You are currently viewing a new version of our website. To view the old version click .
Biomass
  • Article
  • Open Access

6 May 2024

Utilization of Blackmouth Catshark (Galeus melastomus) Skins as an Alternative Source of Gelatin: Extraction and Physicochemical Characterization in Comparison to Porcine Skin Gelatin

,
and
1
Technology and Quality Control of Fish and Fish Products Laboratory, Department of Food Science and Technology, School of Geosciences, International Hellenic University, P.O. Box 141, GR-57400 Thessaloniki, Greece
2
Drinking Water Quality Control Laboratory, Management of Water Facilities, Thessaloniki Water Supply & Sewerage Company S.A., GR-57008 Thessaloniki, Greece
3
Department of Supply Chain Management, School of Economics and Business Administration, International Hellenic University, Kanelopoulou 2, GR-60100 Katerini, Greece
4
Department of Fisheries, Animal and Veterinary Sciences, University of Rhode Island, Kingston, RI 02881, USA

Abstract

The present study investigated the potential use of blackmouth catshark (Galeus melastomus) skins for gelatin production by employing a combined alkaline and acidic process. The yield of dry gelatin was relatively high (13.95%), showing a high protein content (87.80%), but low moisture (10.64%), ash (1.34%) and lipid (0.03%) contents, on a wet weight basis. Fish skin gelatin showed better color properties (>L*, <+b* values) than porcine skin gelatin and exhibited similar gel strength (315.4 g) and higher viscosity (5.90 cP) than the latter (p < 0.05). Although the electrophoretic study revealed that fish skin gelatin was degraded to a lesser extent than its mammalian counterpart, the resulting fish skin gelatin gels melted at a significantly lower temperature (Tm = 21.5 °C), whereas the reverse process (i.e., gelling) also occurred at a lower temperature (Ts = 10.6 °C) and required more time (ts = 29.5 min) compared to porcine skin gelatin gels (Tm = 30.4 °C, Ts = 19.4 °C and ts = 20.7 min). These differences were attributed to the different imino acid content, which was greater in mammalian gelatin (p < 0.05). The results suggested that the skins from blackmouth catshark can be potentially used as an alternative raw material for gelatin production, which will fill the needs of more diverse cultures that do not consume pork- or cow-related products.

1. Introduction

Gelatin, which derives from the partial hydrolysis of native collagen, is among the most popular hydrocolloids with a variety of applications in the food, drug and cosmetic industries [,,]. On a large commercial scale, gelatin is mainly produced from pig skins and cattle hides and to a lesser extent, pig and cattle bones []. Depending on the method to which the aforementioned raw materials are subjected, two types of gelatins are obtained, i.e., type A (acidic treatment) and type B (alkaline treatment) gelatin []. The acidic treatment is employed in collagenous raw materials with a low degree of collagen cross-linkage (e.g., pig skins), while the alkaline treatment is considered suitable for more complex collagens, such as those found in cow hides [].
Over the last two decades, significant research has been conducted on the potential use of fish processing by-products (FPBs) as an alternative to mammalian gelatin []. Fish gelatin has several advantages compared to that derived from the traditional mammalian sources; (i) it is halal and acceptable by Judaism and Hinduism with minimum restrictions, and (ii) it has not been related to concerns regarding the transmission of pathogenic agents, such as prions [,]. Furthermore, the by-products from the fish processing industry, which can make up as much as 75% of the initial fish weight, usually end up as low-commercial-value products (e.g., silage, fertilizer and fish meal) or are dumped into landfills or the sea [,]. Utilization of these by-products, which typically consist of skins, bones, heads, scales and viscera, for gelatin manufacture, will not only eliminate potential harmful environmental effects, but it will also help create value-added products, such as gelatin [,].
In this direction, many researchers across the world have studied the suitability of various FPBs from their own locales for potential conversion into gelatin. Most of the investigations that have been conducted thus far have largely focused on exploiting fish skins which, unlike bones, heads and scales, do not require decalcification prior to gelatin extraction and provide relatively good-quality gelatin. [,,]. Although fish gelatin is of inferior quality compared to that derived from mammalian sources, especially as regards its rheological and gelling properties (e.g., gel strength, viscosity setting and melting point) [], it is produced to some extent on a large commercial scale. In Europe, for example, less than 5% of the edible gelatin produced comes from fish []. Regarding its applications in the food industry, fish gelatin is being used for the production of various food products, such as confectionery, bakery and dairy products among others []. Besides the aforementioned food applications, the potential use of fish gelatin as a functional food has been reviewed. In particular, fish gelatin has been reported to prevent bone marrow density decrease, which is related to osteoporosis, while it has been found that collagen peptides exhibit antihypertensive, antioxidant and anticancer properties [].
So far, gelatin extraction and characterization have been reported from the skins of various fish species, such as saithe (Pollachius virens) [], rohu (Labeo rohita), common carp (Cyprinus carpio) [], yellowfin tuna (Thunnus albacares) [], Baltic cod (Gadus morhua) [] and megrim (Lepidorhombus boscii) [] among others. To the best of our knowledge, there is no information available regarding gelatin extraction from blackmouth catshark skins. The blackmouth catshark (BC) is a small shark that is distributed in the eastern Atlantic Ocean and throughout the Mediterranean Sea [,]. In Greece, BC and other shark species (e.g., school sharks) are caught by bottom trawls and marketed as fresh skinless fillets for human consumption. As a result, its skin, which is relatively thick, is one of the main by-products formed during the filleting process and may be considered a potential source of gelatin.
Therefore, the aim of the present study was to investigate the potential use of BC skins for gelatin manufacture by evaluating the efficiency of the production process, as well as the chemical (proximate composition, protein and amino acid profile) and physical properties (color, gel strength, viscosity, Tm, Ts and ts) of extracted gelatin in comparison to porcine skin gelatin.

