Iron Deficiency Anemia and Its Impact on Oral Health—A Literature Review
Abstract
1. Introduction
2. Methodology
- Children with ECC;
- Adults with periodontal disease;
- Adults and children with Candida albicans infections;
- Adults and children with oral ulcerations.
- Prevalence of ECC;
- Prevalence of periodontal disease;
- Prevalence of candidiasis;
- Prevalence of oral ulcerations.
3. Oral Manifestations of IDA and Association of IDA with ECC and IDA
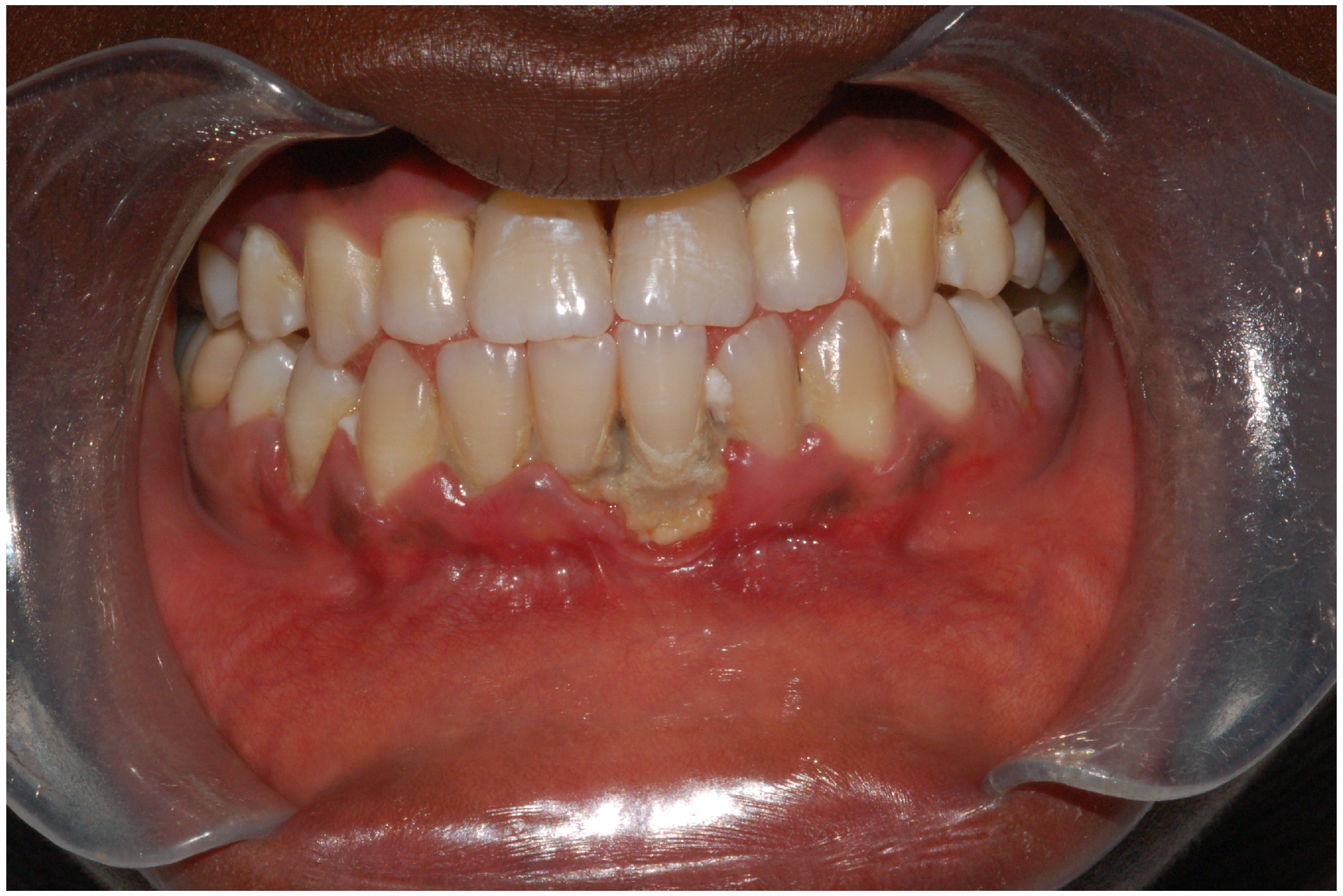
4. Iron Deficiency Anemia and Its Impact on Periodontal Diseases
5. Oral Manifestations of IDA and Its Association with Oral Candidiasis
6. Oral Manifestations of IDA and the Association of IDA with Oral Ulcerative Diseases
Author Contributions
Funding
Acknowledgments
Conflicts of Interest
References
- WHO; UNICEF; UNU. IRON Deficiency Anaemia: Assessment, Prevention and Control: A Guide for Programme Managers; World Health Organization: Geneva, Switzerland, 2001; Volume 114.
