Clinical and Radiographic Evaluation of Short- and Long-Term Outcomes of Different Treatments Adopted for Elbow Medial Compartment Disease in Dogs
Abstract
1. Introduction
2. Materials and Methods
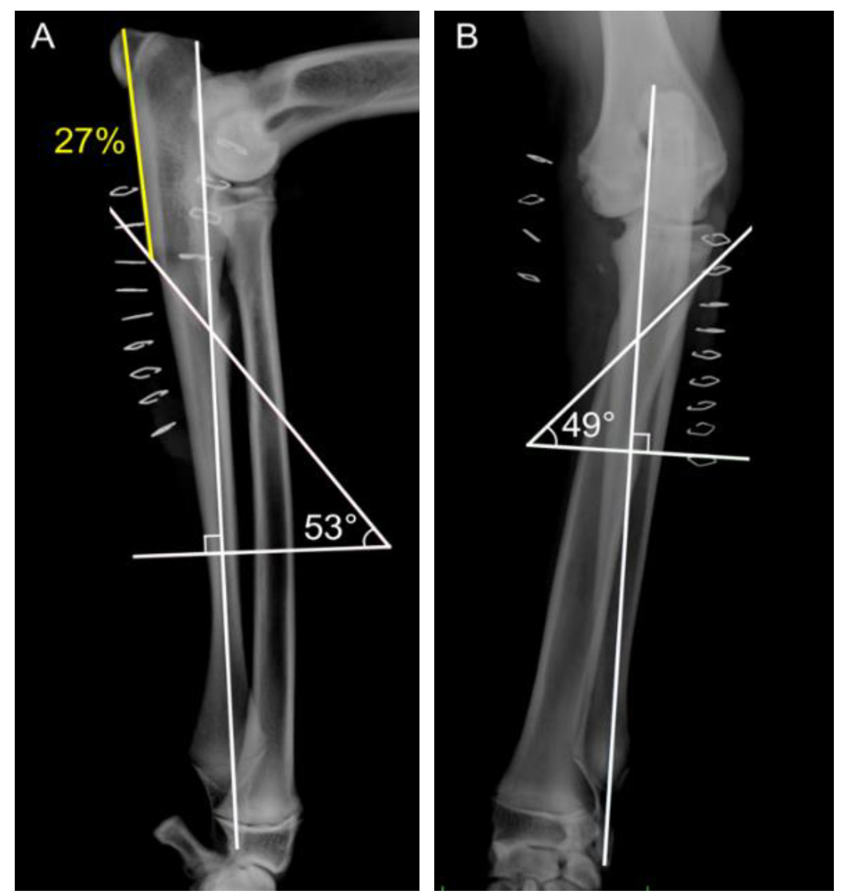
2.1. Animals, Clinical and Radiographic Examinations
2.2. Treatment
2.3. Statistical Analysis
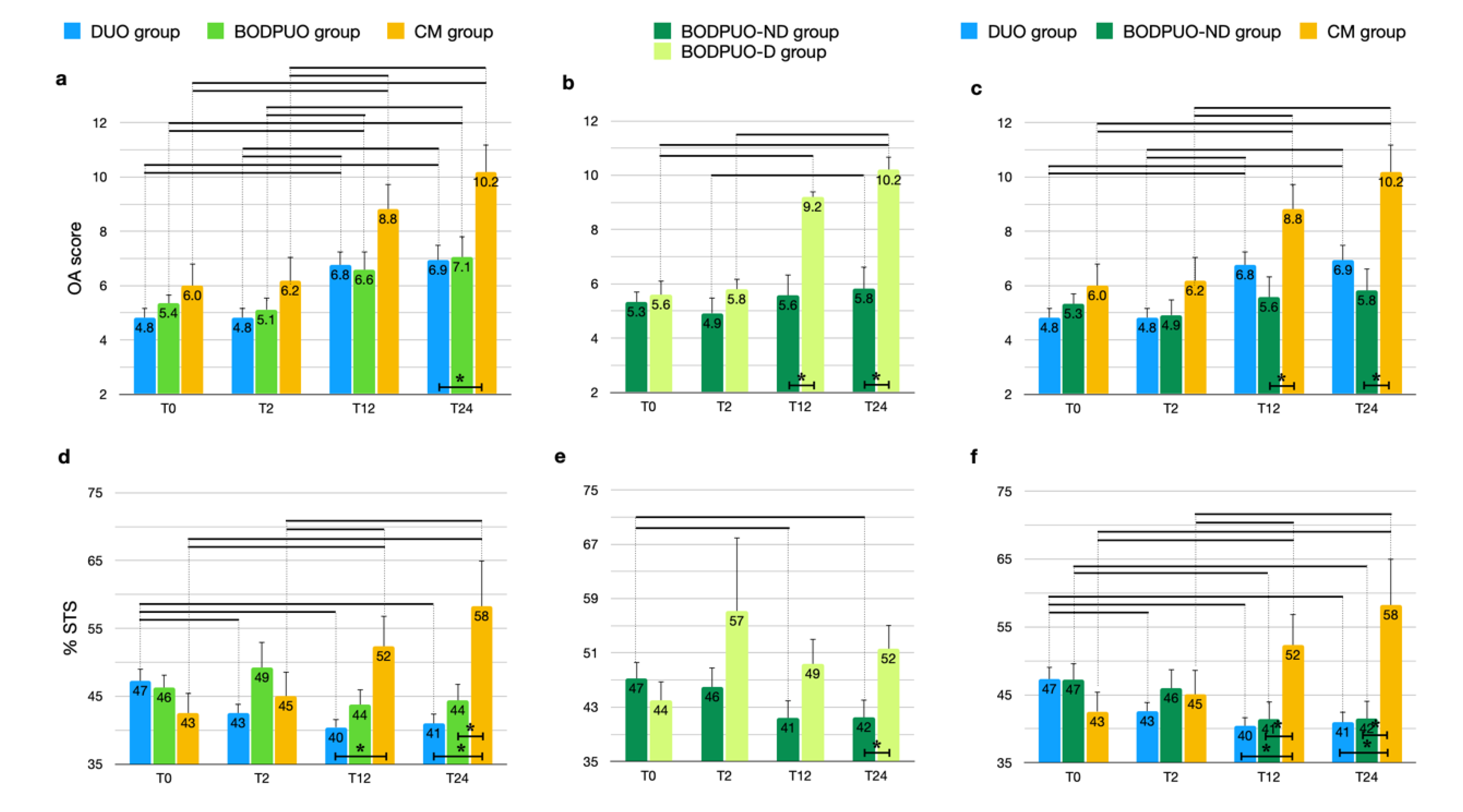
3. Results
3.1. Animals, Diagnosis and Treatment
3.2. Clinical Evaluation Findings
3.3. Radiographic Examination Findings
4. Discussion
5. Conclusions
Author Contributions
Funding
Institutional Review Board Statement
Informed Consent Statement
Data Availability Statement
Conflicts of Interest
References
- Van Ryssen, B.; Van Bree, H. Arthroscopic findings in 100 dogs with elbow lameness. Vet. Rec. 1997, 140, 360–362. [Google Scholar] [CrossRef]
- Morgan, J.P.; Wind, A.; Davidson, A.P. Bone dysplasias in the Labrador retriever: A radiographic study. J. Am. Anim. Hosp. Assoc. 1999, 35, 332–340. [Google Scholar] [CrossRef] [PubMed]
- Lavrijsen, I.C.; Heuven, H.C.; Voorhout, G.; Meji, B.P.; Theyse, L.F.; Leegwater, P.A.; Hasewinkel, H.A. Phenotypic and genetic evaluation of elbow dysplasia in Dutch Labrador Retrievers, Golden Retrievers and Bernese Mountain Dogs. Vet. J. 2012, 193, 486–492. [Google Scholar] [CrossRef]
- Wennemuth, J.; Tellhelm, B.; Eley, N.; Von Pückler, K. Computed tomography enhances diagnostic accuracy in challenging medial coronoid disease cases: An imaging study in dog breeding appeal cases. Vet. Comp. Orthop. Traumatol. 2020, 33, 356–362. [Google Scholar] [CrossRef] [PubMed]
- Fitzpatrick, N.; Smith, T.J.; Evans, R.B.; Yeadon, R. Radiographic and arthroscopic findings in the elbow joints of 263 dogs with medial coronoid disease. Vet. Surg. 2009, 38, 213–223. [Google Scholar] [CrossRef]
- Fitzpatrick, N.; Smith, T.J.; Evans, R.B.; O’Riordan, J.; Yeadon, R. Subtotal coronoid ostectomy for treatment of medial coronoid disease in 263 dogs. Vet. Surg. 2009, 38, 233–245. [Google Scholar] [CrossRef]
- Bräuer, S.; Böttcher, P. Focal humero-ulnar impingement following subtotal coronoid ostectomy in six dogs with fragmented medial coronoid process. Tierarztl. Prax. Ausg. K Kleintiere Heimtiere 2015, 43, 156–160. [Google Scholar] [CrossRef]
- Fitzpatrick, N.; Yeadon, R. Working algorithm for treatment decision making for developmental disease of the medial compartment of the elbow in dogs. Vet. Surg. 2009, 38, 285–300. [Google Scholar] [CrossRef]
- Coppieters, E.; Gielen, I.; Verhoeven, G.; Van Vynckt, D.; Van Ryssen, B. Erosion of the medial compartment of the canine elbow: Occurrence, diagnosis and currently available treatment options. Vet. Comp. Orthop. Traumatol. 2015, 28, 9–18. [Google Scholar] [CrossRef] [PubMed]
- Barthélémy, N.P.; Griffon, D.J.; Ragetly, G.R.; Carrera, I.; Schaeffer, D.J. Short- and long-term outcomes after arthroscopic treatment of young large breed dogs with medial compartment disease of the elbow. Vet. Surg. 2014, 43, 935–943. [Google Scholar] [CrossRef] [PubMed]
- Ondreka, N. Explanation of grading according to IEWG and discussion of cases. In Proceedings of the 29th Annual Meeting IEWG, Bangkok, Thailand, 17 May 2015. [Google Scholar]
- Krotscheck, U.; Böttcher, P. Veterinary Surgery Small Animal, 2th ed.; Tobias, K.M., Johnston, S.A., Eds.; Elsevier Saunders: St. Louis, MO, USA, 2018; pp. 836–885. [Google Scholar]