2. Materials and Methods

2.1. Materials

BC (G. melastomus) skins were obtained from a fish auction in Nea Michaniona (Thessaloniki, Greece). The skins were stored in insulated boxes filled with ice packs and transferred to the Department of Food Science and Technology of the International Hellenic University (Sindos, Greece) for further processing. Upon arrival, whole skins were cleaned by scraping off adherent tissue with a knife and clipping the fins. The cleaned skins were then cut into small pieces (≤2 cm2) and stored at −20 °C until used.

2.2. Reagents

Precast linear gradient polyacrylamide gels (4–15%) and a prestained protein standard covering a broad range (10–250 kDa) were procured from Bio-Rad Laboratories (Hercules, CA, USA). Gelatin from porcine skin (type A, gel strength of ~300 g) was obtained from Sigma-Aldrich (St. Louis, MO, USA). All other reagents used were of analytical grade.

2.3. Gelatin Extraction Process

Gelatin extraction from BC skins was carried out following the patented method developed by Karayannakidis et al. []. Briefly, thawed fish skins (~10 °C) were subjected to two successive alkaline treatments using 0.2 M NaOH solution with a skin-to-solution ratio of 1:4 w/v. Each alkaline treatment was carried out for 30 min under continuous stirring followed by draining. After the second alkaline treatment, the fish skins were drained and subsequently neutralized by washing with tap water, until drained water reached neutrality to slight alkalinity (pH 7.0–7.5). The skins were then subjected to an acidic treatment using a 0.1 M acetic acid solution with a skin-to-solution ratio of 1:4 w/v. The acidic treatment was carried out for 1 h under continuous stirring and was followed by draining and neutralization in a similar manner as described above (pH 6.5–7.0). Gelatin was then extracted with water (1:4 w/v, fish skin-to-water ratio) at 55 °C for 6 h under continuous stirring. Following extraction, the resulting mixture was vacuum-filtered through filter paper (Grade 601, Filtres Fioroni, Ingré, France) using a Büchner funnel and the filtrate was passed through a vertical column containing granular activated carbon using a peristaltic pump. This processing step has been previously demonstrated to be critical in order to obtain gelatin free of the unpleasant fishy odor []. The resulting gelatin solution was placed in disposable food containers (220–240 g capacity) and stored at −20 °C overnight. The frozen extract was then freeze-dried to recover the end product referred to as gelatin.

2.4. Gelatin Yield

Gelatin yield (GY) was determined by weighing the gelatin obtained after drying and the original amount of fish skins used according to the following formula:
% G Y = W e i g h t   o f   g e l a t i n   r e c o v e r e d   a f t e r   d r y i n g g W e i g h t   o f   f i s h   s k i n s g × 100
GY was then expressed as g dry gelatin/100 g fish skins.

2.5. Proximate Composition

Moisture and ash contents were determined following the Official Methods of Analysis of the Association of Official Analytical Chemists []. Total nitrogen was determined by the Kjeldahl method. A conversion factor of 5.4 was then used to calculate protein content, considering that collagen is the main protein in fish and pig skins []. Lipid content was estimated following the method of Bligh et al. [] as modified by Hanson et al. [].

2.6. Molecular Weight (MW) Distribution

The protein profile of BC and porcine skin gelatin was studied with sodium dodecyl sulfate–polyacrylamide gel electrophoresis (SDS-PAGE) []. Sample preparation was carried out as previously described [] using double-concentrated sample buffer (4% w/v SDS, 20% v/v glycerol, 0.005% w/v bromophenol blue and 0.125 M Tris-HCl, pH 6.8). The protein profile of BC skin gelatin was studied in the absence or presence of 10% v/v β-mercaptoethanol (β-ME) in the above sample buffer. The sample solutions (BC and porcine skin gelatins) were loaded onto the wells of a 4–15% precast linear gradient polyacrylamide gel, which was mounted into a CriterionTM electrophoresis cell (Bio-Rad, Hercules, CA, USA). Electrophoresis was carried out at a constant amperage of 45 mA using a power supply unit (E861, Consort nv, Turnhout, Belgium) at room temperature, until the dye in the sample buffer reached the bottom of the gel. Staining and subsequent destaining of the recovered gel was performed according to Merril et al. []. A prestained broad-range protein standard (10–250 kDa) was used to identify the MWs of separated proteins and peptides of BC and porcine skin gelatin, which were analyzed using the VisionWorksLS Image Acquisition and Analysis Software (Ultra-Violet Products Ltd., Upland, CA, USA).

2.7. Amino Acid Analysis

For the determination of amino acids in BC and porcine skin gelatin, the EZ:faastTM kit for protein hydrolysates was used (KG0-7168, Phenomenex, Torrance, CA, USA). Prior to amino acid determination, each dry gelatin was accurately weighed (~10 mg) in a test tube followed by the addition of 100 μL of 6 M HCl containing 4% v/v thioglycolic acid. The tube was then sealed under a stream of nitrogen and subsequently heated in an oven at 110 °C for 18 h. After cooling at room temperature, the resulting hydrolysate was further diluted (1:10 v/v) with 0.1 M HCl. Sample preparation and solid-phase extraction and derivatization were performed following the procedure described in the user’s manual. Two microliters of the extracted amino acids was then injected with an Autosampler in a GC-MS/MS (Ultra Trace Q Polaris, Thermo Electron, S.p.A., Rodano, Milan, Italy) operating in the split mode (1:15). The instrument was equipped with a 10 m × 0.25 mm Zebron ZB-AAA GC column with helium as a gas carrier (flow rate: 1.1 mL/min). The injection temperature was set at 250 °C, while the oven temperature program was as follows: initial oven temperature 110 °C and then raising to 320 °C with a scanning rate of 30 °C/min. The temperatures of the MS source, quad and auxiliary were set at 240, 180 and 310 °C, respectively. For the quantitative analysis, the MS detector was run at a scan range of 45–450 m/z. The concentration of each amino acid was determined as described in the user’s manual using norvaline as an internal standard. The results were expressed as g amino acid/100 g dry gelatin.