- Casamassimo, P.S.; Thikkurissy, S.; Edelstein, B.L.; Maiorini, E. Beyond the dmft: The human and economic cost of early childhood caries. J. Am. Dent. Assoc. 2009, 140, 650–657. [Google Scholar] [CrossRef] [PubMed]
- WHO. Nutrition for Health and Development: A Global Agenda for Combating Malnutrition: Progress Report; World Health Organization; Nutrition for Health and Development; Sustainable Development and Healthy Environments: Geneva, Switzerland, 2000.
- Mishra, V.; Verneker, R.; Gandhi, K.; Choudhary, S.; Lamba, S. Iron Deficiency Anemia with Menorrhagia: Ferric Carboxymaltose a Safer Alternative to Blood Transfusion. J. Midlife Health 2018, 9, 92–96. [Google Scholar] [CrossRef] [PubMed]
- Goddard, A.F.; James, M.W.; McIntyre, A.S.; Scott, B.B.; British Society of Gastroenterology. Guidelines for the management of iron deficiency anaemia. Gut 2011, 60, 1309–1316. [Google Scholar] [CrossRef]
- U.S. Department of Health and Human Services. Oral Health in America: A Report of the Surgeon General; U.S. Department of Health and Human Services; National Institute of Dental and Craniofacial Research; National Institutes of Health: Rockville, MD, USA, 2000; pp. 1–38.
- Paik, S.; Brown, A.; Munro, C.L.; Cornelissen, C.N.; Kitten, T. The sloABCR operon of Streptococcus mutans encodes an Mn and Fe transport system required for endocarditis virulence and its Mn-dependent repressor. J. Bacteriol. 2003, 185, 5967–5975. [Google Scholar] [CrossRef]
- Caufield, P.W.; Li, Y.; Bromage, T.G. Hypoplasia-associated severe early childhood caries—A proposed definition. J. Dent. Res. 2012, 91, 544–550. [Google Scholar] [CrossRef] [PubMed]
- Casamassimo, P.; Berlocher, W.C.; Cheney, W.; Donly, K.; Lee, J.; Nowak, A.; Seale, N.S.; Wilson, S.; Rutkauskas, J.S.; Dalhouse, S. The future of pediatric dentistry advanced education: The need for change in training standards. Pediatr. Dent. 2009, 31, 298–309. [Google Scholar]
- Schroth, R.J.; Levi, J.; Kliewer, E.; Friel, J.; Moffatt, M.E. Association between iron status, iron deficiency anaemia, and severe early childhood caries: A case-control study. BMC Pediatr. 2013, 13, 22. [Google Scholar] [CrossRef]
- Tinanoff, N.; Reisine, S. Update on early childhood caries since the Surgeon General’s Report. Acad. Pediatr. 2009, 9, 396–403. [Google Scholar] [CrossRef]
- Tinanoff, N.; O’Sullivan, D.M. Early childhood caries: Overview and recent findings. Pediatr. Dent. 1997, 19, 12–16. [Google Scholar]
- Kazal, L.A., Jr. Prevention of iron deficiency in infants and toddlers. Am. Fam. Physician 2002, 66, 1217–1224. [Google Scholar]
- Abdallah, M.A.; Abed, H.H.; Hamza, G.; Alsahafi, E.N. The association between dmft index and haemoglobin levels in 3-6 year-old Saudi children with anaemia: A cross sectional study. J. Taibah Univ. Med. Sci. 2016, 11, 72–76. [Google Scholar] [CrossRef]
- Nur, B.G.; Tanriver, M.; Altunsoy, M.; Atabay, T.; Intepe, N. The prevalence of iron deficiency anemia in children with severe early childhood caries undergoing dental surgery under general anesthesia. Pediatr. Dent. J. 2016, 26, 83–87. [Google Scholar] [CrossRef]
- Clarke, M.; Locker, D.; Berall, G.; Pencharz, P.; Kenny, D.J.; Judd, P. Malnourishment in a population of young children with severe early childhood caries. Pediatr. Dent. 2006, 28, 254–259. [Google Scholar] [PubMed]
- Sadeghi, M.; Darakhshan, R.; Bagherian, A. Is there an association between early childhood caries and serum iron and serum ferritin levels? Dent. Res. J. 2012, 9, 294–298. [Google Scholar]
- Iranna Koppal, P.; Sakri, M.R.; Akkareddy, B.; Hinduja, D.M.; Gangolli, R.A.; Patil, B.C. Iron deficiency in young children: A risk marker for early childhood caries. Int. J. Clin. Pediatr. Dent. 2013, 6, 1–6. [Google Scholar] [CrossRef] [PubMed]
- Tang, R.S.; Huang, M.C.; Huang, S.T. Relationship between dental caries status and anemia in children with severe early childhood caries. Kaohsiung J. Med. Sci. 2013, 29, 330–336. [Google Scholar] [CrossRef] [PubMed]
- Anitha Jayakumar, D.G. Estimation of ferritin levels in children with or without early childhood caries—A case-control study. J. Adv. Pharm. Educ. Res. 2017, 7, 15–17. [Google Scholar]
- Venkatesh Babu, N.S.; Bhanushali, P.V. Evaluation and association of serum iron and ferritin levels in children with dental caries. J. Indian Soc. Pedod. Prev. Dent. 2017, 35, 106–109. [Google Scholar] [CrossRef] [PubMed]