- Meyer-Lindenberg, A.; Fehr, M.; Nolte, I. Shot- and long-term results after surgical treatment of an ununited anconeal process in the dog. Vet. Comp. Orthop. Traumatol. 2001, 14, 101–110. [Google Scholar] [CrossRef]
- House, M.R.; Marino, D.J.; Lesser, M.L. Effect of limb position on elbow congruity with CT evaluation. Vet. Surg. 2009, 38, 154–160. [Google Scholar] [CrossRef] [PubMed]
- Samoy, Y.; Van Ryssen, B.; Gielen, I.; Walschot, N.; Van Bree, H. Review of the literature—Elbow incongruity in the dog. Vet. Comp. Orthop. Traumatol. 2006, 1, 1–8. [Google Scholar]
- Fitzpatrick, N.; Caron, A.; Solano, M.A. Bi-oblique dynamic proximal ulnar osteotomy in dogs: Reconstructed computed tomographic assessment of radioulnar congruence over 12 weeks. Vet. Surg. 2013, 42, 727–738. [Google Scholar] [CrossRef]
- Rohwedder, T.; Fischer, M.; Böttcher, P. In vivo fluoroscopic kinematography of dynamic radio-ulnar incongruence in dogs. Open Vet. J. 2017, 7, 221–228. [Google Scholar] [CrossRef][Green Version]
- Cook, J.L.; Schulz, K.S.; Karnes, G.J.; Franklin, S.P.; Canapp, S.O.; Lotsikas, P.J.; Fitzpatrick, N.; Wheeler, J.L.; Stiffler, K.S.; Gillick, M.; et al. Clinical outcomes associated with the initial use of the canine unicompartmental elbow (CUE) arthroplasty system ®. Can. Vet. J. 2015, 56, 971–977. [Google Scholar]
- Evans, R.B.; Gordon-Evans, W.J.; Conzemius, M.G. Comparison of three methods for the management of fragmented medial coronoid process in the dog—A systematic review and meta-analysis. Vet. Comp. Orthop. Traumatol. 2008, 21, 106–109. [Google Scholar] [CrossRef]
- Fitzpatrick, N.; Yeadon, R.; Smith, T.J. Early clinical experience with osteochondral autograft transfer for treatment of osteochondritis dissecans of the medial humeral condyle in dogs. Vet. Surg. 2009, 38, 246–260. [Google Scholar] [CrossRef]
- McConkey, M.J.; Valenzano, D.M.; Wei, A.; Li, T.; Thompson, M.S.; Mohammed, H.O.; Van der Meulen, M.C.H.; Krotscheck, U. Effect of the proximal abducting ulnar osteotomy on intra-articular pressure distribution and contact mechanics of congruent and incongruent canine elbows ex vivo. Vet. Surg. 2016, 45, 347–355. [Google Scholar] [CrossRef] [PubMed]
- Fitzpatrick, N.; Yeadon, R.; Smith, T.; Shulz, K.L. Techniques of application and initial clinical experience with sliding humeral osteotomy for treatment of medial compartment disease of the canine elbow. Vet. Surg. 2009, 38, 261–278. [Google Scholar] [CrossRef]
- Bayer, K.; Winkels, P.; Andreoni, A.A.; Schmierer, P.; Rohwedder, T.; Pozzi, A.; Böttcher, P. Complications and short-to-midterm results in a case series of 52 CUE procedures using a modified caudo-medial approach. Open Vet. J. 2019, 9, 205–215. [Google Scholar] [CrossRef]
- Franklin, S.P.; Schulz, K.S.; Karnes, J.; Cook, J.L. Theory and development of a unicompartmental resurfacing system for treatment of medial compartment disease of the canine elbow. Vet. Surg. 2014, 43, 765–773. [Google Scholar] [CrossRef]
- Pettitt, R.A.; Tattersall, J.; Gemmill, T.; Butterworth, S.J.; O’Neill, T.J.; Langley- Hoobs, S.J.; Comerford, E.J.; Innes, J.F. Effect of surgical technique on radiographic fusion of the anconeus in the treatment of ununited anconeal process. J. Small Anim. Pract. 2009, 50, 545–548. [Google Scholar] [CrossRef]
- Wilson, D.M.; Goh, C.S.S.; Palmer, R.H. Arthroscopic Biceps Ulnar Release Procedure (BURP): Technique Description and In Vitro Assessment of the Association of Visual Control and Surgeon Experience to Regional Damage and Tenotomy Completeness. Vet. Surg. 2014, 43, 734–740. [Google Scholar] [CrossRef] [PubMed]