2.8. Color

Color measurements were conducted with a portable tristimulus colorimeter (Micro Color, Dr. Lange GmbH, Düsseldorf, Germany) using the CIE L*a*b* color space. Each dried gelatin was placed in a disposable Petri dish prior to performing the measurements. Instrument calibration was carried out using black and white standard plates (X = 77.7, Y = 82.8 and Z = 89.7).

2.9. Physical Properties

2.9.1. Gel Strength

Gel strength was determined using a texture analyzer equipped with a 1.27 cm flat-bottomed Teflon® plunger attached to a 30 kg load cell (TA.XTplus, Stable Micro Systems, Ltd., Godalming, Surrey, UK). The crosshead speed was set at 1 mm/s. Gelatin gels were prepared by weighing 1.334 g of gelatin into a 50 mL beaker (4 cm diameter, 6 cm height) and mixing with 20 mL of deionized water (dH2O) to obtain a final concentration of 6.67% w/v. The beakers were covered with aluminum foil and placed in a waterbath (WB-6; Witeg Labortechnik GmbH, Wertheim, Germany) adjusted at 60 °C for 1 h with occasional stirring, in order to dissolve the gelatin. The resulting gelatin solutions were allowed to cool at room temperature for 30 min and then stored at 10 ± 1 °C for 18 h prior to determining gel strength. Gel strength was defined as the maximum force (g) required to penetrate each gelatin gel by 4 mm at 10 °C [].

2.9.2. Viscosity

Viscosity measurements were carried out in gelatin solutions at 40 °C with a DV-II cone/plate viscometer (Brookfield Engineering Laboratories, Inc., Middleboro, MA, USA), which was equipped with a Haake P5 waterbath coupled with a Haake C10 immersion circulator (Thermo Electron GmbH, Karlsruhe, Germany), in order to maintain sample temperature. Following gel strength measurements, the beakers containing the gelatin gels were covered with aluminum foil and subsequently heated to 40 °C in a waterbath (WB-6; Witeg Labortechnik GmbH, Wertheim, Germany), until the complete sample gels melted. Two milliliters of each gelatin solution was then loaded with a pipette on the stationary plate of the viscometer, and viscosity (cP) was measured using the CP-41 spindle at 100 rpm.

2.9.3. Melting and Setting Points and Setting Time

The melting and setting points of gelatins were determined with a Bohlin rheometer (C-VOR 150, Malvern Instruments Limited, Malvern, Worcestershire, UK) using parallel plate geometry (serrated plates). The rheometer operated with an oscillating applied stress of 1.5 Pa, a constant frequency of 0.5 Hz and a gap size of 1 mm. For performing the measurements, each freshly prepared gelatin solution (6.67% w/v) was carefully loaded with a disposable pipette on the bottom plate, so as to avoid bubble formation, and subsequently covered perimetrically with a thin layer of paraffin oil, in order to prevent evaporation. The gelatin samples were then subjected to cooling followed by heating (40 → 5 → 40 °C) with a scanning rate of 1 °C/min. For the determination of melting and setting points of BC and porcine skin gelatin, the storage (G′) and loss (G″) moduli data obtained were subjected to logarithmic transformation and then plotted against temperature. The temperatures corresponding to the intersection of the transformed data of G′ and G″ during the cooling and heating scans employed were the setting (Ts) and melting points I of the gelatins, respectively []. Setting time (min) was determined from the cooling scan (40 → 5 °C) according to the following formula:
t s = T i T s Q ˙
where Ti is the initial temperature of the gelatin solution (40 °C), Ts is the setting temperature of gelatin (°C) and Q ˙ is the cooling rate (1 °C/min).

2.10. Statistical Analysis

A two-sample independent t-test was employed on the variables of this study to find potential significant differences between fish and porcine skin gelatin. Homoscedasticity assumptions were evaluated by Levene’s test, while the normality test employed was that of Ryan–Joiner. Significance was established at p < 0.05 []. Statistical analysis was performed using the Minitab statistical software package (Minitab version 21, State College, PA, USA)

3. Results and Discussion

3.1. Gelatin Yield

As mentioned in the Materials and Methods section, the skins of BC were initially treated with dilute alkaline and acidic solutions, each treatment being followed by washing with tap water, in order to neutralize fish skins. During these chemical treatments, known in the gelatin industry as the conditioning process [], the fiber-like structures of native collagen were broken down to such an extent yielding warm water-soluble collagen (i.e., gelatin), which was recovered at a later stage from fish skins through extraction with water at 55 °C for 6 h. Following vacuum filtration and activated carbon treatment, in order to eliminate the unpleasant fishy odor [], the gelatin solution obtained was freeze-dried. The dried gelatin extract was then weighed and the amount recovered was used to compute gelatin yield. In the present study, the production process employed yielded 13.95 ± 0.61 g dried gelatin/100 g fish skins (n = 2). The yield of gelatin found in this study was significantly higher than that previously reported for gelatin extracted from saithe (Pollachius virens) skins with an average yield of 8.9 ± 0.8 g/100 g fish skins [], as well as the yield (5.67 g/100 fish skins) reported for gelatin extracted from grey triggerfish (Balistes capriscus) skins []. However, higher recoveries have also been reported for gelatin extracted from giant catfish (Pangasianodon gigas) and tilapia (Oreochromis niloticus) skins with estimated yields of 19.50 and 23.34 g/100 g fish skins, respectively []. Generally, the yield of gelatin derived from aquatic organisms varies depending on several factors, such as the species and type of collagenous raw materials used (e.g., skins, bones, scales, fins, swim bladders), as well as the processing conditions (e.g., extraction temperature and time, number of extraction steps, pretreatment conditions) and age of fish among others [,,,].

