeton University Press: Princeton, NJ, USA, 2000. [Google Scholar]
- Piccinini, P.; Contor, L.; Pakalin, S.; Raemaekers, T.; Senaldi, C. Safety of Tattoos and Permanent Make-Up: State of Play and Trends in Tattoo Practices; EUR 27528; JRC96808; Publications Office of the European Union: Luxembourg, 2015. [Google Scholar]
- Vassileva, S.; Hristakieva, E. Medical applications of tattooing. Clin. Dermatol. 2007, 25, 367–374. [Google Scholar] [CrossRef] [PubMed]
- Seyhan, T.; Kapi, E. Scalp Micropigmentation Procedure: A Useful Procedure for Hair Restoration. J. Craniofacial Surg. 2020, 32, 1049–1053. [Google Scholar] [CrossRef]
- Andreou, E.; Hatziantoniou, S.; Rallis, E.; Kefala, V. Safety of Tattoos and Permanent Make up (PMU) Colorants. Cosmetics 2021, 8, 47. [Google Scholar] [CrossRef]
- Andreou, E.; Kefala, V.; Rallis, E. Why do cosmetic tattoos change color. An update. Rev. Clin. Pharmacol. Pharmakokinet. Int. Ed. 2018, 32, 115–123. [Google Scholar]
- Serup, J. Diagnosis and Therapy of Tattoo Complications; Bäumler, W., Ed.; Current Problems in Dermatology; Karger: Basel, Switzerland, 2017; Volume 52. [Google Scholar] [CrossRef]
- De Cuyper, C. Permanent makeup: Indications and complications. Clin. Dermatol. 2008, 26, 30–34. [Google Scholar] [CrossRef] [PubMed]
- Andreou, E.; Hatziantoniou, S.; Rallis, E.; Kefala, V. Legislation and Side Effects induced by Permanent Make Up Colors. Ep. Klin. Farmakol. Kai Farmakokinet. 2020, 38, 195–201. [Google Scholar]
- Andreou, E.; Hatziantoniou, S.; Rallis, E.; Kefala, V. Side Effects from Permanent Make Up Colors. Ep. Clin. Pharmacol. Pharmakokinet. 2021, 39, 89–95. [Google Scholar]
- Wenzel, S.M.; Welzel, J.; Hafner, C.; Landthaler, M.; Bäumler, W. Permanent make-up colorants may cause severe skin reactions. Contact Dermat. 2010, 63, 223–227. [Google Scholar] [CrossRef] [PubMed]
- Petersen, H.; Roth, K. To Tattoo or Not to Tattoo? ChemViews 2017, 50, 44–66. [Google Scholar] [CrossRef]
- Naga, L.I.; Alster, T.S. Laser Tattoo Removal: An Update. Am. J. Clin. Dermatol. 2016, 18, 59–65. [Google Scholar] [CrossRef] [PubMed]
- Eklund, Y.; Troilius Rubin, A. Laser Tattoo Removal, Precautions, and Unwanted Effects. In Tattooed Skin and Health; Current Problems in Dermatology; Karger: Basel, Switzerland, 2015; pp. 88–96. [Google Scholar]
- Kluger, N. An update on cutaneous complications of permanent tattooing. Expert Rev. Clin. Immunol. 2019, 15, 1135–1143. [Google Scholar] [CrossRef] [PubMed]
- Serup, J.; Hutton Carlsen, K.; Sepehri, M. Tattoo Complaints and Complications: Diagnosis and Clinical Spectrum. In Tattooed Skin and Health; Bawmler, W., Ed.; Karger: Basel, Switzerland, 2015; pp. 48–60. [Google Scholar]
- Dash, G.; Patil, A.; Kassir, M.; Goldman, M.P.; Gold, M.H.; Adatto, M.; Große-Büning, S.; Grabbe, S.; Goldust, M. Non-laser treatment for tattoo removal. J. Cosmet. Dermatol. 2023, 22, 74–78. [Google Scholar] [CrossRef] [PubMed]
- Cheng, W. A non-laser method to reverse permanent makeup and tattoos. Cosmet Dermatol. 2001, 14, 47–50. [Google Scholar]
- Andreou, E.; Triantafyllou, A.K.; Mountsaki, S.; Rallis, E.; Lamari, F.N.; Hatziantoniou, S.; Kefala, V. Permanent Make-Up (PMU) Inks Decolorization Using Plant Origin Materials. Cosmetics 2022, 9, 48. [Google Scholar] [CrossRef]
- Al-Sa’ady, A.J.R. Comparison between PPO from plant sources and different chemicals in tattoo dyes decolorization. Iraqi J. Agric. Sci. 2020, 51, 550–555. [Google Scholar] [CrossRef]