- Michelsen, J. Canine elbow dysplasia: Aetiopathogenesis and current treatment recommendations. Vet. J. 2013, 196, 12–19. [Google Scholar] [CrossRef]
- Caron, A.; Fitzpatrick, N. Bi-oblique dynamic proximal ulnar osteotomy: Surgical technique and clinical outcome in 86 dogs. Vet. Surg. 2016, 45, 356–363. [Google Scholar] [CrossRef] [PubMed]
- Rohwedder, T.; Rabentrost, P.; Böttcher, P. Three-dimensional joint kinematics in a canine elbow joint with medial coronoid disease before and after bi-oblique dynamic proximal ulnar osteotomy. Vet. Comp. Orthop. Traumatol. 2019, 2, 44–49. [Google Scholar] [CrossRef]
- Vezzoni, A. Radiological evaluation before and after elbow surgery. In Proceedings of the 30th Annual Meeting of the IEWG, Verona, Italy, 23 June 2016; pp. 16–23. [Google Scholar]
- Vannini, R. Treatment Strategies in the Growing and Adult Dog with Elbow Disease. In Proceedings of the 29th Annual Meeting of the IEWG, Bangkok, Thailand, 17 May 2015; pp. 27–30. [Google Scholar]
- Might, K.R.; Hanzlik, K.A.; Case, J.B.; Duncan, C.G.; Egger, E.L.; Rooney, M.B.; Duerr, F.M. In vitro comparison of proximal ulnar osteotomy and distal ulnar osteotomy with release of the interosseous ligament in a canine model. Vet. Surg. 2011, 40, 321–326. [Google Scholar] [CrossRef]
- Palmer, R.H. Surgical treatment of canine elbow dysplasia (MCPD, UAP, OCD, EI). In Proceedings of the 33th Annual Meeting of the IEWG, Singapore, 24 September 2018; 2018; pp. 14–19. [Google Scholar]
- Böttcher, P.; Bräuer, S.; Werner, H. Estimation of Joint Incongruence in Dysplastic Canine before and after dynamic proximal ulnar osteotomy. Vet. Surg. 2013, 42, 371–376. [Google Scholar] [CrossRef] [PubMed]
- Vasseur, P.B.; Johnson, A.L.; Budsberg, S.C.; Lincoln, J.D.; Toombs, J.P.; Whitehair, J.G.; Lents, E.L. Randomized controlled trial of the efficacy of carprofen, a nonsteroidal anti-inflammatory drug, in the treatment of osteoarthritis in dogs. J. Am. Vet. Med. Assoc. 1995, 206, 807–811. [Google Scholar] [PubMed]
- Freund, K.A.; Kieves, N.R.; Hart, J.L.; Foster, S.A.; Duerr, F.M. Assessment of novel digital and smartphone goniometers for measurement of canine stifle joint angles. Am. J. Vet. Res. 2016, 77, 749–755. [Google Scholar] [CrossRef]
- Foster, S. Canine Lameness. In The Rehabilitation Examination, 1st ed.; Wiley Blackwell: Fort Collins, CO, USA, 2020; pp. 67–84. [Google Scholar]
- Lang, J.; Busato, A.; Baumgartner, D.; Flückiger, M.; Weber, U.T. Comparison of two classification protocols in the evaluation of elbow dysplasia in the dog. J. Small Anim. Pract. 1998, 39, 169–174. [Google Scholar] [CrossRef]
- Smith, T.J.; Fitzpatrick, N.; Evans, R.B.; Pead, M.J. Measurement of ulnar subtrochlear sclerosis using a percentage scale in Labrador Retrievers with minimal radiographic signs of periarticular osteophytosis. Vet. Surg. 2009, 38, 199–208. [Google Scholar] [CrossRef] [PubMed]
- Draffan, D.; Carrera, I.; Carmicheal, S.; Heller, J.; Hammond, G. Radiographic analysis of trochlear notch sclerosis in the diagnosis of osteoarthritis secondary to medial coronoid disease. Vet. Comp. Orthop. Traumatol. 2009, 22, 7–15. [Google Scholar]