3.2. Proximate Composition

As shown in Table 1, the major constituent of gelatins extracted from BC and porcine skins was protein, followed by moisture and ash, while the amount of lipids present in both gelatin samples was negligible. Statistical analysis showed that there were no significant differences between the two gelatins studied with respect to protein and moisture content (p ≥ 0.05); still, fish skin gelatin exhibited higher ash content when compared to its mammalian counterpart (p < 0.05). The higher content of inorganic compounds in fish skin gelatin may be due to the use of NaOH in the alkaline pretreatment, as well as the use of tap water for neutralizing fish skins []. However, the inorganic compounds present in fish skin gelatin may have also been recovered or insufficiently removed from BC skins, as a result of the gelatin production process employed. Nevertheless, the results from the proximate composition analysis of fish skin gelatin were within the range of the values reported for commercial gelatins, which are typically fat-free and contain 85–90% protein, 8–13% moisture and 0.5–2% ash [].
Table 1. Proximate composition of BC and porcine skin gelatin (g/100 g gelatin).

3.3. MW Distribution

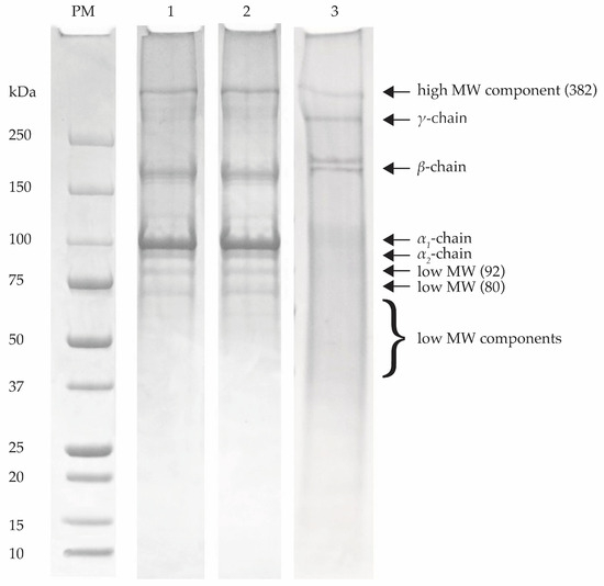
The electrophoretic profile of BC skin gelatin under non-reducing and reducing conditions, as well as of porcine skin gelatin, is shown in lanes 1, 2 and 3 of the electrophoregram, respectively (Figure 1). No noticeable differences were observed in the protein patterns of fish skin gelatin in the presence or absence of β-ME (lanes 1 and 2), suggesting that disulfide bonds do not contribute to the stabilization of the protein gel structure. As shown in Figure 1, the MW distribution of fish skin gelatins was typical of gelatin preparations comprising α- (monomer), β- (two covalently cross-linked α-chains, dimer) and γ-chains (three covalently cross-linked α-chains, trimer), which are the undisputed protein fragments in gelatin extracts []. In particular, the α component displayed two α-chains, namely, the α2- and α1-chains with MWs of ~101 and 114 kDa, respectively, while the MWs of the β- and γ-chains were approximately 217 and 340 kDa, respectively. These findings were in good agreement with those previously reported for gelatin extracted from the bones of Atlantic mackerel (Scomber scombrus) and blue whiting (Micromesistius poutassou), as well as from bovine corium [,]. Besides the aforementioned components, three additional discernible protein bands were observed in both lanes (1 and 2) with MWs of ~382, 92 and 80 kDa, which were characterized as high-MW (HMW) and low-MW (LMW) components.
Figure 1. Electrophoretic patterns of BC skin gelatin in the absence (lane 1) and presence (lane 2) of β-ME and porcine skin gelatin (lane 3). PM: protein marker.
Regarding porcine skin gelatin, its protein profile was quite similar to that of fish skin gelatin, in the sense that it consisted of protein bands corresponding to the same major components. However, the band intensity of the HMW components, as well as of the α1-, α2- and β-chains, was higher in fish skin gelatin (lanes 1 and 2), while a higher intensity was observed in porcine skin gelatin (lane 3) regarding the γ-chain and LMW components (MW < 80 kDa). These findings suggest that BC skin gelatin was less degraded than porcine skin gelatin. Such differences in the MW distribution of gelatins are expected and have been attributed to the greater extent of collagen hydrolysis, as a result of the variable processing conditions employed during gelatin manufacture [,]. Because MW distribution affects the functional properties of gelatin, the primary objective of a gelatin manufacturer is to carry out a controlled process, where partial hydrolysis of the cross-links and peptide bonds of the parent compound (i.e., collagen) leads to the ideal MW distribution for the application envisaged [].

3.4. Amino Acid Analysis

Table 2 shows the amino acid composition of gelatins extracted from BC and porcine skins. The most abundant amino acid in both gelatins was glycine (Gly), followed by proline (Pro), glutamine/glutamic acid (Gln/Glu) and hydroxyproline (Hyp). The high content of Gly, Pro and Hyp found in both gelatins was not surprising considering that the distinctive triple helical structure of the parent compound (i.e., collagen) is due to the repeating pattern of the Gly-X-Y triplet, where X and Y can be any amino acid, but in most cases are Pro and Hyp, respectively []. Statistical analysis showed that the concentration of each of the aforementioned amino acids was significantly higher in porcine than in fish skin gelatin (p < 0.05) and, as expected, similar differences were observed in total imino acid content (Pro + Hyp).
Table 2. Amino acid composition of BC and porcine skin gelatin (g/100 g dry gelatin).
Regarding alanine (Ala), isoleucine (Ile), phenylalanine (Phe) and lysine (Lys) contents, no statistically significant differences were observed between BC and porcine skin gelatin (p ≥ 0.05). Higher proportions of threonine (Thr), asparagine/aspartic acid (Asn/Asp), methionine (Met), arginine (Arg), histidine (His) and hydroxylysine (Hys) were found for BC skin gelatin, while porcine skin gelatin showed higher amounts of valine (Val), leucine (Leu), serine (Ser), cysteine (Cys) and tyrosine (Tyr) (p < 0.05). Generally, both gelatins had relatively high amounts of Ala, Leu, Asn/Asp and Lys, but low amounts of Thr, Met and Cys. Similarly to previous studies, where gelatin was extracted from Atlantic cod (Gadus morhua) heads and Nile perch (Lates niloticus) heads and skins [,], tryptophan (Try) and cystine (Cys2) were not detected. It should also be noted that the low amounts of Cys and the lack of Cys2 in BC skin gelatin further support our previous assumption from the electrophoretic study that disulfide bonds do not contribute to the development of the gelatin gel structure.