- Medi, B.M.; Layek, B.; Singh, J. Electroporation for Dermal and Transdermal Drug Delivery. In Percutaneous Penetration Enhancers Physical Methods in Penetration Enhancement; Dragicevic, N., Maibach, H.I., Eds.; Springer: Berlin/Heidelberg, Germany, 2017. [Google Scholar] [CrossRef]
- Bharkatiya, M.; Nema, R. Skin penetration enhancement techniques. J. Young-Pharm. 2009, 1, 110. [Google Scholar] [CrossRef]
- Weaver, J.C. Electroporation: A general phenomenon for manipulating cells and tissues: Electroporation. J. Cell. Biochem. 1993, 51, 426–435. [Google Scholar] [CrossRef] [PubMed]
- Wong, T.-W.; Chen, C.-H.; Huang, C.-C.; Lin, C.-D.; Hui, S.-W. Painless electroporation with a new needle-free microelectrode array to enhance transdermal drug delivery. J. Contr. Release 2006, 110, 557–565. [Google Scholar] [CrossRef] [PubMed]
- Denet, A.-R.; Vanbever, R.; Preat, V. Skin electroporation for transdermal and topical delivery. Adv. Drug Deliv. Rev. 2004, 56, 659–674. [Google Scholar] [CrossRef] [PubMed]
- Ramadon, D.; McCrudden, M.T.C.; Courtenay, A.J.; Donnelly, R.F. Enhancement strategies for transdermal drug delivery systems: Current trends and applications. Drug Deliv. Transl. Res. 2022, 12, 758–791. [Google Scholar] [CrossRef] [PubMed]
- Hussain, A.; Khan, G.M.; Wahab, A.; Akhlaq, M.; Rahman, S.; Altaf, H.; Akhtar, N.; Qayyum, M. Potential enhancers for transdermal drug delivery: A review. Int. J. Basic Med. Sci. Pharm. 2014, 4, 19–22. [Google Scholar]
- Hartmann, P.; Butt, E.; Feher, A.; Szilagyi, A.L.; Jasz, K.D.; Balazs, B.; Bakonyi, M.; Berko, S.; Eros, G.; Boros, M.; et al. Electroporation-enhanced transdermal diclofenac sodium delivery into the knee joint in a rat model of acute arthritis. Drug Des. Dev. Ther. 2018, 12, 1917–1930. [Google Scholar] [CrossRef] [PubMed]
- Ita, K. Transdermal iontophoretic drug delivery: Advances and challenges. J. Drug Target. 2016, 24, 386–391. [Google Scholar] [CrossRef]
- Golberg, A.; Khan, S.; Belov, V.; Quinn, K.P.; Albadawi, H.; Broelsch, G.F.; Watkins, M.T.; Georgakoudi, I.; Papisov, M.; Mihm, M.C., Jr.; et al. Skin Rejuvenation with Non-Invasive Pulsed Electric Fields. Sci Rep. 2015, 5, 10187. [Google Scholar] [CrossRef] [PubMed]
- Lee, J.; Daniels, M.; Roth, M. Mesotherapy, Microneedling, and Chemical Peels. Clin. Plast. Surg. 2016, 43, 583–595. [Google Scholar] [CrossRef] [PubMed]
- Thappa, D.M.; Konda, D. Mesotherapy: What is new? Indian J. Dermatol. Venereol. Leprol. 2013, 79, 127–134. [Google Scholar] [CrossRef]
- Zhang, L.; Lerner, S.; Rustrum, W.V.; A Hofmann, G. Electroporation-mediated topical delivery of vitamin C for cosmetic applications. Bioelectrochem. Bioenerg. 1999, 48, 453–461. [Google Scholar] [CrossRef] [PubMed]
Disclaimer/Publisher’s Note: The statements, opinions and data contained in all publications are solely those of the individual author(s) and contributor(s) and not of MDPI and/or the editor(s). MDPI and/or the editor(s) disclaim responsibility for any injury to people or property resulting from any ideas, methods, instructions or products referred to in the content. |
© 2024 by the authors. Licensee MDPI, Basel, Switzerland. This article is an open access article distributed under the terms and conditions of the Creative Commons Attribution (CC BY) license (https://creativecommons.org/licenses/by/4.0/).