- Dempsey, L.M.; Maddox, T.W.; Comerford, E.J.; Pettitt, R.A.; Tomlinson, A.W. A Comparison of owner-assessed long-term outcome of arthroscopic intervention versus conservative management of dogs with medial coronoid process disease. Vet. Comp. Orthop. Traumatol. 2019, 32, 1–9. [Google Scholar] [CrossRef] [PubMed]
- Vezzoni, A. Aftercare following surgery. In Proceedings of the 17th ESVOT Congress, Venice, Italy, 2–4 October 2015; pp. 317–320. [Google Scholar]
- Budsberg, S.C. Long-term temporal evaluation of ground reaction forces during development of experimentally induced osteoarthritis in dogs. Am. J. Vet. Res. 2001, 62, 1207–1211. [Google Scholar] [CrossRef] [PubMed]
- Burton, N.J.; Owen, M.R.; Kirk, L.S.; Toscano, M.J.; Colborne, R. Conservative versus arthroscopic management for medial coronoid process disease in dogs: A prospective gait evaluation. Vet. Surg. 2011, 40, 972–980. [Google Scholar] [CrossRef]
- Villamonte-Chevalier, A.; Dingemanse, W.; Broeckx, B.J.G.; Van Caelenberg, A.; Agut, A.; Duchateau, L.; Van Bree, H.; Gielen, I. Bone density of elbow joints in Labrador retrievers and Golden retrievers: Comparison of healthy joints and joints with medial coronoid disease. Vet. J. 2016, 216, 1–7. [Google Scholar] [CrossRef]
- Cook, C.R.; Cook, J.L. Diagnostic imaging of the canine elbow dysplasia: A review. Vet. Surg. 2009, 38, 144–153. [Google Scholar] [CrossRef]
- Alves-Pimenta, S.; Ginja, M.M.; Colaço, B. Role of elbow incongruity in canine elbow dysplasia: Advances in diagnostics and biomechanics. Vet. Comp. Orthop. Traumatol. 2019, 32, 87–96. [Google Scholar] [CrossRef]
- Gemmill, T.J.; Hammond, G.; Mellor, D.; Sullivan, M.; Bennett, D.; Carmichael, S. Use of reconstructed computed tomography for the assessment of joint spaces in the canine elbow. J. Small Anim. Pract. 2006, 47, 66–74. [Google Scholar] [CrossRef] [PubMed]
- Mostafa, A.; Nolte, I.; Wefstaedt, P. Quantitative Radiographic Evaluation of Elbow Incongruity in Labrador and Golden Retrievers with Confirmed Medial Coronoid Disease. Vet. Comp. Orthop. Traumatol. 2019, 32, 10–17. [Google Scholar] [CrossRef] [PubMed]
- How, K.L. Aftercare following surgery. In Proceedings of the 30th Annual Meeting of the IEWG, Bangkok, Thailand, 23 June 2016; p. 18. [Google Scholar]




| Assessment | Grade | Description |
|---|---|---|
| Lameness | 0 | No evidence of lameness neither at the walk nor at the trot |
| 1 | No evidence of lameness at the walk, mild lameness at the trot | |
| 2 | Mild lameness at the walk, apparent lameness at the trot | |
| 3 | Apparent lameness at the walk and at the trot | |
| 4 | No lead of limb during the walk and the trot | |
| Arthralgia | 0 | No pain response |
| 1 | Head movement, suspension of breath | |
| 2 | Subtraction of the limb | |
| 3 | Vocalizations, aggressiveness |
| Case | Breed | Sex | Age T0 (months) | Weight (kg) | Diagnosis | Group | Associated Therapy |
|---|---|---|---|---|---|---|---|
| 1 | German Sheperd | M | 6 | 23 | Mild INC, MCPD, STS | DUO | Removal FCP |
| 2 | German Sheperd | M | 6 | 23 | Mild INC, STS | DUO | None |
| 3 | Labrador Retreiver | M | 6 | 24 | Mild INC, MCPD, STS | DUO | Removal FCP |
| 4 | Labrador Retreiver | M | 6 | 24 | Mild INC, MCPD, STS | DUO | Removal FCP |
| 5 | German Sheperd | M | 5,5 | 26 | Mild INC, MCPD, STS | DUO | Removal FCP |
| 6 | Alano | M | 6 | 35 | Mild INC, STS | DUO | None |
| 7 | Alano | M | 6 | 35 | Mild INC, STS | DUO | None |
| 8 | White Swiss Sheperd Dog | F | 5,5 | 15 | Mild INC, STS | DUO | None |
| 9 | Boxer | M | 5 | 18 | Mild INC, MCPD, STS | DUO | Removal FCP |