- Bansal, K.; Goyal, M.; Dhingra, R. Association of severe early childhood caries with iron deficiency anemia. J. Indian Soc. Pedod. Prev. Dent. 2016, 34, 36–42. [Google Scholar] [CrossRef]
- Mohamed, W.E.; Abou El Fadl, R.K.; Thabet, R.A.; Helmi, M.; Kamal, S.H. Iron deficiency anaemia and early childhood caries: A cross-sectional study. Aust. Dent. J. 2021, 66, S27–S36. [Google Scholar] [CrossRef]
- Mahantesha, T.; Reddy, K.P.; Ellore VP, K.; Ramagoni, N.K.; Iitagi, V.; Anitha, K.S. Evaluation and association of iron deficiency anemia with salivary pH and buffering capacity. Natl. J. Physiol. Pharm. Pharmacol. 2014, 4, 229–232. [Google Scholar] [CrossRef]
- Atri, Y.; Garg, N.; Pathivada, L.; Kaur, H.; Yeluri, R. Association between Serum Iron, Serum Ferritin Levels, and Severe Early Childhood Caries: A Case-Control Study. Int. J. Clin. Pediatr. Dent. 2023, 16 (Suppl. 3), 288–292. [Google Scholar] [CrossRef] [PubMed]
- Shaoul, R.; Gaitini, L.; Kharouba, J.; Darawshi, G.; Maor, I.; Somri, M. The association of childhood iron deficiency anaemia with severe dental caries. Acta Paediatr. 2012, 101, e76–e79. [Google Scholar] [CrossRef] [PubMed]
- Nagarajan, U.; Dhingra, R.; Chaudhuri, P.; Karunanand, B.; Arora, P. Influence of full mouth rehabilitation on iron deficiency anemia status in children with severe early childhood caries. J. Appl. Dent. Med. Sci. 2017, 3, 8. [Google Scholar]
- Sonu Acharya, S.T. The effect of early childhood caries on the quality of life of children and their parents. Contemp. Clin. Dent. 2011, 2, 98–101. [Google Scholar] [CrossRef] [PubMed]
- Mahadevan, K.; Velavan, S. Analysis of salivary proteins as the biochemical indicators of nutritional status and salivary gland function. Int. J. Pharma Bio Sci. 2013, 4, 689–694. [Google Scholar]
- da Fonseca, M.A. The effects of poverty on children’s development and oral health. Pediatr. Dent. 2012, 34, 32–38. [Google Scholar] [PubMed]
- Pierro, V.S.; Maia, L.C.; Primo, L.G.; Soares, F.D. Case report: The importance of oral manifestations in diagnosing iron deficiency in childhood. Eur. J. Paediatr. Dent. 2004, 5, 115–118. [Google Scholar] [PubMed]
- Özyılkan, D.; Tosun, Ö.; İslam, A. The Impact of Anemia-Related Early Childhood Caries on Parents’ and Children’s Quality of Life. Medicina 2023, 59, 521. [Google Scholar] [CrossRef]
- Baker, R.D.; Greer, F.R.; Committee on Nutrition. Diagnosis and prevention of iron deficiency and iron-deficiency anemia in infants and young children (0–3 years of age). Pediatrics 2010, 126, 1040–1050. [Google Scholar] [CrossRef]
- Ji, S.; Guan, X.; Ma, L.; Huang, P.; Lin, H.; Han, R. Iron deficiency anemia associated factors and early childhood caries in Qingdao. BMC Oral Health 2022, 22, 104. [Google Scholar] [CrossRef] [PubMed]
- Beltrame, A.P.; Rosa, M.M.; Bolan, M.; Almeida, I.C. Severe childhood caries associated with iron deficiency anemia: A case report. Gen Dent. 2016, 64, 13–15. [Google Scholar] [PubMed]
- Rajkumaar, J.; Mathew, M.G. Association of severe early childhood caries with salivary ferritin. J. Fam. Med. Prim. Care 2020, 9, 3991–3993. [Google Scholar] [CrossRef] [PubMed]
- Han, R.; Yue, J.; Lin, H.; Du, N.; Wang, J.; Wang, S.; Kong, F.; Wang, J.; Gao, W.; Ma, L.; et al. Salivary Microbiome Variation in Early Childhood Caries of Children 3-6 Years of Age and Its Association With Iron Deficiency Anemia and Extrinsic Black Stain. Front. Cell. Infect Microbiol. 2021, 11, 628327. [Google Scholar] [CrossRef] [PubMed]
- Schroth, R.J.; Pierce, A.; Rodd, C.; Mittermuller, B.A.; Moffatt, M.E.K. Improvement in Iron and Iron-Related Nutritional Status Following Pediatric Dental Surgery To Treat Severe Early Childhood Caries. Pediatr. Dent. 2022, 44, 58–66. [Google Scholar] [PubMed]
- Deane, S.; Schroth, R.J.; Sharma, A.; Rodd, C. Combined deficiencies of 25-hydroxyvitamin D and anemia in preschool children with severe early childhood caries: A case-control study. Paed. Child. Health-Can. 2018, 23, E40–E45. [Google Scholar] [CrossRef] [PubMed]
- Jha, A.; Jha, S.; Shree, R.; Kumar, A.; Menka, K.; Shrikaar, M. Association between Serum Ferritin, Hemoglobin, Vitamin D(3), Serum Albumin, Calcium, Thyrotropin-releasing Hormone with Early Childhood Caries: A Case-Control Study. Int. J. Clin. Pediatr. Dent. 2021, 14, 648–651. [Google Scholar] [CrossRef] [PubMed]