3.5. Color

Table 3 displays the color coordinates of gelatins extracted from BC and porcine skins. Based on the mean values for L*, a* and b*, both gelatins were characterized as being light red/yellow in color. However, fish skin gelatin was significantly lighter (higher L* values) than porcine skin gelatin, while the latter exhibited higher +b* values, indicating increased yellowness (p < 0.05). The Maillard reaction between proteins and traces of carbohydrates in the raw materials during the extraction process is responsible for the yellow color development in gelatins. Moreover, the color intensity has been reported to increase as extraction time increases []. Because commercial gelatins are traditionally produced by subjecting the collagenous raw materials to sequential extractions with drinking water at increasing temperatures, from 50 to 100 °C [,,], the observed differences in the +b* values of gelatins may be due to the different extraction processes employed. As a result, porcine skin gelatin, presumably produced by employing sequential extractions, exhibited higher +b* values than fish skin gelatin, which was produced by applying a single extraction process at 55 °C for 6 h.
Table 3. Color coordinates of BC and porcine skin gelatin.
Regarding the a* values, no statistically significant differences were observed between the two gelatin preparations (p ≥ 0.05). As shown in Table 3, both gelatins exhibited low +a* values (indicating redness), close to the center (0) of the a* axis of the CIE L*a*b* color space. Therefore, the a* values were not considered to have significantly contributed to the color of gelatins. Furthermore, it is worth mentioning that in contrast to L* and b* values, the contribution of the a* values to the color of BC and porcine skin gelatin was not visually apparent.
Overall, the results from the instrumental color measurements suggest that fish skin gelatin, which was superior in terms of its color compared to porcine skin gelatin, may be used in food systems without introducing any undesirable color into the final product. However, further studies are required in order to clarify this.

3.6. Physical Properties

3.6.1. Gel Strength

Gel strength is the primary physical property that determines the value of commercial gelatins [,]. It is also referred to as Bloom value or Bloom strength, when the measurement is carried out under specific conditions []. Commercial gelatins exhibit a broad range of Bloom values from 50 to 325 g [], including low Bloom (<150 g), medium Bloom (150–220 g) and high Bloom (>220 g) [,].
As shown in Table 4, the gelatin extracted from BC skins yielded gelatin gels that exhibited high gel strength (315.4 g). Although marked differences were observed in the protein band intensity of the gelatins under study (Figure 1), statistical analysis showed that there were no significant differences between the gel strength values of fish and porcine skin gelatin (p ≥ 0.05). Muyonga et al. [] conducted an earlier study that found no differences in Bloom strength between gelatins from young and adult Nile perch (Lates niloticus) skins, despite their different electrophoretic profiles. Nonetheless, the high gel strength of fish skin gelatin suggests that it can be used as a food ingredient in smaller amounts to bring about the desired functional properties, which depend on the food application. In fruit gums, for example, gelatin may be added at a concentration ranging from 6.0 to 10.0% w/w, while for this particular application, gelatins exhibiting a Bloom strength ranging from 200 to 280 g are recommended []. From the example presented above, it is obvious that the higher the Bloom strength, the lower the amount of gelatin required to bring about the desired effect and vice versa.
Table 4. Physical properties of BC and porcine skin gelatin.

3.6.2. Viscosity

Viscosity, which is the second key property in gelatin preparations, is of critical importance in many applications, since it reflects the average MW of gelatin to a greater extent than gel strength [,]. The viscosities of commercial gelatins range from 1.5 to 7 cP, but specialized gelatins may exhibit viscosities up to 13 cP []. Moreover, the price of high-viscosity gelatins increases accordingly [].
The average viscosity of the gelatin from BC skins in this study was 5.90 ± 0.21 cP, which was much higher than the viscosity of the gelatin from porcine skins (p < 0.05, Table 4). The lower viscosity of gelatin derived from porcine skins may be associated with the higher proportions of LMW protein fragments compared to fish skin gelatin, as previously mentioned in the electrophoretic study (Figure 1). This has been clearly demonstrated in the study of Muyonga et al. [], where the proportion of LMW protein fragments (MW < α-chains) negatively correlated (r = −0.79) with viscosity.
Generally, the viscosity of fish skin gelatin was within the range of the values reported for gelatins extracted from the skins of other fish species, such as red (3.20 cP) and black (7.12 cP) tilapia, rohu (6.06 cP) and common carp (5.96 cP) [,]. The results from the viscosity measurements indicate that the gelatin extracted from BC skins can be used in food applications, such as the production of selected confectionary products (e.g., chewable sweets, marshmallows and nougat), where high-viscosity gelatins are commonly used to stabilize the foam [].