| 10 | Boxer | M | 5 | 18 | Mild INC, STS | DUO | None |
| 11 | Labrador Retreiver | F | 5,5 | 21 | Mild INC, MCPD, STS | DUO | Removal FCP |
| 12 | Labrador Retreiver | F | 5,5 | 21 | Mild INC, MCPD, STS | DUO | Removal FCP |
| 13 | Labrador Retreiver | M | 6 | 32,8 | Mild INC, MCPD, STS | DUO | None |
| 14 | Labrador Retreiver | M | 6 | 32,8 | Mild INC, MCPD, STS | DUO | None |
| 15 | Labrador Retreiver | F | 6 | 24,5 | Mild INC, MCPD, STS | DUO | Removal FCP |
| 16 | Labrador Retreiver | M | 6 | 19,8 | Mild INC, MCPD, STS | DUO | Curettage medial compartment |
| 17 | Labrador Retreiver | M | 6 | 19,8 | Mild INC, MCPD, STS | DUO | Curettage medial compartment |
| 18 | Labrador Retreiver | M | 6,5 | 22 | Moderate INC, MCPD, STS, OCD-kissing lesion | BODPUO | Removal FCP, curettage medial compartment |
| 19 | Labrador Retreiver | F | 6,5 | 24 | Moderate INC, MCPD, STS | BODPUO | Removal FCP |
| 20 | Labrador Retreiver | F | 6,5 | 24 | Mild INC, MCPD, STS | BODPUO | Removal FCP |
| 21 | Border Collie | F | 8 | 15,5 | Mild INC, MCPD, STS | BODPUO | Curettage medial compartment |
| 22 | English Bulldog | M | 6,5 | 23,7 | Moderate INC, MCPD, STS | BODPUO | None |
| 23 | English Bulldog | M | 6,5 | 23,7 | Mild INC, STS | BODPUO | None |
| 24 | Golden Retreiver | M | 5,5 | 24 | Mild INC, MCPD, STS, OCD-kissing lesion | BODPUO | Curettage medial compartment |
| 25 | Labrador Retreiver | M | 7,5 | 31 | Mild INC, MCPD, STS | BODPUO | Removal FCP, curettage medial compartment |
| 26 | German Sheperd | F | 6,5 | 20 | Moderate INC, STS | BODPUO | None |
| 27 | German Sheperd | F | 6,5 | 20 | Moderate INC, STS | BODPUO | None |
| 28 | German Sheperd | M | 6,5 | 25,1 | Moderate INC, STS | BODPUO | None |
| 29 | German Sheperd | M | 6,5 | 25,1 | Moderate INC, MCPD, STS | BODPUO | Removal FCP |
| 30 | Border Collie | M | 7 | 17 | Moderate INC, MCPD, STS, OCD-kissing lesion | BODPUO | Removal FCP, curettage medial compartment |
| 31 | Border Collie | M | 7 | 17 | Moderate INC, MCPD, STS | BODPUO | Removal FCP |
| 32 | Bernese Muntain Dog | M | 6,5 | 40 | Moderate INC, MCPD, STS | BODPUO | Removal FCP |
| 33 | Saint Bernard | M | 6,5 | 35 | Moderate INC, STS | BODPUO | None |
| 34 | Golden Retreiver | M | 5,5 | 24 | Moderate INC, MCPD, STS, OCD-kissing lesion | BODPUO | Curettage medial compartment |
| 35 | White Swiss Sheperd Dog | M | 7,5 | 31,2 | Mild INC, MCPD, STS | CM | |
| 36 | White Swiss Sheperd Dog | M | 7,5 | 31,2 | Mild INC, STS | CM | |
| 37 | Amstaff | F | 10 | 20 | Moderate INC, MCPD, STS | CM | |
| 38 | Amstaff | F | 10 | 20 | Moderate INC, MCPD, STS | CM | |
| 39 | Chow Chow | F | 10 | 20,5 | Severe INC, STS | CM | |
| 40 | Chow Chow | F | 10 | 20,5 | Severe INC, STS | CM | |
| 41 | Labrador Retreiver | M | 7,5 | 31 | Mild INC, STS | CM | |
| 42 | Tchorny Terrier | M | 8 | 48 | Mild INC, STS | CM | |
| 43 | Boxer | M | 5 | 20,3 | Severe INC, MCPD, STS | CM | |
| 44 | Boxer | M | 5 | 20,3 | Severe INC, MCPD, STS | CM | |
| 45 | Tchorny Terrier | M | 8 | 48 | Moderate INC, MCPD, STS, OCD-kissing lesion | CM |
| DUO vs. BODPUO vs. CM | DUO vs. BODPUO-ND vs. CM | DUO vs. BODPUO-ND vs. CM | ||||||||||||||
|---|---|---|---|---|---|---|---|---|---|---|---|---|---|---|---|---|
| DUO | BODPUO | CM | H | p-Value | Post hoc | p-Value | BODPUO-ND | H | p-Value | Post hoc | p-Value | BODPUO-D | T | p-Value | ||