- Deshpande, A.N.; Sudani, U.; Wadhwa, M.; Joshi, N.; Patel, K.S.; Jain, A. Association of Anthropometric Measurements, Hemoglobin Level and Salivary Parameters among Caries-free and S-ECC Children. Int. J. Clin. Pediatr. Dent. 2022, 15 (Suppl. 2), S164–S171. [Google Scholar] [CrossRef] [PubMed]
- Emilson, C.G.; Krasse, B. The effect of iron salts on experimental dental caries in the hamster. Arch. Oral Biol. 1972, 17, 1439–1443. [Google Scholar] [CrossRef]
- Miguel, J.C.; Bowen, W.H.; Pearson, S.K. Influence of iron alone or with fluoride on caries development in desalivated and intact rats. Caries Res. 1997, 31, 244–248. [Google Scholar] [CrossRef]
- Larsson, B.; Johansson, I.; Ericson, T. Prevalence of caries in adolescents in relation to diet. Community Dent. Oral Epidemiol. 1992, 20, 133–137. [Google Scholar] [CrossRef] [PubMed]
- Oppermann, R.V.; Rolla, G. Effect of some polyvalent cations on the acidogenicity of dental plaque in vivo. Caries Res. 1980, 14, 422–427. [Google Scholar] [CrossRef] [PubMed]
- Sintes, J.L.; Rosa, J.; Freund, T. Iron deficiency and dental caries. A pilot study. Clin. Prev. Dent. 1983, 5, 3–5. [Google Scholar] [PubMed]
- Lacruz, R.S.; Habelitz, S.; Wright, J.T.; Paine, M.L. Dental Enamel Formation and Implications for Oral Health and Disease. Physiol. Rev. 2017, 97, 939–993. [Google Scholar] [CrossRef]
- Moore, L.L.; Humbert, J.R. Neutrophil bactericidal dysfunction towards oxidant radical-sensitive microorganisms during experimental iron deficiency. Pediatr. Res. 1984, 18, 789–794. [Google Scholar] [CrossRef]
- Bahdila, D.; Markowitz, K.; Pawar, S.; Chavan, K.; Fine, D.H.; Velliyagounder, K. The effect of iron deficiency anemia on experimental dental caries in mice. Arch. Oral Biol. 2019, 105, 13–19. [Google Scholar] [CrossRef]
- Xu, L.; Wang, J.; Han, R.; Wang, Y.; Yue, J.; Ma, L. Iron level participates in the pathological damages of dental caries in infant rats by affecting enamel mineralization. J. Clin. Pediatr. Dent. 2023, 47, 86–94. [Google Scholar] [CrossRef]
- Miguel, J.C.; Bowen, W.H.; Pearson, S.K. Effects of iron salts in sucrose on dental caries and plaque in rats. Arch. Oral Biol. 1997, 42, 377–383. [Google Scholar] [CrossRef]
- Rosalen, P.L.; Pearson, S.K.; Bowen, W.H. Effects of copper, iron and fluoride co-crystallized with sugar on caries development and acid formation in deslivated rats. Arch. Oral Biol. 1996, 41, 1003–1010. [Google Scholar] [CrossRef]
- Stoltzfus, R. Defining iron-deficiency anemia in public health terms: A time for reflection. J. Nutr. 2001, 131, 565S–567S. [Google Scholar] [CrossRef]
- Dunning, J.C.; Ma, Y.; Marquis, R.E. Anaerobic killing of oral streptococci by reduced, transition metal cations. Appl. Environ. Microbiol. 1998, 64, 27–33. [Google Scholar] [CrossRef] [PubMed]
- Pecharki, G.D.; Cury, J.A.; Paes Leme, A.F.; Tabchoury, C.P.; Del Bel Cury, A.A.; Rosalen, P.L.; Bowen, W.H. Effect of sucrose containing iron (II) on dental biofilm and enamel demineralization in situ. Caries Res. 2005, 39, 123–129. [Google Scholar] [CrossRef] [PubMed]
- Ribeiro, C.C.; Ccahuana-Vasquez, R.A.; Carmo, C.D.; Alves, C.M.; Leitao, T.J.; Vidotti, L.R.; Cury, J.A. The effect of iron on Streptococcus mutans biofilm and on enamel demineralization. Braz. Oral Res. 2012, 26, 300–305. [Google Scholar] [CrossRef] [PubMed]
- Bowen, W.H.; Koo, H. Biology of Streptococcus mutans-derived glucosyltransferases: Role in extracellular matrix formation of cariogenic biofilms. Caries Res. 2011, 45, 69–86. [Google Scholar] [CrossRef] [PubMed]
- Wunder, D.; Bowen, W.H. Action of agents on glucosyltransferases from Streptococcus mutans in solution and adsorbed to experimental pellicle. Arch. Oral Biol. 1999, 44, 203–214. [Google Scholar] [CrossRef] [PubMed]
- Devulapalle, K.S.; Gomez de Segura, A.; Ferrer, M.; Alcalde, M.; Mooser, G.; Plou, F.J. Effect of carbohydrate fatty acid esters on Streptococcus sobrinus and glucosyltransferase activity. Carbohydr. Res. 2004, 339, 1029–1034. [Google Scholar] [CrossRef]
- Wu, Y.C.; Wang, Y.P.; Chang, J.Y.; Cheng, S.J.; Chen, H.M.; Sun, A. Oral manifestations and blood profile in patients with iron deficiency anemia. J. Formos. Med. Assoc. 2014, 113, 83–87. [Google Scholar] [CrossRef]
- Beighton, D.; Whiley, R.A.; Homer, K.A. Trans- ferrin binding by Streptococcus oralis and other oral strepto- cocci. Microb. Ecol. Health Dis. 1990, 3, 145–150. [Google Scholar]