3.6.3. Melting and Setting Points and Setting Time

Changes in the dynamic viscoelastic profile of BC and porcine skin gelatin as a function of temperature were monitored during cooling from 40 to 5 °C and subsequent heating from 5 to 40 °C with a scanning rate of 1 °C/min. (Figure 2 and Figure 3). Figure 2a indicates that fish gelatin forms a gel (i.e., setting point) at 10.5 °C, while the time required for gel formation (i.e., setting time) is 29.5 min. On the other hand, porcine skin gelatin forms a gel at a significantly higher temperature (19.4 °C) and shorter time (20.6 min) than fish skin gelatin (Figure 2b, Table 4, p < 0.05).
Figure 2. Changes in logG′ and logG″ of BC (a) and porcine (b) skin gelatins upon cooling from 40 to 5 °C with a scanning rate of 1 °C/min.
Figure 3. Changes in logG′ and logG″ of BC (a) and porcine (b) skin gelatins upon heating from 5 to 40 °C with a scanning rate of 1 °C/min.
Upon subsequent heating, the gel from extracted fish skin gelatin melted at 21.5 °C (Figure 3a), while porcine skin gelatin showed a significantly higher Tm at 30.2 °C (Figure 3b). Similarly, to the study of Gudmundsson [], a hysteresis effect was observed between the Tm and Ts of both gelatins, as shown in Table 4 (Tm > Ts), which can be eliminated by applying lower heating and cooling rates []. Nevertheless, the observed differences in Tm and Ts, as well as ts, between the two gelatins may be due to the different amino acid profiles. Gelatin derived from mammalian sources has been reported to have a higher imino acid (Pro + Hyp) content than that obtained from aquatic organisms []. It is believed that these two imino acids play an important role in the stabilization of the ordered conformation when gelatin forms a gel, the stability being proportional to the imino acid content [,]. Therefore, the higher Tm and Ts and the shorter ts of porcine skin gelatin with respect to BC skin gelatin were attributed to the higher imino acid content of the former compared to the latter, as previously demonstrated in the amino acid analysis (Table 2). However, the lower Tm of fish skin gelatin has been reported to be preferable, since it results in a faster dissolution in the mouth with no residual “chewy” mouthfeel []. Furthermore, in the study by Choi et al. [], it was demonstrated through sensory analysis that the flavored fish gelatin dessert gel product had a more desirable release of flavor and aroma than the same product using porcine gelatin of higher Tm.

4. Conclusions

Gelatin was successfully produced from BC skins, one of the major by-products formed during the filleting process of this species. The production process employed for the extraction of gelatin from BC skins was very efficient, yielding 13.95 g dry gelatin/100 g fish skins, which is of significant importance if production is to be considered on a large commercial scale. The chemical composition of fish skin gelatin was similar to that of commercial gelatins, being fat-free and containing high amounts of protein and low amounts of moisture and ash. Based on the electrophoretic study, BC skin gelatin showed higher band intensity in the α- and β-chains, as well as the HMW components, while porcine skin gelatin contained more γ-chains and LMW components. Regarding its physicochemical properties, fish skin gelatin showed better color attributes and exhibited higher viscosity and similar gel strength, when compared to porcine skin gelatin. However, it showed significantly lower Tm and Ts and longer ts with respect to its mammalian counterpart, which was attributed to the lower imino acid content of the former compared to the latter. Overall, the results suggested that BC skins, which have been viewed as a waste product with no commercial value, can potentially be used for gelatin manufacture.

Author Contributions

P.D.K.: Conceptualization of the research and editing of the manuscript; P.D.K. and S.E.C.: Implementation of the experiments, processing of produced data and statistical analysis; C.M.L.: Correction and editing of the manuscript. All authors have read and agreed to the published version of the manuscript.

Funding

The research project was co-financed by the European Social Fund (ESF) and the Greek State and implemented within the framework of the Action “Supporting Postdoctoral Researchers” of the Operational Program “Education and Lifelong Learning” (Action’s Beneficiary: General Secretariat for Research and Technology).

Institutional Review Board Statement

Not applicable.

Data Availability Statement

The authors confirm that all the data supporting the findings of this study are available within the manuscript.

Acknowledgments

The authors would like to thank the fishermen at the local fish auction in Nea Michaniona for providing the fish skins used in this study.

Conflicts of Interest

The authors declare no conflicts of interest.