| Lameness | T0 | 1.8 ± 0.7 | 2.1 ± 0.7 | 1.1 ± 0.7 | 10.97 | .0042 | DUO vs. BODPUO | .5278 | 2.3 ± 0.5 | 14.78 | .0006 | DUO vs. BODPUO-ND | .1110 | 1.6 ± 0.9 | 14.00 | .1218 |
| DUO vs. CM | .1047 | DUO vs. CM | .1035 | |||||||||||||
| CM vs. BODPUO | .0028 | CM vs. BODPUO-ND | .0004 | |||||||||||||
| T2 | 1.5 ± 0.6 | 1.8 ± 0.6 | 0.8 ± 0.7 | 10.79 | .0045 | DUO vs. BODPUO | .5871 | 1.7 ± 0.4 | 9.799 | .0075 | DUO vs. BODPUO-ND | .7959 | 2.0 ± 1.0 | 25.50 | .6833 | |
| DUO vs. CM | .0987 | DUO vs. CM | .0777 | |||||||||||||
| CM vs. BODPUO | .0031 | CM vs. BODPUO-ND | .0064 | |||||||||||||
| T12 | 1.1 ± 0.7 | 1.0 ± 0.5 | 1.8 ± 0.7 | 8.797 | .0123 | DUO vs. BODPUO | >.999 | 0.8 ± 0.4 | 10.61 | .0050 | DUO vs. BODPUO-ND | .6885 | 1.4 ± 0.5 | 15.00 | .0924 | |
| DUO vs. CM | .0592 | DUO vs. CM | .0667 | |||||||||||||
| CM vs. BODPUO | .0122 | CM vs. BODPUO-ND | .0041 | |||||||||||||
| T24 | 1.2 ± 0.8 | 1.0 ± 0.5 | 2.0 ± 0.8 | 11.74 | .0028 | DUO vs. BODPUO | >.999 | 0.8 ± 0.4 | 12.97 | .0015 | DUO vs. BODPUO-ND | .7304 | 0.8 ± 0.4 | 15.00 | .0924 | |
| DUO vs. CM | .0192 | DUO vs. CM | .0243 | |||||||||||||
| CM vs. BODPUO | .0029 | CM vs. BODPUO-ND | .0014 | |||||||||||||
| χ2r | 15.00 | 31.26 | 25.15 | 32.44 | 3.000 | |||||||||||
| p-Value | .0018 | <.0001 | <.0001 | <.0001 | .6667 | |||||||||||
| Arthralgia | T0 | 1.8 ± 0.7 | 2.0 ± 0.6 | 1.8 ± 0.7 | 1.272 | .5295 | DUO vs. BODPUO | .9513 | 2.2 ± 0.4 | 2.543 | .2804 | DUO vs. BODPUO-ND | .4416 | 1.8 ± 1.1 | 22.00 | .4289 |
| DUO vs. CM | >.999 | DUO vs. CM | >.999 | |||||||||||||
| CM vs. BODPUO | >.999 | CM vs. BODPUO-ND | .5491 | |||||||||||||
| T2 | 1.5 ± 0.6 | 1.5 ± 0.7 | 1.5 ± 0.7 | 0.070 | .5295 | DUO vs. BODPUO | >.999 | 1.3 ± 0.5 | 0.545 | .7614 | DUO vs. BODPUO-ND | >.999 | 2.0 ± 1.0 | 18.00 | .1370 | |
| DUO vs. CM | >.999 | DUO vs. CM | >.999 | |||||||||||||
| CM vs. BODPUO | >.999 | CM vs. BODPUO-ND | >.999 | |||||||||||||
| T12 | 0.9 ± 0.7 | 0.9 ± 0.6 | 1.9 ± 0.7 | 12.27 | .0022 | DUO vs. BODPUO | >.999 | 0.9 ± 0.5 | 12.95 | .0015 | DUO vs. BODPUO-ND | >.999 | 1.0 ± 1.0 | 28.50 | >.999 | |
| DUO vs. CM | .0037 | DUO vs. CM | .0026 | |||||||||||||
| CM vs. BODPUO | .0072 | CM vs. BODPUO-ND | .0079 | |||||||||||||
| T24 | 0.9 ± 0.7 | 0.8 ± 0.5 | 1.9 ± 0.7 | 14.60 | .0007 | DUO vs. BODPUO | >.999 | 0.9 ± 0.5 | 12.95 | .0015 | DUO vs. BODPUO-ND | >.999 | 0.6 ± 0.5 | 21.50 | .3458 | |
| DUO vs. CM | .0028 | DUO vs. CM | .0026 | |||||||||||||
| CM vs. BODPUO | .0013 | CM vs. BODPUO-ND | .0079 | |||||||||||||
| χ2r | 25.47 | 31.20 | 3.610 | 25.21 | 10.67 | |||||||||||
| p-Value | <.0001 | <.0001 | .3068 | <.0001 | .0050 | |||||||||||
| DUO vs. BODPUO vs. CM | DUO vs. BODPUO-ND vs. CM | DUO vs. BODPUO-ND vs. CM | ||||||||||||||
|---|---|---|---|---|---|---|---|---|---|---|---|---|---|---|---|---|
| DUO | BODPUO | CM | F | p-Value | Post hoc | p-Value | BODPUO-ND | F | p-Value | Post hoc | p-Value | BODPUO-D | t | p-Value | ||
| ROM | T0 | 121.9 ± 5.0 | 113.1 ± 8.6 | 113.2 ± 7.5 | 7.880 | .0012 | DUO vs. BODPUO | .0027 | 112.8 ± 8.2 | 8.346 | .0010 | DUO vs. BODPUO-ND | .0034 | 113.8 ± 10.5 | 0.2049 | .8404 |
| DUO vs. CM | .0062 | DUO vs. CM | .0042 | |||||||||||||
| CM vs. BODPUO | .9816 | CM vs. BODPUO-ND | .9030 | |||||||||||||
| T2 | 122.4 ± 5.0 | 115.6 ± 6.7 | 110.9 ± 9.7 | 9.557 | .0004 | DUO vs. BODPUO | .0147 | 118.0 ± 5.1 | 10.01 | .0003 | DUO vs. BODPUO-ND | .0865 | 110.0 ± 7.1 | 2.624 | .0192 | |
| DUO vs. CM | .0004 | DUO vs. CM | .0002 | |||||||||||||