- Berlutti, F.; Ajello, M.; Bosso, P.; Morea, C.; Petrucca, A.; Antonini, G.; Valenti, P. Both lactoferrin and iron influence aggregation and biofilm formation in Streptococcus mutans. Biometals 2004, 17, 271–278. [Google Scholar]
- Ekiz, C.; Agaoglu, L.; Karakas, Z.; Gurel, N.; Yalcin, I. The effect of iron deficiency anemia on the function of the immune system. Hematol. J. 2005, 5, 579–583. [Google Scholar] [CrossRef]
- Jason, J.; Archibald, L.K.; Nwanyanwu, O.C.; Bell, M.; Jensen, R.J.; Gunter, E.; Buchanan, I.; Larned, J.; Kazembe, P.N.; Dobbie, H.; et al. The effects of iron deficiency on lymphocyte cytokine production and activation: Preservation of hepatic iron but not at all cost. Clin. Exp. Immunol. 2001, 126, 466–473. [Google Scholar] [CrossRef] [PubMed]
- Agarwal, N.; Kumar, V.S.; Gujjari, S.A. Effect of periodontal therapy on hemoglobin and erythrocyte levels in chronic generalized periodontitis patients: An interventional study. J. Indian Soc. Periodontol. 2009, 13, 6–11. [Google Scholar] [CrossRef] [PubMed]
- Anumolu, V.N.; Srikanth, A.; Paidi, K. Evaluation of the relation between anemia and periodontitis by estimation of blood parameters: A cross-sectional study. J. Indian Soc. Periodontol. 2016, 20, 265–272. [Google Scholar] [CrossRef]
- Chakraborty, S.; Tewari, S.; Sharma, R.K.; Narula, S.C.; Ghalaut, P.S.; Ghalaut, V. Impact of iron deficiency anemia on chronic periodontitis and superoxide dismutase activity: A cross-sectional study. J. Periodontal Implant Sci. 2014, 44, 57–64. [Google Scholar] [CrossRef] [PubMed]
- Enhos, S.; Duran, I.; Erdem, S.; Buyukbas, S. Relationship between iron-deficiency anemia and periodontal status in female patients. J. Periodontol. 2009, 80, 1750–1755. [Google Scholar] [CrossRef]
- Boychuk-Tovsta, O.G.; Boychuk, O.G.; Divnych, T.Y.; Ilnytska, O.M.; Kostyshyn, A.B.; Vynogradova, O.M. Results of Research the Mineral Contens of the Blood and the Oral Fluid in Pregnant Women Suffering from Periodontitis and Iron Deficiency. World Med. Biol. 2021, 76, 178–182. [Google Scholar] [CrossRef]
- Osaki, T.; Ueta, E.; Arisawa, K.; Kitamura, Y.; Matsugi, N. The pathophysiology of glossal pain in patients with iron deficiency and anemia. Am. J. Med. Sci. 1999, 318, 324–329. [Google Scholar] [CrossRef] [PubMed]
- Terai, H.; Shimahara, M. Atrophic tongue associated with. J. Oral Pathol. Med. 2005, 34, 397–400. [Google Scholar] [CrossRef]
- Lu, S.Y. Perception of iron deficiency from oral mucosa alterations that show a high prevalence of Candida infection. J. Formos. Med. Assoc. 2016, 115, 619–627. [Google Scholar] [CrossRef]
- Challacombe, S.J.; Scully, C.; Keevil, B.; Lehner, T. Serum ferritin in recurrent oral ulceration. J. Oral Pathol. 1983, 12, 290–299. [Google Scholar] [CrossRef]
- Anne Marie, U.; Murererehe, J.; Rehman, M.; Chittilla, M.; Uwambaye, P.; Razzaque, M.S. Oral manifestations of iron imbalance. Front. Nutr. 2023, 10, 1272902. [Google Scholar] [CrossRef] [PubMed]
- Barnadas, M.A.; Remacha, A.; Condomines, J.; deMoragas, J.M. Deficiencies in hematologic maduration factors in patients with recurrent oral aphtous ulceration. Med. Clin. 1997, 109, 85–87. [Google Scholar]
- Sumathi, K.; Shanthi, B.; AJ, M.D. Significance of ferritin in recurrent oral ulceration. J. Clin. Diagn. Res. 2014, 8, 14–15. [Google Scholar] [CrossRef] [PubMed]
- Wu, Y.H.; Wu, Y.C.; Chu, F.Y.; Cheng, S.J.; Sun, A.; Chen, H.M. Significantly higher frequencies of hematinic deficiencies and hyperhomocysteinemia in oral precancer patients. J. Formos. Med. Assoc. 2019, 118, 1299–1307. [Google Scholar] [CrossRef] [PubMed]
- Fourie, R.; Kuloyo, O.O.; Mochochoko, B.M.; Albertyn, J.; Pohl, C.H. Iron at the Centre of Candida albicans Interactions. Front. Cell. Infect. Microbiol. 2018, 8, 185. [Google Scholar] [CrossRef] [PubMed]
- Park, K.K.; Brodell, R.T.; Helms, S.E. Angular cheilitis, part 1: Local etiologies. Cutis 2011, 87, 289–295. [Google Scholar]
- Goel, A.; Bakshi, S.S.; Soni, N.; Chhavi, N. Iron deficiency anemia and Plummer-Vinson syndrome: Current insights. J. Blood Med. 2017, 8, 175–184. [Google Scholar] [CrossRef]



| IDA and Caries | Observations | Ref. |
|---|---|---|