References

  1. Karayannakidis, P.D.; Zotos, A. Physicochemical properties of yellowfin tuna (Thunnus albacares) skin gelatin and its modification by the addition of various coenhancers. J. Food Process. Preserv. 2015, 39, 530–538. [Google Scholar] [CrossRef]
  2. Baziwane, D.; He, Q. Gelatin: The paramount food additive. Food Rev. Int. 2003, 19, 423–435. [Google Scholar] [CrossRef]
  3. Boran, G.; Mulvaney, S.J.; Regenstein, J.M. Rheological properties of gelatin from silver carp skin compared to commercially available gelatins from different sources. J. Food Sci. 2010, 75, E565–E571. [Google Scholar] [CrossRef]
  4. Gelatine Manufacturers of Europe (GME). Available online: https://www.gelatine.org/en/gelatine/manufacturing.html (accessed on 22 December 2023).
  5. Songchotikunpan, P.; Tattiyakul, J.; Supaphol, P. Extraction and electrospinning of gelatin from fish skin. Int. J. Biol. Macromol. 2008, 42, 247–255. [Google Scholar] [CrossRef] [PubMed]
  6. Ahmad, M.; Benjakul, S. Characteristics of gelatin from the skin of unicorn leatherjacket (Aluterus monoceros) as influenced by acid pretreatment and extraction time. Food Hydrocoll. 2011, 25, 381–388. [Google Scholar] [CrossRef]
  7. Karayannakidis, P.D.; Zotos, A. Fish processing by-products as a potential source of gelatin: A review. J. Aquat. Food Prod. Technol. 2016, 25, 65–92. [Google Scholar] [CrossRef]
  8. Karim, A.A.; Bhat, R. Fish gelatin: Properties, challenges, and prospects as an alternative to mammalian gelatins. Food Hydrocoll. 2009, 23, 563–576. [Google Scholar] [CrossRef]
  9. Montero, M.; Acosta, O.G. Tuna skin gelatin production: Optimization of extraction steps and process scale-up. CyTA J. Food 2020, 18, 580–590. [Google Scholar] [CrossRef]
  10. Muyonga, J.H.; Cole, C.G.B.; Duodu, K.G. Extraction and physico-chemical characterization of Nile perch (Lates niloticus) skin and bone gelatin. Food Hydrocoll. 2004, 18, 581–592. [Google Scholar] [CrossRef]
  11. Wang, Y.; Regenstein, J.M. Effect of EDTA, HCl, and citric acid on Ca salt removal from Asian (silver) carp scales prior to gelatin extraction. J. Food Sci. 2009, 74, C426–C431. [Google Scholar] [CrossRef]
  12. Hu, B.; Cen, S.; Sun, W.; Zhan, S.; Jia, R.; Ou, C.; Huang, T. Effects of different phsphorylation times and pH on fish gelatin: Functional properties, structural and mechanism analysis. Food Hydrocoll. 2024, 152, 109876. [Google Scholar] [CrossRef]
  13. Gelken Gelatin. Available online: https://www.gelkengelatin.com/customized-gelatin-food-grade-halal-fish-gelatin-for-marshmallows-product/ (accessed on 31 March 2024).
  14. Lv, L.C.; Huang, Q.Y.; Ding, W.; Xiao, X.H.; Zhang, H.Y.; Xiong, L.X. Fish gelatin: The novel potential applications. J. Funct. Foods 2019, 63, 103581. [Google Scholar] [CrossRef]
  15. Eysturskarð, J.; Haug, I.J.; Elharfaoui, N.; Djabourov, M.; Draget, K.I. Structural and mechanical properties of fish gelatin as a function of extraction conditions. Food Hydrocoll. 2009, 23, 1702–1711. [Google Scholar] [CrossRef]
  16. Ninan, G.; Jose, J.; Abubacker, Z. Preparation and characterization of gelatin extracted from the skins of rohu (Labeo rohita) and common carp (Cyprinus carpio). J. Food Process. Preserv. 2011, 35, 143–162. [Google Scholar] [CrossRef]
  17. Rahman, M.S.; Al-Saidi, G.S.; Guizani, N. Thermal characterisation of gelatin extracted from yellowfin tuna skin and commercial mammalian gelatin. Food Chem. 2008, 108, 472–481. [Google Scholar] [CrossRef] [PubMed]
  18. Sadowska, M.; Kołodziejska, I.; Niecikowska, C. Isolation of collagen from the skins of Baltic cod (Gadus morhua). Food Chem. 2003, 81, 257–262. [Google Scholar] [CrossRef]
  19. Gómez-Guillén, M.C.; Montero, P. Extraction of gelatin from megrim (Lepidorhombus boscii) skins with several organic acids. J. Food Sci. 2001, 66, 213–216. [Google Scholar] [CrossRef]
  20. Anastasopoulou, A.; Mytilineou, C.; Lefkaditou, E.; Dokos, J.; Smith, C.J.; Siapatis, A.; Bekas, P.; Papadopoulou, K.N. Diet and feeding strategy of blackmouth catshark Galeus melastomus. J. Fish Biol. 2013, 83, 1637–1655. [Google Scholar] [CrossRef]
  21. Costa, M.E.; Erzini, K.; Borges, T.C. Reproductive biology of the blackmouth catshark Galeus melastomus (Chondrichthyes: Scyliorhinidae) off the south coast of Portugal. J. Mar. Biol. Ass. UK 2005, 85, 1173–1183. [Google Scholar] [CrossRef]
  22. Karayannakidis, P.D.; Chatziantoniou, S.E.; Zotos, A. Process for the Production of Gelatin from the Skins of Lean and Fatty Fish Species, Patent No. 1008421, International Classification C09H 3/00, A23J 1/04; Hellenic Industrial Property Organization: Athens, Greece, 2015. [Google Scholar]
  23. AOAC. Official Methods of Analysis; Association of Official Analytical Chemists: Washington, DC, USA, 1990. [Google Scholar]
  24. Bligh, G.E.; Dyer, W.J. A rapid method of total lipid extraction and purification. Can. J. Biochem. Physiol. 1959, 37, 911–917. [Google Scholar] [CrossRef]
  25. Hanson, S.W.F.; Olley, J. Application of the Bligh and Dyer method of lipid extraction to tissue homogenates. Biochem. J. 1963, 89, 101. [Google Scholar]
  26. Laemmli, U.K. Cleavage of structural proteins during the assembly of the bacteriophage T4. Nature 1970, 227, 680–685. [Google Scholar] [CrossRef]
  27. Karayannakidis, P.D.; Chatziantoniou, S.E.; Zotos, A. Effects of selected process parameters on physical and sensorial properties of yellowfin (Thunnus albacares) skin gelatin. J. Food Process. Eng. 2014, 37, 461–473. [Google Scholar] [CrossRef]
  28. Merril, C.R.; Washart, K.M. Protein detection methods. In Gel Electrophoresis of Proteins: A Practical Approach, 3rd ed.; Hames, B.D., Ed.; Oxford University Press: Oxford, UK, 1998; pp. 53–91. [Google Scholar]