| CM vs. BODPUO | .0876 | CM vs. BODPUO-ND | .0294 | |||||||||||||
| T12 | 110.9 ± 9.0 | 111.3 ± 11.1 | 98.5 ± 11.2 | 6.092 | .0048 | DUO vs. BODPUO | .9083 | 117.3 ± 5.1 | 13.53 | <.0001 | DUO vs. BODPUO-ND | .0614 | 97.0 ± 7.6 | 6.472 | <.0001 | |
| DUO vs. CM | .0083 | DUO vs. CM | .0016 | |||||||||||||
| CM vs. BODPUO | .0083 | CM vs. BODPUO-ND | <.0001 | |||||||||||||
| T24 | 106.8 ± 12.2 | 108.1 ± 14.9 | 92.5 ± 14.1 | 4.909 | .0121 | DUO vs. BODPUO | .7848 | 116.0 ± 6.1 | 12.36 | <.0001 | DUO vs. BODPUO-ND | .0378 | 89.0 ± 11.8 | 6.295 | <.0001 | |
| DUO vs. CM | .0210 | DUO vs. CM | .0052 | |||||||||||||
| CM vs. BODPUO | .0167 | CM vs. BODPUO-ND | <.0001 | |||||||||||||
| F | 20.00 | 2.461 | 25.15 | 2.548 | 8.589 | |||||||||||
| p-Value | <.0001 | .0740 | <.0001 | .1157 | .0337 | |||||||||||
| BCS | T0 | 4.6 ± 0.5 | 4.6 ± 0.9 | 4.5 ± 0.5 | .0816 | .9600 | DUO vs. BODPUO | >.999 | 4.2 ± 0.7 | 1.656 | .4368 | DUO vs. BODPUO-ND | .6394 | 5.4 ± 0.5 | 7.500 | .0123 |
| DUO vs. CM | >.999 | DUO vs. CM | >.999 | |||||||||||||
| CM vs. BODPUO | >.999 | CM vs. BODPUO-ND | >.999 | |||||||||||||
| T2 | 4.6 ± 0.5 | 4.6 ± 0.9 | 4.6 ± 0.5 | .0496 | .9755 | DUO vs. BODPUO | >.999 | 4.2 ± 0.7 | 2.145 | .3422 | DUO vs. BODPUO-ND | .6554 | 5.4 ± 0.5 | 7.500 | .0123 | |
| DUO vs. CM | >.999 | DUO vs. CM | >.999 | |||||||||||||
| CM vs. BODPUO | >.999 | CM vs. BODPUO-ND | .5554 | |||||||||||||
| T12 | 5.2 ± 0.8 | 5.6 ± 0.9 | 5.7 ± 0.8 | 3.136 | .2085 | DUO vs. BODPUO | .5548 | 5.2 ± 0.6 | 3.863 | .1449 | DUO vs. BODPUO-ND | >.999 | 6.6 ± 0.5 | 3.000 | .0016 | |
| DUO vs. CM | .3030 | DUO vs. CM | .2192 | |||||||||||||
| CM vs. BODPUO | >.999 | CM vs. BODPUO-ND | .2816 | |||||||||||||
| T24 | 5.2 ± 0.8 | 5.9 ± 1.1 | 6.3 ± 1.4 | 5.330 | .0696 | DUO vs. BODPUO | .2562 | 5.4 ± 1.0 | 4.595 | .1005 | DUO vs. BODPUO-ND | >.999 | 7.0 ± 0.0 | 5.000 | .0010 | |
| DUO vs. CM | .0964 | DUO vs. CM | .1039 | |||||||||||||
| CM vs. BODPUO | >.999 | CM vs. BODPUO-ND | .4098 | |||||||||||||
| F | 27.00 | 38.66 | 30.07 | 24.19 | 14.57 | |||||||||||
| p-Value | <.0001 | <.0001 | <.0001 | <.0001 | .0004 | |||||||||||
| DUO vs. BODPUO vs. CM | DUO vs. BODPUO-ND vs. CM | DUO vs. BODPUO-ND vs. CM | ||||||||||||||
|---|---|---|---|---|---|---|---|---|---|---|---|---|---|---|---|---|
| DUO | BODPUO | CM | H | p-Value | Post hoc | p-Value | BODPUO-ND | H | p-Value | Post hoc | p-Value | BODPUO-D | T | p-Value | ||
| OA | T0 | 4.8 ± 1.4 | 5.3 ± 1.3 | 6.0 ± 2.7 | 2.864 | .2388 | DUO vs. BODPUO | .5755 | 5.3 ± 1.3 | 2.685 | .2612 | DUO vs. BODPUO-ND | .7042 | 5.6 ± 1.1 | 25.00 | .6194 |
| DUO vs. CM | .3676 | DUO vs. CM | .3919 | |||||||||||||
| CM vs. BODPUO | >.999 | CM vs. BODPUO-ND | >.999 | |||||||||||||
| T2 | 4.8 ± 1.4 | 5.1 ± 1.8 | 6.2 ± 2.9 | 2.582 | .2750 | DUO vs. BODPUO | .7929 | 4.9 ± 2.1 | 2.093 | .3511 | DUO vs. BODPUO-ND | >.999 | 5.8 ± 0.8 | 20.50 | .3473 | |
| DUO vs. CM | .3775 | DUO vs. CM | .4518 | |||||||||||||
| CM vs. BODPUO | >.999 | CM vs. BODPUO-ND | >.999 | |||||||||||||
| T12 | 6.8 ± 2.1 | 6.6 ± 2.8 | 8.8 ± 3.0 | 3.117 | .2104 | DUO vs. BODPUO | >.999 | 5.6 ± 2.6 | 5.544 | .0625 | DUO vs. BODPUO-ND | .9119 | 9.2 ± 0.4 | 5.000 | .0068 | |
| DUO vs. CM | .3530 | DUO vs. CM | .3825 | |||||||||||||
| CM vs. BODPUO | .3289 | CM vs. BODPUO-ND | .0577 | |||||||||||||
| T24 | 6.9 ± 2.3 | 7.1 ± 3.1 | 10.2 ± 3.3 | 7.212 | .0272 | DUO vs. BODPUO | >.999 | 5.8 ± 2.7 | 8.523 | .0141 | DUO vs. BODPUO-ND | >.999 | 10.2 ± 1.1 | 4.500 | .0040 | |