| ECC | ECC can serve as a warning sign for IDA, as illustrated by a case involving a 5-year-old child. This child presented with decayed teeth and tongue sensitivity following the consumption of spicy or hot food. | [31] |
| This study revealed a statistically significant correlation between serum iron levels and ECC but not with respect to ferritin. It concluded that there was an inverse relationship between serum iron levels and dmft index scores among preschool children. | [17] | |
| This case study highlights a link between dental caries and IDA in a 3-year-old boy, whose dental crowns were severely damaged by caries. Laboratory tests revealed decreased hematocrit and low levels of hemoglobin, ferritin, and serum iron. Additionally, the boy exhibited impaired growth and delays in neuropsychomotor development. | [35] | |
| This cross-sectional study involved 160 preschool children, observing a correlation between their Hb levels and the dmft index scores. The children diagnosed with anemia exhibited significantly higher mean dmft index scores when compared to their non-anemic counterparts. | [14] | |
| This study investigating the relationship between serum ferritin levels in children under the age of six and the severity of ECC found significantly lower mean ferritin levels in ECC patients compared to a caries-free group. | [20] | |
| This study assessing the relationship between serum iron and ferritin levels and dental caries in children found a significant association between the dmft index and serum iron, but not ferritin, levels. | [21] | |
| The study investigated salivary ferritin levels in 120 children, comparing 60 with severe early childhood caries (S-ECC) to a caries-free control group. The results revealed significantly higher salivary ferritin levels in the S-ECC group compared to the caries-free group. | [36] | |
| The findings revealed that the IDA ECC group exhibited a higher oral flora diversity, whereas the BSCF group showed a lower diversity. Bacterial genera such as Bacillus, Moraxella, and Rhodococcus were significantly present in the IDA ECC group, while Neisseria was more prevalent in the NIDA ECC group. | [37] | |
| In a cross-sectional study aimed at exploring the association between IDA and ECC, 80 children were enrolled, comprising 40 with diagnosed IDA and 40 healthy controls. The results indicated a significant negative correlation between dmft scores and both Hg and MCH levels, alongside a positive correlation between caries experience and the presence of anemia. | [23] | |
| This cross-sectional study involving 1598 children revealed several factors positively correlated with caries incidence. These included a history of IDA during pregnancy, preexisting IDA among children below 2 years of age, breastfeeding up to 2 years of age, low socio-economic status, and a lack of iron supplementation. | [34] | |
| S-ECC | In total, 74% of children with S-ECC had blood hemoglobin levels ranging from low to borderline, and 80% had low serum ferritin levels. These findings suggest that IDA may serve as a risk marker for S-ECC. | [16] |
| This study evaluated 160 preschool children with S-ECC undergoing full dental rehabilitation. Their findings did not reveal a significant association between Hb or HCT levels and S-ECC. However, they did observe a significantly lower MCV in S-ECC patients. | [15] | |
| In this study, the objective was to evaluate the levels of ferritin, Hb, and iron in patients both before and 4-6 months following dental stem cell (SC) restoration. The findings revealed that, initially, children exhibited low levels of ferritin and hemoglobin, indicative of IDA. | [26] | |
| Koppal et al. conducted a cross-sectional study to investigate the relationship between IDA and S-ECC. They concluded that ECC and IDA are certainly correlated, but a longitudinal study is recommended to further investigate the role of IDA as a risk factor for ECC. | [18] | |
| In this study, 150 children who participated, initial assessments showed that 53% were anemic, 30% had ID, and 20% were dealing with IDA. Follow-up assessments were conducted with 106 children, revealing significant improvements in levels of ferritin and hemoglobin, a 16% decrease in ID cases, and a 20% reduction in IDA cases from baseline to follow-up. | [38] | |
| Tang et al. examined 101 children to understand the relation between IDA and S-ECC. A multivariable logistic regression analysis found that children with dmfs that are higher or equal to 35 have a 7.25-fold higher risk of developing IDA. | [19] | |