  29. Boran, G.; Regenstein, J.M. Optimization of gelatin extraction from silver carp skin. J. Food Sci. 2009, 74, E432–E441. [Google Scholar] [CrossRef] [PubMed]
  30. Gudmundsson, M. Rheological properties of fish gelatins. J. Food Sci. 2002, 67, 2172–2176. [Google Scholar] [CrossRef]
  31. Petridis, D.N. Applied Statistics with Emphasis in Food Science, 4th ed.; Back Office Publications: Sindos, Greece, 2016; pp. 39–98. (In Greek) [Google Scholar]
  32. Schrieber, R.; Gareis, H. Gelatine Handbook, Theory and Industrial Practice; Wiley-VCH Verlag GmbH & Co. KGaA: Weinheim, Germany, 2007; pp. 45–56. [Google Scholar]
  33. Karayannakidis, P.D.; Chatziantoniou, S.E.; Zotos, A. Co-extraction of gelatin and lipids from yellowfin tuna (Thunnus albacares) skins: Physicochemical characterization, process simulation and economic analysis. J. Food Process. Preserv. 2015, 39, 2361–2370. [Google Scholar] [CrossRef]
  34. Jellouli, K.; Balti, R.; Bougatef, A.; Hmidet, N.; Barkia, A.; Nasri, M. Chemical composition and characteristics of skin gelatin from grey triggerfish (Balistes capriscus). Food Sci. Technol. 2011, 44, 1965–1970. [Google Scholar] [CrossRef]
  35. Rawdkuen, S.; Thitipramote, N.; Benjakul, S. Preparation and functional characterisation of fish skin gelatin and comparison with commercial gelatin. Int. J. Food Sci. Technol. 2013, 48, 1093–1102. [Google Scholar] [CrossRef]
  36. Liu, D.; Liang, L.; Regenstein, J.M.; Zhou, P. Extraction and characterisation of pepsin-solubilised collagen from fins, scales, skins, bones and swim bladders of bighead carp (Hypophthalmichthys nobilis). Food Chem. 2012, 133, 1441–1448. [Google Scholar] [CrossRef]
  37. Zhou, P.; Regenstein, J.M. Effects of alkaline and acidic pretreatments on Alaska pollock skin gelatin extraction. J. Food Sci. 2005, 70, C392–C396. [Google Scholar] [CrossRef]
  38. Arnesen, J.A.; Gildberg, A. Extraction and characterisation of gelatine from Atlantic salmon (Salmo salar) skin. Bioresour. Technol. 2007, 98, 53–57. [Google Scholar] [CrossRef]
  39. Eastoe, J.E.; Leach, A.A. Chemical constitution of gelatin. In The Science and Technology of Gelatin; Ward, A.G., Courts, A., Eds.; Academic Press Inc.: London, UK, 1977; pp. 73–107. [Google Scholar]
  40. Wasswa, J.; Tang, J.; Gu, X. Utilization of fish processing by-products in the gelatin industry. Food Rev. Int. 2007, 23, 159–174. [Google Scholar] [CrossRef]
  41. Khiari, Z.; Rico, D.; Martin-Diana, A.B.; Barry-Ryan, C. Comparison between gelatines extracted from mackerel and blue whiting bones after different pre-treatments. Food Chem. 2013, 139, 347–354. [Google Scholar] [CrossRef]
  42. Veis, A.; Anesey, J.; Cohen, J. The characterization of γ-component of gelatin. Arch. Biochem. Biophys. 1962, 98, 104–110. [Google Scholar] [CrossRef]
  43. Jongjareonrak, A.; Rawdkuen, S.; Chaijan, M.; Benjakul, S.; Osako, K.; Munehiko, T. Chemical compositions and characterisation of skin gelatin from farmed giant catfish (Pangasianodon gigas). Food Sci. Technol. 2010, 43, 161–165. [Google Scholar] [CrossRef]
  44. Burjanadze, T.V. New analysis on the phylogenetic change of collagen thermostability. Biopolymers 2000, 53, 523–528. [Google Scholar]
  45. Arnesen, J.A.; Gildberg, A. Extraction of muscle proteins and gelatin from cod head. Process. Biochem. 2006, 41, 697–700. [Google Scholar] [CrossRef]
  46. Johnston-Banks, F.A. Gelatine. In Food Gels; Harris, P., Ed.; Elsevier Applied Science: London, UK, 1990; pp. 233–289. [Google Scholar]
  47. Boran, G.; Regenstein, J.M. Fish gelatin. In Advances in Food and Nutrition Research; Taylor, S.L., Ed.; Academic Press: Burlington, UK, 2010; Volume 60, pp. 119–143. [Google Scholar]
  48. Wainewright, F.W. Physical tests for gelatin and gelatin product. In The Science and Technology of Gelatin; Ward, A.G., Courts, A., Eds.; Academic Press Inc.: London, UK, 1977; pp. 507–534. [Google Scholar]
  49. Ritzoulis, C.; Karayannakidis, P.D. Proteins as texture modifiers. In Modifying Food Texture; Chen, J., Rosenthal, A., Eds.; Woodhead Publishing: Sawston, UK, 2015; Volume 1, pp. 51–69. [Google Scholar]
  50. Haug, I.J.; Draget, K.I. Gelatin. In Handbook of Food Proteins; Phillips, G.O., Williams, P.A., Eds.; Woodhead Publishing: Sawston, UK, 2011; pp. 92–115. [Google Scholar]
  51. Badii, F.; Howell, N.K. Fish gelatin: Structure, gelling properties and interaction with egg albumen. Food Hydrocoll. 2006, 20, 630–640. [Google Scholar] [CrossRef]
  52. Jamilah, B.; Harvinder, K.G. Properties of gelatins from skins of fish—Black tilapia (Oreochromis mossambicus) and red tilapia (Oreochromis nilotica). Food Chem. 2002, 77, 81–84. [Google Scholar] [CrossRef]
  53. Gómez-Guillén, M.C.; Turnay, J.; Fernández-Díaz, M.D.; Ulmo, N.; Lizarbe, M.A.; Montero, P. Structural and physical properties of gelatin extracted from different marine species: A comparative study. Food Hydrocoll. 2002, 16, 25–34. [Google Scholar] [CrossRef]
  54. Derkach, S.R.; Voron’ko, N.G.; Kuchina, Y.A.; Kolotova, D.S. Modified fish gelatin as an alternative to mammalian gelatin in modern food technologies. Polymers 2020, 12, 3001. [Google Scholar] [CrossRef]
  55. Choi, S.S.; Regenstein, J.M. Physicochemical and sensory characteristics of fish gelatin. J. Food Sci. 2000, 65, 194–199. [Google Scholar] [CrossRef]
Disclaimer/Publisher’s Note: The statements, opinions and data contained in all publications are solely those of the individual author(s) and contributor(s) and not of MDPI and/or the editor(s). MDPI and/or the editor(s) disclaim responsibility for any injury to people or property resulting from any ideas, methods, instructions or products referred to in the content.

Article Metrics

Citations

Article Access Statistics

Multiple requests from the same IP address are counted as one view.