| DUO vs. CM | .0382 | DUO vs. CM | .0695 | |||||||||||||
| CM vs. BODPUO | .0627 | CM vs. BODPUO-ND | .0156 | |||||||||||||
| χ2r | 44.12 | 26.69 | 31.71 | 13.33 | 14.47 | |||||||||||
| p-Value | <.0001 | <.0001 | <.0001 | .0040 | <.0001 | |||||||||||
| % STS | T0 | 47.3 ± 7.2 | 46.3 ± 7.6 | 42.5 ± 9.6 | 1.213 | .3077 | DUO vs. BODPUO | .7182 | 47.2 ± 8.2 | 1.297 | .2857 | DUO vs. BODPUO-ND | .9843 | 44.0 ± 6.2 | .7881 | .4429 |
| DUO vs. CM | .3595 | DUO vs. CM | .3855 | |||||||||||||
| CM vs. BODPUO | .4154 | CM vs. BODPUO-ND | .3855 | |||||||||||||
| T2 | 42.6 ± 5.3 | 49.3 ± 15.4 | 45.1 ± 11.8 | 1.384 | .2620 | DUO vs. BODPUO | .2880 | 46.0 ± 9.7 | .5655 | .5730 | DUO vs. BODPUO-ND | .6844 | 57.2 ± 24.2 | 1.402 | .1812 | |
| DUO vs. CM | .5902 | DUO vs. CM | .7228 | |||||||||||||
| CM vs. BODPUO | .5902 | CM vs. BODPUO-ND | .8083 | |||||||||||||
| T12 | 40.4 ± 5.0 | 43.8 ± 9.4 | 52.4 ± 14.9 | 4.868 | .0127 | DUO vs. BODPUO | .3396 | 41.4 ± 9.1 | 5.381 | .0090 | DUO vs. BODPUO-ND | .7969 | 49.4 ± 8.1 | 1.692 | .1112 | |
| DUO vs. CM | .0110 | DUO vs. CM | .0118 | |||||||||||||
| CM vs. BODPUO | .0592 | CM vs. BODPUO-ND | .0235 | |||||||||||||
| T24 | 41.0 ± 6.0 | 44.5 ± 9.8 | 58.3 ± 22.3 | 6.047 | .0050 | DUO vs. BODPUO | .4514 | 41.5 ± 9.2 | 6.427 | .0041 | DUO vs. BODPUO-ND | .9226 | 51.6 ± 7.8 | 2.152 | .0481 | |
| DUO vs. CM | .0050 | DUO vs. CM | .0066 | |||||||||||||
| CM vs. BODPUO | .0189 | CM vs. BODPUO-ND | .0096 | |||||||||||||
| χ2r | 6.348 | 1.347 | 13.20 | 3.848 | .7864 | |||||||||||
| p-Value | .0108 | .2740 | .0025 | .0483 | .4487 | |||||||||||
Publisher’s Note: MDPI stays neutral with regard to jurisdictional claims in published maps and institutional affiliations. |
© 2022 by the authors. Licensee MDPI, Basel, Switzerland. This article is an open access article distributed under the terms and conditions of the Creative Commons Attribution (CC BY) license (https://creativecommons.org/licenses/by/4.0/).
Share and Cite
Serrani, D.; Sassaroli, S.; Gallorini, F.; Salvaggio, A.; Tambella, A.M.; Biagioli, I.; Palumbo Piccionello, A. Clinical and Radiographic Evaluation of Short- and Long-Term Outcomes of Different Treatments Adopted for Elbow Medial Compartment Disease in Dogs. Vet. Sci. 2022, 9, 70. https://doi.org/10.3390/vetsci9020070
Serrani D, Sassaroli S, Gallorini F, Salvaggio A, Tambella AM, Biagioli I, Palumbo Piccionello A. Clinical and Radiographic Evaluation of Short- and Long-Term Outcomes of Different Treatments Adopted for Elbow Medial Compartment Disease in Dogs. Veterinary Sciences. 2022; 9(2):70. https://doi.org/10.3390/vetsci9020070
Chicago/Turabian StyleSerrani, Daniele, Sara Sassaroli, Francesco Gallorini, Alberto Salvaggio, Adolfo Maria Tambella, Ilaria Biagioli, and Angela Palumbo Piccionello. 2022. "Clinical and Radiographic Evaluation of Short- and Long-Term Outcomes of Different Treatments Adopted for Elbow Medial Compartment Disease in Dogs" Veterinary Sciences 9, no. 2: 70. https://doi.org/10.3390/vetsci9020070
APA StyleSerrani, D., Sassaroli, S., Gallorini, F., Salvaggio, A., Tambella, A. M., Biagioli, I., & Palumbo Piccionello, A. (2022). Clinical and Radiographic Evaluation of Short- and Long-Term Outcomes of Different Treatments Adopted for Elbow Medial Compartment Disease in Dogs. Veterinary Sciences, 9(2), 70. https://doi.org/10.3390/vetsci9020070