| In a 2016 study by Bansal et al., 60 children aged 2–6 were assessed to examine the link between severe early childhood caries (S-ECC) and iron deficiency anemia (IDA). The study compared 30 children with S-ECC to 30 caries-free controls and found a significantly higher prevalence of IDA in the S-ECC group, and lower levels of Hb, MCV, and PCV in children with S-ECC. | [22] | |
| This study assessing children with S-ECC undergoing full dental rehabilitation under general anesthesia revealed no correlation between Hb and HCT levels and S-ECC. However, S-ECC patients exhibited a significantly lower MCV. | [15] | |
| This study aimed to assess whether children with S-ECC are more likely to have anemia and lower levels of vitamin D than those without S-ECC, alongside examining factors tied to elevated parathyroid hormone (PTH) levels, previously linked to S-ECC. The research included 266 children, 144 of whom had S-ECC, with an average age of about 41 months. The findings revealed that those with S-ECC were significantly more prone to having deficiencies in both vitamin D and hemoglobin, exhibited higher levels of PTH, and were more likely to suffer from iron-deficiency anemia compared to the control group. | [39] | |
| The study encompassed 266 children, with 54.14% suffering from severe caries (SC) and 45.86% being caries-free. Logistic regression analysis revealed that children with SC were nearly twice as likely to exhibit reduced ferritin levels and had a six-fold higher risk of this condition compared to the caries-free group. | [40] | |
| The study demonstrated that children with S-ECC had significantly lower levels of hemoglobin and ferritin. They were over six times more likely to have iron deficiency anemia (IDA) compared to their peers without dental caries. Additionally, the frequency of IDA was significantly higher in S-ECC children compared to that in the caries-free control group. | [10] | |
| The study explored potential associations between S-ECC and serum iron and ferritin levels in children. Out of a total of 688 children, 82 were chosen based on their decayed, missing, and filled primary teeth (dmft) scores. The findings revealed statistically significant differences solely in the dmft and unsaturated iron-binding capacity values, with no significant differences observed in any other blood parameters. | [25] | |
| This study involving 204 child–parent pairs showed that anemia-related ECC negatively affected both the child and their parents’ quality of life. It impacted the child’s function, image, and psychology while also causing distress for the parents. | [32] | |
| This study aimed to evaluate and compare anthropometric measurements, hemoglobin levels, and salivary parameters between healthy children and those with S-ECC aged 3–6 years. The findings revealed significant differences across all anthropometric measurements. Notably, children suffering from severe dental caries exhibited low hemoglobin levels, a condition that, if persistent, could result in anemia. | [41] |
| IDA and Oral Diseases | Observations | Ref. |
|---|---|---|
| Periodontal diseases | After periodontal therapy, the periodontal status of IDA patients revealed no correlation between changes in serum and GCF ferritin levels. This suggests that IDA is not a direct risk factor for periodontal diseases. | [68] |
| IDA-CP patients displayed elevated gingival index values, bleeding on probing, probing pocket depth, and percentages (%) of sites with clinical attachment loss compared to CP patients. Moreover, the mean salivary and serum SOD levels were notably lower in IDA-PH, CP, and IDA-CP patients compared to the control group (CG). | [67] | |
| This study explored the effects of ID on mineral levels in pregnant women with generalized periodontitis. The study compared 42 affected women to 34 without pregnancy complications, finding significant decreases in serum calcium, iron, copper, and zinc levels in the affected group. These reductions suggest that iron deficiency and periodontitis disrupt the mineral balance in biological fluids. | [69] | |
| Candidiasis and other oral manifestations | A similar study also explored the link between ID and glossal pain, comparing 18 patients with ID to 7 with anemia but no visible oral abnormalities. It found that anemic patients experienced more prolonged and widespread tongue pain. | [70] |
| This study investigated the link between atrophic tongue changes and candidiasis in 40 patients experiencing tongue pain with spicy or hot foods. In the study, 60% of the participants had predisposing factors for candidiasis, such as diabetes, malignancy, or long-term antibiotic use. Blood tests showed mild anemia or iron deficiency in 12.5% and mild diabetes in 10%, with the majority (72.5%) showing normal levels. C. albicans was detected in 72.5% of cases through culture tests. | [71] | |
| IDA patients had significantly higher frequencies of all oral manifestations than healthy controls; a burning sensation of oral mucosa, lingual varicosity, dry mouth, oral lichen planus, and atrophic glossitis were the five leading oral manifestations for IDA patients. | [60] | |
| ID predisposed patients to a high incidence of Candida infection and showed a variety of oral manifestations including angular cheilitis, atrophic glossitis, pseudomembranous candidosis, erythematous candidosis, median rhomboid glossitis, chronic mucocutaneous candidosis, papillary hyperplastic candidosis, and cheilocandidosis. | [72] | |
| Patients with recurrent oral ulceration exhibited low ferritin levels, with a specific emphasis on certain conditions. For example, 15% of individuals with Behcet’s disease and 9.5% with other ulcerative oral lesions were found to have low ferritin levels, in stark contrast to the less than 3% prevalence observed among control subjects. | [73] | |
| The analysis shows a varying prevalence of a specific deficiency across different oral conditions: 16.9% in atrophic glossitis, 20.3% in burning mouth syndrome, 13.6% in oral lichen planus, 20.1% in recurrent aphthous stomatitis, 34.9% in Behcet’s disease, 20.6% in oral submucous fibrosis, and 21.4% in oral precancer. | [74] | |
| Ulceration | The purpose of this study was to determine the prevalence of iron, folic acid, and vitamin B12 deficiencies among 80 patients with recurrent oral ulcerations (RUO) when compared to a control group consisting of 29 patients with various other oral diseases. In the group of patients with recurrent oral ulcers, deficiencies were found in 21 out of 80 patients. Among these cases, 18 had isolated deficiencies: iron in 4 patients, folic acid in 10 patients, and vitamin B12 in 4 patients. In addition, 3 patients had combined deficiencies of these nutrients. | [75] |
| Significantly decreased ferritin values were observed in ulceration patients compared to healthy subjects. | [76] | |
| The prevalence of IDA varies among ulcerative conditions, with 2.8% of atrophic glossitis patients, 7.9% of those with recurrent aphthous stomatitis, 6.3% of Behcet’s disease patients, and 1.5% of oral submucous fibrosis patients diagnosed with IDA. | [77] |
Disclaimer/Publisher’s Note: The statements, opinions and data contained in all publications are solely those of the individual author(s) and contributor(s) and not of MDPI and/or the editor(s). MDPI and/or the editor(s) disclaim responsibility for any injury to people or property resulting from any ideas, methods, instructions or products referred to in the content. |
© 2024 by the authors. Licensee MDPI, Basel, Switzerland. This article is an open access article distributed under the terms and conditions of the Creative Commons Attribution (CC BY) license (https://creativecommons.org/licenses/by/4.0/).
Share and Cite
Velliyagounder, K.; Chavan, K.; Markowitz, K. Iron Deficiency Anemia and Its Impact on Oral Health—A Literature Review. Dent. J. 2024, 12, 176. https://doi.org/10.3390/dj12060176
Velliyagounder K, Chavan K, Markowitz K. Iron Deficiency Anemia and Its Impact on Oral Health—A Literature Review. Dentistry Journal. 2024; 12(6):176. https://doi.org/10.3390/dj12060176
Chicago/Turabian StyleVelliyagounder, Kabilan, Krupa Chavan, and Kenneth Markowitz. 2024. "Iron Deficiency Anemia and Its Impact on Oral Health—A Literature Review" Dentistry Journal 12, no. 6: 176. https://doi.org/10.3390/dj12060176
APA StyleVelliyagounder, K., Chavan, K., & Markowitz, K. (2024). Iron Deficiency Anemia and Its Impact on Oral Health—A Literature Review. Dentistry Journal, 12(6), 176. https://doi.org/10.3390/dj12060176
